Revista de la Facultad de Medicina
0120-0011
Universidad Nacional de Colombia
https://doi.org/10.15446/revfacmed.v65n4.59471

Recibido: 7 de agosto de 2016; Aceptado: 10 de septiembre de 2016

Neumatosis intestinal, un hallazgo intraoperatorio inusual

Pneumatosis Intestinalis: A rare intraoperative finding

A. Manrique-Mendoza, 12A. Echavarría-Cadena, 123*N. Pérez-Becerra, 123M. Garavito-Castellanos, 123

Universidad Pedagógica y Tecnológica de Colombia - Facultad de Ciencias de la Salud - Escuela de Medicina - Tunja - Colombia. Universidad Pedagógica y Tecnológica de Colombia Universidad Pedagógica y Tecnológica de Colombia Facultad de Ciencias de la Salud Tunja Colombia
Empresa Social del Estado Hospital San Rafael Tunja - Grupo de Investigación Salud San Rafael - Tunja - Colombia. Empresa Social del Estado Hospital San Rafael Tunja Tunja Colombia
Universidad Pedagógica y Tecnológica de Colombia - Grupo de Investigación ACEME UPTC - Tunja - Colombia. Universidad Pedagógica y Tecnológica de Colombia Universidad Pedagógica y Tecnológica de Colombia Grupo de Investigación ACEME UPTC Tunja Colombia

Correspondencia: Angie Marcela Echavarría-Cadena. Escuela de Medicina, Facultad de Ciencias de la Salud, Universidad Pedagógica y Tecnológica de Colombia. Calle 24 No. 5-63, antiguo Hospital San Rafael de Tunja. Teléfono: +57 8 7405626. Tunja. Colombia. Correo electrónico: angiemar0594@gmail.com.
Ninguno declarado por los autores.

Resumen

Introducción.

La neumatosis intestinal (NI) es una entidad rara que se caracteriza por la presencia de gas en la pared del intestino y suele diagnosticarse como un hallazgo radiológico incidental.

Caso clínico.

Se presenta el caso de una paciente de 63 años con historia de epigastralgia crónica, quien consulta por cuadro clínico de una semana de evolución consistente en dolor abdominal difuso asociado a distensión abdominal, anorexia, emesis y diarrea. Al examen físico se encuentra un abdomen distendido, timpánico, doloroso a la palpación, con ruidos intestinales disminuidos y sin signos de irritación peritoneal. Se realiza radiografía simple de abdomen que evidencia sobredistensión de asas intestinales, formación de niveles hidroaéreos, ausencia de gas distal y neumoperitoneo, por lo que es llevada a laparotomía exploratoria, donde se halla NI severa de los últimos 100cm de íleon.

Discusión.

La NI, en especial la variante quística, es una patología inusual de la que, según la revisión realizada, se han descrito 565 casos en todo el mundo y 6 en Latinoamérica; es posible que su difícil diagnóstico haga que pase desapercibida. Aunque se considera que el diagnóstico es netamente radiológico, el 40% de los casos se evidencian en hallazgos quirúrgicos, como sucedió en esta paciente. La indicación quirúrgica para este caso fue el neumoperitoneo, complicación más común (51%).

Palabras clave:

Neumatosis Cistoide Intestinal, Neumoperitoneo, Cirugía, Radiología (DeCS).

Abstract

Introduction:

Pneumatosis intestinalis (PI) is a rare entity characterized by the presence of gas in the intestine wall, which is usually diagnosed as an incidental radiological finding.

Clinical case:

This paper reports the case of a 63-year-old patient with a history of chronic epigastralgia, who consulted due to a clinical picture of 1 week of evolution consisting of diffuse abdominal pain associated with abdominal distension, anorexia, emesis and diarrhea. Physical examination revealed a distended, tympanic abdomen, painful on palpation, with decreased bowel sounds and no signs of peritoneal irritation. A simple abdominal radiograph was performed, showing overdistension of intestinal loops, air-fluid levels, absence of distal gas and pneumoperitoneum. The patient was taken to exploratory laparotomy, where severe PI was observed in the final 100cm of the ileum.

Discussion:

PI, especially the cystic variant, is a rare pathology, with only 565 cases described worldwide and 6 in Latin America. This condition may go unnoticed due to its difficult diagnosis. Although diagnosis is considered to be radiological, 40% of the cases are found during surgery, as was the case of this patient. Surgical indication for this case was pneumoperitoneum, the most common complication (51%).

Keywords:

Pneumatosis cystoides intestinalis, Pneumoperitoneum, Surgery, Radiology (MeSH).

Introducción

La neumatosis intestinal (NI) es una entidad rara descrita por primera vez en 1790 por Du Vernoy durante una autopsia 1. Esta enfermedad se caracteriza por la presencia de gas en la pared del intestino 1-5 y, por lo general, se diagnostica como un hallazgo radiológico incidental 3,6. La patogenia es aún desconocida, pero existen varias teorías: mecánica, bacteriana, bioquímica y dietética 1,4,7,8. Su etiología es diversa 2,3 y se clasifica de acuerdo a su causa y a su pronóstico en primaria (15%) y secundaria (85%) 6,8. La NI puede tener un curso benigno o presentarse como una enfermedad más grave 2,3,7-10.

Por tratarse de una patología infrecuente, se reporta el caso de una paciente del Servicio de Cirugía General del Hospital San Rafael Tunja y se realiza una breve revisión de la literatura sobre esta enfermedad, que por tener curso variable y acompañarse de patologías subyacentes debe ser conocida.

Materiales y métodos

Se realizó una búsqueda bibliográfica en el la base de datos PubMed utilizando los términos MeSH "Pneumatosis Cystoides Intestinalis" y se encontraron 1 510 resultados en total. Las citas se filtraron de acuerdo al tipo de estudio, la disponibilidad del texto completo y los idiomas inglés y español, con lo que se obtuvieron 565 resultados, los cuales se detallan en la Tabla 1.

Tabla 1: Resultados de búsqueda bibliográfica en PubMed de acuerdo a tipo de estudio.

Fuente: Elaboración propia.

De igual forma, se buscan casos reportados en Colombia utilizando el metabuscador Google Scholar y encontrando un solo reporte en la Revista Colombiana de Cirugía. A continuación se presenta el caso de una paciente diagnosticada con NI.

El presente estudio fue autorizado por el comité de ética del Hospital San Rafael Tunja.

Resultados

La NI se caracteriza por la presencia de vesículas de gas en la pared intestinal (intestino grueso o delgado), es poco frecuente, se identifica en una radiografía o tomografía axial computarizada (TAC) de abdomen y, por lo general, se acompaña de aire libre en la cavidad peritoneal, además, suele estar acompañada por cuadros de pseudoobstrucción o crecimiento bacteriano 4.

A nivel mundial se han reportado 565 casos, los cuales fueron clasificados para esta investigación por país y continente, descartando 28 reportes ya que no fue posible conocer el hospital al que pertenecía el caso descrito.

Se encontró que el 30% (n=158) de los casos se reportaron en EE. UU., seguido por Japón (13% n=67), Alemania (6% n=30) y Taiwán (5% n=26). El continente donde más casos se reportaron fue Europa (37.57% n=198), seguido por América (33.02% n=174) y Asia (26.38% n=139). En Latinoamérica se han descrito seis casos (1.14%) (Figura 1).

Reportes de caso de neumatosis intestinal según el continente.

Figura 1: Reportes de caso de neumatosis intestinal según el continente.

Fuente: Elaboración propia.

La etiología de la NI no es clara; sin embargo, se han concebido cuatro teorías que pueden explicarla:

Teoría mecánica, donde el aire entra a la pared por diferentes causas como ruptura de la mucosa (ulceración), trauma directo a la pared intestinal luego de procedimientos endoscópicos, colocación de sondas entéricas o trauma abdominal cerrado; por anastomosis intestinales (derivación yeyunoileal) en las que se produce el paso de bacterias al íleon aumentando la cantidad de gas y se propicia la formación de quistes; por ausencia de bilis, que favorece la proliferación bacteriana; por cuadros obstructivos, donde se aumenta el gas y la presión intraluminal, y por aumento de la presión pulmonar con ruptura alveolar y disección por el gas a través del mediastino a lo largo de los grandes vasos del retroperitoneo y al espacio perivascular del mesenterio y de ahí a la pared del intestino, como en la enfermedad pulmonar obstructiva crónica y la fibrosis quística.

Teoría bacteriana, donde el gas (hidrógeno) de las vesículas proviene del metabolismo bacteriano, por lo que los niveles de hidrógeno respiratorio constituyen un índice de la actividad bacteriana en el intestino, generándose así un aumento anormal de este indicador en un 50% de los pacientes con NI. Sin embargo, este planteamiento es discutido, ya que en la mayoría de los casos el neumoperitoneo es estéril, presenta un curso benigno y no se evidencia peritonismo. Teorías bioquímica y dietética, que explican la formación de gas por el incremento de ácido láctico secundario a una alteración en el metabolismo de los carbohidratos que ocasiona una menor reabsorción de CO2 y O2, acumulándose en grandes cantidades en el intestino 7.

El 90.8% de los pacientes presentan síntomas, siendo el más común el dolor abdominal (53.9%), seguido por diarrea (42.4%), náuseas y vómito (14.3%), hematoquexia (12.9%), heces mucosas (12%) y constipación (7.8%) 1.

El diagnóstico clínico es difícil y se considera netamente radiológico 6; se hace con una radiografía de abdomen total a través de la visualización de aire lineal de baja densidad o circular burbujeante en la pared del intestino con o sin neumoperitoneo 4 o de aire libre en la cavidad abdominal o conglomerados radiolúcidos a lo largo de la pared intestinal y niveles hidroaéreos 5,7. Otro estudio imagenológico de importancia es la TAC abdominal total, donde se pueden distinguir tres patrones: cístico (similar a burbujas), lineal (forma curvilínea) -que es el más común- y circunferencial en la pared del intestino, los cuales pueden ser encontrados de forma individual o simultánea 11.

Cerca del 93% de los pacientes asintomáticos remiten sin tratamiento, pero si el cuadro persiste es útil el tratamiento conservador con descompresión gastrointestinal, descanso intestinal, nutrición parenteral y soporte hidroelectrolítico; el manejo antibiótico de amplio espectro puede ser necesario en el 26% de los casos 1,4.

Presentación del caso

Se presenta el caso de una paciente de 63 años de edad con historia de epigastralgia crónica de aproximadamente 10 años de evolución, quien consulta por cuadro clínico de 1 semana consistente en dolor abdominal difuso asociado a distensión abdominal, anorexia, emesis y diarrea. Al examen físico se encuentra un abdomen distendido, timpánico, doloroso a la palpación, con ruidos intestinales disminuidos y sin signos de irritación peritoneal. Como antecedentes importantes se encuentran múltiples consultas a centros médicos por dolor abdominal en meses previos, histerectomía hace 20 años, gastritis crónica antral, hipertensión arterial y exposición crónica al humo de leña.

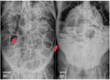
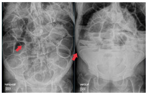
Al ingreso, a la paciente se le realiza, por un lado, radiografía posteroanterior y lateral de tórax con hallazgo incidental de neumatosis intestinal en la flexura esplénica del colon, asociado a la sobredistensión de las asas intestinales y elevación del hemidiafragma derecho e izquierdo, con evidencia de aire subdiafragmático bilateral compatible con neumoperitoneo (Figura 2), y, por el otro, radiografía de abdomen simple, que muestra sobredistensión de asas intestinales, formación de niveles hidroaéreos y ausencia de gas distal (Figura 3).

Radiografía posteroanterior y lateral de tórax. → presencia de aire intraluminal y extraluminal como signo de neumoperitoneo.

Figura 2: Radiografía posteroanterior y lateral de tórax. → presencia de aire intraluminal y extraluminal como signo de neumoperitoneo.

Fuente: Documento obtenido durante la realización del estudio.

Radiografía de abdomen simple en decúbito supino y bipedestación. - presencia de aire intraluminal y extraluminal como signo de neumoperitoneo.

Figura 3: Radiografía de abdomen simple en decúbito supino y bipedestación. - presencia de aire intraluminal y extraluminal como signo de neumoperitoneo.

Fuente: Documento obtenido durante la realización del estudio.

Se pasa sonda nasogástrica que drena contenido alimentario y cerca de 400cm3 de gas. Los paraclínicos reportan glicemia 120 mg/dl, BUN 7.2, creatinina 0.70 mg/dl, lactato 1.64 mmol/L, pH sanguíneo 7.43, pCO2 34.6 mmHg y PO2 29.9 mmHg.

La paciente es llevada a laparotomía exploratoria con el diagnóstico de obstrucción intestinal y neumoperitoneo y la sospecha de perforación de víscera hueca. Como hallazgos intraoperatorios se encuentra obstrucción de ciego y todo el intestino secundaria a brida de epiplón a ciego y neumoperitoneo secundario a neumatosis intestinal severa de los últimos 100cm de íleon, sin perforación macroscópica. Se realiza liberación de adherencias.

La paciente presenta una evolución favorable y es dada de alta al cuarto día del postoperatorio con recomendaciones generales.

Discusión

La NI es una entidad rara y la mayoría de los reportes corresponde al continente europeo. En Latinoamérica solo se han descrito seis casos, de los cuales uno fue reportado en Colombia; es posible que por su difícil diagnóstico esta enfermedad pase desapercibida o que el médico tratante no reporte el caso. De igual forma, Europa presenta mayor tasa de realización de radiografías y TAC, por lo que el hallazgo imagenológico de NI es más frecuente en esa región.

La paciente presentaba epigastralgia crónica, por la que consultó en múltiples ocasiones, y fue diagnosticada con gastritis, sin sospecha de otro tipo de patología. Es probable que el dolor abdominal en dichas oportunidades pudiera ser consecuencia de episodios autolimitados de suboclusión intestinal; sin embargo, el antecedente de gastritis pudo hacer que la NI pasara desapercibida hasta complicarse con neumoperitoneo, por lo que a pesar de presentar el cuadro típico de dolor abdominal, diarrea y náuseas consultó por la distensión abdominal. En cuanto se evidenció el neumoperitoneo, fue sometida a laparotomía exploratoria donde se diagnosticó NI por hallazgo incidental.

Aunque se considera que el diagnóstico es netamente radiológico 6, el 40% de los casos constituyen un hallazgo quirúrgico, como sucedió con esta paciente 1. Los resultados muestran que, a pesar de que el porcentaje de remisión con tratamiento conservador es alto, en China la tasa de resección es del 40.6%; esta situación se explica por el diagnóstico erróneo y tardío, que complica y cronifica el cuadro. Dado este panorama, es importante identificar la patología a tiempo, tratarla de manera precoz y evitar complicaciones como las padecidas por la paciente reportada 1.

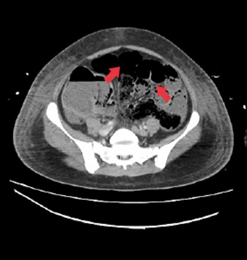
La NI tiene dos tipos de patrones en la radiografía: el quístico o en burbuja (benigno), típico de la neumatosis primaria cistoide, y el lineal o curvilíneo, que se relaciona en mayor proporción con isquemia y necrosis intestinal. En la Figura 4 se evidencia distensión generalizada de asas gruesas y delgadas asociada a la presencia de neumatosis intestinal; este hallazgo se encontró en la TAC abdominal total de una paciente del Hospital San Rafael Tunja diferente a la del caso presentado, ya que a esta última no se le realizó este examen antes de someterla a exploración quirúrgica.

Corte axial de tomografía axial computarizada de abdomen total que evidencia asas intestinales delgadas y gruesas con retardo en el tránsito del contraste asociada a la presencia de neumatosis intestinal y con compromiso de las paredes del íleon distal y ciego.

Figura 4: Corte axial de tomografía axial computarizada de abdomen total que evidencia asas intestinales delgadas y gruesas con retardo en el tránsito del contraste asociada a la presencia de neumatosis intestinal y con compromiso de las paredes del íleon distal y ciego.

Fuente: Documento obtenido durante la realización del estudio.

Otro hallazgo radiográfico que en este caso no se observa es el signo de Leo Rigler o signo de "la doble pared", que corresponde a la presencia de gas dentro de la pared intestinal y está asociado a neumoperitoneo. Este signo se describe cuando existe neumoperitoneo y gas intraluminal, lo que resalta como estructuras hipolúcidas a la serosa y mucosa de la pared intestinal, dando el aspecto de doble pared 12.

La NI, como patología aislada en un paciente asintomático, sin signos de respuesta inflamatoria sistémica ni otros hallazgos clínicos, no constituye por sí sola una indicación de cirugía; sin embargo, ante la confirmación radiológica de neumoperitoneo, se debe realizar exploración quirúrgica para descartar las causas más frecuentes y graves, como la perforación de víscera hueca.

La indicación quirúrgica en este caso fue precisamente el neumoperitoneo, que es la complicación más frecuente de la neumatosis intestinal (51%), causado por la ruptura de una burbuja de gas subserosa y no por perforación de un órgano, como se sospechó en un principio. Otras complicaciones son neumoretroperitoneo (8%), neumomediastino (3%) 2, vólvulos, hemorragia y perforación intestinal (3%); no obstante, la mortalidad puede alcanzar hasta 33% cuando se asocia a estas complicaciones 7.

La NI severa de los últimos 100cm de íleon encontrada intraoperatoriamente constituye una presentación rara, ya que la porción descendente del intestino grueso se considera como la localización más frecuente (33.1%), seguida por el sigmoide (32.2%) y el íleon (30.1%) 1.

Se consideran marcadores de mal pronóstico, pH <7.3, bicarbonato <20 mEq/L, lactato >2 mmol/L, amilasa >200 U/L y NPM 6, los cuales no se encontraron alterados en la paciente por lo que esta tuvo evolución favorable y corta estancia hospitalaria.

Cerca del 93% de los pacientes que no presentan síntomas remiten sin tratamiento; no obstante, en caso de persistencia del cuadro clínico es necesario tratar la causa subyacente y optar por la descompresión abdominal y, si es necesario, tomar medidas de soporte como descanso intestinal, nutrición parenteral y soporte hidroelectrolítico. Otra opción es la antibioticoterapia, que puede ser necesaria en el 26% de los casos, siendo el Metronidazol el fármaco más utilizado.

Conclusión

Es importante realizar un estudio detallado en pacientes con dolor abdominal crónico y sospechar de NI para tratar de forma precoz y evitar complicaciones que pongan en riesgo la vida.

Aunque en la mayoría de casos la NI constituye un hallazgo incidental y no suele ser severa, puede observarse en el contexto de abdomen agudo con perforación de víscera hueca o necrosis intestinal, que son los principales cuadros clínicos a descartar por su gravedad. Por lo tanto, es necesario que el médico esté alerta a las manifestaciones de estas entidades.

Acknowledgements

Agradecimientos

Al Hospital San Rafael Tunja.

Referencias

  1. 1. Wu LL, Yang YS, Dou Y, Liu QS. A systematic analysis of pneuma-tosis cystoids intestinalis. World J Gastroenterol. 2013;19(30):4973-8. http://doi.org/f47g45 [URL] 🠔
  2. 2. Chang CY, Marzan KA. Benign pneumatosis intestinalis in a pediatric patient with multiple risk factors including granulomatosis with polyan-giitis: a case report and review of the literature. Semin Arthritis Rheum. 2015;44(4):423-7. http://doi.org/f2x2cr. [URL] 🠔
  3. 3. Viswanathan C, Bhosale P, Ganeshan DM, Truong MT, Silverman P, Balachandran A. Imaging of complications of oncological therapy in the gastrointestinal system. Cancer Imaging. 2012;12:163-72. http://doi.org/cdw4. [URL] 🠔
  4. 4. Balbir-Gurman A, Brook OR, Chermesh I, Braun-Moscovici Y. Pneumatosis cystoides intestinalis in scleroderma-related conditions. Intern Med J. 2012;42(3):323-9. http://doi.org/cdw5 [URL] 🠔
  5. 5. Korhonen K, Lovvorn HN 3rd, Koyama T, Koehler E, Calder C, Manes B, et al. Incidence, risk factors, and outcome of pneumatosis intestinalis in pediatric stem cell transplant recipients. Pediatr Blood Cancer. 2012;58(4):616-20. http://doi.org/czftd7. [URL] 🠔
  6. 6. Feuerstein JD, White N, Berzin TM. Pneumatosis intestinalis with a focus on hyperbaric oxygen therapy. Mayo Clin Proc. 2014;89(5):697-703. http://doi.org/f2xjj4. [URL] 🠔
  7. 7. Aguirre HD, Jiménez-Castro L, Posada AF. Neumatosis intestinal y gas porto-mesentérico: hallazgos radiológicos y significado clínico en un caso de catástrofe abdominal. Rev CES Med. 2014;28(1):133-8. 🠔
  8. 8. Londoño E, Palacios N. Revisión de Temas: Neumatosis Intestinal, a propósito de un caso. Encolombia; [cited 2017 Oct 5]. Available from: Available from: https://goo.gl/w9XVRZ . [URL] 🠔
  9. 9. Vendryes C, Hunter CJ, Harlan SR, Ford HR, Stein J, Pierce JR. Pneumatosis intestinalis after laparoscopic appendectomy: case report and review of the literature. JPediatr Surg. 2011;46(11):21-4. http://doi.org/cqb4f8. [URL] 🠔
  10. 10. Shimojima Y, Ishii W, Matsuda M, Tojo K, Watanabe R, Ikeda S. Pneumatosis cystoides intestinalis in neuropsychiatric systemic lupus erythematosus with diabetes mellitus: case report and literature review. Mod Rheumatol. 2011;21(4):415-9. http://doi.org/d8rd52. [URL] 🠔
  11. 11. Lassandro F, Valente T, Rea G, Lassandro G, Golia E, Brunese L, et al. Imaging assessment and clinical significance of pneumatosis in adult patients. Radiol Med. 2015;120(1):96-104. http://doi.org/f6xzkm. [URL] 🠔
  12. 12. Hirsch M, Cortés C. El signo de Leo Rigler: doble pared en neumo- peritoneo. Rev. chil. radiol. 2009;15(3):152-4. http://doi.org/bngdx8. [URL] 🠔
Manrique-Mendoza AR 5 Echavarría-Cadena AM 1 Pérez-Becerra NM) Garavito-Castellanos MN. Neumatosis intestinal, un hallazgo intraoperatorio inusual. Rev. Fac. Med. 2017;65(4):687-91. Spanish. doi: http://dx.doi.org/10.15446/revfacmed.v65n4.59471.
Manrique-Mendoza AR, Echavarría-Cadena AM, Pérez-Becerra NM , Garavito-Castellanos MN. [Intraoperative Unusual Finding: Pneumatosis Intestinalis]. Rev. Fac. Med. 2017;65(4):687-91. Spanish. doi: http://dx.doi.org/10.15446/revfacmed.v65n4.59471.
Ninguna declarada por los autores.