Revista de la Facultad de Medicina
0120-0011
Universidad Nacional de Colombia
https://doi.org/10.15446/revfacmed.v68n4.77105

Recibido: 4 de diciembre de 2018; Aceptado: 22 de febrero de 2019

Insuficiencia cardíaca por un síndrome carcinoide: un reto diagnóstico. Reporte de caso

Carcinoid heart disease: a diagnostic challenge. Case Report

L. Durán, 123 K. Buitrago-Toro, 123* S. Jiménez-Salazar, 123 U. Alvarado, 23 S. Anturi, 23 K. Alvira, 23

Hospital Universitario Hernando Moncaleano Perdomo - Departamento de Medicina interna -Neiva - Colombia. Hospital Universitario Hernando Moncaleano Perdomo Departamento de Medicina interna Neiva Colombia
Universidad Surcolombiana - Facultad de Salud - Departamento de Medicina Interna - Neiva - Colombia. Universidad Surcolombiana Universidad Surcolombiana Facultad de Salud Departamento de Medicina Interna Neiva Colombia
Universidad Surcolombiana - Facultad de Salud - Grupo de investigación MI Dneuropsy - Neiva - Colombia. Universidad Surcolombiana Universidad Surcolombiana Facultad de Salud Neiva Colombia

Kenny Buitrago-Toro. Departamento de Medicina Interna, Hospital Universitario Hernando Moncaleano Perdomo. Calle 9 No. 15-25, piso: 6. Teléfono: +57 8 8715907. Neiva. Colombia. Correo electrónico: kenny9012@hotmail.com.

Resumen

Introducción.

La insuficiencia cardíaca es una patología frecuente que no solo es causada por isquemia miocárdica, hipertensión o valvulopatías, sino también por un gran número de enfermedades; sin embargo, en la práctica, muy pocas veces se aborda su etiología, y, por lo tanto, su manejo usualmente es sintomático, situación que puede repercutir negativamente en la evolución natural de la enfermedad, ya que es sabido que un diagnóstico etiológico oportuno puede mejorar el pronóstico de cualquier enfermedad. Los principales signos clínicos del tumor carcinoide típico son diarrea, flushing facial y broncoespamo, sin embargo el compromiso cardíaco también ha sido descrito en pacientes con esta condición (menos del 20%).

Presentación del caso.

Paciente masculino de 77 años que acudió al servicio de urgencias con un cuadro clínico de insuficiencia cardíaca descompensada. Teniendo en cuenta la pobre respuesta del paciente ante el manejo propuesto y la evidencia de diarrea crónica, se realizaron varios estudios diagnósticos, lo que permitió diagnosticarlo con un tumor neuroendocrino.

Conclusiones.

La insuficiencia cardíaca es una patología frecuente en la población general, sin embargo la identificación temprana de causas poco comunes, tales como el síndrome carcinoide, permitirá implementar un manejo oportuno e identificar complicaciones asociadas como la cardiopatía carcinoide, lo que tendrá un impacto positivo en la calidad de vida y pronóstico del paciente.

Palabras clave:

Insuficiencia cardíaca, Cardiopatía carcinoide, Colombia (DeCS).

Abstract

Introduction:

Heart failure is a frequent disease that is not only caused by myocardial ischemia, hypertension or valve disease, but also by many other diseases. However, its etiology is rarely addressed, and therefore its management is usually symptomatic, which may affect the course of the disease, taking into account that an early etiological diagnosis could lead to better outcomes. The main clinical signs of the typical carcinoid tumor are diarrhea, facial flushing and bronchospasm, although heart failure symptoms have also been described in patients with this condition (less than 20%).

Case presentation:

A 77-year-old man visited the emergency department due to decompensated heart failure. Considering his poor response to the proposed treatment and symptoms such as chronic diarrhea, several diagnostic studies were performed, which allowed diagnosing him with a neuroendocrine tumor.

Conclusions:

Heart failure is a frequent pathology in the general population. However, the early detection of rare causes, such as carcinoid syndrome, will allow implementing adequate studies, staging and treatment in order to prevent complications such as carcinoid heart disease, which will have a positive impact on the patient's quality of life and prognosis.

Keywords:

Heart Failure, Carcinoid Heart Disease, Colombia (MeSH).

Introducción

La insuficiencia cardíaca (IC) es una afección frecuente que puede alcanzar tasas de hasta 900 casos por cada 100 000 habitantes, que afecta a más del 10% de las personas mayores de 80 años (dependiendo de los criterios utilizados para su diagnóstico)1 y que se caracteriza por síntomas congestivos o de bajo gasto cardíaco que derivan de una gran cantidad de patologías; sin embargo, y dado que las enfermedades isquémica, valvular e hipertensiva abarcan la gran mayoría de sus desencadenantes, en muchas oportunidades no se realiza un estudio etiológico exhaustivo en el que se sigan algoritmos validados.

El hecho de no determinar las causas de la IC en algunos pacientes puede dificultar el control de la sintomatología y la reversión de cambios adaptativos cardíacos secundarios a factores disautonómicos y neurohumorales, pues esta afección también puede deberse a diabetes mellitus, alcoholismo, enfermedades infiltrativas, amiloidosis, sarcoidosis, déficit nutricional, miocardiopatía periparto, colagenosis, endocrinopatías y miocarditis, y además puede ser inducida por quimioterápicos, radiación o tumores neuroendocrinos (TNE) en el contexto de un síndrome carcinoide; por tanto, el no hacer estudios etiológicos lleva a diagnósticos tardíos y tratamientos inadecuados.1,2

Los TNE son neoplasias que se derivan de células productoras de péptidos bioactivos y que producen una gran variedad de manifestaciones por su interacción con múltiples receptores celulares. Estos tumores tienen una incidencia anual cercana a 4 casos por cada 100 000 habitantes y la edad media de los pacientes al momento del diagnóstico es 63 años; sin embargo, dada su variedad de síntomas, el subdiagnóstico es una constante, por lo que las metástasis son frecuentes. De igual forma, la localización de las células progenitoras de TNE es un reto debido a que no tienen una ubicación específica (y por tanto la localización de la neoplasia es muy difícil), sin embargo pueden encontrarse con mayor frecuencia en el tracto gastrointestinal (55%), los pulmones (25%) y otros órganos como riñones u ovarios (15%).3,4

Presentación del caso

Se presenta el caso de un paciente masculino de 77 años, habitante de zona rural, agricultor de ocupación y sin antecedentes patológicos conocidos, quien se presentó al servicio de urgencias de un hospital de alta complejidad del sur de Colombia por un cuadro clínico de dos meses de evolución consistente en una disnea de esfuerzo que progresó a disnea de reposo, asociada a edema de miembros inferiores, y disnea paroxística nocturna. El paciente indicó que ocasionalmente tomaba bebidas alcohólicas (30 gramos de alcohol/semana, aproximadamente) y que 5 años atrás había dejado de fumar (cuando lo hacía consumía un promedio de 15 paquetes al año).

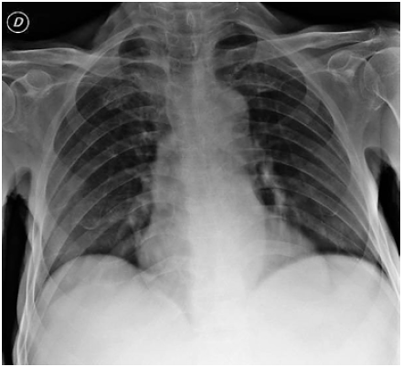
Al examen físico de ingreso se documentó ingurgitación yugular grado II y edema de miembros inferiores; no se encontraron marcadores de injuria miocárdica pero sí se evidenció hipotiroidismo primario de novo y enfermedad renal crónica categoría G3a (Tabla 1). Asimismo, se realizó un electrocardiograma que no mostró cambios sugestivos de evento coronario agudo, una radiografía de tórax que reveló ligera cardiomegalia sin consolidaciones ni masas (Figura 1) y un ecocardiograma transtorácico en el que se reportaron los siguientes hallazgos:

  • - Fracción de eyección del ventrículo izquierdo del 48%

  • - Motilidad segmentaria sin alteraciones en el ventrículo izquierdo

  • - Patrones anormales de relajación segmentaria

  • - Insuficiencia aórtica moderada con vena contracta de 5 mm

  • - Presión de arteria pulmonar de 36 mmHg

  • - Diámetro ventricular derecho aumentado (55 mm)

  • - Ventrículo izquierdo morfológicamente normal

  • - Insuficiencia tricuspídea severa en el ventrículo derecho causada por una esclerosis valvular con déficit de coaptación valvular y TAPSE de 16mm.

Tabla 1: Resultados de laboratorios al ingreso del paciente al servicio de urgencias.

Laboratorio Resultado Referencia normal
Leucocitos 5 700 4 800-10 800
Neutrófilos 64% 45-75%
Linfocitos 25% 15-45%
Hematocrito 39 40-50
Hemoglobina 12.9 14-18 g/dL
Volumen corpuscular medio 89 80-100 fL
Plaquetas 363 000 150 000-450 000
Creatinina 1.45 0.7-1.3 mg/dL
Nitrógeno ureico 27 6-20 mg/dL
TSH 26 0-45-4.5 mlU/L
INR 1.1
Sodio 138 135-145 mmol/L
Potasio 3.8 3.5-5 mmol/L
Calcio iónico 1.16 1.1-1.3 mmol/L
Cloro 101 96-106 mmol/L
Troponina I de alta sensibilidad 5 <19 µg/L
VIH Negativa
VDRL No reactiva
Coprológico Sin formas parasitarias
Albúmina 2 3.4-5.4 gramos/dL
Deshidrogenasa láctica 238 105-333 UI/L
Bilirrubina total 0.9 0.5-1.2 mg/dL
Aspartato aminotransferasa 40 5-40 U/L
Alanino aminotransferasa 54 7-55 U/L
Ca 19.9 9.38 0-37 U/ml
Antígeno carcinoembrionario 0.84 0-3 U/ml
Alfa fetoproteina 2.55 0-5 U/ml
Procalcitonina de ingreso 0.2 <0.5 ng/ml

TSH: hormona estimulante de la tiroides; INR: índice internacional normalizado; VIH: virus de la inmunodeficiencia humana; VDRL: prueba serológica para la sífilis.

Fuente: Elaboración propia.

Radiografía de tórax que evidencia probables cambios espondiloartrósicos dorsales.

Figura 1: Radiografía de tórax que evidencia probables cambios espondiloartrósicos dorsales.

Fuente: Documento obtenido durante la realización del estudio.

Ante estos resultados, se inició tratamiento para IC descompensada con perfil hemodinámico Stevenson B, manejo con el cual el paciente tuvo un patrón de evolución tórpido a lo largo de su hospitalización.

Durante la estancia hospitalaria llamó la atención que el paciente presentaba diarrea, la cual, según se estableció en el reinterrogatorio, había comenzado 5 meses atrás. Se realizó coprológico y coproscópico sin hallazgos relevantes. De igual forma se ordenó una colonoscopia que reportó divertículos con hemorroides internas no trombosadas y una esofagogastroduodenoscopia que mostró gastropatía eritematosa antral negativa para Helicobacter pylori.

Estando hospitalizado, el paciente, que aún se encontraba bajo tratamiento para la IC descompensada, empezó a presentar episodios de broncoespasmos agudos autolimitados de corta duración que requerían manejo con oxígeno suplementario y broncodilatadores y estaban asociados a un flushing facial episódico (Figura 2) que también se desencadenaba cuando los episodios de diarrea eran más frecuentes.

A) paciente con Flushing facial episódico; B) estado basal del paciente.

Figura 2: A) paciente con Flushing facial episódico; B) estado basal del paciente.

Fuente: Documento obtenido durante la realización del estudio.

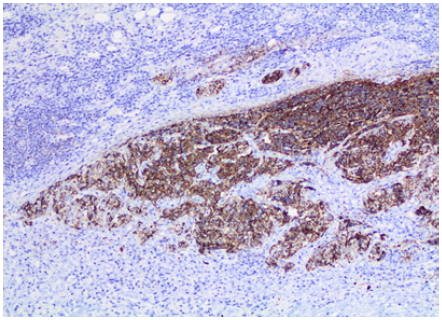
Teniendo en cuenta la pobre respuesta del paciente ante el manejo propuesto y la presencia de diarrea crónica, se realizó una tomografía axial computarizada contrastada toracoabdominal que no reveló la etiología del cuadro, pero que evidenció una gran adenopatía inguinal profunda. Dada esta adenopatía, se ordenaron estudios histológicos y de inmunohistoquímica (Figura 3 y 4) que revelaron la presencia de células metastásicas propias de un TNE (índice Ki67: 1%) asociado a niveles de ácido 5-hidroxindolacético de 135 (valor de referencia: 0-15 mg/24 horas), por lo que el paciente se diagnosticó con síndrome carcinoide secundario a un TNE de grado bajo, sin identificación de la ubicación del tumor primario. Debe resaltarse que, tal como se mencionó antes, en el presente caso el tumor primario no fue documentado, ni fue posible obtener información sobre niveles de gastrina e histamina, ni realizar un estudio octreoscan ya que el paciente falleció por una complicación cardiovascular. Además, por decisión de los familiares no fue posible realizar una necropsia.

Tinción positiva para cromogranina A. Ampliación 10X.

Figura 3: Tinción positiva para cromogranina A. Ampliación 10X.

Fuente: Documento obtenido durante la realización del estudio.

Tinción positiva para sinaptofisina. Ampliación 40X.

Figura 4: Tinción positiva para sinaptofisina. Ampliación 40X.

Fuente: Documento obtenido durante la realización del estudio.

Discusión

A lo largo de la historia, los TNE se han reconocido por su capacidad de liberar a la circulación sistêmica diversas sustancias biológicamente activas, pues en su presencia se han documentado niveles elevados de histamina, gastrina, serotonina, taquicininas, proinsulina, glucagón, somatostatina, péptido intestinal vasoactivo u hormona adrenocorticotropa, lo cual depende de la célula progenitora y deriva en flushing facial seco, diarrea y broncoespasmo, que se consideran los principales signos clínicos del tumor carcinoide típico. De igual forma, los pacientes con TNE pueden presentar signos y síntomas menos específicos como prurito generalizado, esteatorrea, tos, hemoptisis, telangiectasias, pérdida de peso y síntomas asociados a hipoglicemia, hiper o hipotensión y epigastralgia, los cuales, dada su variabilidad podrían llegar a confundir al clínico, llevándolo a implementar tratamientos sintomáticos para síndrome de intestino irritable, IC, ansiedad, asma, enfermedad inflamatoria intestinal, enfermedad celíaca, enfermedad ácido péptica, entre otras.3-5 Asimismo, es de recalcar que no todas estas neoplasias derivan en sintomatología florida ya que muchas son no funcionales y su diagnóstico puede ser incidental.4

La sospecha diagnóstica de un TNE debe ser alta ante la presencia de los síntomas característicos de esta neoplasia; sin embargo, dado que no siempre están presentes, el estudio histopatológico es mandatorio para su confirmación y también se deben tener en cuenta diversas pruebas serológicas e imagenológicas que a su vez permitirán dirigir la terapéutica.

Niveles serológicos elevados de cromogranina A son característicos de los TNE, por lo que una prueba positiva tiene una sensibilidad del 75% y una especificidad del 90% para este tipo de neoplasias, aunque no es útil para determinar la localización. Asimismo, en pacientes con sintomatología sugestiva de síndrome carcinoide típico es importante cuantificar el ácido 5-hidroxindo-lacético en orina de 24 horas, el cual es un derivado de la serotonina que sugiere una localización del tumor en el intestino delgado, así como la presencia de metástasis hepática y un compromiso cardíaco en el que niveles elevados de Nt-proBNP se correlacionan con progresión y peor pronóstico.3,5

Las imágenes por tomografía o resonancia magnética son útiles para determinar la localización, la estatificación y el seguimiento de los TNE, mientras que las pruebas funcionales como el octreoscan y la tomografía por emisión de positrones han demostrado su validez solo en tumores de grado bajo o intermedio bien diferenciados y funcionales.3,5

Tal como lo indica Kunz,6 la Organización Mundial de la Salud y la Sociedad Europea de Tumores Neuroendocrinos establecieron un sistema de clasificación basado en el índice mitótico y el índice proliferativo de Ki67 en los estudios de inmunohistoquímica en el que los TNE pueden ser de tres grados diferentes que están directamente relacionados con el grado de malignidad:

Grado bajo o carcinoide típico: <2 mitosis o índice Ki67 <3%

Grado intermedio o carcinoide atípico: 2-20 mitosis o Ki67 3-20%

Grado alto: >20 mitosis o Ki67 >20%.

El compromiso cardíaco se ha descrito hasta en el 50% de los pacientes con TNE y puede ser el debut de esta neoplasia hasta en el 20%, tal como ocurrió en el caso presentado. La cardiopatía carcinoide (CC), también conocida como síndrome de Hedinger, se caracteriza por depósitos de tejido fibroso endocárdico, secundario a exposición crónica (>1.5 años) del corazón a metabolitos de la serotonina que se pueden identificar mediante ecocardiografía y afectan con mayor frecuencia a las válvulas tricúspide y pulmonar, las cámaras cardíacas, la arteria pulmonar, la vena cava y el seno coronario. El aparato subvalvular y los músculos papilares pueden estar comprometidos en la CC y a pesar de que la insuficiencia valvular es más frecuente en pacientes con esta condición, también se han reportado casos de estenosis de la válvula con menor frecuencia.7-9

La sintomatología de la CC es indistinguible de otras formas de IC dado que en todas se puede presentar edema de miembros inferiores, ortopnea, disnea paroxística nocturna, ingurgitación yugular, entre otras; sin embargo, los síntomas congestivos son más frecuentes en la CC dado que el compromiso en esta es preponderantemente del lado derecho del corazón por inactivación biológica en el lecho vascular pulmonar de las sustancias humorales derivadas de la neoplasia, lo que previene la afección del lado izquierdo que solo se presenta en un 10% de los casos.7,10

El tratamiento de los TNE se fundamenta en un manejo farmacológico con análogos de somatostatina para tratar los síntomas y en uno quirúrgico para procesos localizados. Asimismo, se puede utilizar quimioterapia, radioterapia, terapia biológica (everolimus) e inhibidores de tirosina quinasa (sunitinib), dependiendo del grado de diferenciación y funcionalidad.3,5 En la CC no se han documentado terapias efectivas específicas y su manejo se basa en el tratamiento para IC basado en la sintomatología y la fracción de eyección del ventrículo izquierdo. Sin embargo, no se ha demostrado que el uso de análogos de somatostatina cambie el curso de la enfermedad establecida, aunque puede reducir su incidencia al disminuir la concentración de la serotonina y sus metabolitos.10

Por último, el recambio valvular se debe considerar tempranamente para evitar cambios estructurales cardíacos irreversibles y para poder controlar la sintomatología, para lo cual se deben preferir las válvulas mecánicas sobre las biológicas dado que estas últimas se ven afectadas de igual forma que las nativas por las sustancias derivadas del TNE.7,11

Conclusión

La insuficiencia cardíaca es una patología frecuente en la población general, sin embargo la identificación temprana de causas poco comunes, tales como el síndrome carcinoide, permitirá implementar un manejo oportuno e identificar complicaciones asociadas como la CC, lo que tendrá un impacto positivo en la calidad de vida y el pronóstico del paciente.

Acknowledgements

Agradecimientos

Ninguno declarado por los autores.

Referencias

  1. 1. Ziaeian B, Fonarow GC. Epidemiology and aetiology of heart failure. Nat Rev Cardiol. 2016;13(6):368-78. https://doi.org/f8mgks. [URL] 🠔
  2. 2. Umaña-Giraldo HJ, Buitrago-Toro K, Jiménez-Salazar S, Echeverry-Bolaños M. Etiología de la insuficiencia cardíaca crónica. Revista Médica de Risaralda. 2017;23(2):49-57. 🠔
  3. 3. Raphael MJ, Chan DL, Law C, Singh S. Principles of diagnosis and management of neuroendocrine tumours. CMAJ. 2017;189(10):E398-404. https://doi.org/d74h. [URL] 🠔
  4. 4. Díaz-Rivera MC, Buitrago-Toro K, Gonzales P. Tumor carcinoide del apéndice cecal: cuando un hallazgo incidental modifica drásticamente el pronóstico y tratamiento del paciente. Rev Colomb Gastroenterol. 2017;32(1):72-4. https://doi.org/d74j. [URL] 🠔
  5. 5. Basuroy R, Srirajaskanthan R, Ramage JK. Neuroendocrine tumors. Gastroenterol Clin North Am. 2016;45(3):487-507. https://doi.org/d74k. [URL] 🠔
  6. 6. Kunz PL. Carcinoid and neuroendocrine tumors: building on success. J Clin Oncol. 2015;33(16):1855-63. https://doi.org/f7fm8q. [URL] 🠔
  7. 7. Hassan SA, Banchs J, Iliescu C, Dasari A, Lopez-Mattei J, Yusuf SW. Carcinoid heart disease. Heart. 2017;103(19):1488-95. https://doi.org/gbg862. [URL] 🠔
  8. 8. Bertin N, Favretto S, Pelizzo F, Mos L, Pertoldi F, Vriz O. Carcinoid heart disease: starting from heart failure. J Investig Med High Impact Case Rep. 2017;5(2):2324709617713511. https://doi.org/gcd5kd. [URL] 🠔
  9. 9. Grozinsky-Glasberg S, Grossman AB, Gross DJ. Carcinoid heart disease: from pathophysiology to treatment-'Something in the way it moves'. Neuroendocrinology. 2015;101(4):263-73. https://doi.org/f7jt2v. [URL] 🠔
  10. 10. Hart EA, Meijs TA, Meijer RCA, Dreijerink KM, Tesselaar ME, de Groot CA, et al. Carcinoid heart disease: a guide for screening and timing of surgical intervention. Neth Heart J. 2017;25(9):471-8. https://doi.org/d74m. [URL] 🠔
  11. 11. Davar J, Connolly HM, Caplin ME, Pavel M, Zacks J, Bhattacharyya S, et al. Diagnosing and managing carcinoid heart disease in patients with neuroendocrine tumors: an expert statement. J Am Coll Cardiol. 2017;69(10):1288-304. https://doi.org/f9vfvt. [URL] 🠔
Insuficiencia cardíaca por un síndrome carcinoide: un reto diagnóstico. Reporte de caso. Rev. Fac. Med. 2020;68(4):644-8. Spanish. doi: http://dx.doi.org/10.15446/revfacmed.v68n4.77105.
[Carcinoid heart disease: a diagnostic challenge. Case Report]. Rev. Fac. Med. 2020;68(4):644-8. Spanish. doi: http://dx.doi.org/10.15446/revfacmed.v68n4.77105.
Para la elaboración del presente reporte de caso se obtuvo consentimiento informado por parte del paciente previo a su fallecimiento.
Ninguno declarado por los autores.
Ninguna declarada por los autores.