Revista Colombiana de Química
0120-2804
2357-3791
Universidad Nacional de Colombia
Colombia
https://doi.org/

Purificación del fibrinógeno gamma A/gamma prima (γA/γ') por cromatografía líquida rápida de proteínas

Purification of fibrinogen gamma A/gamma prima (γA/γ') by fast protein liquid chromatography

Purificação do fibrinogênio gamma A/gamma prima (γA/γ') por cromatografía liquida rápida de proteínas

M. Cantero Guevara, B. Cardinali, R. Marchi,

Universidad de Córdoba, Colombia, Montería Universidad de Córdoba Colombia
Medical Oncology, Hospital Policlinico San Martino, Italy, Genova Hospital Policlinico San Martino Italia
Instituto Venezolano de Investigaciones Científicas, Venezuela, Caracas Instituto Venezolano de Investigaciones Científicas Venezuela

cmelengca@gmail.com

Resumen

Una fracción del fibrinógeno circulante contiene una variante de la cadena γ que se origina por empalme alternativo del ARNm, denominada γ’ cuya concentración en plasma se ha relacionado con un incremento en el riesgo de padecer enfermedades cardiovasculares. Por tanto, el objetivo de este trabajo fue diseñar un método de purificación del fibrinógeno γA/γ’ más eficiente en relación a los descritos en la literatura, a partir de plasma humano. Se purificó el fibrinógeno γA/γ’ a partir del fibrinógeno total obtenido por precipitación con β-alanina, mediante la separación por cromatografía líquida rápida de proteínas. Se confirmó la presencia de fibrinógeno γA/γ’ mediante Western blot; su concentración fue determinada por ELISA. El método mostró ventajas en comparación con los métodos clásicos de separación, por ejemplo, que cantidades menores de muestra pudieron ser fraccionadas cuantitativamente en componentes puros en menor tiempo (30 min). Por tanto, se puede concluir que la técnica utilizada para la purificación de las variantes del fibrinógeno, correspondiente al Fg gA/gA y Fg gA/g’, es un método de separación eficiente que permite purificar el Fg gA/g’ libre de contaminantes principales, como lo confirma la inmunoelectroforesis.

Palabras clave

coagulabilidad, plasma, electroforesis, cadena γ’.

Abstract

A fraction of the circulating fibrinogen contains a variant of the γ chain that is originated by mRNA alternative splicing denominated γ' whose concentration in plasma has been related to an increase in the risk of cardiovascular diseases. Thus, the objective of this work was to design a more efficient γA/γ’ fibrinogen purification method in relation to those described in the literature from human plasma. The γA/γ' fibrinogen was purified from the total fibrinogen obtained by precipitation with β-alanine, using separation by fast protein liquid chromatography. Fibrinogen γA/γ', was confirmed by Western blot and its concentration was determined by ELISA. The method showed advantages compared to classical separation methods, for example, smaller amounts of sample could be fractionated quantitatively into pure components in less time (30 min). Therefore, it can be concluded that the technique used for the purification of fibrinogen variants, corresponding to Fg gA/gA and Fg gA/g', is an efficient separation method that allows purifying the Fg gA/g' free of main contaminants, as confirmed by immunoelectrophoresis. Keyword: Coagulability; plasma; electrophoresis; chain γ’.

Keywords

Coagulability, plasma, electrophoresis, chain γ.

Resumo

Uma fracção do fibrinogênio circulante contém uma variante da cadeia γ que origina-se por junção alternativa do ARNm, chamada γ' cuja concentração em plasma está asociada com um incremento no resgo de sofrer doenças cardiovasculares. Asim, o objetivo em este trabalho foi desenhar um método de purificação do fibrinogênio γA/γ’ mais eficiente em relação aos que estão descritos na literatura, a partir do plasma humano. Purificou-se o fibrinogênio γA/γ’ a partir do fibrinogênio total conseguido pela precipitação com β-alanina, através da separação por cromatografia líquida rápida de proteínas. Se confirmou por Western blot o fibrinogênio γA/γ’. A sua concentração foi determinada por ELISA. O método apresenta vantagens em comparação com os métodos clássicos de separação, por exemplo, quantidades menores de mostra podem ser fraccionadas quantitativamente em componentes puros, em tempos mais curtos (30 min). Entao, pode-se concluir que a técnica utilizada, para a purificação das variantes do fibrinogênio correspondente ao Fg gA/gA e Fg gA/g’, é um método de separação eficiente que permite purificar o Fg gA/g’ livre de contaminantes principais, como o confirma a imunoeletroforese.

Palavras-chave

coagulabilidade, plasma, electroforesis, cadeia γ’.

Introducción

El fibrinógeno (Fg) es una glicoproteína plasmática sintetizada por los hepatocitos [1]. En la etapa final de la coagulación de la sangre, la trombina convierte el Fg soluble en monómeros de fibrina que posteriormente polimerizan y forman la fibrina insoluble, por acción del Factor XIII (FXIIIa). La transglutaminasa es activada fisiológicamente por la trombina en presencia de calcio [2, 3]. El Fg está formado por tres pares de cadenas polipeptídicas distintas (Aα, Bβ, y γ)2. Una variante de la cadena γ normal (γA) o la más abundante del Fg se produce por empalme alternativo del ácido ribonucleico mensajero (ARNm), llamado gamma prima (γ’) [4, 5]. Esta variante constituye un sitio de unión a la trombina de alta afinidad [6].

En la variante de Fg gA/γ’ los últimos cuatro aminoácidos del extremo carboxi-terminal, alanina, glicina, aspártico y valina (AGDV), son reemplazados por una secuencia de 20 aminoácidos g’408-427, VRPEHPAETEYDS LYPEDDL. Los dos residuos de tirosina están sulfatados y hay tres residuos de ácido aspártico y cuatro de ácido glutámico, los cuales le confieren a esta variante un fuerte carácter electronegativo [7, 8]. Esta propiedad ha permitido separar por cromatografía de intercambio aniónico estas dos poblaciones del Fg [9]. A pH neutro, el Fg eluye con las dos cadenas γA (γA/γA) (pico 1; homodimérico), mientras que a pH mucho más ácido (tres órdenes de magnitud) eluye con las cadenas γA y γ’ (γA/γ’; heterodimérico). Algunos estudios clínicos han demostrado que los pacientes con una mayor proporción de γA/γ’ tienen un riesgo mayor de padecer enfermedades cardiovasculares [10] como infarto del miocardio [11], enfermedad arterial coronaria [12] y accidentes cerebrovasculares [13].

Se han planteado diferentes hipótesis con el fin de explicar los efectos del Fg γA/γ’ sobre la estructura y función de la fibrina [14]. La explicación a futuro sobre las implicaciones fisiopatológicas de la estructura del coágulo formado con una mayor proporción de fibrina γA/γ’ puede ayudar al diagnóstico temprano y al tratamiento de determinadas enfermedades vasculares. Sin embargo, es difícil predecir la contribución pro o antitrombótica del Fg γA/γ’ [15]. Considerando que los eventos cardiovasculares causan la interrupción del flujo sanguíneo y muerte celular debido a la formación de trombos de naturaleza oclusiva, resulta importante la investigación de las características de los coágulos formados con un elevado contenido de Fg γA/γ’ y el diseño de estrategias para su disolución. Por lo cual, la purificación del Fg γA/γ’ es un paso fundamental para conseguirlo.

Por lo anterior, el objetivo del presente trabajo fue purificar la variante de Fg (γA/γ’) a partir de plasma de individuos sanos, precipitando primero el Fg total con β-alanina y luego separando las dos poblaciones de Fg, γA/γA y γA/γ’ por cromatografía liquida de separación rápida de proteínas (FPLC, por sus siglas en inglés), empleando una resina de intercambio iónico.

Materiales y métodos

Materiales

La trombina bovina y la mayor parte de los reactivos utilizados fueron grado analítico de la Compañía Sigma (St Louis, MO, USA). Los reactivos de electroforesis fueron adquiridos a través de Bio-Rad Laboratories (Richmond, CA, USA).

El anticuerpo monoclonal de ratón dirigido contra la cadena γ’ humana (2.G2.H9) y la IgG de conejo anti-Fg humano marcado con biotina fueron adquiridos a través de Santa Cruz Biotechnology (Santa Cruz, CA, USA). El Fg γA/γ’ comercial en Enzyme Research Laboratories, USA. Las placas de ELISA de máxima adsorción fueron adquiridas en Thermo Scientific Nunc (Harnover Par – IL, USA).

Toma de la muestra de sangre

Las muestras de sangre se obtuvieron de cinco voluntarios aparentemente sanos, previa lectura y firma del consentimiento informado. Se realizó una punción venosa a nivel del antebrazo, utilizando una aguja mariposa (o scalp) acoplada a una jeringa. Se recogió la sangre anticoagulada con citrato de sodio al 3,8% p/v en una proporción de 9:1 (sangre:anticoagulante), descartando los primeros 3 mL. El plasma se obtuvo por centrifugación a 2000 g durante 20 min y se le adicionaron los siguientes inhibidores de proteasas: 200 U/mL de aprotinina, fluoruro de fenilmetilsulfonilo (PMSF) 1 mM, ácido etilendiaminotetraacético (EDTA) 5 mM y benzamidina 5 mM. La muestra se distribuyó en alícuotas y se conservaron a -80 °C hasta su uso.

Grupo de estudio

El grupo estaba conformado por sujetos sanos (una mujer y cuatro hombres), con edades comprendidas entre 18-40 años, índice de masa corporal entre 18,5 y 24,5 kg/m2 y concentración de Fg entre 2-4 mg/mL. Se excluyeron del estudio sujetos con hábitos tabáquicos o alcohólicos, presión arterial sistólica > 120 mm Hg y diastólica > 80 mm Hg, colesterol total > 200 mg/dL, triglicéridos >150 mg/dL, sujetos con diabetes u otras patologías que pudieran alterar la distribución normal de las poblaciones de Fg.

Purificación de Fg total

La purificación de Fg se realizó a partir del plasma de cada individuo a través de la técnica de precipitación con β-alanina [16], con algunas modificaciones. Se pasó el plasma por una columna de lisina-sefarosa para eliminar el plasminógeno, según el método de Deutsch et al. [17]. Al plasma depletado de plasminógeno se le eliminaron las proteínas vitamina K dependientes: se agregó MgSO4 a razón de 2,4 mg/mL de plasma y se agitó suavemente en un rotador de 360º durante 15 min a temperatura ambiente (TA). Luego se agregó BaSO4 en una proporción de 90 g/L. Se agitó suavemente en un rotador de 360º durante 1 h a TA y luego se centrifugó a 2000 g durante 15 min a 4 ºC. Se volvió a adsorber el sobrenadante con BaSO4. Al sobrenadante obtenido se le agregó lentamente por goteo una solución de β-alanina 6 M y ácido ε aminocaproico (EACA) 0,1 M, hasta una concentración final de β-alanina de 2,7 M. Se mezcló suavemente durante 30 min a TA y se centrifugó a 2000 g por 30 min. Se descartó el sobrenadante y el precipitado se resuspendió con tampón Tris–salino (TS) (Tris 50 mM, NaCl 0,15 M) pH 7,4 y EACA 0,1 M. Se repitió el proceso de precipitación dos veces más y el último precipitado se resuspendió con tampón TS. La solución de Fg se dializó a 4 °C contra el tampón TS. La concentración de Fg purificado se determinó por espectrofotometría (Genesys 6, Spectronic Instruments, Rochester, NY, USA) a 280 nm, utilizando 1,51 como coeficiente de extinción molar del Fg [18]. También se determinó la concentración a través del método de Lowry [19], empleando albúmina sérica bovina como proteína estándar. La solución de Fg se distribuyó en alícuotas y se congelaron a -80 °C hasta su uso.

Medición de la funcionalidad (coagulabilidad) de la proteína purificada

La funcionalidad del Fg purificado se determinó para cada muestra por triplicado. La actividad coagulante del Fg purificado se evaluó empleando el siguiente protocolo: en un tubo de borosilicato de 10 x 75 mm, se formó un coágulo de fibrina con 200 μL de solución de Fg purificado y 200 μL de solución trombina bovina-cloruro de calcio (trombina 1,25 U/mL y CaCl2 5 mM, concentración final). Se colocó un aplicador de madera en el tubo que contenía la solución de Fg y se dejó coagular a 37 °C por 30 min. Se recogió el coágulo y se determinó la concentración de proteínas, por el método de Lowry en la solución de Fg purificado y en el sobrenadante obtenido luego de remover el coágulo. El porcentaje de coagulabilidad se calculó mediante la siguiente ecuación (1) [20]:

Donde Pr: Proteina; Fg: Fibrinógeno.

Para la realización de estudios funcionales se recomienda que la coagulabilidad del Fg purificado sea ≥ 90%.

Electroforesis

La integridad de las cadenas polipeptídicas del Fg purificado fue analizada por electroforesis (SDS-PAGE) en condiciones reductoras, empleando la técnica de Laemmli [21]. Las corridas se realizaron a voltaje constante de 100 V durante 1 h; las bandas proteicas se visualizaron con azul de Coomassie R250 al 0,25% y se compararon con un patrón de Fg comercial.

Cuantificación del Fg γA/γ' por el método de ELISA

El Fg γA/γ’ se cuantificó por ELISA [12], mediante el uso de un anticuerpo monoclonal de ratón dirigido contra la cadena γ’ de origen humano (2.G2.H9). Este anticuerpo reconoce exclusivamente el Fg γ’ y no tiene reacción cruzada con el Fg γA. El anticuerpo 2.G2.H9 se diluyó con tampón fosfato salino (PBS) pH 7,4 hasta una concentración 1,5 μg/mL. Se agregaron 50 μL de esta solución a cada pocillo de una placa de ELISA y se dejó incubando toda la noche a 4 °C. Luego se bloquearon los sitios inespecíficos mediante la adición de 250 μL de PBS–albúmina sérica bovina (BSA) al 4% y glucosa al 2%, por 90 min a 37 °C. Se lavó la placa tres veces con PBS, suplementado con Tween 20 al 0,05% y se añadió la solución de Fg purificado por FPLC, dejando reposar durante 30 min. Transcurrido este tiempo, se realizarón tres lavados como se indicó previamente y se adicionaron 50 μL de un segundo anticuerpo, IgG de conejo anti-Fg humano marcado con biotina, durante 1 h a 37 oC. Se colocaron 50 µL de estreptavidina peroxidasa, dejando reposar durante 20 min. La reacción se reveló con 3,3′,5,5′-tetrametilbenzidina (TMB) como sustrato cromogénico. Se detuvo la reacción con ácido sulfúrico 0,1 N y se leyó inmediatamente a 450 nm en un lector de ELISA INFINITE 200M (TECAN, Männedorf, Switzerland). La cuantificación de Fg γA/γ’ en los eluatos de la columna se determinó por triplicado a partir de una curva estándar hecha con Fg γA/γ’ comercial, en un rango de 0 μg/mL a 1,5 μg/mL. La tendencia lineal de la curva se ajustó con el método de mínimos cuadrados, empleando el programa de Microsoft Excel versión 2007.

Separación de la variante de Fg γA/γ’ del Fg total

La variante de Fg (γA/γ’) se purificó a partir de un Fg purificado con un 3% de Fg γA/γ’ inicial, empleando FPLC, en un equipo AKTA purifier General Electric Company Healthcare, empleando una columna de intercambio aniónico. Se inyectaron 500 μL de la solución de Fg (4 mg/mL), en buffer Tris y purificado por β-alanina, a una columna de intercambio aniónico de HiPrepTM DEAE FF 16/10 (20 mL) (GE Healthcare). A continuación, se lavó la columna con 2 CV (CV: Volumen de la columna) del tampón de equilibrio A (H3PO4 5 mM, Tris 0,039 M, pH 8,5). Luego se aplicó un gradiente no lineal, el cual se controló con el software UNICORN. El gradiente se formó mezclando el tampón A y el tampón B: H3PO4 500 mM, Tris 0,5 M, pH 4,1. Ambos tampones fueron suplementados con aprotinina 5 KIU/mL, como se describe en la Tabla 1. La cromatografía se llevó a cabo a TA a una velocidad de flujo de 4 mL/min. Las fracciones proteicas eluidas se concentraron con amicon (Millipore), hasta obtener un volumen de 200 μL. La concentración de proteínas se determinó por espectrofotometría a 280 nm, utilizando el coeficiente de extinción del Fg: 1,51 M-1·cm-1. Se evaluó por electroforesis SDS–PAGE la integridad de las proteínas separadas por FPLC. La presencia de Fg γA/γ’ se confirmó por Western blotting empleando el anticuerpo monoclonal de ratón 2.G2.H9 dirigido contra la secuencia de aminoácidos 408–427 de la cadena γ’ de origen humano, en un sistema de transferencia (Bio-Rad, USA).

Tabla 1. Gradiente de elución empleado para la purificación de Fg γA/γ’.

% v/v Tampón A (H3PO4 5 mM, Tris 0,039 M, pH 8,5) % v/v Tampón B (H3PO4 500 mM, Tris 0,5 M, pH 4,1) CV (Volumen de columna)
100 0 3
90 10 6
50 50 5
0 100 5

Resultados y discusión

Purificación de Fg

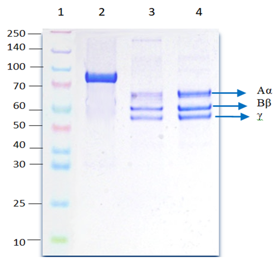
La fracción de Fg total purificada por b-alanina presentó una coagulabilidad de 90,0 ± 0,5% y un rendimiento promedio del 85%. La pureza e integridad del Fg fue evaluada por electroforesis SDS - PAGE en un gel al 8% en condiciones reductoras. En la Figura 1 se pueden apreciar las tres cadenas del Fg: Aα, Bβ y γ, con peso moleculares aparentes de aproximadamente 67, 57 y 47 kDa, respectivamente. Además, la preparación de Fg no estaba contaminada con plasminógeno.

Figura 1.
Electroforesis SDS- PAGE: gel al 8% en condiciones reductoras. Carril 1.
Marcadores de peso molecular (kDa). Carril 2. Plasminógeno eliminado
de la preparación de Fg. Carril 3. Fg comercial.
Carril 4. Fg purificado por β-alanina.

Figura 1. Electroforesis SDS- PAGE: gel al 8% en condiciones reductoras. Carril 1. Marcadores de peso molecular (kDa). Carril 2. Plasminógeno eliminado de la preparación de Fg. Carril 3. Fg comercial. Carril 4. Fg purificado por β-alanina.

Cromatografía liquida de separación rápida de proteínas

Las poblaciones de Fg γA/γA y Fg γA/γ´ presentes en el Fg precipitado por b-alanina se separaron por cromatografía, utilizando una columna de intercambio aniónico y un gradiente no lineal-partido, obteniéndose dos picos principales, el 1: γA/γA y el 2: γA/γ’ (ver Figura 2). El pico 1 eluyó con un tiempo de retención promedio de 22,2 ± 0,5 min y el pico 2 eluyó a 32,8 ± 0,8 min. Debido a la baja concentración del pico 2, se realizaron seis corridas con el FPLC, empleando el Fg purificado de un individuo (3% de Fg γA/γ’, cuantificado previamente por ELISA) y luego se concentraron por separado las fracciones correspondientes al pico 1 y 2. La concentración promedio del pool de los dos picos concentrados se determinó por espectrofotometría a 280 nm, pico 1 = 2,20 ± 0,07 g/L y pico 2 = 0,25 ± 0,05 g/L (promedio ± el error estándar). La Figura 3 corresponde al resultado del Western blotting.

Figura 2. Perfil de elución del Fg γA/γ’ por cromatografía liquida de
separación rápida de proteínas (FPLC). La columna utilizada fue de 20 mL
(HiPrepTM DEAE FF 16/10 (GE Healthcare), velocidad de flujo 4 mL/min. El trazo
de color rojo se corresponde al gradiente empleado para eluir al Fg γA/γ’.

Figura 2. Perfil de elución del Fg γA/γ’ por cromatografía liquida de separación rápida de proteínas (FPLC). La columna utilizada fue de 20 mL (HiPrepTM DEAE FF 16/10 (GE Healthcare), velocidad de flujo 4 mL/min. El trazo de color rojo se corresponde al gradiente empleado para eluir al Fg γA/γ’.

Figura 3. Inmunoelectroforesis de las dos poblaciones de
Fg purificado por FPLC γA/γA y γA/γ’. Las
muestras fueron analizadas en condiciones reductoras, utilizando el anticuerpo
2.G2.H9, monoclonal de ratón dirigido contra la cadena γ´ humana. Revelado con 3,3′,
5,5′-Tetrametilbenzidina (TMB) y peróxido de hidrógeno. Carril 1, pico 1 de Fg.
Carril 2, pico 2 del Fg purificado. Carril 3. Fg γA/γ’ comercial.

Figura 3. Inmunoelectroforesis de las dos poblaciones de Fg purificado por FPLC γA/γA y γA/γ’. Las muestras fueron analizadas en condiciones reductoras, utilizando el anticuerpo 2.G2.H9, monoclonal de ratón dirigido contra la cadena γ´ humana. Revelado con 3,3′, 5,5′-Tetrametilbenzidina (TMB) y peróxido de hidrógeno. Carril 1, pico 1 de Fg. Carril 2, pico 2 del Fg purificado. Carril 3. Fg γA/γ’ comercial.

Cuantificación de Fg γA/γ’

Se desarrolló la técnica de ELISA tipo sándwich con el anticuerpo monoclonal 2.G2.H9. El Fg γA/γ’ se une específicamente al anticuerpo inmovilizado y es reconocido por un segundo anticuerpo, un anti-Fg humano marcado con biotina, acoplado a una enzima marcada. Se realizó una curva estándar (ver Figura 4) usando diferentes concentraciones de Fg γA/γ’ comercial. La concentración de Fg γA/γ’en el Fg purificado por β-alanina para cada muestra de plasma obtenido de cada individuo se calculó a partir de la curva estándar. La concentración promedio de Fg γA/γ’ ± el error estándar fue de 0,22 ± 0,16 g/L, con un coeficiente de variabilidad del 0,72%. Este resultado concuerda con los reportados en otros estudios [12, 22]. Lovely et al. [22] evaluaron la relación de Fg γA/γ’ con enfermedades cardiovasculares, utilizando un inmunoensayo. Determinaron que la concentración de esta variante en plasma de individuos sanos se encuentra en un rango de 0,088 – 0,551 g/L. Por lo tanto, se puede concluir que el ELISA estandarizado en el presente trabajo es de gran utilidad para la determinación de Fg γA/γ’ en plasma y podría facilitar futuros estudios de esta variante, marcador de riesgo para las enfermedades cardiovasculares [23, 24].

Figura 4. Curva de calibración para la cuantificación de Fg γA/γ’.

Figura 4. Curva de calibración para la cuantificación de Fg γA/γ’.

La cadena γ del Fg presenta dos isoformas como consecuencia del empalme alternativo del ARNm: la isoforma γA, constituida por 411 aminoácidos, la cual representa entre el 90 y 95% del Fg [25] y la γA/γ’, formada por 427 aminoácidos, con una secuencia única después de la posición 407, la cual constituye aproximadamente entre el 10-15% del Fg total en plasma. Sin embargo, este porcentaje puede variar, particularmente en condiciones patológicas donde el porcentaje de cadena γA/γ’ aumenta, por ejemplo en pacientes con enfermedades arteriales coronarias e infarto del miocardio [22].

Diversos estudios han sugerido que el aumento en la proporción de la variante de Fg γA/γ’ altera la formación y la estructura de la fibrina, por lo que el plasma procedente de pacientes con desórdenes trombóticos forman coágulos más rígidos y menos permeables en comparación con los coágulos formados a partir del plasma de individuos sanos [14, 26]. Cheung et al. [27] reportaron que la concentración de Fg γ’ se encuentra aumentada en pacientes con embolia pulmonar en fase aguda (0,79 ± 0,33 g/L) en relación a controles sanos (0,33 ± 0,10 g/L). También hay evidencias de que la concentración de Fg γA/γ’ aumenta en la fase aguda en pacientes que han sufrido un accidente vascular del cerebro (0,42 ± 0,17 g/L) en comparación con los controles (0,34 ± 0,10 g/L) [13].

El Fg γA/γ’ tiene propiedades bioquímicas y biofísicas que son diferentes al Fg γA. Algunos estudios han demostrado que el Fg γA/γ’ se une a la trombina con gran afinidad [2, 6, 28] uniéndose, a su vez, al exositio II de la misma. Otros estudios han reportado que la cadena γA/γ’ tiene la propiedad de unir FXIII [29-31], aunque otras investigaciones no confirmaron esta interacción [32].

Durante los últimos años, los métodos de separación y purificación de proteínas han avanzado notablemente. Algunos de estos avances están relacionados con la introducción de procedimientos de cromatografía líquida de alto rendimiento. Las ventajas de estos métodos son: excelente poder de resolución, velocidad de separación y alta sensibilidad [33]. Diferentes estudios [33-37], han demostrado que los péptidos y proteínas de mayor peso molecular han sido separados ocasionalmente por medio de cromatografía líquida de alto rendimiento. El fracaso en la obtención de resultados puede estar relacionada con el sistema de disolventes y la columna empleada, razón por la cual se han implementado otros sistemas de cromatografía.

Los estudios sobre la variante de Fg γA/γ' actualmente son de considerable interés, debido a que su relación estructura-función aún permanece en investigación [30]. Bajo este contexto, para realizar cualquier estudio sobre esta variante es imprescindible su separación y purificación. Los pioneros en la purificación de Fg γA/γ' fueron Finlayson, Mosesson, Siebenlist et al. [30, 38], quienes utilizaron una cromatografía de intercambio iónico con una columna de DEAE – celulosa. Siebenlist utilizó la técnica de Finlayson con algunas modificaciones con el fin de obtener una mejor resolución de la fracción correspondiente al Fg γA/γ', empleando un gradiente cóncavo, controlado por el sistema de cromatografía de separación rápida de proteínas (FPLC). Con el objetivo de purificar la fracción del fibrinógeno total correspondiente al heterodímero Fg γA/γ’, nosotros describimos un método eficiente, utilizando el sistema de cromatografía FPLC, mediante el cual se controló el programa de gradiente utilizado.

En el presente trabajo se diseñó un gradiente de elusión con cuatro segmentos a diferencia de los utilizados por Siebenlist et al. [30] (13 segmentos) y la separación del pico 2 se logró en un menor tiempo (30 min). Cabe destacar que en la obtención de la variante del Fg γA/γ´ por FPLC, la cadena Aα se degrada fácilmente durante el proceso de purificación, por lo que es indispensable añadir aprotinina (inhibidor de serino proteasas como la plasmina) a todas las soluciones a emplear. Gorkun et al. [39] han indicado que cierto grado de degradación de la cadena Aα es común en el Fg obtenido a partir de plasma. Con el fin de obtener resultados óptimos, dos componentes del sistema de separación son de especial importancia: el material de la resina y la clase de columna, ya que solo algunos tipos de material son adecuados para la separación de moléculas de proteínas [36] y el sistema disolvente o tampón que tiene que ser cuidadosamente adaptado a cada separación de una proteína específica [33]. El Fg que contiene la cadena γA/γ’ es un heterodímero, con una estequiometria (AαBβγ)-(AαBβγ’) y se conoce como Fg γA/γ’ o pico 2 del Fg [8], mientras que la molécula de Fg del pico 1 es homodimérica (Fg γA/γA). Algunos estudios han indicado que la cadena γ’ [8, 40] posee una mayor carga negativa que la cadena γA [5] y contiene dos tirosinas sulfatadas y algunos residuos de ácido aspártico y glutámico. Por consiguiente la cadena γA/γ´ es de mayor longitud y contiene más grupos aniónicos que la cadena γA, pudiéndose separar las dos poblaciones de Fg por cromatografía de intercambio aniónico.

La concentración promedio del pico 2 fue de 0,25 ± 0,05 g/L. Este resultado es similar al reportado por Finlayson et al. [38], quienes obtuvieron concentraciones de proteínas relativamente bajas, al utilizar un procedimiento que requiere de mayor tiempo y cantidad de reactivos, debido a que los picos obtenidos deben ser purificados nuevamente. Sin embargo, se debe tener en cuenta que la concentración de los picos 1 y 2 en cada método de purificación del Fg γ´ puede estar asociado al tamaño y al volumen de muestra inyectado a la columna [41].

Las ventajas del procedimiento de FPLC para la separación de las dos variantes de la cadena γ de la Fg son evidentes: cantidades menores de muestra pueden ser fraccionadas cuantitativamente en componentes puros y los tiempos de separación son considerablemente más cortos. La forma de obtención del Fg γA/γ´, además de reducir los tiempos de la purificación, reduce los costos, debido a que la técnica de FPLC es un método de purificación rápido y de alta sensibilidad y precisión en comparación con los métodos clásicos de separación. Esta técnica será de mucha utilidad para futuras investigaciones relacionadas con una obtención rápida de Fg γA/γ', tema de interés por su implicación como factor de riesgo trombótico [42, 43].

Conclusiones

De acuerdo con los resultados obtenidos se puede concluir que la técnica utilizada para la purificación de las variantes del Fg, correspondiente al Fg gA/gA (pico 1) y Fg gA/g’ (pico 2), resultó ser un método eficiente, para la purificación de la variante de Fg γA/γ´ en el pico 2, debido a las ventajas que ofrece en comparación con los métodos de purificación anteriormente estudiados. Se demostró, adicionalmente, que el pico 1 no estaba contaminado con γ’. La purificación y la cuantificación de Fg gA/g’ en plasma por medio de las técnicas de FPLC y ELISA es de gran utilidad para futuros estudios de esta variante en plasma.

Referencias

  1. [1] I. J. Mackie, S. Kitchen, S. J. Machin, and G. Lowe, "Guidelines on fibrinogen assays," British journal of haematology, vol. 121, pp. 396-404, 2003. DOI: https://doi.org/10.1046/j.1365-2141.2003.04256.x. 🠔
  2. [2] D. Meh, K. Siebenlist, S. Brennan, T. Holyst, and M. Mosesson, "The amino acid sequence in fibrin responsible for high affinity thrombin binding," Thromb Haemost, vol. 85, pp. 470-474, 2001. DOI: https://doi.org/10.1055/s-0037-1615607. 🠔
  3. [3] J. Weisel and R. Litvinov, "Mechanisms of fibrin polymerization and clinical implications," Blood, vol. 121, pp. 1712-1719, 2013 DOI: https://doi.org/10.1182/blood-2012-09-306639. 🠔
  4. [4] D. Chung and E. Davie, "gamma and gamma' chains of human fibrinogen are produced by alternative mRNA processing," Biochemistry, vol. 23, pp. 4232-4236, 1984. DOI: https://doi.org/10.1021/bi00313a033. 🠔
  5. [5] C. W. Francis and V. J. Marder, "Heterogeneity of normal human fibrinogen due to two high molecular weight variant γ chains," Annals of the New York Academy of Sciences, vol. 408, pp. 118-120, 1983. DOI: https://doi.org/10.1111/j.1749-6632.1983.tb23239.x 🠔
  6. [6] R. Lovely, M. Moaddel, and D. Farrell, "Fibrinogen γ’ chain binds thrombin exosite II," J Thromb Haemost., vol. 1, pp. 124-131, 2003. DOI: https://doi.org/10.1046/j.1538-7836.2003.00027.x 🠔
  7. [7] C. Wolfenstein-Todel and M. Mosesson, "Carboxy-terminal amino acid sequence of a human fibrinogen. gamma - chain variant (gamma.')," Biochemistry, vol. 20, pp. 6146-6149, 1981. DOI: https://doi.org/10.1021/bi00524a036 🠔
  8. [8] C. Wolfenstein-Todel and M. Mosesson, "Human plasma fibrinogen heterogeneity: evidence for an extended carboxyl-terminal sequence in a normal gamma chain variant (gamma')," Proc Natl Acad Sci U S A., vol. 77, pp. 5069 - 5073, 1980. DOI: https://doi.org/10.1073/pnas.77.9.5069 🠔
  9. [9] M. Mosesson and J. Finlayson, "Biochemical and chromatographic studies of certain activities associated with human fibrinogen preparations," J Clin Invest, vol. 42, pp. 747-755, 1963. DOI: https://doi.org/10.1172/jci104767 🠔
  10. [10] A. Undas and R. Ariens, "Fibrin clotstructure and function a role in the pathophysiology of arterial and venous thromboembolic diseases," Arterioscler Thromb Vasc Biol, vol. 31, pp. 88-99, 2011. DOI: https://doi.org/10.1161/atvbaha.111.230631 🠔
  11. [11] M. Mannila, R. Lovely, S. Kazmierczak, P. Eriksson, A. Samnegard, D. Farrell, A. Hamsten, and A. Silveira, "Elevated plasma fibrinogen γ’ concentration is associated with myocardial infarction: effects of variation in fibrinogen genes and environmental factors," J Thromb Haemost, vol. 5, pp. 766-773, 2007. DOI: https://doi.org/10.1111/j.1538-7836.2007.02406.x 🠔
  12. [12] R. Lovely, L. Falls, H. Al-Mondhiry, C. Chambers, G. Sexton, H. Ni, and D. Farrell, "Association of γA/γ’ fibrinogen levels and coronary artery disease," Thromb Haemost, vol. 88, pp. 26-31, 2002. DOI: https://doi.org/10.1055/s-0037-1613148 🠔
  13. [13] E. Cheung, S. de Willige, H. Vos, F. Leebeek, D. Dippel, R. Bertina, and M. de Maat, "Fibrinogen ɣ’ in Ischemic Stroke A Case-Control Study," Stroke, vol. 39, pp. 1033-1035, 2008. DOI: https://doi.org/10.1161/STROKEAHA.107.495499 🠔
  14. [14] A. Cooper, K. Standeven, and R. Ariens, "Fibrinogen gamma-chain splice variant ɣ alters fibrin formation and structure," Blood, vol. 102, pp. 535-540, 2003. DOI: https://doi.org/10.1182/blood-2002-10-3150 🠔
  15. [15] A. Wolberg, "Primed to understand fibrinogen in cardiovascular disease," Arterioscler Thromb Vasc Biol., vol. 36, pp. 4-6, 2016. DOI: https://doi.org/10.1161/atvbaha.115.306754 🠔
  16. [16] E. Jakobsen and P. Kierulf, "A modified beta-alanine precipitation procedure to prepare fibrinogen free of antithrombin-III and plasminogen," Thromb. Res. , vol. 3, pp. 145-159, 1973. https://doi.org/10.1016/0049-3848(73)90065-0 🠔
  17. [17] D. Deutsch and E. Mertz, "Plasminogen: purification from human plasma by affinity chromatography," Science, vol. 170, pp. 1095-1096, 1970. DOI: http://doi.org/10.1126/science.170.3962.1095 🠔
  18. [18] R. Dellenback and S. Chien, "The extinction coefficient of fibrinogen from man, dog, elephant, sheep, and goat at 280 mμ," Proc. Soc. Exp. Biol. Med., vol. 134, pp. 353-355, 1970. DOI: https://doi.org/10.3181/00379727-134-34792 🠔
  19. [19] O. Lowry, N. Rosebrough, A. Farr, and R. Randall, "Protein measurement with the Folin phenol reagent," J biol Chem, vol. 193, pp. 265-275, 1951. 🠔
  20. [20] B. Blombäck and M. Blombäck "Purification of human and bovine fibrinogen," Arch Chem, vol. 10, pp. 415-443, 1956. DOI: https://doi.org/10.3891/acta.chem.scand.10-0147 🠔
  21. [21] U. K. Laemmli, "Cleavage of structural proteins during the assembly of the head of bacteriophage T4," nature, vol. 227, pp. 680-685, 1970. DOI: https://doi.org/10.1038/227680a0 🠔
  22. [22] R. Lovely, S. Kazmierczak, J. Massaro, R. D'Agostino, C. O'Donnell, and D. Farrell, " γ' fibrinogen: evaluation of a new assay for study of associations with cardiovascular disease," Clin Chem., vol. 56, pp. 781-788, 2010. DOI: https://doi.org/10.1373/clinchem.2009.138347 🠔
  23. [23] D. Farrell, "Pathophysiologic roles of the fibrinogen gamma chain," Curr. Opin. Hematol, vol. 11, pp. 151 – 155, 2004. DOI: https://doi.org/10.1097/01.moh.0000131440.02397.a4 🠔
  24. [24] S. Uitte de Willige, K. F. Standeven, H. Philippou, and R. A. S. Ariëns., "The pleiotropic role of the fibrinogen γ’ chain in hemostasis," Blood, vol. 114, pp. 3994-4001, 2009. DOI: https://doi.org/10.1182/blood-2009-05-217968 🠔
  25. [25] A. Henschen, F. Lottspeich, M. Kehl, and C. Southan, "Covalent structure of fibrinogen," Annals of the New York Academy of Sciences, vol. 408, pp. 28-43, 1983. DOI: https://doi.org/10.1111/j.1749-6632.1983.tb23232.x 🠔
  26. [26] J. Collet, Y. Allali, C. Lesty, M. Tanguy, J. Silvain, A. Ankri, B. Blanchet, R. Dumaine, J. Gianetti, L. Payot , J. W. Weisel and G. Montalescot, "Altered fibrin architecture is associated with hypofibrinolysis and premature coronary atherothrombosis," Arterioscler Thromb Vasc Biol, vol. 26, pp. 2567-2573, 2006. DOI: https://doi.org/10.1161/01.atv.0000241589.52950.4c 🠔
  27. [27] E. Cheung, H. Vos, M. Kruip, H. den Hertog, J. Jukema, and M. de Maat, "Elevated fibrinogen gamma' ratio is associated with cardiovascular diseases and acute phase reaction but not with clinical outcome," Blood, vol. 114, pp. 4603-4604, 2009. DOI: https://doi.org/10.1182/blood-2009-08-236240 🠔
  28. [28] D. Meh, K. Siebenlist, and M. Mosesson, "Identification and characterization of the thrombin binding sites on fibrin," J Biol Chem, vol. 271, pp. 23121 - 23125, 1996. DOI: https://doi.org/10.1074/jbc.271.38.23121 🠔
  29. [29] M. Moaddel, D. Farrell, M. Daugherty, and M. Fried, "Interactions of Human Fibrinogens with Factor XIII: Roles of Calcium and the γ’ Peptide," Biochemistry, vol. 39, pp. 6698-6705, 2000. DOI: https://doi.org/10.1021/bi000098u 🠔
  30. [30] K. Siebenlist, D. Meh, and M. Mosesson, "Plasma factor XIII binds specifically to fibrinogen molecules containing γ' chains," Biochemistry, vol. 35, pp. 10448-10453, 1996. DOI: https://doi.org/10.1021/bi9606206 🠔
  31. [31] M. Kazama, J. McDonagh, R. Wagner, R. Langdell, and R. McDonagh, "Purification and immunochemical characterization of human plasma factor XIII," Haemostasis, vol. 5, pp. 329-340, 1976. DOI: https://doi.org/10.1159/000214153 🠔
  32. [32] K. Gersh, and S. Lord, " An Investigation of Factor XIII Binding to Recombinant γ′/γ′ and γ/γ′ Fibrinogen," Blood, vol. 108, pp. 1705- 1706, 2006. 🠔
  33. [33] H. Bennett, C. Browne, and S. Solomon, "The use of perfluorinated carboxylic acids in the reversed-phase HPLC of peptides," Journal of Liquid Chromatography, vol. 3, pp. 1353-1365, 1980. DOI: https://doi.org/10.1080/01483918008062781 🠔
  34. [34] M. Van der Rest, H. Bennett, S. Solomon, and F. Glorieux, "Separation of collagen cyanogen bromide-derived peptides by reversed-phase high-performance liquid chromatography," Biochemical Journal, vol. 191, pp. 253-256, 1980. DOI: https://doi.org/10.1042/bj1910253 🠔
  35. [35] R. V. Lewis, A. Fallon, S. Stein, K. D. Gibson, and S. Udenfriend, "Supports for reverse-phase high-performance liquid chromatography of large proteins," Analytical biochemistry, vol. 104, pp. 153-159, 1980. DOI: https://doi.org/10.1016/0003-2697(80)90291-2 🠔
  36. [36] J. D. Pearson, N. T. Lin, and F. E. Regnier, "The importance of silica type for reverse-phase protein separations," Analytical biochemistry, vol. 124, pp. 217-230, 1982. DOI: https://doi.org/10.1016/0003-2697(82)90240-8 🠔
  37. [37] W. C. Mahoney and M. A. Hermodson, "Separation of large denatured peptides by reverse phase high performance liquid chromatography. Trifluoroacetic acid as a peptide solvent," Journal of Biological Chemistry, vol. 255, pp. 11199-11203, 1980. 🠔
  38. [38] J. Finlayson and M. Mosesson, "Heterogeneity of Human Fibrinogen," Biochemistry, vol. 2, pp. 42-46, 1963. DOI: https://doi.org/10.1021/bi00901a010 🠔
  39. [39] O. Gorkun, Y. Veklich, J. Weisel, and S. Lord, "The conversion of fibrinogen to fibrin: recombinant fibrinogen typifies plasma fibrinogen," Blood, vol. 89, pp. 4407-4414, 1997. 🠔
  40. [40] D. Farrell, E. Mulvihill, S. Huang, D. Chung, and E. Davie, "Recombinant human fibrinogen and sulfation of the. gamma.'chain," Biochemistry, vol. 30, pp. 9414-9420, 1991. DOI: https://doi.org/10.1021/bi00103a004 🠔
  41. [41] M. Mosesson, J. Finlayson, R. Umfleet, and D. Galanakis, " Human Fibrinogen Heterogeneities I. Structural and related studies of plasma fibrinogens which are high solubility catabolic intermediates," J. Biol. Chem, vol. 247, pp. 5210-5219, 1972. 🠔
  42. [42] L. Falls and D. Farrell, "Resistance of γA/γ′ Fibrin Clots to Fibrinolysis," J Biol Chem, vol. 272, pp. 14251-14256, 1997. DOI: https://doi.org/10.1074/jbc.272.22.14251 🠔
  43. [43] F. Macrae, M. Domingues, A. Casini, and R. Ariens, "The (Patho) physiology of Fibrinogen γ’." in Semin Thromb Hemost, vol 42. pp. 344-355, 2016. DOI: https://doi.org/10.1055/s-0036-1572353 🠔