Revista de la Facultad de Medicina
0120-0011
Universidad Nacional de Colombia
https://doi.org/10.15446/revfacmed.v65n2.57974

Recibido: 9 de junio de 2016; Aceptado: 3 de octubre de 2016

Pseudotumor inflamatorio de Pott: una complicación olvidada y peligrosa de la sinusitis

Pott's puffy pseudotumor: a forgotten and dangerous complication of sinusitis

L. Moreno, 1R. Montoya, 1G. Parra, 2*G. Marrugo, 3

Universidad Nacional de Colombia - Sede Bogotá - Facultad de Medicina - Departamento de Imágenes Diagnósticas - Bogotá D.C. - Colombia. Universidad Nacional de Colombia Universidad Nacional de Colombia Facultad de Medicina Departamento de Imágenes Diagnósticas Bogotá D.C Colombia
Universidad Nacional de Colombia - Sede Bogotá - Facultad de Medicina - Bogotá D.C. - Colombia. Universidad Nacional de Colombia Universidad Nacional de Colombia Facultad de Medicina Bogotá D.C Colombia
Universidad Nacional de Colombia - Sede Bogotá - Faculta de Medicina -Departamento de Cirugía - Bogotá D.C. - Colombia. Universidad Nacional de Colombia Universidad Nacional de Colombia Faculta de Medicina Departamento de Cirugía Bogotá D.C Colombia

Correspondencia: Gerhard Misael Acero de la Parra. Facultad de Medicina, Universidad Nacional de Colombia. Carrera 30 No. 45-03, edificio 471. Teléfono: +57 1 3165000, ext.: 15109. Bogotá D.C. Colombia. Correo electrónico: gmacerop@unal.edu.co.

Ninguno declarado por los autores.

Resumen

El pseudotumor inflamatorio de Pott es una de las posibles complicaciones de la sinusitis. En la literatura existen pocos casos reportados de esta entidad, pero el presente artículo expone cuatro casos con el propósito de concientizar al grupo médico sobre la existencia de esta enfermedad y cómo su manejo temprano puede prevenir complicaciones severas.

Palabras clave:

Sinusitis, Celulitis, Absceso encefálico, Radiología, Otorrinolaringología (DeCS).

Abstract

Pott's puffy pseudotumor is one of the possible complications of sinusitis. The literature reports few cases related to this entity; however, this article presents a series of four cases to raise awareness among the medical group of the existence of this disease, and how timely management can prevent severe complications.

Keywords:

Pott Puffy Tumor, Brain Abscess, Frontal Sinusitis, Radiology (MeSH).

Introducción

El pseudotumor inflamatorio de Pott fue descrito por primera vez por Percival Pott en 1760, secundario a trauma craneoencefálico, y más adelante se observó su mayor prevalencia en el contexto de sinusitis 1. A pesar de ser una entidad con pocos casos reportados en la era post-antibiótico, es fundamental que el personal de la salud tenga en cuenta este diagnóstico, pues la demora en el inicio del tratamiento puede conllevar complicaciones intracraneales severas 2. El objetivo de este artículo es reportar cuatro casos reunidos en la Fundación Hospital de La Misericordia desde 2011 hasta 2015 y realizar una breve revisión del tema.

Reportes de casos

Caso 1

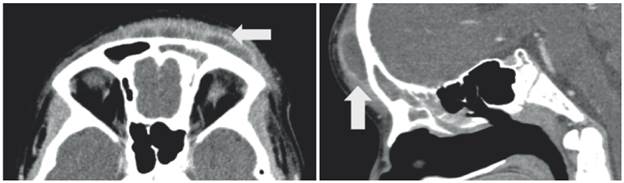
Paciente masculino de 12 años consultó por 8 días de cefalea, edema en región frontal, rinorrea purulenta y fiebre. Se realizó tomografia de cráneo simple que evidenció pansinusitis, con aumento de tejidos blandos en región frontal, sin evidencia de compromiso de la tabla ósea ni lesiones intracraneales. El paciente fue valorado por el servicio de otorrinolaringología (ORL), que realizó cirugía endoscópica transnasal y envió los cultivos respectivos. El resultado del cultivo fue Staphylococcus epidermidis y S. Aureus. Se inició antibioticoterapia y se continuó por cuatro semanas con mejoría del paciente, por lo cual se dio egreso con seguimiento por ORL (Figura 1).

1A y 1B: Tomografia de cráneo corte axial y sagital. Se observa material con densidad de tejidos blandos en seno frontal, con engrosamiento de los tejidos blandos (flechas) y sin erosión de la tabla ósea.

Figura 1: 1A y 1B: Tomografia de cráneo corte axial y sagital. Se observa material con densidad de tejidos blandos en seno frontal, con engrosamiento de los tejidos blandos (flechas) y sin erosión de la tabla ósea.

Fuente: Documento obtenido durante la realización del estudio.

Caso 2

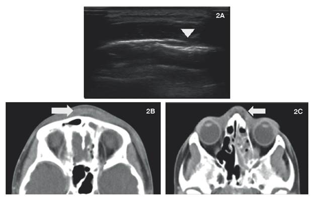
Paciente masculino de 12 años con cuadro clínico consistente en fiebre, cefalea, múltiples episodios eméticos y aparición de edema en región frontal de 3 días de evolución. Se hizo tomografía de cráneo con contraste, en la que se observó sinusitis frontal, etmoidal bilateral, maxilar izquierdo y esfenoidal, asociado a celulitis de predominio frontal.

Se consideró que cursaba con celulitis facial y se inició manejo antibiótico. Sin embargo, el aumento del edema en región frontal obligó a proceder con ultrasonografía, la cual reportó edema de los tejidos blandos y solución de continuidad de la tabla ósea. Así, se sugirió la presencia de pseudotumor inflamatorio de Pott. Por lo tanto, se solicitó nueva tomografía de cráneo contrastada, que mostró colección subperióstica a nivel frontal con erosión de la tabla anterior del seno frontal izquierdo y sin compromiso intracraneal.

El servicio de ORL realizó drenaje de absceso subperióstico y toma de muestras. El cultivo del seno frontal no arrojó microorganismos. No obstante, la muestra de seno maxilar izquierdo reportó S. epidermidis y Eikenella corrodens. Se continuó con esquema antibiótico por cuatro semanas y como resultado el paciente evolucionó de manera satisfactoria (Figura 2).

2A: La imagen ecográfica confirma engrosamiento de los tejidos blandos, asociado a colección liquida con septos finos en su interior y disrupción del hueso frontal (cabeza de flecha); 2B y 2C: Escanografia axial con medio de contraste de senos paranasales. Material con densidad de tejidos blandos, que ocupa celdillas etmoidales y seno frontal, con engrosamiento de tejidos blandos en región frontal y dorso nasal, asociado a colección liquida (flechas).

Figura 2: 2A: La imagen ecográfica confirma engrosamiento de los tejidos blandos, asociado a colección liquida con septos finos en su interior y disrupción del hueso frontal (cabeza de flecha); 2B y 2C: Escanografia axial con medio de contraste de senos paranasales. Material con densidad de tejidos blandos, que ocupa celdillas etmoidales y seno frontal, con engrosamiento de tejidos blandos en región frontal y dorso nasal, asociado a colección liquida (flechas).

Fuente: Documento obtenido durante la realización del estudio.

Caso 3

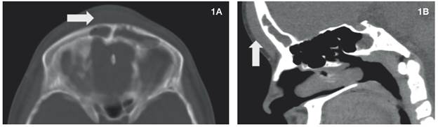
Paciente masculino de 12 años consultó por 10 días de evolución consistente en secreción nasal purulenta, edema frontal y de región periorbitaria izquierda con limitación a la apertura ocular.

Se realizó tomografía de senos paranasales (SPN), que evidenció ocupación por material con densidad de tejidos blandos del antro maxilar, celdillas etmoidales y seno frontal izquierdo; de igual modo, se observaron colecciones hipodensas subgaleales con realce periférico, adyacentes al hueso frontal con extensión al párpado superior izquierdo. El paciente fue llevado a drenaje de colecciones por parte de ORL y recibió manejo antibiótico por 21 días con mejoría del cuadro clínico. La patología reportó sinusitis crónica severa (Figura 3).

Tomografía de SPN en cortes axial y reconstrucción sagital, donde se aprecia material con densidad de tejidos blandos en seno frontal, relacionado con colección liquida prefrontal con realce periférico (flechas).

Figura 3: Tomografía de SPN en cortes axial y reconstrucción sagital, donde se aprecia material con densidad de tejidos blandos en seno frontal, relacionado con colección liquida prefrontal con realce periférico (flechas).

Fuente: Documento obtenido durante la realización del estudio.

Caso 4

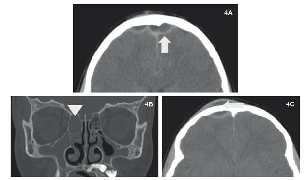
Paciente masculino de 13 años consultó por 4 días de evolución de cefalea y edema periorbitario derecho. Se diagnosticó celulitis facial y se inició antibioticoterapia, aunque presentó tumefacción en región frontal dos días después. Se hizo un cuadro hemático, que mostró leucocitosis y neutrofilia. La tomografía de cráneo simple evidenció empiema epidural frontal de 10mm asociado a colección liquida de tejidos frontales y sinusitis frontal, hallazgos compatibles con el pseudotumor inflamatorio de Pott con compromiso intracraneal. Se interconsultó con el servicio de ORL y neurocirugía, quienes consideraron manejo quirúrgico y antibioticoterapia por seis semanas, con lo cual el paciente exhibió una adecuada evolución clínica (Figura 4).

Escanografía de senos paranasales en cortes axiales y reconstrucción coronal, donde se aprecia colección de tipo epidural frontal (4A, flecha), vinculado con material con densidad de tejidos blandos etmoidomaxilar bilateral (4B, punta de flecha) y colección liquida prefrontal (4C, flecha).

Figura 4: Escanografía de senos paranasales en cortes axiales y reconstrucción coronal, donde se aprecia colección de tipo epidural frontal (4A, flecha), vinculado con material con densidad de tejidos blandos etmoidomaxilar bilateral (4B, punta de flecha) y colección liquida prefrontal (4C, flecha).

Fuente: Documento obtenido durante la realización del estudio.

Discusión

El pseudotumor inflamatorio de Pott es la presencia de un absceso subperióstico asociado a osteomielitis del hueso frontal 4. Si bien es una de las complicaciones de la sinusitis, también ha sido reportado en trauma craneoencefálico, acupuntura y picaduras de insectos 1,5.

Se considera una complicación rara de la sinusitis, a pesar de que algunos autores consideran que la incidencia de esta enfermedad puede ser mayor que la esperada 6,7. Se observa más incidencia en la población masculina y con predominio en pacientes adolescentes. Además, se han reportado casos inusuales en menores de cinco años.

Es importante recordar que el seno frontal empieza su neumatización alrededor de los 6 años y tiene su máxima vascularización hacia los 12-14 años, al alcanzar un tamaño similar al de un adulto 8-10, lo que explica por qué es poco probable encontrar esta entidad antes de esta edad. Por otra parte, la literatura presenta diferencias en la incidencia de complicaciones intracraneales que pueden oscilar entre 3.7% y 73%, con una mortalidad que está entre 5% y 10% 1,2,6,7. Los pacientes reportados en el presente artículo, como lo referido en la literatura, fueron todos masculinos, su edad estaba entre 12 y 13 años y uno de ellos exhibió compromiso intracraneal durante el estudio.

Las bacterias asociadas con el pseudotumor inflamatorio de Pott son los estafilococos, estreptococos, bacterias anaerobias y bacteroides. Todas estas son favorecidas por una disminución de la concentración de oxígeno dentro de las celdillas sinusales. En los pacientes resportados se presentaron cultivos positivos en 2 de 4 casos. Las bacterias aisladas fueron: S. epidermidis, S. Aureus, y E. corrodens. Algunos cultivos pueden ser negativos debido a un inicio temprano de manejo antibiótico.

El pseudotumor inflamatorio de Pott tiene dos formas de diseminación por las cuales se producen las lesiones intracraneales. Una de ellas es directa, a través de la tabla ósea posterior, que ocurre por el proceso inflamatorio local 2. Puesto que la tabla anterior del hueso frontal es de menor espesor que la posterior, al inicio se observa la tumefacción en la región frontal y, en casos más avanzados, el compromiso de la tabla posterior. Una cantidad significativa de los casos que exhiben compromiso intracraneano no cursan con alteración de la tabla posterior. Esto se explica por la presencia de venas diploicas, las cuales no poseen válvulas que impidan una diseminación hematógena de trombos sépticos hacia los senos durales 8.

Entre las complicaciones de esta entidad, se puede encontrar meningitis, empiemas subdurales, abscesos cerebrales y trombosis venosas de senos durales 4. Bambakidis & Cohen 11 reportaron un caso que requirió la realización de lobectomía parcial frontal por complicaciones intracraneales. Solo uno de los casos aquí expuestos cursó con un empiema epidural y, similar a lo descrito por otros autores, no hubo deterioro neurológico del paciente.

El diagnóstico de esta entidad requiere una alta tasa de sospecha, debido en parte a que la mayoría de la sintomatología del paciente puede ser inespecífica y desconocida por el cuerpo médico. Los síntomas cardinales de esta enfermedad son cefalea, fiebre, rinorrea purulenta, vómito y edema en región frontal, el cual es signo característico de esta entidad 7. Entre los paraclínicos puede haber leucocitosis, neutrofilia, elevación de la velocidad de eritrosedimentación y ascenso de la proteína C reactiva 12. La tomografía de cráneo con contraste es el método diagnóstico de elección, puesto que permite descartar la existencia de compromiso intracraneal. Del mismo modo, la tomografía de senos paranasales posibilita la valoración adecuada del patrón de drenaje de los senos y es fundamental para un abordaje quirúrgico seguro.

Al mismo nivel se encuentra la resonancia magnética, que tiene mayor capacidad para discernir alteraciones subdurales y no genera radiación al paciente, por lo que algunos la consideran el método de elección. Sin embargo, no se encuentra muy disponible y algunos casos en pediatría requieren sedación 3,12. Otros métodos imagenológicos, como la ultrasonografía, se pueden implementar como imagen inicial, pero deben confirmarse sus hallazgos por tomografía de cráneo 1.

Al principio, los cuatro casos fueron valorados por tomografía. Entre estos, uno de los casos, que inicialmente se pensó que se trataba de una celulitis, requirió ultrasonografía ante la persistencia del edema en región frontal.

El manejo de esta entidad requiere un diagnóstico temprano, una intervención quirúrgica y terapia antibiótica adecuada al ser necesarios tratamientos con antibioticoterapia de amplio espectro que van desde seis a ocho semanas 7,12. En los cuatro casos se realizó tratamiento durante cuatro a seis semanas con adecuada respuesta clínica y seguimiento posterior por ORL.

Para concluir, se debe dar a conocer esta entidad al cuerpo médico, junto con la necesidad de considerarla en el diagnóstico diferencial al tener un paciente con edema frontal y sinusitis. Esto, con el objetivo de iniciar un manejo propicio y, de esta manera, disminuir las posibles complicaciones en sistema nervioso central y la estancia hospitalaria del paciente.

Acknowledgements

Agradecimientos

Ninguno declarado por los autores.

Referencias

  1. 1. Vanderveken OM, De Smet K, Dogan-Duyar S, Desimpelaere J, Duval ELIM, De Praeter M, et al. Pott's puffy tumor in a 5-year-old boy: The role of ultrasound and contrast-enhanced CT imaging-Surgical case report. Int J Pediatr Otorhinolaryngol Extra. 2012;7(1): 1-5. http://doi.org/cx4r4v. [URL] 🠔
  2. 2. Vaidyanathan V, Shetty K. Intracranial and orbital complications of sinusitis: A case series and review of literature. Clin Rhinol. 2011;4(2):87-92. http://doi.org/dvm3wz. [URL] 🠔
  3. 3. Aínsa-Laguna D, Pons-Morales S, Muñoz Tormo-Figueres A, Vega-Senra MI, Otero-Reigada MC. Tumor inflamatorio de Pott: una complicación infrecuente de la sinusitis frontal. An Pediatr. 2014;80(5):317-20. http://doi.org/f2m93z. [URL] 🠔
  4. 4. Aguilar-Zapata D, Piñeirúa-Menéndez A, Rodríguez-Zulueta P, Figueroa-Angel V, Rodríguez-Aceves CA, González-Olvera S, et al. Tumor de Pott, un abordaje multidisciplinario. ArchNeurocien (Méx). 2014;19(1):57-60. 🠔
  5. 5. Wu CT, Huang JL, Hsia SH, Lee HY, Lin JJ. Pott's puffy tumor after acupuncture therapy. Eur J Pediatr. 2009;168(9):1147-9. http://doi.org/bh27mg. [URL] 🠔
  6. 6. Orlandi RR. Pott's puffy tumor. In: Kountakis SE, Senior BA, Draf W, editors. The Frontal Sinus. 2nd ed. Berlin: Springer; 2016. p. 83-6. 🠔
  7. 7. Tsai BY, Lin KL, Lin TY, Chiu CH, Lee WH, Hsia SH, et al. Pott's puffy tumor in children. ChildsNervSyst. 2010;26(1):53-60. http://doi.org/b9kw4j. [URL] 🠔
  8. 8. Rogo T, Schwartz RH. Pott puffy tumor in a 5-year-old girl with frontal sinusitis. Ear Nose Throat J. 2013;92(2):E24-6. 🠔
  9. 9. Cheng S, Vu P. Pott's puffy tumor in a premature neonate: the new youngest case reported in the post-antibiotic era. Orbit. 2009;28(6):412-4. http://doi.org/frrctj. [URL] 🠔
  10. 10. Kaabia N, Abdelkafi M, Bellara I, Khalifa M, Bahri F, Letaief A. Pott's puffy tumor. A case report. Med Mal Infect. 2007;37(6):350-3. http://doi.org/cm8f6z. [URL] 🠔
  11. 11. Bambakidis NC, Cohen AR. Intracranial Complications of Frontal Sinusitis in Children: Pott's Puffy tumor revisited. Pediatr Neurosurg. 2001;35(2):82-9. http://doi.org/djrwnc. [URL] 🠔
  12. 12. García-Molina D, González T, Nieto MJ. Tumor inflamatorio de Pott. Ver Esp Cir Oral Maxilofac. 2015;37:252-4. http://doi.org/f258n3. [URL] 🠔

Ninguna declarada por los autores.