Case reports
2462-8522
Universidad Nacional de Colombia
https://doi.org/10.15446/cr.v4n2.68234

Recibido: 11 de octubre de 2017; Aceptado: 5 de agosto de 2018

GLIOSARCOMA IN A YOUNG PATIENT WITH NEUROFIBROMATOSIS TYPE 1. CASE REPORT

L. Zúñiga-Cerón, a*J. Saavedra-Torres, aT. Zamora-Bastidas, bM. Pinzón Fernández, b

Universidad del Cauca - Faculty of Health Sciences -Medical Program - Popayán - Colombia. Universidad del Cauca Universidad del Cauca Faculty of Health Sciences Popayán Colombia
Universidad del Cauca -Faculty of Health Sciences -Department of Internal Medicine -Corporación Del Laboratorio al Campo - Health Research Group -Popayán - Colombia. Universidad del Cauca Universidad del Cauca Faculty of Health Sciences Department of Internal Medicine Popayán Colombia

Corresponding author Luisa Fernanda Zúñiga-Cerón. Facultad de Ciencias de la Salud, Universidad del Cauca. Popayán. Colombia. Correo electrónico: luisazc_1009@hotmail.com.

ABSTRACT

Introduction:

Neurofibromatosis type 1 (NF1) is an autosomal dominant disorder that has variable phenotypic expressivity, with manifestations ranging from cutaneous lesions to functional compromise. It manifests clinically during childhood and adolescence. The NF-1 gene encodes a protein, neurofibromin gene, which acts as a tumor suppressor under normal conditions by regulating another protein that stimulates cell growth and proliferation. In case of alteration, different tumor processes may occur, such as the one seen in a small number of cases.

Case presentation:

20-year-old male patient with NF1, who presented café-au-lait spots and developed a glioblastoma, which happens infrequently.

Discussion:

Immunohistochemistry methods that contribute greatly to prognosis are included to achieve the confirmed diagnosis since the median overall survival of glioblastoma patients is higher in patients with NF1 than in those without said pathological entity.

Conclusion:

The early diagnosis of the lesions favors a timely management of NF1. These patients require a comprehensive and interdisciplinary management to achieve full rehabilitation.

Keywords:

Neurofibromatosis 1, Gliosarcoma, Glioblastoma, Neurofibroma.

RESUMEN

Introducción.

La neurofibromatosis tipo 1 (NF1) es una condición autosómica dominante que presenta una expresividad fenotípica variable, con manifestaciones que van desde lesiones cutáneas hasta compromiso funcional. Se manifiesta clínicamente durante la infancia y la adolescencia; su gen codifica una proteína, la neurofibromina, que actúa como un supresor tumoral en condiciones normales regulando, a su vez, otra proteína que estimula el crecimiento y proliferación celular. En caso de alteración se podrían presentar diferentes procesos tumorales como el que se evidencia en un reducido número de casos.

Presentación de caso.

Paciente masculino de 20 años con NF1, quien presentaba lesiones cutáneas como manchas color café con leche y desarrolló un glioblastoma, lo cual sucede de manera infrecuente.

Discusión.

Para obtener el diagnóstico confirmado se incluyen métodos de inmunohistoquímica que contribuyen en gran medida al pronóstico puesto que la mediana de supervivencia global de los pacientes de glioblastoma es mayor en pacientes con NF1 que aquellos sin dicha entidad patológica.

Conclusión.

El diagnóstico temprano de las lesiones favorece un manejo a tiempo de la NF1. Estos pacientes requieren un manejo integral e interdisciplinar para favorecer su rehabilitación total.

Palabras clave:

Neurofibromatosis 1, Gliosarcoma, Glioblastoma, Neurofibroma.

INTRODUCTION

Neurofibromatosis type 1 (NF1) has been indisputably linked to neurofibromatosis type 2 (NF2). Both are autosomal dominant, hereditary, neurocutaneous disorders that have high rates of de novo mutation and a high risk of tumor development. However, they are clinically and genetically distinct diseases and should be considered as different entities. On the one hand, NF1 is a common disease that affects chromosome 17, shows clinical evidence in the skin and peripheral nervous system, and causes bone dysplasia. On the other, NF2 involves chromosome 22 and is considered a rare disorder with a relative scarcity of cutaneous manifestations and high-grade malignancy; it is also very rare (Table 1). 1

Table 1: Oncogenic risk and genetic localization in neurofibromatosis.

Source: Own elaboration based on 1.

NF1 is an autosomal dominant disorder that has a variable phenotypic expression, with manifestations ranging from moderate cutaneous lesions to severe orthopedic complications and functional alterations. 2 Its incidence is 1 per 3 000 live births and manifests clinically during childhood and adolescence. Half of the cases are sporadic, since no lesions are found in any of the parents; 90% of these mutations occur in paternal gametes. 3 The NF1 gene encodes a protein, neurofibromin, which acts as a tumor suppressor under normal conditions, regulating, in turn, another protein that stimulates cell growth and proliferation. In case of alteration, different tumor processes could be presented, such as the one observed in a small number of cases. 4,5

According to the World Health Organization, gliosarcoma is identified as a grade IV neoplasm. It was first reported in 1895 by Strobe, but it was not widely accepted until 1955 when Gross and Feigen described three patients with this type of lesion. 6 It is a mixed primary tumor of the central nervous system, composed of astrocytic anaplastic and malignant mesenchymal elements. 7 Furthermore, its represents between 1.8% and 8% of glioblastoma multiforme (GBM) cases. 8 It mostly affects supratentorial regions and is located in the temporal and parietal lobes, followed by the frontal and occipital lobes. 9-11 Regarding distribution by age and sex, it is observed more frequently in men, and its incidence increases significantly between ages 40 and 70; it is rare in adolescents and pediatric patients. 12,13 Its prognosis is similar to that of GBM, with a higher incidence of extraxial metastases being reported. 14 Regarding care, after establishing a possible diagnosis, surgery should be performed for characterization and as a therapeutic strategy for glioblastoma to relieve pressure and safely remove as much of the tumor as possible. Radiation therapy is almost always used, along with chemotherapy, after surgery or biopsy. The most commonly used chemotherapy drug in adults is temozolomide. Another area of interest for research has led to the development of techniques such as immunotherapy through vaccines or immunizations to treat this pathology. 15

CASE PRESENTATION

A 20-year-old male patient, of mixed race, from Popayán, Cauca, and with medium socioeconomic level attended the emergency service on March 7, 2016 due to intense headache and loss of postural tone. The patient reported history of NF1 only.

The patient showed a clinical picture of a month of evolution consisting of left hemicraneal headache, which did not yield to analgesics. He also presented impaired consciousness stupor, disorientation, preserved memory, dysarthria, loss of strength of the right half of the body, normal cranial nerves, decreased osteotendi-nous reflexes, and normal superficial and deep sensitivity. On admission, he presented two episodes of projectile emesis, while physical examination revealed pectum exacavatum, and multiple hyperpigmented skin lesions (café-au-lait spots) disseminated in the anterior region of the chest. Diagnostic studies were initiated and their academic importance was explained; the family understood and accepted said concept.

The patient was assessed by neurology, which requested a simple computed axial tomography (CT) of the brain, whose report suggested spontaneous intracerebral hemorrhage, described as a temporary lesion that displaces the midline and is accompanied by bleeding and perilesional edema (Figure 1). Various differential diagnoses were proposed, including brain tumor, glioblastoma, astrocytoma and middle cerebral artery aneurysm.

Simple computerized axial tomography of the brain prior to surgery.

Figure 1: Simple computerized axial tomography of the brain prior to surgery.

Source: Document obtained during the study.

An emergency craniotomy for drainage was scheduled based on the results of the CT scan. Craniotomy showed a yellowish, hard tumor mass with necrosis and suggestive of astrocytoma. The patient did not require antibiotic management after the procedure and a new CT scan was requested, which showed satisfactory tumor resection with residual perilesional edema, without deviation from the midline (Figure 2). The histopathological study described resection compatible with glioblastoma (Figure 3).

Simple computed tomography of the brain after surgery.

Figure 2: Simple computed tomography of the brain after surgery.

Source: Document obtained during the study.

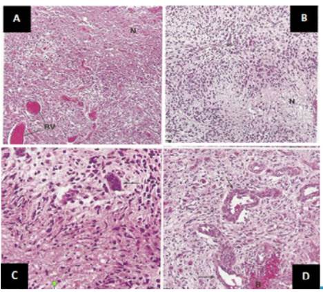
Histopathological findings. A) high cellularity, abundant blood vessels and wide necrotic areas; B) prominent cellularity around a vessel and pseudoempalized cellularity around a necrotic area; C) variation in size and shape of the nuclei, some are markedly enlarged; D) small and medium blood vessels with thick walls that tend to bleed and endothelial cell proliferation.

Figure 3: Histopathological findings. A) high cellularity, abundant blood vessels and wide necrotic areas; B) prominent cellularity around a vessel and pseudoempalized cellularity around a necrotic area; C) variation in size and shape of the nuclei, some are markedly enlarged; D) small and medium blood vessels with thick walls that tend to bleed and endothelial cell proliferation.

Source: Document obtained during the study.

Immunohistochemistry studies were performed to confirm diagnosis, describing diffuse positive mesenchymal component for vimentin CD99, very occasional for desmin and negative for smooth muscle actin. It was also necessary to find the positive component for GFAP, S100. Immunohistochemical staining for GFAP complemented reticulin staining by confirming the presence of two cell populations in gliosarcoma; it revealed epithelial spindle cell proliferations and intramural fusiform cells within thick-walled vessels stained for GFAP, S-100 protein and/or vimentin. The lesion was negative for estrogen receptors and occasional positive cells for progesterone receptors and EMA (epithelial membrane antigen) were found. The proliferation index measured by Ki67 was 60%, which confirmed the diagnosis of grade IV gliosarcoma.

During his recovery, the patient was he-modynamically stable, with motor, disharmonic and facial asymmetry that evolved satisfactorily with the help of phonoaudiological therapy. The patient was capable of returning to his daily activities after two weeks without any problem and continued receiving treatment with radiotherapy and chemotherapy.

DISCUSSION

Malignant gliomas represent 35-45% of all adult brain tumors and about 85% of them are glioblastomas; therefore, glioblastomas represent 29.7-38.2% of all brain tumors in adults. 12,16 In turn, gliosarcoma represents about 2% of all glioblastomas and 0.59-0.76% of all adult brain tumors 10; it is usually found in the supratentorial region with a slight preference for the temporal lobes 8, although it can affect the frontal, parietal or occipital lobes and corpus callosum less frequently. 17 Its clinical profile may include an intracranial hypertension syndrome such as headache, dizziness, vomiting, papilledema, seizures and motor deficit. CT usually shows a well-defined hyperdense lesion with marked perilesional edema, necrotic areas, and mass effect. 18

Feigin and Gross 19 were the first to demonstrate that gliosarcoma originates from the neoplastic transformation of blood vessels in a pre-existing glioblastoma. Currently, immunohistochemistry and genetic studies support that theory, suggesting a monoclonal origin for histological elements. 20

Immunohistochemical findings allow identifying the glial component of the glial fibrillary acidic protein (GFAP) and the S-100 protein. 14 Epithelial components include cytokeratins and immunoreactivity for p53 and, sometimes, actin if there is a muscular component. 21 GFAP immunostaining is more important to differentiate between gliosarcoma and glioblastoma, since it is found in the glial regions, although in very low amounts in sarcomatous regions. Vimentin is a marker of mesenchymal cells, with strong staining in sarcomatous areas. 22,23

Several treatment options are used to combat this form of brain cancer and the selected procedure depends on the location and severity of the tumor. In general, the treatment includes surgery, radiotherapy and chemotherapy with nitrosoureas, misonidazole, dacarbazine, mithramycin, ametophtherin, thalidomide, temozolomide, irinotecan, vincristine, cisplatin or doxorubicin. 16 The tumor can be removed surgically if its location is favorable for performing an extraction surgery and, usually, this procedure is followed by chemotherapy. Some research suggests that drugs such as temozolomide and bevacizumab (avastin) can be used to treat this pathology. 24,25

Some of the studies found show evidence of the interaction between patients with NF1 and gliosarcoma. Pathological characteristics (increased expression of p53) suggest that there is no overexpression of EGFR, as in primary glioblastomas, and that the increase of proliferation indexes could anticipate a bad prognosis in general. However, statistics report that the median overall survival of glioblastoma patients is 75% after 6 months and 19% after one year, and it is also better in patients with NF1. 4,26

This study had some limitations since the samples for immunohistochemistry tests were processed in a different laboratory and the delivery of the results took some time.

CONCLUSIONS

The early diagnosis of glioblastoma favors its timely management as connecting it with neurofibromatosis favors the prognosis of these patients. Joint management with surgery and radio and chemotherapy is required, since this favors the survival of the treated patients. Maintaining constant follow-up of patients helps detecting recurrences and facilitates subsequent resection and joint management. These patients need comprehensive and interdisciplinary management to achieve full rehabilitation.

REFERENCES

  1. 1. Ferner RE. Neurofibromatosis 1 and neurofibromatosis 2: a twenty first century perspective. Lancet Neurol. 2007;6(4):340-51. http://doi.org/b63wp3. [URL] 🠔
  2. 2. Jeong TS, Yee GT. Glioblastoma in a patient with neurofibromatosis type 1: a case report and review of the literature. Brain tumor Res Treat. 2014;2(1):36-8. http://doi.org/gb9sb2. [URL] 🠔
  3. 3. Ríos-Sanabria C, Mora-Hernpandez GA. Neurofibromatosis tipo 1 -Enfermedad de Von Recklinghausen. Revista Médica Costa Rica y Centroamérica. 2014 [cited 2017 Jul 21];71(610):249-52. Available from: Available from: https://goo.gl/JAPYm2 . [URL] 🠔
  4. 4. Lévy P, Bièche I, Leroy K, Parfait B, Wechsler J, Laurendeau I, et al. Molecular profiles of neurofibromatosis type 1-associated plexiform neurofibromas: identification of a gene expression signature of poor prognosis. Clin Cancer Res. 2004;10(11):3763-71. http://doi.org/bkr96h. [URL] 🠔
  5. 5. Elmaci L, Kurtkaya O, Boran B, Kiliç T, Pamir MN. Gliosarcoma associated with neurofibromatosis type I: a case report. Tumori. 2001 [cited 2017 Jul 21];87(1):60-3. Available from: Available from: https://goo.gl/cQ6fBm . [URL] 🠔
  6. 6. López-Piloto O, Salva-Camaño S, Cruz-Hernández TM. Gliosarcoma cerebeloso asociado a neurofibromatosis tipo I. Presentación de caso. Rev Chil Neurocir. 2015 [cited 2017 Jul 23];41:141-4. Available from: Available from: https://goo.gl/Cib3Dp . [URL] 🠔
  7. 7. Meis JM, Martz KL, Nelson JS. Mixed glioblastoma multiforme and sarcoma. A clinicopathologic study of 26 radiation therapy oncology group cases. Cancer. 1991 [cited 2017 Jul 21];67(9):2342-9. Available from: Available from: https://goo.gl/3Uq4MA . [URL] 🠔
  8. 8. Morantz RA, Feigin I, Ransohoff J. Clinical and pathological study of 24 cases of gliosarcoma. J Neurosurg. 1976;45(4):398-408. http://doi.org/csdh8j. [URL] 🠔
  9. 9. Vega E, Zambrano LS, Molina MM, Arenas AA. Gliosarcoma: un tumor cerebral poco común. Avan Biomed. 2014 [cited 2017 Jul 21];3(3):165-70. Available from: Available from: https://goo.gl/q6gRrD . [URL] 🠔
  10. 10. Louis DN, Ohgaki H, Wiestler OD, Cavenee WK, Burger PC, Jouvet A, et al. The 2007 WHO classification of tumours of the central nervous system. Acta Neuropathol. 2007;114(2):97-109. http://doi.org/cm372n. [URL] 🠔
  11. 11. Sade B, Prayson RA, Lee JH. Gliosarcoma with infratemporal fossa extension. Case Report. J Neurosurg. 2006;105(6):904-7. http://doi.org/d38fbq. [URL] 🠔
  12. 12. Han SJ, Yang I, Ahn BJ, Otero JJ, Tihan T, Mc-Dermott MW, et al. Clinical characteristics and outcomes for a modern series of primary gliosarcoma patients. Cancer. 2010;116(5):1358-66. http://doi.org/d2zbjz. [URL] 🠔
  13. 13. Hernández-Reyna R, Medellín-Sánchez R, Cerda-Flores RM, Calderón-Garcidueñas AL. Factores pronósticos de supervivencia en pacientes mexicanos con glioblastoma multiforme. Rev Med Inst Mex Seguro Soc. 2010 [cited 2017 Jul 21];48(2):121-6. Available from: Available from: https://goo.gl/Z2pD4i . [URL] 🠔
  14. 14. Tude-Melo JR, Pitanga-Bastos-De Souza AL, Reis RC, Cardoso-de Almeida MA. Infantile gliosarcoma. Arq Neuropsiquiatr. 2008 [cited 2017 Jul 21];66(1):88-9. Available from: Available from: https://goo.gl/pcTUSv . [URL] 🠔
  15. 15. American Brain Tumor Association (ABTA). Sobre tumores cerebrales. Manual para pacientes y cuidadores. Chicago: ABTA; 2012 [cited 2018 Jun 18]; Available from: Available from: https://goo.gl/vzERT3 . [URL] 🠔
  16. 16. Han SJ, Yang I, Tihan T, Prados MD, Parsa AT. Primary gliosarcoma: key clinical and pathologic distinctions from glioblastoma with implications as a unique oncologic entity. J Neurooncol. 2010;96(3):313-20. http://doi.org/fkshv6. [URL] 🠔
  17. 17. Moon SK, Kim EJ, Choi WS, Ryu CW, Park BJ, Lee J. Gliosarcoma of the Cerebellar Hemisphere: a Case Report and Review of the Literature. Korean J Radiol. 2010;11(5):566-70. http://doi.org/fgv4t8. [URL] 🠔
  18. 18. Pardo J, Murcia M, García F, Alvarado A. Gliosarcoma: A rare primary CNS tumor. Presentation of two cases. Rep Pract Oncol Radiother. 2010;15(4):98-102. http://doi.org/d6t2s6. [URL] 🠔
  19. 19. Feigin I, Gross S. Sarcoma arising in glioblastoma of the brain. Am J Pathol. 1955;31(4):633-665. https://goo.gl/xdkwCX. [URL] 🠔
  20. 20. Farias-Serratos F, Sánchez-Herrera F, Ramírez-Jaimez J-de la C, Velázquez-García F, García-Aguilar N, Farias-Serratos CV, et al. Gliosarcoma de fosa posterior. Arch Neurocien (Mex). 2006 [cited 2017 Jul 24];11(2):136-40. Available from: Available from: https://goo.gl/6ATtUc . [URL] 🠔
  21. 21. Ozolek JA, Finkelstein SD, Couce ME. Gliosarcoma with epithelial differentiation: immunohistochemical and molecular characterization. A case report and review of the literature. Mod Pathol. 2004;17(6):739-45. http://doi.org/cn79bt. [URL] 🠔
  22. 22. Alatakis S, Stuckey S, Siu K, McLean C. Gliosarcoma with osteosarcomatous differentiation: review of radiological and pathological features. Clin Neurosci. 2004;11(6):650-6. http://doi.org/drdp25. [URL] 🠔
  23. 23. Andaloussi-Saghir K, Oukabli M, El Marjany M, Sifat H, Hadadi K, Mansouri H. Secondary gliosarcoma after the treatment of primary glio-blastoma multiforme. N Am J Med Sci. 2011 Nov [cited 2017 Jul 23];3(11):527-30. Available from: Available from: https://goo.gl/WmxJEs . [URL] 🠔
  24. 24. Alert-Silva J, Alfonso-Estévez D, Ropero-Toirac R. Reirradiación en tumores del sistema nervioso central en niños y adolescentes. Revista Cubana de Pediatría. 2016 [cited 2017 Jul 21 ]; 89(1). Available from:Available from: https://goo.gl/sdKWKn . [URL] 🠔
  25. 25. McAleer MF, Brown PD. Therapeutic management of gliosarcoma in the temozolomide era. CNS Oncol. 2015;4(3):171-8. http://doi.org/f7jwj5. [URL] 🠔
  26. 26. McLendon R, Friedman A, Bigner D, Van Meir EG, Brat DJ, Mastrogianakis GM, et al. Comprehensive genomic characterization defines human glioblastoma genes and core pathways. Nature. 2008;455(7216):1061-8. http://doi.org/dpb3q3. [URL] 🠔
None stated by the authors.
None stated by the authors.