Case reports
2462-8522
Universidad Nacional de Colombia (Sede Bogotá), Facultad de Medicina
https://doi.org/10.15446/cr.v6n1.80443

Recibido: 14 de junio de 2019; Aceptado: 16 de septiembre de 2019

ACUTE TUBULOINTERSTITIAL NEPHRITIS DUE TO THE USE OF RIFAMPICIN. CASE REPORT

J. Motta, a*C. Rodríguez, aC. Cortes, bJ. Escobar, c

Universidad del Rosario- School of Medicine and Health Sciences -Specialization in Internal Medicine- Bogotá D.C. - Colombia. Universidad del Rosario Universidad del Rosario Bogotá D.C Colombia
Universidad del Rosario - School of Medicine and Health Sciences - Specialization in Internal Medicine -Bogotá D.C. - Colombia. Hospital Universitario Mayor Méderi - Internal Medicine Service - Bogotá D.C. - Colombia. Universidad del Rosario Universidad del Rosario Bogotá D.C Colombia
Hospital Universitario Mayor Méderi - Inpatient Department - Bogotá D.C. - Colombia. Hospital Universitario Mayor Méderi Bogotá D.C Colombia

Corresponding author Juan Camilo Motta. Internal Medicine Service, Hospital Universitario Mayor Méderi. Bogotá D.C. Colombia. Email: juan.motta@urosario.edu.co.

ABSTRACT

Introduction:

Rifampin is a cornerstone for the first phase of the treatment of pulmonary tuberculosis. This report presents the case of a patient with allergic tubulointerstitial nephritis (ATIN) due to rifampin, situation that has not been reported in Colombia.

Case presentation:

A male patient with a history of pulmonary tuberculosis treated with rifampin developed acute kidney injury. On admission, no evidence of abnormalities or history to explain the injury was found, but he did present tubular acidosis and associated Fanconi syndrome. The kidney injury was temporarily consistent with rifampicin use, and a kidney biopsy confirmed ATIN. The drug was suspended, resulting in improved kidney function.

Discussion:

ATIN as a side effect of rifampin is a scarcely reported disease. The risk of developing this condition should be considered when starting and restarting treatments with this medication.

Conclusion:

ATIN is one of the side effects of tuberculosis treatment. Albeit rare, it should be considered when starting tuberculosis medications.

Keywords:

Nephritis, Interstitial, Acute Kidney Injury, Rifampin.

RESUMEN

Introducción.

La rifampicina es un medicamento fundamental en la primera fase del tratamiento en la tuberculosis pulmonar; sin embargo, esta puede causar nefritis tubulointersticial aguda (NTIA) en raras ocasiones.

Presentación del caso.

Paciente masculino con antecedentes de tuberculosis y en tratamiento con rifampicina, quien desarrolló lesión renal aguda. Al ingreso, el sujeto no registró anormalidades o antecedentes que explicaran lesión renal, pero sí presentaba acidosis tubular y síndrome de Fanconi asociado. La lesión renal concordó temporalmente con el uso de rifampicina y una biopsia de riñón confirmó NTIA. Se ordenó suspender el medicamento, con lo cual la función renal mejoró.

Discusión.

La NTIA como un efecto secundario de la rifampicina es una enfermedad poco reportada, por tanto, al iniciar y al reiniciar el manejo con este medicamento se debe tener en cuenta el riesgo de desarrollarla.

Conclusión.

La NTIA es uno de los efectos secundarios del tratamiento de la tuberculosis y, aunque es raro, debe tenerse en cuenta al iniciar el esquema de medicamentos para la tuberculosis.

Palabras clave:

Nefritis intersticial, Lesión renal aguda, Rifampicina.

INTRODUCTION

Rifampicin is a first-line anti-tuberculosis antibiotic drug used to treat Mycobacterium tuberculosis. It inhibits the P subunit of bacterial RNA polymerase with a consequent inhibition of messenger RNA 1 ; its use can generate side effects, including liver and gastrointestinal involvement and acute kidney injury, which was reported in 0.05% of patients in a retrospective study conducted between 1987 and 1995. 2 Factors associated with increased risk of kidney involvement were reintroduction and intermittent use of rifampicin. 2,3

The onset of acute kidney injury in patients using rifampicin for the first time has been barely reported in the literature. 4 These people have a favorable prognosis for recovery of kidney function, which can range from 73% 5 to 96% 2, while mortality can reach up to 1.6%. 2

CASE PRESENTATION

A 32-year-old Hispanic male from Venezuela and living in Bogotá D.C., unemployed and with scarce socioeconomic resources, was admitted to the emergency department of the Hospital Universitario Mayor Méderi after being referred for outpatient treatment of tuberculosis. Treatment was started one month prior to consultation according to the four-drug fixed-dose combination regimen used to treat this condition (isoniazid, rifampin, pyrazinamide, and either ethambutol or streptomycin). 6

The patient's kidney function was normal prior to antituberculosis management and he had no previous exposure to other medications, but given the abnormal results of laboratory tests regarding kidney function, he was referred to the emergency department. On admission, the patient was in good general condition; hydrated; without rashes, fever, dysuria, hematuria, abdominal pain, nausea, vomiting, fatigue, or decreased or increased amount of urine; he did not present any other symptoms on review of systems, nor manifested other relevant medical history. Physical examination revealed heart rate of 78 beats per minute, respiratory rate of 18 breaths per minute, and blood pressure of 118/68 mmHg. Fist percussion was negative and there was no abdominal pain, edema, or neurological abnormalities.

Creatinine test requested by the outpatient consultation service had values of 4.17 mg/dL. On admission, new tests were performed (Table 1), which showed elevated azoids, proteinuria in non-nephrotic range and metabolic acidosis with increased anion gap; lactic acidosis and diabetic ketoacidosis were ruled out as causes of these symptoms.

Table 1: Laboratory test results on admission.

Test Results
Blood count Leucocytes: 5 460, neutrophils: 3 750, lymphocytes: 840, eosinophils: 100, hemoglobin: 10.1 mg/dl, hematocrit: 31%, mean corpuscular volume: 83.3fL, mean corpuscular hemoglobin: 32pg, red blood cell distribution width: 16.8%, platelets: 360 000.
Urinalysis Specific gravity: 1 008, pH: 5, proteins: 25 mg/dL, glucose: 100 mg/dL, red blood cells: 25xc, leucocytes: 5 xc, scarce bacteria and no eosinophiluria.
Electrolytes Sodium: 136 mmol/L, potassium: 4.6 mmol/L, chlorine: 103 mmol/L, magnesium: 2.05 mmol/L.
Others Prothrombin time: 16.1 s, thromboplastin time: 23 s, human immunodeficiency virus: negative, hepatitis b surface antigen: negative, hepatitis c antibodies: negative, cultures: negative.
Test Results
Arterial blood gases pH: 7.38, partial pressure of oxygen: 86, partial pressure of carbon dioxide: 23, bicarbonate: 14, base excess: -9.4, lactate 1, ratio of partial pressure arterial oxygen and fraction of inspired oxygen: 41 5.
Additional 24-hour urine protein: 700 mg/dL, urine sodium: 99 meq/L, urine potassium: 19.6 meq/L, urine chlorine: 78.1 meq/L, glucose: 102mg/dL.
Immunological Antinuclear antibodies: negative, anti-DNA: negative, anti-LA: negative, anti-RO: negative, anti-SM: negative, anti-RNP: negative, C3: normal, C4: normal, anti-neutrophil cytoplasmic antibodies: negative.

Source: Own elaboration.

Kidney and urinary tract ultrasound showed normal-sized kidneys with diffuse increase in echogenicity and no loss in corticomedullary differentiation.

The patient presented acute kidney disease KDIGO III 7, glomerular filtration rate of 23.38 mL/min calculated by cockroft, proteinuria in the non-nephrotic range, high anion gap metabolic acidosis, urine sediment with glycosuria, positive urine anion gap and normal central glucose. All this led to consider that there was proximal tubular involvement compatible with Fanconi syndrome.

Considering the acute renal injury with proximal and distal tubular involvement, the history of tuberculosis and that rifampicin is the most frequently involved drug in kidney failure in this type of cases 8, treatment was suspended and a kidney biopsy was indicated to confirm the origin of the failure and plan a treatment. After the suspension of rifampicin, azotemias improved until creatinine was normalized (Figure 1).

Behavior of creatinine.

Figure 1: Behavior of creatinine.

Source: Own elaboration.

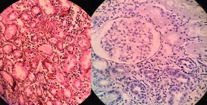
Kidney biopsy confirmed acute tubuloint- erstitial nephritis (ATIN) with inflammatory cells, eosinophils, and interstitial edema. The findings were also suggestive of drug hypersensitivity with associated tubular injury (Figure 2).

Glomeruli on light microscope.

Figure 2: Glomeruli on light microscope.

Source: Document obtained during the study.

Figure 2 shows 23 normal glomeruli with normal basement membrane, no mesangial expansion and no endocapillary or extracapillary proliferation. Tubulointerstitial findings included: interstitial inflammation of the whole cortical area; presence of mononuclear inflammatory cells (+ + + +); eosinophils (++); plasmocytes (++); tubulitis (++) with focal rupture; degenerative changes of the tubular epithelium; detachment, flattening and cellular remains at intraluminal level with some neutrophils; extensive irregular vacuolization of the tubular epithelium; and irrelevant vascular findings that did not show sclerosis or hyalinosis.

Management with prednisolone at 1 mg/kg was initiated with stabilization of kidney function after 6 weeks. Once creatinine levels normalized (0.9 mg/dl), the patient was discharged; he continued with antituberculosis treatment and tests for follow-up of kidney function.

DISCUSSION

ATIN is defined as an infiltration of inflammatory cells into the renal interstitium that leads to oliguric or non-oliguric kidney injury and causes up to 27% of sudden kidney failures. 9 The causes may be allergic, infectious, autoimmune, systemic, idiopathic or drug-induced. 5,10

Drug-induced ATIN is the most common form found in practice (up to 1/3 caused by antibiotics) and is characterized by a classic clinical triad (rash, fever, and urine eosinophils), occurring in less than 10% of patients. When it only shows kidney manifestations, this infiltration has a worse prognosis and its diagnosis is late, so in most cases it requires treatment with steroids. 11 Therefore, when it is suspected, a kidney biopsy, which is the gold standard for diagnosis, is necessary. 8,12

Rifampicin rarely causes ATIN and its onset is associated with irregular drug intake or systemic symptoms of hypersensitivity. 9 On its physiopathological mechanism, antigen I, which is found in red blood cells and tubular cells, generates a response associated with immunoglobulin M and, to a lesser extent, with agglutination by immunoglobulin G in the presence of rifampicin. When the same response is obtained in vitro without the drug, such agglutination is not observed. 12

Fanconi syndrome is an inherited or acquired disorder in the proximal renal tubules that results in excretion of amino acids, phosphate, bicarbonate and glucose. 13,14 Urine anion gap is a useful tool to diagnose distal tubular involvement and to differentiate some of its causes, such as diarrhea, in patients with metabolic acidosis. It is calculated using the formula urine sodium + urine potassium - urine chlorine, and is considered positive when the value is between 20 and 90 15; in the reported patient, the value of this anion was 40.

Although the patient was asymptomatic, ATIN diagnosis was achieved based on the findings in urine sediment, the temporal relationship with the administration of anti-tuberculous drugs, and the fact that rifampicin is the drug most associated with this pathology. 8,16

Some publications on this subject can be found in the literature. Chang et al.5, in a study conducted in Taiwan, studied acute kidney disease in patients treated with the four-drug tuberculosis regimen and found that it occurred in 7.1% of patients, of whom 11% developed the disease after first exposure to rifampicin. Muthukumar et al.3 published a case series of 25 patients with acute kidney disease secondary to the use of rifampicin; the patients presented with oliguria, and the most common histological finding was ATIN, which might be associated with anemia (96%), hemolysis (1 7%) and thrombocytopenia (50%), and could help create a diagnostic approach and reach clinical suspicion. 2 Given that Bogotá is located more than 2 600 meters above sea level, and that the reported patient was anemic, the associated physiopathology correlated with antigen I. 12 Finally, the study by Schubert et al.8, conducted between 1995 and 2007, evaluated the clinical features and complications of ATIN treated with the four-drug TB regimen, which was typically associated with re-exposure to the drugs; AITN occurred in 5% of patients and had a presentation range of 1 to 21 days after the initiation of the treatment. 8

The literature reviewed in PubMed and SciELO did not report any other cases of ATIN by rifampicin in Colombia, but there were contradictory results with respect to treatment for this disease with steroids. The review by González et al.17 suggests significant improvement in kidney function, while Effa et al.18 did not find any difference regarding the improvement of kidney function. No case reported the use of a defined dose of steroids, and the studies on which systematic reviews were conducted were very heterogeneous, mostly retrospective case reviews. In this patient, it was decided to start treatment with steroids for 6 weeks at 1 mg/kg, after which outpatient treatment was continued with complete recovery of kidney function.

CONCLUSIONS

Since there are few reported cases of ATIN in Latin America and it is a rare complication associated with rifampicin use, this case report is useful as it warns clinicians to suspect this disorder in patients who initiate or restart anti-tuberculous treatment and have subsequent kidney failure. To confirm the suspicion, further studies evaluating the effectiveness of steroids in ATIN by rifampicin at defined doses in high-prevalence tuberculosis settings should be conducted in order to define the usefulness of steroid use.

ETHICAL CONSIDERATIONS

The patient signed and gave informed consent for this case report.

Acknowledgements

ACKNOWLEDGEMENTS

To Lina María Espinosa Saltaren MD, pathologist at Fundación Santa Fe de Bogotá, who described the histopathology.

REFERENCES

  1. 1. Horsburgh CR, Barry CE, Lange C. Treatment of Tuberculosis. N Engl J Med. 2015;373(22):2149-60. http://doi.org/f3vcsx. [URL] 🠔
  2. 2. Covic A, Goldsmith DJ, Segall L, Stoicescu C, Lungu S, Volovat C, et al. Rifampicin-induced acute renal failure: A series of 60 patients. Nephrol Dial Transplant. 1998;13(4):924-9. http://doi.org/cb92rx. [URL] 🠔
  3. 3. Muthukumar T, Jayakumar M, Fernando EM, Muthusethupathi MA. Acute renal failure due to rifampicin: A study of 25 patients. Am J Kidney Dis. 2002;40(4):690-6. http://doi.org/fv843f. [URL] 🠔
  4. 4. Chiba S, Tsuchiya K, Sakashita H, Ito E, Inase N. Rifampicin-induced acute kidney injury during the initial treatment for pulmonary tuberculosis: a case report and literature review. Intern Med. 2013;52(21):2457-60. http://doi.org/ddtj. [URL] 🠔
  5. 5. Chang CH, Chen YF, Wu VC, Shu CC, Lee CH, Wang JY, et al. Acute kidney injury due to anti-tuberculosis drugs: A five-year experience in an aging population. BMC Infect Dis. 2014;14(1):23. http://doi.org/f5rcgw. [URL] 🠔
  6. 6. Colombia. Ministerio de Salud y Protección Social. Circular externa 7 de 2015 (febrero 26): Actualización de los linamientos para el manejo programático de tuberculosis y lepra en Colombia. Bogotá D.C.: Diario Oficial 49438; febrero 27 de 2015 [cited 2019 Nov 7]. Available from: Available from: http://bit.ly/34G7WMB . [URL] 🠔
  7. 7. Khwaja A. KDIGO clinical practice guidelines for acute kidney injury. Nephron Clin Pract. 2012;120(4):c179-84. http://doi.org/gf234j. [URL] 🠔
  8. 8. Schubert C, Bates WD, Moosa MR. Acute tubulointerstitial nephritis related to antituberculous drug therapy. Clin Nephrol. 2010;73(6):413-9. http://doi.org/btnrx4. [URL] 🠔
  9. 9. Joyce E, Glasner P, Ranganathan S, Swiatecka-Urban A. Tubulointerstitial nephritis: diagnosis, treatment, and monitoring. Pediatr Nephrol. 2017;32(4):577-87. http://doi.org/f9393z. [URL] 🠔
  10. 10. Krishnan N, Perazella MA. Drug-induced Acute Interstitial Nephritis: pathology, pathogenesis, and treatment. Iran J Kidney Dis. 2015;9(1):3-13. 🠔
  11. 11. Moledina DG, Perazella MA. Drug-Induced Acute Interstitial Nephritis. Clin J Am Soc Nephrol. 2017;12(12):2046-9. http://doi.org/ddtk. [URL] 🠔
  12. 12. De Vriese AS, Robbrecht DL, Vanholder RC, Vogelaers DP, Lameire NH. Rifampicin-associated acute renal failure: Pathophysiologic, immunologic, and clinical features. Am J Kidney Dis. 1998;31(1):108-15. http://doi.org/css7df. [URL] 🠔
  13. 13. Bökenkamp A, Ludwig M. Disorders of the renal proximal tubule. Nephron Physiol. 2010;118(1):p1-6. http://doi.org/d4d573. [URL] 🠔
  14. 14. Min HK, Kim EO, Lee SJ, Chang YK, Suh KS, Yang CW, et al. Rifampin-Associated tubulointersititial nephritis and Fanconi syndrome presenting as hypokalemic paralysis. BMC Nephrol. 2013;14(1):13. http://doi.org/gb49k2 . [URL] 🠔
  15. 15. Batlle DC, Hizon M, Cohen E, Gutterman C, Gupta R. The use of the urinary anion gap in the diagnosis of hyperchloremic metabolic acidosis. N Engl J Med. 1988;318(10):594-9. http://doi.org/dwgfsv. [URL] 🠔
  16. 16. Sakashita K, Murata K, Takahashi Y, Yamamoto M, Oohashi K, Sato Y, et al. A case series of acute kidney injury during anti-tuberculosis treatment. Intern Med. 2019;58(4):521-7. http://doi.org/ddtm. [URL] 🠔
  17. 17. González E, Gutiérrez E, Galeano C, Chevia C, De Sequera P, Bernis C, et al. Early steroid treatment improves the recovery of renal function in patients with drug-induced acute interstitial nephritis. Kidney Int. 2008;73(8):940-6. http://doi.org/dpjkmh. [URL] 🠔
  18. 18. Effa EE, Ekrikpo UE, Borkum M, Rayner BL, Heering P, Okpechi IG. Clinical profile and outcome of patients with biopsy-proven acute interstitial nephritis in Cape Town: A 10-year review. Clin Nephrol. 2017;88(2):97-104.http://doi.org/ddtn. [URL] 🠔
None stated by the authors.
None stated by the authors.