Revista de la Facultad de Medicina
0120-0011
Universidad Nacional de Colombia
https://doi.org/10.15446/revfacmed.v71n4.107464

Recibido: 21 de marzo de 2023; Aceptado: 14 de septiembre de 2023

Mucocutaneous lesions associated with lymphoproliferative disorder: a case report

Lesiones mucocutáneas asociadas a trastorno linfoproliferativo: reporte de un caso

K. Borda-Pedraza, 1* V. Arias-Pedroza, 2 M. Quinche-Pardo, 3

Universidad Nacional de Colombia - Bogotá Campus - Faculty of Medicine - Department of Surgery - Otorhinolaryngology Unit - Bogotá D.C. - Colombia. Universidad Nacional de Colombia Universidad Nacional de Colombia Faculty of Medicine Department of Surgery Bogotá D.C Colombia
Universidad Nacional de Colombia - Bogotá Campus - Faculty of Medicine - Department of Pathology - Bogotá D.C. - Colombia. Universidad Nacional de Colombia Universidad Nacional de Colombia Faculty of Medicine Department of Pathology Bogotá D.C Colombia
Universidad Nacional de Colombia - Bogotá Campus - Faculty of Medicine - Bogotá D.C. - Colombia. Universidad Nacional de Colombia Universidad Nacional de Colombia Faculty of Medicine Bogotá D.C Colombia

Corresponding author: Katherin Andrea Borda Pedraza. Unidad Otorrinolaringología, Departamento de Cirugía, Universidad Nacional de Colombia. Bogotá D.C. Colombia. Email: kabordap@unal.edu.co.
None stated by the authors.

Abstract

Introduction:

Leukemia is a type of blood cancer characterized by the accumulation of mature or immature cells in the bone marrow (BM), peripheral blood, lymph nodes, and lymphoid tissues. These cells can cause extranodal infiltration in tissues such as skin (leukemia cutis [LC]) and mucous membranes, being these locations rare.

Case presentation:

The patient was referred to a university hospital, where BM and computed tomography tests were performed, showing peripheral lymphatic involvement and maxillary paranasal sinus (PNS) opacity. Subsequently, functional endoscopic sinus surgery (FESS) of the PNS was performed and biopsies were taken from the skin lesion and PNS mucosa. Based on the results of the BM tests, the patient was diagnosed with B-cell acute lymphoblastic leukemia, so chemotherapy (CT) was initiated. The biopsy report described infiltration of leukemoid neoplastic cells in both locations (skin lesion and PNS mucosa), confirmed by immunohistochemistry. During CT, the patient developed bone marrow aplasia, tumor lysis syndrome and septic and hypovolemic shock, which eventually led to his death.

Conclusion:

LC is a rare condition associated with poor prognosis, so once detected it is necessary to initiate systemic treatment and look for possible extramedullary metastases. PNS opacity in patients with oncologic immunosuppression is usually considered as nasosinusal infection; however, it may also be secondary to an unusual infiltrative involvement of leukemia.

Keywords:

Leukemia, Skin Diseases, Paranasal Sinuses, Nasal Mucosa (MeSH).

Resumen

Introducción.

La leucemia es un cáncer hematológico caracterizado por la acumulación de células maduras o inmaduras en la médula ósea (MO), la sangre periférica, los ganglios linfáticos y los tejidos linfoides. Estas células pueden causar infiltración extranodal en tejidos como la piel (leucemia cutis [LC]) y en las mucosas, siendo estas localizaciones infrecuentes.

Presentación del caso.

Hombre de 24 años con masa submaxilar dolorosa, obstrucción nasal y lesiones cutáneas quien asistió al servicio de urgencias de un hospital de segundo nivel en Bogotá D.C., Colombia, donde se reportó reacción leucocitaria en hemograma y de blastos en frotis de sangre periférica, por lo que fue remitido a un hospital universitario, donde se realizaron pruebas de MO y tomografía computarizada, en la cual se observó compromiso linfático periférico y opacificación de senos paranasales (SPN) maxilares. Posteriormente, se realizó cirugía endoscópica funcional de SPN y se tomaron biopsias de la lesión cutánea y de la mucosa de los SPN. Con base en los resultados de las pruebas de MO, el paciente fue diagnosticado con leucemia linfoblástica aguda de células B, por lo que se le inició quimioterapia (QT). El reporte de biopsia describió infiltración de células neoplásicas leucemoides en ambas localizaciones (lesión cutánea y mucosa de SPN), confirmada mediante inmunohistoquímica. Durante la QT, el paciente desarrolló aplasia medular, síndrome de lisis tumoral y choque séptico e hipovolémico, lo que eventualmente llevó a su deceso.

Conclusión.

La LC es una condición poco frecuente asociada a un pobre pronóstico, por lo que una vez detectada es necesario iniciar tratamiento sistémico y buscar posibles metástasis extramedulares. La opacificación de los SPN en pacientes con inmunosupresión oncológica suele considerarse como infección nasosinusal; sin embargo, también puede ser secundaria a un compromiso infiltrativo inusual de la leucemia.

Palabras clave:

Leucemia, Enfermedades de la piel, Senos paranasales, Mucosa nasal (DeCS).

Introduction

Leukemia cutis (LC) is skin involvement in patients with leukemia, being more frequent in cases of chronic lymphocytic leukemia (CLL) and acute myeloid leukemia (AML) with monocytic or myelomonocytic morphology. 1 This is an atypical manifestation and its actual overall incidence is unknown; however, it has been reported to occur in about 4% of patients with CLL2 and between 10% and 15% of those with AML.3

The pathophysiology of LC involves migration of neoplastic leukocytes or their precursors into the skin and may present as papules, nodules, plaques, ulcers, and vesicles. 4 Histopathologic diagnosis includes immunohistochemical testing, which is necessary to differentiate the nature of the lesion. 5,6 Histological findings of LC include the presence of small ovoid-shaped leukemic cells with prominent nuclei and scant cytoplasm infiltrating the skin. 3 LC usually occurs in advanced stages of the disease, so the survival rate is lower in these patients.7 In addition, treatment of LC is systemic. 8

Extramedullary metastasis of paranasal sinus (PNS) leukemia is rare, with a few cases described in the literature, 9-15 and it is usually diagnosed by means of biopsies performed during endoscopic drainage in immunosuppressed patients with suspected sinonasal infection. 9 This article reports the case of a patient with B-cell acute lymphoblastic leukemia (ALL) in whom simultaneous infiltration was identified in two atypical locations: skin and mucous membranes. It should be noted that until the moment of drafting this article, this is the first case of a patient with these characteristics described in the literature.

Case presentation

A 24-year-old man, born in and resident of Bogotá D.C. (Colombia), with a history of smoking (1 pack/year), attended the emergency department of a secondary care hospital in Bogotá D.C. due to the presence of edema in the left hemiface, ipsilateral nasal obstruction, and a painful mass in the left submaxillary region that had rapidly increased in size over the previous week. On physical examination, the patient had no signs of systemic inflammatory response and the blood count showed mild leukocytosis (11 050/mm3) without neutrophilia or involvement of other cell lines. Moreover, a computed axial tomography (CAT) scan of the PNS showed soft tissue density in the left maxillary sinus, which was interpreted as odontogenic sinusitis, so outpatient treatment with clindamycin (600mg orally every 6 hours for 10 days) was started.

Three days later, and due to the persistence of the symptoms and the appearance of an ulcerated plaque on the nasal tip and another on the left labial commissure (Figure 1), the patient returned to the emergency department, where a complete blood count was performed, identifying leukocytosis (147 400/mm3), neutropenia (580/mm3), anemia (hemoglobin: 7.5g/dL), and thrombocytopenia (platelet count 26 000/mm3). In addition, a peripheral blood smear was performed in which the presence of leukocytosis, blasts, thrombocytopenia and Gumprecht shadows were reported; the latter were interpreted as CLL with exacerbation (Richter's syndrome). In view of these findings, the patient was referred to a university hospital in the same city.

Ulcerative plaque on nasal tip and left labial commissure.

Figure 1: Ulcerative plaque on nasal tip and left labial commissure.

Source: Image obtained while conducting the study.

On the first day of hospitalization (DH) bone marrow (BM) tests (biopsy and myelogram) were performed, oral antibiotic was discontinued, and empirical intravenous (IV) treatment for sinusitis was started with piperacillin/tazobactam (4.5g IV every 6 hours), vancomycin (1g IV every 12 hours) and amphotericin B deoxycholate (90mg IV infusion every 24 hours) due to the risk of fungal sinusitis. The duration of this treatment was indefinite until the results of the culture were obtained.

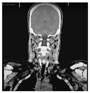
Furthermore, CAT scans of the thorax, neck, PNS and abdomen were performed that same day, revealing multiple bilateral axillary lymphadenopathies (Figure 2), suspicious malignant lymph nodes in the neck, mucosal thickening and opacification of ethmoidal and bilateral maxillary PNS cells with gas bubbles, obstruction of the osteomeatal complex (Figure 3), splenomegaly, and retroperitoneal lymphadenopathies.

Computed axial tomography of the neck, coronal plane in soft tissue window with multiple cervical lymphadenopathies.

Figure 2: Computed axial tomography of the neck, coronal plane in soft tissue window with multiple cervical lymphadenopathies.

Source: Image obtained while conducting the study.

Computed axial tomography of paranasal sinuses, coronal plane in bony window, showing bilateral invasion by soft tissue material in bilateral maxillary and ethmoidal paranasal sinuses.

Figure 3: Computed axial tomography of paranasal sinuses, coronal plane in bony window, showing bilateral invasion by soft tissue material in bilateral maxillary and ethmoidal paranasal sinuses.

Source: Image obtained while conducting the study.

On the second DH, the patient was evaluated by specialists from the infectious diseases, otorhinolaryngology and dermatology services, who considered that the skin lesions were consistent with herpetic stomatitis and that the lesions in the PNS suggested infectious sinusitis with risk of fungal involvement due to neutropenia. In view of the above, antiviral treatment (acyclovir 10mg/kg IV every 8 hours for 8 days) was added to the treatment previously prescribed for sinusitis and biopsies of the maxillary mucosa, labial commissure and nasal lobe were requested. That same day, the patient underwent functional endoscopic PNS surgery in which swelling and pallor of the nasal mucosa were found, but no necrosis; bilateral mucosal discharge was removed from the PNS for culture and biopsy, and skin lesion and mucosal samples were taken from the left nasal vestibule for pathologic analysis. The result of Gram stain and potassium hydroxide examination of the PNS secretion were negative with abundant leukocyte reaction.

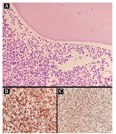
On the third DH, the result of the BM tests (myelogram and biopsy) reported 100% diffuse infiltration by blast cells (Figure 4A) positive for CD34 Figure 4B) and negative for myeloperoxidase, terminal deoxynucleotidyl transferase, and CD117. Immunophenotyping of the tumor cells by immunohistochemistry and flow cytometry showed positivity for CD19, CD79a and CD20 confirming their B lineage. These findings were considered compatible with common phenotype B-cell ALL (EGIL B-II subtype), CD20 positive (Figure 4C).

That same day, and based on these findings, the hematology service considered a diagnosis of common phenotype high-risk acute lymphoma/leukemia (pre-B), so deworming with ivermectin (1 drop/kg oral single dose) was started. On the fourth DH, the pre-phase of the GRAALL protocol (cytarabine, methotrexate and intrathecal dexamethasone) was started. Due to the favorable cytoreductive response, which was evidenced by a decrease in blasts in the blood count, the Hyper-CVAD chemotherapy regimen (cyclophosphamide, mesna, dexamethasone, doxorubicin, vincristine, and rituximab) was started on the ninth DH.

On the tenth DH, follow-up tests were performed, which revealed elevated azotemia compatible with AKIN-II acute renal failure (ARF), hyperkalemia, hyperphosphatemia, hyperuricemia, hypocalcemia, neutropenia, anemia, and thrombocytopenia that required transfusion support. Furthermore, due to the risk of tumor lysis syndrome, treatment with rasburicase (0.2mg/kg/day for 3 days) and allopurinol (300mg orally every 24 hours indefinitely) was started that day, and daily monitoring of the patient's clinical progression was initiated by means of blood chemistry studies (Figure 5).

A) B) H&E stain of bone marrow 40X; B) CD34 immunohistochemistry; C) CD20 immunohistochemistry.

Figure 4: A) B) H&E stain of bone marrow 40X; B) CD34 immunohistochemistry; C) CD20 immunohistochemistry.

Source: Images obtained while conducting the study.

Timeline of important events during the patient's hospitalization.

Figure 5: Timeline of important events during the patient's hospitalization.

DH: day of hospitalization; Leu: leukocytes; Neu: neutrophils; Hb: hemoglobin; Plat: platelets; BUN: blood urea nitrogen; Crea: creatinine; K: potassium; P: phosphorus; Ca: calcium; Uric Ac: uric acid; CRP: C-reactive protein; BT: total bilirubin; pRBC: packed red blood cells; ARF: acute renal failure.
Source: Own elaboration.

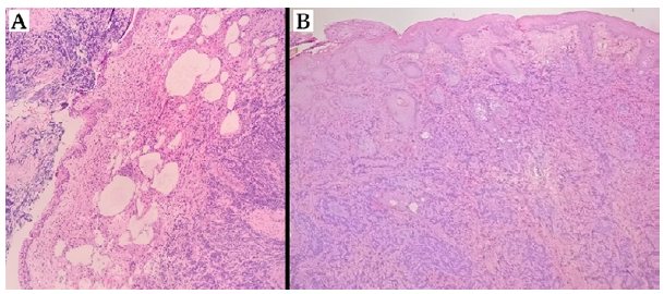
On the eleventh DH, the patient presented bone marrow aplasia in all cell lines and required a new transfusion of blood products. Deterioration in renal function and tumor lysis syndrome criteria were also observed. In view of the elevated levels of acute phase reactants, the result of the PNS mucosa culture was reviewed, confirming Candida parapsilosis infection. Given the latter findings, the infectious disease department decided to complete the antibiotic therapy with vancomycin and piperacillin for up to 15 days and to switch from amphotericin to targeted therapy with fluconazole (loading dose of 800mg IV and then 400mg IV every day for 7 days). That same day, the pathology service reported the result of the biopsy of the PNS mucosa and epidermal lesions, confirming the presence of diffuse infiltration by medium-sized cells with atypical nuclei, irregular contours and scant cytoplasm, a finding compatible with a hematolymphoid neoplasm lesion in PNS mucosa (Figure 6A) and skin, i.e., LC (Figure 6B).

A) Infiltration of leukemic cells in sinus mucosa 10X; B) Infiltration of leukemic cells in skin H&E 4X.

Figure 6: A) Infiltration of leukemic cells in sinus mucosa 10X; B) Infiltration of leukemic cells in skin H&E 4X.

Source: Images obtained while conducting the study.

On the fourteenth DH, the patient presented with peripheral catheter bleeding, hypotension, tachycardia, oxygen desaturation and fever. In the presence of neutropenia and suspicion of infection, tests used in the diagnosis of organ damage due to sepsis were requested (Figure 5) and samples were taken for blood culture, urine culture and catheter tip culture. Moreover, antibiotic therapy was switched to a broad-spectrum treatment (meropenem 2g IV every 8h, linezolid 600mg IV every 8h and prophylaxis with trimethoprim-sulfamethoxazole 160/800mg every 48h indefinitely). That same day, due to rapid clinical deterioration and hemodynamic instability, he was transferred to the intensive care unit (ICU), where he required orotracheal intubation. In the ICU, he presented massive epistaxis that was treated with nasal packing, vasopressor therapy with noradrenaline (0.3mcg/kg/min), and multiple transfusions. A chest X-ray showed pulmonary opacities and bilateral pleural effusion suggestive of pulmonary infectious involvement.

On the fifteenth DH, the results of the follow-up laboratory tests confirmed tumor lysis syndrome and showed deterioration of cell counts, renal function and liver function, so it was determined that the patient presented multisystemic septic, hypovolemic and hemorrhagic shock with bone marrow aplasia, and that he required transfusion therapy. Finally, on the sixteenth DH, he presented hypoperfusion, requiring a progressive increase in the dose of noradrenaline up to 0.8mcg/kg/min, extreme bradycardia and asystole, for which cardiopulmonary resuscitation was initiated for 30 minutes but cardiac rhythm did not recover, resulting in his death.

Discussion

Leukemias are a group of malignant diseases characterized by an increase in the number of leukocytes in the blood or BM.16 Besides peripheral lymphoid organ involvement, patients with leukemia may present with extranodal involvement of other organs such as the skin. In general, the appearance of cutaneous involvement due to leukemia indicates an advanced stage of the cancer. 2

Skin infiltration (epidermis, dermis or subcutaneous cellular tissue) by neoplastic leukocytes or their precursors is called LC and is a specific lesion of leukemia. 17 Its clinical presentation is characterized by multiple lesions (84% of cases) such as nodules (33%), papules (30%), and plaques (17%).18 Neither type of lesion is pathognomonic of a specific type of leukemia, except for chloroma and gingival hyperplasia, which have been associated with AML. 5 Although there is no predilection site for the occurrence of LC lesions, they are less frequent on palmoplantar surfaces and oral mucosa. 5 In the present case, the characteristics of the lesions were similar to those described in the literature regarding multiplicity and type of lesion (plaque). Other lesions and possible LC characteristics are described in Table 1.

Table 1: Possible presentations of leukemia cutis.

Source: Own elaboration based on Wagner et al.5

The differential diagnosis of LC lesions includes nonspecific skin lesions due to leukemia, manifestations of cytopenias and drug reactions such as petechiae, purpura, ecchymosis, vasculitis, neutrophilic dermatoses, and herpetic opportunistic infections.19 In the present case, given the presence of immunosuppression and clinical suspicion, the differential diagnosis of herpes viral infection (herpetic stomatitis) was considered and an antiviral course was completed before the results of the lesion biopsy were available.

The diagnosis of LC is histopathologic using immunohistochemistry to differentiate the nature of the lesion. 5,6 Typical histologic findings are small, oval leukemic cells with prominent nuclei and scant cytoplasm, 3 while perivascular eosinophils, neutrophils, and plasmacytes may also be present. The immunophenotype of these skin tumor cells is similar to that of BM cells. 6 In the present case, the immunophenotype of the BM and skin lesions coincided, confirming the diagnosis of LC.

LC can occur in multiple types of leukemia, being reported in approximately 4% of patients with AML (most commonly in FAB M4 and M5 subtypes); it also occurs in less than 5% of patients with CLL18 and between 1% and 3% of those with ALL, mainly of T-lymphocyte origin. 3 This type of skin infiltration can occur exceptionally in patients with multiple myeloma or erythroid leukemias and is more frequent in the pediatric population, occurring in 25-30% of children with congenital leukemia, mainly AML. 19 The male to female ratio is 1.1:1.0. 5

On the other hand, the time between the appearance of LC lesions and the diagnosis of the underlying leukemia varies: they may appear after the diagnosis of leukemia (55 to 77%), at the time of diagnosis (simultaneously) (23-38%), or before the presentation of other clinical symptoms and signs of this type of cancer (7%), a case in which it is referred to as aleukemic LC. 5 In the present case, the onset of LC lesions occurred at the same time as the systemic disease.

In general, the presence of these lesions implies a poor prognosis and is associated with a 1-year mortality of approximately 88%.1,5,17 Furthermore, in patients with Richter's syndrome, LC is associated with a poor prognosis, with a 2-year survival rate of 49%.6 The findings of the present case are similar to those reported in the literature, as our patient presented with a second extramedullary involvement in the PNS and died within a relatively short period after the onset of the clinical manifestation of LC.

Cutaneous involvement is a local manifestation of leukemia, a disease in which CT is the indicated approach. 5,17 In the present case, treatment with CT was initiated without having a confirmed LC diagnosis because the patient had already been diagnosed with acute lymphoma/leukemia of common phenotype (pre-B) through BM tests (biopsy and myelogram) before obtaining the result of the biopsy of the mucocutaneous lesions.

Extramedullary metastasis of leukemia to the PNS is rare and is usually diagnosed due to nasal obstruction, soft tissue occupation and, occasionally, bony destruction and compressive signs on CAT scans. 9 This is usually interpreted as an infection, so, firstly, an endoscopic drainage is performed to obtain a sample for culture to establish the presence or absence of infection, and secondly, a biopsy is performed to confirm by histopathology the infiltration of neoplastic cells in the mucosa. The differentiation between these lesions and a lymphoma in the nasal cavity is made by correlating the culture and biopsy findings with those of the BM9 biopsy and its immunohistochemistry, as in this case.

ALL of T9 and B10 lineage, CLL, 11 and AML or myeloid sarcoma are types of leukemia in which the involvement of PNS has been described. 13 This involvement can appear as an initial manifestation12 or relapse9 of the disease in adult and pediatric patients, 10 and it has been described that it can occur in different locations of the paranasal cavities, including infiltration of the nasolacrimal ducts. 14

According to the literature reviewed, up to the time of writing this case report, 7 cases of patients with CLL and infiltration to the PNS had been reported, with the maxillary PNS being the most frequently affected; 11 this is consistent with what was found in our patient, in whom it was established that this was one of the affected sinuses. Given its rare involvement, the treatment of this condition is individualized and may require surgery in case of compressive involvement and/or targeted systemic management. 11 In the present case, the treatment included endoscopic drainage and systemic therapy according to the type of leukemia.

This case report, to the best of our knowledge, is the first to describe extramedullary involvement in two unusual locations (PNS mucosa and skin) simultaneously in a patient with B-cell ALL. Importantly, these atypical manifestations of leukemia followed the typical course of the disease described in the literature.

Conclusion

LC is a rare condition associated with a poor prognosis, so once detected it is necessary to initiate systemic treatment and look for possible extramedullary metastases. In this sense, having an adequate knowledge of this cutaneous involvement is important for the timely identification and appropriate management of patients with clinical features suggestive of this condition. PNS opacity in patients with oncologic immunosuppression is usually interpreted as nasosinusal infection but may also relate to an unusual infiltrative involvement of the disease. Performing a mucosal biopsy of the PNS is essential to rule out or confirm the infiltration of neoplastic cells in this atypical location.

Acknowledgements

Acknowledgments

None stated by the authors.

References

  1. 1. Parsi M, Go MS, Ahmed A. Leukemia Cutis. In: StatPearls. Treasure Island (FL): StatPearls Publishing; 2023 [cited 2023 Sep 14]. Available from: Available from: https://bit.ly/42e7ILv . [URL] 🠔
  2. 2. Gordon MJ, Ferrajoli A. Unusual complications in the management of chronic lymphocytic leukemia. Am J Hematol. 2022;97(Suppl 2):S26-S34. https://doi.org/mdj4. [URL] 🠔
  3. 3. Mohapatra L, Ray A, Patra PC, Samal P, Samal A, Kar BR. Morpheaform leukemia cutis in a case of b-cell acute lymphoblastic leukemia - A rare presentation. Indian Journal of Paediatric Dermatology. 2022;23(1):74-6. https://doi.org/mdj5. [URL] 🠔
  4. 4. Jiang X, Wang W, Zhang M. Leukemia Cutis: An Unusual Presentation of Acute Lymphoblastic Leukemia in a Child. Indian J Dermatol. 2015;60(6):636. https://doi.org/mdj6. [URL] 🠔
  5. 5. Wagner G, Fenchel K, Back W, Schulz A, Sachse MM. Leukemia cutis - epidemiology, clinical presentation, and differential diagnoses. J Deutsch Dermatol Ges. 2011;10(1):27-36. https://doi.org/chht9w. [URL] 🠔
  6. 6. Morozova EA, Olisova OYu, Nikitin EA. Cutaneous manifestations of B-cell chronic lymphocytic leukemia. Int J Hematol. 2020;112(4):459-65. https://doi.org/mdj7. [URL] 🠔
  7. 7. Aggarwal S, Malhotra P, Dogra S, Vinay K, Kanwar AJ, Saikia UN. Spectrum of mucocutaneous manifestations in an Asian cohort of patients with leukemia. IntJ Dermatol. 2016;55(8):893-7. https://doi.org/mdj8. [URL] 🠔
  8. 8. Martínez-Leboráns L, Victoria-Martínez AM, Torregrosa-Calatayud JL, Alegre-de Miquel V. Leucemia cutis. Serie de 17 casos y revisión de la literatura. Actas Dermosifiliogr. 2016;107(9):e65-9. https://doi.org/mdj9. [URL] 🠔
  9. 9. Chang BH, Chen YL, Lee TJ, Lee LA, Liao SK. Paranasal sinus involvement in acute lymphoblastic leukemia. Chang Gung Med J. 2004;27(12):924-9. 🠔
  10. 10. Tagkin N, Gôkçe M, Tugcu D, Bayram C, Aydogan G, Dogan Ö, et al. An Unexpected Presentation of Pediatric Acute Lymphoblastic Leukemia: Maxillary Sinus Mass. Acta Medica. 2015;46(1):12-4. 🠔
  11. 11. Güven O, Gür H, Bozdogan-Arpaci R, Naci-Tiftik E, ísmi O. Relapsing chronic lymphocytic leukemia in the paranasal sinuses mimicking chronic rhinosinusitis: a case report and review of the literature. ENTCase Elektronik Hakemli Dergi. 2020 [cited 2023 Sep 14]. Available from: Available from: https://bit.ly/4bd0s6L . [URL] 🠔
  12. 12. Inaki S, Okamura H, Chikamori Y. Adult T-Cell Leukemia/Lymphoma Originating in the Paranasal Sinus. Arch Otolaryngol head Neck Surg. 1988;114(12):1471-3. https://doi.org/dxchxb. [URL] 🠔
  13. 13. Kelly M, Advani R, Schuster-Bruce J, Crossley E, Lakhani R. Unilateral nasal obstruction: a rare presentation of acute myeloid leukaemia. J Surg Case Rep. 2021;2021(12):rjab581. https://doi.org/mdkb. [URL] 🠔
  14. 14. Wong RJ, Gliklich RE, Rubin PA, Goodman M. Bilateral Nasolacrimal Duct Obstruction Managed With Endoscopic Techniques. Arch Otolaryngol Head Neck Surg. 1998;124(6):703-3. https://doi.org/mdkd. [URL] 🠔
  15. 15. Johnston R, Altman KW, Gartenhaus RB. Chronic Lymphocytic Leukemia Manifesting in the Paranasal Sinuses. Otolaryngol Head Neck Surg. 2002;127(6):582-4. https://doi.org/cdrwsv. [URL] 🠔
  16. 16. Juliusson G, Hough R. Leukemia. Prog Tumor Res. 2016;43:87-100. https://doi.org/f9sfws. [URL] 🠔
  17. 17. Chitapur UG, Athanikar SB, Panchagavi AB, Naveen KN, Athanikar VS. Leukemia cutis: A sign of relapse. Clinical Dermatology Review. 2022;6(1):53. https://doi.org/mdkf. [URL] 🠔
  18. 18. Osmola M, Gierej B, Kiosowicz A, Waszczuk-Gajda A, Basak GW, Jedrzejczak WW, et al. Leukaemia cutis for clinicians, a literature review. Postepy Dermatol Alergol. 2021;38(3):359-65. https://doi.org/mdkg. [URL] 🠔
  19. 19. Cho-Vega JH, Medeiros LJ, Prieto VG, Vega F. Leukemia cutis. Am J Clin Pathol. 2008;129(1):130-42. https://doi.org/dmmknq. [URL] 🠔
Borda-Pedraza KA, Arias-Pedroza VL, Quinche-Pardo ME. Mucocutaneous lesions associated with lymphoproliferative disorder: a case report. Rev. Fac. Med. 2023;71(4):e107464. English. doi: https://doi.org/10.15446/revfacmed.v71n4.107464.
Borda-Pedraza KA, Arias-Pe-droza VL, Quinche-Pardo ME. [Lesiones mucocutáneas asociadas a trastorno linfoproliferativo: reporte de un caso]. Rev. Fac. Med. 2023;71(4):e107464. English. doi: https://doi.org/10.15446/revfacmed.v71n4.107464.
This case report was prepared with the informed consent of the patient, who signed the authorization to publish the contents.
None stated by the authors.