Revista de la Facultad de Medicina
0120-0011
Universidad Nacional de Colombia
https://doi.org/10.15446/revfacmed.v67n3.69321

Recibido: 20 de diciembre de 2017; Aceptado: 4 de abril de 2018

Diagnóstico tardío de VIH/sida en pacientes rurales dado por baja sospecha diagnostica en la comunidad médica. Reportes de caso

Late diagnosis of HIV/AIDS in rural patients due to low diagnostic suspicion among the medical community. Case reports

G. Saint-Pierre-Contreras, 12*M. Valencia-Castillo, 1D. Conei-Valencia, 34

Hospital Santa Elisa de San José de la Mariquina - Servicio Hospitalizados - San José de la Mariquina - Chile. Hospital Santa Elisa de San José de la Mariquina Chile
Universidad de Chile - Facultad de Medicina - Laboratorio de Embriología Comparada - Santiago de Chile - Chile. Universidad de Chile Universidad de Chile Facultad de Medicina Santiago de Chile Chile
Universidad de La Frontera - Facultad de Medicina - Doctorado en Ciencias Morfológicas - Temuco - Chile. Universidad de La Frontera Universidad de La Frontera Facultad de Medicina Temuco Chile
Universidad San Sebastián - Facultad de Ciencias de la Salud - Departamento de Ciencias Morfológicas - Puerto Montt - Chile. Universidad San Sebastián Universidad San Sebastián Facultad de Ciencias de la Salud Departamento de Ciencias Morfológicas Puerto Montt Chile

Correspondencia: Gustavo Saint-Pierre-Contreras. Hospital Clínico Universidad de Chile. Avenida Santos Dumont No. 999, Servicio Laboratorio Central. Teléfono: +56 22978 8000. Independencia. Chile. Correo electrónico: gsaintp@gmail.com.

Todo el contenido de esta revista, excepto dónde está identificado, está bajo una Licencia Creative Commons

Resumen

Introducción.

La prevalencia de la infección por el virus de inmunodeficiencia humana (VIH) en Latinoamérica no ha sido estudiada de forma adecuada, pero se calcula que en Chile la mitad de los pacientes que están infectados no han sido diagnosticados y no están bajo control ni tratamiento.

Presentación de los casos.

Se presentan dos casos clínicos de pacientes masculinos de 22 y 33 años, sin antecedentes mórbidos, con múltiples consultas en diversos servicios clínicos. El diagnóstico se hizo en etapa sida (síndrome de inmunodeficiencia adquirida), con las complicaciones que se asocian cuando se diagnostica de manera tardía.

Conclusiones.

El VIH es una patología subdiagnosticada, en su mayoría por falta de sospecha y por los prejuicios de la población respecto a la realización del test de VIH. El cuerpo médico debe tomar la responsabilidad de pesquisar los casos de manera temprana para disminuir el impacto de la enfermedad, en especial en lugares con población vulnerable.

Palabras clave:

VIH, SIDA, Diagnóstico, Diagnóstico tardío (DeCS).

Abstract

Introduction:

The prevalence of the human immunodeficiency virus (HIV) infection in Latin America has not been adequately studied, but it is estimated that in Chile half of the patients who are infected have not been diagnosed and are not controlled or receiving treatment.

Case presentation:

This paper presents two clinical cases of male patients aged 22 and 33, without a medical history, and with multiple consultations for different reasons in various clinical services. The diagnosis was made at the AIDS stage (acquired immunodeficiency syndrome), with the complications associated with late diagnosis.

Conclusions:

HIV is an underdiagnosed pathology, mostly due to lack of suspicion and prejudiced attitudes towards HIV testing. The medical staff should take responsibility for the early study of these cases to reduce the impact of the disease, especially in places where vulnerable populations live.

Keywords:

HIV, AIDS, Diagnosis, Late Diagnosis (MeSH).

Introducción

Los primeros casos del virus de inmunodeficiencia humana (VIH) en Chile se reportaron en 1984. Desde esa fecha al 2011 las notificaciones alcanzaron 26 740 casos, 55.6% notificado en etapa VIH y 44.4% en etapa sida (síndrome de inmunodeficiencia adquirida) 1.

El gobierno de Chile tuvo en 1990 una rápida respuesta frente a la discriminación social de los pacientes al crear la Comisión Nacional del Sida (CONASIDA). Gracias a esta se formularon campañas para concientizar acerca de esta patología 2,3.

Entre 2010 y 2016 se reportaron 304 muertes en Chile por sida 1-3, mientras que antes de 2010 la cifra registrada fue de 7 310; el 87% correspondió a hombres. El último reporte en Chile, realizado por expertos a cargo, informa que los casos aumentaron 96% entre los años 2010 (fecha de última guía clínica en Chile) y 2017, pasando de 2 968 a 5 816 3,4.

La proporción actual de hombres frente a mujeres infectados es de 6:1, es decir, por cada mujer diagnosticada se encontraron 6 hombres con la patología, cifra casi 3 veces mayor a la de Latinoamérica, que corresponde a 2.8 5-7.

Este artículo se desarrolla luego de observar 2 casos ocurridos en el Hospital Santa Elisa de San José de la Mariquina, un centro de baja complejidad en el extremo sur de Chile. En ambos casos se presentaron múltiples consultas por patologías frecuentes, tanto en el sistema público como privado de la región, sin sospecha diagnostica de sida como enfermedad, lo que retrasó la pesquisa del cuadro y el tratamiento oportuno.

Presentación de los casos

Caso 1

Paciente masculino de 33 años, sin antecedentes mórbidos conocidos al momento de la consulta, con historial de estar privado de libertad en Santiago de Chile y con traslado reciente de residencia al sur del país, quien consulta por historia de 2 meses de evolución de pérdida de peso no cuantificada asociada a episodios de diarrea intermitente, en ocasiones sanguinolenta. Al examen físico destacan cifras tensionales en el límite bajo, aspecto delgado, piel hiperpigmentada y abdomen blando, depresible, doloroso de manera difusa y sin signos de irritación peritoneal. Dado que el sujeto había tenido dos consultas por esta causa en diversos centros de salud sin solución a su problema y que además su sintomatología aumentó, se indica estudio sanguíneo y radiológico. En los exámenes solicitados destaca amilasa 299 U/L, coprocultivo negativo, test de hemorragia oculta en deposiciones negativo con resultado de coproparasitológico y test de VIH pendiente. Se cita a control con el resultado de este último test.

El paciente consulta en tercera ocasión por cuadro de 3 días de evolución de dolor abdominal y cólico difuso no irradiado que se asocia a vómitos, sin diarrea, fiebre ni otros síntomas de alarma. Se realiza nueva batería de exámenes de laboratorio destacando: leucocitos de 14 200 células por mm3, hemoglobina 16.2 g/dL, eosinófilos 6.4%, proteína C reactiva 0.6, bilirrubina directa 0.19 mg/dL, fosfatasas alcalinas 128 U/L, glutámico-oxalacética transaminasa 129 U/L, glutamicopirúvica transaminasa 123 U/L, gamma glutamil transpeptidasa 21 U/L, creatinina plasmática 1.92 mg/dL, nitrógeno ureico en sangre 19 mg/dL, potasio 5.9 mEq/L, sodio 124 mEq/L y amilasa 327 U/L en aumento respecto a anterior.

Se presenta caso a hospital regional de referencia, donde sugieren hospitalización en una institución rural y eventual traslado para estudio con imagen si el sujeto persiste sintomático. Dado el compromiso del estado general del paciente, se sospecha insuficiencia suprarrenal debido a cuadro clínico sumado a examen físico y electrolitos de control y se decide hospitalizar para hidratación.

En hospitalización se confirma resultado de test de VIH positivo, por lo que el paciente es trasladado al hospital de referencia con sospecha de insuficiencia suprarrenal primaria asociada al virus.

El diagnóstico de VIH con compromiso suprarrenal se presume debido a que el paciente persiste hipotenso con cifras tensionales de 80/40 mmHg, piel terrosa, 2 meses de vómitos, abundantes pérdidas en deposiciones de aspecto diarreico y dolor abdominal asociado. En laboratorio destaca hipercalcemia de 5.9 meq/L con hiponatremia de 124 meq/L cursando falla renal probablemente de origen prerrenal con creatinina plasmática de 3.9 mg/dL; esta última explicada por las pérdidas gastrointestinales. Al hemograma destacaba una eosinofilia que, pese a ser leve, es compatible con cuadro de insuficiencia suprarrenal. Dada esta alta sospecha, se solicita serología asociada a VIH (Tabla 1).

Tabla 1: Serología viral del paciente 1.

VIH: virus de inmunodeficiencia humana; CMV: citomegalovirus; Ep Barr: Epstein Barr; VHB: virus hepatitis B; VHA: virus hepatitis A; VHC: virus hepatitis C.

Fuente: Elaboración propia.

El paciente es hospitalizado en hospital de referencia para iniciar tratamiento de VIH e insuficiencia suprarrenal primaria. Durante la estancia se constata recuento de CD4 <100 cel/mm3 y carga viral >100 000 copias/mm3. Dada la evolución tórpida, es trasladado a Santiago de Chile para continuar tratamiento.

Caso 2

Paciente masculino de 21 años, sin antecedentes mórbidos, en control en clínica privada de la región quien ha presentado múltiples consultas por disfagia y cuadros de tos seca en acceso de al menos 30 días de evolución; el sujeto no refiere tabaquismo ni contacto con pacientes con síntomas similares. 21 días atrás se realiza diagnóstico de síndrome mononucleósico por tos y hallazgo de adenopatías submadibulares múltiples en el examen físico en servicio de urgencia del sistema público, por lo que se deja tratamiento sintomático en domicilio.

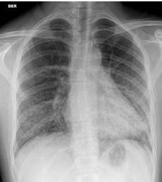
El paciente se controla con medico particular, quien indica estudio básico por sospecha de patología tiroidea; de manera incidental, en radiografía de tórax antero-posterior y lateral se pesquisa patrón de infiltrado bilateral intersticial, el cual es interpretado como neumonía atípica por patrón en la imagen y tos crónica. Los laboratorios son normales al inicio del cuadro clínico, por lo que se amplía estudio por sospecha de inmunosupresión y se inicia tratamiento con levofloxacino 500mg vía oral una vez al día por patrón dudoso de infiltrado bilateral (Figura 1).

Radiografía de tórax al ingreso que demuestra compromiso intersticial bilateral, de predominio perihiliar y basal mayor a izquierda y signos de vidrio esmerilado.

Figura 1: Radiografía de tórax al ingreso que demuestra compromiso intersticial bilateral, de predominio perihiliar y basal mayor a izquierda y signos de vidrio esmerilado.

Fuente: Documento obtenido durante la realización del estudio.

El sujeto es hospitalizado para tratamiento; al examen físico se evidencia enflaquecido, anictérico y afebril y al examen pulmonar se auscultan sibilancias espiratorias difusas, sin uso de musculatura accesoria, pero disneico y con apremio respiratorio pese a saturación de 98% ambiental. Durante la estancia, se recaba antecedente de al menos 3 meses de disfagia lógica con tos en acceso de predominio nocturno asociado a baja de peso. Dentro de la historia destaca antecedente de relación homosexual de larga data sin protección y sin conocimiento de serología de su pareja. Al analizar la radiografía, el patrón radiológico evidencia neumonía por Pneumocystis jirovecci (Figura 1), por lo que se decide ampliar estudio serológico para VIH, sífilis y virus hepatotropos, destacando positivo para citomegalovirus (Tabla 2).

Tabla 2: Serología viral del paciente 2.

VIH: virus de inmunodeficiencia humana; IgG CMV: inmunoglobulina G citomegalovirus; Ep Barr: Epstein Barr; VHB: virus hepatitis B; VHA: virus hepatitis A; VHC: virus hepatitis C.

Fuente: Elaboración propia.

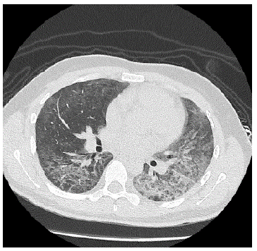
A las 48 horas de hospitalización se confirma diagnóstico de VIH, siendo derivado al hospital de referencia para continuar estudio y tratamiento. En dicho centro se realiza tomografía axial computarizada que confirma patrón de neumonía tipo Pneumocistis jirovecci, tal como se evidencia en las Figuras 2 y 3. Por normativa local, el inicio de la triterapia se indica en el hospital de referencia.

Tomografía axial computarizada de corte transversal de tórax que evidencia patrón de vidrio esmerilado y broncograma aéreo hacia las bases.

Figura 2: Tomografía axial computarizada de corte transversal de tórax que evidencia patrón de vidrio esmerilado y broncograma aéreo hacia las bases.

Fuente: Documento obtenido durante la realización del estudio.

Tomografía axial computarizada de corte transversal de tórax que evidencia patrón de vidrio esmerilado y aumento de broncograma aéreo en aéreas de condensación en bases pulmonares.

Figura 3: Tomografía axial computarizada de corte transversal de tórax que evidencia patrón de vidrio esmerilado y aumento de broncograma aéreo en aéreas de condensación en bases pulmonares.

Fuente: Documento obtenido durante la realización del estudio.

A los 15 días de hospitalización se constata carga viral >100 000 copias/mm3, y CD4 46 cel/mm3, con linfocitos de 867 cel/mm3. El sujeto evoluciona de manera tórpida desde el punto de vista respiratorio y se asocia dolor abdominal difuso con deposiciones negativas por 5 días; al examen físico se encuentra disminución de los ruidos hidroaéreos sin signos de irritación peritoneal. Se realiza tomografía computarizada sugerente de ileitis extensa.

Discusión

La literatura médica, en general, muestra el diagnóstico asertivo de patologías comunes; sin embargo, en la infección por VIH no se puede olvidar que, dadas las dificultades técnicas para solicitar el examen o por la baja sospecha diagnóstica, esta patología puede presentar un debut poco habitual que dificulta el estudio que realiza el médico general.

Los pacientes reportados consultaron al menos en tres ocasiones en diversos centros de salud -tanto públicos como privados de la región- con patologías comunes, pero con características fuera de la norma. Entonces, ¿por qué los médicos no sospecharon de inmunodeficiencias?

Las nuevas infecciones de VIH han disminuido lentamente en Latinoamérica con una declinación de 3% entre 2005 y 2013, aunque con diferencias importantes entre países: mientras en México han bajado 39%, países como Chile y Brasil presentan aumento en el número de casos nuevos 1,6. En específico, en Chile se estima que existen entre 20 000 y 25 000 pacientes sin la detección de la enfermedad, presentando una de las mayores alzas en infección el grupo entre 15 y 29 años, con un incremento de 125% entre 2010 y 2014 1,8,9.

Con estas cifras no se puede ignorar la necesidad de desarrollar apoyo a la prevención primaria de la enfermedad, por lo que se debe mejorar la sospecha precoz en todo paciente con múltiples consultas por patologías frecuentes e infrecuentes para su edad o con sintomatología poco concordante. El objetivo de la campaña gubernamental es diagnosticar en forma precoz y oportuna la infección por VIH, esto con el propósito de facilitar el diagnóstico y el tratamiento antirretroviral (TAR) de las personas infectadas con este virus 10.

Entre los casos nuevos continúa siendo un problema no resuelto el de la presentación tardía a cuidados, con mediana de CD4 al inicio del TAR, que apenas supera las 200 células CD4/mm3. Incluso en algunos países la mediana de CD4 a la presentación sigue estando por debajo de ese umbral. Las estimaciones de la Organización Panamericana de la Salud (OPS) 8 confirman, con reportes del grupo CCASAnet y del Taller Latinoamericano de VIH, que entre los nuevos casos de VIH el 35-40% lo hace con enfermedad avanzada; vale decir que en etapa sida lo hacen con recuento de CD4 <200 cel/mm3 y el 20-25% adicional lo hace también tardíamente con recuentos de CD4 entre 200 y 350 cel/mm3. Esta situación tiene alto impacto en la morbimortalidad de los casos tardíos, aun iniciando el TAR, pero también en la trasmisión de la enfermedad. Si bien hace 10 años un porcentaje importante de los casos de presentación tardía a TAR se debía a inicio tardío en pacientes en control, en la actualidad la mayoría de los casos se debe a la falta de diagnóstico, que se realiza tardíamente y muchas veces por la aparición de síntomas propios de la inmunodeficiencia.

ONUSIDA estima que las personas diagnosticadas en Latinoamérica corresponden al 70%; sin embargo, este porcentaje podría ser menor, por lo que es urgente la realización de estudios que permitan determinar de manera más precisa el nivel de subdiagnóstico 1,6,11.

El retraso en el diagnóstico de esta enfermedad conlleva un retardo en el inicio del tratamiento y, por ende, un aumento del riesgo de progresión a la etapa sida y a mortalidad temprana. Sumado a ello, aumenta la probabilidad de transmisión de la infección dado el no control de la replicación viral 11,12

La guía ministerial chilena del año 2011, ceñida a la Estrategia Nacional de Salud para el segundo decenio de este siglo, pretende disminuir la mortalidad de VIH/sida mediante el aumento de la pesquisa del VIH a través de exámenes, la estimulación del ingreso al control precoz y el desarrollo de un programa de acompañamiento a usuarios con baja adherencia 10,13. No obstante, esto se convierte en letra muerta en el momento que en pleno siglo XXI los profesionales se encuentran con pasos engorrosos para solicitar examen en población con alta sospecha y la solicitud de un consentimiento informado, en el cual el paciente puede rechazar la realización del examen.

La patología en Chile está concentrada en grupos específicos de la población, con prevalencias mayores en hombres bisexuales y homosexuales y con una transmisión predominantemente por contacto sexual en el 99% de los casos 11,13. Asimismo, el diagnóstico de infección por VIH se realiza a través de la determinación de anticuerpos específicos contra el virus con técnica de ELISA y luego se realiza la confirmación diagnóstica por inmunofluorescencia (IFI), inmunoblot (LIA) o reacción en cadena polimerasa (PCR) 13.

El diagnóstico tardío de la infección por VIH sigue siendo un problema relevante en algunas regiones en Latinoamérica, donde se incluye Chile. En el análisis de los últimos tres quinquenios realizados por SIDA Chile se observa una reducción en el porcentaje que inicia TAR con CD4 <200 cel/mm3 desde el 79.7% al 42.2%. En la actualidad, todavía un tercio de los pacientes se presenta a TAR en etapa sintomática, 22.6% en etapa C y 10.5% en etapa B. Estas tasas de presentación tardía están muy distantes a la meta de la Organización Mundial de la Salud (OMS) y enfatizan la necesidad de ampliar la cobertura del testeo y abolir las barreras del diagnóstico. El inicio de TAR en etapa sintomática es más frecuente en hombres que en mujeres (38.2% vs. 34.7%) y aumenta a mayor edad 1.

La tasa de mortalidad por sida en Chile mostró una disminución entre 2001 y 2008 de 3.5 a 2.3 casos por cada 100 000 habitantes, esto en forma paralela a la implementación del acceso ampliado al TAR. Las metas sanitarias a 2020 apuntan a una reducción progresiva de la mortalidad para llegar a 1.2 casos por cada 100 000 habitantes, sin embargo la tasa de mortalidad en 2013 muestra un aumento a 2.9 caos por cada 100 000 habitantes, afectando casi a la totalidad de las regiones del país. El principal factor incidente en el rebrote de la tasa de mortalidad por sida en Chile, a diferencia de la tendencia mundial a una fuerte declinación, es el diagnóstico tardío 1,6.

Uno de los pacientes aquí analizados estuvo encarcelado en Santiago de Chile y dio el antecedente al iniciar la anamnesis. ¿Por qué tuvo que consultar en cuatro ocasiones para iniciar la sospecha diagnóstica? Si tan solo se siguieran las recomendaciones ministeriales, quizá se hubiese llegado al diagnóstico de manera precoz y el paciente no hubiera presentado una insuficiencia suprarrenal con alteraciones hidroelectrolíticas con requerimientos de una unidad de cuidados intensivos.

En el examen de laboratorio habitual se debe incorporar la solicitud de examen de VIH en las siguientes poblaciones de riesgo: mujeres embarazadas o en trabajo de parto, personas en control por comercio sexual, consultantes por otra enfermedad de transmisión sexual, pacientes en diálisis o con tuberculosis, víctimas de violencia sexual, sujetos con morbilidad sugerente de patología asociada al HIV y reclusos 13.

¿Qué se puede realizar en un hospital rural de baja complejidad? A todo facultativo de un hospital rural se sugiere tener alta sospecha diagnóstica en estos grupos de riesgo y en general en toda población adulta joven dada la epidemia que atraviesa el país; para esto se debe ampliar el examen a la población sexualmente activa sin discriminación alguna. En este sentido, se debe tener el examen como batería inicial de laboratorio, solicitar test rápido de tercera generación para los servicios de urgencia, aumentar la pesquisa y evitar recibir pacientes en etapas avanzadas de la enfermedad, pues esto último incrementa la estadía y los costos hospitalarios asociados a la atención y aumenta el riego de la población de contagio y nuevos casos.

La prevención secundaria es un pilar fundamental en evitar el aumento de la infección a nivel mundial. Más del 70% de los infectados continúan sexualmente activos luego de su diagnóstico y la mayoría no les informa a sus parejas sexuales 12-14. Así, el rol del profesional de salud es informar de los riesgos a todos los pacientes diagnosticados; hacer regularmente evaluaciones de conductas de riesgo para transmisión de VIH e infecciones de transmisión sexual en el embarazo; conocer si los pacientes presentan nuevas parejas sexuales, y mantener contacto con el departamento encargado de VIH en el hospital de referencia. Todo esto para poder coordinar cuando los pacientes requieran nueva información. De esta forma se puede educar a la población infectada y disminuir eventuales nuevas infecciones 10.

Para finalizar, se sugiere iniciar la batería básica de laboratorio a todo paciente diagnosticado con el fin de agilizar la llegada al centro especializado que continuará la vigilancia. En este caso, realizar hemograma VHS, glicemia, creatininemia, orina completa, perfil hepático, perfil lipídico, recuento de CD4, VDLR, carga viral, serología para hepatitis B y C, IgG para toxoplasma, serología para Chagas, PPD, radiografía de tórax y PAP en mujeres. No todos se pueden realizar en hospital de baja complejidad, pero se solicitan al hospital referente más cercano para agilizar el inicio del tratamiento en los pacientes 11,12,15.

Según el último informe de la OPS 8 presentado en agosto del 2018, entre 2010 y 2016 los nuevos contagiados crecieron 34% en Chile, siendo la cifra más alta de la región. La mayor parte de los casos se concentra en la población homosexual y, pese a que el país tiene un gasto sostenido en terapias, algo sucede pero no es efectivo a la hora de la prevención 13.

La prevalencia estimada en Chile de infección por VIH es de 0.4%, lo que implica que hay alrededor de 50 000 pacientes viviendo con el virus, de los cuales 27 000 recibían TAR a fines del 2015, tanto en los sistemas públicos como privados, representando un poco más del 50%. El 50% restante corresponde en su mayoría a personas no diagnosticadas, con consecuencias importantes en la transmisión y el riesgo de presentación tardía, más que a falta de vinculación con el sistema de salud o acceso a TAR 1.

En Chile, el TAR está garantizado tanto en el sistema público como en el privado y el 90% de los pacientes en control la recibe. Un poco más de 2 000 personas en control no están recibiendo terapia por cuanto la Guía Práctica Clínica Nacional considera el inicio cuando el recuento de CD4 es <350 cel/mm3. La retención en cuidados de los pacientes en TAR es del 86% a 5 años, mientras que la tasa de supresión virológica a menos de 1 000 copias/mL de los pacientes en TAR alcanza el 89.1%. 1

La eficacia del TAR en prevenir la morbimortalidad y la transmisión ha llevado a la OMS y a ONUSIDA a proponer metas 90-90-90 para el año 2020 (90% de diagnóstico en personas infectadas, 90% de personas infectadas en tratamiento y que 90% de estos tengas carga viral <1 000 copias/mL), colocando al diagnóstico y al tratamiento como los elementos centrales para la prevención. La principal barrera para el logro de estas metas la constituye el bajo acceso a diagnóstico, con cerca del 50% de las personas infectadas a nivel mundial que no conoce su condición.

Conclusión

Ya avanzado el segundo decenio del siglo XXI, en Chile aún existe alto grado de desconocimiento de la enfermedad y, por tanto, bajo nivel de sospecha diagnóstica. Esta situación conlleva a largas consultas de los pacientes antes de poder realizar el diagnóstico certero, lo que empeora el pronóstico y genera riesgos epidemiológicos impensados a corto y mediano plazo. Por lo anterior, se sugiere incorporar a la consulta diaria los test de VIH ante la menor duda diagnóstica, sobre todo en población de alto riesgo de contraer la enfermedad; no se debe seguir esperando que las patologías oportunistas originen la sospecha de la enfermedad.

Consideraciones éticas

Para la presente investigación se contó con consentimiento informado por parte de los pacientes.

Acknowledgements

Agradecimientos

Al Hospital Santa Elisa de San José de la Mariquina, por permitir el desarrollo del caso clínico.

Referencias

  1. 1. Beltran C, Afani A. La pandemia VIH/SIDA y las metas 90/90/90. In: Sepulveda C, Afani A. SIDA. 5th ed. Santiago de Chile: Mediterraneo; 2018. p. 18-32. 🠔
  2. 2. Chile. Ministerio de Salud. Manual de procedimientos para la detección y diagnóstico de la infección por VIH. Santiago de Chile: Minsal; 2010 [cited 2019 May 14]. Available from: Available from: https://bit.ly/2VzzmUi . [URL] 🠔
  3. 3. Velásquez J, Contreras L, Contreras C, Martínez N, Chaparro J, Sarmiento C. Prevalencia de infección por VIH en Bogotá, D.C., Colombia, en 2012. Caracterización por localidades. Rev. Fac. Med. 2016;64(4):609-13. http://doi.org/c5rh. [URL] 🠔
  4. 4. Síndrome de Inmunodeficiencia Adquirida VIH/SIDA. Rev chil infectol. 2010;27(4):359-73. http://doi.org/bzq3gq. [URL] 🠔
  5. 5. Afani A, Beltran C, Gallardo AM, Roessler P, Acevedo W, Vásquez P. Prevalencia de resistencia primaria en pacientes con infección reciente por VIH-1 en Chile. Rev. Méd. Chile. 2010;138(6):669-76. http://doi.org/fs68jn. [URL] 🠔
  6. 6. Sepulveda C. Historia y Orígenes del VIH. In: Sepulveda C, Afani A. SIDA. 5th ed. Santiago de Chile: Mediterraneo ; 2018. p. 18-32. 🠔
  7. 7. Wu E, Galaz I, Larrañaga C, Chávez AM, González M, Álvarez AM, et al. Infección por VIH/SIDA en niños y adolescentes: cohorte chilena 1987-2014. Rev. Chil. infectol. 2016;33(Suppl 1):11-19. http://doi.org/c5rj. [URL] 🠔
  8. 8. Organización Panamericana de la Salud (OPS). Situación de la Salud en las Américas: Indicadores Básicos 2018. Washington D.C.: OPS; 2018 [cited 2019 May 14]. Available from: Available from: https://bit.ly/2EanD3N . [URL] 🠔
  9. 9. Ferrer L, Cianeli R, Bernales M. VIH y SIDA en Chile: desafíos para su prevención. Santiago de Chile: Pontificia Universidad Católica de Chile; 2009 [cited 2019 May 14]. Available from: Available from: https://bit.ly/2Ekqrf1 . [URL] 🠔
  10. 10. Teva I, Bermúdez MP, Ramiro MT, Buela-Casal G. Situación epidemiológica actual del VIH/SIDA en Latinoamérica en la primera década del siglo XXI. Análisis de las diferencias entre países. Rev. Méd. Chile. 2012;140(1):50-8. http://doi.org/c5rk. [URL] 🠔
  11. 11. Ríos M. Diagnostico Serológico de la infección por VIH. In: Sepulveda C, Afani A. SIDA. 5th ed. Santiago de Chile: Mediterraneo ; 2018. p.58-79. 🠔
  12. 12. Rivero-Marcotegui M, Layana-Echezuri E, Repáraz-Padrós J, Irigoyen-Olaiz C, Arraiza-Cruchaga MJ, Úriz-Ayestarán J. Diagnóstico tardío de la infección por el virus de la inmunodeficiencia humana: oportunidades diagnósticas perdidas. Anales Sis San Navarra. 2014;37(3):329-38. http://doi.org/c5rm. [URL] 🠔
  13. 13. Chile. Ministerio de Salud de. Guía Clínica AUGE "Síndrome inmunodeficiencia adquirida VIH/SIDA". 2nd ed. Santiago de Chile: Minsal ; 2013 [cited 2019 May 14]. Available from: Available from: https://bit.ly/2uVRZ5b . [URL] 🠔
  14. 14. Stuardo V. La prevención olvidada: reemergencia del VIH en Chile. Rev. Chil. Infectol. 2017;34(4):419-20. http://doi.org/c5rn. [URL] 🠔
  15. 15. Sociedad Argentina de infectología. Consenso Argentino de terapia antiretroviral 2014-2015. Buenos Aires: Ediciones Guadalupe; 2015 [cited 2019 May 14]. Available from: Available from: https://bit.ly/2vZ4Ynb . [URL] 🠔
Diagnóstico tardío de VIH/sida en pacientes rurales dado por baja sospecha diagnostica en la comunidad médica. Reportes de caso. Rev. Fac. Med. 2019;67(3):349-53. Spanish. doi: http://dx.doi.org/10.15446/revfacmed.v67n3.69321.
[Late diagnosis of HIV/AIDS in rural patients due to low diagnostic suspicion among the medical community. Case reports]. Rev. Fac. Med. 2019;67(3):349-53. Spanish. doi: http://dx.doi.org/10.15446/revfacmed.v67n3.69321.
Ninguno declarado por los autores.
Ninguna declarada por los autores.