Acta Agronómica
0120-2812
Universidad Nacional de Colombia
https://doi.org/10.15446/acag.v73n1.114907

Recibido: 6 de junio de 2024; Aceptado: 5 de febrero de 2025

Detección por RT-LAMP del Tomato brown rugose fruit virus (ToBRFV, Tobamovirus fructirugosum) en semillas de tomate en Colombia

RT-LAMP detection of Tomato brown rugose fruit virus (ToBRFV, Tobamovirus fructirugosum) in tomato seeds in Colombia

J. Bados, 1J. Sánchez, 1S. Davino, 2S. Panno, 2M. Marín, 1

Laboratorio de Microbiología Industrial, Facultad de Ciencias, Universidad Nacional de Colombia - Sede Medellín, Colombia. jbados@unal.edu.co; jsanchezy@unal.edu.co; mamarinm@unal.edu.co Universidad Nacional de Colombia Laboratorio de Microbiología Industrial Facultad de Ciencias Universidad Nacional de Colombia - Sede Medellín Colombia
Dipartimento di Scienze Agrarie, Alimentari e Forestali (SAAF), Università degli Studi di Palermo, Palermo, Sicilia, Italia. salvatore.davino@unipa.it; stefano.panno@unipa.it Università degli Studi di Palermo Dipartimento di Scienze Agrarie, Alimentari e Forestali (SAAF) Università degli Studi di Palermo Palermo Sicilia Italy

Resumen

El tomate (Solanum lycopersicum L.) es uno de los cultivos de mayorimportancia mundial, con una producción cercana a 180 Mt/año. En la última década, este cultivo se ha enfrentado al surgimiento del tobamovirus Tomato brown rugose fruit virus (ToBRFV), que se ha dispersado a los cinco continentes a causa de su eficiente transmisión mecánica y por semillas. En este trabajo se evaluó la presencia de este virus en Colombia utilizando RT-LAMP en 15 muestras de semillas de diferentes variedades procedentes de frutos comercializados en supermercados del país. Además, la ocurrencia del ToBRFV se confirmó mediante secuenciación Sanger de amplicones generados por RT-PCR convencional y en tiempo real. Los resultados de las pruebas RT-LAMP indicaron la presencia del ToBRFV en las 15 muestras evaluadas, la cual confirmó su identidad por RT-PCR y secuenciación de los productos de ~200 pb obtenidos con el par de primers F3/B3, así como de productos de ~800 y ~150 pb con los primers Tob-Uni_1/Tob-Uni_2 y ToBrFV_qs1/Tob-Uni_1, respectivamente. Los árboles filogenéticos obtenidos a partir de los análisis de las secuencias agruparon los aislamientos colombianos en el clado general mundial de esta especie viral, con muy altos niveles de identidad (>99 %). Finalmente, las pruebas de RT-qPCR también confirmaron la presencia del ToBRFV, el cual fue el primer registro de este virus en Colombia. Dado el riesgo que presenta la enfermedad causada por ToBRFV sobre los rendimientos y calidad de los frutos de tomate, es necesario que la cadena hortofrutícola del país implemente urgentemente medidas fitosanitarias para su manejo.

Palabras clave:

LAMP, RT-PCR, semilla, Solanaceae, tobamovirus.

Abstract

Tomato (Solanum lycopersicum L.) is one of the most important crops in the world, with a production close to 180 mt/year. In the last decade, this crop has faced the emergence of the tobamovirus Tomato brown rugose fruit virus (ToBRFV), which has spread to the five continents thanks to its efficient mechanical and seed transmission. In this work, the presence of this virus in Colombia was evaluated using RT-LAMP in 15 seed samples of different varieties of fruits sold in supermarkets throughout the country. In addition, the occurrence of ToBRFV was confirmed by Sanger sequencing of amplicons generated by conventional and real-time RT-PCR. The results of the RT-LAMP tests indicated the presence of ToBRFV in the 15 evaluated samples, its identity being confirmed by RT-PCR and sequencing of the ~200 bp products obtained with primers F3/B3, as well as products of ~800 and ~150 bp with the primers Tob-Uni_1/Tob-Uni_2 and ToBrFV_qs1/Tob-Uni_1, respectively. Phylogenetic trees obtained from the sequence analysis grouped the Colombian isolates within the general global clade of this viral species, with very high levels of identity (>99 %). Finally, RT-qPCR also confirmed the presence of ToBRFV in the tomato seeds, being the first report of this virus in Colombia. Given the risk that the disease caused by ToBRFV poses to tomato yields and quality, the country’s tomato-growing sector must urgently implement phytosanitary measures for its management.

Keywords:

LAMP, RT-PCR, seed, Solanaceae, Tobamovirus.

Introducción

El tomate (Solanum lycopersicum L.) es una de las hortalizas con mayor importancia económica en el mundo, pues se estima que su comercialización alcanza los 93.9 billones de dólares al año y su producción supera los 180 millones de toneladas (FAOSTAT, 2022). En Colombia este cultivo se extiende a 17 667 ha y alcanza una producción anual de 822 818 t; Antioquia es uno de los principales cultivadores, con una participación cercana al 25 % de la producción nacional y un área de 1796 ha (Agronet, 2021).

Es precisamente en el cultivo del tomate donde se ha reportado en el mundo un mayor número de especies de virus de plantas de importancia económica, con al menos 312 especies de 22 familias y 39 géneros (Rivarez et al., 2021). De dichas especies virales 220 presentan genomas de DNA y pertenecen a 3 familias, mientras que 84 especies tienen RNA como genoma y pertenecen a 18 familias; también se registran 8 especies de viroides. A pesar de esto, en Colombia tan solo se han reportado infectando este cultivo cerca de 20 especies de virus de 10 géneros diferentes: Amalgavirus, Alphaendornavirus, Tobamovirus, Cucumovirus, Potyvirus, Tospovirus, Begomovirus, Nepovirus, Torradovirus y Crinivirus (Gallo et al., 2020a; 2020b). Entre ellos, los virus con mayor predominancia son: Potato yellow mosaic virus (PYMV, Begomovirus tuberosi) (Vaca-Vaca et al., 2012), Tobacco mosaic virus (TMV, Tobamovirus tabaci), Tomato mosaic virus (ToMV, Tobamovirus tomatotessellati), Cucumber mosaic virus (CMV, Cucumovirus CMV), Tomato spotted wilt virus (TSWV, Orthotospovirus tomatomaculae) y Potato virus Y (PVY, Potyvirus yituberosi) (Morales et al., 2009; Tamayo y Jaramillo, 2013; Muñoz et al., 2016; 2017). Recientemente, Gallo et al. (2020b) evaluaron la presencia de virus de RNA en cultivos de tomate var. chonto del oriente Antioqueño mediante HTS (high-throughput sequencing) y RT-PCR; como resultado encontraron la infección de los virus Potato virus S (PVS, Carlavirus sigmasolani), Southern tomato virus (STV, Amalgavirus lycopersici), Potato virus Y (PVY), Potato yellow vein virus (PYVV, Crinivirus flavisolani) y Potato virus X (PVX, Potexvirus ecspotati), en niveles de incidencia de 5.6 %, 72.2 %, 77.8 %, 94.4 % y 100 %, respectivamente, lo que da muestra de una alta diversidad de virus sobre el tomate en dicha región.

En Jordania e Israel, durante los años 2014-2015, se reportó en cultivos de tomate bajo invernadero el surgimiento de una nueva enfermedad de origen viral caracterizada por síntomas como amarillamiento intervenal, mosaico y deformación foliar; necrosis y deformación de brotes y sépalos; decoloración, manchas y necrosis de frutos; y, finalmente, disminución en los rendimientos y en la calidad de los frutos (Salem et al., 2016; Luria et al., 2017; Oladokun et al., 2019). El agente causal de dicha enfermedad fue identificado como un miembro del género Tobamovirus (Virgaviridae) y nombrado como Tomato brown rugose fruit virus (ToBRFV, Tobamovirus fructirugosum) (Salem et al., 2016), que en la actualidad es reportado en al menos 40 países de los 5 continentes (EPPO, 2024).

Tal como ocurre con otros tobamovirus (es decir, TMV, ToMV), el ToBRFV se dispersa a cortas distancia, principalmente por contacto mecánico, y a largas distancia, por semillas y frutos contaminados (Salem et al., 2023). Aparentemente, el virus no se ubica en el embrión de las semillas, pero sí en la testa, y aunque la tasa de infección a plántulas es muy baja (0.08-2.8 %) (Davino et al., 2020; Salem et al., 2022), resulta suficiente para afectar todo el cultivo, gracias a las prácticas culturales. En este sentido Davino et al. (2020) reportaron en un ensayo bajo invernadero (0.05 ha) que a partir de solo dos plantas inicialmente infectadas con ToBRFV, se alcanzaba en el cultivo el 80 y 100 % de incidencia luego de 4 y 8 meses, respectivamente.

Las partículas virales de ToBRFV tienen forma de varilla rígida con una longitud aproximada de 300 nm y 19 nm de diámetro; un genoma de RNA de cadena sencilla de sentido positivo (ssRNA+) de ~6.4 kb con cuatro ORF (open reading frames). Los ORF 1 y 2 codifican para 2 proteínas (126 y 183 kDa, respectivamente) que están relacionadas con la replicación, y que se expresan directamente (ORF1) y por lectura continua (ORF2) de un codón ámbar (UAG) de finalización. El ORF3 codifica para una proteína de movimiento (MP) de 30 kDa y el ORF4 para la cápside (CP) de 17.5 kDa, a partir de la expresión de RNAs subgenómicos (Salem et al., 2016; Zhang et al., 2022). Por otro lado, se ha demostrado que ToBRFV infecta plantas de tomate que poseen genes de resistencia a tobamovirus Tm-1, Tm-2 y el alelo comercial Tm-22 (Zinger et al., 2021), debido al no reconocimiento de la MP (Hak y Spiegelman, 2021). Además del tomate, este virus puede infectar al pimentón (Capsicum annuum L.) (Fidan et al., 2021).

En evaluaciones sobre plantas indicadoras se ha demostrado infección por el virus en plantas de las familias Amaranthaceae, Apocynaceae, Asteraceae y Solanaceae; así como en algunas especies de arvenses de 8 familias botánicas diferentes (Amaranthaceae, Asteraceae, Malvaceae, Oxalidaceae, Portulacaceae, Scrophulariaceae, Solanaceae y Tiliaceae); aunque solamente en S. nigrum, S. elaeagnifolium, S. rostratum y Mirabilis jalapa se presentan síntomas evidentes de clorosis, mosaicos y moteados (Salem et al., 2022; 2023; Matzrafi et al., 2023; Vásquez et al., 2024a). Estudios recientes indican que el rango de hospedantes del ToBRFV alcanza al menos 40 especies vegetales (Vásquez et al., 2025). Así, por ejemplo, Cultrona et al. (2024) demostraron que este virus puede infectar de manera natural a Convolvulus arvensis y Polycarpon tetraphyllum; mientras que Vásquez et al. (2024a) identificaron y confirmaron mediante pruebas de ELISA que el ToBRFV puede infectar 21 hospedantes diferentes en México, incluidas plantas de papa. En este último caso, cuando el tejido foliar de papa estuvo en contacto con tomates infectados con ToBRFV, desarrollaron síntomas foliares visuales amarillamientos, deformación y reducción de su tamaño.

Los análisis filogenéticos realizados hasta ahora a partir de genomas completos y/o parciales de aislamientos del ToBRFV, procedentes de diferentes continentes, indican muy altos niveles de identidad (>99 %) entre ellos, y aunque se han encontrado algunos clados separados en los filogramas (es decir, Norte América, Europa), estudios recientes sugieren un origen monofilético para este virus, con Sur América como uno de los candidatos principales, dado que representa el centro de origen de la familia Solanaceae (Van de Vossenberg et al., 2020).

Ya que el ToBRFV se ha reportado en al menos 40 países del mundo (EPPO, 2024), en este estudio se planteó la hipótesis de su posible ocurrencia sobre tomate en Colombia. Para contestar a esta pregunta, se evaluó su presencia directamente sobre semillas de diferentes variedades de tomate obtenidas en frutos cosechados en el país y comercializados en supermercados, utilizando la técnica molecular isotérmica RT-LAMP. Finalmente, se determinó la identidad del virus mediante secuenciación Sanger de amplicones generados por RT-PCR convencional y en tiempo real (RT-qPCR Taqman).

Materiales y métodos

Material vegetal

En supermercados de distribución local y nacional en Colombia, se adquirieron 15 muestras (~0.5 kg/muestra) de frutos de tomate de diferentes variedades: 8 de tomate tipo Cherry (S. lycopersicum var. cerasiforme; SLT1 a SLT7, SLT11), 3 de tomate tipo chonto (S. lycopersicum var. Santa Cruz; SLT12, SLT14, SLT15), 1 de tomate tipo amarillo (S. lycopersicum var. amarillo; SLT9), 1 de tomate tipo riñón (S. lycopersicum var. Milano; SLT13), 1 de tomate tipo San Marzano (S. lycopersicum var. Marzano dell’Agro Sarnese-Nocerino; SLT8), y 1 de tomatillo verde mexicano (Physalis ixocarpa; SLT10). Luego se procedió a extraer las semillas de todos los frutos para cada muestra y se dejaron en fermentación por tres días, para lavar con agua destilada, secar a temperatura ambiente (18-25 °C) por un día y proceder a la extracción del RNA.

Extracción de RNA y síntesis de cDNA

Para cada una de las muestras se realizó la extracción del RNA utilizando el kit RNeasy Plant (Qiagen) a partir de 100 mg de semillas, siguiendo las instrucciones del fabricante. La concentración del RNA y su pureza fue evaluada mediante lecturas a 260 nm y 280 nm en un equipo Nanodrop 2000C (Thermo-Fisher Scientific), con lo cual se alcanzaron concentraciones entre 69.8 y 638.3 ng/µL, y relaciones de absorbancia 260:280 nm de 1.8 a 2. El RNA extraído se almacenó a -20 °C hasta su utilización en las pruebas moleculares.

Posteriormente, se realizó la síntesis de cDNA con el primer ToBRFV_qas2 (5’ CAGACACAATCTGTTATTTAAGCATC 3’) (Menzel y Winter, 2019) en reacciones de 20 μL conteniendo 200 U de la enzima reverso-transcriptasa ExcelRT (SMOBIO), 1X de buffer RT, 0.5 mM de dNTPs, 20 pmol del primer, 20 U de inhibidor de RNasa (RNAok, SMOBIO) y 3 μL de RNA total. Antes de agregar la RT, las reacciones se incubaron en un termociclador T3 (Biometra) a 70 °C por 5 min, luego en hielo por 1 min, y posteriormente se incubaron a 25 °C durante 10 min, 45 °C por 50 min, y finalmente 85 °C por 5 min para inactivar la enzima.

Detección de ToBRFV por RT-LAMP

Las reacciones RT-LAMP se realizaron en un equipo Rotor-Gene Q-5plex HRM (Qiagen) a partir de un volumen final de 12.5 μL, que contenía 0.2 μM de los primers F3 (5´ TTGGAGTCTTAGATGTTGCG 3´) y B3 (5´GGACACCGTCAACTAGGA 3´); 1.6 μM de los primers FIP (5´ CCTTCTCCAACTGT CGCAAGTCACATGC TAGGAAGTACCAC 3´) y BIP (5´ CCGTGAG TTCTGAGTCAAT GGTTGAGGC TCACCATC TCTTAA 3´); 0.4 μM de los primers LF (5´ CTCCATGC TCATCATAC TCCAA 3´) y LB (5´ GCTCAGAACACTGAGGAGATT) (Rizzo et al., 2021); 7.5 μL de LAMP Isothermal Master Mix ISO-004 (OptiGene), 1 μL de RNA total (~50 ng/ μL) y agua libre de nucleasas (DEPC) hasta alcanzar el volumen final.

Esta evaluación se repitió nuevamente bajo las mismas condiciones, pero en este caso utilizando el cDNA preparado inicialmente para todas las muestras. Las reacciones se realizaron a 65 °C durante 60 min y la fluorescencia se adquirió cada 60 s en el canal verde. Finalmente, se realizó una curva de melting mediante la aplicación HRM (high resolution melting) del equipo a 95 °C por 1 min, 40 °C por 1 min, 70 °C por 1 min y un aumento de temperatura de 0.5 °C/s hasta alcanzar los 95 °C. En las reacciones se utilizó como control positivo el RNA total de un aislamiento de ToBRFV (ToB-SIC01/19) (Panno et al., 2019) procedente de Sicilia (Italia), y como control negativo (NTC) agua destilada estéril. Con fines informativos, los amplicones de 6 muestras se corrieron en un gel de Agarosa al 1.5 % suplementado con GelRed 1X (Biotium) y se visualizaron en un equipo ChemiDoc MP Imaging System (Bio-Rad).

Confirmación de ToBRFV por RT-PCR y RT-qPCR

Para confirmar la presencia de ToBRFV en Colombia, se realizó su detección en cuatro de las muestras de semillas de tomate mediante One-Step RT-PCR y RT-qPCR con sonda Taqman. Para el primer caso se utilizó el kit SMOBIO [RP1100] ExcelRT en reacciones independientes con los primers B3 y F3 (utilizados también en la prueba de RT-LAMP) que amplifican un fragmento de ~200 pb; con los primers degenerados para tobamovirus Tob-Uni_1(5´ATTTAAGTGGASGGAAAAVCACT 3´) y Tob-Uni_2(5´GTYGTTGATGAGTTCRTGGA 3´) que amplifican ~800 pb (Letschert et al., 2002), y con los primers ToBRFV_qs1 (5´CAATCAGAGCACATTTGAAAGTGCA3´) y Tob-Uni_1 que amplifican ~150 pb (Menzel y Winter, 2019). Para el segundo caso se empleó el kit QuantiTect Probe RT-PCR(Qiagen) con los primers ToBRFV_qs1 yToBRFV_qas2(5´CAGACACAATCTGTTATTTAAGCATC3´) y la sonda ToBRFV_p1(5´_FAMACAATGGTCCTCTGCACCTGBHQ1_3´) que amplifican un fragmento de ~96 pb (Menzel y Winter, 2019). En todas las reacciones de One-Step RT-PCR se siguieron las instrucciones del fabricante y se utilizó el programa: transcripción reversa a 42 °C por 30 min, seguido por una desnaturalización inicial a 94 °C por 3 min, 40 ciclos de 94 °C por 50 s, 52 °C por 50 s, 72 °C por 1 min y una extensión final a 72 °C por 5 min, en un termociclador T3000 (Biometra). Para el RT-qPCR Taqman se utilizó un programa de 42 °C por 30 min, 95 °C por 15 min, 40 ciclos a 94 °C por 15 s y 58 °C por 60 s, con medición de fluorescencia en el canal verde al final de cada ciclo de reacción, utilizando un equipo Rotor-Gene Q-5plex HRM (Qiagen). En todas las reacciones se incluyó un control positivo (RNA de ToBRFV, Sicilia, Italia) y un NTC.

Secuenciación Sanger

Los amplicones obtenidos tanto para One-Step RT-PCR como para RT-qPCR Taqman fueron separados por electroforesis de agarosa y, al menos, 3 de las bandas del tamaño esperado (incluido el control positivo) fueron purificadas del gel con el kit GeneJET Gel Extraction (Thermo-Scientific) para proceder a su secuenciación Sanger en ambos sentidos en un equipo ABI Prism 3730xl de la compañía Macrogen (Corea del Sur). Una vez recibidas las secuencias, se generaron los consensos y se confirmó su naturaleza viral mediante BLASTn1. Posteriormente, se realizó su alineamiento con el programa MUSCLE (Edgar, 2004) con respecto a secuencias disponibles en GenBank para el ToBRFV y otros tobamovirus (es decir, ToMMV - Tobamovirus maculatessellati y ToMV) procedentes de diferentes países. Finalmente, dichos alineamientos fueron empleados para generar matrices de identidad a nivel de nucleótidos y árboles filogenéticos por el método de Neighbor-Joining (Saitou y Nei, 1987) con 1000 réplicas de bootstrap utilizando el programa Mega 11.0 (Tamura et al.,2021). Las secuencias obtenidas fueron depositadas en GenBank con los números de accesión PP830526-PP830533 y PP844615- PP844618.

Resultados y discusión

Detección de ToBRFV por RT-LAMP

Utilizando la prueba isotérmica de RT-LAMP, el virus ToBRFV se encontró en las 15 muestras de semillas de tomate evaluadas, independientemente de la variedad; además, se presentó incremento de fluorescencia en el rango de 5 a 16 min, y tiempos de plateau inferiores a 30 min (Figura 1(a)). Una vez finalizadas las reacciones, el análisis de HRM permitió identificar un único pico para todas las muestras, con un valor de Tm ubicado entre 84.01 y 85.84 °C (Figura 1[b]). La muestra del virus procedente de Italia y utilizada como control positivo presentó un Tm de 86.04 °C y un aumento de fluorescencia y plateau de 8 y 15 min, respectivamente; mientras que luego de 60 min de reacción no se presentó amplificación en el control negativo (NTC). Con la repetición completa de la prueba, pero a partir de cDNA sintetizado con el primer ToBRFV_qas2, se obtuvieron los mismos resultados en cuanto a la presencia del virus en las 15 muestras evaluadas. Al realizar el corrido electroforético en gel de agarosa de los productos obtenidos por RT-LAMP, se encontró en todas las muestras el patrón de barrido típicamente reportado para esta técnica y denominado como ladder-like pattern, pero no en el control negativo (Figura 2).

Resultados de detección del virus ToBRFV en semillas de tomate en Colombia mediante RT-LAMP. (a) Curvas de amplificación por RT-LAMP de extractos de RNA. (b) Curvas de desnaturalización obtenidas por HRM. Se indican las temperaturas de melting (Tm) para el control positivo (ToBRFV_C+), y para la muestra de semilla con menor valor de Tm (ToBRFV_SLT12), así como el control negativo (ToBRFV-C-).

Figura 1: Resultados de detección del virus ToBRFV en semillas de tomate en Colombia mediante RT-LAMP. (a) Curvas de amplificación por RT-LAMP de extractos de RNA. (b) Curvas de desnaturalización obtenidas por HRM. Se indican las temperaturas de melting (Tm) para el control positivo (ToBRFV_C+), y para la muestra de semilla con menor valor de Tm (ToBRFV_SLT12), así como el control negativo (ToBRFV-C-).

Corrido electroforético en gel de agarosa al 1.5 % de productos de RT-LAMP para el virus ToBRFV en semillas de tomate en Colombia, en el que se muestra un barrido con múltiples amplicones tipo ladder-like pattern. M: marcador de peso molecular de 1 kb Thermo Scientific. Líneas 1 a 5 corresponden a las muestras de semilla de tomate SLT1 a SLT5, respectivamente. 6: control positivo (ToBRFV_Italia). 7: control negativo (NTC).

Figura 2: Corrido electroforético en gel de agarosa al 1.5 % de productos de RT-LAMP para el virus ToBRFV en semillas de tomate en Colombia, en el que se muestra un barrido con múltiples amplicones tipo ladder-like pattern. M: marcador de peso molecular de 1 kb Thermo Scientific. Líneas 1 a 5 corresponden a las muestras de semilla de tomate SLT1 a SLT5, respectivamente. 6: control positivo (ToBRFV_Italia). 7: control negativo (NTC).

Para evaluar la naturaleza de los amplicones obtenidos por RT-LAMP, se procedió a realizar una prueba de One-Step RT-PCR utilizando los primers B3 y F3, y se obtuvieron amplicones de ~200 pb en las muestras derivadas de semillas de tomate y en el control positivo (Figura 3); su identidad fue confirmada por secuenciación Sanger. El análisis de BLASTn arrojó valores E=9e-75, 99.36 % de identidad y 100 % de cobertura con respecto a aislamientos de ToBRFV provenientes de Países Bajos (OR760199), Alemania (OQ633221) e Irán (OP557568), entre otros.

Corrido electroforético en gel de agarosa al 1.5 % de productos de RT-PCR con los primers B3 y F3 para la identificación del virus ToBRFV en semillas de tomate en Colombia. M: marcador de peso molecular de 100 pb Thermo Scientific. Líneas 1 a 5 corresponden a las muestras de semilla de tomate SLT1 a SLT5, respectivamente. 6: control positivo (ToBRFV_Italia). 7: control negativo (NTC).

Figura 3: Corrido electroforético en gel de agarosa al 1.5 % de productos de RT-PCR con los primers B3 y F3 para la identificación del virus ToBRFV en semillas de tomate en Colombia. M: marcador de peso molecular de 100 pb Thermo Scientific. Líneas 1 a 5 corresponden a las muestras de semilla de tomate SLT1 a SLT5, respectivamente. 6: control positivo (ToBRFV_Italia). 7: control negativo (NTC).

Este es el primer registro formal del ToBRFV en muestras de tomate en Colombia y se suma a los reportes previos realizados para este virus en otros países de América, como México (Camacho-Beltrán et al. 2019), Estados Unidos (Ling et al., 2019), Argentina (Obregón et al., 2023) y Perú (Rodríguez-Grados et al., 2024). El resultado obtenido debería llamar la atención de la cadena hortofrutícola del país sobre la necesidad de implementar medidas fitopatológicas que reduzcan la dispersión de este virus a diferentes regiones cultivadoras de tomate. Algunas de las medidas deben incluir procesos de certificación de semilla por su sanidad viral, establecimiento de prácticas culturales que reduzcan la transmisión de virus dentro y entre cultivos, y programas de mejoramiento genético por resistencia a ToBRFV en las variedades más comercializadas en el país (es decir, chonto, cherry, riñón).

Aunque con los datos obtenidos en este estudio no es posible identificar la posible fecha de llegada del ToBRFV a los cultivos de tomate del país, sin duda la comercialización nacional e internacional de semillas que se realiza en tomate juega un papel fundamental para la rápida dispersión de este tobamovirus, lo cual es una conclusión a la que han llegado diferentes estudios independientes (Caruso et al., 2022; Salem et al., 2023). En este sentido, el ToBRFV se ha encontrado en la testa y en los tegumentos externos de las semillas de tomate, pero no en sus embriones (Caruso et al., 2022); de tal manera que, aunque su eficiencia de transmisión es relativamente baja (<2.8 %), su persistencia es alta en restos vegetales y suelo (Molad et al., 2024; Vásquez et al., 2024a). Se ha demostrado que solo 2 plantas infectadas son suficientes para alcanzar el 100 % de incidencia en cultivos bajo invernadero de tomate, dada la alta transmisión mecánica que presenta este virus (Davino et al., 2020).

De manera similar, al evaluar la transmisión del ToBRFV en 5 variedades de tomate en México cultivadas comercialmente bajo invernadero, se encontró que el virus alcanzó una incidencia del 100 % en tan solo un periodo de 4 meses, lo que se explicó gracias al progreso logístico de la enfermedad (González-Concha et al., 2021). De esta forma, no resulta sorpresivo el hecho de que, aunque el ToBRFV fue reportado inicialmente en México en julio de 2018 en un invernadero de tomate en Ensenada, Baja California (Camacho-Beltrán et al., 2019) y 2 meses después en cultivos de tomate y pimentón de 2 municipios (Yurécuaro y Tanhuato) del estado de Michoacán (Cambrón-Crisantos et al., 2019); para el año 2020, el Sistema Nacional de Vigilancia Epidemiológica Fitosanitaria de México registró este virus sobre tomate y/o pimentón en 79 municipios de 23 Estados de ese país (Senasica, 2020).

Por otra parte, no se puede desestimar la importancia económica que representa la infección del ToBRFV en cultivos de tomate, pues en el mundo se han reportado por su causa pérdidas de entre el 15-55 % y reducciones del 25-40 % en el peso promedio de los frutos (Salem et al., 2023). Así, por ejemplo, en un estudio realizado en Coahuila (México) con 3 aislamientos de ToBRFV en el híbrido de tomate 172-300, se encontró que en las pruebas con uno de los aislamientos (FQ3) se alcanzó una disminución del 53.9 % y 38.9 % en la altura y peso seco aéreo de las plantas, respectivamente; mientras que se redujo el rendimiento en comparación con el tratamiento control en 43.2 % (Vásquez et al., 2024b). Adicionalmente, la presencia del virus afecta dramáticamente las características cosméticas y organolépticas de los frutos (Caruso et al., 2022; Salem et al., 2023) y la posibilidad de obtener semillas por parte de los agricultores para futuras siembras, una práctica común en países en desarrollo como Colombia.

Para nuestro conocimiento, el uso de la técnica de RT-LAMP realizada en este estudio, corresponde al primer registro del empleo de esta metodología en el campo de virología vegetal en el país, mientras que su utilización en laboratorios colombianos para la detección de virus humanos solo se ha reportado para SARS-CoV-2 (Londoño-Avendaño et al., 2022), y en estudios realizados en el extranjero que utilizaron algunos aislamientos de origen colombiano de los virus: Classical swine fever virus (CSFV, Pestivirus suis) y Yellow fever virus (YFV, Orthoflavivirus flavi) (Nunes et al., 2015; Bohórquez et al., 2024), entre otros. La técnica de LAMP ofrece una oportunidad única para la detección de virus en tiempo real tanto en campo como en laboratorio, dada la posibilidad de realizar lecturas de resultados mediante detección colorimétrica (es decir, inspección visual) y/o fluorimétrica (esto es, equipos de qPCR, Genie®) (Panno et al., 2020; Caruso et al., 2023; Bohórquez et al., 2024).

En el caso particular de virus de plantas, la técnica de LAMP es altamente sensible, específica y, además, puede ser utilizada a partir de extractos crudos o parcialmente clarificados, gracias a la reducida sensibilidad de la polimerasa Bst (Geobacillus stearothermophilus) a los inhibidores frecuentemente presentes en los tejidos vegetales, como fenoles y polisacáridos de alto peso molecular (Panno et al., 2020; Caruso et al., 2023). Adicionalmente, en caso de ser necesario, es posible secuenciar los amplicones generados con los primers B3 y F3 para confirmar su naturaleza viral, tal como se realizó en esta investigación.

Confirmación de ToBRFV por RT-PCR y RT-qPCR

Las amplificaciones con One-Step RT-PCR permitieron obtener los productos del tamaño esperado para las combinaciones Tob-Uni_1 /Tob-uni_2 (~800 pb) y Tob-Uni_1/ToBrFV_qs1 (~150 pb) (Figura 4). El análisis de BLASTn de las secuencias Sanger confirmó la identidad de los amplicones, al obtenerse valores para la banda de 150 pb de E=2e-50, 100 % de identidad y 100 % de cobertura, con respecto a aislamientos de ToBRFV de Israel (PP681638), Alemania (OQ633222) y China (OR792460), entre otros países. Para la banda de ~800 pb, el valor E fue de 0, el porcentaje de identidad del 99.6 % y la cobertura del 99 %, con respecto a aislamientos del virus de Turquía (MT118666), Países Bajos (MN882063) y Alemania (OR843983), entre otros.

Corrido electroforético en gel de agarosa al 1.5 % de productos de RT-PCR con los primers ToBrFV_qs1/Tob-Uni_1 (líneas 1 a 4) y Tob-Uni_1/Tob- Uni_2 (líneas 5 a 8) para la identificación del virus ToBRFV en semillas de tomate en Colombia. M: marcador de peso molecular de 100 pb. 1: SLT5. 2: SLT14. 3: control positivo (ToBRFV_Italia). 4: control negativo (NTC). 5: SLT5. 6: SLT14. 7: control positivo (ToBRFV_Italia). 8: control negativo (NTC).

Figura 4: Corrido electroforético en gel de agarosa al 1.5 % de productos de RT-PCR con los primers ToBrFV_qs1/Tob-Uni_1 (líneas 1 a 4) y Tob-Uni_1/Tob- Uni_2 (líneas 5 a 8) para la identificación del virus ToBRFV en semillas de tomate en Colombia. M: marcador de peso molecular de 100 pb. 1: SLT5. 2: SLT14. 3: control positivo (ToBRFV_Italia). 4: control negativo (NTC). 5: SLT5. 6: SLT14. 7: control positivo (ToBRFV_Italia). 8: control negativo (NTC).

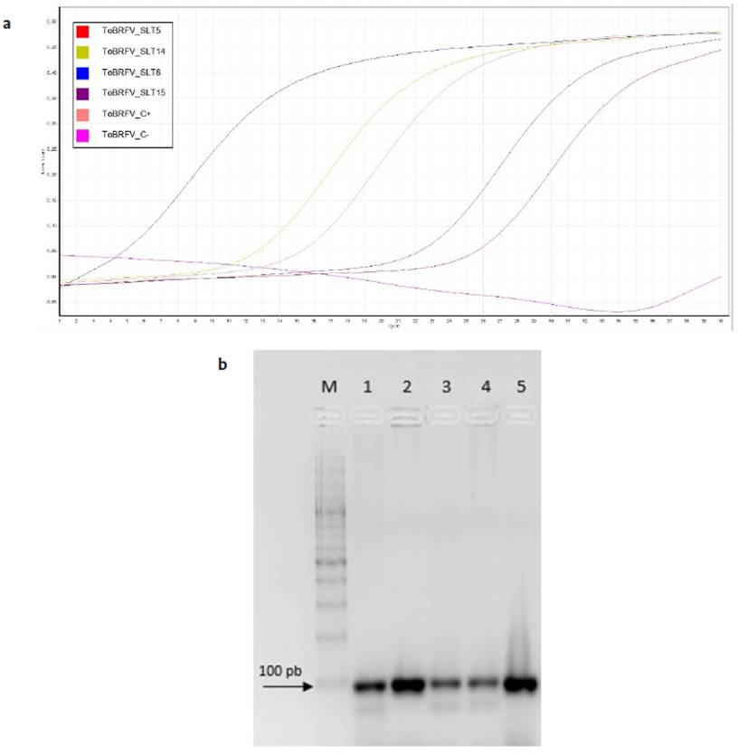
Finalmente, las pruebas de RT-qPCR con los primers ToBrFVqs1-ToBrFVqas2 y la sonda ToBRFVp1 resultaron en amplificaciones positivas para las 4 muestras de semilla evaluadas y para el control positivo, con valores de Ct (threshold cycle) de 4.5 a 25.2 (Figura 5 [a ]); también se confirmó el tamaño de los amplicones de 96 pb mediante electroforesis (Figura 5 [b ]) y su naturaleza viral por secuenciación Sanger. Este resultado demuestra el gran potencial de esta técnica para su utilización en estudios epidemiológicos del ToBRFV en Colombia, y, en conjunto con las técnicas de RT-LAMP y One-Step RT-PCR, ofrecen al sector hortofrutícola del país un portafolio de herramientas de detección altamente sensibles y específicas para el diagnóstico de este virus en diferentes escenarios fitopatológicos, como la certificación de semilla, los estudios de asociación de síntomas y pérdidas económicas, el mejoramiento genético, etc. En este sentido será de gran interés realizar evaluaciones de incidencia y prevalencia de ToBRFV en diferentes departamentos cultivadores de tomate del país y en diversas épocas del año, tanto a nivel de plantas en producción, como de plántulas y semillas comercializadas por viveros y compañías de insumos agrícolas, de manera que se tenga un mejor panorama del estado actual de la enfermedad causada por este virus en Colombia.

Resultados de detección del virus ToBRFV en semillas de tomate en Colombia mediante RT-qPCR Taqman. (a) Curvas de amplificación a partir de extractos de RNA de semillas de tomate en Colombia. (b) Corrido electroforético en gel de agarosa al 2 % de productos de RT-qPCR Taqman. M: marcador de peso molecular de 100 pb Thermo Scientific. Líneas 1 a 5: corresponden a las muestras de semilla de tomate SLT1 a SLT5, respectivamente.

Figura 5: Resultados de detección del virus ToBRFV en semillas de tomate en Colombia mediante RT-qPCR Taqman. (a) Curvas de amplificación a partir de extractos de RNA de semillas de tomate en Colombia. (b) Corrido electroforético en gel de agarosa al 2 % de productos de RT-qPCR Taqman. M: marcador de peso molecular de 100 pb Thermo Scientific. Líneas 1 a 5: corresponden a las muestras de semilla de tomate SLT1 a SLT5, respectivamente.

Análisis filogenéticos

Utilizando las secuencias derivadas de los amplicones obtenidos con los pares de primers B3/F3 y Tob-Uni_1/Tob-Uni_2, se realizó un análisis filogenético, en el que se encontró que las secuencias de ToBRFV derivadas de semillas de tomate de Colombia se ubicaron en un único clado mundial soportado por un valor de Bootstrap del 100 %, que incluye secuencias de aislamientos de este virus procedentes de diferentes continentes y que claramente se diferencian de otros tobamovirus reportados en tomate, como ToMMV y ToMV (Figura 6). Resultados similares se han encontrado en múltiples estudios que buscaron evaluar la diversidad genética de este virus y sus relaciones filogenéticas con otros tobamovirus (Oladokun et al., 2019; Van de Vossenberg et al., 2020; Caruso et al., 2022).

Árboles filogenéticos obtenidos a partir de secuencias de ToBRFV de Colombia y otros países. (a) Árbol construído a partir de secuencias derivadas de amplicones con los primers B3-F3. (b) Árbol construído a partir de secuencias derivadas de amplicones con los primers Tob-Uni_1/Tob-Uni_2. Con fines comparativos se incluyeron secuencias de ToMMV y ToMV. Una secuencia del Tobacco rattle virus (TRV, Tobravirus tabaci) se utilizó como grupo externo para el enraizamiento de los árboles. Los números sobre las ramas indican los valores de bootstrap.

Figura 6: Árboles filogenéticos obtenidos a partir de secuencias de ToBRFV de Colombia y otros países. (a) Árbol construído a partir de secuencias derivadas de amplicones con los primers B3-F3. (b) Árbol construído a partir de secuencias derivadas de amplicones con los primers Tob-Uni_1/Tob-Uni_2. Con fines comparativos se incluyeron secuencias de ToMMV y ToMV. Una secuencia del Tobacco rattle virus (TRV, Tobravirus tabaci) se utilizó como grupo externo para el enraizamiento de los árboles. Los números sobre las ramas indican los valores de bootstrap.

En este sentido, se han planteado diferentes hipótesis sobre la emergencia del ToBRFV; una de ellas indica que el virus pudo surgir como resultado de la recombinación entre tobamovirus, específicamente TMV y ToMMV (Salem et al., 2016; Maayan et al., 2018). El hecho de que se encuentren tan bajos niveles de variación en diferentes regiones del genoma entre aislamientos del ToBRFV procedentes de múltiples países (usualmente <1 %) (Chanda et al., 2020; Caruso et al., 2022) sugieren su origen reciente a partir de un único ancestro común y una muy eficiente dispersión vía semilla sexual y transmisión mecánica. Sobre este último aspecto, se ha demostrado que los viriones de los tobamovirus presentan una muy alta estabilidad en el ambiente, e incluso pueden persistir por largos periodos en el agua de riego, en drenajes, en el suelo, en residuos vegetales y sobre diferentes superficies artificiales y naturales (Li et al., 2016; Wilstermann y Ziebell, 2019; Caruso et al., 2022; Vásquez et al., 2024a).

La identificación del ToBRFV en las 15 muestras de semillas de tomate, obtenidas de diferentes supermercados de alcance local y nacional, demuestran la amplia circulación de este virus en el país y llaman la atención sobre la necesidad apremiante de establecer programas cuarentenarios, de mejoramiento genético, de certificación de semilla y de capacitación a los agricultores de tomate sobre este nuevo patógeno viral, de manera que se reduzca el impacto potencial de la enfermedad que este causa en la cadena hortofrutícola de Colombia.

Conclusiones

En evaluaciones mediante la técnica de amplificación isotérmica RT-LAMP sobre 15 muestras de semillas de tomate de 5 variedades diferentes (Solanum lycopersicum: cherry, chonto, riñón, San Marzano; Physalis ixocarpa: tomatillo verde) procedentes de frutos comercializados en supermercados de Colombia, se detectó por primera vez en el país la presencia del tobamovirus ToBRFV.

La identidad taxonómica del ToBRFV fue confirmada mediante secuenciación Sanger de productos derivados de pruebas de RT-PCR con primers específicos y primers universales para tobamovirus; en ellos se encontraron niveles de identidad superiores al 99 % con respecto a secuencias del virus reportadas en GenBank procedentes de diferentes continentes.

Además de la detección del ToBRFV mediante RT-LAMP, también se evaluó con éxito la utilidad de la técnica RT-qPCR con sonda Taqman en el juego de oligonucleótidos ToBRFV_qs1/ToBRFV_qas2/ ToBRFV_p1. Estos resultados ofrecen a la cadena hortofrutícola del país un portafolio de herramientas moleculares para el diagnóstico de los aislamientos de este virus.

Acknowledgements

Agradecimientos

Este trabajo fue financiado por la Universidad Nacional de Colombia - Sede Medellín a través del proyecto: Identificación molecular de virus que infectan cultivos de tomate (Solanum lycopersicum) (código Hermes: 58518). Se agradece a los integrantes del Laboratorio de Microbiología Industrial por su apoyo con la colección de las muestras de frutos de tomate y a los miembros del Laboratorio de Virología Vegetal Bruno Rosciglione de la Universidad de Palermo (Italia) por su asesoría en la técnica de RT-LAMP.

Referencias

  1. Agronet. (2021). Red de información y comunicación del sector Agropecuario Colombiano. Reporte: Área, Producción y Rendimiento Nacional por Cultivo. https://www.agronet.gov.co/estadistica/Paginas/home.aspx?cod=1 [URL] 🠔
  2. Bohórquez, J. A.; Muñoz-Aguilera, A.; Lanka, S.; Coronado, L.; Rosell, R.; Alberch, M.; Maddox, C.W. y Ganges, L. (2024). Development of a new loop-mediated isothermal amplification test for the sensitive, rapid, and economic detection of different genotypes of Classical swine fever virus. Frontiers in Cellular and Infection Microbiology, 14, 1372166, https://doi.org/10.3389/fcimb.2024.1372166 [URL] 🠔
  3. Camacho-Beltrán, E.; Pérez-Villarreal, A.; Leyva-López, N. E.; Rodríguez-Negrete, E. A.; Ceniceros-Ojeda, E. A. y Méndez- Lozano, J. (2019). Occurrence of Tomato brown rugose fruit virus infecting tomato crops in Mexico. Plant Disease, 103, 1440. https://doi.org/10.1094/PDIS-11-18-1974-PDN [URL] 🠔
  4. Cambrón-Crisantos, J.; Rodríguez-Mendoza, J.; Valencia-Luna, J.; Alcasio, R.; García-Ávila, C.; López-Buenfil, J. y Ochoa- Martínez, D. (2019). First report of Tomato brown rugose fruit virus (ToBRFV) in Michoacan, Mexico. Revista Mexicana de Fitopatología, 37(1), 185-192. https://www.researchgate.net/publication/329563542_First_report_of_Tomato_brown_rugose_fruit_virus_ToBRFV_in_Michoacan_Mexico [URL] 🠔
  5. Caruso, A. G.; Bertacca, S.; Parrella, G.; Rizzo, R.; Davino, S. y Panno, S. (2022). Tomato brown rugose fruit virus: A pathogen that is changing the tomato production worldwide. Annals of Applied Biology, 181(3), 258-274. https://doi.org/10.1111/aab.12788 [URL] 🠔
  6. Caruso, A. G.; Ragona, A.; Bertacca, S.; Montoya, M.; Panno, S. y Davino, S. (2023). Development of an in-field real-time LAMP assay for rapid detection of Tomato leaf curl New Delhi virus. Plants, 12(7), 1487. https://doi.org/10.3390/plants12071487 [URL] 🠔
  7. Chanda, B.; Rivera, Y.; Nunziata, S. O.; Gálvez, M. E., Gilliard, A. y Ling, K. S. (2020). Complete genome sequence of a Tomato brown rugose fruit virus isolated in the United States. Microbiology Resource Announcements, 9(29), e00630-20. https://doi.org/10.1128/MRA.00630-20 [URL] 🠔
  8. Cultrona, M.; Bonini, N.; Pacifico, D. y Tessitori, M. (2024). First report of Convolvulus arvensis and Polycarpon tetraphyllum as natural hosts of Tomato brown rugose fruit virus. Plant Disease , 108, 827. https://doi.org/10.1094/PDIS-11-23-2413-PDN [URL] 🠔
  9. Davino, S.; Caruso, A. G.; Bertacca, S.; Barone, S. y Panno, S. (2020). Tomato brown rugose fruit virus: Seed transmission rate and efficacy of different seed disinfection treatments. Plants , 9(11), 1615. https://doi.org/10.3390/plants9111615 [URL] 🠔
  10. Edgar, R. C.; Drive, R. M. y Valley, M. (2004). Muscle: Multiple sequence alignment with high accuracy and high throughput. Nucleic Acids Research, 32, 1792-1797. https://doi.org/10.1093/nar/gkh340 [URL] 🠔
  11. EPPO. (2024). EPPO Global Database. Tomato brown rugose fruit virus (ToBRFV). https://gd.eppo.int/taxon/TOBRFV [URL] 🠔
  12. FAOSTAT.(2022). Food and agriculture data. Database (Food and Agriculture Organization Statistics). https://www.fao.org/faostat/en/#home [URL] 🠔
  13. Fidan, H.; Sarikaya, P.; Yildiz, K.; Topkaya, B.; Erkis, G. y Calis, O. (2021). Robust molecular detection of the new Tomato brown rugose fruit virus in infected tomato and pepper plants from Turkey. Journal of Integrative Agriculture, 20(8), 2170-2179. https://doi.org/10.1016/S2095-3119(20)63335-4 [URL] 🠔
  14. Gallo, Y.; Gutiérrez, P. A. y Marín, M. (2020a). Identificación de virus de RNA en cultivos de tomate del oriente de Antioquia (Colombia) por secuenciación de nueva generación (NGS). Revista U.D.C.A. Actualidad y Divulgación Científica, 23(1), e1414. http://doi.org/10.31910/rudca.v23.n1.2020.1414 [URL] 🠔
  15. Gallo, Y.; Muñoz, L.; Toro, L.; Gutiérrez, P. A. y Marín, M. (2020b). Detección de virus de ARN en cultivos de tomate del oriente Antioqueño mediante secuenciación de alto rendimiento y RT-qPCR. Bioagro, 32(3), 147-158. https://dialnet.unirioja.es/servlet/articulo?codigo=7901975 [URL] 🠔
  16. González-Concha, L. F.; Ramírez-Gil, J. G.; García-Estrada, R. S.; Rebollar-Alviter, Á. y Tovar-Pedraza, J. M. (2021). Spatiotemporal analyses of Tomato brown rugose fruit virus in commercial tomato greenhouses. Agronomy, 11(7), 1268. https://doi.org/10.3390/agronomy11071268 [URL] 🠔
  17. Hak, H. y Spiegelman, Z. (2021). The Tomato brown rugose fruit virus movement protein overcomes Tm-22 resistance in tomato while attenuating viral transport. Molecular Plant-Microbe Interactions, 34(9), 1024-1032 https://doi.org/10.1094/MPMI-01-21-0023-R [URL] 🠔
  18. Letschert, B.; Adam, G.; Lesemann, D.; Willingmann, P. y Heinze, C. (2002). Detection and differentiation of serologically cross- reacting tobamoviruses of economical importance by RT-PCR and RT-PCR-RFLP. Journal of Virological Methods, 106(1), 1-10. https://doi.org/10.1016/s0166-0934(02)00135-0 [URL] 🠔
  19. Li, J. X.; Liu, S. S. y Gu, Q. S. (2016). Transmission efficiency of Cucumber green mottle mosaic virus via seeds, soil, pruning and irrigation water. Journal of Phytopathology, 164(5), 300-309. https://doi.org/10.1111/jph.12457 [URL] 🠔
  20. Ling, K. S.; Tian, T.; Gurung, S.; Salati, R. y Gilliard, A. (2019). First report of tomato brown rugose fruit virus infecting greenhouse tomato in the United States. Plant Disease , 103(6), 1439. https://doi.org/10.1094/PDIS-11-18-1959-PDN [URL] 🠔
  21. Londoño-Avendaño, M. A.; Libreros, G., Osorio, L. y Parra, B. (2022). A rapid RT-LAMP assay for SARS-CoV-2 with colorimetric detection assisted by a mobile application. Diagnostics, 12(2), 848. https://doi.org/10.3390/diagnostics12040848 [URL] 🠔
  22. Luria, N.; Smith, E.; Reingold, V.; Bekelman, I.; Lapidot, M.; Levin, I.; Elad, N.; Tam, Y.; Sela, N.; Abu-Ras, A.; Ezra, N.; Haberman, A.; Yitzhak, L.; Lachman, O. y Dombrovsky, A. (2017). A new Tobamovirus isolate infects tomato plants harboring Tm-22 resistance genes. PLoS One, 12(1), e0170429. https://doi.org/10.1371/journal.pone.0170429 [URL] 🠔
  23. Maayan, Y.; Pandaranayaka, E. P.; Srivastava, D. A.; Lapidot, M.; Levin, I.; Dombrovsky, A. y Harel, A. (2018). Using genomic analysis to identify tomato Tm-2 resistance-breaking mutations and their underlying evolutionary path in a new and emerging Tobamovirus. Archives of Virology, 163(7), 1863- 1875. https://doi.org/10.1007/s00705-018-3819-5 [URL] 🠔
  24. Matzrafi, M.; Abu-Nassar, J.; Klap, C.; Shtarkman, M.; Smith, E. y Dombrovsky, A. (2023). Solanum elaeagnifolium and S. rostratum as potential hosts of the Tomato brown rugose fruit virus. PLoS ONE, 18(3), e0282441. https://doi.org/10.1371/journal.pone.0282441 [URL] 🠔
  25. Menzel, W. y Winter, S. (2019). Identification of novel and known tobamoviruses in tomato and other solanaceous crops using a new pair of generic primers and development of a specific RT-qPCR for ToBRFV. En VI International Symposium on Tomato Diseases: Managing Tomato Diseases in the Face of Globalization and Climate Change 1316, pp. 143-148. https://doi.org/10.17660/ActaHortic.2021.1316.20 [URL] 🠔
  26. Molad, O.; Smith, E.; Luria, N.; Bakelman, E.; Lachman, O.; Reches, M. y Dombrovsky, A. (2024). Studying Tomato brown rugose fruit virus longevity in soil and virion susceptibility to pH treatments helped improve virus control by soil disinfection. Plant Soil, 505, 543-558. https://doi.org/10.1007/s11104-024-06690-y [URL] 🠔
  27. Morales, F.; Tamayo, P.; Castaño, M.; Olaya, C.; Martínez, A. y Velasco, A. (2009). Enfermedades virales del tomate (Solanum lycopersicum) en Colombia. Fitopatotología Colombiana, 33, 23-27. https://www.researchgate.net/publication/267510524 [URL] 🠔
  28. Muñoz-Baena, L.; Gutiérrez-Sánchez, P. y Marín-Montoya, M. (2016). Detección y secuenciación del genoma del Potato virus Y (PVY) que infecta plantas de tomate en Antioquia, Colombia. Bioagro , 28(2), 69-80. https://dialnet.unirioja.es/servlet/articulo?codigo=5509124 [URL] 🠔
  29. Muñoz-Baena, L.; Gutiérrez-Sánchez, P. y Marín-Montoya, M. 2017. Secuenciación del genoma completo del Potato yellow vein virus (PYVV) en tomate (Solanum lycopersicum) en Colombia. Acta Biológica Colombiana, 22(1), 5-17. https://doi.org/10.15446/abc.v22n1.59211 [URL] 🠔
  30. Nunes, M. R.; Vianez, J. L.; Nunes, K. N.; Da Silva, S. P.; Lima, C. P.; Guzmán, H.; Martins, L. C.; Carvalho, V. L.; Tesh, R. B. y Vasconcelos, P.F. (2015). Analysis of a reverse transcription loop-mediated isothermal amplification (RT-LAMP) for yellow fever diagnostic. Journal of Virological Methods , 226, 40-51 https://doi.org/10.1016/j.jviromet.2015.10.003 [URL] 🠔
  31. Obregón, V. G.; Ibáñez, J. M.; Lattar, T. E., Juszczak, S. y Groth- Helms, D. (2023). First report of Tomato brown rugose fruit virus in tomato in Argentina. New Disease Reports, 48, e12203. https://doi.org/10.1002/ndr2.12203 [URL] 🠔
  32. Oladokun, J. O.; Halabi, M. H.; Barua, P. y Nath, P. D. (2019). Tomato brown rugose fruit disease: Current distribution, knowledge and future prospects. Plant Pathology, 68(9), 1579-1586. https://bsppjournals.onlinelibrary.wiley.com/doi/10.1111/ppa.13096 [URL] 🠔
  33. Panno, S.; Ruiz-Ruiz, S.; Caruso, A. G.; Alfaro-Fernández, A.; San Ambrosio, M. I. F., y Davino, S. (2019). Real-time reverse transcription polymerase chain reaction development for rapid detection of Tomato brown rugose fruit virus and comparison with other techniques. PeerJ, 7, e7928. https://doi.org/10.1111/ppa.13096 [URL] 🠔
  34. Panno, S.; Matić, S.; Tiberini, A.; Caruso, A. G.; Bella, P.; Torta, L.; Stassi, R. y Davino, A. S. (2020). Loop mediated isothermal amplification: Principles and applications in plant virology. Plants , 9(4), 461. https://doi.org/10.3390/plants9040461 [URL] 🠔
  35. Rizzo, D.; Da Lio, D.; Panattoni, A.; Salemi, C.; Cappellini, G.; Bartolini, L. y Parrella, G. (2021). Rapid and sensitive detection of Tomato brown rugose fruit virus in tomato and pepper seeds by reverse transcription loop-mediated isothermal amplification assays (real time and visual) and comparison with RT-PCR end-point and RT-qPCR methods. Frontiers in Microbiology, 12, 640932. https://doi.org/10.3389/ fmicb.2021.640932 [URL] 🠔
  36. Rodríguez-Grados, P.; Saldaña, C.; Estrada, R.; Salazar, W.; Contreras-Liza, S. y Arbizu, C. 2024. Presence of tomato brown rugose fruit virus (ToBRV) in tomatoes from the Southern Peruvian Coast. En Proceedings of the 3rd International Electronic Conference on Plant Sciences, 15-17 de enero de 2024. Basilea: MDPI. 🠔
  37. Saitou, N. y Nei, M. (1987). The neighbor-joining method: A new method for reconstructing phylogenetic trees. Molecular Biology and Evolution, 4(4), 406-425. https://doi.org/10.1093/oxfordjournals.molbev.a040454 [URL] 🠔
  38. Salem, N.; Mansour, A.; Ciuffo, M.; Falk, B. W. y Turina, M. (2016). A new Tobamovirus infecting tomato crops in Jordan. Archives of Virology , 161(2), 503-506. https://doi.org/10.1007/s00705-015-2677-7 [URL] 🠔
  39. Salem, N. M.; Sulaiman, A.; Samarah, N.; Turina, M. y Vallino, M. (2022). Localization and mechanical transmission of Tomato brown rugose fruit virus in tomato seeds. Plant Disease , 106, 275-281. https://doi.org/10.1094/PDIS-11-20-2413-RE [URL] 🠔
  40. Salem, N. M.; Jewehan, A.; Aranda, M. A. y Fox, A. (2023). Tomato brown rugose fruit virus pandemic. Annual Review of Phytopathology, 61, 137-164. https://doi.org/10.1146/annurev-phyto-021622-120703 [URL] 🠔
  41. Senasica. (2020). Panorama nacional del virus del fruto rugoso café del tomate (ToBRFV). https://dj.senasica.gob.mx/Contenido/files/2020/abril/PANToBRFV_bc6c0958-dc49-4fb5-ac21- 355322898f15.pdf [URL] 🠔
  42. Rivarez, M. P. S.; Vučurović. A.; Mehle, N.; Ravnikar, M. y Kutnjak, D. (2021). Global advances in tomato virome research: Current status and the impact of high-throughput sequencing. Frontiers in Microbiology , 12, 671925. https://doi.org/10.3389/fmicb.2021.671925 [URL] 🠔
  43. Tamayo, P. y Jaramillo, P. (2013). Enfermedades del tomate, pimentón, ají y berenjena en Colombia. Guía para su diagnóstico y manejo. Rionegro: Corpoica. 🠔
  44. Tamura, K.; Stecher, G. y Kumar, S. (2021). MEGA11: Molecular evolutionary genetics analysis version 11. Molecular Biology and Evolution , 38(7), 3022-3027. https://doi.org/10.1093/molbev/msab120 [URL] 🠔
  45. Vaca-Vaca, J. C.; Betancur-Pérez, J. F. y López-López, K. (2012). Distribución y diversidad genética de Begomovirus que infectan tomate (Solanum lycopersicum L.) en Colombia. Revista Colombiana de Biotecnología, 14(1), 60-76. https://revistas.unal.edu.co/index.php/biotecnologia/article/view/31764 [URL] 🠔
  46. Van de Vossenberg, B. T.; Visser, M.; Bruinsma, M.; Koenraadt, H. M.; Westenberg, M. y Botermans, M. (2020). Real-time tracking of Tomato brown rugose fruit virus (ToBRFV) outbreaks in the Netherlands using Nextstrain. PLoS One , 15(10), e0234671. https://doi.org/10.1371/journal.pone.0234671 [URL] 🠔
  47. Vásquez, U.; López, H.; Frías, G. A.; Delgado, J. C.; Flores, A.; Aguirre, L. A. y Hernández, A. (2024a). Biological exploration and physicochemical characteristics of Tomato brown rugose fruit virus in several host crops. Agronomy , 14(2), 388. https://doi.org/10.3390/agronomy14020388 [URL] 🠔
  48. Vásquez, U.; Frías-Treviño, G. A.; López-López, H.; Delgado- Ortiz, J. C.; Aguirre-Uribe, L. A. y Flores-Olivas, A. (2024b). Evaluation of the pathogenicity of three isolates of tomato brown rugose fruit virus in tomato plants (Solanum lycopersicum L.) from Coahuila, Mexico. Revista Bio Ciencias, 11, e1576. https://doi.org/10.15741/revbio.11.e1576 [URL] 🠔
  49. Vásquez, G. U; Delgado-Ortiz, J. C.; Frías-Treviño, G. A.; Aguirre- Uribe, L. A. y Flores-Olivas, A. (2025). Tobamovirus fructirugosum an emerging disease: Review and current situation in Mexico. Mexican Journal of Phytopathology , 43(1), 34. https://doi.org/10.18781/R.MEX.FIT.2401-7 [URL] 🠔
  50. Wilstermann, A. y Ziebell, H. (2019). Tomato brown rugose fruit virus (ToBRFV). JKI Data Sheets-Plant Disease Diagnostics , 1, 1-4. https://doi.org/10.5073/20190607-160917 [URL] 🠔
  51. Zhang, S.; Griffiths, J. S.; Marchand, G.; Bernards, M. A. y Wang, A. (2022). Tomato brown rugose fruit virus: An emerging and rapidly spreading plant RNA virus that threatens tomato production worldwide. Molecular Plant Pathology , 23(9), 1262- 1277. https://doi.org/10.1111/mpp.13229 [URL] 🠔
  52. Zinger, A.; Lapidot, M.; Harel, A.; Doron-Faigenboim, A.; Gelbart, D. y Levin, I. (2021). Identification and mapping of tomato genome loci controlling tolerance and resistance to Tomato brown rugose fruit virus. Plants , 10(1), 179. https://doi.org/10.3390/plants10010179. [URL] 🠔
(https://blast.ncbi.nlm.nih.gov/).