Revista Colombiana de Química
0120-2804
2357-3791
Universidad Nacional de Colombia
Colombia
https://dx.doi.org/10.15446/rev.colomb.quim.v46n3.63492

Recibido: 26 de septiembre de 2016; Aceptado: 7 de marzo de 2017

Diseño y producción de diversas proteínas fusión de la nicotinamida/nicotinato mononucleótido adenilil transferasa (NMNAT) de Plasmodium falciparum

Design and production of various fusion proteins of the nicotinamide/nicotinate mononucleotide adenilil transferase (NMNAT) of Plasmodium falciparum

Desenho e produção de várias proteínas fusão da nicotinamida/nicotinato mononucleótido adenilil transferasa (NMNAT) do Plasmodium falciparum

C. Nieto C., N. Forero B., M. Ramírez H.,

Laboratorio de investigaciones básicas en bioquímica (LIBBIQ), Facultad de Ciencias, Universidad Nacional de Colombia, Sede Bogotá. Universidad Nacional de Colombia Colombia
Laboratorio de investigaciones básicas en bioquímica (LIBBIQ), Facultad de Ciencias, Universidad Nacional de Colombia, Sede Bogotá. Universidad Nacional de Colombia Colombia
Laboratorio de investigaciones básicas en bioquímica (LIBBIQ), Facultad de Ciencias, Universidad Nacional de Colombia, Sede Bogotá. Universidad Nacional de Colombia Colombia

mhramirezh@unal.edu.co

Resumen

Las proteínas recombinantes se han convertido en herramientas útiles en la investigación bioquímica. Sin embargo, durante su producción, aparecen cuerpos de inclusión (IB), debido, por un lado, a la alta expresión de proteína producida a partir de los vectores usados que poseen promotores de alta eficiencia y, por otro lado, a características propias de la proteína. Ahora bien, la nicotinamida/nicotinato mononucleótido adenililtransferasa (NMNAT) es una proteína central en la biosíntesis del NAD(H)+, molécula esencial en el metabolismo celular, y ha sido estudiada en parásitos protozoos. Para el estudio de la NMNAT de estos parásitos se ha recurrido a la expresión de su versión recombinante en E. coli, obteniéndose gran cantidad de proteína como IB. Con el fin de aumentar la solubilidad de la proteína, se clonó la secuencia codificante de la NMNAT de Plasmodium falciparum en diferentes vectores de expresión, se indujo la expresión de la proteína recombinante en E. coli BL21(DE3) y se analizó la solubilidad. La proteína fusión con mayor solubilidad fue purificada y evaluada enzimáticamente. La adición de la etiqueta MBP (proteína de unión a maltosa) a la PfNMNAT incrementó su solubilidad y permitió obtener una proteína funcional con una alta pureza.

Palabras clave

solubilidad, PfNMNAT, cuerpos de inclusión, TAG fusión.

Abstract

Recombinant proteins have become useful tools in biochemistry research. During their production, however, inclusion bodies (IB) appear, on the one hand, due to the high expression rate from the recombinant plasmids, which have high efficiency promoters, and, on the other hand, intrinsic characteristics of the expressed protein. Furhtermore, the nicotinamide/nicotinate mononucleotide adenilyl transferase (NMNAT) is a central protein in NAD(H)+ biosynthesis, an essential cofactor in cell metabolism, and in protozoon parasite has been studied. To study the NMNAT protein of these parasites, their recombinant version in E. coli has been expressed, getting a great quantity of IB as a by-product. To increase the solubility of the protein, the coding sequence of the NMNAT enzyme of Plasmodium falciparum was cloned in different expression plasmids which were subsequently transformed into E. coli BL21(DE3) expression strain. The solubility of the recombinant proteins was assessed and the one with the highest presence in the soluble fraction was subsequently purified and its enzyme activity was determined. The recombinant protein with a MBP (maltose-binding protein) tag showed an increased solubility and purity.

Keywords

solubility, PfNMNAT, inclusion bodies, fusion TAG.

Resumo

As proteínas recombinantes tem convertido em ferramentas úteis na investigação bioquímica. Um problema frequente durante a sua produção é a aparição de corpos de inclusão (IB), devida principalmente à elevada expressão da proteína produzida a partir dos vectores utilizados que têm promotores de elevada eficiência; bem como características das próprias proteínas. Além disso, a nicotinamida/nicotinato mononucleótido adenililtransferasa é uma proteína central na biossíntese do NAD(H)+, molécula essencial no metabolismo celular, e tem sido estudada em protozoários parasitos. Para o estudo da NMNAT destes parasitos, foi realizada a expressão da sua versão recombinante em E. coli, e foi obtido uma grande quantidade de proteína em forma de IB. Com a finalidade de aumentar a quantidade de proteína na fração solúvel, a sequência codificadora para NMNAT de Plasmodium falciparum foi clonada em diferentes vectores de expressão, foi induzida a expressão da proteína recombinante em E. coli BL21(DE3) e foi analisada a solubilidade. A proteína fusão com maior solubilidade foi purificada e avaliada enzimáticamente. A adição da etiqueta MBP (proteína de união a maltosa) à PfNMNAT incrementou a solubilidade da proteína e permitiu obter uma proteína funcional com una alta pureza.

Palavras-chave

solubilidade, PfNMNAT, corpos de inclusão, TAG fusão.

Introducción

Plasmodium falciparum es un parásito protozoario intracelular causante de la forma más grave de malaria, una enfermedad de la cual en el último año se reportaron cerca de 212 millones de casos nuevos y 429.000 muertes ( 1 ). Dado que en la actualidad no existe una vacuna de uso clínico y ante el aumento de la resistencia del parásito contra medicamentos antimaláricos (e.g. cloroquina, artemisinina, etc.), la Organización Mundial de la Salud, en colaboración con diferentes laboratorios del mundo, se encuentra en la búsqueda de proteínas que sirvan como blancos terapéuticos para el control de la enfermedad ( 2 ).

En los últimos 20 años se ha venido estudiando la nicotinamida/nicotinato mononucleótido adenililtransferasa NMNAT (EC 2.7.7.1/18), enzima en la cual convergen las rutas de novo y de reciclaje del dinucleótido de adenina y nicotinamida NAD(H) ( 3 ). El NAD(H) y su derivado fosforilado NADP(H) son esenciales en el metabolismo celular y, en el caso de P. falciparum, en el proceso de infección eritrocítica ( 4 - 6 ). Durante su ciclo de vida asexual, el parásito infecta a los glóbulos rojos y degrada la hemoglobina, tras lo cual incrementa el estrés oxidativo. Este aumento activa los sistemas antioxidantes del parásito que dependen del poder reductor del NADP(H) celular. Así mismo, en el proceso de infección, las rutas metabólicas, como el ciclo de las pentosas fosfato y la glicólisis, aumentan su actividad. Estas rutas dependen de NADP+ y NAD+, respectivamente ( 7 , 8 ).

La NMNAT de P. falciparum ha sido identificada y estudiada enzimáticamente como proteína recombinante en trabajos anteriores ( 9 - 11 ). Durante su expresión, se producen grandes cantidades de agregados insolubles conocidos como cuerpos de inclusión (CI o IB, acrónimo en inglés), los cuales están compuestos principalmente por proteína mal plegada de poca utilidad respecto a la proteína soluble y de dispendiosa purificación. Con el fin de maximizar la cantidad de proteína recombinante soluble, se han propuesto varias estrategias: cambios en las condiciones de expresión, cepas, vectores, promotores y etiquetas ( 12 ). En este trabajo se reportan los resultados de la evaluación de varios vectores y etiquetas en la expresión y solubilidad de la NMNAT recombinante de P. falciparum (PfNMNAT).

Materiales y métodos

Estimación in silico de la solubilidad

Se escogieron los cuatro vectores más promisorios en cuanto a solubilidad, teniendo en cuenta tres aspectos: expresión, solubilidad y purificación ( 13 ). Los cuatro vectores escogidos fueron: Champion™ pET SUMO (ThermoFisher), el cual le otorga la etiqueta de 6His+SUMO (His + SUMO); pCold TF DNA (Takara), que fusiona la etiqueta de 6His+Chaperona Trigger Factor (His + TF); pBAD202/D-TOPO (Invitrogen), fusiona la etiqueta de Tiorredoxina (Trx) y pMAL-c5X (New England Biolabs) que su proteína fusión es la proteína de unión a maltosa (MBP).

Se implementaron tres programas bioinformáticos, SOLPro ( 14 ), PROSO II ( 15 ) y ESPRESSO ( 16 ), que estiman la solubilidad de la proteína recombinante expresada a partir del sistema heterólogo E. coli. Para esto, se tomó la secuencia primaria de la PfNMNAT (PF13_0159), unida a las diferentes etiquetas moleculares aportadas por los vectores de expresión, y se identificó la probabilidad de encontrar esta proteína en la fracción soluble.

Amplificación de la región codificante de la PfNMNAT

Para la amplificación de la región codificante de la PfNMNAT se usaron varias parejas de iniciadores que permitieron la clonación en los respectivos vectores de expresión (Tabla 1). Las condiciones utilizadas para la amplificación fueron: 1 U de la enzima Taq Polimerasa (Applied Biosystems) o Pfu DNA Polimerasa (ThermoFisher), MgCl2 o MgSO4 (2,5 mM), buffer de la ADN polimerasa (1X), dNTP’s (10 mM), H2O DEPC, iniciadores y aproximadamente 50 ng de ADN plantilla; todo a un volumen final de 15 µL. Se empleó el siguiente perfil térmico: un ciclo de desnaturalización inicial a 94 ºC durante 10 min, seguido por 30 ciclos de 94 ºC por 45 s, 50 ºC por 1 min, 72 ºC por 45 s, y una extensión final a 72 ºC por 10 min (termociclador Biorad) ( 10 ).

: Tabla 1. Iniciadores utilizados para la amplificación de la región codificante de la PfNMNAT.

Primer Secuencia 5’-3’
Directo petSumo ATGCATAAGAATATATGT
Directo pBAD caccATGCATAAGAATATATGT
Directo pMal y pCold ggatccATGCATAAGAATATATGT
Reverso CTAATTAAAATCATATAAGTT

Clonación de la región codificante de la PfNMNAT

Los productos de PCR fueron visualizados en geles de agarosa 1%. Para realizar la clonación se usaron dos estrategias dependiendo del vector de expresión: ligación directa con el producto de PCR o subclonación utilizando el vector pGEM®–T Easy (PROMEGA). La ligación se realizó teniendo en cuenta una relación 1:1 inserto purificado y vector (aproximadamente 50 ng).

Transformación en cepas de E. coli

Se transformaron cepas de E. coli de mantenimiento One Shot Mach1™ T1 (ThermoFischer) y de expresión BL21(DE3) (Sigma-Aldrich) químicamente competentes, mediante choque térmico (42 °C durante 45 s, 5 min en hielo). Inmediatamente, las bacterias transformadas se incubaron durante 1 h a 37 ºC en medio SOC (triptona 2%, extracto de levadura 0,5%, NaCl 10 mM, KCl 2,5 mM, MgCl2 10 mM y glucosa 20 mM). Luego, se sembraron en cajas de Petri con LB-agar y antibiótico de selección respectivo para cada vector.

Purificación del ADN recombinante

Se partió de un cultivo de 10 mL, inoculando en medio LB líquido suplementado con el antibiótico de selección. Se utilizó el método de lisis alcalina ( 17 ).

Expresión de las proteínas recombinantes

Se tomó una colonia de cada uno de los plásmidos recombinantes y se inocularon individualmente en medio LB, suplementado con el antibiótico de selección; se dejaron creciendo toda la noche a 37 ºC. Se realizó una dilución del cultivo 1:100 y se continuó el crecimiento hasta alcanzar una D.O ~ 0,6 a 600 nm. Se realizó la inducción de la expresión de las proteínas siguiendo las recomendaciones del fabricante con IPTG (Isopropil β-D-1-tiogalactopiranósido) o arabinosa, según el caso, incubando a 15–25 °C con agitación constante. Finalizada la inducción, se colectaron las bacterias por centrifugación a 6000 rpm por 15 min a 4 °C; se descartó el sobrenadante y se determinó el peso húmedo de células.

Lisis celular

Los pellets celulares se resuspendieron en buffer de lisis (5 mL/g). Se adicionó lisozima (Sigma-Aldrich) a una concentración final de 1 mg/mL; ARNasa (ThermoFisher), a una concentración final de 6,25 µg/mL, y cocktail de inhibidores de proteasas (Sigma-Aldrich) P8340; AEBSF 1 mM, E64 14 µM, Pepstatin A 15 µM, Bestatin 40 µM, Leupeptin 20 µM, Aprotinin 0,8 µM). El conjunto se incubó en hielo durante 30 min con agitación mecánica. Pasado este tiempo, se sometió la muestra a 5 min de sonicación sobre hielo (50% de amplitud, 15 s de pulso y 15 s de reposo). La muestra fue centrifugada a 12000 rpm por 20 min a 4 °C, separándose el sobrenadante (fracción soluble) y el pellet (fracción insoluble o cuerpos de inclusión).

Detección de las proteínas recombinantes por electroforesis SDS-PAGE y western blot

Los lisados de los clones inducidos se analizaron por electroforesis vertical SDS-PAGE. Para esto se tomó una alícuota de las fracciones solubles obtenidas en la lisis y se resuspendieron en buffer de carga desnaturalizante. Las muestras se calentaron a 92 °C durante 7 min. La visualización de las bandas se logró mediante la tinción del gel con azul de Coomassie. Para los ensayos de inmunodetección (western blot), las proteínas separadas por SDS-PAGE fueron transferidas a membrana de nitrocelulosa (ThermoFisher), usando el método de electrotransferencia húmeda ( 18 ), en buffer de transferencia aplicando 200 mA por 2 h. A su término, se tiñó la membrana con Rojo Ponceau (Sigma-Aldrich) y se realizó la inmunodetección. Se identificó el sistema de expresión que tuvo mayor aumento de solubilidad mediante la confirmación en western blot, y se realizaron ensayos de purificación.

Purificación de la proteína recombinante por afinidad a resina de amilosa

La proteína MBP-PfNMNAT (MBP, maltose-binding protein) se purificó a partir de la fracción soluble mediante afinidad a resina de amilosa (NEB). La resina se equilibró con buffer de lisis y se mezcló con la fracción soluble diluida (1:6). La unión se llevó a cabo durante 1 h a 4 °C con agitación constante. La mezcla se transfirió a una mini columna, empacándose la resina y obteniéndose las proteínas no unidas. La resina se lavó con 12 volúmenes de buffer de lisis. La proteína MBP-PfNMNAT se eluyó con buffer de elución (buffer de lisis + maltosa 10 mM); se recolectaron 25 fracciones de aprox. 60 µL, que fueron suplementadas con glicerol (10% v/v) y almacenadas a -80 °C. La proteína en la fracción soluble y en los eluídos se cuantificó mediante el método de Bradford ( 19 ).

Ensayo de actividad enzimática

Se realizó un ensayo in vitro para determinar la actividad de la proteína recombinante purificada. Las mezclas de reacción (mononucleótido de nicotinamida (NMN) 1 mM y ATP 1,3 mM en buffer HEPES 100 mM + Mg2+ 10 mM, pH 7,5) se incubaron a 37 °C durante 30 min, al término de lo cual se detuvo la reacción con HClO4 1,2 M a 4 °C. La proteína se precipitó mediante centrifugación a 12000 rpm durante 3 min a 4 °C. Se neutralizó el sobrenadante con K2CO3 1 M en hielo. El resultado de la reacción in vitro se evaluó mediante HPLC en fase reversa. Se utilizó una columna Phenomenex Luna C18 (250 mm x 4,60 mm; 5 µm). El volumen de inyección fue de 50 µL. Fases móviles: buffer fosfato de potasio 0,12 M pH 6,0 y metanol. Flujo constante de 1,5 mL/min, con un tiempo de 20 min por corrida a temperatura ambiente. Detección espectrofotométricamente a 254 nm.

Resultados y discusión

Estimación in silico de la solubilidad

El estudio bioinformático indicó una mayor solubilidad de la proteína PfNMNAT expresada desde el vector pMAL-c5X. Los resultados para la PfNMNAT expresada desde los otros vectores no fueron concluyentes, pues se encontraron divergencias con los programas empleados. Aunque todos los programas predicen solubilidad del 50% aproximadamente, como control se usa la secuencia primaria de la proteína sin ninguna etiqueta, donde se puede observar que la expresión de esta proteína en el sistema heterólogo sería insoluble.

Lo anterior es predecible, debido a que es una proteína externa de la bacteria y por ende no se puede resolver su plegamiento. Por tanto, es importante adicionar las etiquetas para obtener la versión recombinante de forma soluble (Tabla 2). Entonces, se evaluó el desempeño de estos vectores y etiquetas en la solubilidad experimentalmente.

: Tabla 2. Predicción in silico de la solubilidad de las proteínas recombinantes PfNMNAT usando programas bioinformáticos

SolPro ProSo II ESPRESSO
pCOLD-PfNMNAT 53,5% 66,7% 48,3%
pMAL C5X-PfNMNAT 60,6% 70,3% 50,0%
pET SUMO-PfNMNAT 20,3% 43,3% 46,1%
PfNMNAT 17,7% 53,7% 44,5%

Amplificación, clonación y transformación

Se obtuvieron los productos de PCR deseados para cada pareja de iniciadores. La clonación en los tres vectores empleados fue exitosa, después del análisis por PCR y digestión con enzimas de restricción (Figura 1).

Expresión de las proteínas recombinantes

En la Figura 2 se muestra el perfil electroforético de cada uno de los sistemas de expresión evaluados. Se observa una mayor expresión de la proteína con la etiqueta MBP (~ 67,3 kDa) respecto a las otras etiquetas: His + SUMO (~ 35,8 kDa), Trx (~ 37,8 kDa) y His-TF (76,8 kDa), tal y como se predijo en los programas bioinformáticos.

Hasta el día de hoy no se tiene claro el mecanismo por el cual la proteína fusión puede modificar la solubilidad de la proteína de interés, sin embargo, la MBP es una de las más estudiadas. La proteína de unión a maltosa puede estar funcionando como una chaperona molecular que, mediante su bolsillo hidrofóbico, secuestra la proteína con plegamiento intermedio y le da una segunda oportunidad de plegamiento. Esto permite que la proteína recombinante tenga el plegamiento nativo y, por ende, se encuentre en la fracción soluble; si, por el contrario, no se puede resolver el plegamiento, formará agregados insolubles ( 20 , 21 ).

La proteína MBP fusionada a la PfNMNAT en la región amino terminal permite realizar la purificación de la proteína recombinante mediante cromatografía de afinidad, debido a la elevada interacción de la resina de amilosa por las proteínas recombinantes que contienen la etiqueta. MBP consta de dos dominios estructurales en forma de bisagra que le permiten interactuar con diversos azúcares como la amilosa y la maltosa. La unión con ellas genera un cambio conformacional que cierra la proteína con la cual se enlaza al azúcar a través de enlaces de puentes de hidrógeno y por contactos de Van der Waals, principalmente con residuos aromáticos, causando un apilamiento de las cadenas laterales contra la cara de los anillos de azúcar. Estos enlaces proporcionan la esteroespecificidad de reconocimiento de ligandos y tienden a estabilizar la conformación cerrada de la proteína ( 22 - 24 ).

Se espera que el tamaño de la proteína fusión (42,5 kDa) no interfiera en la estructura y función de la proteína purificada, lo cual se confirmó mediante ensayos enzimáticos posteriores.

Purificación mediante afinidad a amilosa

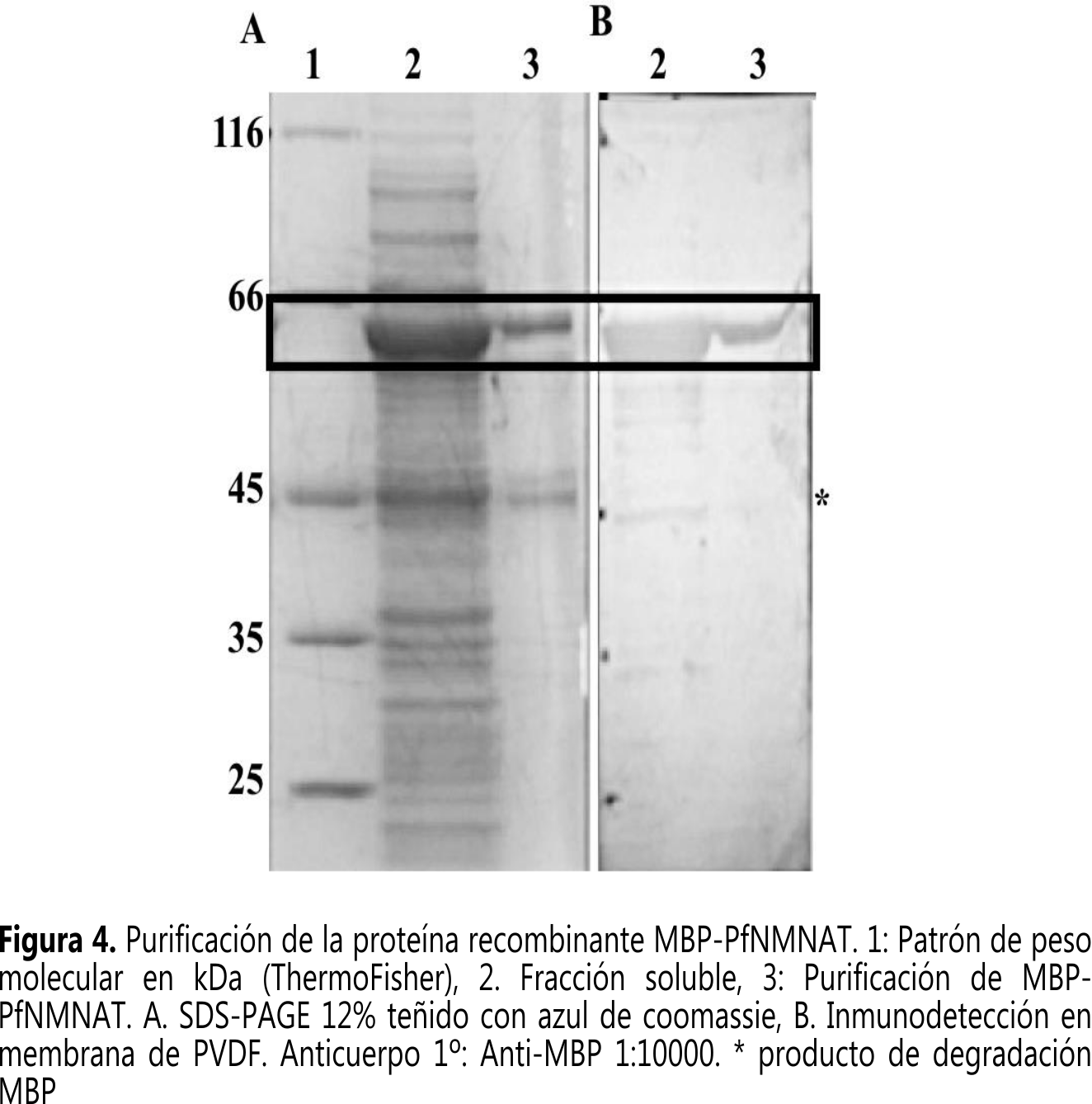
La purificación de la proteína se llevó a cabo en condiciones nativas, buscando no interferir en la funcionalidad y estructura. La purificación por cromatografía de afinidad se siguió mediante SDS-PAGE (Figura 3).

Se observó que, a partir de los lavados, se eliminó una gran cantidad de proteínas no unidas, permitiendo obtener eluídos con la proteína recombinante parcialmente pura y concentrada. Se presentó una pequeña contaminación por una proteína de aproximadamente 45 kDa correspondiente a un producto de degradación, debido a una alta tasa de degradación de la proteína recombinante PfNMNAT sobreexpresada, y el tamaño corresponde a la etiqueta (MBP) que por el contrario es muy estable.

Esta información se corroboró mediante western blot usando anti-MBP, en el cual se observó reconocimiento del producto de degradación (Figura 4).

Ensayos de actividad enzimática

La actividad nucleotidiltransferasa de la proteína recombinante se evaluó mediante ensayos NMNAT directos y la posterior observación del pico correspondiente al NAD+ sintetizado por HPLC en fase reversa (Figura 5). Respecto a la actividad encontrada en la fracción soluble, en el eluído de la purificación por afinidad fue 18,4 veces mayor (Tabla 3), permitiendo obtener buenos rendimientos para la proteína recombinante.

:

Conclusiones

La fusión de la etiqueta MBP permitió un aumento en la solubilidad de la proteína PfNMNAT en comparación con las otras etiquetas usadas, lo cual, además, facilitó la obtención de la proteína con un alto porcentaje de purificación y buen rendimiento. Sin embargo, la adición de etiquetas de solubilización para la producción de proteínas recombinantes no garantiza la solubilidad de la proteína a expresar, ya que depende de características intrínsecas de cada proteína y de la interacción con la etiqueta.

Se recomienda el uso de programas bioinformáticos como la primera aproximación para el uso de las etiquetas, con el objetivo de determinar su posible efecto sobre la solubilidad. No obstante, hay que tener precaución con los resultados de la predicción, ya que estos dependen de la matriz de proteínas de comparación.

Agradecimientos

Los autores agradecen a Colciencias por la financiación del proyecto 110156935240 y a la convocatoria 645 Jóvenes investigadores e innovadores 2014. A la Universidad Nacional de Colombia, a miembros y ex miembros del laboratorio de investigaciones básicas en bioquímica (LIBBIQ).

Referencias

  1. 1. World Health Organization. World Malaria Report 2016. Disponible en: http://apps.who.int/iris/bitstream/10665/252038/1/9789241511711-eng.pdf?ua=1. [Consultado el 22 de febrero de 2017] 🠔
  2. 2. World Health Organization. Estrategia técnica mundial contra la malaria 2016 - 2030. Disponible en: http://apps.who.int/iris/bitstream/10665/186671/1/9789243564999_spa.pdf?ua=1. [Consultado el 22 de febrero de 2017] 🠔
  3. Katoh, A.; Uenohara, K.; Akita, M.; Hashimoto. Early steps in the biosynthesis of NAD in Arabidopsis start with Aspartate and occur in the plastid. Plant Physiol. 2006.141(3), 851–857. DOI: http:/​/​dx.​doi.​org/​10.​1104/​pp.​106.​081091 🠔
  4. 4. Zerez, C.; Roth, E.; Schulman, S.: Tanaka, K. Increased nicotinamide adenine dinucleotide content and synthesis in Plasmodium falciparum-infected human erythrocytes. Blood. 1990. 75 (8), 1705-10. 🠔
  5. 5. Merrick, C.; Duraisingh, M. Plasmodium falciparum Sir2: an unusual sirtuin with dual histone deacetylase and ADP-ribosyltransferase activity. Eukaryot Cell. 2007. 6 (11), 2081-91. DOI: http://doi.org/10.1128/EC.00114-07. 🠔
  6. 6. Eren, D. Plasmodium falciparum, enzymes involved in redox balancing of nicotinamide nucleotides. Ph.D. Dissertation [Online]. College of Medicine, Drexel University. September 2003. P. 186. https://idea.library.drexel.edu/islandora/object/idea%3A477/datastream/OBJ/view [Consultado el 22 de febrero de 2017]. 🠔
  7. 7. Muller, S. Redox and antioxidant systems of the malaria parasite Plasmodium falciparum. Mol Microbiol, 2004, 53(5), 1291-305. DOI: http://dx.doi.org/10.1111/j.1365-2958.2004.04257.x. 🠔
  8. 8. Olszewski, K.; Morrisey, J.; Wilinski, D.; Vaidya, A.; Rabinowitz, J.; Llinás, M. Host-parasite interactions revealed by Plasmodium falciparum metabolomics. Cell Host Microbe. 2009, 5 (2), 191-9. DOI: http://dx.doi.org/10.1016/j.chom.2009.01.004 🠔
  9. 9. O’Hara J.; Kerwin L.; Cobbold S.; Tai J.; Bedell T.; Reider, P.; et al. Targeting NAD+ Metabolism in the Human Malaria Parasite Plasmodium falciparum. Plos ONE. 2014, 9 (4), e94061. DOI: http://doi.org/10.1371/journal.pone.0094061 🠔
  10. 10. Marín, C.; Ramírez-Hernández, M. H. Identificación, expresión y caracterización de la nicotinamida/nicotinato mononucleótido adenililtransferasa de Plasmodium falciparum (PfNMNAT). M. S. Tesis. Universidad Nacional de Colombia, 2010. 🠔
  11. 11. Sánchez, L.; Ramírez-Hernández, M. H. Obtención y caracterización parcial de la proteína recombinante nicotinamida/nicotinato mononucleótido adenilil transferasa de Plasmodium falciparum (PfNMNAT). Tesis de pregrado, Universidad Nacional de Colombia, 2011. 🠔
  12. 12. Birkholtz L.; Blatch, G.; Coetzer, T.; Hoppe, H.; Human, E.; Morris, E.; et al. Heterologous expression of plasmodial proteins for structural studies and functional annotation. Malar. J. 2008, 7, 197. DOI: http://doi.org/10.1186/1475-2875-7-197 🠔
  13. 13. Costa, S.; Almeida, A.; Castro, A.; Domingues, L. Fusion tags for protein solubility, purification and immunogenicity in Escherichia coli: the novel Fh8 system. Front. Microbiol. 2014, 5, 63. DOI: http://doi.org/10.3389/fmicb.2014.00063 🠔
  14. 14. Magnan, C.; Randall, A.; Baldi. P. SOLpro: accurate sequence-based prediction of protein solubility. Bioinformatics. 2009, 25 (17), 2200-2207 DOI: https://doi.org/10.1093/bioinformatics/btp386 🠔
  15. 15. Smialowski, P.; Doose, G.; Torkler, P.; Kaufmann, S.; Frishman, D. PROSO II – a new method for protein solubility prediction. FEBS J. 2009, 279, 2192–2200. DOI: http://dx.doi.org/10.1111/j.1742-4658.2012.08603.x 🠔
  16. 16. Hirose, S.; Kawamura, Y.; Yokota, K.; Natsume, T.; Komiya, K.; Tsutsumi, T.; et al. Statistical analysis of features associated with protein expression/solubility in an in vivo Escherichia Coli expression system and a wheat germ cell-free expression system. J. Biochem. 2011, 150 (1), 73-81. DOI: https://doi.org/10.1093/jb/mvr042 🠔
  17. 17. Sambrook, J.; Ruseell, D. Molecular cloning: a laboratory manual Tercera edición. New York: Cold Spring Harbor Laboratory Press, 2001; 15.14 - 15.49. 🠔
  18. 18. Towbin, H.; Staehelin, T.; Gordon J. Electrophoretic transfer of proteins from polyacrylamide gels to nitrocellulose sheets: procedure and some applications. Proc. Natl. Acad. Sci. U S A. 1979, 76 (9), 4350-4. 🠔
  19. 19. Bradford, M. A rapid and sensitive method for the quantitation of microgram quantities of protein utilizing the principle of protein-dye binding. Anal. Biochem. 1976, 72, 248–254. 🠔
  20. 20. Kapust, R.; Waugh, D. S. Escherichia coli maltose-binding protein is uncommonly effective at promoting the solubility of polypeptides to which it is fused. Protein Sci. 1999, 8, 1668–1674. DOI: http://dx.doi.org/10.1110/ps.8.8.1668 🠔
  21. 21. Fox, J; Kapust, R.; Waugh, D. Single amino acid substitutions on the surface of Escherichia coli maltose-binding protein can have a profound impact on the solubility of fusion proteins. Protein Sci. 2001, 10, 622–630. DOI: http://dx.doi.org/10.1110/ps.45201 🠔
  22. 22. Duan, X.; Quiocho, F. Structural evidence for a dominant role of nonpolar interactions in the binding of a transport/chemosensory receptor to its highly polar ligands. Biochemistry. 2002, 41, 706–712. DOI: http://dx.doi.org/10.1021/bi015784n 🠔
  23. 23. Sharff, A.; Rodseth, L.; Spurlino, J.; Quiocho, F. Crystallographic evidence of a large ligand-induced hinge-twist motion between the 2 domains of the maltodextrin binding-protein involved in active-transport and chemotaxis. Biochemistry. 1992, 31, 10657–10663. DOI: http://dx.doi.org/10.1021/bi00159a003. 🠔
  24. 24. Spurlino, J.; Lu, G.; Quiocho, F. The 2.3-Å resolution structure of the maltose- or maltodextrin-binding protein, a primary receptor of bacterial active transport and chemotaxis. J. Biol. Chem. 1991, 266, 5202–5219. 🠔