Case reports
2462-8522
Universidad Nacional de Colombia
https://doi.org/10.15446/cr.v4n1.65860

Recibido: 22 de junio de 2017; Aceptado: 9 de enero de 2018

RECURRENT NEUROCYSTICERCOSIS OF THE FRONTAL LOBE. CASE REPORT.

Á. Medina-Ortega, aD. López-Valencia, a*L. Vásquez-Arteaga, b

Medical Program- Faculty of Health Sciences Universidad del Cauca- Popayán - Colombia. Centro de Estudios en Microbiología y Parasitología (CEMPA) - Faculty of Health Sciences - Universidad del Cauca - Popayán - Colombia. Universidad del Cauca Faculty of Health Sciences Universidad del Cauca Popayán Colombia
Centro de Estudios en Microbiología y Parasitología (CEMPA) - Faculty of Health Sciences - Universidad del Cauca - Popayán - Colombia. Department of Internal Medicine - Faculty of Health Sciences -Universidad del Cauca - Popayán - Colombia Universidad del Cauca Faculty of Health Sciences Universidad del Cauca Popayán Colombia

Corresponding author David López Valencia. Medical Program, Faculty of Health Sciences, Universidad del Cauca. E mail drdlopez1@gmail.com

RESUMEN

Introducción.

La neurocisticercosis (NCC) es causada por la ingesta de huevos de la tenia del cerdo (Taenia solium) provenientes de un individuo con teniosis (complejo tenia-siscisticercosis). Esta enfermedad produce la mayor morbimortalidad por sus efectos dañinos sobre el sistema nervioso central. El 80% de los casos pueden ser asintomáticos y el 20% restante presenta manifestaciones clínicas que son inespecíficas.

Presentación del caso.

Paciente con cefalea, tendencia dromomaníaca, síndrome de hipertensión intracraneal, deterioro cognitivo y alteración de la marcha. Se realizó una tomografía computarizada que reveló un quiste subcortical frontal derecho y calcificaciones frontoparietales bilaterales. Como diagnóstico principal se sospechó NCC del lóbulo frontal por su cuadro clínico, anamnesis y epidemiología regional.

Discusión.

Se sospecha que el paciente cursaba con reinfección por T. solium en el lóbulo frontal derecho por la presencia de edema perilesional, los nódulos calcificados distribuidos aleatoriamente en la imagen y la información suministrada por sus familiares durante la anamnesis. Los signos y síntomas de la NCC dependen de la ubicación, el número, las dimensiones, los estadios del cisticerco (vesicular, coloidal, granular-nodular y nódulo calcificado), el genotipo y el estado inmune del hospedero. El 60-90% de los cisticercos se ubican en el parénquima cerebral, siendo menos frecuentes las ubicaciones ventricular, subaracnoidea, ocular, meníngea y medular.

Conclusiones.

Es importante educar a la comunidad, por un lado, sobre el ciclo de vida del parásito T. solium y su epidemiología y, por el otro, acerca de las medidas de prevención y las manifestaciones clínicas de la NCC, esto con el fin de realizar un diagnóstico oportuno y un manejo efectivo.

Palabras clave:

Neurocisticercosis, Taenia solium, lóbulo frontal, Colombia.

ABSTRACT

Introduction:

Neurocysticercosis (NCC) is the result of ingestion of pork tapeworm eggs (Taenia solium) from an individual with taeniasis (taeniasis/cysticercosis complex). This disease causes the highest helminthic-related morbidity and mortality rates due to its deleterious effects on the central nervous system. 80% of the cases can be asymptomatic and 20% show non-specific clinical manifestations.

Case presentation:

The following report presents the case of a patient with headache, dromomania, intracranial hypertension syndrome, and cognition and gait impairment. A brain CT showed a right frontal subcortical cyst and bilateral frontoparietal calcified nodules. Neurocysticercosis of the frontal lobe was suspected as the main diagnosis considering the clinical manifestations, anamnesis and local epidemiology.

Discussion:

T. solium reinfection in the right frontal lobe was suspected in this patient due to perilesional edema, calcified nodules randomly distributed on the imaging and the information supplied by his relatives during anamnesis. Symptoms and signs of NCC depend on localization, number, dimensions, cysticercus stage (vesicular, colloidal, granular-nodular and calcified nodule), genotype and immune status of the host. Between 60 and 90% of cysticerci are mainly observed in the brain parenchyma, but other less frequent localizations include ventricles, subarachnoid space, eyes, meninges and spinal cord.

Conclusions:

It is important to know and educate the community about the life cycle of parasites, epidemiology, prevention measures and clinical manifestations of neurocysticercosis in order to make a timely diagnosis and administer an effective treatment.

Keywords:

Neurocysticercosis, Taenia solium, Frontal lobe, Colombia.

INTRODUCTION

Neurocysticercosis (NCC) is the most frequent helminth infection of the central nervous system and the main cause of acquired epilepsy worldwide (30%). 1-3 NCC occurs when an individual ingests the eggs of the Taenia solium tapeworm (carried by pigs), previously expelled in the feces of another individual with teniosis. 4

Currently, there are 50 million people affected by NCC around the world, which makes it an endemic disease in Colombia and other Latin American countries. 5 In 2010, the World Health Organization (WHO) listed NCC as an unattended zoonosis in permanent expansion, thus turning it into a serious public health issue in developed countries due to migratory phenomena. 3,6

Flórez-Sánchez et al.7 found that the prevalence of seropositivity for cysticercosis varies in the Colombian population (0.5340.19%) and that the Vaupés department has the highest seroprevalence rates.

The objective of this article is to promote knowledge about the heterogeneous manifestations of neuroinfection by T. solium and highlight the importance of the prevention measures against the disease.

CASE PRESENTATION

A 51-year-old male patient from the rural area of Caldono (Cauca, Colombia), farmer, of low socioeconomic status and with basic primary education was admitted to a hospital in Popayán in November 2015, describing a single NCC event successfully treated with albendazole 2 years before. The reason for consultation was the impossibility of walking by himself. During anamnesis, his relatives reported frequent consumption of undercooked pork, lack of sewage service and lack of knowledge of proper hand washing by the patient.

The patient presented with a clinical picture of 8 months of evolution consisting of progressive gait impairment, loss of sphincter control, left hemiparesis and headache. On admission, he did not obey orders, presented dromomania, inappropriate language, dysarthria, cognitive deterioration, space-time disorientation, verbal-motor automatisms (he constantly said "I am alone"), pathological palmomental reflexes and bilateral prehension.

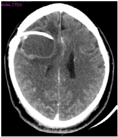
The neurology service requested a computed tomography (CT) that revealed a dilation of the supratentorial ventricular system and a right frontal subcortical cystic lesion that created a mass effect with midline shift. In addition, he presented perilesional edema and small residual bilateral frontoparietal calcifications, suggesting sequelae of NCC (Figure 1). Blood count, C-reactive protein (CRP) and renal function were normal. Pharmacological management was initiated with albendazole at an oral dose of 1600mg every 24 hours, dexamethasone 8mg IV every 8 hours, paracetamol at an oral dose of 1g every 8 hours and omeprazole at an oral dose of 20mg every 24 hours. The patient did not report any side effect caused by these drugs.

Computed tomography with right frontal subcortical cystic lesion, perilesional edema and calcified nodules.

Figure 1: Computed tomography with right frontal subcortical cystic lesion, perilesional edema and calcified nodules.

Source: Own elaboration based on the data obtained in the study.

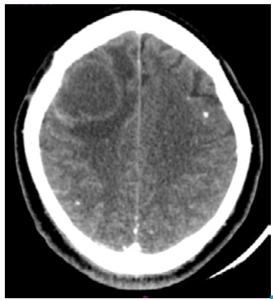
A week after admission, the patient presented with left hemiplegia and sialorrhea, and he did not have any verbal response. A craniotomy was performed to remove the cyst and conduct a histopathological study, while a ventriculoperitoneal shunt was arranged to reduce intracranial pressure (Figure 2). Macroscopically, neurosurgery reported a frontal cyst of greenish content with walls strongly adhered to the parenchyma and the frontal horn of the lateral ventricle. Histopathological analysis confirmed the suspicion of NCC and reported reactive gliosis. The patient evolved satisfactorily, did not present any type of sequelae and was discharged.

Computed tomography with right frontal subcortical cystic lesion, midline shift and ventriculoperitoneal shunt.

Figure 2: Computed tomography with right frontal subcortical cystic lesion, midline shift and ventriculoperitoneal shunt.

Source: Own elaboration based on the data obtained in the study.

Reinfection was suspected due to a previous history of NCC (a significant risk factor), the presence of calcified nodules in the imaging and regional epidemiology.

DISCUSSION

The patient presented with a frontal syndrome characterized by left hemiparesis, disobedience of orders, dromomania, cognitive impairment, space-time disorientation and verbal-motor automatism, which are related to cysticercosis cysts in the right frontal lobe. According to anatomical distribution, 60-90% of cysticerci are located in the cerebral parenchyma 8, being less frequent in the ventricles, subarachnoid space, eyes, meninges and spinal cord. 9

When the T. solium larva is viable, initial neurological symptoms are caused by compression, in most cases. When the cysticercus dies, intense inflammation with exudate, peri-arteritis and endarteritis is usually observed, which can close the vascular lumen and impede the normal flow of cerebrospinal fluid, favoring the presence of hydrocephalus and intracranial hypertension. 10 Following the inflammatory response, the cysticercus usually reaches its final stage (nodular calcified), which has been associated with epilepsy. 10 However, the patient reported in this article did not develop hydrocephalus or epilepsy during his stay in the service.

Reinfection by T. solium in this patient was suspected due to the presence of calcified nodules and perilesional edema 11 -compatible with active cysticercosis- observed on the CT scan and based on the information provided by his relatives during anamnesis: history of NCC 2 years before, frequent consumption of undercooked pork, lack of drinking water and sewage services and lack of proper hand washing habits. 12,13 The patient and his relatives were given the pertinent recommendations and measures to prevent the disease: correct hand washing (soap and water or glycerinated alcohol) before and after consuming food and after contact with another person 4; adequate disposal of feces in the rural area; exclusive consumption of drinking water; environmental sanitation, and management of pigs under the current regulations. 9,14

The signs and symptoms of NCC depend on the location, number, dimensions, cysticercus stage (vesicular, colloidal, granular-nodular and calcified nodule), genotype and immune status of the host. 4 Headaches and seizures are the most frequent clinical manifestations; visual or psychiatric disorders, hydrocephalus and meningitis may also occur. 3,15

The prevalence of NCC is higher in rural areas, where people work with pigs and sanitary conditions are often deficient. 3,5,16 This disease compromises the health of those affected, the livelihood of agricultural communities and their economy due to absenteeism, increase in health costs and community stigmatization. 3,16 According to Flórez-Sánchez et al.7, the prevalence of cysticercosis in Colombia ranges between 0.53% and 40.19% in Caldas and Vaupés, respectively. In Cauca, Vásquez-Arteaga et al.14 found a seroprevalence of 55.2% in patients with neurological symptoms of five municipal hospitals. This information is very useful for the region, since the history of NCC and the neurological manifestations compatible with the disease make it necessary to discard it.

In southwestern Colombia, cysticercus is known as "granalla", "granizo", "pepa" or "pepita", and is considered as a part of the pig. Actually, the inhabitants of this region think that they add a taste to the meat. In addition, knowledge on the life cycle of the parasite is deficient, which leads to difficulties when making promotion and prevention campaigns. 17 Understanding the life cycle and behavior of the teniasis/ cysticercosis complex (TCC) is important when considering implementing public health policies and promotion and prevention campaigns.

Depending on the development stage of T. solium, if the cysticercus or eggs are swallowed, teniosis or cysticercosis, respectively, will occur (Figure 3). It should be noted that both diseases could occur simultaneously in the same individual. 9

Life cycle of the teniasis/cysticercosis complex.

Figure 3: Life cycle of the teniasis/cysticercosis complex.

Source: Own elaboration based on the data obtained in the study.

As seen in Figure 3, humans develop teniosis when cysticerci are ingested. The larvae mature to the adult form of T. solium and release the eggs to the environment; then, pigs consume them and suffer from cysticercosis. When animals are slaughtered, if there are deficiencies in sanitary control, pork meat is commercialized and humans end up consuming cysticerci and developing teniosis. Similarly, the definitive host may present with cysticercosis when consuming food irrigated with water contaminated by the eggs of the adult tapeworm. Contact with sick individuals is an important way of contagion, being the main risk factor for TCC infection. 18

This case shows strength in diagnosis, epidemiology and clinical foundation. The importance of anamnesis should be highlighted, since it provides a guide for patient's approach. In the same way, intervention for promotion and prevention is highlighted as relevant. However, this case did not include a molecular test that identified IgM antibodies for T. Solium due to local limitations.

CONCLUSIONS

Making a timely diagnosis along the process (medical history, imaging and laboratory tests) is important when the history, signs and symptoms are compatible with NCC.

Providing comprehensive management to the patient, in this type of cases, is necessary, first, to carry out a complete cysticidal treatment and, second, to provide information to patients, relatives and the community in general about the prevention measures against NCC.

REFERENCES

  1. 1. Del Brutto OH, Engel JJ, Eliashiv DS, Garcia HH. Update on Cysticercosis Epileptogenesis: the Role of the Hippocampus. Curr Neurol Neurosci Rep. 2016;16(1):1. http://doi.org/f8hmnn. [URL] 🠔
  2. 2. Sinha S, Sharma BS. Neurocysticercosis: a review of current status and management. J Clin Neurosci. 2009;16(7): 867-76. http://doi.org/ckxxc4. [URL] 🠔
  3. 3. Organización Mundial de la Salud. Teniasis y cisticercosis. Nota descriptiva. Nueva York: OMS; 2017 [cited 2017 Dec 17]. Available from: Available from: https://goo.gl/5rSTwS . [URL] 🠔
  4. 4. López-Valencia D, Zúñiga-Cerón LF, Saavedra-Torres JS, Medina AP. Neurocisticercosis, caracterización de una enfermedad desatendida y re-emergente. Morfolia. 2014 [cited 2018 Jan 30];6(3):42-60. Available from: Available from: https://goo.gl/PWgYDM . [URL] 🠔
  5. 5. Ndimubanzi PC, Carabin H, Budke CM, Nguyen H, Qian YJ, Rainwater E, et al. A systematic review of the frequency of neurocyticercosis with a focus on people with epilepsy. PLoS Negl Trop Dis. 2010;4(11 ): e870. http://doi.org/bwtqb6. [URL] 🠔
  6. 6. Bock M, Garcia HH, Chin-Hong P, Baxi SM. Under seize: neurocysticercosis in an immigrant woman and review of a growing neglected disease. BMJ Case Rep. 2015;2015. http://doi.org/f8z49v. [URL] 🠔
  7. 7. Flórez-Sánchez A, Pastrán SM, Vargas NS, Beltrán M, Enriquez Y, Peña AP, et al. Cisticercosis en Colombia. Estudio de seroprevalencia 2008-2010. Acta Neurológica Colomb. 2013;29(2): 73-86. 🠔
  8. 8. Mahale RR, Mehta A, Rangasetty S. Extraparenchymal (Racemose) Neurocysticercosis and Its Multitude Manifestations: A Comprehensive Review. J Clin Neurol. 2015;11(3): 203-11. http://doi.org/cj2c. [URL] 🠔
  9. 9. López-Valencia D, Medina-Ortega A, Saavedra-Torres JS, Zúñiga-Cerón LF, Zamora-Bastidas TO. Neurocysticercosis, unusual manifestations. Rev. Fac. Med. 2016;64(3): 561-4. http://doi.org/cj2d. [URL] 🠔
  10. 10. Botero D, Restrepo M. Cisticercosis. In: Parasitosis humanas. 5th ed. Medellín: Corporación para Investigaciones Biológicas; 2012 . p. 530-54. 🠔
  11. 11. Jehangir A, Hwang E, Qureshi A, Jehangir Q Recurrent neurocysticercosis. J Community Hosp Intern Med Perspect. 2014;4(3). http://doi.org/cj2f. [URL] 🠔
  12. 12. Pal A, Biswas C, Ghosh TR, Deb P. A rare case of recurrence of primary spinal neurocysticercosis mimicking an arachnoid cyst. Asian J Neurosurg. 2017;12(2):250-2. http://doi.org/f955wc. [URL] 🠔
  13. 13. Joshi KC, Singh H, Sakhuja P, Singh D. Repeated hydrocephalus in recurrent intraventricu-lar neurocysticercosis: An uncommon presentation. J Neurosci Rural Pract. 2013;4(1):87-9. http://doi.org/f4rsrd. [URL] 🠔
  14. 14. Vásquez-Arteaga LR, Zamora-Bastidas TO, Vivas-Velásco VH, Giraldo-Forero JC, Casas-Zúñiga JC. Epidemiología de la cisticercosis humana en pacientes de consulta neurológica en Popayán, Cauca, Colombia. Medicina. 2016;38(4):305-15. 🠔
  15. 15. Garcia HH, Gonzalez AE, Evans CA, Gilman RH. Taenia solium cysticercosis. Lancet. 2003;362(9383):547-56. http://doi.org/d5zfvn. [URL] 🠔
  16. 16. Bhattarai R, Carabin H, Proano J V, Flores-Rivera J, Corona T, Flisser A, et al. Cost of neurocysticercosis patients treated in two referral hospitals in Mexico City, Mexico. Trop Med Int Health. 2015;20(8): 1108-19. http://doi.org/f7tg57. [URL] 🠔
  17. 17. Agudelo-Flórez P, Restrepo BN, Palacio LG. Conocimiento y prácticas sobre tenia-siscisticercosis en una comunidad colombiana. Rev. Salud Pública. 2009;11(2):191-9. http://doi.org/d4rqf5. [URL] 🠔
  18. 18. Flisser A. Cisticercosis: enfermedad desatendida. Bol Med Hosp Infant Mex. 2011;68(2): 138-45. 🠔
None stated by the authors.
None stated by the authors.