Revista de la Facultad de Medicina
0120-0011
Universidad Nacional de Colombia
https://doi.org/10.15446/revfacmed.v66n1.56914

Recibido: 8 de abril de 2016; Aceptado: 1 de febrero de 2017

Neurofibroma del hipogloso en un niño colombiano. Reporte de caso

Hypoglossal neurofibroma in a Colombian child: case report

F. Niño-Nuvan, 12*P. Gómez-Rueda, 12C. Lozano-Triana, 12E. Quintero, 3

Universidad Nacional de Colombia - Sede Bogotá - Facultad de Medicina -Departamento Pediatría - Bogotá D.C. - Colombia. Universidad Nacional de Colombia Universidad Nacional de Colombia Facultad de Medicina Departamento Pediatría Bogotá D.C Colombia
Fundación Hospital Pediátrico de La Misericordia - Servicio de Hospitalización de Pediatría - Bogotá D.C. - Colombia. Fundación Hospital Pediátrico de La Misericordia Bogotá D.C Colombia
Fundación Hospital de La Misericordia - Servicio de Patología - Bogotá D.C. - Colombia. Fundación Hospital de La Misericordia Bogotá D.C Colombia

Correspondencia: Fabián Camilo Niño-Nuván. Departamento de Pediatría, Fundación Hospital de La Misericordia. Avenida Caracas No. 1-13, piso 4. Teléfono: +57 1 3373824. Bogotá D.C. Colombia. Correo electrónico: fcninon@unal.edu.co.

Resumen

Se presenta el caso de un paciente masculino de 14 años de edad, con antecedente de dos intervenciones quirúrgicas debidas a la presencia de una masa a nivel sublingual -la primera a los 8 meses de edad y la segunda a los 13 años- y sin información de estudios histopatológicos. Cerca de 8 meses después de la última intervención quirúrgica es valorado por el Servicio de Cirugía Maxilofacial de la Fundación Hospital Pediátrico de La Misericordia en Bogotá D.C., Colombia, por crecimiento acelerado de la misma lesión y por problemas en la deglución y el lenguaje. En la revisión del paciente se encuentra una masa importante sublingual, dificultad en el lenguaje, deformidad mandibular y alteraciones en la mordida, por lo que se decide intervenir quirúrgicamente de nuevo. El resultado de la biopsia es un tumor mesenquimal benigno característico de neurofibroma, que por su ubicación sugiere probable compromiso del nervio hipogloso.

Palabras clave:

Neurofibroma, Nervio hipogloso, Neoplasia (DeCS).

Abstract

This article presents the case of a 14-year-old male patient, with a history of two surgical procedures due to the presence of a mass at sublingual level -the first performed at the age of 8 months and the second at 13 the age of years- and without information of histopathological studies. About 8 months after the last surgical procedure, the patient was assessed by the Maxillofacial Surgery Service of the Fundación Hospital Pediátrico de La Misericordia, in Bogotá D.C. - Colombia, due to the rapid growth of the same lesion and swallowing and language disorders. On physical examination, a significant sublingual mass, difficulty in language, mandibular deformity and malocclusion were observed, so a new surgical intervention was indicated. The result of the biopsy revealed a benign mesenchymal tumor, typically seen in neurofibroma, which suggested a possible involvement of the hypoglossal nerve due to its location.

Keywords:

Neurofibroma, Hypoglossal nerve, Neoplasia (MeSH).

Introducción

Los neurofibromas son tumores neurogénicos raros de comportamiento benigno y crecimiento lento que resultan de la proliferación de fibroblastos perineurales, células de Schwann y neuritas. Histológicamente se diferencian por la presencia de células fusiformes con núcleos alargados y extremos puntiagudos, los cuales se encuentran dentro de un estroma de tejido conectivo laxo con fibras de colágeno y ocasionales fibras nerviosas; también se acompañan de células inflamatorias y mastocitos 1.

Un neurofibroma solitario esporádico en la cavidad oral es un hallazgo clínico inusual, ya que en la literatura hay pocos casos registrados y los reportes encontrados, en su mayoría, se asocian a neurofibromatosis 2-4. Cuando se ubican en el piso de la lengua, es difícil determinar el nervio comprometido; sin embargo, en la presente publicación se reporta un neurofibroma del hipogloso que clínicamente se expresó como una masa sublingual. La resección quirúrgica completa de la neoplasia y su estudio histopatológico e inmunohistoquímico son fundamentales para el diagnóstico y tratamiento final.

Presentación del caso

Al servicio de Medicina Interna de la Fundación Hospital Pediátrico de La Misericordia en Bogotá D. C., Colombia, ingresa un paciente masculino de 14 años de edad procedente de salas de cirugía, donde se le practicó la tercera resección de una masa sublingual por parte de cirugía maxilofacial. La historia clínica hace referencia a una masa sublingual persistente desde el nacimiento, la cual había sido resecada quirúrgicamente en dos ocasiones: a los 8 meses de edad y 8 meses antes de la presente hospitalización. Luego de la segunda intervención quirúrgica, la masa aumentó de tamaño con rapidez, ocasionando dificultad en la deglución y en el lenguaje.

Al examen físico de ingreso se encontró una masa en el piso de la boca de 8cm de diámetro de color rojizo similar al de la mucosa oral, no sangrante, sin secreciones y de consistencia cauchosa; además, desde su cuerpo se proyectaba una lesión pediculada de 1x2cm de diámetro de color amarillento. El conducto de Wharton era permeable, Mallampati IV. El rostro del paciente presentaba deformidad en el tamaño del arco inferior de la mandíbula, con mordida cruzada posterior y mordida borde a borde. La impresión diagnóstica inicial fue tumor de glándula salival, por lo cual se solicitaron estudios imagenológicos, paraclínicos prequirúrigicos y autorización para nueva resección de la masa.

La resonancia magnética nuclear (RMN) de cuello mostró una masa bien definida de 4x5cm de diámetro en el piso del maxilar inferior, hiperintensa en T2 y similar al tejido graso; los espacios parafaríngeo, faringomucoso, amigdalino, parotideo y vascular se encontraban libres de masas o conglomerados ganglionares. La tomografía computarizada de cuello evidenció una masa sobre el músculo milohioideo que desplazaba la lengua hacia posterior; además, se realizó una ecografía y un angiotac, este último reportó una lesión circunscrita de 5x4cm por encima del musculo milohoideo con desplazamiento de la lengua que se relaciona con arterias linguales, en especial la izquierda con mayor dilatación y volumen.

Por último, el paciente se llevó a cirugía en febrero de 2015, donde se resecó la totalidad de la masa desmoide. El joven requirió de monitoreo en la unidad de cuidado intensivo pediátrico y fue manejado con antibiótico, analgesia, corticoides y nutrición enteral por sonda nasogástrica; continuó el monitoreo en la unidad de cuidado intermedio con adecuada evolución y todos los paraclínicos fueron normales; luego fue trasladado al servicio de medicina interna, donde como único suceso postquirúrgico presentó una pequeña colección de líquido en el sitio de la operación, la cual cedió de manera espontánea con los cuidados médicos, por lo demás el paciente tuvo una evolución favorable y satisfactoria.

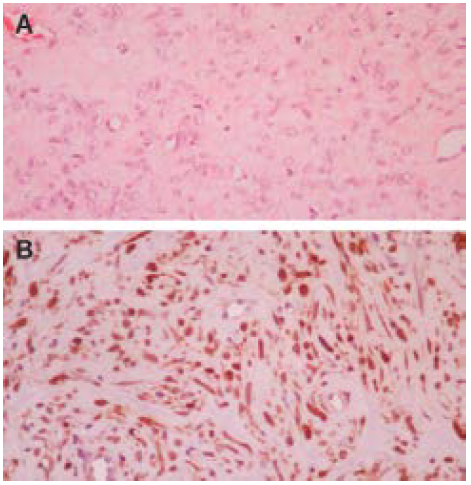
Al final de la hospitalización, el reporte de patología de la masa resecada fue tumor mesenquimal benigno; por histopatología e inmunohistoquímica se diagnosticó neurofibroma positivo para s 100 y cd 34, como se aprecia en la figura 1. El paciente no presentaba otras masas ni lesiones características de neurofibromatosis, por lo tanto no se ampliaron estudios y fue dado de alta con controles ambulatorios de cirugía maxilofacial y recomendaciones de ejercicios linguales para mejorar el tono de la musculatura lingual y facial.

Imágenes de estudio patológico de la lesión del paciente.

Figura 1: Imágenes de estudio patológico de la lesión del paciente.

Fuente: Documento obtenido durante la realización del estudio.

Discusión

Los tumores de la vaina del nervio (TNS) son neoplasias infrecuentes que se derivan de las células de Schwann y perineurales del sistema nervioso periférico. Dentro de la categoría de tumores benignos de la vaina nerviosa se incluyen schwannoma, neurofibroma, perineurioma, nuerotecoma y tumores híbridos. Los tumores malignos son poco frecuentes y constituyen cerca del 6% de estas neoplasias 5,6.

En el caso presentado, el TNS derivó del par craneal XII (hipogloso) en la base de la lengua. El nervio hipogloso (enteramente motor) está formado por raíces nerviosas que emergen del núcleo hipogloso en el bulbo raquídeo y convergen en el surco ventrolateral (entre la pirámide y la oliva) para formar el nervio; este abandona el cráneo a través del foramen hipogloso en la fosa craneal posterior y se dirige de forma latero-inferior hasta situarse entre la arteria carótida y vena yugular interna. A continuación, el nervio transcurre por encima del cuerno mayor del hueso hioides y sigue su trayecto por la cara lateral del músculo hiogloso, músculo digástrico, músculo estilohioideo y borde posterior libre del milohioideo. Por último, se dirige hacia adelante sobre la cara lateral del músculo geniogloso y se divide para inervar los músculos blanco (músculos intrínsecos y extrínsecos de la lengua, a excepción del palatogloso -nervio vago-) 7.

Los pacientes con TNS consultan por síntomas y signos causados por el efecto de masa de la lesión, por compromiso del tejido circundante (dolor local) o por invasión directa del nervio (signos neurológicos sensoriomotores). Al examen físico, estos tumores tienden a ser masas móviles y perpendiculares al eje del nervio, pero fijos a este 8. Por tradición, en la literatura se ha mencionado que los neurofibromas de la lengua se manifiestan con macroglosia, crecimiento de las papilas fusiformes, odinofagia, disfagia, disfonía, otalgia, protrusión y alteración en la movilidad de la lengua 2,9; sin embargo, en otros reportes solo se manifiestan como masas de crecimiento lento, no dolorosas y sin alteración motora 10,11. Algunos de estos síntomas estaban presentes en el caso aquí reportado, siendo el más importante el crecimiento progresivo sublingual.

Los neurofibromas, a diferencia de los schwannomas, no solo crecen de las células de Schwann; estos están compuestos por una mezcla de células que incluye las perineurales, las de Schwann y los fibroblastos, intercaladas con fibras nerviosas, hebras de colágeno y matriz mixoide 12. En general, los neurofibromas son lesiones focales, bien definidas, de crecimiento lento, no encapsuladas y que comprometen las raíces, los troncos o los plexos nerviosos 13. En la cavidad oral, la mayoría de tumores se asocian con neurofibromatosis; sin embargo, algunos casos esporádicos se han reportado en lengua, mucosa oral, labios, paladar, glándula parótida y hueso mandibular, sin mencionar el nervio de procedencia 10.

El caso reportado no tenía manifestaciones de neuromatosis en otros sitos del cuerpo, por tal razón no se ampliaron estudios al respecto. La neurofibromatosis es una enfermedad congénita, típicamente dividida en tres tipos clínicos y genéticamente diferentes: neurofibromatosis 1 y 2 (NF1 y NF2) y schwannomatosis.

La NF1 (enfermedad de von Recklinghausen), descubierta en 1982, es el tipo más común. Es una enfermedad autosómica dominante que afecta a 1 de cada 2 500-3 000 personas en el mundo 14 y se caracteriza por seis o más máculas color café con leche en el cuerpo que aparecen en el primer año después del nacimiento 15,16 -al igual que las lesiones óseas si están presentes-, pecas inguinales o axilares que aparecen de los 3 a los 5 años de vida 15 -al igual que el glioma óptico-, nódulos de Lisch -hamartomas pigmentarios en el iris que no afectan la visión y <10% de los niños los presentan- 17 o dos o más tumores benignos o malignos. Los neurofibromas bajo la piel, a lo largo de los nervios periféricos y de las raíces nerviosas adyacentes a la columna vertebral, son el tipo de tumor benigno más frecuente. A diferencia de esta entidad, en la NF 2 los schwannomas vestibulares bilaterales son los TNS que prevalecen.

Dentro de la literatura se ha documentado la relación entre la NF1 y los neurofibromas orales y periorales en el 4-7% de los casos. Los tumores en la NF casi siempre se encuentran en la lengua, pero otras regiones orales incluyen paladar, vestíbulo, mucosa bucal, labios, encías y el piso de la boca 18. En el caso de este paciente, además de la presencia de un neurofibroma en cavidad oral, no se cumplían otros criterios de NF, por lo que se consideró un neurofibroma solitario esporádico que además, por el sitio donde se ubicó, era probable que el nervio comprometido fuera el hipogloso.

Los estudios de extensión en caso de sospecha de un TNS tienen como objetivo determinar el tipo y la ubicación, por lo que incluyen estudios de imágenes y patología. La RMN es la modalidad más útil, ya que permite determinar si la masa es extrínseca o intrínseca al nervio y si hay compromiso de estructuras adyacentes; en T1 el neurofibroma mostró una intensidad de señal baja y en T2 fue hiperintenso con una región hipointensa central característica (colágeno y tejido fibroso) 12.

La biopsia debe ser realizada por un patólogo con experiencia en tumores de nervio, ya que la diferenciación entre el neurofibroma y el schwannoma es clave (el primero puede sufrir transformación maligna, mientras que el segundo no lo hace) y la determinación de malignidad puede ser difícil 8. La inmunohistoquímica suele apoyar el diagnóstico con marcadores como la proteína S100, la cual está presente en los TNS y el no aparecer hace pensar en otras posibilidades diagnósticas. Otro marcador es el CD34, que típicamente aparece en los neurofibromas porque contienen componentes adicionales celulares (fibroblastos y células perineurales) que son responsables de la positividad de dicho marcador. En el caso presentado, estos fueron los marcadores utilizados para dar el diagnóstico definitivo, pero otros marcadores útiles son la calretinina y el CD56 (negativos en neurofibroma y positivos en schwannoma) y el Factor XIIIa (positivo en neurofibroma y negativo en schwannoma) 19.

La desfiguración, el sangrado, el dolor, el déficit neurológico, la ubicación y la sospecha de malignidad son las principales indicaciones para la extirpación quirúrgica. En el caso de tumores benignos, la resección total de la lesión busca eliminar la posibilidad de recurrencia tumoral y la remisión de la sintomatología clínica; sin embargo, en ocasiones puede ser imposible dada la ubicación y el entrelazamiento con las fibras nerviosas 20.

El paciente presentaba desfiguración facial debido a la presencia de la masa en cavidad oral desde el nacimiento; por la persistencia de esta lesión, a pesar de dos intervenciones quirúrgicas y la velocidad de su crecimiento, en principio se sospechó que se trataba de una masa maligna, lo cual se descartó por patología.

Los pacientes con neurofibromas y schwannomas esporádicos que por lo general se dan posterior a la cirugía permanecen libres de enfermedad y pueden mantener un nivel de funcionamiento neurológico adecuado, aunque el déficit preoperatorio no se revierte. Los tumores que han sido sometidos a resección subtotal tienen la capacidad de regenerarse a través del tiempo 21, que es lo que pudo haber sucedido en este paciente, por tal razón él debe continuar en controles por consulta externa de la especialidad con vigilancia de los signos de recurrencia de la lesión.

Conclusiones

Como conclusiones de este caso, se quiere anotar que no es común encontrar esta patología en la cavidad oral, pero se debe tener en cuenta su existencia. También se insiste que a toda masa resecada se le debe realizar un estudio histopatológico, pues las masas benignas no siempre tienen un comportamiento igual, además los diagnósticos diferenciales siempre se deben tener en cuenta antes de establecer un tratamiento definitivo. Por el sitio en que se ubicó la masa, esta se puede confundir fácilmente con otras patologías como la ránula, pero su comportamiento la hace distinta, por eso el interés de publicar este caso para que se piense en la posibilidad de la neurofibromatosis en la cavidad oral.

El compromiso social, afectivo e incluso del neurodesarrollo que genera este tipo de lesiones cuando afectan órganos vitales de la comunicación y del lenguaje hace necesario establecer un manejo integral entre especialidades como fonoaudiología, terapia de lenguaje, rehabilitación física, psicología, neuropediatría, pediatría y cirugía maxilofacial. Por último, los pacientes con este tipo de patología deben estar en un plan de seguimiento médico por la posibilidad de recurrencia de la lesión.

Acknowledgements

Agradecimientos

A la Fundación Hospital Pediátrico La Misericordia, al Dr. Guillermo Landínez Millán y a los estudiantes de Medicina de la Universidad Nacional de Colombia Andrés Felipe Díaz Castillo y Cristian Andrés Benites Barrera por sus aportes en la recolección de la información y búsqueda de la bibliografía.

Referencias

  1. 1. Katz AD, McAlpin C. Face and Neck Neurogenic Neoplasms. Am J Surg. 1993; 166(4):421-3. http://doi.org/bg3v9g. [URL] 🠔
  2. 2. Sahota JS, Viswanathan A, Nayak DR, Hazarika P. Giant Neurofibroma of the Tongue. Int JPediatr Otorhinolaryngol. 1996; 34(1-2):153-7. http://doi.org/bcsh58. [URL] 🠔
  3. 3. Shapiro SD, Abramovich K, Van Dis ML, Skoczylas LJ, I anglais RP, Jorgenson RJ et al. Neurofibromatosis: oral and radiographic manifestations. Oral Surg Oral Med Oral Pathol. 1984; 58(4):493-8. 🠔
  4. 4. Baden E, Jones JR, Khedekar R, Burns WA. Neurofibromatosis of the tongue: a light and electron microscopic study with review of the literature from 1849 to 1981. J Oral Med. 1984; 39(3):157-64. 🠔
  5. 5. el-Mahdy W, Kane PJ, Powell MP, Crockard HA. Spinal Intradural Tumours: Part I--Extramedullary. Br J Neurosurg. 1999; 13(6); 550-7. http://doi.org/czvj39. [URL] 🠔
  6. 6. Skovronsky DM, Oberholtzer JC. Pathologic Classification of Peripheral Nerve Tumors. Neurosurg Clin N Am. 2004; 15(2):157-66. http://doi.org/ch2csp. [URL] 🠔
  7. 7. Wilson-Pauwels L, Akesson EJ, Stewart PA, Spacey SD. Nervios Craneales: En la Salud y la Enfermedad. Buenos Aires. Editorial Médica Panamericana. 2nd Edition; 2006. 🠔
  8. 8. Baehring JM, Betensky RA, Batchelor TT. Malignant Peripheral Nerve Sheath Tumor: The Clinical Spectrum and Outcome of Treatment. Neurology. 2003; 61(5):696-8. 🠔
  9. 9. Patel V, McGurk M. Unusual Presentation of a Hypoglossal Nerve Neurofibroma. Oral Surgery. 2009; 2(4):171-173. http://doi.org/cwxnqc. [URL] 🠔
  10. 10. Lin IC, Chiu YW, Lui MT, Kao SY, Chen YW. Solitary Diffuse Neurofibroma of Tongue. A Case Report. Taiwan J Oral Maxillofac Surg. 2012; 23:187-96. 🠔
  11. 11. Friedman L, Eisenberg AA. Neurofibroma of the Hypoglossal Nerve. Ann Surg. 1935; 101(3):834-8. 🠔
  12. 12. Pilavaki M, Chourmouzi D, Kiziridou A, Skordalaki A, Zarampoukas T, Drevelengas A. Imaging of Peripheral Nerve Sheath Tumors With Pathologic Correlation: Pictorial Review. Eur J Radiol. 2004; 52(3):229-39. http://doi.org/bspfpc. [URL] 🠔
  13. 13. Mrugala MM, Batchelor TT, Plotkin SR. Peripheral and Cranial Nerve Sheath Tumors. Curr Opin Neurol. 2005; 18(5):604-10. 🠔
  14. 14. Lammert M, Friedman JM, Kluwe L, Mautner VF. Prevalence of Neu-rofibromatosis 1 in German Children at Elementary School Enrollment. Arch Dermatol. 2005; 141(1):71-4. http://doi.org/dmmfnt. [URL] 🠔
  15. 15. Korf BR. Diagnostic Outcome in Children With Multiple Café au Lait Spots. Pediatrics. 1992; 90(6):924-7. 🠔
  16. 16. Nunley K, Gao F, Albers AC, Bayliss SJ, Gutmann DH. Predictive Value of Café au Lait Macules at Initial Consultation in the Diagnosis of Neurofibromatosis Type 1. Arch Dermatol. 2009; 145(8):883-7. http://doi.org/cnsk2x. [URL] 🠔
  17. 17. Lewis RA, Riccardi VM. Von Recklinghausen Neurofibromatosis. Incidence of Iris Hamartoma. Ophthalmology. 1981; 88(4):348-54. http://doi.org/cfvx. [URL] 🠔
  18. 18. Javed F, Ramalingam S, Ahmed HB, Gupta B, Sundar C, Qadri T, et al. Oral Manifestations in Patients With Neurofibromatosis Type-1: a Comprehensive Literature Review. Crit. Rev Oncol Hematol. 2014; 91(2):123-9. http://doi.org/f25d4t. [URL] 🠔
  19. 19. Miller RT. Immunohistochemistry in the Differential Diagnosis of Schwannoma and Neurofibroma. ProPath; 2004 [cited 2017 Nov 1]. Available from: Available from: https://goo.gl/KT9dDT . [URL] 🠔
  20. 20. Golan JD, Jacques L. Nonneoplastic Peripheral Nerve Tumors. Neurosurg Clin N Am. 2004;15(2):223-30. http://doi.org/cx8nqz. [URL] 🠔
  21. 21. Laufer I, Bilsky M. Intradural Nerve Sheath Tumors. UpToDate: 2013. 🠔
Neurofibroma del hipogloso en un niño colombiano. Reporte de caso. Rev. Fac. Med. 2018;66(1):125-8. Spanish. doi: http://dx.doi.org/10.15446/revfacmed.v66n1.56914.
[Hypoglossal neurofibroma in a Colombian child: case report and review]. Rev. Fac. Med. 2018;66(1):125-8. Spanish. doi: http://dx.doi.org/10.15446/revfacmed.v66n1.56914.
Ninguno declarado por los autores
Ninguna declarada por los autores