Revista de la Facultad de Medicina Veterinaria y de Zootecnia
0120-2952
Facultad de Medicina Veterinaria y de Zootecnia Universidad Nacional de Colombia
https://doi.org/10.15446/rfmvz.v70n2.104915

Recibido: 22 de septiembre de 2022; Aceptado: 12 de diciembre de 2022

Carcinoma escamocelular ocular en bovino de raza Brahman Gris: reporte de caso

Ocular squamous cell carcinoma in cattle of the Gray Brahman breed: case report

S. Quebrada, 1 L. Ramírez, 1 *

Facultad de Medicina Veterinaria y Zootecnia, Universidad del Tolima, Ibagué (Colombia). Universidad del Tolima Facultad de Medicina Veterinaria y Zootecnia Universidad del Tolima Ibagué Colombia

Autor de correspondencia. Correo electrónico: ldramirezb@ut.edu.co
Los autores declaran que no tienen intereses financieros en competencia conocidos ni relaciones personales que pudieran influir en el trabajo informado en este documento.

RESUMEN

En el presente trabajo se reporta el primer caso de un bovino de raza Brahman de 5 años, el cual se remitió por presentar una masa en el tercer parpado en el ojo izquierdo que obstruía la visión. El análisis histopatológico de la muestra remitida evidencia un carcinoma de células escamosas bien diferenciado sin evidencia de invasión linfovascular. El manejo terapéutico consistió en exenteración para evitar recidivas, por lo cual la evolución del paciente fue satisfactoria sin causar problemas en su rendimiento productivo. Se ha descrito que un posible factor de riesgo está relacionado con una permanente exposición a la luz solar que afecta la replicación del ADN de las células e induce procesos tumorales. Esto es cierto en los sistemas de cría de ganado, donde las hembras permanecen la mayor parte del tiempo en pastoreo y expuestas a la radiación ultravioleta, lo que explicaría la razón de la presentación de esta neoplasia en este tipo de pacientes. En ese sentido, es indispensable prestar atención y realizar monitoreo a las anormalidades que se puedan presentar en el ganado ya sea cebuino o taurino.

Palabras clave:

neoplasia, radiación ultravioleta, cebú, epitelio, piel.

ABSTRACT

In this paper a 5-year-old Brahman breed bovine is reported, which was submitted by presenting a mass in the third eyelid of the left eye which obstructed vision. Histopathological analysis of the submitted sample shows a well-differentiated squamous cell carcinoma with no evidence of lymphovascular invasion. The therapeutic management consisted of exenteration to avoid recurrences, for which the patient's evolution was satisfactory without causing problems in his productive performance. It has been described that a possible risk factor is related to permanent exposure to sunlight that affects the replication of DNA in cells and induces tumor processes. While it is true; in cattle breeding systems where females spend most of the time grazing and are exposed to ultraviolet radiation, this would explain the reason for the presentation of this neoplasm in this type of patient. In this sense, it is essential to pay attention and monitor abnormalities that may occur in cattle, whether Zebu or Taurine.

Keywords:

neoplasia, ultraviolet radiation, zebu, epithelium, skin.

INTRODUCCIÓN

El carcinoma ocular de células escamosas (COCE o OSCC, por su sigla en inglés) ha sido reconocido como una neoplasia primaria de origen epitelial que puede ocurrir en diferentes tejidos oculares y perioculares. El OSCC es un tumor maligno común en el ganado que se origina en el epitelio escamoso en varios lugares. El impacto económico incluye decomisos de canales, perdidas de producción, gastos de tratamiento y costos de gestión (Sharma etal.2020). Las ubicaciones más comunes para el ganado son los párpados, la vagina, los ojos y la vulva (Tsujita y Plummer 2010). Aunque este tiene una baja tasa de metástasis a distancia del 18%, presenta características de malignidad, como invasión local del iris, la esclerótica y los tejidos extraoculares (orbita, cavidad nasal y senos paranasales) y recurrencias de alrededor del 11,1-66,7% (Abu-Seida et al. 2021). Se han informado casos de OSCC en las razas de ganado Holstein- Friesian, Holstein, Hereford, Guernsey, Shorthorn, Ayrshire, Brahman, Brown Swiss, Hollandensa, Javanese Mongolian, Jersey y Normandy, entre otras (Fornazari et al. 2017). El carcinoma aparece nodular, con aspecto de coliflor, sanguinolento, ulcerado, friable y con mal olor después de la contaminación (Jameel et al. 2019), es una neoplasia de origen multifactorial y su prevalencia se relaciona principalmente con la exposición a la radiación UV solar, con una incidencia elevada en altitudes mayores y la lesión involucra con mayor frecuencia áreas no pigmentadas de la región ocular (Sözmen et al. 2019). Aunque el OSCC se presenta con frecuencia en razas Bos taurus con fenotipo de piel despigmentada o blanca y la presentación en razas Bos indicus con las mismas características fenotípicas no está muy estudiada (Mathewos 2020); por tanto, este reporte de caso agrega a la literatura veterinaria los hallazgos clínicos y el abordaje en un bovino de raza Brahman Gris de 5 años con un carcinoma escamocelular ubicado en el tercer párpado en el ojo izquierdo.

PRESENTACIÓN DEL CASO

Un animal de raza Brahman Gris, hembra, de 5 años, 560 kg de peso y 5 meses de gestación, procedente del municipio de Girardot, Cundinamarca, fue atendida por el servicio clínico ambulatorio de grandes animales de la Facultad de Medicina Veterinaria y Zootecnia de la Universidad Cooperativa de Colombia. Se realizó examen clínico general y se evidenció la región ocular comprometida con una masa de color amarillenta de consistencia dura en el ojo izquierdo (figura 1A) invadiendo el tercer parpado (figura 1B). A su vez, el paciente presentó epifora y dermatitis ulcerativa mixta en el ojo izquierdo. Las constantes fisiológicas se encontraron dentro del rango y mostraron una temperatura rectal de 39 °C, frecuencia ventilatoria de 24 vpm, frecuencia cardiaca de 60 lpm y tiempo de llenado capilar de 2 segundos. El propietario reportó que 6 meses atrás el paciente empezó a presentar lagrimeo y exceso de secreción ocular, por lo que se le realizaron lavados con limón y solución yodada sin respuesta de mejoría.

A. Vista lateral de la zona izquierda de la cara, se observa un lagrimeo abundante sin evidencia de secreción seropurulenta. B. Vista del párpado izquierdo, se evidencia una ulceración acompañada de una masa de color amarillento y forma irregular (flecha) y apariencia rugosa con consistencia blanda invadiendo el tercer párpado.

FIGURA 1: A. Vista lateral de la zona izquierda de la cara, se observa un lagrimeo abundante sin evidencia de secreción seropurulenta. B. Vista del párpado izquierdo, se evidencia una ulceración acompañada de una masa de color amarillento y forma irregular (flecha) y apariencia rugosa con consistencia blanda invadiendo el tercer párpado.

Fuente: elaboración propia.

MATERIALES Y MÉTODOS

Se elaboró plan diagnóstico por medio de un hemograma, biopsia de la masa e histopatología. Posteriormente, se realizó un abordaje quirúrgico incisional para retirar la masa.

Examinación histopatológica

La masa extirpada mediante cirugía se sometió a procedimiento de laboratorio de rutina. Se realizó tinción con hematoxilina y eosina para detectar cambios histopatológicos tomando secciones de 5 µm de espesor de los bloques de parafina preparados y las secciones se evaluaron bajo un microscopio óptico.

Protocolo anestésico

El abordaje inició con la sujeción de la cabeza del bovino y la posterior administración de una dosis de 0,01 mg/kg de Xilacina al 10% vía intramuscular, se llevó a cabo el derribo del paciente (figura 2A). Se procedió a realizar tricotomía alrededor de la órbita ocular a una distancia de 3 a 5 cm (figura 2B), la limpieza y desinfección fue realizada por el equipo médico con solución yodada (figura 2B). Se realizaron bloqueos con lidocaína al 2% alrededor de la zona para insensibilizar y brindar bienestar al paciente, se administraron 5 ml realizando el primer bloqueo auricopalpebral justo delante de la base del pabellón auditivo al final del arco cigomático hasta que la punta cae en el borde dorsal del arco, luego 5 ml en el bloqueo de Peterson que desensibiliza los nervios (oculomotor, troclear, abducente y trigémino) por delante del borde del arco cigomático y frontal; seguido se bloquea con 5 ml en el foramen supraorbitario, se debe trazar dos líneas imaginarias perpendiculares entre sí donde se encuentra el foramen orbitario. La línea horizontal se traza desde el canto medial de la fisura palpebral en dirección a la escotadura nasal y la línea vertical se inicia en el segundo premolar perpendicular al eje longitudinal de la cabeza. En el punto de intersección, se introduce la aguja con dirección caudal y ligeramente direccionada hacia el plano medio de la cabeza. Finalmente, se bloquea con 5 ml el nervio infraorbitario a través del foramen infraorbitario, donde se debe trazar dos líneas imaginarias perpendiculares entre sí; donde se encuentra el foramen infraorbitario. Se traza la línea horizontal desde el canto medial de la fisura palpebral hasta la escotadura nasal. La línea vertical se traza en el segundo premolar perpendicular al eje longitudinal de la cabeza, se introduce una aguja con dirección caudal ligeramente direccionada hacia el plano medio de la cabeza.

A. Posición del animal en decúbito lateral derecho con área ocular desinfectada. B. Tricotomía alrededor de la órbita ocular.

FIGURA 2: A. Posición del animal en decúbito lateral derecho con área ocular desinfectada. B. Tricotomía alrededor de la órbita ocular.

Fuente: elaboración propia.

Procedimiento quirúrgico

La técnica implementada fue exenteración, allí se realizaron dos incisiones en punta de flecha con bisturí de 2 cm en el canto lateral y medial del ojo (figura 3A). Con unas pinzas Backhaus, se unieron los cortes previos para ser usados como guía. Con una tijera roma, se diseccionó en busca del borde de la cuenca ocular, se separó el tejido, para alcanzar el periostio del hueso, y se liberó todo el tejido de la órbita ocular, dejando solo el nervio y el paquete vascular (figura 3B). Se retiró la parte más caudal del ojo y se hizo un nudo ballestrinque anclado, se cerró la herida quirúrgica con un patrón de sutura simple por guía, separado, intercalándolo con dos puntos simples, con una sutura de patrón de tensión punto cerca lejos, lejos cerca.

A. Abordaje canto lateral y medial de la órbita. B. Retiro del paquete vascular y nervioso junto con el globo ocular del periostio.

FIGURA 3: A. Abordaje canto lateral y medial de la órbita. B. Retiro del paquete vascular y nervioso junto con el globo ocular del periostio.

Fuente: elaboración propia.

El manejo posoperatorio consistió en administrar antibiótico penicilina (Ganapen, Novartis, Colombia) a 17.857 UI/Kg intramuscular cada 24 horas durante 6 días, tratamiento antiinflamatorio con flunixin meglumine (Flumeg, Over, Colombia) a una dosis de 2,2 mg/kg vía intramuscular cada 24 horas durante 3 días y el ungüento Pomada Alfa, 3 veces al día sobre la herida.

RESULTADOS

Hemograma

Se evidenció una leucocitosis con eosinofilia y neutrofilia marcada.

Histopatología

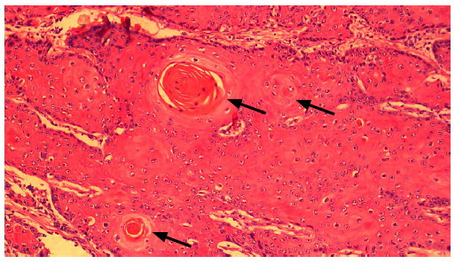
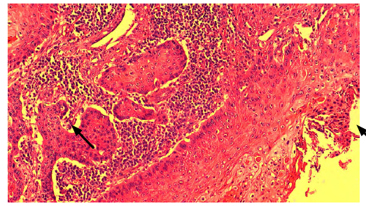
Los hallazgos microscópicos evidenciaron proliferación neoplásica maligna de origen epitelial con un patrón de crecimiento invasivo multilobular en glándula de meibomio y dermis superficial y profunda (figura 4) , islas o nódulos de diferentes tamaños, algunas formando estructuras quísticas que contienen abundante queratina laminar concéntrica-perlas de queratina (figura 5) , adicionalmente, núcleos redondos, ovalados, alargados e irregulares y úlcera focalmente extensa con múltiples áreas de necrosis (figura 6), fibrina severo infiltrado mixto linfoplasmocitario eosinofílico y supurativo difusa, dermatitis mixta ulcerativa y necrótica severa difusa con sobreinfección bacteriana y adenitis mixta severa difusa.

Masa tumoral. Se evidencia proliferación neoplásica con patrón de crecimiento invasivo (flecha). Tinción H&E, 4x.

FIGURA 4: Masa tumoral. Se evidencia proliferación neoplásica con patrón de crecimiento invasivo (flecha). Tinción H&E, 4x.

Fuente: elaboración propia.

Masa tumoral. Estructuras en forma de nódulo formando perlas de queratina (flecha). Tinción H&E, 4x

FIGURA 5: Masa tumoral. Estructuras en forma de nódulo formando perlas de queratina (flecha). Tinción H&E, 4x

Fuente: elaboración propia.

Pleomorfismo celular marcado, anisocitosis (flecha roja ) y cariomegalia (flecha negra) severa difusa, patrón de cromatina granular fina y marginada hacia la periferia, se observan abundantes mitosis (flecha azul). Tinción H&E, 40x.

FIGURA 6: Pleomorfismo celular marcado, anisocitosis (flecha roja ) y cariomegalia (flecha negra) severa difusa, patrón de cromatina granular fina y marginada hacia la periferia, se observan abundantes mitosis (flecha azul). Tinción H&E, 40x.

Fuente: elaboración propia.

DISCUSIÓN

Se ha descrito que factores hereditarios y ambientales como latitud, altitud, exposición solar y hábitos dietéticos desempeñan un papel en la etiopatogenia de este tumor de origen epitelial (Podarala et al. 2020). No obstante, la edad es otro factor predisponente, ya que la incidencia y/o frecuencia en animales de producción aumenta con la edad (Cardona et al. 2013). Si bien es cierto que la adaptación morfofisiológica de la piel animal a las condiciones del medio ambiente de carácter evolutivo involucra las particularidades morfológicas de la piel y su capacidad para permitir ajustes térmicos a las variables ambientales (Olarte Saucedo et al. 2019).

Según Al-Jameel et al. (2022), se sabe que muchos factores cancerígenos causan OSCC, la exposición prolongada a la luz solar y su radiación ultravioleta (UV) parece ser un factor catalizador en el desarrollo de este tipo de cáncer, por lo cual la exposición a la radiación ultravioleta es el principal factor de riesgo de OSCC de piel en humanos y animales y generalmente comienza en la unión mucocutánea, en especial en los párpados y las áreas anogenitales. Además, estas áreas están pobremente pigmentadas y la ausencia de melanocitos define una parte fotosensible en las superficies mucosas y epidérmicas. La radiación UV puede alterar los genes que inducen la proliferación, y estas alteraciones han sido reconocidas experimentalmente en casos de SCC estimulados por UV.

En ese sentido, en la producción bovina, cuyos sistemas de cría de ganado implican una exposición de los animales durante todo el año a la radiación ultravioleta, se permite una exposición prolongada a la actividad oncogénica de la luz solar y, cuando el ganado mantiene la cabeza en ciertas posiciones, los rayos del sol se enfocan en lugares como el limbo lateral o medial y en este reporte de caso el animal afectado era una hembra de cría que permanecía todo el día en pastoreo, por lo que se dieron las condiciones para este tumor, que en todas las especies se desarrolla a través de una serie de estadios premalignos llamados placas epidérmicas y papilomas (Cedeño Quevedo et al. 2020) y antes de pasar durante meses o años al carcinoma in situ y al carcinoma invasivo (Amritha et al. 2018) y el OSCC del párpado puede desarrollase de nuevo en una piel relativamente normal o dentro de áreas de daño cutáneo actínico generalizado (Donaldson et al. 2002).

En bovinos se ha descrito una prevalen-cia de la ubicación en el globo ocular cuyo sitio principal es el tercer párpado (60%), seguido de la unión corneo conjuntival (limbus) (20%), córnea (10%) y párpados (10%) (Fornazari et al. 2017). Esto concuerda con la patogenia del presente caso, en el cual el sitio de predilección fue el tercer parpado. Sin embargo, se ha informado que las lesiones surgen más comúnmente en la unión corneoescleral y más a menudo en el limbo lateral que en el lado medial (Heeney y Valli 1985). Este tumor ha sido diagnosticado en todo el mundo con alta incidencia y se describe mayoritariamente en animales adultos de las razas Hereford y Holstein (Vala et al. 2020).

En Colombia, la aparición de esta neoplasia ocurre comúnmente en razas como Montbeliarde, Simhol, Normando, Simmental, Ayrshire y Charolais; estoha sido evidente el OSCC en un 100% en pieles despigmentadas en los ojos y tejidos periorbitales; por lo que, los reportes de afección en razas cebuinas es poco frecuente debido a su condición de piel pigmentada (Cedeño Quevedo et al. 2020). Sin embargo, en el presente estudio de caso se evidenció en un animal cebuino, por lo cual, toma relevancia en la investigación e importancia clínica, debido a que, si bien ya se reporta que estos animales son mucho más resistentes a altas temperaturas, autores como Puleio et al. (2015) mencionan que la alta incidencia se debe a la permanencia de estos animales en áreas subtropicales independientemente de la raza o subespecie y que, para cada 8°-10° de latitud al Ecuador hay una duplicación de la incidencia del OSCC. Respecto a la predisposición por género, las vacas pueden verse afectadas con más frecuencia a razón del predominio del sexo femenino en las poblaciones de ganado mayor y por razones económicas, la mayoría de los casos ocurren naturalmente entre las vacas, porque los novillos se envían al matadero, mientras que las vacas jóvenes y maduras se mantienen para la reproducción y permanecen en el rebaño mientras se mantengan productivas y saludables (Tsujita y Plummer 2010).

Otra razón podría ser que el ganado hembra se encuentra bajo factores de estrés como la gestación, la lactancia y la progresión en la edad (Lakshmi et al. 2020), todo lo mencionado previamente se relaciona con este reporte de caso de una hembra adulta gestante de 5 años. Según Smith (2011), el tumor es más frecuente en las vacas mayores, con el pico de prevalencia entre los 7 y los 8 años. Asimismo, Yildiz y Karakurt (2022) mencionan que se puede presentar en bovinos mayores de 5 años. Esto se explica por qué, aunque el patrón de edad puede reflejar solo las consecuencias de la exposición prolongada a carcinógenos, también puede indicar alteraciones bioquímicas o inmunológicas que aumentan con la edad.

El hemograma realizado en el paciente reveló una leucocitosis con eosinofilia y neutrofilia marcada, por lo cual un aumento de los neutrófilos se ha asociado en procesos tumorales y el proceso inflamatorio del evento injuriante, por ser la primera línea celular de defensa inmune; los cambios hematológicos en procesos tumorales evidencian que la anemia es la anormalidad más común encontrada durante la estimación hematológica en animales con neoplasia. No obstante, se ha observado el recuento elevado de leucocitos periféricos, linfopenia y eosinofilia con signos vitales normales (Kashyap et al. 2022), lo que concuerda con lo evidenciado en el cuadro hemático del paciente, aunque no presentó anemia. El diagnóstico de este estudio de caso fue realizado mediante la herramienta de histopatología para identificar inicialmente la neoplasia y de esta manera realizar el tratamiento y abordaje correcto y que, de acuerdo con Carvalho et al. (2005) entre las pruebas diagnósticas, la histopatología es una excelente herramienta para identificarlos hallazgos microscópicos compatibles con un OSCC, cuya neoplasia puede variar desde un carcinoma anaplásico bien diferenciado hasta un carcinoma anaplásico indiferenciado. El carcinoma de células escamosas contiene la presencia de grandes células poliédricas con gran nucléolo dispuestas en cordones con puentes intercelulares que forman nidos de células epiteliales y que contienen laminaciones concéntricas de queratina (Priyanka et al. 2021) y las lesiones pa-tognomónicas microscópicas presentan islas con fácil distinción de perlas córneas rodeadas de células tumorales que pueden ser células escamosas organizadas y atípicas, con núcleos hipercromáticos, citoplasma eosinofílico con queratinización y con infiltración en el tejido subyacente (Cardona et al. 2013). Estas lesiones también se distinguen como perlas de queratina y se caracterizan por células hipertróficas con núcleo grande con alta figura mitótica (Cardona et al. 2016), estas perlas de queratina contienen deposición de fibras de colágeno mezcladas con la queratina presente alrededor de estas lesiones (Al-Mahmood et al., 2022). Es así como los hallazgos microscópicos de la histopatología realizada en este caso clínico coinciden con los patrones de un carcinoma escamocelular reportado en diferentes estudios hasta la fecha.

El manejo terapéutico de este estudio consistió en la extirpación de la masa tumoral y se reporta que la escisión de las lesiones es el método de tratamiento más aceptado para la neoplasia escamosa de la superficie ocular (conjuntiva bulbar, tejido corneolímbico y corneal). El abordaje quirúrgico consiste en una queratectomía superficial, en la que se eliminan las superficies epiteliales y del estroma anterior del tejido afectado. Pero los casos de OSCC bovino no deben tratarse solo con escisión quirúrgica. Se necesitan formas adicionales de terapia, que incluyen crioterapia, hipertermia y radioterapia, para destruir las células tumorales restantes que pueden estar presentes en el estroma más profundo (Priyanka et al., 2021).

CONCLUSIONES

La exposición intensa a los rayos ultravioleta del sol debe considerarse un factor de riesgo en la presentación del carcinoma de células escamosas ocular sin importar la raza o subespecie bovina, ya que esto se debe a las condiciones medioambientales y al manejo que se da en las producciones ganaderas. Asimismo, la ocurrencia del OSCC puede ser multifactorial con factores genéticos, fenotípicos y ambientales que contribuyen a la patogénesis de la enfermedad.

Acknowledgements

AGRADECIMIENTOS

Agradecimientos al propietario del animal por autorizar la realización de pruebas diagnósticas y demás estudios para el diagnóstico definitivo del caso clínico. Al laboratorio de patología veterinaria DIAKNOX por el reporte de resultados del estudio histopatológico de la masa enviada y al personal académico del Hospital Veterinario de Grandes Animales de la Universidad Cooperativa de Colombia por la ayuda suministrada en campo.

REFERENCIAS

  1. Abu-Seida AM, Wafy MN, Hassan EA y Ahmed KA. 2021. Gigantic ocular squamous cell carcinoma mixed with fibrosarcoma in a mare: clinical, laboratory, ultrasonography and histo-pathology findings. Journal of Equine Veterinary Science, 102, 103639. https://doi.org/10.1016/j.jevs.2021.103639 [URL] 🠔
  2. Al-Jameel W, Al-Mahmood SS y Al-Saidya AM. 2022. Correlation between p53 and Mdm2 expression with histopathological parameters in cattle squamous cell carcinomas. Veterinary World. 15(1):10-15. https://doi.org/10.14202/vetworld.2022.10-15 [URL] 🠔
  3. Al-Mahmood SS, Khalil K. W y Edreesi ARR. 2022. Histopathology and immunohistochemistry of tumors in animals attending veterinary teaching hospital. Iraqi Journal of Veterinary Sciences. 36(2):309-314. https://doi.org/10.33899/ijvs.2021.130114.1733 [URL] 🠔
  4. Amritha V, Kumar SS, Jayakumar K, Vishnugurubaran D y Dharmaceelan S. 2018. Surgical management of bovine ocular squamous cell carcinoma-a review of ten cases. 39(June):59-60. https://doi.org/10.21615/cesmvz.14.3.8 [URL] 🠔
  5. Cardona AJ, Martínez MM y Montes VD. 2016. Nasal and ocular squamous cell carcinoma in a simmental bull. Revista Colombiana de Ciencia Animal-RECIA. 8(1):82-87. https://doi.org/10.24188/recia.v8.n1.2016.228 [URL] 🠔
  6. Cardona JA, Vargas MI y Perdomo SC. 2013. Estudio clínico e histopatológico del carcinoma de células escamosas de bovinos en el departamento de Córdoba, Colombia. Revista de La Facultad de Ciencias Veterinarias, UCV.54(2):68-77. Disponible en: http://ve.scielo.org/scielo.php?script=sci_arttext&pid=S0258-65762013000200002 [URL] 🠔
  7. Carvalho T, Vala H, Pinto C, Pinho M y Peleteiro MC. 2005. Immunohistochemical studies of epithelial cell proliferation and p53 mutation in bovine ocular squamous cell carcinoma. Veterinary Pathology. 42(1):66-73. https://doi.org/10.1354/vp.42-1-66 [URL] 🠔
  8. Cedeño Quevedo DA, Calpa Oliva CA, Bravo NL y Rodríguez Hernández D. 2020. Estudio clínico, histopatológico e inmunohistoquímico del carcinoma de células escamosas ocular bovino en el departamento de Nariño, Colombia. Revista de Investigaciones Veterinarias Del Perú. 31(4):e17382. Disponible en: http://www.scielo.org.pe/pdf/rivep/v31n4/1609-9117-rivep-31-04-e17382.pdf [URL] 🠔
  9. Cedeño Quevedo D, Morales TG y Solarte JM. 2020. Estudio retrospectivo del carcinoma de células escamosas en bovinos en el departamento de Nariño, Colombia. Revista de Medicina Veterinaria. 1(39):75-84. https://doi.org/10.19052/mv.vol1.iss39.8 [URL] 🠔
  10. Donaldson MJ, Sullivan TJ, Whitehead KJ y Williamson RM. 2002. Squamous cell carcinoma of the eyelids. British Journal of Ophthalmology, 86(10):1161-1165. https://doi.org/10.1136/bjo.86.10.1161 [URL] 🠔
  11. Fornazar, GA, Kravetz J, Kiupel M, Sledge D, Filho IRDB y Montiani-Ferreira F. 2017. Ocular squamous cell carcinoma in Holstein cows from the South of Brazil. Veterinary World. 10(12):1413-1420. https://doi.org/10.14202/vetworld.2017.1413-1420 [URL] 🠔
  12. Heeney JL y Valli VEO. 1985. Bovine ocular squamous cell carcinoma: An epidemiological perspective. Canadian Journal of Comparative Medicine. 49(1):21-26. Disponible en: https://www.ncbi.nlm.nih.gov/pmc/articles/PMC1236111/?page=1 [URL] 🠔
  13. Jameel GH, Zahid I, Mohammed MGT, Bahloul A, Sufyan y Lateef T. 2019. TNF-alpha Level, a Marker for Ivermectin Induced Immune Modulation in Cattle with Ocular Squa-mous Cell Carcinoma (BOSCC). Advances in Animal and Veterinary Sciences. 7(6):441-446. Disponible en: https://vetmed.uodiyala. edu.iq/uploads/custompages/%D8%AF.%20 %D8%BA%D8%B3%D8%A7%D9%86%20-4%20(2).pdf [URL] 🠔
  14. Kashyap DK, Tiwari SK, Kalim MO y Dewangan R. 2022. Studies on physiological and haema-tological alterations of skin and subcutaneous neoplasms in bovines. The Pharma Innovation Journal. 11(4):844-852. Disponible en: https://www.thepharmajournal.com/archives/2022/vol11issue4S/PartL/S-11-4-10-569.pdf [URL] 🠔
  15. Lakshmi MP, Veena P, Kumar RVS y Raniprameela D. 2020. Clinical, pathological and immunohistochemical studies on bovine eye cancer. 9(4):353-355. Disponible en: https://www.thepharmajournal.com/archives/2020/vol9issue4/PartF/9-4-62-391.pdf [URL] 🠔
  16. Mathewos M. 2020. Histological, cytological characteristics and treatment options on common skin tumors of domestic animals: a review. International Journal of Recent Biotechnology. 8(1): 1-24. Disponible en: https://www.researchgate.net/publication/339900812_Histological_Cytological_Characteristics_and_Treatment_Op-tions_on_Common_Skin_Tumors_of_Domes-tic_Animals_A_Review [URL] 🠔
  17. Olarte Saucedo M, Sánchez Rodríguez SH, Aréchiga Flores CF, Bañuelos Valenzuela R y López Luna MA. 2019. Effects of ultraviolet radiation (UV) in domestic animals. Review. Revista Mexicana de Ciencias Pecuarias. 10(2):416-432. https://doi.org/10.22319/rmcp.v10i2.4648 [URL] 🠔
  18. Podarala V, Prasanna Lakshmi M, Venkata SKR y Devalam RP. 2020. Efficacy of BCG vaccine and Mitomycin C for the treatment of ocular squamous cell carcinoma in bovines. Research in Veterinary Science. 133(April):48-52. https://doi.org/10.1016/j.rvsc.2020.08.008 [URL] 🠔
  19. Priyanka N, Nagaraja BN, Nagaraju N, Manjunath DR y Balapannavar BR. 2021. Study on occurrence of ocular tumors in cattle. 10(7):329-333. The pharma innovation journal. https://www.thepharmajournal.com/archives/2021/vol10is-sue7S/PartF/S-10-6-166-152.pdf [URL] 🠔
  20. Puleio R, Capucchio MT, Tamburello A, Mignacca SA, Atanasio A, Vitale M, Amato B, Loria GR y Di Marco Lo Presti V. 2015. Ocular squamous cell carcinoma in Valle del Belice sheep: Histology and immunohistochemistry. Small Ruminant Research. 126(S1):28-32. https://doi.org/10.1016/j.smallrumres.2015.01.024 [URL] 🠔
  21. Sharma S, Kumar G, Chaudhary RN, Arora N y Tiwari D K. 2020. Surgical Management of Eye Tumours in Buffaloes: Report of 16 Cases. May:12-15. Jakraya journal. Disponible en: http://jakraya.com/Journal/pdf/27-lriArticle_5.pdf [URL] 🠔
  22. Sözmen M, Devrim AK, Sudagidan M, Kabak YB, Beytut E y Özba B. 2019. Significance of angiogenic growth factors in bovine ocular squamous cell carcinoma. Journal of Comparative Pathology. 170:60-69. https://doi.org/10.1016/j.jcpa.2019.05.008 [URL] 🠔
  23. Tsujita H y Plummer CE. 2010. Bovine ocular squamous cell carcinoma. Veterinary Clinics of North America-Food Animal Practice. 26(3):511-529. https://doi.org/10.1016/j.cvfa.2010.08.003 [URL] 🠔
  24. Vala H, Carvalho T, Pinto C, Pereira MA, Mesquita JR, Peleteiro MC, Ferrer Ly Fondevila D. 2020. Immunohistochemical studies of cytokeratins and differentiation markers in bovine ocular squamous cell carcinoma. Veterinary Sciences. 7(2). https://doi.org/10.3390/VETSCI7020070 [URL] 🠔
  25. Yildiz A y Karakurt E. 2022. Determination of apoptosis and autophagy in bovine ocular squamous cell carcinomas by immunohistochemistry. Pakistan Veterinary Journal. 42(2):147-152. Disponible en: https://www.researchgate.net/publication/361316720_Determination_of_Apop-tosis_and_Autophagy_in_Bovine_Ocular_Squa-mous_Cell_Carcinomas_by_Immunohistochemistry [URL] 🠔
Este trabajo fue financiado con recursos propios, no se recibieron recursos de ninguna entidad para la investigación.
Quebrada SF y Ramírez LD. 2023. Carcinoma escamocelular ocular en bovino de raza Brahman Gris: reporte de caso. Rev Med Vet Zoot. 70(2):234-244. https://doi.org/10.15446/rfmvz.v70n2.104915