Case reports
2462-8522
Universidad Nacional de Colombia
https://doi.org/10.15446/cr.v4n1.66069

Recibido: 1 de julio de 2017; Aceptado: 13 de diciembre de 2017

ENDOSCOPIC MANAGEMENT OF SINONASAL HEMANGIOPERICYTOMA: CASE REPORT AND LITERATURE REVIEW

F. Rosa, a*J. Gameiro dos Santos, aJ. Oliveira, aC. Almeida e Sousa, a

Centro Hospitalar do Porto Department of Otolaryngology Head and Neck Surgery Portugal Universidade do Porto Centro Hospitalar do Porto Department of Otolaryngology Portugal

Corresponding author: Francisco Rosa Department of Otolaryngology Head and Neck Surgery Centro Hospitalar do Porto Email: franciscorosa97@gmail.com

ABSTRACT

Introduction:

Hemangiopericytoma is a rare vascular tumor of the sinonasal region, associated with epistaxis and nasal obstruction as the main symptoms. When located in this region, it has special clinical characteristics that differentiate it from others.

Case presentation:

The following paper reports the case of a 43-year-old female patient presenting with right nasal obstruction and 6 months of evolution associated with mucopurulent rhinorrhea and recurrent right side epistaxis. Physical examination showed a right obstructive mass originating from the cribriform plate. Computed tomography of the paranasal sinuses revealed a complete blockage of the right nasal cavity by a homogeneous content, with soft tissue density and no evident contrast enhancement. The lesion extended superiorly to the cribriform plate but without intracranial or orbital extension. The patient was treated with endoscopic surgery and anatomopathological study revealed sinonasal hemangiopericytoma. The patient had complete remission and subsequent 3-year follow-up without recurrence.

Conclusion:

The recommended treatment for hemangiopericytoma is total surgical excision with free margins. The results are generally good and the risk of recurrence seems to be associated with incomplete tumor excision. A literature review is presented and its main characteristics are discussed.

Keywords:

Hemangiopericytoma, Nasal cavity, Paranasal sinuses, Solitary fibrous tumors.

RESUMEN

Introducción:

El hemangiopericitoma es un tumor vascular poco frecuente en la región nasosinusal que se asocia con epistaxis y obstrucción nasal como principales síntomas. Cuando se presenta en esta región, tiene características clínicas especiales que lo hace diferente de otras localizaciones.

Presentación del caso:

A continuación se presenta el caso de una paciente de 43 años de edad, con síntomas de obstrucción en fosa nasal derecha y 6 meses de evolución asociados con rinorrea mucopurulenta y epistaxis recurrente del lado derecho. El examen físico mostró una masa obstructiva en el lado derecho con origen en la placa cribriforme. Una tomografía computarizada de los senos paranasales reveló un bloqueo completo de la cavidad nasal derecha por un contenido homogéneo, con densidad de partes blandas, sin captación de contraste evidente. La lesión se extendía hacia el lado superior de la placa cribriforme, sin extensión intracraneal u orbitaria. La paciente fue tratada con cirugía endoscópica y el estudio anatomopatológico reveló un hemangiopericitoma sinonasal. La paciente tuvo remisión completa y se realizó seguimiento por 3 años sin recurrencia.

Conclusión:

El tratamiento recomendado para el hemangiopericitoma es la escisión quirúrgica total con márgenes libres, cuyos resultados son generalmente buenos. El riesgo de recurrencia parece estar asociado con una escisión tumoral incompleta. Se presenta una revisión de literatura, así como comentarios sobre sus características principales.

Palabras clave:

Hemangiopericitoma, Cavidad nasal, Senos paranasales, Tumores fibrosos solitarios.

INTRODUCTION

Hemangiopericytomas are tumours of vascular origin that are rarely seen in the nose and paranasal sinuses. 1 Histological and biological differences may be observed between sinonasal hemangiopericytoma and its soft tissue counterpart. Its designation as 'hemangiopericytoma-like' tumor implies that it is related to, yet distinct from, soft tissue hemangiopericytomas. 2,3

From a therapeutic point of view, the mainstay of treatment is surgical excision with clear resection margins, as these tumors are relatively radioresistant. Nowadays, given the extraordinary development of endoscopic techniques, sinonasal hemangiopericytoma can be managed endonasally, with very few exceptions. 4

CASE REPORT

A 43-year old Caucasian female patient, teacher, with no relevant medical history, presented to our hospital with complaints of right nasal obstruction of 6 months of evolution, associated with mucopurulent rhinorrhea and recurrent right side epistaxis. Physical examination showed a right obstructive mass originating from the roof of the nasal fossa (cribriform plate), which caused a deviation of the nasal septum to the left and a lateralization of the middle turbinate to the right (Figure 1A).

(A) Rhinoscopy: Obstructive mass originating from the roof of the right nasal fossa. HPC - Hemangiopericytoma, S -Nasal Septum, MT - Middle Turbinate; (B) CT paranasal sinuses in soft tissue window (coronal); (C) endoscopic surgery.

Figure 1: (A) Rhinoscopy: Obstructive mass originating from the roof of the right nasal fossa. HPC - Hemangiopericytoma, S -Nasal Septum, MT - Middle Turbinate; (B) CT paranasal sinuses in soft tissue window (coronal); (C) endoscopic surgery.

Source: Own elaboration based on the data obtained in the study.

Computed tomography of the paranasal sinuses (CT-PS) revealed a complete blockage of the right nasal cavity by a homogeneous content, with soft tissue density, without evident contrast enhancement. This neoformation caused bulging with thinning and remodeling of the septum and the wall of the right maxillary sinus. The lesion extended superiorly to the cribriform plate but without intracranial or orbital extension, and posteriorly through the choana to the nasopharynx (Figure 1B). CT scan of the neck and thorax did not identify relevant alterations. A biopsy of the lesion was performed and the histological study revealed an inflammatory polyp with no signs of malignancy.

The patient underwent endoscopic surgery with en bloc resection of the lesion that originated in the cribriform plate of the ethmoid (Figure 1C), without sequelae associated with the procedure.

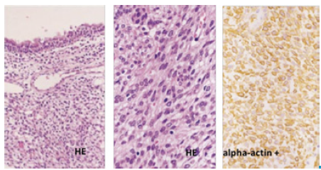
The anatomopathological study of the surgical specimen revealed a tumor with morphological and histochemical characteristics compatible with sinonasal hemangiopericytoma and immunoreactivity to vimentin, CD34 and alpha-actin (Figure 2).

Anatomopathological study: Polyp lined by respiratory epithelium, expanded chorion by proliferation of cells of elongated nuclei, sometimes fusiform in appearance. Immunoreactivity for vimentin, CD34 and alpha-actin. Characteristics suggestive of sinonasal hemangiopericytoma. HE -Hematoxylin-Eosin.

Figure 2: Anatomopathological study: Polyp lined by respiratory epithelium, expanded chorion by proliferation of cells of elongated nuclei, sometimes fusiform in appearance. Immunoreactivity for vimentin, CD34 and alpha-actin. Characteristics suggestive of sinonasal hemangiopericytoma. HE -Hematoxylin-Eosin.

Source: Own elaboration based on the data obtained in the study.

The patient underwent a 3-year follow-up, during which time she remained free of symptoms and showed no signs of local or meta-static recurrence on objective examination and CT-PS imaging (Figure 3).

(A) After removing hemangiopericytoma; (B) Endoscopic examination without evidence of local recurrence (3-year follow-up). MT - Middle Turbinate; S- Nasal Septum; (C) CT paranasal sinuses in soft tissue window (coronal) - 3-year follow-up.

Figure 3: (A) After removing hemangiopericytoma; (B) Endoscopic examination without evidence of local recurrence (3-year follow-up). MT - Middle Turbinate; S- Nasal Septum; (C) CT paranasal sinuses in soft tissue window (coronal) - 3-year follow-up.

Source: Own elaboration based on the data obtained in the study.

DISCUSSION

Hemangiopericytoma, also known as extrapleural solitary fibrous tumor, is a rare tumor, initially described by Stout and Murray in 1942. Its origin is mesenchymal, originating from capillary pericytes and representing less than 1% of all vascular tumors and only 1 to 2% of soft tissue tumors. 1 It can develop anywhere in the body, being more frequent in the limbs, retroperitone-um and skin. Only 15% of hemangiopericytomas develop in the head and neck region, more frequently in the nasal cavity and para-nasal sinuses. 2 Several etiological factors have been proposed, including hypertension, hormonal or metabolic imbalance and trauma; however, the etiology of sinonasal hemangio-pericytoma is still unknown. 5

Its origin is usually benign but its biological behavior and natural history are still relatively unknown, with a potential risk of malignancy. Sinonasal hemangiopericytoma presents some histological and biological differences with respect to hemangiopericytomas in other places, and is often known as 'hemangiopericytoma-like' sinonasal tumor. Some authors suggest a similarity with glo-mus tumors. 2,3

Sinonasal hemangiopericytoma tends to be immunoreactive with vimentin, α-smooth muscle actin, and muscle specific actin. However, unlike lobular capillary hemangiomas and solitary fibrous tumors, it rarely stains positively for CD34, although staining for CD34 and S100 protein can be focally and weakly positive in a small percentage of tumors. 4,5

These lesions occur mainly between the ages of 40 and 60, affecting both females and males. The most common initial presentation is nasal obstruction and recurrent epistaxis. The lesions are usually painless and the symptoms are originated by their growth and tumor compression. 3

The initial diagnostic assessment must include endoscopic and neuro-radiological evaluation with CT and magnetic resonance imaging (MRI). CT imaging demonstrates tumor involvement of the soft tissue in the nasal cavity and paranasal sinsuses, with bone destruction observed in large tumors. MRI shows sinonasal hemangiopericytoma as a solid mass with isotense signals on contrast-enhanced T1 imaging, which is useful for differentiating it from inflammatory fluid caused by sinus obstruction. 6

Imaging evaluation allows the characterization of tumor extension and its relation with adjacent structures, namely, intracranial and intraorbital components. 5 MRI is superior to CT mainly for the assessment of tumor relation with vascular structures, being important for surgical planning. Chest CT is recommended for assessment of distant metastases that may occur by hematogenic/lymphatic dissemination to the lung. 6 When necessary, additional investigation can be performed through angiography (with preoperative embolization) in larger and strongly vascularized lesions. 7

Biopsy of sinonasal lesions, which are suspected of being vascular tumors, is not routinely performed by our department in the outpatient clinic. Nevertheless, in this case, a biopsy was performed considering that physical examination and CT scan did not present strong evidence of a vascularized lesion. Based on the biopsy results, only sinonasal polyposis was suspected initially, therefore, no preoperative magnetic resonance imaging was performed. Although this is a limitation, it had no influence on the procedure and surgical outcome, since complete resection of the lesion was achieved without associated complications and without recurrence after 3 years of follow-up.

Sinonasal hemangiopericytoma is a benign lesion with a low risk of malignancy (<10%). Malignant lesions have an increased risk of recurrence and are associated with cellular pleomorphism, moderate to severe nuclear atypia, bone invasion, and tumor necrosis. Some authors state that the presentation of hemangiopericytoma at the sinonasal level is less aggressive but locally recurrent. 6,8. The treatment of choice is endoscopic surgical resection with free margins, with positive margins being the main positive predictive factor for recurrence of hemangiopericytoma. High recurrence rates are probably associated with the difficulty of total excision of the tumor at this location. 9

Adjuvant radiotherapy is a second-line treatment, indicated for lesions with malignant characteristics and incomplete surgical re-section/unresectable tumors. The use of chemotherapy is controversial and its efficacy has not been proven. Prognosis is usually good if complete surgical excision of the primary tumor is achieved, with a 5-year survival rate of 89-100%. 1 However, long-term follow-up is necessary given the potential risk of malignancy and tumor recurrence. 4

With less than 200 cases of sinonasal hemangiopericytomas reported in the literature, only limited assumptions can be made about the tumor. 10,11 This is another case of sinonasal hemangiopericytoma to add to the small but growing body of literature on this disease. Historically, open surgical methods for tumor extirpation have been considered as standard treatment, although endoscopic resection has increased in recent decades. 12,13 This clinical case demonstrates that endoscopic resection is a safe, viable and reasonable alternative and is currently the gold standard of treatment.

CONCLUSION

Hemangiopericytoma is a rare tumor in the sinonasal region with usually benign etiology. Adequate surgery with free resection margins is the treatment of choice. Nowadays, with very few exceptions, resection should be conducted endoscopically. Patient outcome is generally good, and the risk of recurrence seems to be related to complete resection.

REFERENCES

  1. 1. Stout AP, Murray MR. Hemangiopericytoma: a vascular tumor featuring Zimmermann's pericytes. Ann Surg. 1942;116(1):26-33. http://doi.org/djpbvb [URL] 🠔
  2. 2. Compagno J. Hemangiopericytoma-like tumors of the nasal cavity: a comparison with hemangiopericytoma of soft tissues. Laryngoscope. 1978;88(3):460-9. http://doi.org/cj4f39 [URL] 🠔
  3. 3. Li XQ, Hisaoka M, Morio T, Hashimoto H. Intranasal pericytic tumors (glomus tumor and sinonasal hemangiopericytoma-like tumor): report of two cases with review of the literature. Pathol Int. 2003;53(5):303-8. http://doi.org/d4d3sz [URL] 🠔
  4. 4. Simmonds JC, Rebeiz EE. Surgical resection of sinonasal hemangiopericytoma involving anterior skull base: Case reports and literature review. Am J Otolaryngol. 2017;38(1):87-91. http://doi.org/f9fv9j [URL] 🠔
  5. 5. Shobha BV, Shivakumar BN, Reddy S, Dutta N. Sinonasal hemangiopericytoma: A rare case report with review of literature. J Oral Maxillofac Pathol. 2015;19(1):107. http://doi.org/cjx7 [URL] 🠔
  6. 6. Bignami M, Dallan I, Battaglia P, Lenzi R, Pistochini A, Castelnuovo P. Endoscopic, endonasal management of sinonasal haemangio-pericytoma: 12-year experience. J Laryngol Otol. 2010;124(11):1178-82. http://doi.org/fm7rvx [URL] 🠔
  7. 7. Ledderose GJ, Gellrich D, Holtmannspõtter M, Leunig A. Endoscopic Resection of Sinonasal Hemangiopericytoma following Preoperative Embolisation: A Case Report and Literature Review. Case Rep Otolaryngol. 2013;2013:796-713. http://doi.org/f98qk8 [URL] 🠔
  8. 8. Thompson LD, Miettinen M, Wenig BM. Sinonasal-type hemangiopericytoma: a clinico-pathologic and immunophenotypic analysis of 104 cases showing perivascular myoid differentiation. Am J Surg Pathol. 2003;27(6):737-49. http://doi.org/cbm3k6 [URL] 🠔
  9. 9. Tessema B, Eloy JA, Folbe AJ, Anstead AS, Mirani NM, Jourdy DN, et al. Endoscopic management of sinonasal hemangiopericytoma. Otolaryngol Head Neck Surg. 2012;146(3):483-6. http://doi.org/cpksh6 [URL] 🠔
  10. 10. Duval M, Hwang E, Kilty SJ. Systematic review of treatment and prognosis of sinonasal hemangiopericytoma. Head Neck. 2013;35(8):1205-10 http://doi.org/f5b4kg [URL] 🠔
  11. 11. Al Saad S., Al Hadlaq R., Al-Zaher N. Glomangiopericytoma (Hemangiopericytoma) of the maxillary sinus and sinonasal tract. Hematol Oncol Stem Cell Ther. 2017; 10(2):96-98 http://doi.org/cjx8 [URL] 🠔
  12. 12. Dahodwala MQ, Husain Q, Kanumuri VV, Choudhry OJ, Liu JK, Eloy JA. Management of sinonasal hemangiopericytomas: a systematic review. Int Forum Allergy Rhinol. 2013; 3(7):581-7 http://doi.org/f5bqxk [URL] 🠔
  13. 13. Peyvandi A, Naghibzadeh B, Roozbahany NA. Sinonasal Hemangiopericytoma: A Case Report. Iran J Med Sci. 2015; 35(3), 251-253. 🠔
None stated by the authors.
None stated by the authors.