DYNA
0012-7353
2346-2183
Universidad Nacional de Colombia
https://doi.org/10.15446/dyna.v87n214.83737

Recibido: 27 de noviembre de 2019; Revision Received: 5 de junio de 2020; Aceptado: 30 de junio de 2020

Cutinases obtained from filamentous fungi: a comparison of screening methods

Cutinases obtenidas de hongos filamentos: comparación de métodos de screening

H. Rueda-Rueda, aE. Prieto-Correa, aC. Jiménez-Junca, a

Facultad de Ingeniería, Universidad de La Sabana, Campus Puente del Común, Bogotá - Chía, Colombia. alfonso_214@yahoo.es, prieto.erlide@gmail.com, carlosjj@unisabana.edu.co Universidad de la Sabana Facultad de Ingeniería Universidad de La Sabana Bogotá Colombia

Abstract

Cutinases are secreted by filamentous fungi that and hydrolyze polymers. However, few selection methods for cutinases are available. Here, we studied three screening methods using 33 strains of filamentous fungi isolated from banana rachis with high potential to produce cutinases. In the first method, strains were grown in Czapec-Dox mineral medium containing flaxseed oil. We note that six strains of the genera Fusarium, Penicillium, and Mucor had cutinase activity. The second method evaluated strains with triacetin in rhodamine B, which indicated what strains had esterase property. Finally, strains were subjected to fermentation with flaxseed oil; lipolytic and cutinolytic activity were determined. The species identified as the best producers of cutinases were Fusarium fujikuroi and Penicillium chrysogenum, and we obtained two extracellular cutinases with activities of 33.5 U/mL and 39.4 U/mL respectively. Cutinase was confirmed via degradation of tomato cutin through FTIR.

Keywords:

filamentous fungi, cutinases, cutinase activity, agroindustrial wastes, flaxseed oil.

Resumen

Las cutinasas son secretadas por hongos filamentosos que hidrolizan polímeros. Sin embargo, pocos métodos de selección están disponibles. En este trabajo, tres métodos fueron estudiados, usando 33 cepas de hongos filamentosos aislados de banana rachis con alto potencial para producir cutinasas. En el primer método, las cepas fueron crecidas en medio mineral Czapec-Dox que contenía aceite de linasa, encontrándose que seis cepas de los géneros Fusarium, Penicillium and Mucor podrían tener actividad cutinasa. El segundo método consistió en evaluar las cepas con triacetina en rodamina, indicando que cepas tenían propiedades esterasas. Finalmente, las cepas fueron sometidas a fermentación con aceite de linasa; actividad lipolítica y cutinolítica fue determinada. Las especies identificadas como las mejores productoras de cutinasas fueron Fusarium fujikuroi y Penicillium chrysogenum, obteniéndose 2 cutinasas extracelulares con actividades de 33.5 U/mL y 39.4 U/mL respectivamente. Las cutinasas fueron confirmadas por degradación de cutina de tomate a través de FTIR.

Palabras clave:

hongos filamentosos, cutinasas, actividad cutinasa, residuos agroindustriales, aceite de linasa.

1. Introduction

Cutinases are serine esterases that belong to the α/β hydrolase superfamily. They possess a classical Ser-His-Asp catalytic triad in which the catalytic serine is exposed to solvent because cutinases lack a hydrophobic lid that covers the serine active site in lipases. The cutinase active site is large enough to accommodate high molecular-weight substrates such as cutin and some synthetic polyesters as well as soluble low molecular weight esters and short and long chain triacylglycerols [1].

Cutinase is distinct among the α/β hydrolases because, unlike the majority of esterases [2], it can hydrolyze lipid substrates. Unlike lipases [3], its activity is not activated by interfacial effects, and its properties can be used to identify the cutinases [4].

Filamentous fungi are among the microorganisms that have the largest arsenal of cutinases. Given the diversity that exists of microorganisms with the potential to produce cutinases, it is necessary to have a practical method for their identification.

There are several methods to measure cutinolytic activity. The first method consisted of pH indicators in basic form with purified cutin as a carbon source [5]. Unfortunately, natural cutin is not commercially available, and it must be prepared by individual laboratories via extraction with organic solvent, followed by treatment with pectinases, cellulases, and lipases to eliminate contaminants. Its performance is minimal [6]. This may lead to errors in the selection of cutinase-producing microorganisms based on the reproducibility of the cutin preparation.

Other methods are based on rapid tests to rule out other hydrolytic enzymes such as esterases and lipases. From these, the most accepted is the rhodamine B method in conjunction with methods that use 4-nitrophenyl esters [7]. Initially the strains of interest are evaluated with short chain triglycerides in the presence of Rhodamine B showing a fluorescent halo in response. Here, the ester bond can only be cleaved by esterases and cutinases thus ruling out lipases that prefer long chains and a water-oil interface [3]. The microorganisms pre-selected in the previous stage should be inoculated in liquid mineral medium and incubated in the presence of cutin to induce the production of cutinases and finally analyze the supernatants with 4-nitrophenyl esters [6]. One limitation of this method is the growth of the strains with cutinase potential. The 4-nitrophenyl esters are suitable substrates, but they are highly susceptible to impurities in the preparation of the enzyme. Thus, if one does not select the right ester, then many lipases or esterases can hydrolyze them.

Methods of identification of cutinase in SDS-PAGE gels have also been developed where proteins can be renatured in a buffer solution, and their hydrolytic capacity evaluated in cutin via infrared spectroscopy [8]. However, this again leads to problems in preparation of the cutin. The difference is that the amount needed for the tests is only a few milligrams.

The following study compares screening methods that allow one to select cutinase-producing microorganisms with flaxseed oil as a substitute; this only uses cutin as a confirmatory test at the end of the process. This is due to the diversity of existing methods for the identification of cutinase-producing microorganisms that involve the preparation of cutin. This work is also based on studies showing that flaxseed oil is a better inducer of cutinases than cutin [9].

2. Materials and Methods

2.1. Biological material

Here, 33 strains isolated from Banana rachis residues was identified morphologically and molecularly [10]. The strains are grouped into 9 genera of filamentous fungi.

2.2. Preparation of the inoculums

The inoculum was prepared using aliquots of 10 mL distilled water for every 3 petri dishes with potato dextrose agar (PDA) inoculated with the fungal strains after 72 h of growth. The inoculum assayed 6.2x106 spores/mL [11].

2.3. Selection of microorganisms with cutinolytic activity

2.3.1. Basic indicator method

The cutinases-selective medium was used for screening and testing strains of filamentous fungi with high potential cutinase. This work consisted of a modified Czapeck-Dox medium (3 g NaNO3, 1 g K2HPO4, 0.5 g KCl, 0.01 g FeSO4.7H2O and 17 g agar-agar in 1 L of distilled water). Flaxseed oil (1% w/v) served as the sole source of carbon, and phenol red was an indicator at pH 9. When the color became yellow, the test was confirmed to have cutinases [5].

The negative control was a glucose carbon source; all tests were done in triplicate and incubated at 25 ° C.

2.3.2. Rhodamine B method

Fungal strains were inoculated into Petri dishes containing triacetin agar (containing the colorant Rhodamine B) culture medium and incubated at 30 ° C for 8 days. The formation of a fluorescent halo around a colony during growth indicated the production of the enzyme [7]. The test was done in triplicate.

2.3.3. P-NPB method

All strains were inoculated in 10 mL of a culture medium composed of 0.06% NaNO3, 0.06% K2HPO4, 0.02% MgSO4, 0.02% KCl, 0.01% FeSO4.7H2O, at pH 7.2, plus 1% (w/v) flaxseed oil as the carbon source.

The cultures were incubated at 30 ° C and shaken at 100 rpm for 96 hours. After culture development, the tubes were centrifuged at 1070 x G at 10°C, for 15 minutes. The cutinase and lipase activities were measured in the supernatants [7]. In the negative control, glucose was used as the carbon source, and all tests were carried out in triplicate.

2.3.3.1. Cutinase Assay

Cutinase activity was determined spectrophotometrically following the hydrolysis of P-NPB at 405 nm. An aliquot (70 μL) of the culture supernatant was added to 3.43 mL of a reaction mixture having the following composition: 0.56 mL P-NPB dissolved in 50 mM phosphate buffer at pH 7.0 with 0.2% (N/P) Triton X-100 and 0.43 M in tetrahydrofuran. The reaction was monitored for 1 minute against a blank solution. One unit of cutinolytic activity was defined as the amount of cutinase required to release one micromole of p-nitrophenol in one minute under the specified conditions [12].

2.3.3.2. Lipase Assay

One milliliter of the culture supernatant was added to a reaction mixture containing 2 mL of 0.1 M phosphate buffer at pH 7.0 and 5 mL of an emulsion with composition (v/v): 75% arabic gum (7%) and 25% olive oil. The solution was incubated at 37°C for 30 minutes with shaking at 120 rpm. After incubation, the reaction was stopped by adding 15 mL of ethanol: acetone 1: 1 (v/v). The fatty acids were released and titrated with 0.05 M NaOH. One unit of lipase activity was defined as the amount of enzyme required to release a micromole of oleic acid in one minute per mL under specified conditions [13]. Fig. 1 shows the selection process for each method.

Selection process for microorganisms with cutinolytic activity.

Figure 1: Selection process for microorganisms with cutinolytic activity.

Source: The Authors.

2.4. Proteins and cutinase determination

The amount of total proteins was determined by the Bradford method, and protein presence was confirmed by electrophoresis.

2.4.1. Bradford method

The dye reagent was prepared according to Bradford [14]. Coomassie brilliant blue G-250 (100 mg) was dissolved in 50 mL 95% ethanol. A volume of 100 mL of phosphoric acid (85% w/v) was added, and the solution was diluted to 1 L with deionized water and immediately filtered twice. The dye reagent was stored at 4°C and protected from light.

For protein determinations, 50 μL culture supernatants were taken, and 200 μL of the Bradford reagent was added. The measurement was carried out after 5 minutes against a blank of deionized water. All tests were performed in triplicate.

The total protein concentration present in the culture supernatants was determined for a calibration curve using serum albumin (BSA) as a protein standard. The absorbance was measured at 450 nm and 595 nm and the Abs595/Abs450 ratio was calculated.

2.4.2. Protein electrophoresis

Electrophoresis was performed in a MiniProtean II vertical chamber (Bio-Rad Laboratories Inc., CA-USA), and molecular weight determinations were carried out with SDS-PAGE using 12% acrylamide gels [8].

The samples were mixed in a 3:1 ratio with 5X loading buffer (60 mM tris-HCl, 25% v/v glycerol, 2% w/v SDS, 14.4 mM 2-mercaptoethanol, and 0.1% bromophenol blue at pH 6.8). These were heated at 100 ° C for 5 minutes and then loaded on acrylamide gel. The electrophoresis was performed at a constant voltage of 200 V. Tris-glycine-SDS run buffer (tris 25 mM, glycine 192 mM and SDS 0.1% w/v) was used. The molecular weight of the proteins was determined by comparing their mobility with that of a mixture of proteins that varied in size from 15 kDa to 250 kDa.

After separating the protein samples by SDS-PAGE, the cutinase activity was determined using tomato cutin. The enzymes were renatured by washing the acrylamide gel with 0.1 M phosphate at pH 7.5 for 30 minutes with constant stirring at room temperature. A second wash was performed in the same phosphate buffer containing 5% Triton X-100 and the initial wash step was repeated.

2.5. Cutin extraction

Ripe tomatoes were purchased from the local market and were used to extract cutin. The tomatoes were peeled, and the peel added to a boiling oxalate buffer solution at pH 3.5 for 15 minutes or until it fully devoid of pulp. The peel was then filtered, washed, dried at 40°C, and extracted with chloroform-methanol (1: 1) and vacuum-dried. The resulting powder was treated with cellulase and pectinase in 0.05 M acetate buffer at pH 4.0 for 16 hours at room temperature with agitation, and finally filtered, washed, and dried at 40°C. The structure of the cutin was confirmed by FTIR.

2.6. Cutinases Identification

To identify cutinases, the renatured enzymes of the electrophoresis were reacted in the presence of tomato cutin dissolved in toluene, and hydrolysis was monitored by FTIR for 72 hours.

The cutinase was diluted 2.5-fold in phosphate buffer 0.05 M at pH 7.5. 700 μL of these solutions were used for the reactions, and then 5 mg of cutin previously suspended in 300 μL of toluene was added to achieve a final reaction volume of 1 mL. A blank where cutinase was not added was also similarly evaluated. Reactions were incubated for 72 hours at 37 ° C and 100 rpm.

To identify the hydrolysis product, the organic phase was extracted with chloroform and suction filtration in a Büchner funnel through a 0.45 μm nylon membrane (Whatman). The solvent was removed by suction and the samples were analyzed by FTIR.

3. Results and Discussion

3.1. Basic pH Indicator Method

Table 1 shows that for the basic indicator method, the Fusarium fujikuroi (H2), Penicillum chrysogenum (H7), Penicillium solitum (H10), and Mucor fragilis (H16) species grew and exhibited yellow zones after 8 days in presence of the phenol red pH indicator. This is because the pH of the medium decreased when the fatty acids released from the hydrolysis of flaxseed oil were released.

Table 1: Screening for the Selection of Cutinase Producing Microorganisms

Species Isolated rating phenol red rating Rhodamine B Cutinase activity (U/mL) Lipase activity (U/mL)
Syncephalastrum racemosus H23 + - 13,7 ± 0,2 0,1 ± 0,0
Fusarium sp H1 - - 0 0
Fusarium fujikuroi H2 ++ ++ 33,5 ± 2,0 0,1 ± 0,1
Fusarium sp H4 + - 3,5 ± 0,2 2,3 ± 0,2
Fusarium fujikuroi H9 + - 2,4 ± 0,4 33,6 ± 0,8
Fusarium sp H11 - - 0,2 ± 0,0 1 ± 0,1
Fusarium fujikuroi H14 + - 1 ± 0,0 1,1 ± 0,0
Fusarium oxysporum H17 + - 0,4 ± 0,1 12,9 ± 0,2
Fusarium fujikuroi H19 + - 9,35 ± 2,50 0,30 ± 0,02
Fusarium fujikuroi H24 ++ ++ 3,3 ± 0,6 9,7 ± 0,5
Fusarium sp H27 - - 0,3 ± 0,1 0,2 ± 0,1
Fusarium equiseti H29 + - 2,2 ± 0,5 15,7 ± 0,7
Trichoderma harzianum H5 + ++ 23,0 ± 1.9 0,9 ± 0,1
Trichoderma harzianum H12 + - 1,1 ± 0,2 10,0 ± 0,2
Penicillium sp H6 + ++ 0,5 ± 0,1 58,9 ± 0,3
Penicillium chrysogenum H7 ++ ++ 39,3 ± 7,2 0,1 ± 0,0
Penicillium solitum H10 ++ ++ 2,6 ± 0,2 6,5 ± 0,0
Penicillium citrium H25 + - 0,6 ± 0,1 69,9 ± 2,0
Penicillium chrysogenum H36 ++ ++ 1,5 ± 0,5 13,6 ± 0,6
Cladosporium pseudocladosporoides H31 - - 15,9 ± 1,0 0,9 ± 0,1
Cladosporium clasdosporoides H32 - - 0 0
Verticillium luteoalbum H18 + - 0,7 ± 0,2 16,4 ± 0,5
Verticillium luteoalbum H22 - - 2,9 ± 0,8 7,9 ± 0,4
Verticillium luteoalbum H26 + - 25,0 ± 4,8 0,1 ± 0,0
Verticillium nigrescens H28 + - 2,4 ± 0,3 23,8 ± 2,5
Verticillium luteoalbum H35 - - 2,1 ± 0,5 21,9 ± 3,2
Mucor nidicola H13 - - 2,4 ± 0,1 1,0 ±0,1
Mucor fragilis H16 ++ - 9,9 ± 0,1 4,9 ± 0,0
Mucor fragilis H20 + - 9,5 ± 0,1 0
Mucor fragilis H30 + - 4,2 ± 1,2 11,9 ± 0,4
Mucor piriformis H34 - - 0 0
Phoma sp. H21 - - 0,2 ± 0,0 14,5 ± 2,7
Botrytis cinerea H33 - - 0,7 ± 0,2 5,8 ± 0,2

Symbols: ++ = growth of fungi strains and detectable color change on selective medium, + = growth of fungi strains but no detectable color change on selective medium, - = no growth

Source: The Authors.

In contrast to glucose, the production of hydrolytic enzymes was inhibited by not exhibiting a change of coloration in the medium, which excluded the possibility that the dye had an effect on the growth of the fungus and that the color change was due to the presence of other acid molecules (Fig. 2).

Phenol red method: pink plate corresponds to glucose assay and yellow plates corresponds to flaxseed oil assay.

Figure 2: Phenol red method: pink plate corresponds to glucose assay and yellow plates corresponds to flaxseed oil assay.

Source: The Authors.

The test was convenient and rapid for the initial detection of cutinase production by filamentous fungi; 82% of the population were negative (33 strains x 82% discarded implies 6 confirmed strains). Thus, this is a slightly more selective alternative to 4-nitrophenyl esters. However, this method could be positive for lipases because these enzymes can cleave ester bonds of long chain triacylglycerols [3,15]. While this assay can be used to characterize the activity of cutinases, it cannot confirm that enzymes that produced the color change were cutinases.

3.2. Rhodamine B Method

Fig. 3 shows that due to the growth of fungi, the possible excreted hydrolytic enzymes released free acetic acid fatty acids from triacetin, which formed the quaternary ammonium salt [9- (2-carboxyphenyl)-6-diethylamine-3-xanthenylidene]-diethyl ammonium in the presence of Rhodamine B producing fluorescence. The Fusarium fujikuroi (H2), Penicillum chrysogenum (H7), Penicillium solitum (H10), Penicillum sp (H6) and Trichoderma harzarium (H5) species produced the fluorescent halo at 8 days of incubation (Table 1).

Rhodamine B Method: first plate fluorescent halo, second plate initial condition.Rhodamine B Method: first plate fluorescent halo, second plate initial condition.

Figure 3: Rhodamine B Method: first plate fluorescent halo, second plate initial condition.

Source: The Authors.

Versus the previous method, Fusarium fujikuroi, Penicillum chrysogenum, and Penicillium solitum species could cleave ester bonds both long and short chain with and without a water-oil interface. This confirms the cutinase behavior [16]. Penicillum sp. and Trichoderma harzarium species tested positive for Rhodamine B. However, the phenol red tests had no change in coloration although they showed growth. This indicated that although there might be cutinases, their production was lower.

Mucor fragilis species showed no growth in the presence of triacetin agar. This confirmed that the enzyme could hydrolyze the long chain triglycylglyceride with a water-oil interface but not the short chain. This data confirmed the characteristic behavior of lipase [17].

The Rhodamine B method cannot definitively identify cutinases because estereses can also be positive. This type of assay can only pre-select cutinase-producing microorganisms, but their identity must be demonstrated by additional tests. For example, this cleaves the ester bonds in long-chain triacylglycerols. Thus, this method is a good complement to the phenol red method.

3.3. Cutinase assay with P-NPB

All strains were measured for activity with P-NPB. The most active species were: Fusarium fujikuroi (H2), Penicillum chrysogenum (H7), Verticillium leteoalbum (H26), Trichoderma harzianum (H5) and Cladosporium pseudocladosporoides (H31). These had values of 33.5 U/mL, 39.4 U/mL, 25 U/mL, 23 U/mL and 15.9 U/mL, respectively. Species Penicillium solitum (H10), Penicillum sp (H6) showed activities less than 5 U/mL.

Due to presence of a water-oil interface during incubation of the strains, the lipolytic activity of supernatants was measured to rule out a possible induction of lipases [18]. Penicillium solitum and Penicillium sp. species showed activities of 6.5 U/mL and 58 U/mL, respectively.

When comparing the results by the method of phenol red and Rhodamine B in the case of Penicillium solitum, a contribution to the decrease in pH could be produced by the generation of cutinases and lipases in the first method. In the second method, the fluorescent halo could only be developed via cutinases and esterases strongly induced by the substrate.

Penicillium sp showed a lipase activity of 58.9U/mL indicating a strong predisposition to produce lipases. However, the phenol red method was not strongly affected by these enzymes possibly due to a lack of good water-oil ratios that would induce their production. Activity with P-NPB for this species was 0.5 U/mL. The Rhodamine B assay formed a fluorescent halo. The reason that these two methods did not correlate could be the fact that the species was not a producer of cutinase but of esterase-induced by triacetin. The same could happen with Penicillum chrysogenum (H36) and Fusarium fujikuroi (H24).

Verticillium leteoalbum (H26) was positive for the phenol red method and negative for the Rhodamine B method indicating that the species was a producer of lipase and not of cutinases or esterases. However, the lipolytic activity was 0.9U/mL while the activity of P-NPB was 15.9 U/mL. The lack of concordance of the results could be because the species needs a mineral medium in addition to the substrate to produce cutinases; this mineral medium was absent in the Rhodamine B assay. This type of behavior is not usual for cutinases but there are studies that have shown that some cutinases require the presence of minerals to change the conformation of their active site. This type of cutinases they a hydrophobic cover and are called lipolytic cutinases [16].

Cladosporium pseudocladosporoides (H 31 ) showed an activity of 15.9 U/mL with P-PNB; the methods of phenol red and Rhodamine B were negative. This could be because the growth and enzymatic production was influenced by incubation temperature, humidity, and time, which led to the formation of isoforms dependent on the fermentation medium and therefore the components in the liquid medium stabilized the enzymes differently to give a positive response to the P-NPB assay [19,20].

Fusarium fujikuroi (H2), Penicillum chrysogenum (H7), and Trichoderma harzianum (H5) had results in the three methods that were concordant. The pH decreases in phenol red causing a change in the medium color and a fluorescent halo with Rhodamine B. This shows that they could splitting short and long chain triacylglycerol ester bonds. These data confirmed that the activity of P-PNB is greater than 20 U/mL with low lipase activity.

3.4. Cutinases Identification

Fig. 4 shows the specific activity of crude extracts from the 5 species selected by the P-NPB method. The species Fusarium fujikuro and Penicillum chrysogenum had the highest specific activity with activity values of 16.8 U/mg and 8.6 U/mg, respectively. Trichoderma harzianum had the highest protein value of 40.9 mg/mL. This could be because the amount of protein obtained did not correspond to cutinases as in previous cases.

Comparison between total proteins, cutinase activity, and specific activity.

Figure 4: Comparison between total proteins, cutinase activity, and specific activity.

Source: The Authors.

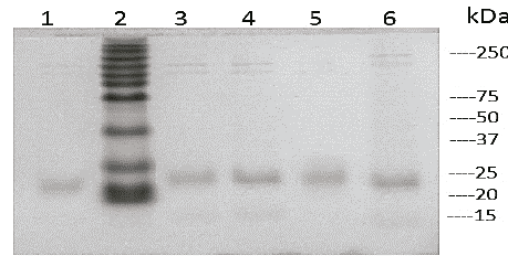
Fig. 5 shows the determination of the molecular weight of cutinases by SDS-PAGE electrophoresis. The analysis of the electrophoresis of the crude extracts shows proteins of low molecular weight (around 20-25 kDa) similar to those reported in the literature for fungal strains [21].

Electrophoresis SDS-PAGE. Line 1 H26, line 2 molecular marker, line 3 H5, line 4 H31, line 5 H7 and line 6 H2.

Figure 5: Electrophoresis SDS-PAGE. Line 1 H26, line 2 molecular marker, line 3 H5, line 4 H31, line 5 H7 and line 6 H2.

Source: The Authors.

Fig. 6 shows the spectra of the hydrolysis reaction between the crude extracts of species Fusarium fujikuro, Penicillum chrysogenum, and the tomato cutin via FTIR. Hydrolyzed cutin was obtained after 72 hours. The appearance of the carboxylic acid absorption bands can be observed in 1792 and 1770 cm-1 for H2 and H7, respectively, while an ester band at 1784 cm-1 is observed for cutin. In addition, the typical bands for the hydroxy group 3278 cm-1 were higher in the hydrolyzed cutin (3322-3378 cm-1), which explains why the hydroxyl groups were generated after hydrolysis of the cutin ester.

Hydrolysis of tomato cutin by FTIR.

Figure 6: Hydrolysis of tomato cutin by FTIR.

Source: The Authors.

The main products due to the degradation of tomato cutin are 8, 16, 9, 16, 10, 16-dimethoxy-hexadecanoic acid, hydroxy- methoxy hexadecanoic acid, and palmitic acid derivatives. Fig. 6 shows the palmitic acid FTIR bands, which are similar to those obtained by the cutin hydrolyzed by Fusarium fujikuro and Penicillum chrysogenum confirming its degradation. The results are comparable to those mentioned in the literature for apple cutin and its hydrolysis [8].

Finally, the SDS-PAGE and FTIR suggests that the P-NPB method using flaxseed oil as an inducer can indicate if a strain or species is a producer of cutinases.

In conclusion, this study indicates that the P-NPB method with flaxseed oil as a substitute for cutin is a screening test to identify strains with activity cutinase. This step is more efficient than the phenol red and Rhodamine B methods based on a higher selectivity with the active site of the cutinases due to the use of P-NPB. It does not have difficulties associated with the preparation of the substrate. It also eliminates the disadvantages whereby lipases are an interferent.

Acknowledgements

Acknowledgements

This work was supported by the research division of the Universidad de la Sabana (Grant ING-157-2015).

References

  1. [1] Chen, S., Su, L., Chen, J. and Wu, J., Cutinase: characteristics, preparation, and application. Biotechnology Advances, 31(8), pp. 1754-1767, 2013. DOI: 10.1016/j.biotechadv.2013.09.005 [DOI] 🠔
  2. [2] Panda, T. and Gowrishankar, B., Production and aplications of esterases. Applied microbiology and biotechnology, 67(2), pp. 160-169, 2005. DOI: 10.1007/s00253-004-1840-y [DOI] 🠔
  3. [3] Sharma, R., Chisti, Y. and Chand U., Production, purification, characterization, and applications of lipases. Biotechnology Advances, 18(8), pp. 627-662, 2001. DOI: 10.1016/S0734-9750(01)00086-6 [DOI] 🠔
  4. [4] Ben Ali, Y., Verger R. and Abousalham, A., Lipases or esterases: does it really matter?. Toward a new bio-physico-chemical classification. Methods in Molecular Biology, 861, pp. 31-51, 2012. 🠔
  5. [5] Dickman, M. and Patil, S., A rapid and sensitive plate assay for the detection of cutinase produced by plant pathogenic fungi. The American Phytophatological Society, [online]. 76(5), pp. 473-475, 1986. Available at: https://europepmc.org/article/agr/ind86045449 [URL] 🠔
  6. [6] Lin, T. and Kolattukudy, P., Induction of a biopolyeste hydrolase (cutinase) by low levels of cutin monomers in: Fusarium solani f. sp. pisi. Journal of Bacteriology, [online]. 133(2), pp. 942-951, 1978. Available at: https://pubmed.ncbi.nlm.nih.gov/415052/ [URL] 🠔
  7. [7] Macedo, G. and Pio, T., A rapid screening method for cutinase producing microorganism. Brazilian Journal of Microbiology, [online]. 36(4), pp. 388-394, 2005. Available at: https://www.scielo.br/pdf/bjm/v36n4/v36n4a16.pdf [URL] 🠔
  8. [8] Castro, D., Peña, C., González, A., Alva, A., Esquivel, R. and Ocaña, A., ANCUT2, an extracelular cutinase from Aspergillus nidulans induced by olive oil. Applied Biochemistry and Biotechnology, 166(5), pp. 1275-1290, 2012. DOI: 10.1007/s12010-011-9513-7 [DOI] 🠔
  9. [9] Pio, T. and Macedo, G., Optimizing the production of cutinase by fusuarium oxysporum using response surface methodology. Enzyme and microbial technology, 41(5), pp. 613-619, 2007. DOI: 10.1016/j.enzmictec.2007.05.008 [DOI] 🠔
  10. [10] Mendez, L., Prieto, E. and Jimenez, C., Identification of fungi isolated from banana rachis and characterization of their surface activity. Letter in Applied Microbiology, 64(3), pp. 246-251, 2017. DOI: 10.1111/lam.12712 [DOI] 🠔
  11. [11] Speranza, P., Carvalho, P. and Macedo, G., Effects of different solid-state fermentation substrate on biochemical properties of cutinase from fusarium sp. Journal of Molecular Catalysis B-Enzymatic, 72(3-4), pp. 181-186, 2011. DOI: 10.1016/j.molcatb.2011.06.003 [DOI] 🠔
  12. [12] Calado, C., Monteiro, M., Cabral, S. and Fonseca, L., Effect of pre-fermentation on the production of cutinase by a recombinant Saccharomyces cerevisiae. Journal of Bioscience and Bioengineering, [online]. 93(4), pp. 354-359, 2002. Available at: https://www.sciencedirect.com/science/article/abs/pii/S1389172302800676?via%3Dihub [URL] 🠔
  13. [13] Pio, T. and Macedo, G., Cutinase production by Fusarium oxysporum in liquid medium using central composite design. Journal of Industrial Microbiology & Biotechnology, [online]. 35(1), pp. 59-67, 2008. Available at: https://link.springer.com/article/10.1007/s10295-007-0266-9 [URL] 🠔
  14. [14] Zor, T. and Selinger, Z., Linearization of the Bradford protein assay increases its sensitivity: theoretical and experimental studies. Anal Biochem, 236(2), pp. 302-308, 1996. DOI: 10.1006/abio.1996.0171 [DOI] 🠔
  15. [15] Qian, L., Lui, J., Liu, j., Yu, H., Li, C. and Xu, J., Fingerprint lipolytic enzymes with chromogenic p-nitrophenyl esters of structurally diverse carboxylic acids. Journal of Molecular Catalysis B-Enzymatic, 73(1-4), pp. 22-26, 2011. DOI: 10.1016/j.molcatb.2011.07.010 [DOI] 🠔
  16. [16] Bum, H., Directed evolution of cutinase using in vitro compartmentalization. Biotechnology and Bioprocess Engineering, 17(3), pp. 500-505, 2012. DOI: 10.1007/s12257-012-0026-1 [DOI] 🠔
  17. [17] Roussel, A., Amara, S., Nyyssölä, A., Mateos, E., Blangy, S., Kontkanen, H., Westerholm, A., Carriere, F. and Cambilau, C., A cutinase from trichoderma reesei with a lid-covered active site kinetic properties of true lipases. Journal of Molecular Biology, 426(22), pp. 3757-3772, 2014. DOI: 10.1016/j.jmb.2014.09.003 [DOI] 🠔
  18. [18] Muth, M., Rothkötter, S., Paprosch, S., Reiner, P. and Schnitzlein K., Competition of Thermomyces lanuginosus lipase with its hydrolysis products at the oil-water interface. Colloids and Surfaces B: Biointerfaces, 149(1), pp. 280-287, 2017. DOI: 10.1016/j.colsurfb.2016.10.019 [DOI] 🠔
  19. [19] Hölker, U., Höfer, M. and Lenz, J., Biotechnological advantages of laboratory-scale solid-state fermentation with fungi. Applied Microbiology and Biotechnology, 64(2), pp. 175-186, 2004. DOI: 10.1007/s00253-003-1504-3 [DOI] 🠔
  20. [20] Andrade, C., Garcia, P., Alves, G., Pereira, D., Simoes, R., Leite, R. and Fonseca, G. Biotransformation of fruit residues via solid state bioprocess using Lichtheimia ramosa. SN applied Sciences, 2(5), pp. 861-871, 2020. DOI: 10.1007/s42452-020-2689-0 [DOI] 🠔
  21. [21] Dimarogona, M., Nikolaivits, E., Kanelli, M., Chistakonoulos, P., Sandgren, M. and Topakas, E., Structural and functional studies of a Fusarium oxyspurum cutinase with polyethylene terephthalate modification potencial. Biochimica et biophysica acta-general subjects, 1850(11), pp. 2308-2317, 2015. DOI: 10.1016/jnnagen.2015.08.009 [DOI] 🠔
received the BSc. in Chemistry in 2011 from the Universidad Industrial de Santander, Colombia and MSc. in Process Design and Management in 2018 from the Universidad de La Sabana, Colombia. He has worked in Nestlé Colombia since 2012, he has been supplier quality assurance and specialist of laboratory with emphasis in development of raw and packaging materials. He has also led cost-reduction projects in food production and environmental areas. He currently lives in Australia where he is doing complementary studies to his career. ORCID: 0000-0002-9245-2383
received the BSc. in Chemistry in 1983, from the Universidad Nacional de Colombia, a postgraduate certificate in Environmental Engineering in 2004, from the Universidad de La Sabana, Colombia and a MSc in Biochemical Sciences in 2011, from the Universidad Nacional de Colombia. She has worked since 1998 in the teaching and research area with emphasis in organic and biochemistry at the Universidad de La Sabana, Colombia. Her research topic has been obtaining microbial enzymes with useful activities in industrial processes. ORCID: 0000-0002-5609-4726
received the BSc. Eng in Chemical Engineering in 1997, from the Universidad Nacional de Colombia, the MSc. in Development of Biotic Products in 2005, from the Instituto Politécnico Nacional, México and PhD in Food and Nutritional Sciences in 2011, from the University of Reading, UK. He has been working in Faculty of Engineering in Universidad de La Sabana since 1998. Currently, he is the Head of Faculty and Research in Faculty of Engineering. His research interests include bioprospecting of natural resources, use of wastes for industrial applications, and advance treatment of waste water.ORCID: 0000-0001-7371-7078
Rueda-Rueda, H, Prieto-Correa, E. and Jiménez-Junca, C, Cutinases obtained from filamentous fungi: a comparison of screening methods. DYNA, 87(214), pp. 183-190, July - September, 2020.