Case reports
2462-8522
Universidad Nacional de Colombia
https://doi.org/10.15446/cr.v4n2.69279

Recibido: 6 de diciembre de 2017; Aceptado: 31 de julio de 2018

HERLYN-WERNER-WÜNDERLICH SYNDROME: CASE REPORT

A. Figueroa-Blanco, a*M. Montañez-Aldana, b

Fundación Universitaria Juan N Corpas Faculty of Medicine - Bogotá D.C. - Colombia. Fundación Universitaria Juan N. Corpas Fundación Universitaria Juan N Corpas Bogotá D.C Colombia
Escuela de Medicina, Universidad Pedagógica y Tecnológica de Colombia Empresa Social del Estado Hospital San Rafael Tunja Department of Gynecology and Obstetrics - Tunja - Colombia. Universidad Pedagógica y Tecnológica de Colombia Universidad Pedagógica y Tecnológica de Colombia Tunja Colombia

Corresponding author Andrés Felipe Figueroa Blanco. Faculty of Medicine, Fundación Universitaria Juan N Corpas. Email: andres-figueroa@juanncorpas.edu.co.

ABSTRACT

Introduction:

The Herlyn-Werner-Wünderlich (HWW) syndrome is the association of three urogenital anatomic alterations of low incidence. Müllerian alterations are rare and are usually incidental findings; consequently, they are underdiagnosed and their genesis and correlation with having a higher probability of expression on the right side are unknown.

Case Report:

This is the case of a 17-year-old patient who consulted for severe hypogastric abdominal pain linked to foul-smelling bleeding. On physical examination, a vaginal septum was found, while complementary images showed uterus didelphys and renal agenesis, leading to diagnose HWW syndrome. Furthermore, pyometra and hematocolpus were also documented and managed with antibiotic therapy. Given the adequate response to treatment, hospital discharge was authorized with follow-up by external consultation, since the definitive management could not be provided during hospital stay.

Discussion:

One of the causes of recurrent abortions is the presence of this syndrome; however, when properly diagnosed, definitive treatment can be provided to reduce con-ceptional losses and urogenital hematopuru-lent collections.

Conclusions:

HWW syndrome is a rare malformation that increases the risk of suffering from gynecological infectious diseases or blood collections. Surgical management of the vaginal septum is a definitive treatment that improves quality of life and reduces the risk of morbidities associated with the pathology.

Keywords:

Urogenital Abnormalities, Syndrome, Genitalia, Female, Uterus, Gynecologic Surgical Procedures, Pyometra.

RESUMEN

Introducción.

El síndrome de Herlyn-Werner-Wünderlich (HWW) es una asociación de tres alteraciones anatómicas urogenitales de baja incidencia. Las alteraciones müllerianas son poco comunes y suelen ser hallazgos incidentales, por lo que se encuentran subdiag-nosticadas y poco se conoce su génesis o su relación con tener más probabilidad de expresión en el lado derecho.

Reporte de caso.

Se trata de una paciente de 17 años quien consultó por dolor abdominal hipogástrico de fuerte intensidad ligado a sangrado fétido. En el examen físico se encontró tabique vaginal y en las imágenes complementarias se evidenció útero didelfo y agenesia renal, diagnosticando así síndrome HWW. Igualmente, se documentó piómetra y hematocolpos que se manejaron con terapia de antibióticos; dada la adecuada respuesta al tratamiento, se dio egreso hospitalario con seguimiento por consulta externa, pues el manejo definitivo no se pudo proporcionar durante la estancia hospitalaria.

Discusión.

Una causa de abortos a repetición es la presencia de síndrome HWW; sin embargo, al ser correctamente diagnosticado, se puede dar un tratamiento definitivo que disminuya las perdidas concepcionales y colecciones hematopurulentas urogenitales.

Conclusiones.

El síndrome HWW es una malformación poco común que aumenta el riesgo de padecer cuadros infecciosos ginecológicos o colecciones hemáticas. El tratamiento definitivo consiste en el manejo quirúrgico del tabique vaginal que mejora la calidad de vida y disminuye el riesgo de morbilidades asociadas a la patología.

Palabras clave:

Anomalías Urogenitales, Síndrome, Genitales Femeninos, Útero, Procedimientos Quirúrgicos Ginecológicos, Piómetra.

INTRODUCTION

The Herlyn-Werner-Wünderlich syndrome (HWW), also known as OHVIRA - obstructed hemivagina and ipsilateral renal agenesis- is the association of a series of urogenital anatomical alterations classified within the Müllerian pathologies. It is characterized by renal agenesis, uterus didelphys and complete or incomplete vaginal obstruction, predominantly on the right side. 1 These abnormalities often cause in patients dysmenorrhea, abnormal vaginal discharges, endometriosis, pyosalpinx, hematometra, hematocolpos, pyometra and pyocolpos.

Its etiopathology is not clear; however, when Müllerian ducts fuse, the uterus, cervix and vaginal dome are formed, so a deficit in their union explains the genital malformations. 2 Furthermore, the Wolf duct, which has a mesoderm origin, is poorly developed, affecting the embryogenesis of the kidney and the ipsilateral ureter, among other malformations of the urinary system. 3

CASE PRESENTATION

A female 17-year-old patient, from the department of Casanare, Colombia, and of mixed race, visited the gynecological and obstetric emergency department for the first time due to strong acute abdominal pain in the hypogastric region and iliac fossae of one hour evolution (VAS 8/10), which did not irradiate, was not related to any activity or food consumption, and presented with slight foul-smelling vaginal bleeding. There was no evidence of emesis or diaphoresis nor was it related to febrile peaks.

The young woman did not report any pathological, family, surgical, allergic or pharmacological history or toxic habits. Menarche occurred at 12 years of age with irregular menstrual cycles, having the last menstrual period 3 months before the consultation; her first sexual intercourse occurred at age 16, stating that her sexual relations have been pleasant without pregnancies. The patient manifested using levonorgestrel subdermal implants for 5 months for birth control, which could be related to oligomenorrhoea symptoms.

Physical examination revealed normal heart and breathing rates, as well as temperature and blood pressure within normal ranges for physical body and age. The abdomen was not distended and no signs of peritoneal irritation were found; however, the patient felt pain on deep palpation in the right iliac fossa and hypogastrium. During the gynecological examination, the woman showed significant pain, making exploration difficult.

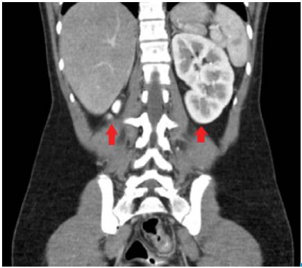
Considering the symptoms, pregnancy or infection of the urogenital tract were suspected; paraclinical results showed negative pregnancy test, blood count with leukocytosis without neutrophilia (leukocytes 15 300 and neutrophils 61.6%), without anemia (hemoglobin 14.2 gr/L, hematocrit 41%) and platelets 433 000/uL. Urinalysis did not suggest urinary tract infection. Transvaginal ultrasound and abdominal pelvic tomography were requested, revealing uterus didelphys (Figure 1) and renal agenesis (Figure 2).

Transvaginal gynecology ultrasound showing the presence of uterus didelphys (demarcated in yellow).

Figure 1: Transvaginal gynecology ultrasound showing the presence of uterus didelphys (demarcated in yellow).

Source: Document obtained during the study.

Coronal computed tomographic (CT) scan that shows the left kidney and right renal agenesis.

Figure 2: Coronal computed tomographic (CT) scan that shows the left kidney and right renal agenesis.

Source: Document obtained during the study.

Reassessment was performed after pain decreased with the administration of analgesics; speculation was performed, and hematopurulent discharge was observed after draining using a continuity solution of 1mm to 2 mm in length in the vaginal transverse septum, which documented hematopyometra.

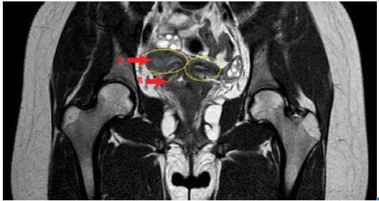
Antibiotic treatment was initiated with clindamycin (600mg every 6 hours) and intravenous gentamicin (240mg every 24 hours) for 7 days. Although dysthermia was not documented during hospital stay, magnetic resonance imaging was performed, revealing uterus didelphys and hematocolpos (Figures 3 and 4).

Magnetic resonance, coronal cut, that shows uterus didelphys, hematopyometra (A), hematocolpos (B) and their respective appendixes.

Figure 3: Magnetic resonance, coronal cut, that shows uterus didelphys, hematopyometra (A), hematocolpos (B) and their respective appendixes.

Source: Document obtained during the study.

Cross-sectional magnetic resonance showing two uterine bodies.

Figure 4: Cross-sectional magnetic resonance showing two uterine bodies.

Source: Document obtained during the study.

During hospital stay, the symptoms of the patient improved and pain resolved. Surgical management was proposed for marsupialization of the vaginal septum, but the patient and her relatives decided to dissent the procedure during hospitalization and expressed their desire to postpone it. Considering the resolution of the symptoms, hospital discharge was approved once the antibiotic management was completed without any further intervention.

Since the patient was referred to the hospital due to a company benefit plan that did not include outpatient consultation with the institution, it was not possible to perform institutional follow-up.

DISCUSSION

The reason why HWW syndrome presents with a higher prevalence of malformations on the right side as well as incomplete vaginal obstruction is unknown. These conditions, however, have an impact on the late diagnosis of complete vaginal obstruction, since the symptoms appear early in the latter category. 1

The possibility of diagnosing this syndrome cannot be ignored when a physician receives a patient with foul-smelling vaginal discharge, whether it is small or rare, because partial perforations in the vaginal septum lead to this scenario.

Regarding anatomical variations, it is possible to classify HWW syndrome according the presence or not of septum or cervical fistulas in: type I, the vaginal septum is not perforated (Figure 5); type II, septal perforation is observed (Figure 6); and type III, the vaginal septum is unperforated with cervical fistula (Figure 7). 2 In the light of this anatomical classification, it is understood that the definitive treatment is surgical correction, in which the vaginal septum obstructing the hemi-uterus is resected, thus allowing communication with the vaginal lumen.

Herlyn-Werner-Wünderlich syndrome type I: unperforated vaginal septum that favors hematometra and hematocolpos.

Figure 5: Herlyn-Werner-Wünderlich syndrome type I: unperforated vaginal septum that favors hematometra and hematocolpos.

Source: Own elaboration.

Herlyn-Werner-Wünderlich syndrome type II: perforated vaginal septum that communicates the flow with the lumen of the permeable hemivagina.

Figure 6: Herlyn-Werner-Wünderlich syndrome type II: perforated vaginal septum that communicates the flow with the lumen of the permeable hemivagina.

Source: Own elaboration.

Herlyn-Werner-Wünderlich syndrome type II: vaginal septum without perforation that connects the cervix and allows cervix fistulization.

Figure 7: Herlyn-Werner-Wünderlich syndrome type II: vaginal septum without perforation that connects the cervix and allows cervix fistulization.

Source: Own elaboration.

Pregnancies are more likely to occur in the uterus opposite to vaginal septation, although post-marsupialization increases the possibility of pregnancy on the side ipsilateral to renal agenesis. 2 The possibility of miscarriage is not ruled out; however, only 15% of patients with HWW syndrome present conceptional losses.

Patients with this pathology benefit from marsupialization of the septum that makes up the blind or fistulized vagina, in such a way that the menstrual content of the obstructed hemi-uterus is easily expelled from the cavity, thus preventing the formation of blood or hematopurulent collections.

With respect to female urogenital malformations, only 3.53% present the diagnostic triad of the HWW syndrome. 4 Another study reveals that 2-3% of the population with fertility problems have HWW syndrome and that only 0.3% of the general population suffer from this pathology. 5 1 in 2 000-28 000 women can develop this syndrome 6; the differences in frequency are explained by the iceberg theory, which would account for the disparate and unclear prevalence of the syndrome, since many patients are asymptomatic and others are underdiagnosed.

CONCLUSIONS

The HWW syndrome is a rare Müllerian malformation that can have a significant impact on the life of the patient who is suffering from this pathology, given that morphological changes make them more prone to consult for gynecological infectious diseases or blood collections (hematometra or hematocolpos). Definitive surgical management of vaginal septum improves the quality of life of patients and reduces the risk of morbidities associated with the pathology. Obstetric results are always linked to the implantation site of pregnancy.

Adequate articulation between the different networks of health service providers is required for better follow-up and adequate management of patients with HWW.

ETHICAL CONSIDERATIONS

It is hereby declared that the subject of this investigation, as well as her legal representative, participated voluntarily, following the principle of confidentiality, were aware of the possible risks or discomforts, and had the right to refuse or withdraw from the study.

REFERENCES

  1. 1. Tong J, Zhu L, Lang J. Clinical characteristics of 70 patients with Herlyn-Werner-Wunderlich syndrome. Int J Gynecol Obstet. 2013;121(2):173-5. http://doi.org/f2hq8w. [URL] 🠔
  2. 2. Wang J, Zhu L, Lang J, Liu Z, Sun D, Leng J, et al. Clinical characteristics and treatment of Herlyn-Werner-Wunderlich syndrome. Arch Gynecol Obstet. 2014;290(5):947-50. http://doi.org/f6mtdq. [URL] 🠔
  3. 3. Aswani Y. Embryogenesis of vagina and embryo-pathogenesis of Herlyn-Werner-Wunderlich syndrome. Indian J Radiol Imaging. 2016;26(3):417-8. http://doi.org/csvg. [URL] 🠔
  4. 4. Zhu L, Chen N, Tong JL, Wang W, Zhang L, Lang JH. New Classification of Herlyn-Wener-Wunderlich Syndrome. Chin Med J (Engl). 2015;128(2): 222-5. http://doi.org/f62mgw. [URL] 🠔
  5. 5. Fuentes-Rozalén A, Gómez-García MT, López-del Cerro E, Belmonte-Andújar L, Gonzáles-de Merlo G. Síndrome del Herlyn-Werner-Wunderlich. Prog Obstet Ginecol. 2015;58(18):20-4. http://doi.org/f2vvtr. [URL] 🠔
  6. 6. Sen KK, Balasubramaniam D, Kanagaraj V. Magnetic resonance imaging in obstructive Müllerian anomalies. J Hum Reprod Sci. 2013;6(2):162-4. http://doi.org/csvh. [URL] 🠔
None stated by the authors.
None stated by the authors.