Revista Colombiana de Química
0120-2804
2357-3791
Departamento de Química, Universidad Nacional de Colombia.
https://doi.org/10.15446/rev.colomb.quim.v52n2.111120

Recibido: 13 de septiembre de 2023; Revision Received: 30 de octubre de 2023; Aceptado: 15 de diciembre de 2023

Obtención y caracterización parcial de la proteína humana mutante α-sinucleína G51D y la producción de su anticuerpo policlonal

Preparation and partial characterization of the mutant human α-synuclein protein G51D and the production of its polyclonal antibody

Obtenção e caracterização parcial da proteína humana mutante α-sinucleína G51D e da produção de seu anticorpo policlonal

M. Gantiva Gantiva, 1 M. Rey Buitrago, 2 *

Facultad de Medicina, Universidad Nacional de Colombia. Bogotá, Colombia Universidad Nacional de Colombia Facultad de Medicina Universidad Nacional de Colombia Bogotá Colombia
Facultad de Medicina, Universidad Nacional de Colombia. Bogotá, Colombia Universidad Nacional de Colombia Facultad de Medicina Universidad Nacional de Colombia Bogotá Colombia

Autor para correspondencia: mrey@unal.edu.co

Resumen

La α-sinucleína (SNCA) es una proteína que participa en la formación de agregados, cuya presencia es distintiva para todas las α-sinucleinopatías y algunas adicciones. Las alteraciones en el gen que codifica la SNCA y en la síntesis de esta proteína han sido relacionadas con procesos de agregación que alteran su conformación y adquieren capacidad autoagregante, lo cual está relacionado con su presencia en las neuronas dopaminérgicas y podría ser un factor fisiopa-tológico significativo en la progresión de enfermedades. Una de las variantes géni-cas más comunes de la SNCA es la G51D, la cual podría ser un indicador anatomo-patológico para enfermedades neuronales y adicciones de larga duración. En el presente estudio se exponen las técnicas de expresión, purificación y caracterización de la proteína recombinante SNCA G51D, además de ensayos de agregación. Así mismo, se detallan las circunstancias para la obtención del anticuerpo de tipo policlonal dirigido hacia la SNCA G51D. También se realizó la optimización para la clonación de esta variante, utilizando el vector pET30a, el cual nos brindó la mayor solubilidad in silico. La proteína recombinante permitió la obtención de un anticuerpo policlonal anti SNCA G51D, que se caracterizó parcialmente y podría ser una herramienta inmunológica significativa en la confirmación de la existencia de proteínas mutantes en muestras de interés.

Palabras clave:

α-sinucleína, α-sinucleína G51D, pET30a, variante genética, anticuerpo policlonal, enfermedades neurodegenerativas.

Abstract

α-Synuclein (SNCA) is an essential protein that participates in the formation of aggregates, whose presence is distinctive for all α-synucleinopathies and some addictions. Alterations in the gene that codes for SNCA and in the synthesis of this protein have been related to aggregation processes that alter its conformation and acquire self-aggregating capacity, which is related to its presence in neurons and could be a significant pathophysiological factor in the progression of diseases. One of the most common SNCA gene variants is G51D, which could be an anatomopathological indicator for neuronal diseases and long-term addictions. In the present study, the expression, purification and characterization techniques of the recombinant protein SNCA G51D are presented, as well as aggregation assays. Likewise, the circumstances for obtaining the polyclonal type antibody directed towards SNCA G51D are detailed. Optimization was also carried out for the cloning of this variant, using the pET30a vector, which gave us the greatest in silico solubility. The recombinant protein allowed the obtaining of a polyclonal anti SNCA G51D antibody, which was partially characterized and could be a significant immunological tool in confirming the existence of mutant proteins in samples of interest.

Keywords:

α-synuclein, α-synuclein G51D, pET30a, genetic variant, polyclonal antibody, neurodegenerative diseases.

Resumo

A α-sinucleína (SNCA) é uma proteína que participa da formação de agregados, cuja presença é característica de todas as α-sinucleinopatias e de alguns vícios. Alterações no gene que codifica a SNCA e na síntese desta proteína têm sido relacionadas a processos de agregação que alteram sua conformação e adquirem capacidade de autoagregação, o que está relacionado à sua presença nos neurônios e pode ser um fator fisiopatológico significativo na progressão da doença. Uma das variantes mais comuns do gene SNCA é o G51D, que pode ser um indicador anatomopatológico de doenças neuronais e vícios de longo prazo. No presente estudo são apresentadas técnicas de expressão, purificação e caracterização da proteína recombinante SNCA G51D, bem como ensaios de agregação. Da mesma forma, são detalhadas as circunstâncias para obtenção do anticorpo do tipo policlonal direcionado para SNCA G51D. Também foi realizada otimização para a clonagem desta variante, utilizando o vetor pET30a, que nos proporcionou a maior solubilidade in silico. A proteína recombinante permitiu a obtenção de um anticorpo policlonal anti SNCA G51D, que foi parcialmente caracterizado e poderá ser uma ferramenta imunológica significativa na confirmação da existência de proteínas mutantes em amostras de interesse.

Palavras-chave:

α-sinucleína, α-sinucleína G51D, pET30a, variante genética, anticorpo policlonal, doenças neurodegenerativas.

Introducción

La enfermedad de Parkinson (EP) es una patología neurodegenerativa crónica que afecta a diez millones de personas en el mundo. Se incluye actualmente en el grupo de las llamadas α-sinucleinopatías: patologías que se caracterizan por acumulación de cuerpos de inclusión de agregados proteicos de α-sinucleína (SNCA) en células del cerebro [1,2]. La acumulación de SNCA genera toxicidad debido a la presencia de variantes génicas autoagregantes, a la presencia de duplicaciones en la secuencia génica, a la expresión diferencial de isoformas, así como a cambios en modificaciones postransduccionales [3]. Además, la toxicidad también está relacionada con las inclusiones citoplasmáticas conocidas como cuerpos de Lewy (CL) y las neuritas de Lewy (NL), presentes también en las α-sinucleinopatías. Dentro de las α-sinucleinopatías se encuentran otras patologías, como la demencia de cuerpos de Lewy, la atrofia multisistémica y la enfermedad de Alzheimer. Todas tienen en común el depósito anormal de SNCA en el citoplasma o en las neuritas de neuronas o de células gliales.

La enfermedad de Parkinson y la demencia de cuerpos de Lewy se caracterizan patológicamente por la presencia de CL y NL en diferentes áreas del cerebro [4, 5]. Los componentes fundamentales de los CL y NL son agregados de la proteína SNCA. Según diversos grupos de investigación, esta proteína podría iniciar y propagar la EP. Por ejemplo, las mutaciones en el gen que codifica para la SNCA producen formas autosómicas dominantes en una reducida proporción de casos genéticos de EP. Además, las duplicaciones y triplicaciones del gen SNCA pueden provocar EP [6]. Este hallazgo evidencia que los niveles elevados de variantes de SNCA son tóxicos y pueden acelerar la aparición de la enfermedad. Adicionalmente, recientes estudios sostienen que la transmisión de célula a célula de formas agregadas de SNCA posibilitaría la progresión de la EP a diversas áreas cerebrales. Estos datos demuestran la importancia patogénica de la SNCA y muestran que es una diana importante para tratar EP y otras enfermedades neurológicas de causa similar [7-9].

Por otro lado, se han hallado pruebas de alteraciones en el gen de la SNCA en el alcoholismo [10], pues el consumo de alcohol a largo plazo y en grandes cantidades puede causar pérdida de neuronas, especialmente de la corteza prefrontal. Esta región cerebral está vinculada con el progreso y persistencia de la adicción al alcohol, y es probable que el daño neurotóxico exacerbe los efectos reforzantes del alcohol y dificulte su tratamiento [11, 12]. La comprensión de los procesos de regulación de la SNCA podría ser de gran ayuda para comprender el rol de esta proteína sináptica fundamental en la enfermedad y su potencial intervención terapéutica en trastornos adictivos, sea mediante el uso de fármacos ya empleados en otras patologías neurodegenerativas o con nuevos medicamentos [12].

La SNCA está involucrada en la actividad sináptica, en la plasticidad neuronal y en diversas funciones de las neuronas dopaminérgicas, lo que la vincula con el sistema de recompensa cerebral, que se ve alterado en las adicciones, especialmente en el alcoholismo [13]. La SNCA fluye entre cerebro y sangre, como un mecanismo regulador, que permite su detección en fluidos humanos [14]. Las investigaciones muestran una expresión diferencial del gen que codifica para dicha proteína, asociada con la búsqueda y deseo compulsivo de alcohol (craving) [15]. En consecuencia, la SNCA podría ser útil como biomarcador periférico de alcoholismo crónico [16]. En nuestro grupo de investigación encontramos resultados similares de expresión génica en una muestra de estudiantes universitarios colombianos que tenían problemas de consumo de alcohol [17].

En la figura 1 se puede observar un alineamiento de secuencias de las proteinas de SNCA, donde se evidencian regiones conservadas en diversas especies y se comparan con la secuencia 001 (silvestre humana). Las especies presentadas muestran un sitio en común de cambio en un aminoácido denotado por (:). En dicho sitio, la glicina (G) cambia por ácido aspártico (D), lo que para algunos autores sugiere que, en humanos, la presencia de glicina podría estar asociada con riesgo de padecer algunas enfermedades neurodegenerativas [18].

Alineamiento de seis secuencias de diferentes especies para la proteína SNCA, descargadas de la base de datos del NCBI y alineadas con la herramienta Clustal Omega. Los aminoácidos resaltados en el recuadro muestran la posición 51, en donde en humanos (EMBOSS-001) se encuentra glicina (G) y en otras especies se encuentra aspartato (D). El asterisco (*) indica que en dicha posición los residuos son 100% idénticos; los dos puntos (:) indican posiciones en las que se han realizado sustituciones conservativas; y el punto (.) indica sustituciones menos conservativas.

Figura 1: Alineamiento de seis secuencias de diferentes especies para la proteína SNCA, descargadas de la base de datos del NCBI y alineadas con la herramienta Clustal Omega. Los aminoácidos resaltados en el recuadro muestran la posición 51, en donde en humanos (EMBOSS-001) se encuentra glicina (G) y en otras especies se encuentra aspartato (D). El asterisco (*) indica que en dicha posición los residuos son 100% idénticos; los dos puntos (:) indican posiciones en las que se han realizado sustituciones conservativas; y el punto (.) indica sustituciones menos conservativas.

Nuestro grupo de investigación se ha enfocado en la identificación de los diversos efectos de la SNCA que relacionan fenotipos y genotipos similares entre enfermedades neurodegenerativas y adicción al alcohol (daño neurológico, genes candidatos en común, entre otros). Aunque otras investigaciones han evidenciado el efecto tóxico de las fibrillas de SNCA en la supervivencia celular en las α-sinucleinopatías [18], el efecto exacto de las variantes de este gen en este fenómeno no es muy claro. En consecuencia, en el presente estudio pretendemos establecer las condiciones de expresión, purificación y caracterización de un candidato de la proteína recombinante SNCA mutada (G51D), que es autoagregante [19-21]. Así mismo, buscamos obtener su anticuerpo policlonal con el propósito de emplearlo en el grupo de investigación para examinar la función biológica de variantes de la SNCA con características priónicas, en modelos in vivo de líneas celulares de tipo neuronal. Además, a futuro se discutirán posibles mecanismos de acción, regulación in vivo y blancos terapéuticos posibles [22].

Materiales y métodos

PCR para amplificación del gen de interés y obtención del vector de clonación

El gen de la SNCA mutante G51D fue sintetizado mediante el método del fosfito-triéster en fase sólida. El gen se amplificó por medio de una PCR convencional con iniciadores descritos en la tabla 1 . Al vector pET30a se ligó el gen producto de la amplificación.

Tabla 1: Secuencia de los iniciadores diseñados para amplificación del gen SNCA(G51D).

Vector Iniciador directo 5' - 3' Iniciador reverso 5' - 3'
pET30a GTTTAACTTTAAGAAGGAGA-TATACATATGCATCACCAC-CACCATCACGACGTCTTTATGAAAGGCCTGAGCAAAGCG AGCAGCCGGATCTCAGTGGTGGTGGTGGTGGTGCTCGAGTGCGGCCGCAAGCTTTCAT-TATGCTTCCGGTTCGTAATC

La amplificación fue realizada con una unidad enzimatica de Taq Po-limerasa (Thermo Fisher Scientific), MgCl2 (2,5 mM), buffer de la ADN polimerasa (1X), dNTP's (10 mM), agua tratada con dietilpirocarbonato (DEPC), iniciadores de PCR ( tabla 1 ) y aproximadamente 50 ng del segmento del gen SNCA G51D. Los productos de PCR fueron visualizados en gel de agarosa al 1% con tinción de bromuro de etidio [21]. Se cortaron estas bandas del gel y se purificaron con el kit QIAquick PCR Purification (QIAGEN Inc.). A 10 μg del vector, así como a los 2 μL de los fragmentos de ADN, se les sometió a la acción de 1 μL de las enzimas de restricción (2 U/μL), Ndel e HindIII (New England Biolabs Inc.). La unión se llevó a cabo dejando la mezcla de reacción durante toda la noche a 4 °C y utilizando 0,1 ΜL de la ADN ligasa de T4 (2 U/μL) (New England Biolabs Inc.) [23]. Se obtuvo el vector llamado pET30a con la secuencia de 6xHis SNCA G51D, cuyo esquema se muestra en la figura 2 .

Imagen vector pET30a donde se resaltan los elementos esenciales para su funcionamiento, incluido el sitio de cortes múltiples por enzimas de restricción. Tomado de [24].

Figura 2: Imagen vector pET30a donde se resaltan los elementos esenciales para su funcionamiento, incluido el sitio de cortes múltiples por enzimas de restricción. Tomado de [24].

El procedimiento de digestión del vector y del inserto amplificado se llevó a cabo mediante la utilización de las enzimas de restricción NdeI e HindIII, visualizadas bioinformáticamente con NEBcutter2, y se produjeron los siguientes cortes en la secuencia del gen ( figura 3A ) y en el vector pET30a ( figuras 3B y 3C ). Vale la pena destacar que colindante con el sitio múltiple de clonación se encuentra la etiqueta de histidinas que se emplearon en la purificación del producto de expresión.

A: cortes calculados para la secuencia del gen SNCA G51D con tag de histidinas con enzimas de restricción NdeI e HindIII; B: cortes calculados para el vector con enzimas de restricción NdeI e HindIII; y C: cortes calculados para el vector con el inserto con enzimas de restricción Mlul Y Xhol.

Figura 3: A: cortes calculados para la secuencia del gen SNCA G51D con tag de histidinas con enzimas de restricción NdeI e HindIII; B: cortes calculados para el vector con enzimas de restricción NdeI e HindIII; y C: cortes calculados para el vector con el inserto con enzimas de restricción Mlul Y Xhol.

Para el diseño del iniciador directo 5' - 3' fue adicionado al extremo N-terminal de la secuencia sintetizada CATATG como sitio de reconocimiento para la enzima Ndel.

Para el diseño de iniciador reverso 5' - 3' fue adicionado al extremo C-terminal de la secuencia sintetizada TAATGAAAGCTT codón de parada y como sitio de reconocimiento para la enzima HindIII.

Clonación, obtención de la variante del gen y transformación de células competentes

Previo a la fase experimental, para optimizar la expresión y la purificación de la proteína recombinante SNCA mutante con la etiqueta de histidinas, se probaron vectores de expresión que permitieran aumento en la solubilidad de la proteína. Posteriormente se emplearon programas informáticos que estimaban la solubilidad de la proteína unida a varias etiquetas moleculares aportadas por los vectores de expresión que fueron utilizados. Los programas utilizados para estimar la solubilidad fueron: SolPro [25], ProSo II [26] y ESPRESSO [27].

Se cultivó una colonia de E. coli BL21 (DE3) en agar LB y se procedió a inocular un vial de 10 mL de caldo LB, cuyo proceso de incubación se llevó a cabo a 37 °C a 200 rpm aproximadamente, con una duración de 18 h. Se obtuvo el 1% de este cultivo y se inoculó en 200 mL de LB y se incubó a 37 °C a 200 rpm hasta obtener una densidad óptica (DO) de 0,45 - 0,60 a 600 nm. Luego se colocó en hielo durante 20 min, posteriormente se centrifugó a 4000 rpm, a 4 °C durante 5 min, donde se desechó el sobrenadante y se resuspendió en buffer (1,47 g de cloruro de calcio, 1,42 g de cloruro de magnesio y 0,32 g de acetato de sodio en 100 mL de agua) paulatinamente hasta completar los 40 mL. Luego se centrifugó a 4000 rpm, a 4 °C durante 15 min, se desechó el sobrenadante y se resuspendió en 4 mL de buffer estéril y frío (1,47 g CaCl2 y 15 mL glicerol en 100 mL de agua). Para finalizar, se prepararon alícuotas en tubos eppendorf de 200 μL y se conservaron a -80 °C [28].

Para la transformación, se empleó un choque térmico a 200 μL de células competentes en hielo durante 15 min, se procedió a la incorporación de una cantidad de 5 a 15 μL del producto de la unión, y se mantuvo la mezcla en hielo por un lapso de 10 min. Después se produjo el choque térmico a 42 °C durante un lapso de 60 a 90 s y se restableció a temperatura ambiente por un periodo de 10 min. A continuación, se añadió 600 μL de caldo Luria Bertani (LB) sin ningún tipo de antibiótico y la mezcla se almacenó a 37 °C durante una hora. Posteriormente, se procedió a tomar alícuotas de 50, 100 y 250 μL de las células transformadas y las mezclas se depositaron en cajas de Petri que contenían kanamicina a una concentración de 30 μg/ΜL, se dispersaron en la superficie del medio de cultivo mediante una varilla de metal acodada, y se incubaron a 37 °C de 18 a 24 h [28].

Se implementó el método de lisis alcalina para la obtención de los plásmidos bacterianos [23]. Después se realizó la verificación del inserto en los vectores extraídos y se confirmó mediante la amplificación por PCR, así como por perfiles de digestión del plásmido con la enzima de restricción EcoRV (Thermo Fisher Scientific). Se obtuvieron los perfiles de digestión del plásmido con esta enzima de restricción, mezclando 0,5 μL del plásmido con 0,5 μL de la enzima (10 U/μL), 1 μL del buffer 10X de reacción, y completando a 10 μL con agua tratada con DEPC. En todos los casos, la visualización de las amplificaciones y digestiones se realizó mediante electroforesis en geles de agarosa teñidos con bromuro de etidio [28].

Expresión de las proteínas, lisis celular y detección de las proteínas recombinantes

Se tomaron colonias de plásmidos recombinantes y se pusieron en un medio LB con antibiótico de selección. Se diluyó el cultivo 1:100 y se dejó crecer hasta que alcanzó una DO de aproximadamente 0,6 medidas espectrofotométricamente a 600 nm. Después se procedió a la inducción de la expresión de la proteína añadiendo IPTG (iso-propil-β-D-1-tiogalactopiranósido) y 0,2 mM al medio de cultivo, manteniendo la agitación a 200 rpm y la temperatura a 37 °C hasta alcanzar un valor de absorbancia entre 0,6 y 0,8. Para dar seguimiento al proceso de inducción, se tomaron alícuotas de 1 mL cada 30 o 60 min. Una vez concluida la inducción, se procedió a recolectar las bacterias mediante la centrifugación a 6000 rpm por 15 min a temperatura de 4 °C. Se descartó el sobrenadante y se determinó el peso húmedo de las células [29]. Los precipitados celulares se resuspendieron en buffer de lisis (50 mM Tris-HCl, 50 mM EDTA pH 8,1% SDS y 50 mM NaCl; 5 mL/g). Posteriormente se agregó lisozima a una concentración final de 1 mg/mL y se le agregó un grupo de inhibidores de proteasas (1 mM AEBSF, 14 μM E64, 15 μM pepstatin A, 40 μM bestatin, 20 LIM leupeptin y 0,8 LIM aprotinin, Sigma-Aldrich). El conjunto se incubó en hielo durante 30 min con agitación mecánica. Una vez transcurrido este tiempo, la muestra se sometió a 5 min de sonicación sobre hielo (50% de amplitud, 15 s de pulso y 15 s de reposo) y después fue centrifugada a 12.500 rpm durante 15 min a 4 °C, el sobrenadante (fracción soluble o proteína) y el precipitado (fracción insoluble, células lisadas o cuerpos de inclusión) se separaron [30].

Se evaluaron los lisados de los clones inducidos mediante electro-foresis denaturante en gel de poliacrilamida y dodecil-sulfato de sodio (SDS-PAGE) [31], y por medio de ensayos de Western blot. En los ensayos de inmunodetección, las proteínas separadas por SDS-PAGE fueron transferidas a membranas de nitrocelulosa mediante el método de electro transferencia húmeda [32]. En la realización de los Western blot se emplearon dos tipos diferentes de anticuerpos primarios, anti etiqueta de histidinas y los anticuerpos policlonales obtenidos en este estudio. Además, se utilizó el sistema Biotina-estreptavidina conjugada a fosfatasa alcalina para detectar la proteína recombinante [32, 33].

Purificación, diálisis y reconcentración de la proteína recombinante

La fracción soluble de cultivos E. coli BL21 (DE3) inducidos se purificó parcialmente mediante cromatografía de afinidad a níquel. Después se utilizó resina de níquel y ácido nitrilotriacético (Ni-NTA) como fase estacionaria y como fase móvil, y buffer de lisis (NaH2PO4 50 mM, NaCl 300 mM pH 8,0) con diferentes concentraciones de imidazol para las etapas de unión a la resina, lavado y elución, según las instrucciones del fabricante (QIAGEN Inc.). La purificación se verificó mediante SDS-PAGE y Western blot [29], utilizando las proteínas no unidas a la resina, lavados y eluciones recolectadas. Por último, se realizó la diálisis de proteína por medio del kit Pur-A-L-lyzer mega 6000 dialysis (Sigma- Aldrich) [33].

Estudios de agregación de SNCA recombinante

La proteína recombinante SNCA G51D con etiqueta de histidinas fue almacenada en agua estéril. Se prepararon alícuotas de una concentración de 346 μM y se mantuvieron a -20 °C. Después se diluyeron en alícuotas DPBS (Dulbecco's Phosphate-Buffered Saline a pH 4,0) hasta una concentración de 59 μM. Se tomó y agitó una alícuota a 800 rpm durante 48 h a 37 °C en un termoagitador, monitoreando la DO a 405 nm (Turbidez). Graficamos la DO vs. el tiempo. Como comparativo se utilizó proteína SNCA humana nativa. Los ensayos fueron realizados por triplicado. La DO presentó como la media ± SD (desviación estándar) y para la comparación entre la proteína nativa y recombinante se empleó la prueba paramétrica de t para igualdad de medias.

Producción de anticuerpo policlonal anti-proteína mutada SNCA

Inmunización, recolección y titulación del suero de conejo

La proteína recombinante purificada se empleó como inmunógeno en la elaboración de suero policlonal. Para la obtención de anticuerpos contra la proteína SNCA G51D con cola de histidinas, se llevó a cabo ensayos con dos hembras de conejo, Orhyctolagus cuniculus, de raza New Zealand White. Se inició el proceso aplicando 150 μg de proteína SNCA G51D purificada y contenida en 500 μL de eluato y 500 μL de adyuvante incompleto de Freund para lograr un volumen total de 1 mL. En la semana cero se aplicó el adyuvante completo de Freund. El protocolo de inducción del antisuero se extendió a un lapso de tiempo aproximado de 12 semanas, con dosis de recuerdo cada tres semanas, vía subcutánea en ocho sitios diferentes del lomo del animal.

La identificación de anticuerpos se llevó a cabo mediante el ensayo de inmunoadsorción ligada a enzimas (ELISA) indirecta [34], y también los sueros obtenidos contra la proteína SNCA G51D se examinaron con esta técnica. Se realizó el recubrimiento de los pozos de la microplaca (Sigma-Aldrich) con 339,75 μg/mL de proteína SNCA G51D. Se utilizó STCB-albúmina como agente bloqueador al 1%. Enseguida se realizaron dos lavados con PBS-T, se adicionaron 200 μL de cada muestra (preinmune, después de la segunda y después de la última semana inmunización) en diluciones seriadas PBS-T. Después se incubaron en cámara húmeda a 37 °C por 2 h, al cabo de las cuales se realizaron dos lavados con PBS-T; se agregó anticuerpo anti-IgG de conejo conjugado con fosfatasa alcalina (Sigma-Aldrich,) a una dilución 1:10000 en STCB; se incubaron a 37 °C por 1 h y se lavaron; y, posteriormente, se adicionó el sustrato 3,3',5,5' tetrametilbenzidina (TMB) 100 μl,/pocillo que dio lugar a un producto de reacción de color azul, la intensidad del color fue proporcional a la concentración de autoanticuerpos en la muestra. Finalmente, se incubaron a 37 °C en la oscuridad y se añadió ácido sulfúrico 2 M a cada pocillo para detener la reacción. Esto dio lugar a un color amarillo que se leyó a 450 nm en un lector de ELISA (Dynatech international). Los datos obtenidos en las pruebas ELISA fueron la DO a 450 nm para cada muestra de suero analizada. El punto de corte (cut-off) se calculó como el promedio de los sueros negativos ± 2 desviaciones estándar. Cada ensayo se realizó por duplicado.

Purificación de los anticuerpos por cromatografía de afinidad

Se realizó cromatografía manual con columnas de vidrio y elución por gravedad [35]. Se pesaron 4 g de resina sepharosa 4B CNBr y se agregaron 10 mL de solución de bicarbonato de sodio NaHCO3 0,1 M con NaCl 150 mM, en la cual se disolvieron 20 mM del antígeno (proteína recombinante purificada). Los anticuerpos se eluyeron mediante la adición de 25 mL de buffer de elución. Se midió la absorbancia de las fracciones obtenidas, empleando cubetas de cuarzo (capacidad 1 mL), ajustando a cero el espectrofotómetro a 280 nm y usando el tampón de elusión como blanco. Se elaboró la gráfica de número de tubo contra la absorbancia y se identificaron los picos (no se presenta en este trabajo).

Titulación y evaluación de los anticuerpos

Se analizaron los anticuerpos anti-proteína 6Xhis-SNCA G51D mediante ELISA. Con el fin de evaluar el título de los anticuerpos, se emplearon diluciones del anticuerpo (1:1000) en los sueros, manteniendo una cantidad fija de antígeno proteína SNCA G51D (20 ng). Para esto, se llevó a cabo la electroforesis del antígeno G51D en un gel discontinuo de poliacrilamida bajo condiciones denaturantes (SDS-PAGE). A continuación, se realizó la transferencia del gel a una membrana de nitrocelulosa y el anticuerpo secundario anti-IgG de conejo, unido a peroxidasa de rábano picante (Sigma-Aldrich) en dilución 1:5000, se incubó durante una hora con la membrana a temperatura ambiental. El sistema de revelado utilizado fue a partir de sustratos cromogénicos (4-cloronaftol o DAB), lo que a su vez produjo un producto coloreado que se depositó en la membrana.

Resultados y discusión

Obtención y clonación de 6Xhis-SNCA G51D en el vector pET30α

La longitud de la secuencia de aminoácidos de la variante más común de la proteína SNCA es de 140 residuos de aminoácidos, y su secuencia en formato FASTA fue descargada de la base de datos del NCBI (National Center for Biotechnology Information) y se detalla a continuación, se resalta el residuo 51 que cambia en la variante obtenida en este trabajo:

>NP_000336.1 alpha-synuclein isoform NACP140 [Homo sapiens]

MDVFMKGLSKAKEGVVAAAEKTKQGVAEAAGKTKEGVLYVGSKTKE GVVHGVATVAEKTKEQVTNVGGAVVTGVTAVAQKTVEGAGSIAAATG FVKKDQLGKNEEGAPQEGILEDMPVDPDNEAYEMPSEEGYQDYEPEA

El análisis bioinformático ha constatado una mayor solubilidad (50%) de la proteína mutante de 6HisX-SNCA G51D, específicamente en el vector pET30a ( tabla 2 ). La solubilidad de la SNCA G51D expresada desde los otros vectores no fue concluyente, se encontró diferencias entre uno u otro programa empleado, esto puede ser debido a la matriz de comparación de proteínas utilizadas para alimentar cada programa. Se empleó la secuencia primaria de la proteína sin etiquetas, donde se pudo constatar que la expresión de esta proteína recombinante en el sistema heterólogo E. coli implicaría la incorporación como cuerpos de inclusión. Este hecho evidenció la relevancia de incorporar las etiquetas de histidinas para obtener la versión recombinante de manera soluble [36-39], aunque su fin principal es la purificación, la presencia de estos residuos de aminoácidos polares de carga positiva aumentaron la solubilidad de la proteína recombinante que se deseaba obtener.

Tabla 2: Predicción in silico de la solubilidad (%) de las proteínas recombinantes SNCA G51D usando programas bioinformáticos en línea [25-27].

Plásmido recombinante Programa SolPro (%) Programa ProSo II (%) Programa ESPRESSO (%)
pCOLDSNCAG51D 53,5 66,7 48,3
pET30 SNCA G51D 60,6 70,3 50,0
pET SUMO SNCA G51D 20,3 43,3 46,1
SNCAG51D 17,7 53,7 44,5

Los segmentos de ADN producto de la clonación del gen 6xHis-SN-CA G51D se muestran en la figura 4 , en la que se aprecia el plásmido circular (carril 1), en donde se observan varias bandas debido a las diferentes conformaciones que puede tomar la forma circular sin cortes, que pueden tener diferentes movilidades. Luego se ve el plásmido digerido con Xhol/Mlul y se pueden observar los dos fragmentos (carril 2) que se habían encontrado en el análisis in silico con el cortador vía web, mostrado en la figura 3C .

Electroforesis en gel de agarosa al 0,8% p/v con tinción de bromuro de etidio. Carril 1: ADN plásmido circular. Carril 2: Plásmido digerido con Xhol/Mlul. Carril 3: Marcador de tamaño de ADN.

Figura 4: Electroforesis en gel de agarosa al 0,8% p/v con tinción de bromuro de etidio. Carril 1: ADN plásmido circular. Carril 2: Plásmido digerido con Xhol/Mlul. Carril 3: Marcador de tamaño de ADN.

La secuencia del gen de 6xHis-SNCA G51D, que fue amplificada mediante PCR y posteriormente sometida a digestión y ligación, fue clonada en el vector de expresión bacteriana pET30a, lo cual indicó la solución más adecuada para la proteína que se expresó. Mediante el uso del programa NEBcutter2 [40] se examinaron las diversas enzimas que producían cortes en los extremos de la secuencia del gen estudiado y que cortaban de igual manera al vector. De esta forma, se han diseñado los primeros vectores que amplificaron la secuencia en estudio. Las características de las enzimas seleccionadas, como se ha observado en el diseño de iniciadores, fue NdeI e HindIII, las cuales cortaron la secuencia en un solo punto del gen de estudio en su parte inicial (Ndel) y también en un solo punto en su parte final (HindIII), así como cortaron al vector en dos puntos con el propósito de vincular el inserto correspondiente con la direccionalidad adecuada ( figuras 3A, 3B y 3C ). Además, se logró determinar la adecuada incorporación del vector, ya que las bacterias con el vector incluido tuvieron resistencia a la Kanamicina, lo cual posibilitó el crecimiento bacteriano en presencia de Kanamicina en medio LB.

Expresión y purificación de la proteína recombinante

La expresión proteica se verificó mediante electroforesis SDS-PAGE del lisado celular y fracciones de la cromatografía de afinidad, teñidas con azul de Coomassie ( figura 5 ). Al ser una proteína recombinante con una etiqueta de histidinas, se eluyeron las fracciones de la cromatografía de afinidad con un agente competitivo como el imidazol en concentraciones crecientes, la recuperación de proteína mostró mayor rendimiento entre 50 y 100 mM. Se observó una ligera diferencia entre la inducción con IPTG 0,3 mM a 15 y 37 °C, el rendimiento es un poco mayor a esta última temperatura.

A: SDS-PAGE análisis de expresión SNCA G51D en BL21 (DE3). Línea M: marcador de masa molecular. Línea 0: lisado celular sin inducción. Línea 1: lisado celular con 0,2 mM IPTG inducido a 15 °C, 16 h. Línea 2: lisado celular con 0,2 mM IPTG inducido a 37 °C, 16 h. B: SDS-PAGE análisis de proteína 6xHis-SNCA G51D en lisado de células enteras obtenida por cromatografía de afinidad. Línea M: marcador de masa molecular. Línea 1: sobrenadante después centrifugación. Línea 2: flujo no unido. Líneas 3-5: fracciones eluidas con 50 mM imidazole. Líneas 6-8: fracciones eluidas con 100 mM imidazol. Línea 9: fracciones eluidas con 300 mM imidazol. La flecha negra indica la proteína de interés.

Figura 5: A: SDS-PAGE análisis de expresión SNCA G51D en BL21 (DE3). Línea M: marcador de masa molecular. Línea 0: lisado celular sin inducción. Línea 1: lisado celular con 0,2 mM IPTG inducido a 15 °C, 16 h. Línea 2: lisado celular con 0,2 mM IPTG inducido a 37 °C, 16 h. B: SDS-PAGE análisis de proteína 6xHis-SNCA G51D en lisado de células enteras obtenida por cromatografía de afinidad. Línea M: marcador de masa molecular. Línea 1: sobrenadante después centrifugación. Línea 2: flujo no unido. Líneas 3-5: fracciones eluidas con 50 mM imidazole. Líneas 6-8: fracciones eluidas con 100 mM imidazol. Línea 9: fracciones eluidas con 300 mM imidazol. La flecha negra indica la proteína de interés.

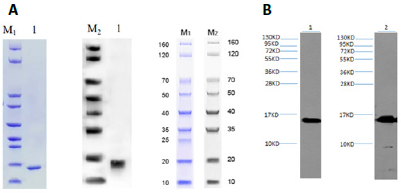
En las figuras 5 y 6 se puede observar el SDS-PAGE y el Western blot para la reunión de fracciones recolectadas en las que se hallaba la proteína de interés. Se empleó el anticuerpo anti-His para la identificación de la proteína recombinante ( figura 6A ), aprovechando su etiqueta de histidinas. Cuando se emplean los anticuerpos policlonales obtenidos contra 6xHis-SNCA G51D ( figura 6B ) se observa una banda más gruesa alrededor de los 15 kDa, aunque se evidencian alguna inespecificidad en pesos moleculares menores en el conejo B. А В

A: proteína 6xHis-SNCA G51D en SDS-page (izquierda) y Western blot (derecha); carril M1: marcador SDS-PAGE (kDa) y carril M2: marcador Western blot (usando anticuerpo Anti-His). B: membrana incubada con anticuerpo policlonal obtenido y diluido (1:1000); carril 1: adición 20 ng proteína 6xHis-SNCA G51D, anticuerpo conejo A, segundo anticuerpo dilución (1:5000); y carril 2: adición 20 ng proteína 6xHis-SNCA G51D, anticuerpo conejo B, segundo anticuerpo dilución (1:5000), exposición de 30 s.

Figura 6: A: proteína 6xHis-SNCA G51D en SDS-page (izquierda) y Western blot (derecha); carril M1: marcador SDS-PAGE (kDa) y carril M2: marcador Western blot (usando anticuerpo Anti-His). B: membrana incubada con anticuerpo policlonal obtenido y diluido (1:1000); carril 1: adición 20 ng proteína 6xHis-SNCA G51D, anticuerpo conejo A, segundo anticuerpo dilución (1:5000); y carril 2: adición 20 ng proteína 6xHis-SNCA G51D, anticuerpo conejo B, segundo anticuerpo dilución (1:5000), exposición de 30 s.

Se observó la expresión de una banda alrededor de 15 kDa para 6xHis-SNCA G51D. Este valor es cercano al peso molecular de nuestra proteína de interés. En esta investigación se optimizó la concentración del inductor IPTG que fue de 0,2 mM y se optimizó la densidad óptica a 600 nm entre 0,45 y 0,65, con una agitación constante de 220 rpm aprox.

Dado que la proteína se encuentra en la fracción soluble y aprovechando la presencia de histidinas en el extremo amino terminal, se llevó a cabo una purificación directa mediante cromatografía de afinidad con Ni-NTA. Con esta técnica de níquel para la purificación de la 6xHis-SNCA G51D se obtuvieron excelentes valores de rendimiento. Por otro lado, se utilizó la característica de concentración (la relación entre el cultivo inicial y el volumen de buffer de unión, lavado y elución), y las condiciones de astringencia que se reflejan en la concentración de imidazol, en los buffers de unión, lavado y elución.

Con el fin de optimizar las condiciones de astringencia de la cromatografía de afinidad (concentración de Imidazol en los bufferes de unión, lavado y elución), se optó por elaborar esquemas de elución escalonados, empleando bufferes de elución con diversas concentraciones de imidazol. Por lo tanto, observando el perfil de los eluídos por SDS-PAGE ( figura 5 ), se pudo obtener la proteína recombinante con un grado de pureza superior. Para el diseño de tales cromatografías escalonadas, se buscó realizar los lavados característicos de este proceso con un buffer que representase la menor condición de astringencia posible; y así retener al máximo la proteína 6xHis-SNCA G51D. En todos los pasos de elución se utilizó un volumen del respectivo buffer igual al volumen de resina empleada. En los eluídos con 50 y 100 mM de imidazol se aprecia que la banda entre 14 y 15 kDa de la proteína recombinante es muy amplia. No se evidencia la presencia de gran contenido de bandas inespecíficas, algunas a una masa molecular menor, quizá producto de la degradación de la proteína de interés, pues empleando el anticuerpo policlonal fabricado se observan algunas inespecifidades en el Western blot ( figura 6B ). Los resultados alcanzados se deben a diversas estrategias utilizadas para purificar la 6xHis-SNCA G51D. Todos los ensayos realizados lograron resultados tangibles; sin embargo, la selección de un esquema de elución escalonada en una cromatografía de afinidad a Ni-NTA, junto con ciertas modificaciones en el proceso de lisis, posibilitó de manera efectiva la purificación parcial de la proteína recombinante de interés.

Estudios de agregación de SNCA recombinante

En la figura 7 se puede apreciar el impacto a nivel in vitro de la mutación en la agregación de la proteína 6Hisx-SNCA G51D, en el cual se determinó que la mutación estaría ejerciendo al final de las 48 h un efecto de casi el doble de agregación comparada con la proteína silvestre, lo cual evidencia una diferencia estadísticamente significativa (con un p = 0,05) entre el comportamiento de los dos tipos de proteínas, pues la mutación tendría un efecto de casi el doble de agregación comparada con la proteína silvestre. La proteína SNCA mutante cambia su conformación, pasa de una α-hélice a una hoja-β, y diversos estudios demuestran que en este tipo de conformación se encuentra un sitio llamado "escaleras de hebras transversales" [21, 40]. En la figura 8 se puede observar el modelamiento de las estructuras nativas de SNCA y la mutante G51D, donde se evidencia el cambio en la estructura tridimensional de la proteína con la introducción del residuo de aspartato en la posición 51.

Estudios de agregación de SNCA silvestre (azul) y mutada G51D (naranja). Nivel de significancia 
                           p 
                        = 0,05.

Figura 7: Estudios de agregación de SNCA silvestre (azul) y mutada G51D (naranja). Nivel de significancia p = 0,05.

Modelo SNCA nativa (A) y modelo SNCA G51D mutante (B) obtenidos por el servidor Swiss-Model y visualizadas con Pymol.

Figura 8: Modelo SNCA nativa (A) y modelo SNCA G51D mutante (B) obtenidos por el servidor Swiss-Model y visualizadas con Pymol.

Producción de anticuerpo policlonal anti 6xHis-SNCA G51D, titulación del suero de conejo por ELISA y ensayo de Western blot para los anticuerpos purificados

Después de realizar las sangrías, es decir, posterior a la inmunización final, se hicieron ensayos de ELISA y se establecieron los títulos de los anticuerpos ( tabla 3 ). Los resultados de ELISA mostraron que el título en el conejo A fue de 1:32K y en el conejo B de 1:256K contra la 6xHis-SNCA G51D como se puede apreciar en el Western blot ( figura 6a ).

Tabla 3: Prueba de Elisa después de las inmunizaciones y del anticuerpo purificado. Diluciones orientativas de trabajo para el título del anticuerpo anti 6xHis-SNCA-G51D. Lectura de OD a 450 nm. Los resultados de ELISA indicaron que el título del conejo A fue de 1:32K, y para el conejo B de 1:8K (valores resaltados en rojo).

Prueba de Elisa después de la segunda inmunización
Muestra Blk Dil 1:1K Dil 1:2K Dil 1:4K Dil 1:8K Dil 1:16K Dil 1:32K Dil 1:64K Dil 1:128K Dil 1:256K Dil 1:512K CN
A 0,036 0,329 0,29 0,278 0,216 0,162 0,123 0,099 0,08 0,061 0,059 0,039
B 0,041 0,27 0,223 0,183 0,153 0,106 0,054 0,054 0,053 0,042 0,052 0,039
Prueba de Elisa después de la inmunización final
A 0,022 0,3 0,317 0,232 0,201 0,208 0,147 0,082 0,116 0,023 0,095 0,048
B 0,038 0,301 0,329 0,319 0,299 0,274 0,249 0,202 0,166 0,111 0,106 0,042
Prueba de Elisa para el anticuerpo purificado
A 0,045 0,789 0,796 0,853 0,645 0,543 0,411 0,164 0,18 0,066 0,094 0,047
B 0,057 0,87 0,837 0,85 0,781 0,555 0,391 0,204 0,151 0,107 0,1 0,056

Dil: dilución

CN: control negativo

Blk: blanco

Los resultados de ELISA que se presentan en la tabla 3 indicaron que el título para el anticuerpo purificado del conejo A fue de 1:128K, y para el conejo B de 1:128K contra la 6xHis-SNCA G51D. A mayor concentración de anticuerpos en la muestra, mayor fue la dilución capaz de dar una reacción positiva a la prueba. Los resultados los expresamos con el término de "título" de la muestra, que está definido como el inverso de la máxima dilución que da una reacción francamente positiva en esta prueba determinada. Como se observa en la figura 6B , bajo las condiciones estudiadas el anticuerpo policlonal obtenido presenta reconocimiento específico contra la proteína recombinante fabricada.

Se pudo evidenciar que el anticuerpo policlonal obtenido permitió el reconocimiento mediante Western blot de una banda ubicada aproximadamente entre 14 y 15 KDa en los lisados bacterianos y fracciones obtenidas en todas las concentraciones proteicas utilizadas en este ensayo ( figura 6 ); sin embargo, se observó el reconocimiento inespecífico a masas moleculares menores, posiblemente debido a la degradación de la proteína recombinante o a un reconocimiento inespecífico del mismo. No hay que olvidar que el método de extracción y purificación por cromatografía de afinidad de la proteína que se inoculó a los conejos se evidenció por electroforesis PAGE, pudo contener trazas de otros antígenos del mismo peso molecular.

Finalmente, el anticuerpo policlonal dirigido contra la proteína 6xHis-SNCA-G51D permitió el reconocimiento de la proteína de interés en el control de calidad ( tabla 4 ) en dilución 1:128 y se seleccionó un punto de corte que maximizara la sensibilidad y especificidad de la prueba ELISA de 2,1.

Tabla 4: Prueba de control de calidad para el anticuerpo purificado.

Anticuerpo Dilución validada S/valor C.O Estándar
Anti SNCA G51D 1:128 1,82/1,28 S/C. O> = 1 C.O. = 2,1 * NC.

S: valor de OD de la muestra.

C.O: valor límite de OD = 2,1

NC: Control negativo

Conclusiones

El estudio consistió en la obtención y caracterización parcial de la proteína humana mutante SNCA G51D y de su anticuerpo policlonal. Se identificaron las mejores condiciones de expresión, purificación y caracterización de la proteína recombinante 6xHis-SNCA G51D. Se establecieron escenarios para la obtención del anticuerpo de tipo policlonal, dirigido hacia el antígeno 6xHis-SNCA G51D. Se llevó a cabo la optimización para la clonación del gen de estudio mediante la utilización del vector pET30a, el cual nos brindó la mayor solubilidad in silico. La proteína obtenida posibilitó la obtención de un anticuerpo policlonal antiproteína mutada 6xHis-SNCA G51D, lo cual fue una herramienta inmunológica relevante en la confirmación de la existencia de proteínas mutantes en relación con la SNCA. Además, con la realización del estudio in vitro, se ha logrado demostrar la mayor agregación de la proteína mutante obtenida.

Acknowledgements

Agradecimientos

Muchas gracias a todos aquellos que facilitaron la utilización de equipos y la consecución de materiales y reactivos.

Referencias

  1. Darweesh SKL, et al. Professional occupation and the risk of Parkinson's disease. Eur. J. Neurol.. 2018;25121470-1476. https://doi.org/10.1111/ene.13752 [URL] 🠔
  2. de Oliveira GAP, Silva JL. Alpha-synuclein stepwise aggregation reveals features of an early onset mutation in Parkinson's disease. Commun. Biol.. 2019;211-13. https://doi.org/10.1038/s42003-019-0598-9 [URL] 🠔
  3. Elcoroaristizabal X, Gómez F, González MC, de Pancorbo M. Papel de la genética en la etiología de las sinucleinopatías. Revista Española de Geriatría y Gerontología. 2011;4631-12. https://doi.org/10.1016/j.regg.2011.10.002 [URL] 🠔
  4. Giménez E. Enfermedad de Parkinson: Modificaciones Oxidativas y su Rol en la Toxicidad de α-sinucleína. tesis doctoral. Universidad Nacional de La Plata. La Plata, Argentina. 2022. https://doi.org/10.35537/10915/138140 [URL] 🠔
  5. Lee VM, Trojanowski JQ. Mechanisms of Parkinson's Disease Linked to Pathological α-Synuclein: New Targets for Drug Discovery. Neuron. 2006;5233-38. https://doi.org/10.1016/j.neuron.2006.09.026 [URL] 🠔
  6. Miller DW, et al. α-Synuclein in blood and brain from familial Parkinson disease with SNCA locus triplication. Neurology. 2004;6251835-1838. https://doi.org/10.1212/01.WNL.0000127517.33208.F4 [URL] 🠔
  7. Alarcón-Arís D, et al. Selective a-Synuclein Knockdown in Monoamine Neurons by Intranasal Oligonucleotide Delivery: Potential Therapy for Parkinson's Disease. Mol. Ther.. 2018;262550-567. https://doi.org/10.1016/j.ymthe.2017.11.015 [URL] 🠔
  8. Lavedan C. The Synuclein Family. Genome Res.. 1998;89871-880. https://doi.org/10.1101/gr.8.9.871 [URL] 🠔
  9. Schlossmacher D, Curran MG, Paleologou MD, El-Agnaf KE, Court OMA, Salem JA, Allsop SA. Detection of oligomeric forms of α-synuclein protein in human plasma as a potential biomarker for Parkinson's disease. FASEB J.. 2006;20419-425. https://doi.org/10.1096/fj.03-1449com [URL] 🠔
  10. Cahill CM, Aleyadeh R, Gao J, Wang C, Rogers JT. Alpha-Synuclein in Alcohol Use Disorder, Connections with Parkinson's Disease and Potential Therapeutic Role of 5' Untranslated Region-Directed Small Molecules. Biomolecules. 2020;101465-1484. https://doi.org/10.3390/biom10101465 [URL] 🠔
  11. Bönsch D, Reulbach U, Bayerlein K, Hillemacher T, Kornhuber J, Bleich S. Elevated Alpha Synuclein mRNA Levels Are Associated with Craving in Patients with Alcoholism. Biol Psychiatry. 2004;56984-986. https://doi.org/10.1016/j.biopsych.2004.09.016 [URL] 🠔
  12. Janeczek P, Lewohl JM. The role of α-synuclein in the pathophysiology of alcoholism. Neurochem. Int.. 2013;633154-162. https://doi.org/10.1016/j.neuint.2013.06.007 [URL] 🠔
  13. Huenchuguala S. Alpha-Synuclein Oligomers and Dopamine. Clin Pharmacol Transl Med. 2018;2184-86. 🠔
  14. Sui YT, Bullock KM, Erickson MA, Zhang J, Banks WA. Alpha synuclein is transported into and out of the brain by the blood-brain barrier. Peptides. 2014;62197-202. https://doi.org/10.1016/j.peptides.2014.09.018 [URL] 🠔
  15. Bönsch D, Reulbach U, Bayerlein K, Hillemacher T, Kornhuber J, Bleich S. Elevated alpha synuclein mRNA levels are associated with craving in patients with alcoholism. Biol. Psychiatry. 2004;5612 🠔
  16. Janeczek P, Lewohl JM. Effect of Alcohol on the Regulation of a-Synuclein in the Human Brain. Addictive Substances and Neurological Disease.- Alcohol, Tobacco, Caffeine, and Drugs of Abuse in Everyday Lifestyles. Elsevier. 2017. 67-73. 🠔
  17. Rey M, Aristizabal FA. Inflammatory response genes differentially expressed in a Colombian university cohort with alcohol consumption problems. Genet. Mol. Res.. 2023;2231-21. https://doi.org/10.4238/gmr19159 [URL] 🠔
  18. Bartels T, Choi JG, Selkoe DJ. a-Synuclein occurs physiologically as a helically folded tetramer that resists aggregation. Nature. 2011;477107-110. https://doi.org/10.1038/nature10324 [URL] 🠔
  19. Lesage S, et al. G51D α-synuclein mutation causes a novel Parkinsonian-pyramidal syndrome. Ann. Neurol.. 2013;734459-471. https://doi.org/10.1002/ana.23894 [URL] 🠔
  20. Lendel C, et al. On the Mechanism of Nonspecific Inhibitors of Protein Aggregation: Dissecting the Interactions of R-Synuclein with Congo Red and Lacmoid t. Biochemistry. 2009;48358322-8334. https://doi.org/10.1021/bi901285x [URL] 🠔
  21. Fares M, et al. The novel Parkinson's disease linked mutation G51D attenuates in vitro aggregation and membrane binding of α-synuclein, and enhances its secretion and nuclear localization in cells. Hum. Mol. Genet.. 2014;23174491-4509. https://doi.org/10.1093/hmg/ddu165 [URL] 🠔
  22. Biancalana M, Koide S. Molecular Mechanism of Thioflavin-T Binding to Amyloid Fibrils. Biochim Biophys Acta. 2010;180471405-1412. https://doi.org/10.1016/j.bbapap.2010.04.001 [URL] 🠔
  23. Agerschou ED, et al. An engineered monomer binding-protein for a-synuclein efficiently inhibits the proliferation of amyloid fibrils. eLife. 2019;81-31. https://doi.org/10.7554/eLife.46112 [URL] 🠔
  24. GenScript. pET-30a(+) 5.4kb. 2021. www.genscript.com/gsfiles/vector-map/bacteria/pET-30a.pdf [URL] 🠔
  25. Magnan CN, Randall A, Baldi P. SOLpro: accurate sequence-based prediction of protein solubility. Bioinformatics. 2009;25172200-2207. https://doi.org/10.1093/bioinformatics/btp386 [URL] 🠔
  26. Smialowski D, Doose P, Torkler G, Kaufmann P, Frishman S. PROSO II-- a new method for protein solubility prediction. FEBS J.. 2012;279122192-2200. https://doi.org/10.1111/j.1742-4658.2012.08603.x [URL] 🠔
  27. Hirose S, Noguchi T. ESPRESSO: A system for estimating protein expression. Proteomics. 2013;131444-1456. https://doi.org/10.1002/pmic.201200175 [URL] 🠔
  28. Russell DW, Sambrook J. Chapter 5. Molecular cloning: A laboratory manual. New York: Cold Spring Harbor Press. 2001. 🠔
  29. Hyun J, Chang K, Yup S. Production of recombinant proteins by high cell density culture of Escherichia coli. Chem. Eng. Sci.. 2006;61876-885. https://doi.org/10.1016/j.ces.2005.03.031 [URL] 🠔
  30. Sørensen K, Mortensen HP. Advanced genetic strategies for recombinant protein expression in Escherichia coli. J. Biotechnol.. 2005;1152113-128. https://doi.org/10.1016/j.jbiotec.2004.08.004 [URL] 🠔
  31. Shapiro AL, Viñuela E, Maizel JV. Molecular weight estimation of polypeptide chains electrophoresis in SDS-polyacrylamide gels. Biochem Biophys Res Commun.. 1967;285815-820. https://doi.org/10.1016/0006-291x(67)90391-9 [URL] 🠔
  32. Kielkopf CL, Bauer W, Urbatsch IL. Expression of Cloned Genes in E. coli Using IPTG-Inducible Promoters. Cold Spring Harb. Protoc.. 2021;2. https://doi.org/10.1101/pdb.prot102137 [URL] 🠔
  33. Ni Y, Chen R. Extracellular recombinant protein production from Escherichia coli. Biotechnol Lett. 2009;311661-1670. https://doi.org/10.1007/s10529-009-0077-3 [URL] 🠔
  34. Hanasco R. ELISA: Methods and protocols . Methods in Molecular Biology. Albany: Humana Press. 2015. https://doi.org/10.1007/978-1-4939-2742-5 [URL] 🠔
  35. Urh M, Simpson D, Zhao K. Affinity chromatography: general methods. Methods Enzymol. 2009;463417-438. https://doi.org/10.1016/S0076-6879(09)63026-3 [URL] 🠔
  36. Towbin H, Staehelin T, Gordon J. Electrophoretic transfer of proteins from polyacrylamide gels to nitrocellulose sheets: procedure and some applications. Proc. Natl. Acad. Sci. U. S. A.. 1979;7694350-4354. https://doi.org/10.1073/pnas.76.9.4350 [URL] 🠔
  37. Fra AM, Williamson E, Simons K, Parton RG. De novo formation of caveolae in lymphocytes by expression of VIP21-caveolin. Proc. Natl. Acad. Sci. U. S. A.. 1995;92198655-8659. https://doi.org/10.1073/pnas.92.19.8655 [URL] 🠔
  38. Ramprasad MP, Terpstra V, Kondratenko N, Quehenberger O, Steinberg D. Cell surface expression of mouse macrosialin and human CD68 and their role as macrophage receptors for oxidized low density lipoprotein. Proc. Natl. Acad. Sci. U. S. A.. 1996;932514833-14838. https://doi.org/10.1073/pnas.93.25.14833 [URL] 🠔
  39. Lehmann P, Hoffmann K, Neudecker S, Suhr P, Becker M, Rösch WM. High-yield expression in Escherichia coli, purification, and characterization of properly folded major peanut allergen Ara h 2. Protein Expr. Purif.. 2003;312250-259. https://doi.org/10.1016/s1046-5928(03)00190-6 [URL] 🠔
  40. Vincze T, Posfai J, Roberts RJ. NEBcutter: a program to cleave DNA with restriction enzymes. Nucleic Acids Res.. 2003;31133688-3691. https://doi.org/10.1093/nar/gkg526 [URL] 🠔
  41. Biancalana M, Koide S. Molecular mechanism of Thioflavin-T binding to amyloid fibrils. Biochimica et Biophysica Acta - Proteins and Proteomics. 2010;180471405-1412. https://doi.org/10.1016/j.bbapap.2010.04.001 [URL] 🠔
M. Gantiva Gantiva y M. Rey Buitrago, "Obtención y caracterización parcial de la proteína humana mutante α-sinucleína G51D y la producción de su anticuerpo policlonal Título", Rev. Colomb. Quim., vol. 52, nro. 2, pp. 3-10, 2023. DOI: https://doi.org/10.15446/rev.colomb.quim.v52n2.111120