Revista de la Facultad de Medicina
0120-0011
Universidad Nacional de Colombia
https://doi.org/10.15446/revfacmed.v69n2.83066

Recibido: 22 de octubre de 2019; Aceptado: 6 de mayo de 2020

Gorlin-Goltz syndrome in an older black adult. Case Report

Síndrome de Gorlin-Goltz en adulto mayor de raza negra. Reporte de caso

M. Uribe-Valencia, 1* J. Jurado-Delgado, 1 L. Velásquez-Tafur, 2 L. Cárdenas-Cardona, 2

Universidad del Valle - Faculty of Health - Geriatrics Program - Cali - Colombia. Universidad del Valle Universidad del Valle Faculty of Health Cali Colombia
Universidad del Valle - Faculty of Health - Department of Internal Medicine - Dermatology and Dermatological Surgery Section -Cali - Colombia. Universidad del Valle Universidad del Valle Faculty of Health Department of Internal Medicine Cali Colombia

Mauricio Andrés Uribe-Valencia. Programa de Geriatría, Facultad de Salud, Universidad del Valle. Cali. Colombia. Email: mauricio.uribe@correounivalle.edu.co.

Abstract

Introduction:

Gorlin-Goltz syndrome (GGS), or basal cell nevus syndrome (BCNS), is a rare genetic disease that induces the development of odontogenic keratocysts, skeletal malformations and neoplasms, especially multiple and recurrent basal cell carcinomas (BCC). This condition is rare in black people, being reported in this population in only 5% of the cases.

Case presentation:

A 68-year-old black man reported the constant appearance for approximately 4 years of multiple papules and non-pruritic and non-desquamating skin plaques, with hyperpigmented margins, of different sizes that grew gradually in scalp, left lower eyelid, arms, forearms, back, and lower limbs. Histopathological study showed multiple BCC, and imaging studies identified calcifications in the tentorium cerebelli and cerebral falx, as well as images suggestive of odontogenic cysts. Based on his clinical history, histopathologic and imaging findings, and physical examination, he was diagnosed with GGS.

Conclusions:

This is the first case of GGS in an older black adult reported in Colombia. This case highlights the relevance of reviewing the medical records and performing a thorough physical examination when approaching the patient, as well as doing a comprehensive geriatric assessment, since they are key to diagnose this rare disease and initiate a timely multidisciplinary treatment. This will allow obtaining better outcomes in these patients.

Keywords:

Basal Cell Carcinoma, Gorlin-Goltz Syndrome, Basal cell Nevus Syndrome, Elderly (MeSH).

Resumen

Introducción.

El síndrome de Gorlin-Goltz (SGG), o síndrome del nevo basocelular, es una enfermedad genética rara que induce el desarrollo de queratoquistes odontogénicos, malformaciones esqueléticas y neoplasias, especialmente carcinomas basocelulares (CBC) múltiples y recurrentes. Esta condición es infrecuente en personas de raza negra, reportándose en esta población solo en el 5% de los casos.

Presentación del caso.

Hombre de 68 años de raza negra, quien reportó la constante aparición, durante aproximadamente 4 años, de múltiples pápulas y placas no pruriginosas ni descamativas, de bordes hiperpigmentados, de diferentes dimensiones y de crecimiento gradual en cuero cabelludo, párpado inferior izquierdo, brazos, antebrazos, dorso y miembros inferiores. El estudio histopatológico evidenció múltiples CBC y en los estudios de imagen se identificaron calcificaciones en el tentorium cerebelli y la hoz del cerebro, así como imágenes sugestivas de quistes odontogénicos. Teniendo en cuenta la historia clínica, los hallazgos histopatológicos e imagenológicos y el examen físico, se diagnosticó con SGG.

Conclusiones.

Este el primer caso de SGG en un adulto mayor de raza negra reportado en Colombia. En este caso se resalta la importancia de la revisión de la historia clínica y el examen físico al momento de abordar un paciente, así como de una valoración geriátrica integral, ya que son fundamentales para diagnosticar esta rara enfermedad y poder iniciar un manejo multidisciplinario temprano, lo que permitirá obtener mejores resultados en estos pacientes.

Palabras clave:

Carcinoma basocelular, Síndrome de Gorlin-Goltz, Síndrome del nevo basocelular, Adulto mayor (DeCS).

Introduction

Gorlin-Goltz syndrome (GGS), or basal cell nevus syndrome, is a rare genetic disease of autosomal dominant inheritance1-3 that induces the development of odontogenic keratocysts and skeletal malformations and neoplasms, especially multiple and recurrent basal cell carcinomas (BCC) of variable severity that are located in both photoexposed and non-photoexposed areas.2-6 This syndrome should be suspected in people over 20 years of age with more than two BCCs or in young people under 20 years of age with a single BCC, in order to conduct the relevant confirmatory studies and initiate comprehensive and timely management.7,8

GGS is a rare condition in black people, with only 5% of the cases reported in this population,7,9,10 which can be explained by the protective effect of melanin against sunlight since exposure to this type of radiation is one of the factors related to the development of BCC.11

The following is the case report of an older black man diagnosed with GGS. This report is relevant since only five cases of this disease have been reported in Colombia,12-15 and this is the first reported in this population in the country.

Case presentation

On January 24, 2018, a 68-year-old black male patient from the municipality of Guachené (Cauca, Colombia), a farmer by profession and with a history of arterial hypertension, attended the dermatology service of the Hospital Universitario del Valle (Cali, Colombia), a tertiary care institution, due to a 4-year history of multiple non-pruritic and non-desquamating papules, with bright hyperpigmented margins, of different sizes, that grew gradually and were located mainly in the scalp and the left lower eyelid. The patient reported that once the lesions on the eyelid ulcerated they had little serous discharge, were painless, and became warty in appearance with raised hyperpigmented margins, although none involved the eyeball.

The patient also reported that lesions with similar characteristics, but a greater size began to form on his arms, forearms, back and lower limbs and that they gradually expanded, progressing to lesions of rolled, hyperpigmented, and irregular margins (some of these had scabs and others ulcerated). Finally, the man provided the pathology report of biopsies performed on June 18, 2014, performed in another healthcare center, which showed sclerodermiform BCC in the left lower eyelid and left anterior leg, and nodular BCC in the left forearm.

The initial physical examination revealed skin phototype 5 with a 3 x 3 hyperpigmented plaque on the right frontal region of the face with an ulcerated core, and a lesion on the left lower eyelid, as described above, which resulted in its destruction (Figure 1).

Face photographs. A) right frontal lesion; B) left lower eyelid lesion.

Figure 1: Face photographs. A) right frontal lesion; B) left lower eyelid lesion.

Source: Document obtained during the course of the study.

An exophytic tumor measuring 9x10cm with a verrucous surface and ulcerated margins was observed (Figure 2A and 2B) on the anterolateral side of the left thigh. Also, an ulcerated plaque of 16x14cm was observed on the anterolateral side of the upper third of the left leg (this was the largest lesion); it had irregular and hyperkeratotic margins, atrophic core and a hyperpigmented, nonpainful, brown exophytic tumor without discharge, located at the lower margin (Figure 2C). Finally, on the lateral side of the right calf, upper third, a 12x9cm hyperpigmented ulcerated plate, eroded at the center, was found (Figure 2D).

Photographs of legs A and B) anterolateral lesion of the left thigh; C) lesion on the anterolateral side of the left leg; D) lesion on the lateral side of the right calf.

Figure 2: Photographs of legs A and B) anterolateral lesion of the left thigh; C) lesion on the anterolateral side of the left leg; D) lesion on the lateral side of the right calf.

Source: Document obtained during the course of the study.

Hand and foot photograph. A and B) palmar pits; C and D) plantar pits.

Figure 3: Hand and foot photograph. A and B) palmar pits; C and D) plantar pits.

Source: Document obtained during the course of the study.

On the day of the initial consultation, a comprehensive geriatric assessment was also carried out, in which no involvement of his nutritional, functional, mental, or social condition was evident; however, he was admitted to the hospital for observation and to perform laboratory tests. His blood count revealed mild anemia, normal electrolyte levels and normal kidney and liver function, as well as normal infectious and serological profiles.

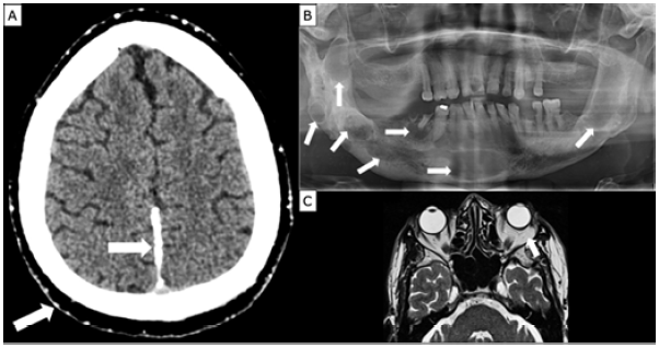
The day after being admitted, i.e., January 25, 2018, multiple imaging studies were ordered. Chest x-ray showed no skeletal malformations; non-contrast brain computed tomography scan revealed multiple calcifications in the scalp, tentorium cerebelli, falx cerebri, and basal ganglia (Figure 4A); orthopantomography showed an extensive lesion at the base of the mandible and multiple circumferential and well-defined radiolucent lesions at the angle and body of the mandible (Figure 4B); gadolinium-enhanced magnetic resonance showed left subconjunctival infraorbital fat involvement associated with focal compromise of the lower posterior sclera of the left eye ball (Figure 4C).

Imaging studies. A) brain computed tomography scan showing calcifications in falx cerebri and tentorium cerebelli; B) orthopantomography indicating multiple lesions in mandibular body and branch; C) gadolinium-enhanced magnetic resonance showing orbits (left subconjunctival infraorbital fat involvement is observed).

Figure 4: Imaging studies. A) brain computed tomography scan showing calcifications in falx cerebri and tentorium cerebelli; B) orthopantomography indicating multiple lesions in mandibular body and branch; C) gadolinium-enhanced magnetic resonance showing orbits (left subconjunctival infraorbital fat involvement is observed).

Source: Document obtained during the course of the study.

On January 30, 2018, a skin biopsy was taken from the affected area of the left leg, which showed a neoplastic lesion of epithelial origin, characterized by basaloid cells with peripheral palisading and stromal fibrosis, extending into the reticular dermis but not causing vascular or perineural invasion associated with BCC (Figure 5).

Skin biopsy of left leg lesion - HE 10X.

Figure 5: Skin biopsy of left leg lesion - HE 10X.

→ : basal cells with peripheral palisading and stromal fibrosis that extends into the reticular dermis and compatible with basal cell carcinoma. Source: Document obtained during the course of the study.

Based on the medical records, physical examination findings and histopathologic and imaging findings, the patient was diagnosed with GGS.

Since biopsies taken from the tissue of the left lower eyelid reported a BCC in the left infraorbital region with involvement of the eyeball, but without affecting its functionality, on January 30, 2018, the patient was assessed by the oculoplastics service, which considered that, due to the size of the lesion, he was not a candidate for surgical resection. Therefore, treatment was started with 150mg vismodegib daily to reduce the size of the lesions and to be able to define surgical management according to his progress and clinical response to the treatment. The patient was discharged on February 7, 2018, and three months after the start of treatment, during a follow-up visit, a decrease in the size of the skin lesions was observed, so no changes in management were proposed; however, his treatment had to be suspended due to administrative problems with the healthcare center.

Discussion

GGS is caused by pathogenic mutations in genes in the Sonic Hedgehog signaling pathway (SHH), including PTCH1 on chromosome 9q, and acts as a tumor suppressor gene. Similarly, a mutation of the PTCH2 gene that may be involved in the SHH signaling pathway and favor cell proliferation has been described, which, added to the alteration of the normal control pathways, generates abnormal cell growth that induces tumor formation, especially BCCs.1-3

Bresler et al.3 reported that GGS was first described in 1894; however, Ponti et al.16 stated that this syndrome existed during dynastic Egyptian times, as demonstrated by a series of skeletal findings compatible with the syndrome in mummies dating back to 3 000 years ago. Nevertheless, it was until 1960 that Gorlin & Goltz4 described the classic triad of this syndrome, which is made up of multiple BCCs, odontogenic keratocysts, and bifid ribs.

According to Thalakoti & Geller,6 GGS has a prevalence ranging from 1/57 000 to 1/256 000 and has a male-to-female ratio of 1:1; moreover, according to these authors, 1 in 200 patients presenting with one or more BCCs are diagnosed with this syndrome. In this regard, the literature has described that BCCs is the most frequent and characteristic skin sign of GGS and that arborizing vessels or ulcerations that may cause local invasion can be observed when they are >3mm.

Similarly, patients with GGS may present palmoplantar pits, which are the result of partial or total absence of the stratum corneum and constitute the second most frequent skin manifestation of this condition, being found in up to 87% of cases; calcifications of the falx cerebri or the tentorium cerebelli may also occur in up to 80% of patients.17 Other less common characteristics are agenesis of the corpus callosum, mandibular prognathism, vertebral malformations, hypertelorism, congenital hydrocephalus and medulloblastomas.4,5

Skin cancer in black people is rare because melanin plays an important photoprotective role, especially eumelanine due to its ability to serve as a physical barrier that disperses ultraviolet (UV) radiation and as an absorbent filter that reduces its penetration through the epidermis. Furthermore, this pigment is twice as effective in inhibiting the penetration of this type of radiation into black skin as it is in white skin,7,8 which is reflected in the fact that black patients with GGS develop less BCCs than Caucasian patients and that only 5% of cases of GGS occur in this population.11,18

Based on the above, the present case draws attention to the fact that, despite being a black man, this patient presented multiple large BCCs and extensive skin involvement in both photoexposed and non-photoexposed areas. It is also important to note that, although ophthalmic associations are very rare, with an estimated incidence of 4-23%, this patient had a left lower eyelid lesion with total destruction of the eyelid, which may be explained by a delay in the diagnosis of BCC in this area, or by initial treatment with suboptimal excision.18

When diagnosing GGS, skin changes due to aging should be considered, as they favor the development of BCC because they allow for a greater passage of UV radiation, which in turn affect DNA and reduce the function of the p53 gene (tumor suppressor and associated with mutations).19,20

This syndrome is diagnosed mainly based on clinical findings, so it is important to have a complete medical history, including personal history such as strabismus, surgical interventions, dental extractions, brain tumors, cleft lip or palate, skin resections, and a history of UV or radiation exposure.21 A physical examination is also necessary, taking into account, on the one hand, the search for macrocephaly, cleft palate, malocclusion, scoliosis and abnormalities in the chest and fingers, and, on the other, a thorough dermatological examination to determine the presence of BCC at different locations and palmoplantar pits.21

The criteria of Kimonis et al.8 can be used to establish the diagnosis of GGS, as they provide three options for considering that the patient has this syndrome: 1) the presence of two major criteria, 2) the presence of one major criterion and two minor criteria, or 3) the presence of one major criterion plus molecular confirmation. The diagnostic criteria established by these authors are presented in Table 1.

Table 1: Kimonis' diagnostic criteria.

Major criteria Minor criteria

  • •More than two basal cell carcinomas or one in patients under 20 years of age

  • •Histologically proven odontogenic keratocysts of the mandible

  • •Three or more palmar or plantar pits

  • •Bilamellar calcifications of falx cerebri

  • •Fused or markedly extended bifida ribs

  • •First-degree relative with Gorlin-Goltz syndrome

  • •Macrocephaly after adjustment for height

  • •Congenital malformations: cleft lip or palate, frontal bossing, coarse facies, moderate or severe hypertelorism

  • •Other skeletal abnormalities: Sprengel's deformity, marked chest wall deformity and marked finger syndactyly

  • •Radiological abnormalities: sella turcica bridge, hemivertebra, fusion or lengthening of vertebra body, malformations of the hands and feet, and flame-shaped lucencies in hands or feet.

  • •Ovarian fibroma

  • •Medulloblastoma

Source: Elaborated based on Kimonis et al.8

In the case presented here, the patient met three major criteria: multiple BCCs, palmoplantar pits, and calcifications in tentorium cerebelli and falx cerebri, which allowed establishing the diagnosis of GGS.

It is worth noting that the additional studies necessary to guide the diagnosis of GGS include: orthopantomography (looking for odontogenic cysts), chest x-ray (looking for bifid ribs), and computed tomography or magnetic resonance of the skull, as available, (looking for calcifications in falx cerebri or tumors).21,22 Moreover, the differential diagnosis of this condition requires ruling out some rare dermatological diseases such as Bazex-Dupré-Christol syndrome, multiple trichoepithelioma, Muir-Torre syndrome3 or Rombo syndrome.23

The treatment of GGS begins with preventive photo-protection measures. Also, a timely and proper treatment of BCCs should be established; intervention alternatives include conventional surgical resection, Mohs micro-graphic surgery, cryotherapy, photodynamic therapy, ablative lasers and topical application of imiquimod 5%.19 The selection of the therapy is based on the histological pattern, location, and aggressiveness of each lesion.19,24 It is important to keep in mind that radiotherapy should be avoided in these patients, as it may increase the amount and aggressiveness of BCCs in the irradiated areas, as well as the incidence of other secondary tumors.8 One of the drugs approved for the treatment of GGS is vismodegib, which is administered at a dose of 150 mg/day and acts on the SHH pathway by specifically inhibiting the Smoothened receptor; it is useful in the treatment of metastatic or locally advanced and inoperable BCC25 with an objective response of 37.9% and 66.7%, respectively.26

Although BCCs in the reported patient were large and involved the left infraorbital region, the function of the eyeball was not affected and, therefore, the lesions were considered inoperable; so, it was decided to start treatment with vismodegib 150 mg daily for a maximum of 12 months, with the aim of reducing tumor size to subsequently perform surgical resection. Additionally, physical and chemical photoprotection was recommended.

The patient had good tolerance to the medication, did not have any adverse effects, and three months after the start of treatment, there was a decrease in the size of the tumor lesions, so no changes were made to the treatment. However, due to administrative problems with the healthcare entity, it was not possible to continue with his treatment.

Although the prognosis of patients with GGS is usually good, sometimes there may be disfigurement of the involved body parts and functional impairment; moreover, in very rare cases, BCCs can lead to death.27

The relevance of the present case report lies in the fact that it describes a rare presentation of GGS, as it is infrequent in older black adults, being this the first case reported in Colombia in this population.12-15 Moreover, it is important to note that the patient had an extensive skin involvement in the left infraorbital region, which greatly limited the available therapeutic options.

This case report also confirmed that a detailed review of the medical history and physical examination findings are essential for diagnosing GGS since it allows performing the pertinent studies if the presence of this entity is suspected, making it possible to confirm the diagnosis and establish an appropriate treatment in a timely manner.

Conclusions

This is the first case of an older black adult patient with GGS reported in Colombia. The importance of reviewing the medical history and performing a thorough physical examination when approaching a patient, as well as performing a comprehensive geriatric assessment, is stressed, because these elements are critical to timely diagnose this rare disease and initiate early multidisciplinary management, which will allow achieving better results and prevent multiple complications such as the spread of skin lesions to other organs.

Acknowledgements

Acknowledgments

To Dr. Maria Teresa Calzada for providing us with the tools to perform the orthopantomography and making the oral assessment, and to Dr. Johan Jurado Delgado for his assistance in the description of orthopantomography.

References

  1. 1. Palacios-Álvarez I, González-Sarmiento R, Fernández-López E. Gorlin Syndrome. Actas Dermosifiliogr. 2018;109(3):207-17. https://doi.org/f636. [URL] 🠔
  2. 2. Kimonis VE, Singh KE, Zhong R, Pastakia B, Digiovanna JJ, Bale SJ. Clinical and radiological features in young individuals with nevoid basal cell carcinoma syndrome. Genet Med. 2013;15(1):79-83. https://doi.org/f4hxqv. [URL] 🠔
  3. 3. Bresler SC, Padwa BL, Granter SR. Nevoid Basal Cell Carcinoma Syndrome (Gorlin Syndrome). Head Neck Pathol. 2016;10(2):119-24. https://doi.org/gjd4x5. [URL] 🠔
  4. 4. Gorlin RJ, Goltz RW. Multiple nevoid basal-cell epithelioma, jaw cysts and bifid rib. A syndrome. N Engl J Med. 1960;262:908-12. https://doi.org/dghfqg. [URL] 🠔
  5. 5. Nilesh K, Tewary S, Zope S, Patel J, Vande A. Dental, dermatological and radiographic findings in a case of Gorlin-Goltz Syndrome: report and review. Pan Afr Med J. 2017;27:96. https://doi.org/f638. [URL] 🠔
  6. 6. Thalakoti S, Geller T. Basal cell nevus syndrome or Gorlin syndrome. Handb Clin Neurol. 2015;132:119-28. https://doi.org/f8b556. [URL] 🠔
  7. 7. Halder RM, Bang KM. Skin cancer in blacks in the United States. Dermatol Clin. 1988;6(3):397-405. 🠔
  8. 8. Kimonis VE, Goldstein AM, Pastakia B, Yang ML, Kase R, Di-Giovanna JJ. Clinical manifestations in 105 persons with nevoid basal cell carcinoma syndrome. Am J Med Genet. 1997;69(3):299-308. 🠔
  9. 9. Mohania D, Chandel S, Kumar P, Verma V, Digvijay K, Tripathi D, et al. Ultraviolet Radiations: Skin Defense-Damage Mechanism. Adv Exp Med Biol. 2017;996:71-87. https://doi.org/ghppb6. [URL] 🠔
  10. 10. Martin S, Waisman M. Basal Cell Nevus Syndrome in a Black Patient: report of a case and review of the literature. Arch Dermatol. 1978;114(9):1356-7. https://doi.org/bxpk5q. [URL] 🠔
  11. 11. Goldstein AM, Pastakia B, DiGiovanna JJ, Poliak S, Santucci S, Kase R, et al. Clinical findings of two African-American families with the nevoid basal cell carcinoma síndrome (NBCC). Am J Med Genet 1994;50(3):272-81. https://doi.org/cz77bm. [URL] 🠔
  12. 12. Isaza C, Baraya A, Vanín D. Síndrome del carcinoma de células basales névicas o síndrome de Gorlin. Rev Estom. 1993;3(1):6-11. 🠔
  13. 13. Arango-Salgado A, Arroyave-Sierra JE, Ruiz-Suárez AC. Síndrome de Gorlin. A propósito de un caso. CES Med. 2013;27(1):77-82. 🠔
  14. 14. Fonseca JY, Hernández F, Guío S, Linares A. Síndrome de Gorlin-Goltz, a propósito de dos casos. Rev Asoc Colomb Dermatol. 2016;24(3):3. 🠔
  15. 15. López-Muñoz N, Ordóñez-Ropero P, Vargas-Rico L. Carcinoma escamocelular de labio superior en paciente con síndrome nevoide basocelular. Reporte de caso clínico. Universitas Odontológica. 2017;36(77). https://doi.org/f64c. [URL] 🠔
  16. 16. Ponti G, Pellacani G, Tomasi A, Sammaria G, Manfredini M. Skeletal stigmata as keys to access to the composite and ancient Gorlin-Goltz syndrome history: The Egypt, Pompeii and Herculaneum lessons. Gene. 2016;589(2):104-11. https://doi.org/f8wq34. [URL] 🠔
  17. 17. Tejo-Acuña JR, Alcalá-Pérez D, Medina-Bojórquez A, Ramos-Garibay JR, Carmona-Contreras FP, González-Gutiérrez JF. Síndrome de Gorlin-Goltz. Comunicación de un caso y revisión de la literatura. Rev Cent Dermatol Pascua. 2015;24(3):97-103. 🠔
  18. 18. Honavar SG, Shields JA, Shields CL, Eagle RCJ, Demirci H, Mahmood EZ. Basal cell carcinoma of the eyelid associated with Gorlin-Goltz syndrome. Ophthalmology. 2001;108(6):1115-23. https://doi.org/czqk9q. [URL] 🠔
  19. 19. Hafner A, Bulyk ML, Jambhekar A, Lahav G. The multiple mechanisms that regulate p53 activity and cell fate. Nat Rev Mol Cell Biol. 2019;20(4):199-210. https://doi.org/ghf3qq. [URL] 🠔
  20. 20. Humbert P, Dreno B, Krutmann J, Luger TA, Triller R, Meaume S, et al. Recommendations for managing cutaneous disorders associated with advancing age. Clin Interv Aging. 2016;11:141-8. https://doi.org/f64j. [URL] 🠔
  21. 21. John AM, Schwartz RA. Basal cell naevus syndrome: an update on genetics and treatment. Br J Dermatol. 2016;174(1):68-76. https://doi.org/f769rb. [URL] 🠔
  22. 22. Hajalioghli P, Ghadirpour A, Ataie-Oskuie R, Kontzialis M, Nezami N. Imaging findings of Gorlin-Goltz syndrome. Acta Radiol Short Rep. 2015;4(1):2047981614552294. https://doi.org/gb9v3d. [URL] 🠔
  23. 23. Schierbeck J, Vestergaard T, Bygum A. Skin Cancer Associated Genodermatoses: A Literature Review. Acta Derm Venereol. 2019;99(4):360-9. https://doi.org/f64k. [URL] 🠔
  24. 24. Alter M, Hillen U, Leiter U, Sachse M, Gutzmer R. Current diagnosis and treatment of basal cell carcinoma. J Dtsch Dermatol Ges. 2015;13(9):863-74. https://doi.org/f8r5gm. [URL] 🠔
  25. 25. Ozgur OK, Yin V, Chou E, Ball S, Kies M, William WN, et al. Hedgehog Pathway Inhibition for Locally Advanced Periocular Basal Cell Carcinoma and Basal Cell Nevus Syndrome. Am J Ophthalmol. 2015;160(2):220-227.e2. https://doi.org/f3hcrs. [URL] 🠔
  26. 26. Basset-Seguin N, Hauschild A, Kunstfeld R, Grob J, Dreno B, Mortier L, et al. Vismodegib in patients with advanced basal cell carcinoma: Primary analysis of STEVIE, an international, open-label trial. Eur J Cancer. 2017;86:334-48. https://doi.org/gd8xv6. [URL] 🠔
  27. 27. Tandon S, Chauhan Y, Sharma M, Jain M. Gorlin-Goltz Syndrome: A Rare Case Report of a 11-Year-Old Child. Int J Clin Pediatr Dent. 2016;9(3):264-8. https://doi.org/f64m. [URL] 🠔
Gorlin-Goltz syndrome in an older black adult. Case Report. Rev. Fac. Med. 2021;69(2):e83066. English. doi: https://dx.doi.org/10.15446/revfacmed.v69n2.83066.
[Síndrome de Gorlin-Goltz en adulto mayor de raza negra. Reporte de caso]. Rev. Fac. Med. 2021;69(2):e83066. English. doi: https://doi.org/10.15446/revfacmed.v69n2.83066
The patient signed an informed consent form where he agreed to let his data and photographs to be used to publish this case report.
None stated by the authors.
None stated by the authors.