Case reports
2462-8522
Universidad Nacional de Colombia
https://doi.org/10.15446/cr.v4n1.61288

Recibido: 27 de noviembre de 2016; Aceptado: 28 de mayo de 2017

FEBRILE INFECTION-RELATED EPILEPSY SYNDROME (FIRES), A POSSIBLE CAUSE OF SUPER-REFRACTORY STATUS EPILEPTICUS. CASE REPORT.

A. Aponte-Puerto, a*J. Rozo-Osorio, aJ. Guzmán-Porras, aÁ. Patiño-Moncayo, aJ. Amórtegui-Beltrán, bA. Uscátegui-Daccarett, c

Medicine Program - Faculty of Medicine -Universidad Nacional de Colombia Bogotá - Colombia Neuropedunal Research Group - Faculty of Medicine -Universidad Nacional de Colombia -Bogotá D.C - Colombia. Universidad Nacional de Colombia Faculty of Medicine Universidad Nacional de Colombia Bogotá D.C Colombia
Medicine Program - Faculty of Medicine Universidad Nacional de Colombia Bogotá - Colombia Universidad Nacional de Colombia Faculty of Medicine Universidad Nacional de Colombia Bogotá Colombia
Department of Pediatrics - Faculty of Medicine -Universidad Nacional de Colombia - Bogotá D.C. - Colombia. Neuropedunal Research Group - Faculty of Medicine -Universidad Nacional de Colombia -Bogotá D.C - Colombia. Universidad Nacional de Colombia Department of Pediatrics Faculty of Medicine Universidad Nacional de Colombia Bogotá D.C Colombia

Corresponding author: Arbey Aponte-Puerto. Faculty of Medicine - Universidad Nacional de Colombia - Bogotá D.C. - Colombia Email: arapontepu@unal.edu.co

ABSTRACT

Introduction:

Super-refractory status epilepticus (SRSE) is a pathology that affects the neuronal environment depending on the types of seizure and their duration.

Case presentation.

This paper presents the case of a 7-year old child presenting with super-refractory status epilepticus and multifocal seizures. Metabolic, structural, infectious, toxicological and autoimmune causes were discarded, while different anticonvulsive agents were administered without any clinical improvement; seizures were controlled 6 weeks after admission to ICU. A 12-year follow-up was performed, during which time the patient presented recurrent status epilepticus with autonomic seizures and progressive cognitive decline.

Discussion:

This type of status epilepticus is part of the syndrome known as Febrile Infection-Related Epilepsy Syndrome (FIRES), a possibly autoimmune form of epileptic encephalopathy that is refractory to acute and chronic management. There is no report in the literature that includes long term follow-up, therefore, there is no actual consensus about the appropriate management of the chronic phase of the disease.

Conclusion:

FIRES must be considered as one of the possible etiologies of super-refractory status epilepticus, so early management strategies (like ketogenic diet) can be used in order to achieve control of the critically ill patient, control long term seizures and improve cognitive outcomes, having as the final result a positive impact on the quality of life of the patient.

Keywords:

Epilepsy, Refractory Epilepsy, Child, Polytherapy, Fever.+.

RESUMEN

Introducción:

El estado epiléptico superrefractario (EES) es una patología con importante morbimortalidad que afecta el ambiente neuronal según el tipo y duración de las crisis.

Presentación del caso:

Se presenta el caso de un escolar con estado epiléptico superrefractario y crisis multifocales. Se descartaron causas metabólicas, estructurales, infecciosas, toxicológicas y autoinmunes y se utilizaron diferentes manejos anticonvulsivantes sin respuesta, lográndose control de las crisis 6 semanas después del ingreso a UCI. Se realizó un seguimiento de 12 años, periodo en el que el paciente presentó múltiples recaídas del estado epiléptico asociadas a la presencia de epilepsia refractaria con múltiples tipos de crisis, en su mayoría vegetativas; además se dio involución cognitiva.

Discusión:

Esta forma de estado epiléptico corresponde al síndrome de estado epiléptico facilitado por fiebre (FIRES), entidad de posible origen inmunológico conocida por ser refractaria al tratamiento agudo y al manejo crónico de la epilepsia y que se presenta como secuela. Su evolución no se ha descrito a largo plazo y por tanto no hay consenso sobre el manejo en la fase crónica.

Conclusión:

Es importante considerar esta etiología en estado epiléptico superrefractario para utilizar de forma temprana diferentes estrategias terapéuticas, como la dieta cetogénica, que permitan, por un lado, controlar su condición crítica y las crisis epilépticas a largo plazo y, por el otro, mejorar el pronóstico cognitivo, logrando así un impacto en la calidad de vida.

Palabras clave:

Epilepsia, Epilepsia refractaria, Niño, Polifarmacia, Estado epiléptico, Fiebre.

INTRODUCTION

Super-refractory status epilepticus (SRSE) is a pathology, with significant morbidity and mortality rates 1, that affects the neuronal environment depending on the types of seizure and their duration 2. Generally, its causes are divided into genetic and symptomatic status epilepticus (SE); the latter, in turn, is divided into acute and remote and may be caused by structural alterations or metabolic or immunological disorders. The last category includes Febrile Infection-Related Epilepsy Syndrome (FIRES), an encephalopathy characterized by multifocal and refractory SE that occurs in previously healthy children or adolescents.

The onset of SRSE is acute and, despite a usual history of febrile symptoms, the cerebrospinal fluid (CSF) does not present alterations or infectious focus documented frequently 3. Initially, isolated seizures, which quickly evolve to SE, may be observed 4. This paper presents a FIRES case that describes the diagnostic and therapeutic challenges posed by this condition, as well as its management difficulties in the long-term and its consequences on quality of life.

CASE PRESENTATION

7-year-old male patient from Bogotá, Colombia, without relevant family, psychosocial, prenatal or perinatal or pathological history and normal neurodevelopment. The child consulted due to severe headache of 8 days of evolution after a febrile episode managed with cephalexin, considering suspicion of unconfirmed sinusitis. Subsequently, seizures appeared in the following 48 hours, characterized by cephalic and labial version to the left and clonic generalization lasting 1-2 minutes. The seizures became more frequent until consciousness deteriorated and motor status epilepticus appeared. In consequence, management with barbiturate coma was initiated in the ICU, where multifocal clonic and myoclonic seizures continued. Different anticonvulsant treatments were used for 6 weeks: thiopental sodium, lidocaine, propofol, midazolam, valproic acid, topiramate, carbamazepine, phenytoin and clonazepam; the last 6 antiepileptic drugs were used simultaneously and at maximum recommended doses, achieving a poor initial response, but eventually leading to total crisis control.

Possible infectious, inflammatory, metabolic, autoimmune and toxicological etiologies were discarded, while initial neuroimages did not show any alteration (Table 1).

Table 1: Paraclinical tests of the patient

CMV: cytomegalovirus; ADA: adenosine deaminase; anti-TPO: anti thyroid peroxidase antibody; Anti-Sm: anti-Smith antibody; anti-RNP: anti-ribonucleoprotein antibody; ANAs: antinuclear antibodies; RF: rheumatoid factor; TCA: tricyclic antidepressants.

Source: Own elaboration based on the data obtained in the study.

After the initial symptoms resolved, the patient developed a focal drug-resistant epilepsy, with recurrent status epilepticus. Currently, after a 12-year follow-up and treatment with oxcarbazepine, phenobarbital, valproic acid, topiramate, levetiracetam and clobazam in different associations and at maximum tolerated doses, the patient presented with focal ictal frequency of 2 to 3 events per week and altered consciousness. Many of these episodes were associated with bradycardia, decline in oxygen saturation and a monthly event with tonic-clonic generalization, as well as moderate cognitive deficit.

At the time of the case analysis, lacos-amide was added to the topiramate, clobazam and levetiracetam scheme in association with immunoglobulin, which was administered for 6 months, and a low glycemic ketogenic diet (KD). This scheme did not help to decrease ictal frequency, but his relatives reported cognitive improvement with the use of KD.

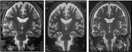
Cerebral nuclear magnetic resonance (NMR) showed generalized cortical atrophy and bilateral hippocampal atrophy (Figure 1), while electroencephalogram revealed independent bilateral temporal ictal activity, frequently associated with bradycardia and hypoxemia (Figure 2).

Simple cerebral magnetic resonance, T2 sequence. From left to right: 2008 (11 years old), 2011 (14 years old), 2016 (19 years old).

Figure 1: Simple cerebral magnetic resonance, T2 sequence. From left to right: 2008 (11 years old), 2011 (14 years old), 2016 (19 years old).

Source: Own elaboration based on the data obtained in the study.

Electroencephalogram that reflects temporary, bilateral and independent epileptiform activity in the interjetai sleep records. November 2015.

Figure 2: Electroencephalogram that reflects temporary, bilateral and independent epileptiform activity in the interjetai sleep records. November 2015.

Source: Patient's studies. Image edited by the authors.

DISCUSSION

Etiology

The temporary correlation between fever and the onset of SE has led to consider an autoimmune origin for this syndrome, although current evidence does not confirm this suspicion.

In autoimmune epilepsies, epileptic seizures relate to the production of autoantibodies against central nervous system (CNS) molecules, which is confirmed when some patients respond to immunomodulatory therapy 5,6 and when some autoimmune diseases have a higher crisis incidence 7.

Innate and adaptive immunity has been observed in patients with autoimmune epilepsies, which increases inflammatory mediators, macrophages and neutrophils, activating glial cells and stimulating neuronal death. Mediators seem to act as excitatory agonists, generating a postictal state 4,8-11. Autoanti-bodies have been proposed as the etiology of FIRES, without finding a direct causal association in all cases or being clear whether autoimmune inflammatory processes arise first or if inflammatory activity is the result of the epileptic event 3,11. However, evidence does not support this hypothesis completely given the variability of antineuronal antibody findings in FIRES patients and inconstant response to immunotherapy 12.

Likewise, FIRES is associated with monogenic mutations in PCDH19, SNC1A and POLG1, which are in turn associated with epileptic encephalopathies of similar characteristics: temporary association to infection, rapid onset of refractoriness, absence of encephalitis, and cognitive impairment markers in previously healthy patients 13-15. The presence of prolonged SE can be related to mitochondrial disorders etiologies and affect the reserve of energy and, therefore, neuronal function 11,16.

Autoimmunity plays an important role in epileptic disorders unrelated to infection or neoplasms 10,17 and in refractory epileptic encephalopathies with inconsistent findings of antibodies against neural surface antigens (antibodies anti-NMDA, anti-VGKC and anti-GAD) 3,4,10,11,18,19. The presence of antibodies and an excessive inflammatory response could justify the use of immunotherapy as a treatment for FIRES 3,16.

VKKL-ab, anti-GAD and GluR3 autoanti-bodies and oligoclonal bands in CSF are observed in a third of the patients 4. However, the reason for their presence, as well as their consequences and correlation with the phenotypic variants of FIRES, is unknown.

Manifestations and clinical course

FIRES usually develops in children under 15 years of age, who have fever between 2 and 1 4 days before the onset of symptoms, with a male-female ratio of 4:3. The febrile syndrome is attributed, mostly, to infections of the upper respiratory tract (more than 50%) and, in a smaller proportion, to gastroenteritis 4,20. Once epileptic seizures appear, a SE is established and then an SRSE-like behavior is observed; this SE usually lasts from 1 to 1 2 weeks 4. The seizures type at the beginning of the disease are mainly focal-motor, with clonic manifestations or segmental myoclonus that can compromise the face and other body segments 21,22, sometimes reaching up to 100 daily crises 23 (Figure 3).

Natural history of the febrile infection-related epilepsy syndrome.

Figure 3: Natural history of the febrile infection-related epilepsy syndrome.

Source: Own elaboration based on Baalen et al24.

Except for the presence of burst suppression in barbiturate coma, EEG shows multi focal activity with greater involvement of the temporal and frontal lobes 4.

SRSE control in this patient may be related to the natural course of the disease and not to the pharmacological interventions.

With respect to neuroimaging, the variations observed in the MRI range between normal findings and different degrees of atrophy and hyperintensities in the temporal lobe, mainly in the hippocampal region 12,25,26, as well as in the insula and basal ganglia 11, perhaps secondary to prolonged neuronal activation 4.

Treatment of FIRES

Most of the medications indicated for this emergency, and even other non-usual medications such as carbamazepine or topiramate, have not shown a good response in the acute phase during status epilepticus 4,22,27,28. During this phase, barbiturates can be useful at high doses, achieving up to 50% of crisis control transiently; however, there are SE recurrences 27,29.

Other series 19,30 show that levetiracetam at regular doses for status epilepticus management could have a good response to control seizures in about half of FIRES patients. However, data are contradicted in another series of 12 patients 27, where control was not achieved with this medication. This treatment is effective in the long term to reduce seizures in more than 75% of patients at doses between 750 mg/d and 1500 mg/d, although adverse effects such as aggressiveness or impulsivity are frequent 31.

Immunomodulation

Plasmapheresis tests have been performed without obtaining a response; adrenocorticotropic hormone (ACTH), intravenous immunoglobulin (IVIG), and other steroids have shown responses in less than 5% of patients. There is no standardized scheme for the use of immunoglobulin in status epilepticus, so different treatment schemes have been used in these patients. In some cases 1.2 g IVIG were administered every 10 and 14 days, in others it was administered every 21 days for 4, 6 and 8 months or was used at a dose of 30 mg/Kg/day over 5 days, followed by 1 mg/kg/day; however, the dose used in many of the reports is not clear 4,22,26,27,28.

Ketogenic diet

Different series of FIRES patients have described the use of KD, finding a good response in terms of crisis control, thus turning this option into a promising therapy. A smaller proportion of patients did not respond and others presented recurrence when suspending it 21,26,27,32-34.

Mikaeloff et al.21 used KD in two FIRES patients; one of them had more than 100 seizures per day and achieved cessation of epileptic activity two days after initiating the treatment 21.

The use of KD in a study of 9 patients showed that 8 of them achieved ketonuria 2 to 4 days after initiating the diet, while seizures stopped in 7 of them 2 to 4 days after achieving ketonuria. Patients who responded to the treatment regained consciousness 24-58 hours after the cessation of seizures and motor functions in the following weeks. In one patient, KD was interrupted abruptly, which made the status recurrent in a short period of time and caused death 10 days later 33.

Vaccarezza et al.34 reported the use of KD in three patients with possible FIRES who presented SE of 52, 30 and 18 days of evolution, in whom SE stopped after 24 hours in the first two cases, and after 3 days in the last. After establishing KD, the first patient remained free of crisis, the second had ten partial seizures per month and the third had a crisis per month, evidencing a good response to this therapeutic measure.

During the chronic phase, one study assessed six patients treated with KD for a period between 6 months and 2 years, with a marked decrease in the frequency of seizures and recurring once or twice a week 33.

Other therapies

During the acute phase, no response has been obtained with medications such as lacos-amide, lidocaine, ketamine, verapamil, magnesium, vitamin B6, folic acid, biotin, paraldehyde or dextromethorphan 4,35. However, hypothermia has reported an acceptable response and fewer sequelae 36. Electroconvulsive therapy (ECT), as described by Mirás-Veiga et al.37 in one patient, also showed a decreased epileptiform activity.

IVIG has not shown good results during the chronic phase of FIRES, so other treatments such as surgical management have been included, with 50% reduction of seizures 27.

In the Howell series, six patients who overcame the acute phase of FIRES presented with drug-resistant epilepsy. The vagus nerve stimulator was used in two patients, obtaining a reduction of 30-40% of seizures; one was treated with immunotherapy, without obtaining a good response 18.

PROGNOSIS

A third of patients die, usually, 4-8 months after the acute phase or suffer from refractory epilepsy and intellectual disability 3,4,21,31; only a few survive the episode without any neurological sequelae 21,31,32,38,39. Of 68 patients followed in the series published by Kramer et al.4, 12 (18%) developed attention deficit or learning problems, 11 (16%) borderline cognition, 26 (38%) mild-moderate intellectual disability and 11 (16%) were in a vegetative state; some presented secondary peripheral neuropathy and ataxia.

Only KD, even used tardily, has shown efficacy in at least 50% of patients. The crises decrease during the following weeks or months, but patients remain with a cognitive deficit.

Regarding cognitive evolution, a follow-up report of two patients with FIRES treated with multiple medications showed emotional lability and significant alteration of memory, including working memory, evocation of words and auditory verbal narrations, as well as tangentiality during conversations and phonetic and verbal fluency alterations 12.

The use of barbiturates during the acute phase is significantly related to cognitive sequelae in memory, expressive language or executive function, as well as motor disability 3,31,36. About 15% of patients have a good evolution in the medium term even though FIRES is considered a "catastrophic syndrome" 4.

Early suspicion of this etiology, considering the absence of efficient diagnostic tests, may favor the timely establishment of KD, which shows the best results. Perhaps, the rapid control of crisis and the lower frequency of complications in the acute phase favor a better prognosis for the patient in the long term.

REFERENCES

  1. 1. Shorvon S. Super-refractory status epilepticus: An approach to therapy in this difficult clinical situation. Epilepsia. 2011;52(Suppl 8):53-6. http://doi.org/dskhtk. [URL] 🠔
  2. 2. Trinka E, Cock H, Hesdorffer D, Rossetti AO, Scheffer IE, Shinnar S, et al. A definition and classification of status epilepticus - Report of the ILAE Task Force on Classification of Status Epilepticus. Epilepsia. 2015;56(10):1515-23. http://doi.org/f7t5nx. [URL] 🠔
  3. 3. Nabbout R. FIRES and IHHE: Delineation of the syndromes. Epilepsia. 2013;54(Suppl 6):54-6. http://doi.org/f49p4z. [URL] 🠔
  4. 4. Kramer U, Chi CS, Lin KL, Specchio N, Sahin M, Olson H, et al. Febrile infection - related epilepsy syndrome (FIRES): Pathogenesis, treatment, and outcome: a multicenter study on 77 children. Epilepsia. 2011;52(11):1956-65. http://doi.org/c658fq. [URL] 🠔
  5. 5. Nabbout R. Autoimmune and inflammatory epilepsies. Epilepsia. 2012;53(Suppl 4):58-62. http://doi.org/cdht. [URL] 🠔
  6. 6. Britton J. Autoimmune epilepsy. Handb Clin Neurol. 2016;133:219-45. http://doi.org/cdhv. [URL] 🠔
  7. 7. Greco A, Rizzo MI, De Virgilio A, Conte M, Gallo A, Attanasio G, et al. Autoimmune epilepsy. Autoimmun Rev. 2016;15(3):221-5. http://doi.org/cdhw. [URL] 🠔
  8. 8. Vezzani A, Rüegg S. Introduction. Epilepsia. 2011;52(Suppl 3):1-4. http://doi.org/fsfjs8. [URL] 🠔
  9. 9. Nabbout R, Vezzani A, Dulac O, Chiron C. Acute encephalopathy with inflammation-mediated status epilepticus. Neurology. 2011;10(1):99-108. http://doi.org/cmck7r. [URL] 🠔
  10. 10. Illingworth MA, Hanrahan D, Anderson CE, O'Kane K, Anderson J, Casey M, et al. Elevated VGKC-complex antibodies in a boy with fever-induced refractory epileptic encephalopathy in schoolage children (FIRES). Dev Med Child Neurol. 2011;53(11):1053-7. http://doi.org/d7w3bj. [URL] 🠔
  11. 11. Van Baalen A, Hãusler M, Plecko-Startining B, Strautmanis J, Vlaho S, Gebhardt B, et al. Febrile infection-related epilepsy syndrome without detectable autoantibodies and response to immunotherapy: a case series and discussion of epileptogenesis in FIRES. Neuropediatrics. 2012;43(4):209-16. http://doi.org/f36dt5. [URL] 🠔
  12. 12. Singh RK, Joshi SM, Potter DM, Leber SM, Carlson MD, Shellhaas RA. Cognitive Outcomes in Febrile Infection-Related Epilepsy Syndrome Treated With the Ketogenic Diet. Pediatrics. 2014;134(5):1431-5. http://doi.org/f6ndfd. [URL] 🠔
  13. 13. Specchio N, Fusco L, Vigevano F. Acute-onset epilepsy triggered by fever mimicking FIRES (febrile infection-related epilepsy syndrome): The role of protocadherin 19 (PCDH19) gene mutation. Epilepsia. 2011;52(11):172-5. http://doi.org/fjvff5. [URL] 🠔
  14. 14. Appenzeller S, Helbig I, Stephani U, Hãusler M, Kluger G, Bungeroth M, et al. Febrile infection-related epilepsy syndrome (FIRES) is not caused by SCN1A, POLG, PCDH19 mutations or rare copy number variations. Dev Med Child Neurol. 2012;54(12):1144-8. http://doi.org/cdhx. [URL] 🠔
  15. 15. Carranza-Rojo D, Simon-Harvey A, lona X, Dibbens LM, Damiano JA, Arsov T, et al. Febrile infection-related epilepsy syndrome is not caused by SCN1A mutations. Epilepsy Res. 2012;100(1-2):194-8. 🠔
  16. 16. Pardo CA, Nabbout R, Galanopoulou AS. Mechanisms of Epileptogenesis in Pediatric Epileptic Syndromes: Rasmussen Encephalitis, Infantile Spasms, and Febrile Infection-related Epilepsy Syndrome (FIRES). Neurotherapeutics. 2014;11(2):297-310. http://doi.org/cdhz. [URL] 🠔
  17. 17. Krõll-Seger J, Bien CG, Huppertz HJ. Non-paraneoplastic limbic encephalitis associated with antibodies to potassium channels leading to bilateral hippocampal sclerosis in a pre-pubertal girl. Epileptic Disord. 2009;11(1):54-9. http://doi.org/cdh2. [URL] 🠔
  18. 18. Howell KB, Katanyuwong K, Mackay MT, Bailey CA, Scheffer IE, Freeman JL, et al. Longterm follow-up of febrile infection - related epilepsy syndrome. Epilepsia. 2012;53(1):101-10. http://doi.org/fxs83r. [URL] 🠔
  19. 19. Varadkar S, Cross H. Rasmussen Syndrome and Other Inflammatory Epilepsies. Semin Neurol. 2015;35(3):259-68. http://doi.org/f7fvgt. [URL] 🠔
  20. 20. van Baalen A, Hãusler M, Boor R, Rohr A, Sperner J, Kurlemann G, et al. Febrile infection - related epilepsy syndrome (FIRES): A nonencephalitic encephalopathy in childhood. Epilepsia. 2010;51(7):1323-8. http://doi.org/cb9x8g. [URL] 🠔
  21. 21. Mikaeloff Y, Jambaqué I, Hertz-Pannier L, Zamfirescu A, Adamsbaum C, Plouin P, et al. Devastating epileptic encephalopathy in school-aged children (DESC): A pseudo encephalitis. Epilepsy Research. 2006;69(1):67-79. http://doi.org/d9q7kc. [URL] 🠔
  22. 22. Sakuma H, Awaya Y, Shiomi M, Yamanouchi H, Takahashi Y, Saito Y, et al. Acute encephalitis with refractory, repetitive partial seizures (AERRPS): a peculiar form of childhood encephalitis. Acta Neurol Scand. 2010;121(4):251-6. http://doi.org/fsngn7. [URL] 🠔
  23. 23. Sharma VK, Hegde AU, Nabi F. Refractory status epilepticus: Febrile Illness Related Epileptic Syndrome (FIRES). Int J Epilepsy. 2015;2(2):90-3. http://doi.org/cdj8. [URL] 🠔
  24. 24. van Baalen A, Vezzani A, Hãusler M, Kluger G. Febrile Infection - Related Epilepsy Syndrome: Clinical Review and Hypotheses of Epileptogenesis. Neuropediatrics. 2017;48(1):5-18. http://doi.org/f9mn9f. [URL] 🠔
  25. 25. Suleiman J, Brilot F, Lang B, Vincent A, Dale RC. Autoimmune epilepsy in children: Case series and proposed guidelines for identification. Epilepsia. 2013;54(6):1036-45. http://doi.org/f42gmq. [URL] 🠔
  26. 26. Rivas-Coppola MS, Shah N, Choudhri AF, Morgan R, Wheless JW. Chronological evolution of Magnetic Resonance Imaging (MRI) Findings in children with Febrile Infection-Related Epilepsy Syndrome. Pediatr Neurol. 2015;55:22-9. http://doi.org/cdj9. [URL] 🠔
  27. 27. Caraballo RH, Reyes G, Avaria MF, Buompadre MC, González M, Fortini S, et al. Febrile infection-related epilepsy syndrome : A study of 12 patients. Seizure. 2013;22(7):553-9. http://doi.org/f5cp4v. [URL] 🠔
  28. 28. Specchio N, Fusco L, Claps D, Vigevano F. Epileptic encephalopathy in children possibly related to immune-mediated pathogenesis. Brain Dev. 2010;32(1):51-6. http://doi.org/fjs6cz. [URL] 🠔
  29. 29. Cherian PJ, Nickels KC. Febrile infection-related epilepsy syndromes and their treatment. Journal of Pediatric Epilepsy. 2014;3(2014):67-74. http://doi.org/cdkb. [URL] 🠔
  30. 30. Ueda R, Saito Y, Ohno K, Maruta K, Matsunami K, Saiki Y. Effect of levetiracetam in acute encephalitis with refractory, repetitive partial seizures during acute and chronic phase. Brain Dev. 2015;37(5):471-7. http://doi.org/f6742j. [URL] 🠔
  31. 31. Kramer U, Chi CS, Lin KL, Specchio N, Sahin M, Olson H, et al. Febrile infection-related epilepsy syndrome (FIRES): Does duration of anesthesia affect outcome? Epilepsia. 2011;52(Suppl 8):28-30. http://doi.org/dm2hmr. [URL] 🠔
  32. 32. Sort R, Born AP, Pedersen KN, Fonsmark L, Uldall P. Ketogenic diet in 3 cases of childhood refractory status epilepticus. Eur J Paediatr Neurol. 2013;17(6):531-6. http://doi.org/f5m2zz. [URL] 🠔
  33. 33. Nabbout R, Mazzuca M, Hubert P, Peudennier S, Allaire C, Flurin V, et al. Efficacy of ketogenic diet in severe refractory status epilepticus initiating fever induced refractory epileptic encephalopathy in school age children (FIRES). Epilepsia. 2010;51(10):2033-7. http://doi.org/c4964k. [URL] 🠔
  34. 34. Vaccarezza M, Silva W, Maxit C, Agosta G. Estado de mal epiléptico superrefractario: tratamiento con dieta cetogénica en pediatría. Rev Neurol. 2012;55(1):20-4. 🠔
  35. 35. Tan WW, Chan DWS, Lee JH, Thomas T, Menon AP, Chan YH. Use of Magnesium Sulfate Infusion for the Management of Febrile Illness-Related Epilepsy Syndrome: A Case Series. Child Neurology Open. 2015;2(1): 2329048X14550067. http://doi.org/cdkc. [URL] 🠔
  36. 36. Lin JJ, Lin KL, Hsia SH, Wang HS. Therapeutic Hypothermia for Febrile Infection-Related Epilepsy Syndrome in Two Patients. Pediatric Neurology. 2012;47(6):448-50. http://doi.org/f4d57n. [URL] 🠔
  37. 37. Mirás-Veiga A, Moreno DC, Menéndez AI, Siscart IM, Fernández MD, Sánchez EG, et al. Effectiveness of Electroconvulsive Therapy for Refractory Status Epilepticus in Febrile Infection-Related Epilepsy Syndrome. Neuropediatrics. 2017;48(1):45-8. http://doi.org/f9njw2. [URL] 🠔
  38. 38. Kramer U, Shorer Z, Benzeev B, Lermansagie T, Goldberg-Stern H, Lahat E. Severe Refractory Status Epilepticus Owing to presumed encephalitis. J Child Neurol. 2005;20(3):184-7. http://doi.org/cdkd. [URL] 🠔
  39. 39. Covanis A. Epileptic encephalopathies (including severe epilepsy syndromes). Epilepsia. 2012;53(Suppl 4):114-26. http://doi.org/f37p2r. [URL] 🠔
None declared by the authors.
None declared by the authors.