Acta Biológica Colombiana
0120-548X
Universidad Nacional de Colombia, Facultad de Ciencias, Departamento de Biología
https://doi.org/10.15446/abc.v23n1.65683

Recibido: 14 de junio de 2017; Revision Received: 12 de septiembre de 2017; Aceptado: 16 de septiembre de 2017

IDENTIFICACIÓN MOLECULAR DE POTYVIRUS INFECTANDO CULTIVOS DE PAPA EN EL ORIENTE DE ANTIOQUIA (COLOMBIA)

Molecular Identification of Potyviruses Infecting Potato Plots in Eastern Antioquia (Colombia)

M. RIASCOS CHICA, 1 P. GUTIÉRREZ SÁNCHEZ, 2 M. MARÍN MONTOYA, 2 *

Laboratorio de Microbiología Industrial, Universidad Nacional de Colombia, Sede Medellín. Calle 59 A n°. 63-20, Medellín, Colombia. Universidad Nacional de Colombia Universidad Nacional de Colombia Medellín Colombia
Escuela de Biociencias, Facultad de Ciencias, Universidad Nacional de Colombia, Sede Medellín. Calle 59 A n°. 63-20, Medellín, Colombia. Universidad Nacional de Colombia Facultad de Ciencias Universidad Nacional de Colombia Medellín Colombia

For correspondence. mamarinm@unal.edu.co

RESUMEN

Los potyvirus son uno de los grupos de virus más limitantes en los cultivos de papa (Solanum tuberosum y S. phureja) en el mundo, siendo PVY, PVV y PVA las especies más prevalentes. En este trabajo se evaluó la presencia de estos potyvirus en cuatro lotes de S. tuberosum cv. Diacol-Capiro y cuatro lotes de S. phureja cv. Criolla-Colombia ubicados en el oriente de Antioquia, analizando la cápside viral mediante RT-PCR/secuenciación Sanger y secuenciación de nueva generación (NGS) para S. tuberosum. Los resultados indicaron la ocurrencia de los potyvirus PVY y PVV en las muestras de S. tuberosum y S. phureja, respectivamente; siendo detectadas mediante cebadores específicos la presencia de tres diferentes cepas de PVY (PVYN, PVYNTN y PVY°) en la región de estudio. Este hallazgo fue confirmado por NGS, obteniendo las secuencias completas de los genomas de estas tres cepas, lo que representa el primer reporte de PVYO en Colombia. Por su parte, los análisis de secuencias de la región CP de PVV indicaron niveles de identidad superiores a 99% con respecto a aislamientos del linaje PVVPhu reportado previamente en Antioquia. Estos hallazgos evidencian la necesidad de ajustar los sistemas de detección de virus en los programas de certificación de tubérculo-semilla de papa adelantados en el país.

Palabras clave:

Potyviridae, secuenciación de nucleótidos de alto rendimiento, Solanum phureja, Solanum tuberosum, virus de plantas.

ABSTRACT

Potyviruses are one of the most limiting viruses for the potato (Solanum tuberosum and S. phureja) production worldwide, being PVY, PVV and PVA the most prevalent species. In this work, we tested the presence of these viruses in four commercial S. tuberosum cv. Diacol-Capiro and S. phureja cv. Criolla-Colombia plots in eastern Antioquia using RT-PCR and Sanger sequencing of the coat protein (CP) region, as well as next generation sequencing (NGS) for S. tuberosum samples. Our results revealed the presence of a PVV strain infecting S. phureja with high sequence identity (>99%) to lineage PVVPhu previously reported in Antioquia. Three strains of PVY (PVYN, PVYNTN and PVY°) were found to infect S. tuberosum. The presence of these three PVY strains was confirmed by NGS, allowing the assembly of their complete genomes. This is the first report of the full genome sequence of PVYo strain in Colombia. These findings highlight the need to adjust the tuber-seed certification programs currently implemented in the country.

Keywords:

high-throughput nucleotide sequencing, plant viruses, Potyviridae, Solanum phureja, Solanum tuberosum.

INTRODUCCIÓN

Potyviridae es una de las familias de virus que tienen mayor número de especies fitopatógenas, con cerca de 170 especies reconocidas por el Comité Internacional de Taxonomía de Virus (ICTV) (King et al., 2012). Esta familia presenta siete géneros: Brambyvirus, Bymovirus, Ipomovirus, Macluravirus, Rymovirus, Tritimovirus y Potyvirus; siendo éste último el más amplio, con 143 especies reconocidas. Con excepción de los miembros del género Bymovirus (que contienen un genoma bipartito), los viriones de otros géneros de la familia corresponden a varillas flexuosas de 650-900 nm de longitud y 11-15 nm de diámetro, con un genoma monopartito de ARN de cadena sencilla positiva (ARNss+) que presenta una proteína VPg (Viral Protein genome-linked) unida al extremo 5' y una cola poli-Adenilada en el extremo 3' (King et al., 2012; Hull, 2014; Marín y Gutiérrez, 2016). Los criterios taxonómicos empleados para demarcar los géneros de esta familia corresponden a niveles de porcentaje de identidad en las secuencias de nucleótidos (nt) del genoma inferiores al 46 % (King et al., 2012). Para diferenciar especies dentro de los géneros, el porcentaje de identidad de la secuencia de aminoácidos (a.a) de la proteína de la cápside (CP) debe ser menor a 80 %, mientras que para la secuencia de nt debe ser inferior a 76 % en la CP o en el genoma completo (King et al., 2012). Otros aspectos que se tienen en cuenta para la clasificación, son las secuencias de reconocimiento de las proteasas virales dentro de la poliproteína, la presencia de inclusiones citoplasmáticas, y diversos aspectos biológicos como el rango de hospedantes, sus relaciones con vectores y sus características antigénicas (King et al., 2012; Marín y Gutiérrez, 2016).

En forma particular, los miembros del género Potyvirus tienen viriones de 680-900 nm y un ARNss+ genómico con una extensión de cerca de 9.700 nt, que contiene un marco abierto de lectura (ORF-Open Reading Frame) principal que codifica una poliproteína de 340-370 kDa (~3.060 a.a), la cual es clivada en diez proteínas funcionales por acción de tres proteasas virales (Dougherty y Carrington, 1998; Revers y García, 2015). Recientemente, se han detectado dos ORF adicionales en algunos potyvirus: PIPO (Pretty Interesting Potyviridae ORF) y PISPO (Pretty Interesting Sweet Potato Potyvirus ORF); éstos se expresan como resultado de cambios en el marco de lectura del ORF principal (Chung et al., 2008; Untiveros et al., 2016).

Usualmente los potyvirus tienen rangos de hospedantes restringidos, aunque algunas especies pueden infectar hospedantes de diversas familias botánicas, induciendo principalmente síntomas de mosaicos, deformación de brotes y otros tejidos, enanismos y eventualmente anillos necróticos o cloróticos. Su transmisión generalmente ocurre por diversas especies de áfidos, usualmente de forma no persistente, además de manera mecánica, por propagación vegetativa (ej. tubérculos, esquejes) y en algunos casos por semilla sexual (ej. Pea seed-borne mosaic virus y Bean common mosaic virus) (Hull, 2014; Marín y Gutiérrez, 2016).

Los potyvirus son uno de los grupos de virus más limitantes para el cultivo de la papa en todo el mundo (Kerlan, 2008). Hasta el momento se han reportado en este hospedante las especies: Wild potato mosaic virus (WPMV), Potato virus A (PVA), Potato virus V (PVV) y Potato virus Y (PVY) (Salazar, 1996; Kerlan, 2008; Gil et al., 2011). De las anteriores, PVY es sin duda el virus que causa mayores pérdidas económicas a la agroindustria de producción de papa, al ocasionar daños tanto a nivel de tejido foliar como en los tubérculos, lo que representa para el primer caso, reducciones en los rendimientos de entre 40 y 70 % (Nolte et al., 2004) y efectos directos sobre la calidad de los tubérculos (Gil et al., 2011; Karasev y Gray, 2013).

PVY tiene un amplio rango de hospedantes en la familia Solanaceae, que incluye además de la papa, el tabaco, tomate de árbol, tomate de mesa y pimentón (Karasev y Gray, 2013), en los que causa principalmente mosaicos rugosos, moteados, necrosis de venas y en el caso de la papa, anillos necróticos en los tubérculos, enfermedad conocida como PTNRD por sus siglas en inglés (Potato Tuber Necrotic Ringspot Disease) (Quenouille et al., 2013). Este virus se transmite mecánicamente, por áfidos (ej. Myzus persicae, Aphis fabae y Macrosiphum euphorbiae) y por tubérculos (semilla vegetativa) (Gil et al., 2011; Fageria et al., 2013). La especie PVY consiste de un complejo de cepas, distinguidos inicialmente con base en su capacidad para inducir reacciones de hipersensibilidad sobre cultivares diferenciales de papa con los genes Nc, Ny y/o Nz, y en la propiedad de elicitar respuestas de necrosis de venas en tabaco (Singh et al., 2008). De esta forma, las cepas denominadas PVYC, PVY0 y PVYZ elicitan hipersensibilidad en cultivares con los genes Nc, Ny y Nz, respectivamente; mientras que PVYN y PVYE sobrepasan la defensa de estos tres genes, pero el primero elicita necrosis de venas en tabaco y el segundo no (Singh et al., 2008; Kehoe y Jones, 2016). Además de estas cinco cepas, se ha definido un sexto grupo denominado PVYNP (No-Potato, por sus siglas en inglés) para incluir aislamientos de PVY que no pueden ser transmitidas mecánicamente a la papa (Blanco-Urgoiti et al., 1998). También se han identificado al menos cuatro genotipos recombinantes a partir de porciones de genomas de PVYO y PVYN, los que se dividen dependiendo del número de puntos de recombinación (recombinant junction -RJ) en PVYN:O (un RJ), PVYN-Wi (dos RJ), PVYNTNa (tres RJ) y PVYNTNb (cuatro RJ) (Singh et al., 2008; Karasev y Gray, 2013). A pesar del avance evidente que se ha logrado sobre el conocimiento de la variabilidad intraespecífica de PVY, es predecible la existencia de otros genotipos no caracterizados hasta el momento, tal como lo demuestran los reportes de la variante no recombinante PVYNA-N y de la cepa recombinante PVYNE-11 (Lorenzen et al., 2008; Singh et al., 2008), que aparentemente se deriva de PVYN y de otro parental desconocido diferente a PVY0 (Karasev y Gray, 2013).

En el caso de PVV, este virus fue inicialmente considerado como una variante de PVY; sin embargo, análisis serológicos y filogenéticos confirmaron su identidad como una especie diferente (Oruetxebarria et al., 2000; Spetz et al., 2003; Alvarez et al., 2016). PVV causa mosaicos suaves y disminución del tamaño de la lámina foliar en papa; aunque sobre algunas variedades puede inducir mosaicos severos y manchas necróticas en hojas bajeras (Jones y Fuller, 1984; Alvarez et al., 2016). Es transmitido por semilla vegetativa (tubérculos) y por áfidos como M. persicae y Brachycaudus helichrysi (Gutiérrez et al., 2016).

PVA ha sido reportado especialmente en la región templada causando mosaicos suaves en folíolos de papa, aunque eventualmente puede ocasionar pérdidas en rendimiento que alcanzan hasta el 40% en algunas variedades (Rajamáki et al., 1998). Se ha encontrado que la infección mixta de PVA y PVX induce una enfermedad severa denominada como "potato crinkle", así como también su infección conjunta con PVY causa mosaicos severos en diferentes variedades de papa (Singh et al., 1998). Rajamáki et al. (1998), con base en secuenciación de la región CP, pruebas serológicas y de patogenicidad sobre papa (híbrido A6) confirmaron que el virus del tomate de árbol: tamarillo mosaic virus (TaMV) es realmente una cepa de PVA. A pesar de que la ocurrencia de PVA es definida como esporádica en muchos países, He et al. (2014) reportan a este virus como uno de los más incidentes en cultivos de papa de China; mientras que Singh et al. (1998) indican que en algunas variedades de papa cultivadas en Norteamérica pueden presentarse niveles de incidencia de PVA de entre 9 y 11 %.

Finalmente, el virus WPMV es el menos estudiado de los potyvirus de papa. Su primer registro ocurrió en Perú sobre plantas de papa silvestre (S. chacayense) con síntomas de deformación foliar y mosaicos severos (Jones y Fribourg, 1979) y su identidad como una especie diferente se confirmó por análisis de secuenciación de su genoma completo y por su inhabilidad para infectar variedades cultivadas de S. tuberosum. Sin embargo, su registro por fuera del Perú ha sido sólo ocasional (Spetz et al., 2003).

En Colombia, PVY se ha reportado afectando cultivos de papa (S. tuberosum y S. phureja), específicamente sus cepas PVYN y PVYNTN (Gil et al., 2011; Villamil et al., 2014; Medina et al., 2015; Muñoz et al., 2016a; Muñoz et al., 2016b), además de dos variantes divergentes denominadas como I-Col y IV-Col procedentes de cultivos de papa y de tomate de árbol (Henao et al., 2013). PVV sólo se ha detectado sobre plantas de papa criolla (S. phureja) con síntomas de mosaicos (Gutiérrez et al., 2014; Gutiérrez et al., 2016; Alvarez et al., 2016); y se ha registrado sobre variedades de S. tuberosum en otros sitios como Perú (Spetz et al., 2003), Costa Rica (Vásquez et al., 2006), Estados Unidos (Shiel et al., 2004), Europa (Oruetxebarria et al., 2000; Mortensen et al., 2010) e Irán (Shamsadden-Saeed et al., 2014).

Con el fin de identificar los potyvirus que afectan cultivos de papa (S. tuberosum y S. phureja) en el oriente de Antioquia, una región donde confluye el cultivo de ambas especies, en este trabajo se realizaron pruebas de RT-PCR con cebadores específicos para la región CP de PVY (cepas PVY0, PVYN, PVYNTN), PVV y PVA y confirmación por secuenciación Sanger de los amplicones obtenidos. Ante la detección de tres cepas de PVY en la región bajo estudio, se utilizó el método de secuenciación de nueva generación (NGS) del transcriptoma de un grupo de muestras de tejidos sintomáticos de S. tuberosum cv. Diacol-Capiro, para obtener las secuencias completas de los genomas de dichas cepas.

MATERIALES Y MÉTODOS

Muestras

En cada uno de cuatro lotes de cultivos de S. tuberosum cv. Diacol-Capiro y cuatro lotes de S. phureja cv. Criolla-Colombia ubicados en la subregión del oriente de Antioquia (Colombia) en los municipios de La Unión (05°58׳N y 75°21 ׳W), Marinilla (06°10׳Ny 75°20׳W), Sonsón (05°42׳N y 75°18׳W) y El Peñol (06°53׳N y 75°30׳W) (Tabla 1), se obtuvieron dos muestras compuestas de tejido foliar (diez folíolos/muestra): una con síntomas aparentes de enfermedades virales (p. ej. mosaicos, enrollamiento foliar, deformación de brotes) y otra visualmente asintomática. En las 16 muestras así obtenidas, se procedió a extraer el ARN total utilizando el método del Trizol (Ambion - Thermo Fisher Scientific, Waltham, MA) siguiendo las instrucciones del fabricante.

Tabla 1: Resultados de amplificación por RT-PCR de regiones de la cápside viral de tres potyvirus, en muestras de ARN de tejido foliar de plantas de S. tuberosum y S. phureja procedentes del oriente de Antioquia (Colombia).

PVY PVV PVA
Muestra* Procedencia PVYCP-F/ PVYCP-R PVV Phu_F/ PVV_Phu R PVA-1/PVA-2
S1 S. tuberosum, La Unión POSITIVO NEGATIVO NEGATIVO
A1 S. tuberosum, La Unión POSITIVO NEGATIVO NEGATIVO
S2 S. tuberosum, La Unión POSITIVO NEGATIVO NEGATIVO
A2 S. tuberosum, La Unión POSITIVO NEGATIVO NEGATIVO
S3 S. tuberosum, Marinilla POSITIVO NEGATIVO NEGATIVO
A3 S. tuberosum, Marinilla NEGATIVO NEGATIVO NEGATIVO
S4 S. tuberosum, Sonsón POSITIVO NEGATIVO NEGATIVO
A4 S. tuberosum, Sonsón POSITIVO NEGATIVO NEGATIVO
S5 S. phureja, Sonsón NEGATIVO POSITIVO NEGATIVO
A5 S. phureja, Sonsón NEGATIVO POSITIVO NEGATIVO
S6 S. phureja, Marinilla NEGATIVO POSITIVO NEGATIVO
A6 S. phureja, Marinilla NEGATIVO NEGATIVO NEGATIVO
S7 S. phureja, Marinilla NEGATIVO POSITIVO NEGATIVO
A7 S. phureja, Marinilla NEGATIVO NEGATIVO NEGATIVO
S8 S. phureja, El Peñol NEGATIVO NEGATIVO NEGATIVO
A8 S. phureja, El Peñol NEGATIVO NEGATIVO NEGATIVO

*A: asintomático y S: sintomático. Las muestras S1, S2, S3, y S4 fueron aquellas empleadas para NGS.

Detección de potyvirus por RT-PCR

La síntesis de cDNA se realizó en un volumen de 20 μL utilizando 200 U de la enzima Maxima Reversa Transcriptasa con su respectivo buffer (1X), 0,5 mM de dNTPs, 20 U de inhibidor de RNasas, 20 pmol del primer Oligo-dT (Thermo Fisher Scientific, Waltham, MA) y 50-100 ng de ARN, incubándose a 65 °C por 5 min, 50 °C por 30 min y 85 °C por 5 min. Posteriormente, se prosiguió con las reacciones de PCR utilizando los siguientes cebadores específicos para PVY: PVYCPF (5'ACC ATC AAG SAA ATG ACA CA 3') y PVYCPR (5' CGG AGA GAC ACT ACA TCA CA 3') (Glais et al., 2002); PVV: PVV_phu_F (5' ATG CTG GAA AAG ATC CAG C 3') y PVV_phu_R (5' TGA AAG TGG GCT TTG CG 3') (Alvarez et al., 2016); PVA: PVA-1 (5׳ GGG ATC CGT TAT TCA ACA GGG GAT GTT TTC 3׳) y PVA-2 (5׳ CGT CGA CTT ATC CAA CCC TGT AGT GCT TCA 3׳) (Rajamáki et al., 1998), en un volumen de 25 μL conteniendo 17,8 μL de agua, 1X de buffer de enzima (10X), 1,8 mM de MgCl2, 0,2 mM de dNTPs, 0,2 μM de cada cebador, 1 U de Taq ADN polimerasa (Thermo Fisher Scientific, Waltham, MA) y3μLde ADNc. El programa de amplificación incluyó una desnaturalización inicial de 95 °C por 30 s, 40 ciclos de 95 °C por 30 s, 52 °C por 45 s, 72 °C por 1 min y finalmente una extensión a 72 °C por 5 min. Los resultados de las PCR fueron evaluados por electroforesis de agarosa al 1,8 % utilizando como colorante GelRed 1X (Biotium, EEUU). Cinco de los amplicones del tamaño esperado para cada virus (PVY: 801 pb; PVV: 459 pb, PVA: 1107 pb), fueron purificados directamente del gel usando el kit GeneJET Gel Extraction (Thermo Fisher Scientific, Waltham, MA) para proceder a su secuenciación Sanger en ambos sentidos en la compañía Macrogen (Corea del Sur). Los números de accesión del GenBank obtenidos para estas secuencias corresponden al rango MF176817- MF176825.

Identificación de cepas de PVY

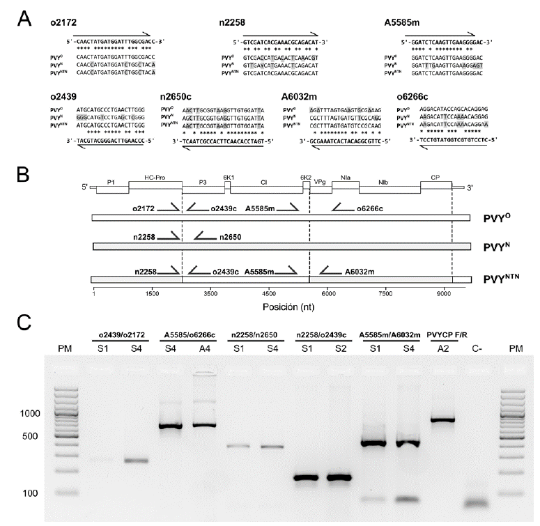
En aquellas muestras que resultaron positivas para PVY, se procedió a la identificación molecular por RT-PCR de las diferentes cepas, utilizando los cebadores específicos diseñados por Lorenzen et al. (2006) para: PVYO (o2172/ o2439 y A5585m/o6266c), PVYN (n2258/n2650c), y PVYNTN (A5585m/ A6032m y n2258/o2439) (Fig. 1A, B). Las condiciones de las reacciones de RT-PCR fueron las mismas descritas anteriormente, pero utilizando temperaturas de anillamiento de cebadores de 54 °C. Dos de los amplicones del tamaño esperado para cada cepa evaluada (PVYO: 267 pb y 689 pb; PVYN 392 pb; PVYNTN: 447 pb y 181 pb), fueron purificados del gel con el kit GeneJET Gel Extraction (Thermo Fisher Scientific, Waltham, MA) y secuenciados en ambas direcciones en la compañía Macrogen (Corea del Sur) para confirmar su identidad.

A) Secuencias de los cebadores utilizados para la identificación de tres cepas de PVY en este trabajo. B) Ubicación de los cebadores en el contexto del genoma de PVY. Las líneas punteadas corresponden a los puntos principales de recombinación identificados en este virus. C) Corrido electroforético de los amplicones obtenidos a partir de reacciones de RT-PCR de diferentes muestras de tejido foliar de papa sintomáticas (S) y asintomáticas (A), utilizando cebadores específicos para diferentes cepas de PVY. PM: Marcador de peso molecular de 100 pb. C-: Control negativo.

Figura 1: A) Secuencias de los cebadores utilizados para la identificación de tres cepas de PVY en este trabajo. B) Ubicación de los cebadores en el contexto del genoma de PVY. Las líneas punteadas corresponden a los puntos principales de recombinación identificados en este virus. C) Corrido electroforético de los amplicones obtenidos a partir de reacciones de RT-PCR de diferentes muestras de tejido foliar de papa sintomáticas (S) y asintomáticas (A), utilizando cebadores específicos para diferentes cepas de PVY. PM: Marcador de peso molecular de 100 pb. C-: Control negativo.

Secuenciación de nueva generación (NGS)

Con el fin de obtener por la metodología de NGS los genomas completos de las cepas de PVY detectadas en este trabajo mediante RT-PCR, se realizó una mezcla de 200 300 ng de ARN total de las cuatro muestras sintomáticas de S. tuberosum. Para esto, se utilizó la plataforma Illumina HiSeq-2500 (Illumina, San Diego, CA), previa degradación del ARN ribosomal con el kit Ribo-Zero rRNA Removal (Illumina, San Diego, CA) y la síntesis de la librería de ADN copia (ADNc) con el kit TruSeq RNA Sample Preparation (Illumina, San Diego, CA). La calidad y cantidad del ARN y ADNc fueron evaluadas utilizando el método del RIN (RNA Integrity Number) en un equipo 2100 Bioanalyzer (Agilent Technologies, Santa Clara, CA). Las lecturas de secuencias (reads) obtenidas presentaron un tamaño de 100 nt.

Análisis bioinformáticos

Una vez obtenidas las secuencias por NGS, se removieron las bases de baja calidad (Phred <30) con el programa SeqTK (GitHub, 2015) y los reads de naturaleza viral fueron identificados por comparaciones utilizando BlastN con respecto a una base de datos local desarrollada por nuestro grupo (Muñoz, 2017) y que contiene todos los genomas de las especies de virus de plantas reportadas por el IX reporte del Comité Internacional de Taxonomía de virus (ICTV) (King et al., 2012). Para este set de datos se procedió al ensamblaje de novo de contigs con Trinity (Grabherr et al., 2011) y los ORF y las proteínas putativas fueron identificadas por comparaciones con respecto a GenBank utilizando BlastN y BlastX, respectivamente (Gish y States, 1993). Para la confirmación de las secuencias de los genomas completos de cada cepa detectada de PVY, se utilizó el programa BWA (Li y Durbin, 2009) que permite mapear los reads virales con respecto a genomas de referencia disponibles en GenBank. La visualización de los mapeos se realizó con el programa Tablet (Milne et al., 2010) y los niveles de profundidad, cobertura y variación interna (sitios polimórficos) de cada genoma fueron determinados con rutinas en Perl escritas por nuestro grupo para este fin (Muñoz, 2017). Las secuencias consenso para cada cepa fueron depositadas en GenBank con los códigos de accesión PVYO: MF176826; PVYN: MF176828 y PVYNTN: MF176827.

Finalmente, se realizó el análisis filogenético para los aislamientos de PVY y PVV, a partir de las secuencias de la región CP obtenidas en este estudio mediante secuenciación Sanger y de otras 31 secuencias reportadas en GenBank para diferentes potyvirus, utilizando el programa MEGA6 (Tamura et al., 2013) por el método de Neighbor-Joining con el modelo de Tamura-3-parámetros y 1000 réplicas de bootstrap. La tasa de variación entre sitios fue modelada con una distribución Gamma (5 categorías, +G = 1.67). Este mismo análisis (+G = 0.55) fue realizado con los genomas completos de las diferentes cepas de PVY detectadas en la secuenciación por NGS, pero en este caso utilizando como base comparación los genomas completos de diferentes variantes del virus disponibles en GenBank y utilizando como grupos externos los genomas de aislamientos de PVV y PVA reportados en varios países del mundo.

RESULTADOS

Detección de potyvirus y cepas de PVY por RT-PCR

En este trabajo, utilizando cebadores específicos dirigidos al gen CP viral, se detectó la presencia de los potyvirus PVY y PVV en muestras de S. tuberosum cv. Diacol-Capiro y de S. phureja cv. Criolla-Colombia, respectivamente. El virus PVA no se encontró en ninguna de las muestras de los dos hospedantes evaluados. La detección de PVY se realizó en todas las muestras sintomáticas de los cuatro lotes de S. tuberosum y en tres de las muestras asintomáticas (A1, A2 y A4), mientras que el PVV se detectó en tres muestras sintomáticas (S5, S6 y S7) de igual número de lotes de S. phureja y en una asintomática (A5) (Tabla 1). Las muestras que resultaron positivas para PVY, fueron también evaluadas para las cepas de PVY utilizando cebadores específicos y RT-PCR (Fig. 1C), encontrándose que en los cultivos de papa Diacol-Capiro del oriente de Antioquia, se presenta la infección de al menos tres cepas de este virus (PVYO, PVYN, PVYNTN); incluso en los cuatro lotes bajo estudio se encontró la infección mixta de dichas cepas, aun cuando se emplearon muestras foliares asintomáticas (p. ej. A2 y A4) (Tabla 2).

Tabla 2: Resultados de amplificación por RT-PCR con cebadores específicos para la identificación de tres cepas de PVY, en muestras de ARN de tejido foliar de plantas de S. tuberosum procedentes del oriente de Antioquia (Colombia).

PVY 0 PVY 0 PVY N PVYNTN PVYNTN
Muestras/Cebadores o2439/o2172 S5585m/ o6266c n2258/n2650c o2439 / n2258 S5585m / A6032m
S1 POSITIVO NEGATIVO POSITIVO POSITIVO POSITIVO
A1 POSITIVO POSITIVO NEGATIVO POSITIVO POSITIVO
S2 NEGATIVO NEGATIVO POSITIVO POSITIVO POSITIVO
A2 POSITIVO NEGATIVO POSITIVO POSITIVO POSITIVO
S3 NEGATIVO NEGATIVO POSITIVO POSITIVO POSITIVO
S4 POSITIVO POSITIVO POSITIVO POSITIVO POSITIVO
A4 POSITIVO POSITIVO POSITIVO POSITIVO POSITIVO

La secuenciación de los amplicones obtenidos para la cápside de ambos potyvirus y para las cepas de PVY, confirmó la validez de las pruebas de RT-PCR realizadas y permitió identificar la relación filogenética de cuatro de los aislamientos de PVY con el clado conformado por las cepas PVYN/NTN, mientras que el otro aislamiento agrupó en el clado que representa la cepa ordinaria (PVYO) (Fig. 2).

Arbol filogenético basado en secuencias parciales de la cápside viral de aislamientos de diferentes potyvirus que infectan cultivos de papa en el mundo. Los números sobre las ramas indican los valores de bootstrap. Las secuencias en negrita corresponden a las obtenidas en el presente estudio en el oriente de Antioquia (Colombia).

Figura 2: Arbol filogenético basado en secuencias parciales de la cápside viral de aislamientos de diferentes potyvirus que infectan cultivos de papa en el mundo. Los números sobre las ramas indican los valores de bootstrap. Las secuencias en negrita corresponden a las obtenidas en el presente estudio en el oriente de Antioquia (Colombia).

Por otra parte, las secuencias obtenidas de cinco aislamientos de PVV, se agruparon en el árbol filogenético en el clado conformado por aislamientos de este virus previamente encontrados infectando cultivos de S. phureja en el oriente de Antioquia (Fig. 2); mientras que las secuencias de referencia obtenidas del GenBank para PVA, se ubicaron en un grupo externo basal con respecto a los dos potyvirus detectados en este trabajo.

Secuenciación de nueva generación (NGS)

Mediante la secuenciación NGS de las muestras foliares de S. tuberosum, se obtuvieron 7.322.107 reads pareados y un total de 1.479.065.614 nt. Los análisis bioinformáticos con respecto a genomas de referencia, permitieron identificar 171.727 reads como asociados al genoma de PVY; adicionalmente se detectaron reads asociados al crinivirus Potato yellow vein virus (PYVV). Los ensamblajes utilizando Trinity resultaron en tres secuencias consenso que representan las tres cepas (PVYO, PVYN, PVYNTN) detectadas de este virus mediante las pruebas de RT-PCR. El genoma de PVYO tiene una extensión de 9.646 nt con regiones 5'y 3'UTR de 136 y 328 nt, respectivamente y un ORF que codifica para una poliproteína de 3.060 a.a. El genoma de PVYN tiene 9.660 nt, un ORF codificante de una poliproteína de 3.061 a.a y regiones 5'y 3'UTR de 178 y 328 nt, respectivamente. Finalmente, el genoma de PVYNTN presentó 9.691 nt, con un ORF que codifica una poliproteína de 3.061 a.a. y regiones UTR 5'y 3'de 148 y 328 nt, respectivamente. Los niveles de profundidad alcanzados para la secuenciación de estos genomas fueron de 514x 1,039x y 1,994x, respectivamente. Los análisis de BlastX permitieron identificar en los tres genomas las proteínas maduras de los potyvirus: P1, proteinasa HC-Pro, P3, PIPO, 6K1, proteína de inclusión cilíndrica (CI), 6K2, proteína de unión al genoma (VPg), proteinasa de inclusión nuclear (NIa-Pro), replicasa viral (NIb) y proteína de la cápside (CP) (Fig. 3). Los análisis de variación entre las secuencias de nucleótidos de los genomas completos indicaron valores de 83,58% (PVYO vs PVYN), 89,01% (PVYO vs PVYNTN) y 90,47 % (PVYN vs PVYNTN) (Fig. 3); mientras que para la secuencia de aminoácidos de la poliproteína dichos valores fueron de 93,37 % (PVYO vs PVYNTN), 92,88% (PVYO vs PVYNTN) y 96,28% (PVYN vs PVYNTN) (Fig. 3). Estos análisis, también confirmaron la naturaleza recombinante de la cepa PVYNTN identificada en este trabajo, al presentar altos niveles de identidad (>98 %) con respecto a PVYO en la porción central del genoma comprendida entre los RJ HC-Pro/P3 y 6K2/VPg, mientras que los extremos del genoma, aunque más variables, se derivan del genoma de PVYN, tal como se observa en el tercer panel de la figura 3.

Niveles de identidad entre las secuencias de los genomas de tres cepas de PVY obtenidos en cultivos de papa en el oriente de Antioquia. Las líneas punteadas corresponden a los puntos principales de recombinación identificados en este virus. En la barra superior se presenta un diagrama del genoma de PVY, indicándose la posición de las regiones codificantes para sus diferentes proteínas.

Figura 3: Niveles de identidad entre las secuencias de los genomas de tres cepas de PVY obtenidos en cultivos de papa en el oriente de Antioquia. Las líneas punteadas corresponden a los puntos principales de recombinación identificados en este virus. En la barra superior se presenta un diagrama del genoma de PVY, indicándose la posición de las regiones codificantes para sus diferentes proteínas.

Finalmente, el análisis filogenético realizado con las secuencias completas de los tres genomas de PVY, separó las tres cepas de este virus en igual número de clados soportados por valores de bootstrap superiores al 98 %, lo que confirma la ocurrencia de dichas variantes en los cultivos de papa del oriente de Antioquia (Fig. 4).

Arbol filogenético basado en secuencias del genoma completo de aislamientos de diferentes potyvirus que infectan cultivos de papa en el mundo. Los números sobre las ramas indican los valores de bootstrap. Las secuencias en negrita corresponden a las obtenidas mediante secuenciación de nueva generación (NGS) en el presente estudio en el oriente de Antioquia (Colombia).

Figura 4: Arbol filogenético basado en secuencias del genoma completo de aislamientos de diferentes potyvirus que infectan cultivos de papa en el mundo. Los números sobre las ramas indican los valores de bootstrap. Las secuencias en negrita corresponden a las obtenidas mediante secuenciación de nueva generación (NGS) en el presente estudio en el oriente de Antioquia (Colombia).

DISCUSIÓN

Los potyvirus son uno de los grupos de virus más limitantes para la producción agrícola de diferentes plantas solanáceas en el mundo, incluyendo papa, tomate, tabaco y pimentón (Blanco-Urgoiti et al., 1998; Kerlan, 2008; King et al., 2012).

En cultivos de papa de todo el mundo, se ha reportado principalmente a las especies de potyvirus PVY, PVV y PVA, como las más prevalentes (Karasev y Gray, 2013; He et al., 2014; Gutiérrez et al., 2016). En este trabajo se evaluó mediante pruebas moleculares de RT-PCR, la presencia de dichos virus en cultivos de papa del oriente de Antioquia, encontrándose la ocurrencia de los virus PVY y PVV, pero no de PVA. De forma interesante, el PVY sólo se detectó en muestras de tejido foliar de plantas de S. tuberosum cv. Diacol-Capiro, pero no en las de S. phureja cv. Criolla-Colombia; mientras que para el PVV ocurrió lo contrario, pues sólo se detectó en papa criolla. Este resultado, representa un hallazgo fundamental para recomendar ajustes en los programas de certificación de tubérculo-semilla en Colombia, pues hasta el momento la normatividad del Instituto Colombiano Agropecuario (ICA) en su Resolución 3168 de 2015, no incluye la infección del virus PVV como un aspecto fitosanitario a ser tenido en cuenta en el esquema de certificación de S.phureja. Este reporte de PVV en papa criolla, confirma los resultados de trabajos recientes realizados en Colombia (Gutiérrez et al., 2014; 2016; Alvarez et al., 2016), en donde se había detectado recurrentemente a este potyvirus en dicho hospedante e incluso, la secuenciación completa de su genoma llevó a plantear la ocurrencia de un linaje filogenético (PVVPhu) hasta ahora sólo detectado en Colombia (Alvarez et al., 2016). De gran interés resultará evaluar en el futuro si la papa criolla es el único hospedante de esta variante y sí su presencia se extiende a otras regiones cultivadoras de Colombia y otros países andinos.

Otro aspecto clave encontrado en este estudio, correspondió a la ocurrencia de al menos tres cepas de PVY (PVYO, PVYN y PVYNTN) afectando los cultivos de papa cv. Diacol-Capiro en el oriente de Antioquia, siendo incluso más llamativo el hecho que un mismo lote de cultivo podría ser coinfectado simultáneamente con cepas de las tres razas, lo que representa un nivel de complejidad hasta ahora no tenido en cuenta en el diseño de los programas de manejo integrado de enfermedades virales en este cultivo en Colombia; pues se han demostrado en diferentes trabajos, las diferencias en virulencia, tasas de transmisión por vectores, síntomas inducidos y hospedantes alternos que presentan dichas cepas (Lorenzen et al., 2008; Singh et al., 2008; Fageria et al., 2013; Karasev y Gray, 2013; Kehoe y Jones, 2016). Adicionalmente, la secuenciación completa del genoma de PVYO aquí realizada, corresponde al primer reporte de este tipo en Colombia, y confirma un resultado previo obtenido por Muñoz et al. (2016b), en el que se registró la presencia de esta cepa en cultivos de papa de La Unión (Antioquia), pero en ese caso sólo utilizando secuencias de una porción de CP. El PVY es considerado uno de los virus responsables del proceso de degeneración de los tubérculos utilizados como semilla vegetativa para establecer los cultivos de papa, pues en diversos trabajos experimentales en los que se emplearon tubérculos-semilla infectados por este virus, se encontraron reducciones en los rendimientos en el rango del 29 al 85 % (Thomas-Sharma et al., 2016), y por tanto la certificación de semilla de papa por su sanidad viral, debería ser un aspecto central para el manejo de este virus en Colombia.

Por otra parte, los análisis de identidad genética utilizando los genomas completos obtenidos por NGS, confirmaron la presencia de variantes recombinantes de la cepa PVYNTN en esta subregión de Antioquia, y las pruebas de RT-PCR con cebadores específicos dirigidos a las regiones RJ indicaron la ocurrencia de esta cepa en todas las muestras en las que se detectó infección por PVY, lo que puede ser un indicativo de altos niveles de prevalencia de PVYNTN en los cultivos de papa cv. Diacol-Capiro del país. Ya que en diferentes estudios (Shubert et al., 2006; Quenouille et al., 2013; Kehoe y Jones, 2016) se ha asociado la infección por dicha cepa con la enfermedad denominada PTNRD que afecta la calidad de los tubérculos, tanto para su comercialización como para su utilización como semilla asexual, de gran interés resultará adelantar trabajos que evalúen sí este efecto se presenta en las variedades de papa locales que se cultivan en el país; pues aunque es frecuente la observación de síntomas necróticos en éstos, usualmente se asocian a otras causas como problemas micóticos y bacteriales, daños por polillas o incluso a diversos factores abióticos.

En un trabajo previo realizado por Gil et al. (2011), en el que se evaluó la presencia de potyvirus en diez zonas de cultivo de papa de cuatro departamentos del país (Antioquia, Boyacá, Cundinamarca y Nariño) se encontraron altos niveles de incidencia de potyvirus, con un promedio del 72 %, y un rango del 56 % al 80 %; siendo del 75 % para el oriente de Antioquia, lo que para ese momento indicaba la necesidad de fortalecer los programas de manejo de estos estos virus en esta y otras regiones del país. Dichos resultados son actualizados seis años después para la subregión del oriente de Antioquia en el presente estudio, detectando el PVY en siete de ocho (87,5 %) grupos de muestras foliares de papa cv. Diacol-Capiro. Por esto, no se aprecian avances en el manejo de este virus, al menos para esta subregión, y por tanto nuevamente resulta prioritario para la agroindustria de producción de papa del país, implementar medidas que disminuyan la prevalencia de potyvirus, incluyendo la sanidad viral de los materiales élite y super-élite que dan inicio al programa de certificación de tubérculos-semilla.; así como también la detección temprana de focos de infección viral en los cultivos, el manejo técnico de las poblaciones de áfidos y el control de plantas voluntarias y arvenses que sirven de reservorios de estos virus entre períodos de siembra. El empleo de estas medidas deberá apoyarse en la utilización de pruebas moleculares de detección asintomática de virus, altamente sensibles y específicas como la RT-PCR convencional y en tiempo real (Medina et al., 2015; Alvarez et al., 2016), y ser complementadas con evaluaciones de las cepas prevalentes en cada región, utilizando cebadores específicos, como los validados en el presente estudio. De esta forma, será posible predecir y tomar acciones preventivas, con base en la(s) cepa(s) de PVY prevalente(s) en cada región, pues su presencia afecta diferentes aspectos fitopatológicos como por ejemplo la sintomatología en campo, el potencial de pérdidas económicas o la afectación en la calidad de los tubérculos.

CONCLUSIONES

En este trabajo utilizando pruebas de RT-PCR con cebadores específicos, se detectó la infección de los potyvirus PVY y PVV en tejido foliar de plantas de S. tubersoum cv. Diacol-Capiro y S. phureja cv. Criolla-Colombia, respectivamente, procedentes de diferentes lotes de cultivo del oriente de Antioquia. Se evidenciaron altos niveles de infección de dichos virus, pues el PVY se encontró en siete de los ocho grupos de muestras de papa cv. Diacol-Capiro evaluadas, mientras que el PVV se detectó en tres de los cuatro lotes de papa cv Criolla-Colombia. Las muestras que resultaron positivas para PVY, también fueron empleadas para determinar las cepas del virus utilizando cebadores específicos dirigidos a los sitios más frecuentes de recombinación (RJ) identificados en este virus, encontrándose la infección mixta de PVYO, PVYN, PVYNTN, en esta región de cultivo.

Utilizando la metodología molecular de secuenciación de nueva generación (NGS), fue posible obtener las secuencias completas de los genomas de las tres cepas de PVY identificadas mediante RT-PCR, con genomas de 9.646, 9.660 y 9.691 nt de longitud y una poliproteína de 3.060, 3.061 y 3.061 a.a para las cepas PVYO, PVYN, PVYNTN, respectivamente. Los análisis de identidad revelaron altos niveles de variación entre los genomas de dichas cepas, lo que se ha relacionado en la literatura con diferencias en las infecciones causadas por las cepas de PVY con respecto a su virulencia, eficiencia de transmisión por vectores, hospedantes alternos y en la sintomatología que inducen sobre sus hospedantes vegetales.

Acknowledgements

AGRADECIMIENTOS

Este trabajo fue financiado por la Vicerrectoría de Investigaciones de la Universidad Nacional de Colombia (Proyecto 34585).

REFERENCIAS

  1. Alvarez D, Gutiérrez P, Marín M. Caracterización molecular del Potato virus V (PVV) infectando Solanum phureja mediante secuenciación de nueva generación. Acta biol Colomb. 2016;21(3):521-531. Doi:10.15446/abc.v21n3.54712 [DOI] 🠔
  2. Blanco-Urgoiti B, Sánchez F, Pérez de San Roman C, Dopazo J, Ponz F. Potato virus Y group C isolates are a homogenous pathotype but two different genetic strains. J Gen Virol. 1998;79(8):2037-2042. Doi:10.1099/0022-1317-79-8-2037 [DOI] 🠔
  3. Chung BY, Miller WA, Atkins JF, Firth AE. An overlapping essential gene in the Potyviridae. Proc Natl Acad Sci USA. 2008;105(15):5897-5902. Doi:10.1073/pnas.0800468105 [DOI] 🠔
  4. Dougherty WG, Carrington JC. Expression and function of potyviral gene products. Annu Rev Phytopathol. 1998;26(1):123-143. Doi:10.1146/annurev.py.26.090188.001011 [DOI] 🠔
  5. Fageria MS, Singh M, Nanayakkara U, Pelletier Y, Nie X, Wattie D. Monitoring current-season spread of Potato virus Y in potato fields using ELISA and real-time RT-PCR. Plant Dis. 2013;97(5):641-644. Doi:10.1094/PDIS-03-12-0283-RE [DOI] 🠔
  6. Gil JF, Cotes JM, Marín M. Incidencia de potyvirus y caracterización molecular de PVY en regiones productoras de papa (Solanum tuberosum L.) de Colombia. Rev Col Biotecnol. 2011;13(1):85-93. 🠔
  7. Gish W, States DJ. Identification of protein coding regions by database similarity search. Nature Genet. 1993;3:266-272. Doi:10.1038/ng0393-266 [DOI] 🠔
  8. GitHub. Seqtk. Available in: Available in: http://github.com/lh3/seqtk . Cited: 10 Febrero 2017. [URL] 🠔
  9. Glais L, Tribodet M, Kerlan C. Genomic variability in Potato potyvirus Y (PVY): evidence that PVYNW and PVYNTN variants are single to multiple recombinants between PVYO and PVYN isolates. Arch Virol. 2002;147(2):363-378. Doi:10.1007/s705-002-8325-0 [DOI] 🠔
  10. Grabherr MG, Haas BJ, Yassour M, Levin JZ, Thompson DA, Amit I, et al. Full-length transcriptome assembly from RNA-seq data without a reference genome. Nat Biotechnol. 2011;29(7):644-652. Doi:10.1038/nbt.1883 [DOI] 🠔
  11. Gutiérrez PA, Alzate JF, Marín M. Caracterización del viroma de ARN de tejido radical de Solanum phureja mediante pirosecuenciación 454 GS-FLX. Bioagro; 2014;26(2):89-98. 🠔
  12. Gutiérrez P, Jaramillo-Mesa H, Marín-Montoya M. Genome sequence of a divergent Colombian isolate of Potato virus V (PVV) infecting Solanum phureja. Acta Virol. 2016;60(1):49-54. Doi:10.4149/av_2016_01_49 [DOI] 🠔
  13. He C, Zhang W, Hu X, Singh M, Xiong X, Nie X. Molecular characterization of a Chinese isolate of Potato virus A (PVA) and evidence of a genome recombination event between PVA variants at the 3'-proximal end of the genome. Arch Virol. 2014;159(9):2457-2462. Doi:10.1007/s00705-014-2053-z [DOI] 🠔
  14. Henao E, Gutiérrez P, Marín M. Análisis filogenético de aislamientos del Potato virus Y (PVY) obtenidos en cultivos de papa (Solanum tuberosum) y tomate de árbol (Solanum betaceum) en Colombia. Actual Biol. 2013;35(99):219-232. 🠔
  15. Hull R. Plant Virology (Fifth Edition). Boston: Academic Press; 2014. p. 1118. 🠔
  16. Jones RAC, Fribourg CE. Host Plant Reactions, Some Properties, and Serology of Wild Potato Mosaic Virus. Phytopathology. 1979;69(5):446-449. 🠔
  17. Jones RAC, Fuller NJ. Incidence of Potato virus Vin potato stocks in England and Wales. Plant Pathol. 1984;33(4):595-597. Doi:10.1111/j.1365-3059.1984.tb02885.x [DOI] 🠔
  18. Karasev AV, Gray SM. Continuous and emerging challenges of Potato virus Y in potato. Annu Rev Phytopathol. 2013;51 (1):571-586. Doi: 10.1146/annurev-phyto-082712-102332 [DOI] 🠔
  19. Kehoe MA, Jones RAC. Improving Potato virus Y strain nomenclature: lessons from comparing isolates obtained over a 73-year period. Plant Pathol. 2016; 65(2):322-333. Doi:10.1111/ppa.12404 [DOI] 🠔
  20. Kerlan C. Potato viruses. In: Mahy BW, van Regenmortel MH, editores. Desk encyclopedia of plant and fungal virology. Oxford: Academic Press; 2008. p. 458-471. 🠔
  21. King AMQ, Adams MJ, Carstens EB, Lefkowitz EJ, editors. Virus taxonomy: classification and nomenclature of viruses. Ninth Report of the International Committee on Taxonomy of Viruses. San Diego: Elsevier-Academic Press; 2012. p. 1327. 🠔
  22. Li H, Durbin R. Fast and accurate short read alignment with Burrows-Wheeler Transform. Bioinformatics. 2009;25(14):1754-1760. Doi: 10.1093/bioinformatics/btp324 [DOI] 🠔
  23. Lorenzen JH, Piche LM, Gudmestad NC, Meacham T, Shiel P. A multiplex PCR assay to characterize Potato virus Y isolates and identify strain mixtures. Plant Dis. 2006;90(7):935-940. Doi:10.1094/PD-90-0935 [DOI] 🠔
  24. Lorenzen J, Nolte P, Martin D, Pasche JS, Gudmestad NC. NE-11 represents a new strain variant class of Potato virus Y. Arch Virol. 2008;153(3):517-25. Doi:10.1007/s00705-007-0030-5 [DOI] 🠔
  25. Marín M, Gutiérrez P. Principios de virología molecular de plantas tropicales. Mosquera: Corpoica; 2016. p. 308. 🠔
  26. Medina HC, Gutiérrez PA, Marín M. Detección del Potato virus Y (PVY) en tubérculos de papa mediante TAS ELISA y qRT-PCR en Antioquia (Colombia). Bioagro. 2015;27:83-92. 🠔
  27. Milne I, Bayer M, Cardle L, Shaw P, Stephen G, Wright F, et al. Tablet-next generation sequence assembly visualization. Bioinformatics. 2010;26(3):401-402. Doi:10.1093/bioinformatics/btp666 [DOI] 🠔
  28. Mortensen RJ, Shen X, Reid A, Mulholland V. Characterization of viruses infecting potato plants from a single location in Shetland, an isolated Scottish archipelago. J Phytopathol. 2010;158(9):633-640. Doi: 10.1111/j.1439-0434.2010.01672.x [DOI] 🠔
  29. Muñoz L. Desarrollo de una plataforma bioinformática para la detección y caracterización de virus de plantas a partir de datos de secuenciación de nueva generación (tesis de maestría). Medellín: Posgrado en Biotecnología, Universidad Nacional de Colombia; 2017. 199 p. 🠔
  30. Muñoz D, Gutiérrez P, Marín M. Detección y caracterización molecular del Potato virus Y (PVY) en cultivos de papa (Solanum tuberosum L.) del norte de Antioquia, Colombia. Rev Prot Veg. 2016a;31(1):1-11. 🠔
  31. Muñoz D, Gutiérrez P, Marín M. Detection and genome characterization of Potato virus Y isolates infecting potato (Solanum tuberosum L.) in La Union (Antioquia, Colombia). Agron Colomb. 2016b;34(3):317-328. Doi:10.15446/agron.colomb.v34n3.59014 [DOI] 🠔
  32. Nolte P, Whitworth JL, Thornton MK, McIntosh CS. Effect of seedborne Potato virus Y on performance of Russet Burbank, Russet Norkotah, and Shepody potato. Plant Dis. 2004;88(3):248-252. Doi:10.1094/PDIS.2004.88.3.248 [DOI] 🠔
  33. Oruetxebarria I, Kekarainen T, Spetz C, Valkonen JPT. Molecular characterization of Potato virus V genomes from Europe indicates limited spatiotemporal strain differentiation. Phytopathology. 2000;90(4):437-444. Doi: 10.1094/PHYTO.2000.90.4.437 [DOI] 🠔
  34. Quenouille J, Vassilakosa N, Moury B. Potato virus Y: a major crop pathogen that has provided major insights into the evolution of viral pathogenicity. Mol Plant Pathol. 2013;14(5):439-452. Doi:10.1111/mpp.12024 [DOI] 🠔
  35. Rajamáki M, Merits A, Rabenstein F, Andrejeva J, Paulin L, Kekarainen T, Kreuze JF, Forster RLS, Valkonen JPT. Biological, serological, and molecular differences among isolates of potato A potyvirus. Phytopathology. 1998;88(4):311-321. Doi:10.1094/PHYTO.1998.88.4.311 [DOI] 🠔
  36. Revers F, García JA. Molecular biology of potyviruses. Adv Virus Res. 2015;92:101-199. Doi:10.1016/bs.aivir.2014.11.006 [DOI] 🠔
  37. Salazar LF. Potato viruses and their control. Lima: International Potato Center; 1996. p. 214. 🠔
  38. Shamsadden-Saeed F, Massumi H, Moradi S, Maddahian M, Heydarnejad J, Pour AH, Varsani A. Incidence and characterization of Potato virus Vinfections in Iran. Virus Dis. 2014; 25(1):78-84. Doi: 10.1007/s13337-013-0178-4 [DOI] 🠔
  39. Shiel PJ, Miller L, Slack SA, Berger PH. Isolation and partial nucleic acid characterization of a new isolate of Potato virus V with distinct biological and serological properties. Plant Dis. 2004;88(4):368-372. Doi: 10.1094/PDIS.2004.88.4.368. [DOI] 🠔
  40. Singh RP, Valkonen JPT, Gray SM, Boonham N, Jones RAC, Kerlan C, Schubert J. Brief review: The naming of Potato virus Y strains infecting potato. Arch Virol. 2008;153(1):1-13. Doi: 10.1007/s00705-007-1059-1 [DOI] 🠔
  41. Spetz C, Taboada AM, Darwich S, Ramsell J, Salazar LF, Valkonen JP. Molecular resolution of a complex of potyviruses infecting solanaceous crops at the centre of origin in Peru. J Gen Virol. 2003;84(9):2565-2578. Doi: 10.1099/vir.0.19208-0 [DOI] 🠔
  42. Tamura K, Stecher G, Peterson D, Filipski A, Kumar S. MEGA6: Molecular evolutionary genetics analysis. Mol Biol Evol. 2013;30(12):2725-2729. Doi:10.1093/molbev/mst197 [DOI] 🠔
  43. Thomas-Sharma S, Abdurahman A, Ali S, Andrade-Piedra JL, Bao S, Charkowski AO, et al. Seed degeneration in potato: the need for an integrated seed health strategy to mitigate the problem in developing countries. Plant Pathol. 2016;65(1):3-16. Doi:10.1111/ppa.12439 [DOI] 🠔
  44. Untiveros M, Olspert A, Artola K, Firth AE, Kreuze JF, Valkonen JPT. A novel sweet potato potyvirus open reading frame (ORF) is expressed via polymerase slippage and suppresses RNA silencing. Mol Plant Pathol. 2016;17(7):1111-1123. Doi:10.1111/mpp.12366 [DOI] 🠔
  45. Vásquez V, Montero-Astúa M, Rivera C. Incidencia y distribución altitudinal de 13 virus en cultivos de Solanum tuberosum (Solanaceae) en Costa Rica. Rev Biol Trop. 2006;54:1135-1141. 🠔
  46. Villamil-Garzón A, Cuellar WJ, Guzmán-Barney M. Natural co-infection of Solanum tuberosum crops by the Potato yellow vein virus and potyvirus in Colombia. Agron Colomb. 2014;32(2):213-223. Doi: 10.15446/agron.colomb.v32n2.43968 [DOI] 🠔
Leonardo Galindo.
Riascos Chica M, Gutiérrez Sánchez PA, Marín Montoya MA. Identificación molecular de potyvirus infectando cultivos de papa en el oriente de Antioquia (Colombia). Acta biol. Colomb. 2018;23(1):39-50. DOI: http://dx.doi.org/10.15446/abc.v23n1.65683
Los autores declaran que no existen conflictos de intereses.