Case reports
2462-8522
Universidad Nacional de Colombia
https://doi.org/10.15446/cr.v4n1.67960

Recibido: 26 de septiembre de 2017; Aceptado: 9 de marzo de 2018

COLONIC ATRESIA IN A NEWBORN.

D. Montenegro, a*S. Aragón, bJ. Valero, b

Fundación Universitaria Juan N Corpas - Bogotá, D.C. - Colombia. Fundación Universitaria Juan N. Corpas Fundación Universitaria Juan N Corpas Bogotá D.C Colombia
Pediatric Surgery Service - Faculty of Medicine Universidad Nacional de Colombia- Bogotá D.C. - Colombia. Pediatric Surgery Unit - Fundación Hospital Pediátrico la Misericordia- Bogotá D.C. - Colombia. Universidad Nacional de Colombia Faculty of Medicine Universidad Nacional de Colombia Bogotá D.C Colombia

Corresponding author: Diego Armando Montenegro, Fundación Universitaria Juan N Corpas - Bogotá, D.C. - Colombia. Email: diego-montenegro@juanncorpas.edu.co.

ABSTRACT

Introduction:

Colonic atresia is the least common type of intestinal atresia; however, it must be suspected in patients with partial or complete intestinal obstruction, failure to pass meconium, vomit and abdominal distension. Good prognosis has been described in patients with timely treatment.

Case report:

This paper reports the case of a newborn patient presenting with vomit, abdominal distension, failure to pass meconium and a rapid progressive clinical deterioration. A colonic atresia was found during exploratory laparotomy, which required a temporary colostomy due to the discrepancy of the proximal and distal calibers. Subsequently, colonic anastomosis was performed using a protective colostomy that was finally closed. This patient had a good post-operative recovery.

Conclusion:

Colonic atresia must be considered as an important cause of distal intestinal obstruction in pediatric patients and, therefore, it should always be suspected. Ruling out other associated abnormalities is also recommended, as well as performing a rectal biopsy for Hirschsprung's disease to avoid complications.

Keywords:

Intestinal atresia, Colon, Colostomy.

INTRODUCTION

Colonic atresia is a rare pathology 1 observed in 1.8%-15% cases of intestinal atresia. 2,3 Its incidence is estimated between 1:1 498 4 to 1:66 000 live births. 5 The clinical presentation can be described as a partial or complete intestinal obstruction, associated with failure to pass meconium, vomit and abdominal distension, depending on the type of atresia. Abdominal x-ray is the mainstay for diagnosis; however the surgeon may also consider a barium enema.

In newborns with colonic atresia, other malformations have been reported, including gastroschisis, small bowel atresia, omphalocele, anorectal malformations, ocular and facial malformations, common bile duct cysts, musculoskeletal abnormalities 6, and Hirschsprung's disease. The last condition must be discarded by rectal biopsies at onset of symptoms. 7

Colonic atresia has the most favorable prognosis for intestinal atresias. 8 The mortality reported is less than 10% 6, although Dalla Vecchia et al. reported zero mortality in a series of nine cases. 8 Nevertheless, mortality may increase to 100% if treatment is delayed beyond 72 hours, considering the risk of intestinal perforation and peritonitis. 6

CLINICAL CASE

A 3 day-old female newborn, with a gestational age of 40 weeks and a history of self-limited polyhydramnios observed in a third-trimester ultrasound, was referred to the Fundación Hospital Pediátrico la Misericordia (HOMI). Her parents were of the lower middle class, with no specific ethnic group.

In her first day of life, the newborn failed to pass meconium and barely tolerated breastfeeding; however, she was discharged from another hospital. On her second day of life, the patient presented with vomit of alimentary content and oral intolerance. The clinical picture then progressed towards abdominal distention, vomiting of fecal content, deterioration of general state and respiratory failure that required invasive mechanical ventilation. The patient was transferred to our center.

On admission at HOMI, the patient presented with markedly distended abdomen (Figure 1) with absent bowel sounds, normal position of the anus and no genital abnormalities.

Severe abdominal distension before surgery.

Figure 1: Severe abdominal distension before surgery.

Source: Own elaboration based on the data obtained in the study.

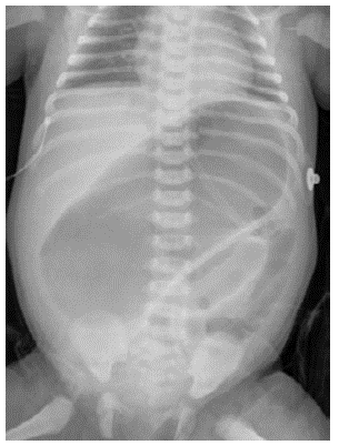
Invasive ventilation was initiated and a nasogastric tube was passed in-situ. An abdominal x-ray showed a large dilated loop of bowel (Figure 2), without a double bubble sign, ruling out duodenal atresia. Based on those findings, in her third day of life, an exploratory laparotomy was performed. A right colon atresia type III (Grosfeld classification) 11 was identified, with a difference of proximal distal caliber from 10 to 1 (Figure 3). A derivative Hartmann's colostomy was performed, given the difference of caliber size that did not allow primary anastomosis. Rectal biopsies were taken, reporting ganglion cells and ruling out Hirschsprung's disease.

Significant colon distension.

Figure 2: Significant colon distension.

Source: Own elaboration based on the data obtained in the study

3A. Colon atresia type III.

Figure 3: 3A. Colon atresia type III.

Source: Own elaboration based on the data obtained in the study.

3B. Evidence of difference in approximate distal 10-1 caliber. (*) Distal, (Arrow) Proximal.

Figure 3: 3B. Evidence of difference in approximate distal 10-1 caliber. (*) Distal, (Arrow) Proximal.

Source: Own elaboration based on the data obtained in the study.

Colostomy was closed after 11 months, during which time instillations of saline solution were made through the rectum to stimulate the growth of the hypotrophic intestine. A barium enema was made before the procedure (Figure 4).

Hypoplasia of distal colon.

Figure 4: Hypoplasia of distal colon.

Source: Own elaboration based on the data obtained in the study.

During surgery, a discrepancy of calibers from 5 to 1 was observed and lateral anastomosis with a mechanical lineal suture was performed, leaving a colonic lateral window diversion proximal to the anastomosis, which is useful in cases of extreme size discrepancy. 12 During the third surgery, the protective colostomy was closed, observing hermetic anastomosis, with no stenosis. Post-surgical evolution was good, and the patient was discharged three days after surgery. No other abnormalities associated with this patient were observed. After 2 years of follow-up, no complications and daily normal evacuations were reported.

DISCUSSION

Since this condition was first reported in 1673 by Binniger, colonic atresia has had different types of approaches. At the beginning of the last century, Gaub described the first case of a survivor treated with colostomy, and fifty years later, Potts reported the first case of a successful primary anastomosis. 8 Due to the rarity of this pathology, many case reports are available but few studies have investigated this condition.

The etiology of the disease corresponds to an extrinsic obstruction of the mesenteric vessels during fetal development. The causes of this alteration are diverse and have been described in the literature as internal hernias, volvulus, intussusception, and associations to gastroschisis strangulation. 6,8

As in this case, most cases have been reported in full-term pregnancies 8,9, and some cases have been associated to the first degree of consanguinity, which could imply a possible genetic causal relationship. 6,8

Both Louws and Grosfeld classifications 11 are still used to subdivide anatomy and to define the treatment and prognosis of the patients. In this regard, three main types of colon atresia are identified, while a fourth type relates to multiple atresias. Type I atresia is related to an obstructive membrane or intraluminal septum, with intact intestinal wall and mesentery; type II makes reference to blind loops separated by a fibrous cord and without mesentery alteration; type III atresia presents separate blind intestinal loops with a V-defect in the mesentery. 10,11

The highest incidence of intestinal atresia lesions is found near the splenic flexure. The ascending colon is an uncommon site of presentation 10, and is even less common in relation to the type III pattern 8, as is the case of the patient presented in this paper.

Prenatal diagnosis is of great importance since ultrasound examination can show a relatively characteristic image 8 that may allow a faster management with fewer complications associated with delayed diagnosis. Abdominal x-ray is the initial examination that may confirm clinical impressions.

The differential diagnosis of colon atresia includes acquired colonic stenosis that may be secondary to necrotizing enterocolitis (NEC) or infectious diseases; meconium plug syndrome in the context of Hirschsprung's disease or cystic fibrosis, and small left colon syndrome. 6

Barium enema is particularly useful to identify the anatomy and configuration of the colon, as well as the level of atresia and other abnormalities. 13 During the procedure, physicians should be very attentive of intraluminal pressure, as it may lead to perforation. 8 Therefore, in some cases, it can be performed only post-operatively, using a water-soluble contrast agent.

Changes in surgical management have been reported in the literature, since previous recommendations included performing primary anastomosis depending on the location of the atresia with respect to its proximity to the splenic flexure. The current recommendation is to perform primary anastomosis regardless of the location. 6

Cox et al. suggest that it is safe to perform primary anastomosis only if there is a maximum 3:1 caliber difference. 6 In this case, the difference of caliber between the proximal and distal segment was 10:1 and, therefore, initial management with derivative colostomy was chosen. Instillations of saline solution were administered through the anus to promote the growth of the distal hypotrophic colon. Despite this, during the second surgery, a discrepancy of 5:1 caliber was identified. In consequence, anastomosis was performed and a protective lateral window diversion was made proximal to it.

CONCLUSION

Although colon atresia is a rare disease, it must be considered as an important cause of distal intestinal obstruction in newborn patients. Early treatment is imperative as mortality of this disease increases considerably 72 hours after birth.

The discrepancy between the proximal and distal diameters should be considered during the procedure to decide whether to perform primary anastomosis. Considering the evidence of the association of colonic atresia with other gastrointestinal abnormalities, like Hirschsprung's disease -although the incidence reported is only 2%-, performing rectal biopsies during the initial intervention is recommended to discard this pathology, taking into account the risks of closing a colostomy in an aganglionic colon. 14 Once the early treatment of the disease is done, good prognosis and low mortality have been reported.

REFERENCES

  1. 1. Dalla Vecchia L, Grosfeld J, West K, Rescorla F, Scherer L, Engum S. Intestinal Atresia and Stenosis. Archives of Surgery. 1998;133(5). 🠔
  2. 2. Freeman N. Congenital atresia and stenosis of the colon. British Journal of Surgery. 1966;53(7): 595-599. 🠔
  3. 3. Powell R, Raffensperger J. Congenital colonic atresia. Journal of Pediatric Surgery. 1982;17(2):166-170. 🠔
  4. 4. Sturim H, Ternberg J. Congenital atresia of the colon. Surgery. 1966;59(3):458-464. 🠔
  5. 5. Davenport M, Bianchi A, Doig C. Colonic atresia: current results of treatment. Journal of the Royal College of Surgeons of Edinburgh. 1990;35(1):25-28. 🠔
  6. 6. Hsu C, Wang S, Houng J, Chiang P, Huang C. Congenital Colonic Atresia: Report of One Case. Pediatrics & Neonatology. 2010;51(3):186-189. 🠔
  7. 7. Diaz D, Eftekhari K. Atresia of the Colon Associated with Hirschsprung's Disease. Archives of Iranian Medicine. 2015;18(5):322. 🠔
  8. 8. Etensel B, Temir G, Karkiner A, Melek M, Edirne Y, Karaca et al. Atresia of the colon. Journal of Pediatric Surgery. 2005;40(8): 1258-1268. 🠔
  9. 9. Rescorla F, Grosfeld J. Intestinal atresia and stenosis: analysis of survival in 120 cases. Surgery. 1985;98(4):668 -676. 🠔
  10. 10. Mansoor H, Kanwal N, Shaukat M. Atresia of the ascending colon: A rarity. APSP Journal of Case Reports. 2010;1(1):3. 🠔
  11. 11. Grosfeld J, Ballantine T, Shoemaker R. Operative management of intestinal atresia and stenosis based on pathologic findings. Journal of Pediatric Surgery. 1979;14(3): 368-375 🠔
  12. 12. Peña A, Bischoff A. Surgical Treatment of Colorectal Problems in Children [recuerso electronico]. Cham; 2015 🠔
  13. 13. Cox S, Numanoglu A, Millar A, Rode H. Colonic atresia: spectrum of presentation and pitfalls in management. A review of 14 cases. Pediatric Surgery International. 2005;21(10):813-818. 🠔
  14. 14. El-Asmar KM, Abdel-Latif M, El-Kassaby AA, Soliman MH, El-Behery MM. Colonic atresia: association with other anomalies. J Neonat Surg. 2016; 5:47. 🠔
None stated by the authors.
None stated by the authors.