Revista de la Facultad de Medicina
0120-0011
Universidad Nacional de Colombia
https://doi.org/10.15446/revfacmed.v65n3.56010

Recibido: 2 de marzo de 2016; Aceptado: 8 de julio de 2016

Rare chronic stridor: Case report and literature review

Estridor de extraña duración: reporte de caso y revisión

J. Uribe-Parra, 1*C. Lozano-Triana, 12A. López-Cadena, 12G. Landínez-Millán, 12

Universidad Nacional de Colombia - Faculty of Medicine - Department of Pediatrics - Bogotá D.C. - Colombia. Universidad Nacional de Colombia Universidad Nacional de Colombia Faculty of Medicine Department of Pediatrics Bogotá D.C Colombia
Hospital de la Misericordia - Internal Medicine Unit - Bogotá D.C. - Colombia. Hospital de la Misericordia Bogotá D.C Colombia

Corresponding author: Juan Daniel Uribe Parra. Departament of Pediatrics, Hospital de la Misericordia. Avenida Caracas No. 1-13, floor 4, office 401. Phone number: +57 3373842-3373824, ext.: 208. Bogotá D.C. Colombia. Email: jduribep@unal.edu.co.
None stated by the authors.

Abstract

This paper reports the case of a toddler with chronic stridor of four months of evolution, treated several times by micro-nebulization (MNB) with beta 2, adrenergics, O2 and corticosteroids with partial improvement. The patient did not have complementary studies nor a clear history of foreign body aspiration (FB). During the last visit to the ER, a neck X-ray revealed a stippling sign in the upper airway. A bronchoscopy was performed, and a sharp foreign body (fishbone) was found in the upper airway, which was subsequently removed. This case is reported due to the unusual evolution of the foreign body in the upper airway, which manifested as a chronic stridor that resolved without further complications.

Keywords:

Stridor, Foreign-Body Reaction, Respiratory Aspiration, Laryngoscopy, Child, Toddler (MeSH).

Resumen

Se presenta el caso de una paciente prescolar con estridor crónico de 4 meses de evolución, tratada varias veces mediante micronebulizaciones (MNB) con beta 2, adrenérgicos, O2 y corticoides con mejoría parcial, sin estudios complementarios ni antecedentes claros de atoramiento con cuerpo extraño (CE). Además, se realizó una radiografía de cuello (Rx) que reveló la presencia de imagen en punta de lápiz traqueal y una broncoscopia que comprobó la existencia de un cuerpo extraño puntiagudo (espina de pescado) en la vía aérea superior.

Este caso se reportó por su inusual presentación, pues es un CE en la vía aérea superior que se manifestó con estridor crónico, sin mayores complicaciones.

Palabras clave:

Estridor, Reacción a cuerpo extraño, Aspiración respiratoria, Tráquea, Broncoscopía, Infante (DeCS).

Introduction

Stridor is a respiratory symptom frequently observed in pediatric emergency services 1,2. It is defined as a high-pitched respiratory sound, usually associated with a mechanical obstruction of the air flow in the upper airway 3, located at the supraglottic, glottic or infraglottic level 4,5. The character of stridor itself is inherent to the obstruction level, therefore, when it is inspiratory, it is related to supraglottic obstruction, whereas it is associated with obstruction of the lower airway when it is expiratory, and with fixed lesions in the airway or with laryngomalacia and tracheomalacia, if it is biphasic 6,7.

However, stridor should be studied as a severe respiratory symptom that requires immediate medical attention. It can be caused by different factors, so a thorough analysis and deep studies must be done for timely diagnosis and treatment to avoid potentially life-threatening situations 8,9. The two most useful tools in the study of stridor are the preparation of a proper medical history and a thorough physical examination. It is worth noting that only specific cases require diagnostic aids 4,9,10, for example, when acute complications such as pneumothorax, pneumomediastinum, subcutaneous emphysema and esophageal perforation are suspected, or in the presence of chronic complications such as obstructive pneumonias, atelectasis and pulmonary abscesses 9,11-14.

The following is the case report of a patient with a FB located in the upper respiratory tract and chronic stridor, which was confused with croup.

Case presentation

A two-year-old patient attended the emergency room with a three-day history of upper respiratory symptoms caused by stridor, hyaline rhinorrhea, sneezing, and a sudden episode of perioral cyanosis that lasted for 10 seconds. On admission, the child was conscious, hydrated, afebrile, with significant inspiratory stridor, and signs of moderate respiratory distress. The mother denied possible aspiration or recent intake of a foreign body. She also presented a positive respiratory contagion noxa, and reported that she had attended several emergency services due to similar symptoms in the past four months, which were interpreted as laryngotracheobronchitis and treated by corticoid and, in some cases, nebulized epinephrine. Furthermore, the stridor was nocturnal, had no triggering events nor feverish spikes, and was sometimes associated with cough or respiratory distress.

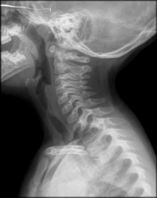
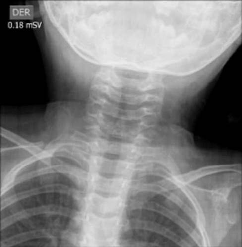
Chest and neck radiographs were requested for an initial approach (Figure 1 and 2). The radiology service found a steeple sign that suggested laryngeal croup in the anteroposterior (AP) projection of the second image. Likewise, the lateral projection shows an object that could be a foreign body. Chest X-ray was normal.

Anteroposterior radiograph of the neck. Steeple sign.

Figure 1: Anteroposterior radiograph of the neck. Steeple sign.

Source: Own elaboration based on the data obtained in the study.

Lateral x-ray projection of the neck.

Figure 2: Lateral x-ray projection of the neck.

Source: Own elaboration based on the data obtained in the study.

Since the clinical picture did not coincide with the time of evolution, the patient was referred to otorhinolaryngological assessment. Thus, during the observation period, the patient presented respiratory pattern deterioration, with a new cyanotizing episode and persistent desaturation. In consequence, she was transferred to resuscitation, and oxygen therapy treatment was initiated along with intravenous corticoids, b-adrenergics and antihistamines to achieve a progressive improvement. However, the otorhinolaryngology service did not provide a clear diagnosis, so a nasofibrolaryngoscopy was scheduled.

After this procedure, adequate mobility of the vocal cords, complete glottic closure, and evidence of a subglottic foreign body with associated granuloma were reported. The foreign body was removed and biopsies and cultures were taken from the site. Considering the characteristics of the foreign body, it was concluded that it was a fishbone. Afterwards, the study was complemented with endoscopy of upper digestive tract, which ruled out the presence of other foreign bodies.

The patient continued with in-hospital treatment, where proper care and surveillance of the airway were provided. Inhaled corticosteroids and antibiotic coverage with ampicillin/sulbactam were also administered due to the presence of inflammatory signs found at the site of impact of the foreign body. After three days of hospitalization, the patient was discharged without further complications or symptoms and with a good general condition.

Discussion

The anatomy of the airway differs between children and adults 15,16. Basic physical principles have been described to explain predisposition to obstruction and difficult management of the airway in pediatrics 10. Resistance to air passage is inversely proportional to the airway radius, raised to the fourth power, therefore reducing airway diameter by half will increase resistance 16 times. According to this principle, Table 1 shows the reasons why obstruction in the upper airway is more frequent in pediatrics.

Table 1: Particularities of the airway in pediatrics.

Source: Own elaboration based on Santillanes & Gausche-Hill 10, Wilton et al. 15, Tahir et al. 16 and Srivastava 17.

Evidence shows that the pediatric population aged between six months and three years 1,16,18 has special characteristics, not only anatomical but behavioral, that makes it susceptible to these accidents.

Their learning process, desire for exploration, lack of teeth and cognitive inexperience (in terms of distinguishing safe food) are important associated factors, which is easily observed in 80% of accidental ingestion occurring in the pediatric population 6,18. However, some studies reveal a slight but higher incidence in men, with a ratio of 1.7:1 9,19.

In the emergency department, the approach to upper airway obstruction syndromes must cover a broad spectrum of pathologies (Table 2).

Table 2: Frequent causes of stridor in pediatrics.

Source: Own elaboration based on Pfleger & Eber 3 and Venkatesan et al. 20.

Regarding the case presented in this paper, intake and aspiration of foreign bodies is a common problem in the pediatric population 8,21 and is believed to be the second cause of urgent endoscopy 1,22. The average mortality rate associated with aspiration of foreign bodies in the airway is approximately 0.7-1.8%, but it varies according to the anatomical location of the object 4,9,21. Thus, complete larynx occlusion can lead to mortality rates of up to 45% according to the urgency of the diagnosis and treatment.

Moreover, children can ingest any kind of objects. However, in most cases, they pass into the gastrointestinal tract without further complication, and up to 50% of the cases may be asymptomatic 22,24, which may lead to significant complications and even death.

Besides the particular symptomatology associated with the location of the foreign body in this case, between 80-90% of the foreign bodies in the airway are found in the bronchial tree, since the objects are usually small enough to get past the trachea. In this case, the body impacted the tracheal wall due to the sharpness of the object. It can be said that only 4% of aspirated foreign bodies are extracted from the trachea and larynx 9,18,24.

In the natural history of foreign body aspiration, three phases have been described: the first occurs as an acute choking episode, and presents the largest amount of symptomatic manifestation, and the highest rates of patient consultation. The second phase is asymptomatic, since the initial symptoms resolve on their own. Finally, the third involves complications and chronic symptoms similar to asthma 25, recurrent pneumonia, pulmonary abscesses, bronchiectasis, subcutaneous emphysema or even pneumothorax 9,18,26; it is less frequent, so the diagnosis is more difficult. In the case reported here, the patient's symptoms were similar to asthma concomitant with chronic cough, episodic dyspnea, and episodes similar to bronchospasm, which was actually suspected during phase 3. In addition, the location of the foreign body in the main airway (subglottic region) may have had a fatal outcome.

Delay in diagnosis is one of the most significant and common factors 18 that increases the risk of complications 12. The most dangerous and frequent objects that can be ingested include flat batteries, magnets, short-piercing objects, bones 1 and fishbone 2,13,27,28. Considering patients of populations with higher risk factors such as basic psychiatric conditions, cognitive disabilities, delayed psychomotor development, autistic spectrum or swallowing disorders, is highly relevant, as well as being alert to inappropriate behaviors like child maltreatment, depression or behaviors suggestive of other systemic diseases such as pica (geophagia) in the context of iron deficiency anemia 11,29.

Foreign bodies in the airway are less common than in the digestive tract 2,12,13 and usually occur unexpectedly (in clinical terms), with a florid picture of respiratory symptoms. The clinical presentation of this patient was particular and recurrent, with occasional paroxysmal episodes that became severe, making it unusual. The absence of a clear episode of choking obscured the diagnosis, so she received treatment for croup on repeated occasions.

The presence of asymptomatic tracheal foreign bodies or with mild symptoms is rare 24, although some similar cases have been reported 5,24,26,30. With this in mind, the importance of having a complete medical history and a judicious physical examination to focus the diagnosis and treatment in an appropriate way is emphasized 31-33. Up to 40% of foreign body intake cases are not witnessed by an adult and, many times, children may remain asymptomatic. In this sense, this diagnosis is difficult, so up to 30% of patients are diagnosed only 6 months after the onset of the symptoms 18.

This case contrasts with literature reports, since patients with a history of cramping and subsequent FB diagnosis presented symptoms of paroxysmal cough 34, decreased respiratory sounds to unilateral or bilateral auscultation, wheezing and rales in up to 83.8% of cases. Only 4% presented cough as the only sign 18,29,35,36. Thus, knowing the value of clinical findings in relation to the suspicion of this pathology is important.

According to the evidence, the four most important specific criteria are 33,37-39: clinical history (S:90.5%, E:24.1%), symptoms (S:97.8%, E:7.4%), findings on physical examination (S:96.4%, E:46.3%), and radiological findings. The latter are important since they are low-cost diagnostic aids with acceptable performance (S: 71.7%, E: 74.1%) 29,40,41, and are also useful for early diagnosis of foreign body intake and high risk cases with acute complications such as flat batteries 42. In case of doubt, fiberoptic bronchoscopy is the diagnostic and therapeutic gold standard for suspected foreign body aspiration, and should be performed when available 21,35,43,44. Moreover, some studies have shown that axial tomography matches the level of performance of bronchoscopy, although it is not therapeutic 39,45.

In addition to early diagnosis, the physician should contribute to and promote the development of primary and secondary prevention programs in relation to FB intake in children, given its relatively high incidence and morbidity and mortality. Also, prevention strategies need to include education for parents, caregivers and the general population.

Finally, some strategic guidelines should include preventing children from eating, playing or crying with objects in their mouths; avoiding toys and small objects that are easily dismantled and can be sucked in; not administering food that contains seeds or nuts to children under 4-5 years; and teaching children to chew slowly, properly and not to talk or laugh during food intake 27.

Conclusions

A FB should be suspected in the presence of a chronic stridor accompanied by episodes of exacerbation that are difficult to manage, even if there is no evidence of a choking event in the medical history. A differential diagnosis in a child with stridor is highly suggested regardless of its time of evolution, for which an in-depth study including endoscopy is necessary, if the suspicion of a foreign body persists.

Clinical history and physical examination are the most important tools for the study of FB intake in pediatric patients, and should be complemented with diagnostic imaging aids.

The delay of diagnosis and treatment is directly proportional to the presence of serious complications that can compromise the patient's life, therefore, early diagnosis is very important. Likewise, physicians should implement childcare education strategies to reduce the incidence of aspiration and foreign body intake events.

Acknowledgements

Acknowledgment

None stated by the authors.

References

  1. 1. Ortiz MA, Navia LA, González C. Caracterización de los pacientes pediátricos con ingestión de cuerpo extraño que ingresaron al servicio de urgencias de una institución de cuarto nivel. Pediatría. 2015;48(2):55-60. 🠔
  2. 2. Wright CC, Closson FT. Updates in pediatric gastrointestinal foreign bodies. Pediatr Clin North Am. 2013;60(5):1221-39. http://doi.org/b5r3. [URL] 🠔
  3. 3. Pfleger A, Eber E. Assessment and causes of stridor. Paediatr Respir Rev. 2016;18:64-72. http://doi.org/f8g2mf. [URL] 🠔
  4. 4. Leung AK, Cho H. Diagnosis of stridor in children. Am Fam Physician. 1999 [cited 2017 Apr 14];60(8):2289-96. Available from: Available from: https://goo.gl/JreqmF . [URL] 🠔
  5. 5. Mathiasen RA, Cruz RM. Asymptomatic near-total airway obstruction by a cylindrical tracheal foreign body. Laryngoscope. 2005;115(2):274-7. http://doi.org/bqr759. [URL] 🠔
  6. 6. Contreras EI, Rosa GG, Navarro MH, Bertrand NP, Cuevas PM, Sánchez DI, et al. Estridor en el paciente pediátrico: Estudio descriptivo. Rev Chilpediatría. 2004;75(3):247-53. http://doi.org/dzczkj. [URL] 🠔
  7. 7. Spencer S, Yeoh B, Van Aperen PP, Fitzgerald DA. Biphasic stridor in infancy. Med J Aust. 2004 [cited 2017 Apr 14];180(7):347-9. Available from: Available from: https://goo.gl/9yWy89 . [URL] 🠔
  8. 8. Jayachandra S, Eslick GD. A systematic review of paediatric foreign body ingestion: presentation, complications, and management. Int J Pediatr Otorhinolaryngol. 2013;77(3):311-7. http://doi.org/f2w3jt. [URL] 🠔
  9. 9. Lowe DA, Vásquez R, Maniaci V. Foreign Body Aspiration in Children. Clin Pediatr Emerg Med. 2015;16(3):140-8. http://doi.org/b5r4. [URL] 🠔
  10. 10. Santillanes G, Gausche-Hill M. Pediatric airway management. Emerg Med Clin North Am. 2008;26(4):961-75,ix. http://doi.org/fsqdw5. [URL] 🠔
  11. 11. Sung SH, Jeon SW, Son HS, Kim SK, Jung MK, Cho CM, et al. Factors predictive of risk for complications in patients with oesophageal foreign bodies. Dig Liver Dis. 2011;43(8):632-5. http://doi.org/fn7j44. [URL] 🠔
  12. 12. Gregori D, Scarinzi C, Morra B, Salerni L, Berchialla P, Snidero S, et al. Ingested foreign bodies causing complications and requiring hos-pitalization in European children: results from the ESFBI study. Pediatr Int. 2010;52(1):26-32. http://doi.org/b6b3mk. [URL] 🠔
  13. 13. Peters NJ, Mahajan JK, Bawa M, Chabbra A, Garg R, Rao KLN. Esophageal perforations due to foreign body impaction in children. J Pediatr Surg. 2015;50(8):1260-3. http://doi.org/f7prw7. [URL] 🠔
  14. 14. Cevik M, Gókdemr MT, Boleken ME, Sogut O, Kurkcuoglu C. The characteristics and outcomes of foreign body ingestion and aspiration in children due to lodged foreign body in the aerodigestive tract. Pediatr Emerg Care. 2013;29(1):53-7. http://doi.org/b5r5. [URL] 🠔
  15. 15. Wilton N, Lee C, Doyle E. Developmental anatomy of the airway. Anaesth Intensive Care Med. 2015;16(12):611-5. http://doi.org/b5r6. [URL] 🠔
  16. 16. Tahir N, Ramsden WH, Stringer MD. Tracheobronchial anatomy and the distribution of inhaled foreign bodies in children. Eur J Pediatr. 2009;168(3):289-95. http://doi.org/ddg4pq. [URL] 🠔
  17. 17. Srivastava G. Airway Foreign Bodies in Children. Clin Pediatr Emerg Med. 2010;11(2):67-72. http://doi.org/fntsb8. [URL] 🠔
  18. 18. Gang W, Zhengxia P, Hongbo L, Yonggang L, Jiangtao D, Shengde W, et al. Diagnosis and treatment of tracheobronchial foreign bodies in 1024 children. J Pediatr Surg. 2012;47(11):2004-10. http://doi.org/f4gcvq. [URL] 🠔
  19. 19. Louie MC, Bradin S. Foreign body ingestion and aspiration. Pediatr Rev. 2009;30(8):295-301, quiz 301. http://doi.org/bf439v. [URL] 🠔
  20. 20. Venkatesan NN, Pine HS, Underbrink M. Laryngopharyngeal reflux disease in children. Pediatr Clin North Am. 2013;60(4):865-78. http://doi.org/f49rxw. [URL] 🠔
  21. 21. Rodríguez H, Passali GC, Gregori D, Chinski A, Tiscornia C, Botto H, et al. Management of foreign bodies in the airway and oesophagus. Int J Pediatr Otorhinolaryngol. 2012;76(Suppl 1):S84-91. 🠔
  22. 22. Uyemura MC. Foreign body ingestion in children. Am Fam Physician. 2005 [cited 2017 Apr 14];72(2):287-91. Available from: Available from: https://goo.gl/BJt8sR . [URL] 🠔
  23. 23. Willett LL, Barney J, Saylors G, Dransfield M. An unusual cause of chronic cough. Foreign body aspiration. J Gen Intern Med. 2006;21(2):C1-3. http://doi.org/fn954b. [URL] 🠔
  24. 24. Banjar AA, Al-Shamani MR, Al-Harbi J. Long standing tracheal foreign body in children: A case report. Egyptian Journal of Ear, Nose, Throat andAllied Sciences. 2014;15(1):57-9. http://doi.org/b5r8. [URL] 🠔
  25. 25. Rai S, Kashyap M, Bakshi K. Foreign body aspiration masquerading as difficult asthma. Lung India. 2007;24(1):25. http://doi.org/d2fvnq. [URL] 🠔
  26. 26. Swain SK, Panigrahi R, Mishra S, Sundaray C, Sahu MC. An unusual long standing tracheal foreign body-A rare incidence. Egyptian Journal of Ear, Nose, Throat and Allied Sciences. 2015;16(1):91-3. http://doi.org/b5r9. [URL] 🠔
  27. 27. Murua JK, Prado OS. Cuerpos extraños en la vía respiratoria. En: Protocolos de Urgencias Pediátricas. 2nd ed. Madrid: Ergón, S.A.; 2012. [Cited 2017 Apr 14]. Available from: Available from: https://goo.gl/5JOsA . [URL] 🠔
  28. 28. Koempel JA, Holinger LD. Foreign bodies of the upper aerodigestive tract. Indian J Pediatr. 1997;64(6):763-9. http://doi.org/cprkbk. [URL] 🠔
  29. 29. Orji FT, Akpeh JO. Tracheobronchial foreign body aspiration in children: how reliable are clinical and radiological signs in the diagnosis? Clin Otolaryngol. 2010;35(6):479-85. http://doi.org/bw2f2m. [URL] 🠔
  30. 30. Davis SJ, Madden G, Carapiet D, Nixon M, Dennis S, Pringle M. Delayed presentation of paediatric tracheal foreign body. Eur Arch Otorhinolaryngol. 2007;264(7):833-5. http://doi.org/d82j24. [URL] 🠔
  31. 31. Saquib Mallick M, Rauf Khan A, Al-Bassam A. Late presentation of tracheobronchial foreign body aspiration in children. J Trop Pediatr. 2005;51(3):145-8. http://doi.org/cggmdt. [URL] 🠔
  32. 32. Lalani SB. Foreign body aspiration: a life-threatening situation. J PeriA- nesthesia Nurs. 2015;30(1):50-3. http://doi.org/f8mck3. [URL] 🠔
  33. 33. Kiyan G, Gocmen B, Tugtepe H, Karakoc F, Dagli E, Dagli TE. Foreign body aspiration in children: The value of diagnostic criteria. Int J Pediatr Otorhinolaryngol. 2009;73(7):963-7. http://doi.org/drtmrs. [URL] 🠔
  34. 34. Paquette R. A persistent cough related to aspiration of a nonradiopaque bone. JAAPA. 2014;27(5):1-3. http://doi.org/b5sb. [URL] 🠔
  35. 35. Hitter A, Hullo E, Durand C, Righini CA. Diagnostic value of various investigations in children with suspected foreign body aspiration: review. Eur Ann Otorhinolaryngol Head Neck Dis. 2011;128(5):248-52. http://doi.org/cmgx5f. [URL] 🠔
  36. 36. Kantar A, Bernardini R, Paravati F, Minasi D, Sacco O. Chronic cough in preschool children. Early Hum Dev. 2013;89(Suppl 3):S19-24. http://doi.org/f5j7gh. [URL] 🠔
  37. 37. Alvarado U, Palacios JM, Shalkow J, León A, Chávez EP, Vázquez VM. Cuerpos extraños alojados en las vías aérea y digestiva. Diagnóstico y tratamiento. Acta Pediatr Mex. 2011;32(2):93-100. 🠔
  38. 38. Nieto JO, Castrillón ME. Cuerpos extraños en tracto gastrointestinal en niños. Rev Col Gastroenterol. 2008;23(3):233-8. 🠔
  39. 39. Tokar B, Ozkan R, Ilhan H. Tracheobronchial foreign bodies in children: importance of accurate history and plain chest radiography in delayed presentation. Clin Radiol. 2004 [cited 2017 Apr 14];59(7):609-15. http://doi.org/d4vd8b . [URL] 🠔
  40. 40. Bittencourt PF, Camargos PA, Scheinmann P, de Blic J. Foreign body aspiration: clinical, radiological findings and factors associated with its late removal. Int J Pediatr Otorhinolaryngol. 2006;70(5):879-84. http://doi.org/bcq625. [URL] 🠔
  41. 41. Heyer CM, Bollmeier ME, Rossler L, Nuesslein TG, Stephan V, Bauer TT, et al. Evaluation of clinical, radiologic, and laboratory prebronchos-copy findings in children with suspected foreign body aspiration. J Pediatr Surg. 2006;41(11):1882-8. http://doi.org/dkgk4g. [URL] 🠔
  42. 42. Peters NJ, Mahajan JK, Bawa M, Chabbra A, Garg R, Rao KL. Esophageal perforations due to foreign body impaction in children. J Pediatr Surg. 2015;50(8):1260-3. http://doi.org/f7prw7. [URL] 🠔
  43. 43. Hedge SV, Hui PK, Lee EY. Tracheobronchial Foreign Bodies in Children: Imaging Assessment. Semin UltrasoundCTMR. 2015;36(1):8-20. http://doi.org/f65v96. [URL] 🠔
  44. 44. Riedel F, Hormann K. [Management after a delayed diagnosis of foreign body aspiration]. HNO. 2004;52(12):1088-90. http://doi.org/frrdn8. [URL] 🠔
  45. 45. Manach Y, Pierrot S, Couloigner V, Ayari-Khalfallah S, Nicollas R, Venail F, et al. Diagnostic performance of multidetector computed tomography for foreign body aspiration in children. Int J Pediatr Otor-hinolaryngol. 2013;77(5):808-12. http://doi.org/f2w3x2. [URL] 🠔
Uribe-Parra JD, Lozano-Triana CJ, López-Cadena AF, Landínez-Millán G. Rare chronic stridor: Case report and literature review. Rev. Fac. Med. 2017;65(3):531-5. English. doi: http://dx.doi.org/10.15446/revfacmed.v65n3.56010.
Uribe-Parra JD, Lozano-Triana CJ, López-Cadena AF, Landínez-Millán G. [Estridor de extraña duración: reporte de caso y revisión]. Rev. Fac. Med. 2017;65(3):531-5. English. doi: http://dx.doi.org/10.15446/revfacmed.v65n3.56010.
None stated by the authors.