Case reports
2462-8522
Universidad Nacional de Colombia
https://doi.org/10.15446/cr.v4n2.69756

Recibido: 11 de enero de 2018; Aceptado: 1 de agosto de 2018

KARTAGENER SYNDROME, CURRENT DATA ON A CLASSICAL DISEASE. CASE REPORT

S. Gómez-Correa, aI. Ruíz-Ángel, a*L. Salazar-Díaz, a

Universidad Nacional de Colombia - Bogotá Campus - Faculty of Medicine -Department of Diagnostic Imaging - Radiology and Diagnostic Imaging Research Group (GRID) - Bogotá D.C. - Colombia. Universidad Nacional de Colombia Universidad Nacional de Colombia Faculty of Medicine Department of Diagnostic Imaging Bogotá D.C Colombia

Corresponding author Iván David Ruíz-Ángel. Departamento de Imágenes Diagnósticas, Facultad de Medicina, Universidad Nacional de Colombia. Bogotá D.C. Colombia. Email: idruiza@unal.edu.co.

ABSTRACT

Introduction:

This article addresses the general aspects (pathophysiology, embryology, clinical presentation and prognosis) of the Kartagener syndrome (KS).

Case presentation:

26-year-old male patient, with a history of complicated sinusitis with cerebral abscess and secondary epilepsy, who consulted to the Hospital Universitario Nacional de Colombia due to headache, fever and mucus expectoration. The presence of situs inversus, chronic sinusitis and bronchiectasis suggested a diagnosis of primary ciliary dyskinesia and KS.

Discussion:

Differential diagnoses of KS should be framed in its possible causal relationship with primary ciliary dyskinesia and other diagnoses associated with secondary ciliary dysfunction, such as cystic fibrosis, immunodeficiency and anatomical-functional conditions with rhinosenopulmonary involvement. Clinical suspicion of KS occurs when the heart is auscultated on the right and the liver is palpated on the left. Confirmation is achieved through imaging methods that prove visceral heterotaxia, indirect methods related to scan of ciliary malfunction (nasal nitric oxide, video microscopy) and ciliary biopsy that demonstrates the defect of the ciliary ultrastructure.

Conclusions:

Respiratory infectious involvement in patients with KS is explained by the alteration of the cilia, which leads both to the malposition of some organs and to the structural and functional alteration of others.

Keywords:

Kartagener Syndrome, Primary Ciliary Dyskinesia, Cilia, embryology, Situs Inversus.

RESUMEN

Introducción.

El presente artículo aborda los aspectos generales (fisiopatología, embriología, presentación clínica y pronóstico) del síndrome de Kartagener (SK).

Presentación del caso.

Paciente masculino de 26 años, con antecedente de sinusitis complicada con absceso cerebral y epilepsia secundaria, quien consulta al Hospital Universitario Nacional de Colombia por cefalea, fiebre y expectoración mucosa. La presencia de situs inverso, sinusitis crónica y bronquiectasias sugieren diagnóstico de discinesia ciliar primaria y SK.

Discusión.

Los diagnósticos diferenciales del SK deben enmarcarse en la relación de causalidad posible con la discinesia ciliar primaria y de otros diagnósticos asociados a disfunción ciliar secundaria como fibrosis quística, inmunodeficiencia y condiciones anatómicas-funcionales con compromiso rinosenopulmonar. La sospecha clínica del SK se da cuando se ausculta el corazón a la derecha y se palpa el hígado a la izquierda. Su confirmación es mediante métodos de imagen que comprueban la heterotaxia visceral, por métodos indirectos de mal funcionamiento del barrido ciliar (óxido nítrico nasal, video microscopia) y por biopsia ciliar que demuestra el defecto de la ultraestructura ciliar.

Conclusiones.

El compromiso infeccioso respiratorio presentado por los pacientes que cursan con SK se explica por la alteración en la cilia, que conlleva tanto a la malposición de algunos órganos como a la alteración estructural y funcional de otros.

Palabras clave:

Síndrome de Kartagener, Discinecia ciliar primaria, Cilios, Embriología, Situs inversus.

INTRODUCTION

The Kartagener syndrome (KS) comprises a triad of situs inversus, bronchiectasis and para-nasal sinusitis, which is named after Dr. Manes Kartagener 1, who described the presence of paranasal sinusitis in patients in association with situs inversus and bronchiectasis observed by Siewert in 1904. 2

The KS is a rare entity that was described almost a century ago. 2 Several reports and case series have been published on this matter, although its physiopathology has only been clarified in light of recent advances in molecular and genetic biology, which explain its symptoms and signs. 3

The incidence of primary ciliary dyskinesia (PKD) is estimated at 1 case per 10 000 to 20 000 births (based on surveys of situs inversus and bronchiectasis); however, its frequency is difficult to determine due to the diagnostic difficulty related to nonspecific clinical pictures. 4

Sometimes, the diagnosis is suspected prenatally when situs inversus is documented in obstetric ultrasound 5; however, most cases are diagnosed during childhood due to repeated respiratory infections, when the clinician listens to heart sounds in the right hemithorax and chest x-ray, complemented with abdominal and paranasal sinuses imaging, shows dextrocardia. 4 Treatment is symptomatic and requires antibiotic therapy for associated infectious processes. 4

CASE PRESENTATION

26-year-old, mestizo, male patient from Pacho (Cundinamarca, Colombia), biller, middle class, who consulted due to a global tension headache of 5 days of evolution, which was classified as very severe. He also presented unquantified fever; coughing with greenish expectoration; exertional dyspnea; odynophagia; generalized arthralgia; nasal congestion, and asthenia. The patient reported a history of symptomatic focal epilepsy secondary to brain abscess at age 23 as a consequence of a previous sinus complication (the etiology was not proven). Abscess required surgical drainage and antibiotic therapy (no data were available on the procedure or antibiotic management administered). Additionally, a tomography showed findings that suggested bilateral maxillary antrostomy by endoscopic intervention.

On physical examination, the patient was in good general condition, alert, hydrated, afebrile, with oxygen saturation of 84%, without respiratory difficulty and normal blood pressure, heart rate and respiratory rate. Erythematous oropharynx was observed along with whitish plaques, heart sounds in the right hemithorax, decreased vesicular breath sounds in both lungs, occasional wheezing in the right lung and bibasal stertors.

Symptomatology was interpreted as an infectious picture of low respiratory tract origin and possible bacterial sinusitis, for which antibiotic management was initiated with ampicillin sulbactam. Further paraclinical tests included a chest x-ray that showed dextrocardia, with no signs of consolidation or pleural effusion. This was complemented with high-resolution computed tomography (HRCT) (Figures 1 and 2) and a computed tomography (CT) of the paranasal sinuses (Figure 3).

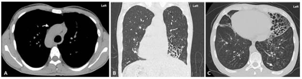
High-resolution computed tomography of the chest on 80-channel tomograph. A) right aortic arch; B) cardiac apex to the right of the midline with multiple cylindrical and sacular bronchiectasis; C) multiple micronodules with a "tree-in-bud" pattern suggesting infection.

Figure 1: High-resolution computed tomography of the chest on 80-channel tomograph. A) right aortic arch; B) cardiac apex to the right of the midline with multiple cylindrical and sacular bronchiectasis; C) multiple micronodules with a "tree-in-bud" pattern suggesting infection.

Source: Document obtained during the study.

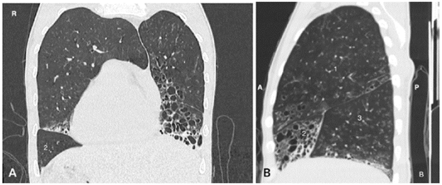
High-resolution computed tomography of the chest with isomerism of the bronchial branching pattern. A) coronal view of bi-lobed right lung; B) sagittal view of tri-lobed left lung.

Figure 2: High-resolution computed tomography of the chest with isomerism of the bronchial branching pattern. A) coronal view of bi-lobed right lung; B) sagittal view of tri-lobed left lung.

Source: Document obtained during the study.

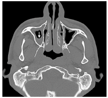
Paranasal sinus tomography with thickening of the mucosal lining, partially occupied by a soft tissue density mass.

Figure 3: Paranasal sinus tomography with thickening of the mucosal lining, partially occupied by a soft tissue density mass.

Source: Document obtained during the study.

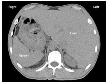
After finding dextrocardia, it was necessary to ascertain visceral situs (normal, inverted, ambiguous). A simple tomography documented pulmonary bronchiectasis, as well as liver on the left side (Figure 4), leading to suspect KS; this was confirmed with findings of chronic sinusitis in paranasal sinus tomography. In addition, HRCT showed tomographic signs of infectious bronchiolitis.

Simple tomography showing that the liver (H) is to the left of the midline and the spleen (B) to the right.

Figure 4: Simple tomography showing that the liver (H) is to the left of the midline and the spleen (B) to the right.

Source: Document obtained during the study.

Once the over-aggregated infectious process was confirmed in a patient with risk factors for pseudomonas infection, antibiotic therapy was adjusted with piperacillin tazobactam 4.5 gr IV every 6 hours for 7 days, with adequate tolerance and without complications secondary to treatment. The patient presented satisfactory clinical recovery and was discharged from the institution after completing the antibiotic scheme, with precise indications of outpatient controls by pulmonology. No images or control laboratory exams were made.

DISCUSSION

KS is part of the PKD spectrum related to an autosomal recessive genetic disorder that affects ciliary motility and predisposes to problems of laterality, rhinosopulmonary infections and impaired fertility. 4 Between 65% and 70% of patients with this disease have 2 or more mutations in at least 1 of the 35 identified PKD genes. 4 50% of patients with PKD have situs inversus, while 20% of patients with situs inversus have KS. 6

The positions of the organs are known as situs solitus (left heart, right liver), situs inversus (right heart, left liver) or situs ambiguus (some organs in an abnormal position, with others in normal position). Alterations in the genes that cause PKD lead to random situs (half of the individuals with situs inversus and the other half with situs solitus). 4

Situs is regulated by a cascade of transcription factors on the right side of the embryo that are not expressed on the left side; this was described using an animal model and was discovered more than 20 years ago by Dr. Levin. 7 To this day, the more relevant genes are SSH (which is one of the first to activate on the left side and start a whole cascade of transcription, which is not expressed on the right side) and activin β-B (which initiates the cascade on the right side and is not expressed on the left side).

Laterality depends on the movement of the cilia present in the primitive node, which are oriented upwards and immersed in extraembryonic fluid; they also move to any side of the extraembryonic fluid that contains multiple substances, contributing to gene expression. The movement of the fluid allows for different substance concentrations (which accumulate on one side only) and, therefore, for the expression of different genes in each hemi-embryo.

Ciliary movement depends on the normal configuration of the cilia, which is formed by arrangements of ten pairs of microtubules, assembled by various proteins such as dynein and others. Altered dynein in animal models, known as left-right dynein and encoded by gene IV (inversus viscerum), causes situs ambiguus.

The clinical manifestations for which patients consult do not depend on the position of the organs, since the picture of a child born with KS is given mostly by pulmonary symptoms that usually appear within 12-24 hours after birth, leading to neonatal respiratory distress syndrome in 40-80% of cases. Typical symptoms are persistent moist cough, sputum production, nasal congestion and chronic wheezing, with recurrent ear, nose and throat (ENT) infections, being the most frequent reason for consultation. 8 Respiratory symptoms are explained by the altered ciliary structure and function that prevents sweeping respiratory mucous secretions.

PKD diagnosis is confirmed by the presence of one or more of the criteria proposed by the European Society of Pneumology: low levels of nasal nitric oxide, frequency of ciliary oscillation ≤-11Hz by high speed videomicroscopy from ciliary biopsy or more than 20-30% of ciliary ultra-structural abnormalities by electron microscopy (Table 1). 9

Table 1: Sensitivity and specificity for diagnosing primary ciliary dyskinesia.

Source: Own elaboration based on Lucas et al.9.

The differential diagnoses that should be considered depend on the moment of symptom onset: in newborns, it manifests with transient tachypnea, while cystic fibrosis and other causes of bronchiectasis and rhinosopulmonary suppuration, including humoral immunodeficiencies, chronic granulomatous diseases, allergic bron-chopulmonary aspergillosis, vasculitis, severe asthma and allergic rhinitis with unusual chronic sinusitis, are observed children and adults. 8,10

Genetic diagnosis is available and multi-gene panels include most of the genes related to PKD. However, a negative result does not rule out this disease, as not all the genes involved are known to date. A positive result can detect up to 70% of all PKD cases. 11

Imaging plays a key role in proving the anatomical findings that support KS. However, the diagnostic precision of PKD is achieved with the elements mentioned above, all of which are difficult to access. Inadequate sweeping of pulmonary secretions causes bronchial dilatations or bronchiectasis that are observed as tubular opacities or ovoids of variable sizes in chest x-ray, a less sensitive method for its detection with respect to HRCT. 12

On the other hand, thin-section chest CT is the gold standard to detect bronchiectasis, although thick-section CT can also be used. The bronchial artery index is used to identify it and should normally be close to 1; however, it may increase during vasoconstriction or be normal during pulmonary hypertension. Therefore, the cardinal sign of bronchiectasis on a CT scan is the observation of bronchioles less than 1 cm from the pleural silhouette (Table 2). 12

Table 2: General distribution of bronchiectasis disease.

ABPA: allergic bronchopulmonary aspergillosis; CF: cystic fibrosis;

TB: tuberculosis; YS: Young's syndrome.

Source: Own elaboration based on Adam et al.13 and Pappas et al.14

According to the classification proposed by Reid 15, bronchiectasis is divided into cystic, cylindrical and varicose. Its characterization, in the case of this patient, was carried out by means of a CT scan that showed a predominantly cystic pattern. According to another case report 16, the three types of bronchiectasis have been described in patients with KS in equal proportions.

Situs inversus abnormalities can be recognized by conventional radiography and ultrasound. CT provides good anatomical detail of the specific condition, while MRI can be useful to assess patients with cardiac abnormalities. 6,17

Both sinus radiographs and CT scans of patients with KS may show thickening of the mucosa, opacified paranasal sinuses and hypoplastic frontal sinus.

Finally, prognosis depends on lung involvement. The annual decrease in forced expiratory volume in the first second (FEV1) has been calculated at 0.8% to 3% of the predicted value. 18 Life expectancy in patients with PKD is close to the normal population, depending on the care provided in specialized centers and early diagnosis. 10

CONCLUSION

The infectious respiratory compromise presented by patients with KS can be explained by cilia alteration, which leads to the malposition of some organs, as well as to structural and functional alteration of others. If a person with recurrent respiratory infections attends consultation, and also presents structural alterations in the lungs, PKD should be considered.

Situs and the fact that the organs are usually located to the right or left do not have yet a satisfactory explanation regarding their correlation with KS, and new theories have been proposed in this regard. For some authors, laterality is determined even during oogenesis when the chromatids separate; in any case, their clinical implication is not clear.

REFERENCES

  1. 1. Kartagener M. Zur Pathogenese der Bronchiektasien. Beitr Klin Tuberk Spezif Tuberkuloseforschung. 1933;84(1): 73-85. http://doi.org/dnx25g. [URL] 🠔
  2. 2. Gross TA. Kartagener's Triad; report of two cases. Radiology. 1954;62(3):347-50. http://doi.org/ctk2. [URL] 🠔
  3. 3. Chodharir R, Mitchison HM, Meeks M. Cilia, primary ciliary dyskinesia and molecular genetics. Paedriatr Respir Rev. 2004;5(1):69-76. http://doi.org/fhrzd9. [URL] 🠔
  4. 4. Knowles MR, Zariwala M, Leigh M. Primary Ciliary Dyskinesia. Clin Chest Med. 2016;37(3):449-61. http://doi.org/f83393. [URL] 🠔
  5. 5. Perea-Cuesta R, Rodríguez-Merchán DM. Texto guía en ecografía obstétrica para el desarrollo de programas de educación médica continuada en ultrasonido obstétrico de la Unidad de Medicina Maternofetal del Departamento de Obstetricia y Ginecología de la Universidad Nacional [tesis de especialización]. Bogotá D.C.: Facultad de Medicina, Universidad Nacional de Colombia; 2013. 🠔
  6. 6. Dutta M, Sarma J. Situs inversus totalis - a case report. National Journal of Clinical Anatomy. 2014;3(4):220-4. 🠔
  7. 7. Capdevila J, Izpisúa-Belmonte JC. Knowing left from right: the molecular basis of laterality defects. Molecular Medicine Today. 2000;6:112-8. 🠔
  8. 8. Shapiro AJ, Zariwala MA, Ferkol T, Davis SD, Sagel SD, Dell SD, et al. Diagnosis, monitoring, and treatment of primary ciliary dyskinesia: PCD foundation consensus recommendations based on state of the art review. Pediatric Pulmonology. 2016;51(2):115-32. http://doi.org/f79w6x. [URL] 🠔
  9. 9. Lucas JS, Barbato A, Collins SA, Goutaki M, Behan L, Caudri D, et al. European Respiratory Society guidelines for the diagnosis of primary ciliary dyskinesia. Eur Respir J. 2017;49(1):1601090. http://doi.org/f9vr65. [URL] 🠔
  10. 10. Honoré I, Burgel PR. Primary ciliary dyskinesia in adults. Revu Mal Respir. 2016;33(2):165-89. http://doi.org/f8d68p. [URL] 🠔
  11. 11. Shapiro A, Davis S, Manion M, Briones K. Primary Ciliary Dyskinesia (PCD). Am J Respir Crit Care Med. 2018;198(2):P3-P4. http://doi.org/ctk3. [URL] 🠔
  12. 12. Milliron B, Henry TS, Veeraraghavan S, Little BP. Bronchiectasis: Mechanisms and Imaging Clues of Associated Common and Uncommon Diseases. Radiographics. 2015;35(4):1011-30. http://doi.org/f7k94g. [URL] 🠔
  13. 13. Adam A, Dixon A, Gillard JH, Schaefer-Prokop CM, editors. Grainger & Allison's Diagnostic Radiology. 6th ed. London: Churchill Livingstone; 2015. 🠔
  14. 14. Pappas K, Pentheroudaki A, Ferdoutsis E, Melléis G, Kokkinaki M, Patsourakis G, et al. Bronchiectasis in congenital diseases. Patho-genesis, imaging, diagnostic approach. Pneumon. 2011;24(3):248-62. 🠔
  15. 15. Reid L. Reduction in bronchial subdivision in bronchiectasis. Thorax. 1950;5(3): 233-47. http://doi.org/dshwkx. [URL] 🠔
  16. 16. Vega-Ortega HA, de Araujo-Vega N; Quirino-dos Santos B, da Silva-Maia GT. Discinesia ciliar primária: considerações sobre seis casos da síndrome de Kartagener. J. bras.pneumol. 2007;33(5):602-8. http://doi.org/d46q28. [URL] 🠔
  17. 17. Afzelius BA, Stenram U. Prevalence and genetics of immotile-cilia syndrome and left-handedness. Int J Dev Biol. 2006;50(6):571-3. http://doi.org/fsjk6z. [URL] 🠔
  18. 18. Noone PG, Leigh MW, Sannuti A, Minnix SL, Carson JL, Hazucha M, et al. Primary Ciliary Dyskinesia: diagnostic and phenotypic features. Am J Respir Crit Care Med. 2004;169(4):459-67. http://doi.org/bmsdjt. [URL] 🠔
None stated by the authors.
None stated by the authors.