Case reports
2462-8522
Universidad Nacional de Colombia (Sede Bogotá), Facultad de Medicina
https://doi.org/10.15446/cr.v6n1.81485

Recibido: 5 de agosto de 2019; Aceptado: 7 de noviembre de 2019

PNEUMOMEDIASTINUM AND PNEUMOPERICARDIUM IN AN ADOLESCENT WITH ASTHMA ATTACKS. CASE REPORT

M. Ochoa-Ariza, a*J. Trejos-Caballero, bC. Parra-Gelves, bM. Camargo-Lozada, cM. Laguado-Nieto, d

Universidad Autónoma de Bucaramanga- Faculty of Health Sciences -Bucaramanga - Colombia. Clínica la Riviera - Outpatient Surgery Service - Bucaramanga - Colombia. Universidad Autónoma de Bucaramanga Universidad Autónoma de Bucaramanga Faculty of Health Sciences Bucaramanga Colombia
Universidad de Santander- Faculty of Health Sciences -Bucaramanga - Colombia. Universidad de Santander Universidad de Santander Faculty of Health Sciences Bucaramanga Colombia
Universidad Nacional de Colombia - Bogotá Campus - Faculty of Medicine -Bogotá D.C. - Colombia. Universidad Nacional de Colombia Universidad Nacional de Colombia Faculty of Medicine Bogotá D.C Colombia
Universidad Autónoma de Bucaramanga- Faculty of Health Sciences -Bucaramanga - Colombia. Universidad Autónoma de Bucaramanga Universidad Autónoma de Bucaramanga Faculty of Health Sciences Bucaramanga Colombia

Corresponding author María Fernanda Ochoa-Ariza. Outpatient Surgery Service, Clínica La Riviera. Bucaramanga. Colombia. mariafernandaochoaariza@gmail.com

ABSTRACT

Introduction:

Pneumomediastinum is defined as the presence of air in the mediastinal cavity. This is a rare disease caused by surgical procedures, trauma or spontaneous scape of air from the lungs; asthma is a frequently associated factor. It has extensive differential diagnoses due to its symptoms and clinical signs.

Case presentation:

A 17-year-old female patient presented with respiratory symptoms for 2 days, dyspnea, chest pain radiated to the neck and shoulders, right supraclavicular subcutaneous emphysema, wheezing in both lung fields, tachycardia and tachypnea. On admission, laboratory tests revealed leukocytosis and neutrophilia, and chest X-ray showed subcutaneous emphysema in the right supraclavicular region. Diagnosis of pneumomediastinum was confirmed through a CT scan of the chest. The patient was admitted for treatment with satisfactory evolution.

Discussion:

Pneumomediastinum occurs mainly in young patients with asthma, and is associated with its exacerbation. This condition can cause other complications such as pneumopericardium, as in this case. The course of the disease is usually benign and has a good prognosis.

Conclusion:

Because of its presentation, pneumomediastinum requires clinical suspicion to guide the diagnosis and treatment. In this context, imaging is fundamental.

Keywords:

Asthma, Pneumothorax, Subcutaneous Emphysema, Mediastinal Emphysema, Pneumopericardium.

RESUMEN

Introducción.

El neumomediastino se define como la presencia de aire en la cavidad mediastinal; esta es una enfermedad poco frecuente que puede aparecer por procedimientos quirúrgicos, traumas o espontáneamente (siendo el asma es un factor frecuentemente asociado) y que tiene amplios diagnósticos diferenciales debido a su sintomatología y signos clínicos.

Presentación del caso.

Paciente femenina de 17 años de edad con síntomas respiratorios de 2 días de evolución que consistían en disnea, dolor torácico irradiado a cuello y hombros, enfisema subcutáneo supraclavicular derecho, sibilancias en ambos campos pulmonares, taquicardia y taquipnea. Al ingreso, los exámenes paraclínicos evidenciaron leucocitosis y neutrofilia, y la radiografía de tórax mostró enfisema subcutáneo en la región supraclavicular derecha. Se confirmó diagnóstico de neumomediastino con tomografía axial computarizada de tórax y se hospitalizó para manejo con evolución satisfactoria.

Discusión.

El neumomediastino se presenta principalmente en pacientes jóvenes con asma y está asociado a la exacerbación de esta, asimismo, puede generar otras complicaciones en sitios continuos, como el neumopericardio del presente caso. El curso de la enfermedad es usualmente benigno y de buen pronóstico.

Conclusión.

Por su presentación, el neumomediastino requiere una importante sospecha clínica para poder orientar su diagnóstico y tratamiento; por tanto, la imagenología es fundamental.

Palabras clave:

Asma, Neumotórax, Enfisema subcutáneo, Enfisema mediastínico, Neumopericardio.

INTRODUCTION

Pneumomediastinum, also known as mediastinal emphysema, is defined as the presence of air in the mediastinum. It can be secondary to surgery, visceral perforation, infection, or trauma, but it can also occur spontaneously and is known as spontaneous pneumomediastinum 1 or Hamman's syndrome. This entity is rarely observed in emergency departments. 2

This condition can be classified into two groups. On the one hand, spontaneous pneumomediastinum has no primary cause identified and, on the other, secondary pneumomediastinum has clear causes, such as penetrating trauma, closed chest trauma, recent interventions in the esophagus or tracheo-bronchial tree, pneumothorax, mediastinal or pulmonary infection by gas-producing germs, among others. 3

Spontaneous pneumomediastinum was first described in 1819 by Laenec 3, and refers to the spontaneous rupture of the alveolus in situations of increased alveolar pressure (coughing, vomiting or Valsalva maneuvers). One of its associated conditions is asthma, as the mediastinal cavity is bounded laterally by the pleura, the diaphragm at the lower level, and the thoracic inlet at the upper level.

Moreover, pneumopericardium is defined as the presence of air in the pericardial cavity. This is a rare complication and few cases related to asthma have been reported, since it is associated with mechanical ventilation in newborns and with iatrogeny, trauma, tumors, infections or idiopathic appearances in adults. This pathology, which can often coexist with pneumomediastinum, was first described by Bricketeau in 1844. He found a sign known as bruit de moulin, which is a sound similar to that produced by the blades of a mill when they hit the water. 4,5

A patient with pneumopericardium may present mediastinal tympanism, pulsus paradoxus, jugular vein distention and muffled heart sounds; in addition, electrocardiogram may show tachycardia and signs of pericarditis. Large pneumopericardium can produce cardiac tamponades that require early diagnosis and treatment, but these are mostly mild conditions that respond to supportive measures. 4,5

CASE PRESENTATION

A 17-year-old female student from Girón (Santander, Colombia; 777 m.a.s.l.), from a middle-class household, non-smoker, with a history of asthma diagnosed since childhood (age not specified) and without treatment, attended the emergency room after experiencing symptoms for 2 days. They included persistent cough with greenish expectoration, dyspnea, wheezing, chest tightness, cough associated with cyanosis, dysphagia, and chest pain radiating to the neck and shoulders.

Physical examination found: blood pressure: 122/82 mmHg, heart rate: 107 beats per minute, respiratory rate: 22 breaths per minute, oxygen saturation: 97% at room temperature, temperature: 36°C and wheezing in both lung fields. The patient also reported pain in the right supraclavicular region and anterior neck, and subcutaneous emphysema was found in the right supraclavicular region on palpation (Table 1).

Table 1: Laboratory tests on admission.

Leucocytes 17 200 cells/mm3
Blood count Neutrophils 79.2%
Hemoglobin 15 g/DL
Hematocrit 44.7%
Platelets 367 000
Kidney Creatinine 0.72 mg/dL
function Urea Nitrogen 16.3 mg/dL
Arterial blood gas pH: 7.458, PO2: 62.2, PCO2: 32.7, SatO2: 92.8%
HCO3: 22.6 mmol/L, BE: -0.4 mmol/ L
Lactate 1.72 mmol/L

Source: Own elaboration.

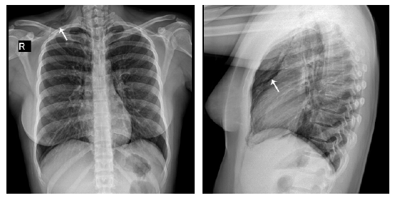
Posteroanterior and lateral chest x-rays were taken, showing normal cardiac silhouette without pleural effusions or flattening of the diaphragm, but increased bronchovascular network without consolidation towards the lung bases and subcutaneous emphysema towards the right supraclavicular region with posible pneumomediastinum (Figure 1).

Posteroanterior and lateral chest x-rays. => Subcutaneous emphysema in right supraclavicular region and air in mediastinum.

Figure 1: Posteroanterior and lateral chest x-rays. => Subcutaneous emphysema in right supraclavicular region and air in mediastinum.

Source: Document obtained during the study.

Since pain in the supraclavicular región and right anterior neck was persistent and pneumomediastinum was suspected, a computed tomography (CT) scan of the chest was indicated, confirming pneumomediastinum.

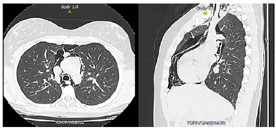
There, air was observed dissecting the mediastinal planes and the base of the neck, with extension to the supra scapular region on the right side; discrete pneumopericardium was also evident (Figure 2).

CT Scan of the chest. => Pneumomediastinum and pneumopericardium.

Figure 2: CT Scan of the chest. => Pneumomediastinum and pneumopericardium.

Source: Document obtained during the study.

Based on these findings, the patient was admitted to the hospital and advised to rest, receive oxygen by nasal cannula, respiratory therapy with bronchodilators (initially salbutamol and berodual through nebulization, and later salbutamol in spray by schedule), systemic corticoid (initially intravenous hydrocortisone and later oral prednisone), and 1.5g of intravenous ampicillin sulbactam every 6 hours.

The patient was assessed by the pneumology service, which considered that she was suffering from moderate asthma attacks, acute bronchitis with pneumomediastinum, and pneumopericardium. For this reason, bronchodilator and corticoid treatment was continued, and clarithromycin 500mg orally every 12 hours was added to the antibiotic treatment, which continued to be ampicillin sulbactam until completing 7 days. She had good adherence to treatment and showed no adverse reactions.

Table 2: Follow-up laboratory tests.

Source: Own elaboration.

Finally, a follow-up chest x-ray showed normal cardiac silhouette with increased bronchovascular network without consolidation towards the bases; no pleural effusions or flattening of the diaphragm were found. The patient completed the antibiotic treatment established by pneumology with adequate clinical response, resolution of wheezing, improvement of dyspnea and absence of subcutaneous emphysema, so she was discharged with medical recommendations and warning signs.

DISCUSSION

Pneumomediastinum is a rare entity with a prevalence of 1 case per 7 000-44 000 hospital admissions. It is more frequently observed in young patients without comorbidities, with the exception of asthma, and more than 75% of the cases occur in males with an average age of 20. 6

Two incidence peaks have been reported in the pediatric population: in children under seven years of age, probably secondary to lower respiratory tract infections, and in adolescents, due to asthma attacks and upper respiratory tract infections. 7 The increase in intrathoracic pressure is the main predisposing factor: the rupture of the alveoli, secondary to a difference in pressure gradients between the alveoli and the mediastinum, moves the air from the place with the highest pressure gradient (intra-alveolar space) to the mediastinal structures with the lowest pressure gradient. 8 The dissection to release the free air is not only limited to the mediastinum, as this communicates with the mandibular space, the retropharyngeal space and the vascular beds within the neck. Once in the mediastinum, air can flow and cause pneumoperitoneum, pneumothorax and subcutaneous emphysema, although free air has also been found in the peritoneum, causing pneumoperitoneum. 1,9

Regarding severe asthma, pneumomediastinum develops due to the over-expansion of the distal airways caused by bronchial obstruction with subsequent alveolar rupture. The most common symptoms described in the literature are dyspnea and chest and neck pain. 10,11 Chest pain is acute, retrosternal and pleuritic, and may radiate to the neck, dorsal region or shoulders. 10 Neck edema and odynophagia have also been reported and, on physical examination, neck skin crackles are palpated, a finding consistent with subcutaneous emphysema. 11

Rarely, voice changes and dysphagia may be observed, which are secondary to the displacement, usually anterior, of the larynx and esophagus by the air present between the fascias. 12 The accumulation of air between the anterior parietal pericardium and the underlying chest wall can produce a crackling in the precordium region, which is synchronized with heart sounds. 10,12 In the case presented here, the patient's symptoms coincided with the literature, which reports that this pathology can occur in asthmatic patients, generally in contexts of exacerbation of respiratory symptoms. Clinically, there are no signs that allow associating pneumopericardium with asthma.

Patients with suspected pneumomediastinum diagnosis should undergo anteroposterior and lateral chest x-ray that includes the cervical area. 3 Confirmatory imaging findings include signet ring sign around the artery, double bronchial wall sign, continuous diaphragm sign, thymic sail sign, and subcutaneous emphysema. 3,8 The results of this test are usually normal in 10-30% of patients, especially in supine projection. 3

If the x-ray does not provide information, the chest CT will lead to the diagnosis, as it has been shown to be superior to x-ray in locating and measuring the extent; it is also important for differential diagnosis. 6,8 In this case, the disease was confirmed based on the images, which showed pneumopericardium, although no clinical sign had been reported.

In general, pneumomediastinum is benign and has good prognosis 1; its treatment is usually conservative, based on pain management, rest and bronchodilators. In addition, Valsalva maneuvers should be avoided and sometimes antibiotics and oxygen are necessary 6,10, reaching clinical resolution around the fourth day. 8 Pneumopericardium may resolve spontaneously, but in some cases pericardial drainage is necessary, especially with signs of tamponade. 5

The differential diagnosis of spontaneous pneumomediastinum includes pneumothorax, pulmonary embolism, pericarditis, tracheobronchial tree rupture and Boerhaave syndrome (retrosternal chest pain and subcutaneous emphysema in the neck after vomiting). 12

CONCLUSION

Spontaneous pneumomediastinum is a rare condition that has signs and symptoms that may suggest several diagnostic options, ranging from general respiratory symptoms to precordium pain and subcutaneous emphysema. With respect to pneumopericardium, clinical findings include mediastinal tympanism, pulsus paradoxus, jugular vein distention or alterations perceived during auscultation, findings that are not always present, making clinical suspicion and diagnostic guidance vital to reach an effective treatment. Therefore, imaging is fundamental; the imaging method of choice is chest X-ray, although, in the event of normal findings and high clinical suspicion, a chest CT should be performed.

The evolution of pneumomediastinum is generally benign and associated with a good prognosis, but taking into account that it is rare, it is important to rule out other pathologies that may trigger an unfavorable outcome in the patient.

ETHICAL CONSIDERATIONS

The authors state that no human or animal experiments were conducted for this research and that the workplace protocols on patient information management were followed.

This case report was approved by the ethics committee of Los Comuneros Hospital Universitario de Bucaramanga S.A., by means of an unnumbered document dated May 22, 2018. The patient's mother authorized its publication in writing.

Acknowledgements

ACKNOWLEDGEMENTS

None stated by the authors.

REFERENCES

  1. 1. Kouritas VK, Papagiannopoulos K, Lazaridis G, Baka S, Mpoukovinas I, Karavasilis V, et al. Pneumomediastinum. J Thorac Dis. 2015;7(Suppl 1):S44-9. http://doi.org/dfg2. [URL] 🠔
  2. 2. Grapatsas K, Tsilogianni Z, Leivaditis V, Ko-toulas S, Kotoulas C, Koletsis E, et al. Ham-man's syndrome (spontaneous pneumomediastinum presenting as subcutaneous emphysema): A rare case of the emergency department and review of the literature. Respir Med Case Rep. 2017;23:63-5. http://doi.org/dfg4. [URL] 🠔
  3. 3. Cáceres M, Ali SZ, Braud R, Weiman D, Garrett HE Jr. Spontaneous pneumomediastinum: a comparative study and review of the literature. Ann Thorac Surg. 2008;86(3):962-6. http://doi.org/bmrrgw. [URL] 🠔
  4. 4. Montiel-Trujillo A, Ruiz-Ruiz M, Jiménez-Navarro M, Gómez-Doblas JJ, Rueda-Calle E, de Teresa E. Neumopericardio en un paciente asmático. Descripción de un caso y revisión de la bibliografía. Rev Esp Cardiol. 1999;52(11):1015-8. 🠔
  5. 5. Ciobanu P, Donoiu I, Militaru C, Istratoaie O. Neumopericardio en un paciente joven con pericarditis tuberculosa. CorSalud. 2018;10(1):78-9. 🠔
  6. 6. Álvarez C, Jaude A, Rojas F, Cerda C, Ramírez M, Cornejo C. Neumomediastino espontáneo (síndrome de Hamman): una enfermedad benigna mal diagnosticada. Rev Méd Chile. 2009;137(8):1045-50. http://doi.org/cjxv9n. [URL] 🠔
  7. 7. Tortajada-Girbés GM, Moreno-Prat M, Ainsa-Laguna D, Mas S. Spontaneous pneumomediastinum and subcutaneous emphysema as a complication of asthma in children: case report and literature review. Ther Adv Respir Dis. 2016;10(5):402-9. http://doi.org/dfg7. [URL] 🠔
  8. 8. Morcillo KL, Vallejo EL. Sindrome de Hamman: presentación de dolor torácico en un adolescente. Rev Colomb Cardiol. 2015;22(1):62-5. http://doi.org/f26dt8. [URL] 🠔
  9. 9. Mitchell PD, King TJ, O Shea DB. Subcutaneous Emphysema in Acute Asthma: A Cause for Concern? Respir Care. 2015;60(8):e141-3. http://doi.org/dfg8. [URL] 🠔
  10. 10. Macia I, Moya J, Ramos R, Morera R, Escobar I, Saumench J, et al. Spontaneous pneu-momediastinum: 41 cases. Eur J Cardiothorac Surg. 2007;31(6):1110-4. http://doi.org/fntj86. [URL] 🠔
  11. 11. Huon LK, Chang YL, Wang PC, Chen PY. Head and Neck Manifestations of Spontaneous Pneumomediastinum. Otolaryngol Head Neck Surg. 2012;146(1):53-7. http://doi.org/dz93c5. [URL] 🠔
  12. 12. Iyer VN, Josh AY, Ryu JH. Spontaneous Pneumomediastinum: Analysis of 62 Consecutive Adult Patients. Mayo Clin Proc. 2009;84(5):417-421. http://doi.org/fx5q9h. [URL] 🠔
None stated by the authors.
None stated by the authors.