Case reports
2462-8522
Universidad Nacional de Colombia
https://doi.org/10.15446/cr.v4n1.65333

Recibido: 29 de mayo de 2017; Aceptado: 17 de enero de 2018

PURULENT PERICARDITIS AS A COMPLICATION OF PNEUMONIA IN AN INFANT. CLINICAL CASE REPORT

D. Lozano Espinosa, aO. Castiblanco Rubio, aJ. Bustos Acosta, bG. Camacho Moreno, cE. Rojas Soto, dR. Sanguino Lobo, e

Department of Pediatrics - Universidad Nacional de Colombia -Faculty of Medicine - Bogotá D.C. - Colombia. Universidad Nacional de Colombia Department of Pediatrics Universidad Nacional de Colombia Faculty of Medicine Bogotá D.C Colombia
Department of Pediatrics - Universidad Nacional de Colombia -Faculty of Medicine - Bogotá D.C. - Colombia. Fundación Hospital Pediátrico La Misericordia - Bogotá D.C. - Colombia. Universidad Nacional de Colombia Department of Pediatrics Universidad Nacional de Colombia Faculty of Medicine Bogotá D.C Colombia
Department of Pediatrics - Universidad Nacional de Colombia -Faculty of Medicine - Bogotá D.C. - Colombia. Infectious Disease Service - Fundación Hospital Pediátrico La Misericordia - Bogotá D.C. - Colombia. Universidad Nacional de Colombia Department of Pediatrics Universidad Nacional de Colombia Faculty of Medicine Bogotá D.C Colombia
Department of Pediatrics - Universidad Nacional de Colombia -Faculty of Medicine - Bogotá D.C. - Colombia. Universidad Nacional de Colombia Department of Pediatrics Universidad Nacional de Colombia Faculty of Medicine Bogotá D.C Colombia
Pediatric Cardiology Unit. Fundación Hospital Pediátrico La Misericordia - Bogotá D.C. - Colombia. Fundación Hospital Pediátrico La Misericordia Bogotá D.C Colombia

ABSTRACT

Introduction:

Purulent pericarditis is an inflammatory process in the pericardium caused by bacterial infection. If experienced during childhood and with untimely diagnosis, it has a high mortality rate.

Case presentation:

A 10-month-old infant was admitted to a high complexity pediatric hospital in the city of Bogotá D.C, Colombia, due to clinical symptoms including cough, respiratory distress and fever. A chest x-ray was taken showing cardiomegaly and multilobar pulmonary involvement. The echocardiogram showed global pericardial effusion managed with pericardiotomy, in which 50 mL of turbid fluid with whitish membranes was obtained. Cytochemical test revealed 2 600 mm3 leukocytes with 90% PMN and protein elevation. Purulent pericarditis was diagnosed based on imaging and laboratory findings. Treatment was initiated with ceftriaxone and clindamycin for four weeks, obtaining effective clinical and echocardiographic resolution.

Discussion:

The clinical presentation and imaging, paraclinical and electrocardiographic findings suggested purulent pericarditis as the first possibility. This diagnosis was confirmed considering the characteristics of the pericardial fluid, which was compatible with an exudate. Clinical resolution supported by antibiotic management corroborated the diagnosis, even though microbiological isolation was not obtained in cultures.

Conclusion:

Purulent pericarditis is a rare disease in pediatrics and has a high mortality rate. Making a timely diagnosis and administering early treatment are related to a better prognosis of this pathology.

Keywords:

Pericarditis, Pericardiostomy, Purulent pericarditis, Bacterial pericarditis, Pediatrics.

RESUMEN

Introducción. La pericarditis purulenta es un proceso inflamatorio del pericardio producto de una infección bacteriana. De no lograrse un diagnóstico oportuno, se convierte en una patología con alta mortalidad en la infancia.

Presentación del caso.

Lactante de 10 meses de edad que ingresó a un hospital pediátrico de alta complejidad en Bogotá D.C., Colombia, por un cuadro clínico dado por tos, dificultad respiratoria y fiebre. Se tomó una radiografía de tórax donde se observó cardiomegalia y compromiso neumónico multilobar. El ecocardiograma mostró un derrame pericárdico global que requirió pericardiotomía, en la cual se obtuvo 50 mL de líquido turbio con membranas blanquecinas. En la prueba citoquímica se encontraron 2 600mm3 leucocitos, polimorfonucleares del 90% y elevación de proteínas. Con los hallazgos de imagenología y laboratorio se hizo el diagnóstico de pericarditis purulenta, por lo que se inició tratamiento con ceftriaxona y clindamicina por 4 semanas, obteniendo una resolución clínica y ecocardiográfica efectiva.

Discusión.

La presentación clínica y los hallazgos imagenológicos, paraclínicos y electrocardiográficos sugirieron como primera posibilidad pericarditis purulenta, lo cual se confirmó por las características de líquido pericárdico, que era compatible con un exudado. La resolución clínica, apoyada por el manejo antibiótico y a pesar de no obtener aislamiento microbiológico en los cultivos, corroboró el diagnóstico.

Conclusiones.

La pericarditis purulenta es una enfermedad poco frecuente en pediatría pero con alta mortalidad. Realizar un diagnóstico oportuno sumado a un tratamiento tempano se relaciona con un mejor pronóstico de esta patología.

Palabras clave:

Pericarditis, Pericardiostomía, Pericarditis purulenta, Pericarditis bacteriana, Pediatría.

INTRODUCTION

Pericarditis is rarely seen in pediatrics, and few reports on this condition in infants are found. 1 Mortality rates of bacterial pericarditis are high, which may be associated with secondary dissemination of other infectious foci such as pneumonia, meningitis, osteomyelitis, septicemia or subdiaphragmatic abscesses. 2-4

In general, the symptoms and signs of bacterial pericarditis are non-specific, thus making timely diagnosis difficult, which is associated with poor prognosis. The diagnostic suspicion, in this case, led to early diagnosis and favorable clinical outcome.

CASE PRESENTATION

A 10-month old male patient from Bogotá-Colombia (urban area), weighing 8 kg and mestizo was admitted to the emergency department with fever of two days (38.5°C) and respiratory distress. No history of importance and complete vaccination for his age were reported. The child was hospitalized in another institution two months before hospital admission due to bacterial pneumonia managed with crystalline penicillin. Since then, he was an ambulatory oxygen user.

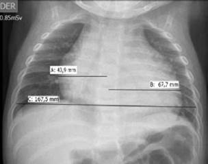
On admission, the patient presented: heart rate of 186 beats per minute; no hypotension (blood pressure at 106/65 mmHg); respiratory frequency of 50 breaths per minute; fever (38.3°C); SaO2 in 74% with oxygen at one liter per minute; mucocutaneous pallor; somnolence; no jugular vein engorgement; audible, rhythmic and tachycardic heart sounds; no pericardial rub, rhonchi and crepitus in both lungs; subcostal and suprasternal retractions; no hepatomegaly or edema; peripheral pulses and capillary refill without alterations, which required increased oxygen delivery (FIO2 0.5). His hemogram showed leukocytosis of 30 230mm3 with polymorphonuclear leukocytes of 24 360mm3, thrombocytosis (platelets of 1 006 000mm3); 5.8g/d serum proteins, and increase in acute phase reactants: C reactive protein of 96mg/L and procalcitonin of 5.24ng/ mL. Initial chest X-ray showed cardiomegaly, bibasilar and retrocardiac parenchymal opacities, without signs of pulmonary congestion or pleural effusion (Figure 1).

Initial chest x-ray.

Figure 1: Initial chest x-ray.

Source: Own elaboration based on the data obtained in the study.

Pericardial effusion, myocarditis and dilated cardiomyopathy were suspected considering septic status and cardiomegaly, since they are differential diagnoses associated with multilobar pneumonia. However, no signs of pulmonary hyperflow, cardiac failure or tamponade or pulmonary or systemic congestion were observed which, added to electrocardiographic changes (Figure 2) that showed repolarization and supra-ST elevation disorder in V2 to V6, DI and DII (evident changes in the early stages of pericarditis), led to suspect pericarditis associated with pericardial effusion, without cardiac tamponade, in the first place.

Evidence of electrocardiographic changes in the patient.

Figure 2: Evidence of electrocardiographic changes in the patient.

Source: Own elaboration based on the data obtained in the study.

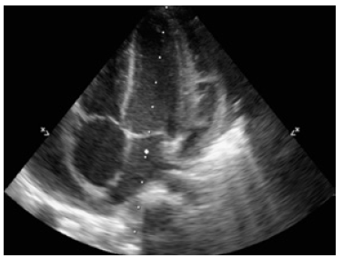
In addition, an echocardiogram showed global pericardial effusion and the presence of thick membranes between the visceral and parietal pericardium, without signs of cardiac tamponade, adequate ventricular function, ventricular ejection fraction of 77% and central venous pressure of 8-10mmHg, without signs of pulmonary hypertension (Figure 3).

Echocardiogram with apical four chamber view (A, B) and coronal axial plane (C).

Figure 3: Echocardiogram with apical four chamber view (A, B) and coronal axial plane (C).

Source: Own elaboration based on the data obtained in the study.

Respiratory distress, fever, tachycardia and altered state of consciousness without hypotension or alteration in distal perfusion were interpreted as a septic shock of pulmonary origin in hyperdynamic phase. The septic pattern and the echocardiographic findings increased the diagnostic probability of purulent pericarditis, so management with ceftriaxone (400 mg IV every 12 hours) and vancomycin (360 mg IV a day) was initiated. Then, the pediatric surgery service performed a pericardiotomy in the operating room and obtained about 50mL of turbid fluid with whitish membranes. Pericardial fluid analysis showed 2 600mm3 of polymorphonuclear leukocytes at 90%, monocytes at 1 0%, glucose of 0.2 mg/dL, lactate dehydrogenase (LDH) of 591 IU/L, fresh red blood cells of 1 500, crenated red blood cells at 2 080 and total protein of 5.23 g/dL (pericardial fluid/ serum proteins ratio: 0.9), which suggested a bacterial etiology.

Following the surgical procedure, a right jugular central venous catheter was passed (central venous pressure was not measured) and coupled to mechanical ventilation (CPAP PS), without requiring vasoactive support. The patient was admitted to the pediatric intensive care unit in normotensive condition, with tachycardia, adequate distal perfusion and under the effects of sedation and anesthesia (midazolam and fentanyl). Transfusion of 120cm3 of red blood cells was carried out when arterial blood gas analysis yielded a figure of 7.1gr/dL.

Extubation was achieved within a few hours with adequate response, while fever was observed until the day after antibiotic management was initiated. The control blood count at that moment showed decreased white blood cell count, polymorphonuclear cells and platelets in relation to the previous exam (leukocytes: 24 600mm3, polymorphonuclear leukocytes: 13 530mm3, Hb: 11.4 g/dL, HCTO: 35%, platelets: 820 000mm3) as well as decreased procalcitonin levels (5.21 ng/mL). The pericardiostomy tube was maintained for 4 days and blood cultures, as well as Ziehl-Neelsen, KOH and pericardial fluid culture tests, were negative.

To reduce the risk of toxicity and before clinical improvement, management with vancomycin was adjusted to clindamycin (80 mg IV every 6 hours) to complete 4 weeks of treatment.

Studies to rule out immunological involvement were within normal limits (Table 1). Given the cyclic and echocardiographic improvement, discharge was authorized (Figure 4).

Table 1: Interpretation of laboratory results.

Source: Own elaboration based on the data obtained in the study.

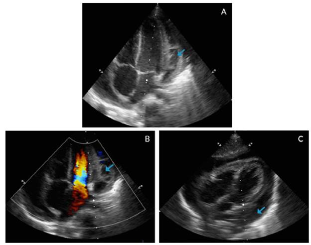
Echocardiogram taken before discharge.

Figure 4: Echocardiogram taken before discharge.

Source: Own elaboration based on the data obtained in the study.

DISCUSSION

Purulent pericarditis is rarely observed in pediatrics and its incidence has not been properly established in this population. Most studies are documented in case reports and reports in infants are scarce. 5-10

A study conducted in Uruguay 1 followed 19 pediatric patients with pericarditis, finding that 9 of them had a purulent origin and only 2 were younger than 12 months. This research showed that bacterial etiology is <50% and its occurrence in infants is unusual.

Considering a history of previous infections such as pneumonia, meningitis, osteomyelitis or subdiaphragmatic abscesses is important in children with purulent pericarditis. 2 In this case the infant presented bacterial pneumonia, which required hospitalization 2 months prior to this event.

Upon admission, the patient presented with respiratory distress, fever, tachycardia and increased oxygen requirements, which was explained by a septic pattern of pulmonary origin and pericarditis. Chest pain, despite being one of the most common symptoms in adults and older children, is difficult to interpret in infants. Clinically, there were no signs of cardiac tamponade (hypotension, jugular vein or veiled cardiac sounds), a complication that increases mortality and is explained by volume, accumulation rate, and the nature and etiology of the exudate between the pericardial layers that compress the cardiac chambers. 11

The initial chest X-ray showed bibasilar and retrocardiac consolidations. The cardio-thoracic index was 0.66 (>0.55) and was interpreted as cardiomegaly considering the patient's age. There was no evidence of pulmonary hyperflow or pulmonary venous congestion. The latter, together with electrocardiographic alterations (repolarization disorders compatible with acute pericarditis) and absence of signs of heart failure (no signs of systemic or pulmonary congestion or low cardiac output), led to rule out pericarditis and associated pericardial effusion, without cardiac tamponade at first. 3,12

The echocardiogram is the diagnostic method of choice to clarify radiological findings. 2,3 In this case, it showed a global pericardial effusion associated with the presence of thick membranes between the visceral and parietal pericardium, without cardiac tamponade, systolic-diastolic function involvement or alterations in the myocardium. Computed tomography (CT) is indicated when emergency echocardiogram is not available and when inconclusive echocardiographic results, poor response to treatment, atypical presentation, penetrating lesion, suspicion of neoplasms and pulmonary infections or mediastinitis are observed. 13 This patient did not require chest CT because of his rapid improvement, which reduced the possibility of complications.

Cytological and biochemical evaluation of pericardial effusion can help to obtain a diagnosis. The increase of LDH, the protein ratio in the pericardial fluid and serum >0.5 are characteristics that can lead to conclude that the fluid is compatible with the exudate. 14

The protein ratio of the pericardial fluid and the serum proteins was 0.9 (>0.5), which suggested exudate characteristics. In the culture of this liquid, no bacterial isolation was obtained, despite the presence of purulent pericardial fluid. Some possible explanations include that these cultures are based on the detection of bacteria in the planktonic form (individual bacterial cells), but, over time, it has been demonstrated and accepted that the bacteria responsible for infections (including Staphylococcus aureus and Streptococcus pneumoniae) are associated in the form of biofilms, in such a way that they guarantee their survival by changing their properties and enhancing their virulence factors.

Associated bacteria in biofilms yield a negative result in culture tests directed at individual bacteria. 15 For this reason, it is necessary to use different diagnostic tests that can provide a fast identification of microorganisms, including PCR (polymerase chain reaction) 16 and ELISPOT (enzyme-linked immunospot) 17; the latter detects T cells specific for microbacteria and other microorganisms.

The treatment of purulent pericarditis includes pericardiocentesis, which is indicated for diagnosis and treatment, especially in the presence of significant effusion. 2-4 In this case, the septic status and the presence of pericardial effusion together with adherent membranes suggested purulent pericarditis. Empirical antibiotic treatment initiates with vancomycin and ceftriaxone and is maintained for 4 to 6 weeks, in order to eliminate the main microorganisms involved, namely, S. aureus, Haemophilus influenzae and S. pneumoniae.2,3 In addition, bed rest and management with NSAIDs are recommended 2-4. In this case, antibiotic management with vancomycin was adjusted to clindamycin to reduce the risk of toxicity and support clinical and imaging improvement.

Other condition that can be considered for a pediatric patient presenting with this pathology is immunodeficiency, either primary or acquired and sometimes associated with malnutrition. 18 The main immunological etiologies were discarded for this patient and no degree of malnutrition was documented during the assessment.

The limitations of this study include the lack of availability of the clinical records of the patient prior to admission and non-ambulatory follow-up of the patient. On the other hand, its strengths include comprehensive and interdisciplinary management, as well as permanent imaging support throughout the recovery process.

CONCLUSIONS

The relevance of this case lies in the presentation of the disease at a rare age. Signs and symptoms are non-specific, so high clinical suspicion is required based on the symptomatology and clinical and paraclinical findings that include radiography, electrocardiogram and echocardiography. 2-4 Timely diagnosis and early treatment decrease the probability of complications and favor better results.

REFERENCES

  1. 1. Cabo E, Rios M, Assandri E, Vázquez M, Pujadas M, Chiesa P, et al. Pericarditis aguda en pediatría. Incidencia y características. Arch Pediatr Urug. 2015 [cited 2016 Nov 16 ]; 86(4): 284-93 . Available from:Available from: https://goo.gl/hZ93xw . [URL] 🠔
  2. 2. Johnson WH, Moller JH. Pediatric cardiology. The essential pocket guide. 3 rd ed. Minneapolis: Wiley Blackwell; 2014 [cited 2016 Oct 30 ]. Available from:Available from: https://goo.gl/PXehbz . [URL] 🠔
  3. 3. Park MK. Park's the pediatric cardiology handbook. 5th ed. Philadelphia: Elsevier; 2016. 🠔
  4. 4. Bergmann KR, Kharbanda A, Haveman L. Myocarditis And Pericarditis In The Pediatric Patient: Validated Management Strategies. Pediatr Emerg Med Pract 2015 [cited 2016 Dec 28 ]; 12(7): 1-22 . Available from:Available from: https://goo.gl/Tt9p4A . [URL] 🠔
  5. 5. Flores-González JC, Rubio-Quiñones F, Hernández-González A, Rodríguez-González M, Blanca-García JA, Lechuga-Sancho AM, et al. Pneumonia and Purulent Pericarditis Caused by Streptococcus pneumoniae, An Uncommon Association in the Antibiotic Era. Pediatr Emerg Care. 2014;30(8): 552-4. http://doi.org/f6f6wz. [URL] 🠔
  6. 6. Feinstein Y, Falup-Pecurariu O, Mitrica M, Berezin EN, Sini R, Krimko H, et al. Acute pericarditis caused by Streptococcus pneumoniae in young infants and children : Three case reports and a literature review. Int J Infect Dis. 2010;14(2): 175-8. http://doi.org/d2q79t. [URL] 🠔
  7. 7. Donoso A, Díaz F, Bertrán K, Cruces P. Pericarditis purulenta primaria por Streptococcus pneumoniae, a propósito de un caso clínico. Rev ChilPediatr. 2008 [cited 2016 Dec 4 ]; 79(6): 623-8 . Available from:Available from: https://goo.gl/YBbbVW . [URL] 🠔
  8. 8. Presnell L, Maeda K, Griffin M, Axelrod D. A child with purulent pericarditis and Streptococcus intermedius in the presence of a pericardial teratoma: An unusual presentation. J Thorac Cardiovasc Surg. 2013;147(3): e23-4. http://doi.org/cjxs. [URL] 🠔
  9. 9. Mirón L, Neyro S, Cheistwer A, Muracciole B, Ortellao G, Martinez-Iriart E. Pericarditis como presentación inicial de enfermedad me-ningocócica diseminada. Arch Argent Pediatr. 2013;111(6): 144-7. http://doi.org/cjxt. [URL] 🠔
  10. 10. Cakir O, Gurkan F, Balci AE, Eren N, Dikici B. Purulent pericarditis in childhood: Ten years of experience. J Pediatr Surg. 2002;37(10 ): 1404-8. http://doi.org/cqx8tk. [URL] 🠔
  11. 11. Douchin S. Bost-Bru C, Pagnier A. Pericarditis aguda del niño. EMC - Pediatría. 2017 [cited 2018 Jan 10 ]; 52(4): 1-9 . Available from:Available from: https://goo.gl/kNUJ4i . [URL] 🠔
  12. 12. Bruch C, Schmermund A, Dagres N, Bartel T, Caspari G, Sack S, et al. Changes in QRS Voltage in Cardiac Tamponade and Pericardial Effusion: Reversibility After Pericardiocentesis and After Anti-Inflammatory Drug Treatment. J Am Coll Cardiol. 2001;38(1): 219-26. http://doi.org/fshckq. [URL] 🠔
  13. 13. Klein AL, Abbara S, Agler DA, Appleton CP, Asher CR, Hoit B, et al. American Society of Echocardiography Clinical Recommendations for Multimodality Cardiovascular Imaging of Patients with Pericardial Disease. Endorsed by the Society for Cardiovascular Magnetic Resonance and Society of Cardiovascular Computed Tomography. J Am Soc Echocardiogr. 2013;26(9): 965-1012. http://doi.org/cjx4. [URL] 🠔
  14. 14. Ben-Horin S, Bank I, Schinfel A, Kachel E, Guerra V, Livneth A. Diagnostic Value of the Biochemical Composition of Pericardial Effusions in Patients Undergoing Pericardiocentesis. Am J Cardiol. 2007;99(9): 1294-7. http://doi.org/b42hkd. [URL] 🠔
  15. 15. Chao Y, Marks LR, Pettigrew MM, Hakansson AP. Streptococcus pneumoniae biofilm formation and dispersion during colonization and disease. Front Cell Infect Microbiol. 2015;4:194. http://doi.org/f3nktt. [URL] 🠔
  16. 16. Levy PY, Habib G, Collart F, Lepidi H, Raoult D. Etiological diagnosis of pericardial effusion. Future Microbiol. 2006;1(2):229-39. http://doi.org/dr3zpn. [URL] 🠔
  17. 17. Ewer K, Deeks J, Alvarez L, Bryant G, Waller S, Anderson P, et al. Comparison of T-cell-based assay with tuberculin skin test for diagnosis of Mycobacterium tuberculosis infection in a school tuberculosis outbreak. Lancet. 2003;361(9364 ): 1168-73. http://doi.org/dv8csw [URL] 🠔
  18. 18. Onyeama CO, Okomo U, Garba D, Njai PC, Tapgun M, Corrah T. Staphylococcal purulent pericarditis in a malnourished Gambian child: A case report. Int J Cardiol. 2007;119(3): 392-4. http://doi.org/fbprw2. [URL] 🠔
None stated by the authors.
None stated by the authors.