Revista de la Facultad de Medicina
0120-0011
Universidad Nacional de Colombia
https://doi.org/10.15446/revfacmed.v66n1.60760

Recibido: 26 de octubre de 2016; Aceptado: 14 de febrero de 2017

Actualización en enfermedad renal poliquística

Update on polycystic kidney disease

A. Montaña, 12*N. Patiño, 1C. Larrate, 3F. Zambrano, 2J. Martínez, 4H. Lozano, 5E. Lozano, 1

Universidad Nacional de Colombia - Sede Bogotá - Facultad de Medicina - Departamento de Cirugía - Grupo de Trasplante de Órganos y Tejidos Humanos - Bogotá D.C. - Colombia. Universidad Nacional de Colombia Universidad Nacional de Colombia Facultad de Medicina Departamento de Cirugía - Grupo de Trasplante de Órganos y Tejidos Humanos Bogotá D.C Colombia
Fundación Universitaria Sanitas - Facultad de Medicina - Departamento de Pediatría - Bogotá D.C. - Colombia. Fundación Universitaria Sanitas Facultad de Medicina Departamento de Pediatría Bogotá D.C Colombia
Pontificia Universidad Javeriana - Facultad de Medicina - Departamento de Nefrologia - Bogotá D.C. - Colombia. Pontificia Universidad Javeriana Pontificia Universidad Javeriana Facultad de Medicina Departamento de Nefrologia Bogotá D.C Colombia
Clínica Reina Sofía - Departamento de Radiología - Bogotá D.C. - Colombia. Clínica Reina Sofía Departamento de Radiología Bogotá D.C Colombia
Universidad Nacional de Colombia - Sede Bogotá - Facultad de Medicina Veterinaria y Zootecnia - Bogotá D.C. - Colombia. Universidad Nacional de Colombia Universidad Nacional de Colombia Facultad de Medicina Veterinaria y Zootecnia Bogotá D.C Colombia

Correspondencia: Andrea Montaña. Grupo de Trasplante de Órganos y Tejidos Humanos, Departamento de Cirugía, Facultad de Medicina, Universidad Nacional de Colombia. Carrera 30 No. 45-03. Teléfono: +57 1 3165000, ext.: 15105; celular: +57 3208013818. Bogotá D.C. Colombia. Correo electrónico: areamont191290@gmail.com.

Resumen

Introducción.

La enfermedad renal poliquística (PKD, por su sigla en inglés) es una enfermedad genética frecuente en la que se desarrollan de forma progresiva lesiones quísticas que reemplazan el parénquima renal. Es una causa de insuficiencia renal terminal y una indicación común para diálisis y trasplante renal. Existen dos presentaciones de PKD que se distinguen por sus patrones de herencia: la enfermedad renal poliquística dominante (ADPKD, por su sigla en inglés) y la enfermedad renal poliquística recesiva (ARPKD, por su sigla en inglés).

Objetivo.

Resumir los aspectos más relevantes de la enfermedad renal: epidemiología, fisiopatología, diagnóstico, manifestaciones clínicas, tratamiento y pronóstico.

Materiales y métodos.

Revisión sistemática de la literatura en las bases de datos PubMed, Lilacs, UptoDate y Medline con los siguientes términos: enfermedades renales poliquísticas, riñón poliquístico autosómico dominante y riñón poliquístico autosómico recesivo.

Resultados.

Se encontraron 271 artículos y se escogieron 64 con base en su importancia.

Conclusiones.

Todo paciente con enfermedad renal poliquística en insuficiencia renal grado V debe ser estudiado para un trasplante renal; en la mayoría de los casos no se encontrará contraindicación para realizarlo.

Palabras clave:

Enfermedades renales poliquísticas, Riñón poliquístico autosómico dominante, Riñón poliquístico autosómico recesivo (DeCS).

Abstract

Introduction:

Polycystic kidney disease (PKD) is a common genetic disease in which cystic lesions develop and progressively replace the renal parenchyma. This is a cause of end-stage kidney disease and a common indication for dialysis and kidney transplantation. These disease presents in two forms, which can be differentiated by their inheritance patterns: autosomal dominant polycystic kidney disease (ADPKD) and autosomal recessive polycystic kidney disease (ARPKD).

Objective:

To present a brief account of the most relevant aspects of kidney disease: epidemiology, pathophysiology, diagnosis, clinical manifestations, treatment and prognosis.

Materials and methods:

Systematic literature review conducted in the PubMed, Lilacs, UptoDate and Medline databases with the following terms: polycystic kidney diseases, autosomal dominant polycystic kidney and autosomal recessive polycystic kidney.

Results:

271 articles were found and 64 were chosen based on their relevance.

Conclusions:

All autosomal polycystic kidney disease patients with stage 5 chronic kidney disease should be considered for transplantation, since it is not contraindicated in most cases.

Keywords:

Polycystic Kidney Diseases, Autosomal Dominant Polycystic Kidney, Autosomal Recessive Polycystic Kidney (MeSH).

Introducción

La enfermedad renal poliquística (PKD) es la afección renal hereditaria más frecuente. Se caracteriza por el desarrollo progresivo de múltiples quistes en los riñones que destruyen el parénquima renal. La PKD constituye cerca del 10% de los pacientes con insuficiencia renal terminal, es decir, se presenta en 7-13 millones de pacientes y existe un portador del gen por cada 800 individuos de la población global. La enfermedad siempre es bilateral y primero afecta una parte de las nefronas, por lo que, en general, la función renal se conserva hasta la cuarta o quinta década de vida. Macroscópicamente se caracteriza por el aumento de tamaño de los riñones y por los quistes con gran cantidad de líquido seroso que forman la superficie.

Existen dos tipos de PKD: la dominante (ADPKD), que tiene mejor pronóstico y es más frecuente, y la recesiva (ARPKD). Los estudios familiares muestran que la ADPKD es causada por una mutación en genes localizados en el cromosoma 16p. 13.3 (PKD1) y 4q21 (PKD2), mientras que la ARPKD se origina por una mutación en el cromosoma 6p21.23 (PKHD1). Estas dos condiciones generan alta morbimortalidad, por esto es importante investigar su fisiopatología, tratamiento y posibilidad de retraso en la aparición de los quistes con el fin de mejorar la calidad de vida y disminuir su progresión a una fase terminal.

Epidemiología

La PKD afecta a más de 13 millones de personas en el mundo 1. La ADPKD se presenta en 1/500-1/1 000 recién nacidos vivos 2-5. La ARPKD es menos frecuente; se ha reportado que afecta 1/20 000-1/40 000 nacidos vivos y todos se han relacionado con la mutación del gen PKHD1 6,7. Existe gran variabilidad geográfica en la presentación de la enfermedad con reportes de prevalencia de 1/1 000 en Dinamarca, 1/2 459 en Gales, 1/4 033 en Japón, 1/1 000 en EE. UU. y 1/1 111 en Francia 7. Aunque se puede presentar en toda las razas 7, existen reportes controversiales en la literatura; algunos refieren que no hay predilección racial, mientras que otros muestran datos diferentes, con una prevalencia de cerca de 1/544 en blancos y poco encontrada en la población de raza negra 7. La PKD es la causa de enfermedad renal en el 5-10% de la población que se encuentra en diálisis o en trasplante renal 8-13.

En la ADPKD, las mutaciones PKD1 representan el 85% de los casos y se asocian a manifestaciones más graves, de forma que la enfermedad renal terminal o la muerte se producen a una edad media de 53 años, en comparación con una edad media de 69 años en el caso de las mutaciones PKD2 13,14. La ADPKD afecta a cerca de 300 000-600 000 americanos de cualquier sexo, sin predilección racial 11,15. Los hijos de padres afectados tienen un 50% de probabilidades de mutación del gen 11,16 y en cerca del 5% de los casos aparece como una mutación espontanea 2,11.

Fisiopatología

La ARPKD y la ADPKD son enfermedades genéticas hereditarias de patrón mendeliano con mutaciones en genes puntales que explican la alteración fenotípica. En la ADPKD se han identificado mutaciones en los genes PKD1 y PKD2, responsables de la proteína plasmática conocida como policistina. En la ARPKD, la alteración se encuentra en el gen PKHD1, en el cromosoma 6 (6 p21) que codifica la proteína fibrocistina. La mayoría de los pacientes son heterocigotos. Las alteraciones en este gen se asocian con otras enfermedades como la fibrosis hepática congénita (síndrome de Caroli), que se asocia solo un 30% a quistes renales 2,17,18.

Varios factores genéticos, como el mecanismo de los dos golpes y el modelo de umbral, están asociados con el desarrollo de la ADPKD. En el primero debe producirse una mutación tanto en la línea somática como en la germinal para alterar los dos alelos PKD 5,7,19 y en el segundo se propone un factor de pérdida de la función del gen 4. Los dos modelos están asociados con el inicio de la formación de quistes renales 2.

En la ADPKD, los genes PKD sintetizan proteínas celulares transmembranales, ubicadas en el cilio primario en la región apical de las células epiteliales tubulares renales, que reciben el nombre de policistinas 20. Su función es compleja; la policistina 1 se ha propuesto como activadora de la cascada de señalización de la janus kinasa2/STAT3, NFAT y NF-Kb. Por su parte, la policistina 2 funciona como transportadora de calcio no selectivo 2, que a su vez actúa como mecano-sensor de flujo y aumenta la liberación de calcio intracelular y los niveles de AMPc. El aumento de calcio intracelular estimula la señalización por MAPK/ERK 4 para la proliferación celular en el epitelio renal.

Del mismo modo, se ha encontrado una sobreexpresión de los receptores V2 de vasopresina (que incrementan las concentraciones de AMPc) y de los receptores del factor de crecimiento endotelial (EGFR) ErbB1 y ErbB2 en la región apical, factor que estimula la cadena de señalización MAPK/ERK 7. Una vez el epitelio quístico ha perdido su heterocigosidad (presente solo en el 1-5% de las nefronas) 4 entra en un estado de proliferación persistente e indiferenciado que genera que la pared del túbulo se expanda en forma de bolsillo.

El aumento del tamaño renal se debe al estímulo del EGF 7. Los quistes siguen aumentando de tamaño debido a la producción desregulada del canal de calcio y a la continua proliferación del epitelio mural que reemplaza la totalidad de las células nativas al inducir apoptosis. La producción de líquido quístico también se atribuye al aumento de la expresión del canal de cloro CFTR (cystic fibrosis transmembranal conductance regulator), que se sobreexpresa en la membrana apical por el incremento en el AMPc, 2 y a la localización apical anormal de la bomba sodio/potasio ATPasa y del simportador sodio/potasio/cloro en la superficie basal tubular 7.

Las alteraciones en el gen HNF4 alfa han sido identificadas como las responsables de los desórdenes metabólicos de la enfermedad al participar en la gluconeogénesis y en la glucólisis. Existen estudios asociados a perfiles del metaboloma con resonancia magnética nuclear (RMN) que identifican un aumento en el metabolismo de la glucosa cuando aumenta la transcripción de múltiples genes asociados a la vía glicolítica aeróbica. Este metabolismo alto estimula la proliferación y aumento de tamaño de los quistes asociados a la enfermedad, situación que se asocia al peor desenlace de la misma 4,21,22.

La fibrocistina (proteína producto del gen PKHD1) está asociada a los cilios primarios, actúa como mecano-sensor y se involucra en el contacto citoesquelético de célula-célula y célula-matriz. Se localiza principalmente en la porción apical de las células tubulares epiteliales renales y se distribuye en los conductos colectores tanto corticales como medulares y en la porción ascendente del asa de Henle. Cuando se altera, forma una dilatación de los túbulos colectores, creando pequeños quistes que incrementan el tamaño renal. Estos quistes mantienen su comunicación con el túbulo y aumentan de tamaño a causa de las aquaporinas 2 7. Asimismo, su expresión en el epitelio de otros órganos lleva a que la mutación altere la función no solo del riñón, sino también de la vía biliar, de los conductos pancreáticos y del intestino 23.

Diagnóstico

El diagnóstico de la ADPKD en un individuo con historia familiar positiva se basa en las imágenes diagnósticas (figura 1), aunque también se debe tener en cuenta la historia clínica, los antecedentes familiares, los signos y los síntomas. Para el diagnóstico de la PKD, se requiere la presencia de múltiples quistes renales (tabla 1). El número de quistes necesarios para el diagnóstico se correlaciona con la edad del paciente.

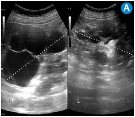
Enfermedad renal poliquística dominante en paciente trasplantado. A) Ecografía renal: múltiples imágenes quísticas que comprometen el parénquima renal bilateral. Continúa.

Figura 1: Enfermedad renal poliquística dominante en paciente trasplantado. A) Ecografía renal: múltiples imágenes quísticas que comprometen el parénquima renal bilateral. Continúa.

B) CT simple corte coronal: riñones aumentados de tamaño con múltiples quistes. C) Ecografía doppler color: riñón trasplantado sin alteraciones. D) CT simple corte sagital: riñón trasplantado (asterisco), riñón derecho con múltiples quistes (cabeza de flecha) y quiste hepático (flecha). Continúa.

Figura 1: B) CT simple corte coronal: riñones aumentados de tamaño con múltiples quistes. C) Ecografía doppler color: riñón trasplantado sin alteraciones. D) CT simple corte sagital: riñón trasplantado (asterisco), riñón derecho con múltiples quistes (cabeza de flecha) y quiste hepático (flecha). Continúa.

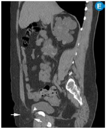
E) CT simple corte sagital: hernia inguinal directa derecha (entre flechas) con pequeña porción de la vejiga dentro del saco herniario (cabeza de flecha).

Figura 1: E) CT simple corte sagital: hernia inguinal directa derecha (entre flechas) con pequeña porción de la vejiga dentro del saco herniario (cabeza de flecha).

Fuente: Archivo personal JM.

Tabla 1: Criterios diagnósticos ecográficos para enfermedad renal poliquística dominante (ADPKD).

ADPKD: Enfermedad renal poliquística dominante.

Fuente: Elaboración propia.

Por su alta sensibilidad, disponibilidad y bajo costo, la ecografía renal es el estudio inicial con el que se pueden observar riñones grandes con quistes bilaterales, múltiples y tamaño variable (figura 1); sin embargo, es altamente dependiente del operador y es menos sensible para detectar quistes <1cm que se visualizan mejor en la escanografía o en la resonancia magnética 24. Pese a que en la actualidad no existen criterios estandarizados en estas dos técnicas imagenológicas para el diagnóstico de la PKD, la tomografía computarizada (TC) y la resonancia magnética (RM) son más sensibles para el diagnóstico de los quistes en los casos dudosos, la detección de complicaciones, la valoración de la progresión y la respuesta al tratamiento 25 (figura 2).

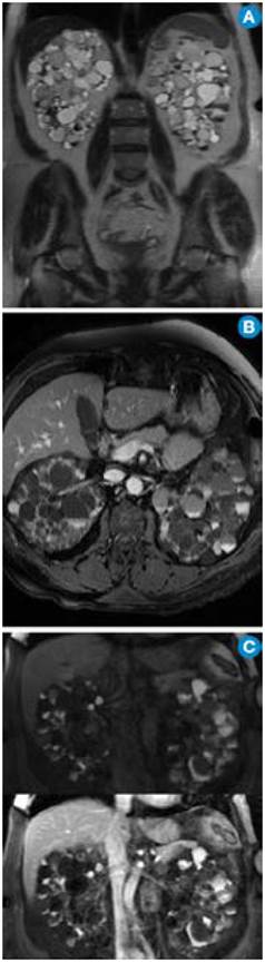
Enfermedad renal poliquística dominante en paciente trasplantado. A) MR coronal T2. Se observan los ríñones aumentados de tamaño con múltiples quistes con diferentes intensidades de señal por contenido hemático en diferentes fases. B) MR axial T1 fatsat con contraste: el aumento de la intensidad de señal de los quistes es secundario al contenido hemático. C) MR coronal T1 fatsat simple (arriba) y contrastado (abajo): se nota la ausencia de realce de las lesiones quísticas que confirma el hallazgo. Continúa.

Figura 2: Enfermedad renal poliquística dominante en paciente trasplantado. A) MR coronal T2. Se observan los ríñones aumentados de tamaño con múltiples quistes con diferentes intensidades de señal por contenido hemático en diferentes fases. B) MR axial T1 fatsat con contraste: el aumento de la intensidad de señal de los quistes es secundario al contenido hemático. C) MR coronal T1 fatsat simple (arriba) y contrastado (abajo): se nota la ausencia de realce de las lesiones quísticas que confirma el hallazgo. Continúa.

D) MR coronal T2: se observa el riñón trasplantado (asterisco).

Figura 2: D) MR coronal T2: se observa el riñón trasplantado (asterisco).

Fuente. Archivo personal JM.

Los criterios ultrasonográficos para realizar el diagnóstico de la ADPKD varían según el conocimiento del genotipo familiar. En la mayoría de los casos, el individuo en riesgo pertenece a una familia en la que no es conocido el genotipo. En cuanto a los criterios ecográficos de Ravine, en la actualidad son los más aceptados para evaluar pacientes con alto riesgo de PKD1 (tabla 1); sin embargo, dado que la mutación PKD2 se asocia con enfermedades menos graves, los pacientes tienden a ser subdiagnosticados cuando se utilizan estos criterios 26. Su sensibilidad y especificidad es del 99% y del 95% en pacientes de 30 años con alto riesgo de mutación PKD1. En pacientes con riesgo de PKD2, los hallazgos por ecografía son específicos en gran medida pero la sensibilidad disminuye a 67% 26. En general, aunque los riñones no crecen a un ritmo más rápido, los pacientes con PKD1 los tienen más grandes y con mayor número de quistes en el momento del diagnóstico que los pacientes con PKD2 27-29.

Cuando no hay historia familiar de ADPKD, el diagnóstico presuntivo se puede hacer cuando hay más de 10 quistes en cada riñón y no existen cambios extrarrenales que sugieran una patología diferente a la PKD, como esclerosis tuberosa, von Hippel-Lindau u otras enfermedades quísticas adquiridas 30.

En la ARPKD, el diagnóstico puede ser realizado en el período intrauterino, neonatal o en los primeros meses de vida por medio de una ecografía renal en la que se observan los riñones aumentados de tamaño, con pérdida de la relación corticomedular, hipoplasia pulmonar y oligohidramnios debido al bajo gasto urinario 31. En edades posteriores se prefieren las imágenes por TC y RM para seguimiento o, como ya se mencionó, para casos dudosos. En las fases tempranas, los riñones pueden ser de tamaño y forma normal; en las fases posteriores aumenta el número y el tamaño de los quistes, con distribución difusa del parénquima, aumento del tamaño (se alcanzan longitudes de hasta 40cm) y, por consiguiente, aumento del volumen renal. La RM es la técnica de elección empleada para la volumetría de los quistes y del parénquima como indicadores de progresión o de respuesta al tratamiento.

El diagnóstico genético puede ser requerido cuando las imágenes no sean concluyentes, cuando los pacientes deseen conocer su predisposición genética2,32 o cuando se necesite un diagnóstico certero, como es el caso de potenciales donantes para trasplante renal con donante vivo 7,32.

Manifestaciones clínicas

ADPKD

En la ADPKD, el desarrollo gradual de los quistes aumenta con la edad. Antes de la tercera década de la vida los quistes son pocos, de tamaño pequeño y no existe alteración en la función renal. Desde la cuarta y quinta década de la vida, los quistes renales son fáciles de reconocer y tienen un crecimiento exponencial, al punto de ocupar gran parte de la cavidad abdominal. A pesar de la presencia de los quistes, la función renal se mantiene normal.

La elevación de la creatinina como indicador de alteración de la función renal ocurre cuando hay una pérdida significativa del parénquima renal y los cambios renales son irreversibles (cuarta o quinta década de la vida) 3. Los riñones aumentan de tamaño hasta alcanzar más de 40cm de largo y pesar más de 8kg. El agrandamiento renal se asocia con reducción del flujo sanguíneo renal, cambios en la presión intrarrenal, alteración de la función renal y estimulación de mediadores neurohumorales locales, factores que llevan a la aparición de complicaciones como el dolor, la hematuria, la hipertensión arterial y la enfermedad renal crónica terminal 7.

El síntoma más común es el dolor, que se presenta en cerca del 60% de los pacientes 3,33,34 y se atribuye a la distensión de la cápsula por agrandamiento de la misma. También puede estar relacionado con otras complicaciones frecuentes como la urolitiasis y la infección urinaria 3.

La hipertensión arterial se presenta en el 50% de los pacientes con ADPKD entre 20-34 años, la mayoría con función renal conservada. Asimismo, está presente en casi todos los pacientes con disfunción renal y es consecuencia de la compresión vascular por los quistes renales y de la activación del eje renina-angiotensina-aldosterona 13,35. Además, se han documentado las proteínas policistina 1 y 2 en el endotelio y en el músculo liso vascular que contribuyen a un estado de vasoconstricción permanente y a un remodelamiento vascular renal, generando hipertensión arterial 36. La primera causa de muerte en los pacientes con ADPKD es de origen cardiovascular debido a hipertrofia ventricular y a enfermedad coronaria 33.

La hematuria es causada por hemorragia renal secundaria a la angiogénesis por estímulo del EFG. En TAC y RMN, la angiogénesis puede manifestarse en el 90% de los pacientes como quistes hiperdensos que deben ser diferenciados de carcinomas renales 7.

La infección se presenta por estasis secundaria a la alteración de la morfología renal y en general es causada por bacterias tipo Escherichia coli (74% de los casos), Staphylococcus aureus, Enterococcus, Lactobacillus y Enterobacteriaceae. Las imágenes por TAC o RMN pueden mostrar quistes complicados; su aspiración y estudio se debe realizar cuando las imágenes son sugestivas, pero los hemocultivos y urocultivos son negativos 34.

En mujeres embarazadas puede ser necesaria la realización de cesárea debido al aumento de la presión abdominal en el momento del parto 37.

Las complicaciones extrarrenales de la ADPKD incluyen divertículos en colón, defectos valvulares cardíacos, hernias inguinales y aneurismas cerebrales (riesgo 8% mayor que la población general) 16,38. La manifestación multisistémica es producto de la expresión de policistina en el musculo liso vascular de otros órganos fuera del riñón 39. A nivel cardíaco, el defecto valvular más común es el prolapso mitral, presente hasta en el 25% de los pacientes. La afectación de la válvula aórtica es menos frecuente. Los aneurismas intracraneales están presentes en el 5.6% de los casos y su incidencia aumenta si existe historia familiar de aneurisma. Además, la ruptura ocurre más temprano en la ADPKD que en la población general, con una edad promedio de 39 años 30.

El órgano en el que se pueden encontrar quistes extrarrenales con mayor frecuencia es el hígado. La prevalencia de quistes hepáticos calculada por RMN es de 58% para los pacientes entre 15-24 años, 85% entre 25-34 años y 94% entre 35-46 años 7. Otros órganos en los que se han documentado quistes son la vesícula seminal, el páncreas, el bazo y las membranas aracnoideas 33). No hay una asociación clara entre ADPKD y el ovario poliquístico 30.

ARPKD

En la ARPKD se afecta sobre todo el tubo colector de la nefrona. El espectro de enfermedad se puede dividir en cuatro grupos de presentación según la edad, el tamaño renal, el curso clínico y el grado de dilatación de los ductos renales. Se reconocen así: enfermedad perinatal, neonatal, infantil y juvenil 40.

Durante la etapa perinatal, el 25-30% de neonatos muere por hipoplasia pulmonar. Se ha descrito un fenotipo "potter-like" con la presencia de oligohidramnios, hipoplasia pulmonar letal y riñones ecogénicamente grandes que comprometen el nacimiento 7,16,41. En este grupo de pacientes, los riñones son de gran tamaño y el 90% de los ductos son ectásicos. Por lo general, estos niños mueren en la primera semana de vida y los que sobreviven progresan a enfermedad renal terminal durante la primera década de vida.

En la etapa neonatal el compromiso es menos severo y solo el 60% de los ductos están afectados. La enfermedad se manifiesta en el primer mes de vida y la mayoría de los niños en este grupo mueren antes del primer año por insuficiencia renal 41.

En el grupo de ARPKD infantil, el compromiso tubular renal es de cerca del 25% y es frecuente encontrar alteraciones hepáticas asociadas al daño renal. La enfermedad empieza a manifestarse de los 3 a los 6 meses de vida.

Por último, en la presentación juvenil solo el 10% de los túbulos renales están afectados con leve alteración de la función renal y con predominancia de las alteraciones hepáticas por fibrosis y desarrollo de hipertensión portal. En este grupo, la edad de presentación de la enfermedad es entre los 6 meses y los 5 años 30.

Los cálculos renales están presentes en el 20% de los pacientes con ADPKD y ARPKD y son de mayor frecuencia en la enfermedad recesiva. La litiasis es producto de la dilatación tubular por la presencia de quistes, lo que lleva a estasis de la orina y precipitación de calcio 30.

Pronóstico

La ARPKD y la ADPKD presentan un patrón de herencia mendeliano. En la ADPKD uno de los dos padres debe presentar la enfermedad y el riesgo de heredarla es de 50%. En 5-20% de los pacientes con ADPKD no se identifica un patrón de herencia claro ya sea porque es una mutación de novo o porque el familiar de primer grado con la enfermedad la presenta de manera leve y no ha sido diagnosticado 3. En la ARPKD ambos padres son portadores asintomáticos y no presentan la enfermedad. Cuando los dos presentan una mutación heterocigota del gen, la probabilidad de tener un hijo enfermo es del 25%, la probabilidad de tener un hijo portador asintomático es del 50% y la probabilidad de tener un hijo sano es del 25%.

En la mayoría de los pacientes, la función renal se mantiene intacta hasta la cuarta década de la vida. Una vez que la tasa de filtración glomerular (TFG) comienza a disminuir, la reducción media es de 4.4-5.9 ml/min por año 31.

ADPKD

En la ADPKD, la elevación de los niveles de creatinina es tardía 3, ocurre cuando la función renal está comprometida más del 50% y por lo general es irreversible 7.

La mutación del gen PKD1 tiene peor pronóstico que la del PKD2. La presencia del gen PKD1 se asocia con el desarrollo 20 años antes de hipertensión arterial y enfermedad crónica renal (ERC) 7. El 39.7% de pacientes con mutación del gen PKD2 presenta función renal normal a los 60 años, comparado con un 18.9% en los pacientes con mutación en el gen PKD1 7,42. También se ha encontrado que en pacientes con mutación del gen PKD1, el riesgo de desarrollar aneurismas aórticos y defectos valvulares es más alto y el riesgo de muerte súbita asociada a ruptura espontánea de aneurismas cerebrales es cinco veces mayor. Se han reportado casos de pacientes con mutaciones en ambos genes, lo cual implica una enfermedad más severa y de presentación más temprana 7,42,43.

Los factores asociados con mayor riesgo de desarrollar enfermedad renal terminal son: sexo masculino (en particular aquellos con mutación en PKD2), localización de la mutación en el gen PDK1, raza negra, primer episodio de hematuria antes de los 30 años, hipertensión arterial antes de los 35 años, hiperlipidemia, niveles bajos de HDL y enfermedad de células falciformes asociada 30.

ARPKD

En la ARPKD, el pronóstico varía según la severidad de la enfermedad renal. Si al momento del nacimiento el compromiso tubular renal es >90%, la probabilidad de supervivencia en el período neonatal es mínima (la mayoría muere en la primera semana de vida) y se asocia sobre todo a hipoplasia pulmonar severa secundaria. Cuando el compromiso tubular renal es del 60%, la causa de mortalidad es la insuficiencia renal que se desarrolla en el primer año de vida. En formas más leves de la enfermedad, cuando el compromiso es del 25%, la causa de mortalidad es la hipertensión portal y la insuficiencia renal, mientras que si el compromiso renal es <10%, la presentación de los síntomas es tardía, entre los 6 meses y 5 años de edad, y la mayor complicación se deriva de la hipertensión portal 40.

El desarrollo de ERC es variable. Algunos estudios reportan que en los pacientes que sobreviven al período neonatal, la progresión a ERC es casi del 100% a los 20 años de vida. Sin embargo, existen reportes de caso de pacientes con ARPKD adultos sin insuficiencia renal 44.

Otro factor de importante morbimortalidad es la hipertensión arterial secundaria. Su frecuencia varía de 68% a 100% en pacientes de tres años. Además de su asociación con las anteriores complicaciones, la hipertensión arterial es un factor de riesgo para la insuficiencia renal crónica terminal en la PKD y se asocia con el aumento de tamaño de los riñones antes de la pérdida de la función renal. Así, los estudios del Consortium for Radiologic Imaging of Polycystic Kidney Disease (CRISP) sugieren que la disminución de la TFG se correlaciona con el aumento de tamaño renal y del volumen de los quistes renales, así como con la reducción del flujo sanguíneo renal 27. De esta forma, la longitud renal >16.5cm, medida por ultrasonido, es un factor predictor de ERC estadio 5 a 8 años 27-29. En los pacientes que presentan enfermedad hepática asociada, el pronóstico se basa en el desarrollo de complicaciones como hipertensión portal, sangrado de várices, hiperesplenismo y colangitis 40.

Por último, algunos factores que contribuyen a la rápida progresión de la enfermedad, y con ello al precario pronóstico de la misma, se pueden dividir en los siguientes subgrupos: predictores ambientales (alto consumo de cafeína, poca ingesta de agua, tabaquismo, alto consumo de proteínas), genéticos (mutaciones del gen PKD1), de laboratorio (proteinuria, microalbuminuria), clínicos (hematuria, diagnóstico de hipertensión arterial temprana, disminución temprana de la TFG) e imagenológicos (volumen total renal y bajo flujo renal) 45.

Inicio de los síntomas

Los pacientes que presentan síntomas a una edad temprana son más propensos a desarrollar enfermedad renal terminal. En un estudio realizado en 1997, los pacientes diagnosticados antes de los 30 años tuvieron una supervivencia renal media de 10 años menos que los diagnosticados después de esa edad 46.

Embarazo

Existen pocas publicaciones que discuten el embarazo y la PKD. Una de estas presenta que el embarazo en las mujeres con ADPKD tiene un riesgo mayor de daño renal irreversible y de enfermedad renal en estadio terminal cuando en el momento de la concepción la paciente presenta una creatinina ≥1.4 mg/dl 47.

Por su parte, un estudio que comprendió 235 pacientes con ADPKD que tuvieron 605 embarazos y 108 pacientes sin la enfermedad que tuvieron 244 embarazos concluyó que las pacientes con ADPKD presentaban más complicaciones maternas (35%) que las pacientes control (19%). El principal factor asociado era la hipertensión, la preeclampsia cuando las pacientes eran >30 años y el edema 47. En el mismo estudio se encontró un mayor riesgo de recién nacidos prematuros en pacientes embarazadas con ADPKD y con diagnóstico de hipertensión gestacional o preeclampsia (28%) que en las que tenían ADPKD sin hipertensión ni preeclampsia (10%). La depuración de creatinina fue significativamente más baja (49±5 vs 66±3 mL/min por 1.73m2; p<0.01) en pacientes con ADPKD con cuatro embarazos o más que en las pacientes con menos de cuatro embarazos en su historia reproductiva 48.

Asimismo, no se presentó una diferencia significativa en el número de nacidos vivos, la muerte perinatal, las complicaciones fetales y el embarazo ectópico entre el grupo poblacional femenino con ADPKD y el grupo control sin la enfermedad. No obstante, sin una diferencia significativa, el embarazo ectópico se presentó con mayor frecuencia en el grupo con ADPKD que en el grupo control, hallazgo que podría tener relevancia clínica en un futuro al estar relacionado con la anormalidad anatómica de las trompas de Falopio en las mujeres con PKD 48.

Algunos estudios refieren la asociación de los quistes hepáticos y, por consecuente, el desarrollo de hipertensión portal y varices esofágicas como un factor de mal pronóstico en el embarazo de las pacientes con ADPKD y ARPKD 47,49. Según esta bibliografía, los quistes hepáticos están asociados a un 30% de todos los casos de ADPKD 49.

Por último, entre las complicaciones fetales asociadas con la ADPKD se presenta el retardo en el crecimiento intrauterino, el abrupcio placentario y la insuficiencia placentaria, con una muerte fetal de 9% en pacientes con ADPKD que ya presentan diálisis 49.

Manejo

El tratamiento de los pacientes con PKD incluye medidas no específicas encaminadas a controlar los síntomas y a evitar la progresión de la enfermedad renal.

Es importante realizar la detección y el manejo temprano de la hipertensión arterial, ya que está asociada con la progresión de la enfermedad. Teniendo en cuenta que los pacientes con esta enfermedad presentan activación del sistema renina-angiotensina-aldosterona y que algunos de ellos pueden cursar con proteinuria, está indicado el manejo con inhibidores de la enzima convertidora de angiotensina (IECAS) o bloqueadores de receptores de angiotensina II (ARAII) (40,44). La meta de la presión arterial sugerida por algunas guías internacionales es <130/80 mmHg; sin embargo, no hay estudios que sugieran que los pacientes deben ser manejados de forma diferente a los que tienen enfermedad renal por otras causas 8,41,50.

Por otra parte, a pesar de que las estatinas parecen tener efecto sobre el flujo sanguíneo renal y la función endotelial 51,52, los estudios realizados hasta el momento arrojan resultados contradictorios acerca del beneficio de estos medicamentos en cuanto al volumen total renal y al deterioro de la función renal en pacientes con PKD 53.

En un estudio realizado en 49 pacientes con ADPKD, se administró de forma aleatoria 20mg de pravastatina o placebo por 2 años para determinar si tenía un impacto positivo en la función renal de los pacientes implicados. La evaluación de la función renal se realizó mediante cálculos en la TFG, la excreción de proteínas en orina y la depuración de la creatinina en 24 horas. Al final de los 2 años no se encontraron diferencias significativas entre el grupo placebo y el tratado con pravastatina 54.

Existen otros tratamientos basados en la presentación de complicaciones de los pacientes. La embolización selectiva puede ser una alternativa terapéutica en los pacientes con hematuria, aunque rara vez se requiere. Las infecciones de vías urinarias deben manejarse con antibióticos según la sensibilidad del microorganismo aislado. Las opciones de tratamiento de los cálculos urinarios son las mismas que en los pacientes sin PKD (litotripsia extracorpórea, nefrostolitotomía, alcalinización urinaria); sin embargo, existe una mayor dificultad en el manejo de estos pacientes 55. Si hay dolor que no mejora con el manejo médico se recomienda aspiración de los quistes o esclerosis y si se torna recurrente o intratable, embolización o nefrectomía 8.

Las guías CARI de aneurismas intracerebrales en pacientes con ADPKD recomiendan hacer tamizaje de aneurisma intracerebral en pacientes con los siguientes criterios 51:

  1. Historia familiar en al menos un pariente de primer grado que haya tenido hemorragia subaracnoidea, hemorragia intracerebral o aneurisma.

  2. Pacientes con cefalea intensa y súbita o cambios en el estado neurológico.

El tamizaje debe ser realizado con angiografía del círculo de Willis, ya sea por TAC o RNM, cada 5 o 10 años después del primer estudio negativo. En cuanto a medidas preventivas, se sugiere manejar o prevenir el tabaquismo por su relación de causa con los aneurismas 51.

El manejo de los aneurismas cerebrales en el paciente con ADPKD depende del tamaño, los antecedentes, la edad y los síntomas. En el estudio multicéntrico International Study of Unruptured Intracranial Aneurysms (ISUIA) se reclutaron 2 621 pacientes. Los que presentaban aneurismas <10mm tenían un riesgo de ruptura del 0.05% por año; se sugirió dar manejo no quirúrgico ya que el riesgo de morbimortalidad post quirúrgico y, por consiguiente, de hemorragia subaracnoidea era 7.5 veces mayor que el de ruptura del aneurisma. En este grupo se sugirió hacer seguimiento cada 5-10 años. Los pacientes con aneurismas >10mm presentaban un riesgo de ruptura del 0.5% por año, es decir, la probabilidad de ruptura y hemorragia era 11 veces mayor que la de los pacientes del grupo anterior.

Cuando el tamaño es de 7-12mm la probabilidad de ruptura varía del 2.6% al 14.5% 8,56. Por su parte, el manejo quirúrgico con adecuada indicación presenta una mortalidad de 12.7% posoperatorio 50.

Nuevas estrategias de manejo

Las nuevas estrategias terapéuticas incluyen antagonistas de receptores V2 de vasopresina para la disminución de AMPc 14. Estudios in vitro sugieren que el aumento intracelular de adenosina monofosfato cíclico (cAMP) juega un papel importante en la citogénesis de la PKD (54).El tolvaptán en ensayos clínicos ha disminuido niveles de AMPc.

Los resultados de un estudio multicéntrico (TEMPO) indicaron inicialmente un efecto beneficioso del tolvaptán en la progresión de la enfermedad renal en la ADPKD 56,57. Los criterios de inclusión fueron: edad de 18-50 años (media de 40 años); depuración de creatinina >60 ml/min (media de 81 ml/min) con un mínimo nivel >45 ml/min para empezar el tratamiento en pacientes con ADPKD; estadio renal 1, 2 y 3; mayor probabilidad de progresión rápida de la enfermedad, definida como reducción de la TFG en 5 ml/min/1.73m2 en 1 año o reducción en 2.5 ml/min/1.73m2 por año en 5 años, y longitud renal ≥16.5cm en pacientes <45 años 44,58,59.

La dosis diaria de tolvaptán inicial fue de 45mg en la mañana y 15mg en la noche, hasta dosis que varían de 60mg a 120mg, con una media diaria de 90mg (dividido en 60mg por la mañana y 30mg por la noche o 90/30) 44. El estudio TEMPO demostró que el tolvaptán podía desacelerar el rango de crecimiento del volumen total renal con una reducción del 49% (5.5% vs 2.8% por año) en 3 años de tratamiento 44. De igual forma, se encontró que la disminución anual de la función renal (evaluada por el recíproco de la concentración de creatinina en suero) se redujo 26% y fue más lenta en los pacientes que recibieron tolvaptán que en los que recibieron el placebo (3.70 al 2.72 mL/min/1.73m2) 44. No obstante, algunos efectos adversos importantes fueron deshidratación, aumento de las enzimas hepáticas, hiperglicemia, aumento del ácido úrico, dolor en el pecho y dolor de cabeza 44,60, anormalidades que se resolvieron de manera espontánea o luego de la retirada del tolvaptán.

Los resultados positivos del estudio pueden haber sido mitigados porque a todos los pacientes se les pidió aumentar su consumo de agua y evitar la deshidratación 60. Lo anterior puede haber suprimido los niveles de vasopresina en el grupo placebo, lo que resulta en una subestimación del efecto beneficioso de tolvaptán. Con base en los resultados de los ensayos TEMPO, el tolvaptán ha sido aprobado para su uso en pacientes con ADPKD en Japón, Canadá y Europa Occidental, pero no por la Administración de Alimentos y Fármacos de EE. UU. (FDA).

Los análogos de la somatostatina en los pacientes con PKD reducen la acumulación de líquido en los quistes renales y hepáticos. En la literatura se ha mostrado que pueden reducir el rango de proliferación celular, la secreción de líquido, la disminución en la TFG en un 50% (2.28 vs 4.32 ml/min/1.73m2 por año) a 3 años de tratamiento y el volumen total renal a un 60%, en comparación con el placebo. Además, se han asociado con una mejor percepción del dolor y de la actividad física 61. Dentro de los efectos secundarios se incluye la diarrea leve, el dolor abdominal, las náuseas, la sensación de gases y la colelitiasis asintomática la mayoría de las veces; su efecto benéfico parece ser atenuado después de dos años de tratamiento 61.

Los inhibidores de mTOR como sirolimus y everolimus se han estudiado en roedores 8,36; además, estudios retrospectivos de pacientes renales trasplantados muestran reducción en el volumen de los quistes hepáticos. Dado su efecto inhibitorio en la proliferación celular, podrían retardar la expansión de los quistes 2. Algunos estudios muestran resultados discordantes, por lo que no hay un claro beneficio en la función renal a largo plazo y sí se ven efectos secundarios como proteinuria, leucopenia, trombocitopenia, e hiperlipidemia. 62.

Se realizó un estudio aleatorizado en humanos con tratamiento placebo versus everolimus en 433 pacientes y se encontró una reducción significativa del volumen renal total y del volumen del parénquima renal en el primer año de seguimiento 62. La prevención del deterioro en la TFG y la disminución del volumen total renal no fueron significativas en esta cohorte de pacientes a largo plazo de tratamiento con everolimus 62.

Antineoplásicos como inhibidores de receptores del factor de crecimiento endotelial, Srckinasa, MEK (de la familia de proteína quinasa activadora de mitógenos) y CDK 8 y el uso de bloqueadores de la glicólisis han tenido buenos resultados en modelos murinos 4.

La amilorida y la restricción de cafeína pueden inhibir el aumento del tamaño de los quistes en modelos animales de la enfermedad quística, pero no han demostrado ser eficaces en los pacientes con ADPKD 63.

Los pacientes con ADPKD que progresan a ERC estadio 5 pueden ser manejados con diálisis peritoneal, hemodiálisis o trasplante renal. La diálisis peritoneal se realiza con menos frecuencia que la hemodiálisis debido a que es difícil para los pacientes manejar grandes volúmenes de líquido en la cavidad abdominal, ya que gran parte de esta puede estar ocupada por los riñones; sin embargo, algunos pacientes pueden tolerarlo 13. La elección de la modalidad de diálisis debe ser individualizada de acuerdo a los antecedentes y al deseo del paciente, al soporte social y a la comorbilidad, como se hace en las personas con otras causas de enfermedad renal 13.

Trasplante renal en pacientes con PKD

Los pacientes con PKD pueden ser candidatos a trasplante renal. La tasa de efectividad y las complicaciones de pacientes trasplantados con ADPKD y enfermedad renal crónica terminal es la misma que en los pacientes que presentan enfermedad renal crónica terminal por otras causas 8,31.

Durante el estudio pretrasplante del paciente con PKD, se sugieren los siguientes puntos 38:

1. Indicaciones de nefrectomía rutinaria

La nefrectomía de rutina antes del trasplante ya no se recomienda y, en promedio, menos de 1/3 de los pacientes en las series publicadas se someten a nefrectomías pretrasplante 31,33. En la actualidad se prefiere el uso de embolización por transcatéter unilateral arterial que permite la reducción del volumen renal total para proceder a la implantación del riñón trasplantado. Las indicaciones incluyen la falta de espacio para la inserción de un injerto renal, dolor severo, saciedad temprana, infección severa y recurrente en los quistes renales, hemorragias graves, nefrolitiasis sintomática y la sospecha de cáncer renal 38.

2. Tamizaje para detección de aneurismas intracerebrales

Como ya se mencionó, las guías CARI presentan los principales factores de riesgo para el desarrollo de aneurismas intracraneales. Se recomienda detectarlos mediante angiografía y RNM 50.

3. Tamizaje para detección de quistes intrahepáticos

Se debe determinar si los pacientes con PKD que son candidatos para trasplante renal presentan quistes intrahepáticos para evaluar la posibilidad de realizar un trasplante dual reno-hepático que se considera en casos de hepatomegalia dolorosa o colangitis recurrente, cuando el paciente presenta una TFG ≤30 ml/min/1.73m2.

En el estudio pretrasplante de donantes, los familiares del paciente con PKD que quieran donar su riñón deben cumplir los siguientes requisitos para ser donante renal potencial: si tienen <30 años deben tener estudios genéticos negativos de la mutación PKD1 o PKD2, RNM y ecografía renal normal; si tienen entre 30-40 años deben tener RNM y ecografía renal negativas para enfermedad quística, y los >40 años deben de tener uno o ningún quiste renal 38.

Después del trasplante renal en los pacientes con PKD, se encuentra disminución del crecimiento de los quistes renales (de 38% en el primer año a 41% en el tercer año), pero no de los quistes hepáticos 31,38. Entre las terapias más usadas de inmunosupresión se encuentran los inhibidores de m-TOR (everolimus, sirulimus) que están siendo discontinuados debido a sus efectos adversos y a la no reducción significativa del tamaño renal total nativo 38.

Por último, después del trasplante renal se debe estar atento a algunas complicaciones extrarrenales como la aparición de diabetes de novo post trasplante, los eventos cerebrovasculares (aunque es controversial), el cáncer de piel no melanocítico, la eritrocitosis, las infecciones del tracto urinario y la diverticulitis 38,64. Asimismo, se debe prevenir el riesgo de ruptura de aneurismas intracerebrales, manejar los quistes hepáticos, la hipertensión y las valvulopatías asociadas in situ a la enfermedad poliquística renal 38.

Acknowledgements

Agradecimientos

Ninguno declarado por los autores.

Referencias

  1. 1. Sweeney WE, Avner ED. Pathophysiology of childhood polycystic kidney diseases: new insights into disease-specific therapy. Pediatr. Res. 2014; 75(1-2):148-57. http://doi.org/gbfqc4. [URL] 🠔
  2. 2. Mochizuki T, Tsuchiya K, Nitta K. Autosomal dominant polycystic kidney disease: recent advances in pathogenesis and potential therapies. Clin. Exp. Nephrol. 2013; 17(3):317-326. http://doi.org/f42wjp. [URL] 🠔
  3. 3. Grantham JJ, Torres VE, Chapman AB, Guay-Woodford LM, Bae KT, King BF, et al. Volume Progression in Polycystic Kidney Disease. N. Engl. J. Med. 2006; 354:2122-30. http://doi.org/drjghg. [URL] 🠔
  4. 4. Rowe I, Boletta A. Defective metabolism in polycystic kidney disease: potential for therapy and open questions. Nephrol. Dial. Transplant. 2014; 29(8):1480-6. http://doi.org/f6bwnr. [URL] 🠔
  5. 5. Bennett WM. Autosomal dominant polycystic kidney disease: 2009 update for internists. Korean. J. Intern. Med. 2009; 24(3): 165-8. http://doi.org/bpkd3h. [URL] 🠔
  6. 6. Dias NF, I alizarini V, Onuchic LF, Koch VH. Clinical aspects of autosomal recessive polycystic kidney disease (ARPKD). J. Bras. Nefrol. 2010; 32(3):263-7. 🠔
  7. 7. Grantham JJ. Autosomal Dominant Polycystic Kidney Disease. N. Engl. J. Med. 2008; 359: 1477-85. http://doi.org/b68ksh. [URL] 🠔
  8. 8. Torres VE, Harris PC, Pirson Y. Autosomal dominant polycystic kidney disease. Lancet. 2007; 369(9569):1287-301. http://doi.org/crtnwf. [URL] 🠔
  9. 9. Pei Y, Watnick T. Autosomal Dominant Polycystic Kidney Disease. Adv. Chronic. Kidney Dis. 2010; 17(2):115-7. http://doi.org/cj7pf2. [URL] 🠔
  10. 10. Pei Y, Obaji J, Dupuis A, Paterson AD, Magistroni R, Dicks E, et al Unified Criteria for ultrasonographic diagnosis of ADPKD. J. Am. Soc. Nephrol. 2009; 20(1):205-212. http://doi.org/cq45rf. [URL] 🠔
  11. 11. Grantham JJ. Autosomal Dominant Polycystic Kidney Disease. Ann. Transplant. 2009 Oct-Dec;14(4):86-90. 🠔
  12. 12. Cadnapaphornchai MA. Autosomal dominant polycystic kidney disease in children. Curr. Opin. Pediatr. 2015; 27(2):193-200. http://doi.org/f669mq. [URL] 🠔
  13. 13. Ars E, Bernis C, Fraga G, Martínez V, Martins J, Ortiz A, et al. Poliquistosis renal autosómica dominante. Guías clínicas españolas. 2015. [cited 2017 Nov 28]. Available from: Available from: https://goo.gl/wZCWvc . [URL] 🠔
  14. 14. Chang MY, Ong AC. Autosomal dominant polycystic kidney disease: recent advances in pathogenesis and treatment. Nephron. Physiol. 2008; 108(1):1-7. http://doi.org/ft9pff. [URL] 🠔
  15. 15. Dell KM. The spectrum of polycystic kidney disease in children. Adv. Chronic. Kidney. Dis. 2011; 18(5):339-347. http://doi.org/bfnkdh. [URL] 🠔
  16. 16. Waterman J. Diagnosis and Evaluation of Renal Cysts. Prim. Care. 2014; 41(4) 823-35. http://doi.org/cgp6. [URL] 🠔
  17. 17. Groisman B, Juarez-Peñalva S, Hernadorena C, Mazzitelli N, Rittler M. Poliquistosis renal en el recién nacido. Rev. Hosp. Mat. Inf. Ramón Sardá. 2008; 27(3):134-8. 🠔
  18. 18. Abdul-Majeed S, Nauli SM. Polycystic Diseases in Visceral Organs. Obstet. Gynecol. Int. 2011; 2011:609370. http://doi.org/fxpc7g. [URL] 🠔
  19. 19. Hildebrandt F. Genetic kidney diseases. Lancet. 2010; 375(9722):1287-95. http://doi.org/cv9qff. [URL] 🠔
  20. 20. Silverman J, Desai C, Lerma EV. Autosomal dominant polycystic kidney disease. Dis. Mon. 2015; 61(10):442-7. http://doi.org/cgp9. [URL] 🠔
  21. 21. Kasper D, Fauci A, Hauser S, Longo D, Jameson J, Loscalzo J. Harrison. Principios de Medicina Interna. 19th ed. Mc Graw Hill; 2016. 🠔
  22. 22. Rowe I, Chiaravalli M, Mannella V, Ulisse V, Quilici G, Pema M, et al. Defective glucose metabolism in polycystic kidney disease identifies a new therapeutic strategy. Nat. Med. 2013; 19(4):488-93. http://doi.org/f4rrtd. [URL] 🠔
  23. 23. Menezes LF, Zhou F, Patterson AD, Piontek KB, Krausz KW, Gonzalez FJ, et al. Network analysis of a Pkd1-mouse model of autosomal dominant polycystic kidney disease identifies HNF4a as a disease modifier. PLoS. Genet. 2012; 8(11):e1003053. http://doi.org/cgqb. [URL] 🠔
  24. 24. Chapman AB, Wei W. Imaging approaches to patients with polycystic kidney disease. Semin. Nephrol. 2011; 31(3):237-44. http://doi.org/cqmgnp. [URL] 🠔
  25. 25. Jacquet A, Pallet N, Kessler M, Hourmant M, Garrique V, Rostaing L, et al. Outcomes of renal transplantation in patients with autosomal dominant polycystic kidney disease: a nationwide longitudinal study. Transpl. Int. 2011; 24(6):582-7. http://doi.org/fhx4gd. [URL] 🠔
  26. 26. Katabathina VS, Kota G, Dasyam AK, Shanbhoque AK, Prasad SR. Adult renal cystic disease: a genetic, biological, and developmental primer. Radiographics. 2010; 30(6):1509-23. http://doi.org/bxxv9s. [URL] 🠔
  27. 27. Chapman AB. Autosomal dominant polycystic kidney disease: time for a change? J.Am. Soc. Nephrol. 2007; 18(5):1399-407. http://doi.org/d946wh. [URL] 🠔
  28. 28. Chapman AB, Guay-Woodford LM, Grantham JJ, Torres VE, Bae KT, Baumgarten DA, et al. Renal structure in early autosomal-dominant polycystic kidney disease (ADPKD): The Consortium for Radiologic Imaging Studies of Polycystic Kidney Disease (CRISP) cohort. Kidney. Int. 2003; 64(3):1035-45. http://doi.org/c8z74f. [URL] 🠔
  29. 29. Fick-Brosnahan GM, Belz MM, McFann KK, Johnson AM, Schrier RW. Relationship between renal volume growth and renal function in autosomal dominant polycystic kidney disease: a longitudinal study. Am. J. Kidney Dis. 2002; 39(6):1127-34. http://doi.org/cmzkrz. [URL] 🠔
  30. 30. Chapman AB, Bennett WM, Rahbari-Oskoui FF. Course and treatment of autosomal dominant polycystic kidney disease. Uptodate; 2016. [cited 2017 Nov 28]. Available from: Available from: https://goo.gl/JGG3em . [URL] 🠔
  31. 31. Torres VE, Harris PC. Autosomal dominant polycystic kidney disease: the last 3 years. Kidney Int. 2009; 76(2):149-68. http://doi.org/bj9d8w. [URL] 🠔
  32. 32. Guatibonza YP, Rodríguez RE, Córdoba JP, Zarante I. Actualidad de la enfermedad renal poliquística. Univ. Méd. 2013; 54(1): 53-68. 🠔
  33. 33. Durán-Álvarez S. Enfermedad renal poliquística autosómica dominante. Rev. Cubana Pediatr. 2007; 79(3). 🠔
  34. 34. Saigusa T, Bell PD. Molecular pathways and therapies in autosomal-do-minant polycystic kidney disease. Physiology (Bethesda). 2015;30(3):195-207. http://doi.org/cgqd. [URL] 🠔
  35. 35. Ong AC, Devuyst O, Knebelmann B, Walz G. Autosomal dominant polycystic kidney disease: the changing face of clinical management. Lancet. 2015; 385(9981):1993-2002. http://doi.org/f3g472. [URL] 🠔
  36. 36. Chapman AB, Stepniakowski K, Rahbari-Oskoui F. Hypertension in autosomal dominant polycystic kidney disease. Adv. Chronic. Kidney. Dis. 2010; 17(2):153-63. http://doi.org/dr66s8. [URL] 🠔
  37. 37. Srivastava A, Patel N. Autosomal dominant polycystic kidney disease. Am. Fam. Physician. 2014; 90(5):303-7. 🠔
  38. 38. Piccoli GB, Cabiddu G, Attini R, Vigotti F, Fassio F, Rolfo A, et al. Pregnancy in Chronic Kidney Disease: questions and answers in a changing panorama. Best. Pract. Res. Clin. Obstet. Gynaecol. 2015; 29(5):625-42. http://doi.org/f7ktvs. [URL] 🠔
  39. 39. Akoh JA. Current management of autosomal dominant polycystic kidney disease. World. J. Nephrol. 2015; 4(4):468-79. http://doi.org/cgqf. [URL] 🠔
  40. 40. Kanaan N, Devuyst O, Pirson Y. Renal transplantation in autosomal dominant polycystic kidney disease. Nat. Rev. Nephrol. 2014; 10(8):455-65. http://doi.org/f6jpmc. [URL] 🠔
  41. 41. Durán-Álvarez S. Enfermedad poliquística autosómica recesiva. Rev. Cubana Pediatr. 2007; 79(2). 🠔
  42. 42. Verghese P, Miyashita Y. Neonatal polycystic kidney disease. Clin. Perinatol. 2014; 41(3):543-60. http://doi.org/cgqh. [URL] 🠔
  43. 43. International Study of Unruptured Intracranial Aneurysms Investigators. Unruptured intracranial aneurysms--risk of rupture and risks of surgical intervention. N.Engl. J. Med. 1998; 339(24):1725-33. http://doi.org/dt7d8d. [URL] 🠔
  44. 44. Peters DJ, Breuning MH. Autosomal dominant polycystic kidney disease: modification of disease progression. Lancet. 2001; 358(9291):1439-44. http://doi.org/dh5tpm. [URL] 🠔
  45. 45. Lonergan GJ, Rice RR, Suarez ES. Autosomal recessive polycystic kidney disease: radiologic-pathologic correlation. Radiographics. 2000; 20(3):837-55. http://doi.org/cgqk. [URL] 🠔
  46. 46. Gansevoort RT, Arici M, Benzing T, Birn H, Capasso G, Covic A, et al. Recommendations for the use of tolvaptan in autosomal dominant polycystic kidney disease: a position statement on behalf of the ERA-EDTA Working Groups on Inherited Kidney Disorders and European Renal Best Practice. Nephrol. Dial. Transplant. 2016; 31(3):337-48. http://doi.org/f8djfh. [URL] 🠔
  47. 47. Johnson AM, Gabow PA. Identification of patients with autosomal dominant polycystic kidney disease at highest risk for end-stage renal disease. J. Am. Soc. Nephrol. 1997; 8(10):1560-7. 🠔
  48. 48. Banks N, Bryant J, Fischer R, Huizing M, Gahl WA, Gunay-Aygun M. Pregnancy in autosomal recessive polycystic kidney disease. Arch. Gynecol. Obstet. 2015; 291(3):705-8. http://doi.org/f62rs3. [URL] 🠔
  49. 49. Chapman AB, Johnson AM, Gabow PA. Pregnancy outcome and its relationship to progression of renal failure in autosomal dominant poly-cystic kidney disease. J. Am. Soc. Nephrol. 1994; 5(5):1178-85. 🠔
  50. 50. Klinkert J, Koopman MG, Wolf H. Pregnancy in a patient with autosomal-dominant polycystic kidney disease and congenital hepatic fibrosis. Eur. J. Obstet. Gyneco.lReprod. Biol. 1998; 76(1):45-7. 🠔
  51. 51. Mallett A, Lee VW, Mai J, Lopez-Vargas P, Rangan GK. KHA-CARI Autosomal Dominant Polycystic Kidney Disease Guideline: Pharmacological Management. Semin. Nephrol. 2015; 35(6):582-589. http://doi.org/cgqp. [URL] 🠔
  52. 52. Namli S, Oflaz H, Turgut F, Alisir S, Tufan F, Ucar A, et al. Improvement of endothelial dysfunction with simvastatin in patients with autosomal dominant polycystic kidney disease. Ren. Fail. 2007;29(1):55-9. http://doi.org/cfmn3j. [URL] 🠔
  53. 53. Bremmer MS, Jacobs SC. Renal artery embolization for the symptomatic treatment of adult polycystic kidney disease. Nat. Clin. Pract. Nephrol. 2008;4(5):236-7. http://doi.org/fss6h2. [URL] 🠔
  54. 54. Cadnapaphornchai MA, George DM, McFann K, Wang W, Gitomer B, Strain JD, et al. Effect of pravastatin on total kidney volume, left ventricular mass index, and micro albuminuria in pediatric autosomal dominant polycystic kidney disease. Clin. J. Am. Soc. Nephrol. 2014; 9(5):889-96. http://doi.org/f54zgb. [URL] 🠔
  55. 55. Fassett RG, Coombes JS, Packham D, Fairley KF, Kincaid-Smith P. Effect of pravastatin on kidney function and urinary protein excretion in autosomal dominant polycystic kidney disease. Scand. J. Urol. Nephrol. 2010; 44(1):56-61. http://doi.org/b9zcmj. [URL] 🠔
  56. 56. Lee VW, Dexter MA, Mai J, Vladica P, Lopez-Vargas P, Rangan GK. KHA-CARI Autosomal Dominant Polycystic Kidney Disease Guideline: Management of Intracranial Aneurysms. Semin. Nephrol. 2015;35(6):612-617. http://doi.org/cgqs. [URL] 🠔
  57. 57. Higashihara E, Torres VE, Chapman AB, Grantham JJ, Bae K, Wat-nick TJ, et al. Tolvaptan in autosomal dominant polycystic kidney disease: three years' experience. Clin. J. Am. Soc. Nephrol. 2011;6(10):2499-507. http://doi.org/dphfch. [URL] 🠔
  58. 58. Torres VE, Chapman AB, Devuyst O, Gansevoort RT, Grantham JJ, Higashihara E, et al. Tolvaptan in patients with autosomal dominant polycystic kidney disease. N. Engl. J. Med. 2012;367(25):2407-18. http://doi.org/cgqt. [URL] 🠔
  59. 59. International Society of Nefrology. Kidney Disease: Improving Global Outcomes (KDIGO) CKD Work Group. KDIGO Clinical Practice Guideline for the Evaluation and Management of Chronic Kidney Disease. Kidney. Int. Suppl. 2013; 3(1):1-150. 🠔
  60. 60. Irazabal MV, Rangel LJ, Bergstralh EJ, Osborn SL, Harmon AJ, Sundsbak JL, et al. Imaging classification of autosomal dominant polycystic kidney disease: a simple model for selecting patients for clinical trials. J. Am. Soc. Nephrol. 2015; 26(1):160-172. http://doi.org/f6vjqj. [URL] 🠔
  61. 61. Wüthrich RP, Mei C. Aquaretic treatment in polycystic kidney disease. N. Engl. J. Med. 2012; 367(25):2440-2. http://doi.org/cgqw. [URL] 🠔
  62. 62. Hogan MC, Masyuk TV, Page L, Holmes DR 3rd, Li X, Bergstralh EJ, et al. Somatostatin analog therapy for severe polycystic liver disease: results after 2 years. Nephrol. Dial. Transplant. 2012; 27(9):3532-9. http://doi.org/f37spb. [URL] 🠔
  63. 63. Walz G, Budde K, Mannaa M, Nürnberger J, Wanner C, Sommerer C, et al. Everolimus in patients with autosomal dominant polycystic kidney disease. N. Engl. J. Med. 2010; 363(9):830-40. http://doi.org/ctn7dh. [URL] 🠔
  64. 64. Lederman ED, McCoy G, Conti DJ, Lee EC. Diverticulitis and poly-cystic kidney disease. Am. Surg. 2000; 66(2):200-3. 🠔
Actualización en enfermedad renal poliquística. Rev. Fac. Med. 2018;66(1):107-16. Spanish. doi: http://dx.doi.org/10.15446/revfacmed.v66n1.60760.
[Update in Polycystic Kidney Disease]. Rev. Fac. Med. 2018;66(1):107-16 Spanish. doi: http://dx.doi.org/10.15446/revfacmed.v66n1.60760.
Ninguno declarado por los autores.
Ninguna declarada por los autores.