Revista de la Facultad de Medicina
0120-0011
Universidad Nacional de Colombia
https://doi.org/10.15446/revfacmed.v69n1.88723

Recibido: 30 de junio de 2020; Aceptado: 10 de octubre de 2020

Cutaneous manifestations in a patient with COVID-19 treated at a hospital in the Peruvian jungle. A case report

Manifestaciones cutáneas en un paciente con COVID-19 atendido en un hospital de la selva peruana. Reporte de un caso

R. Echeverría, 1 O. Caceres, 2 D. Quiñones-Laveriano, 3 J. Sueyoshi, 4

Hospital Amazónico - Department of Surgery - Pucallpa - Perú. Hospital Amazónico Department of Surgery Pucallpa Perú
Asociación Médica de Investigación y Servicios en Salud - Lima - Peru. Asociación Médica de Investigación y Servicios en Salud Lima Peru
Universidad Continental - Lima - Peru. Universidad Continental Lima Peru
Universidad San Martín de Porres - Faculty of Human Medicine - Lima - Peru. Universidad de San Martín de Porres Universidad San Martín de Porres Faculty of Human Medicine Lima Peru

Ronald Rainer Echeverria. Departamento de Cirugía, Hospital Amazónico. Pucallpa. Peru. Email: r.rainer.echeverria@gmail.com.

Abstract

Introduction:

Most patients infected with the coronavirus disease 2019 (COVID-19) experience mild to moderate symptoms. This condition may affect multiple organs and systems, including the skin, and cutaneous manifestations are varied. Although several studies on COVID-19 have been conducted in Peru, to date, this type of manifestation has not been described in the Peruvian population, especially in environments with high prevalence of viral diseases that cause similar dermatological lesions, such as the Peruvian jungle.

Case presentation:

A 16-year-old male patient with no relevant medical history was admitted to a hospital in the Peruvian jungle due to headache, chills, general malaise, and respiratory distress. On physical examination, oxygen saturation was 89-90%, and a skin rash was observed; it was characterized by non-evanescent, confluent, pruritic, and symmetrical morbilliform lesions in the limbs, abdomen, thorax, and face, without mucous membrane involvement. Due to the shortage of molecular tests in the region where he was treated, he was diagnosed with COVID-19 based on serological (serological tests for SARS-CoV-2 (IgM+ and IgG+)) and radiological criteria (imaging findings compatible with COVID-19 atypical pneumonia). The initial treatment included the administration of ceftriaxone, azithromycin, dexamethasone, cetirizine, as well as the use of oxygen by binasal cannula. After 5 days and given the persistence of symptoms and respiratory and skin signs, treatment with ivermectin was started. 48 hours after the introduction of this treatment, the cutaneous and respiratory manifestations had completely resolved.

Conclusions:

Patients with COVID-19 may develop several cutaneous manifestations similar to those produced by other viruses or adverse drug reactions. Therefore, it is necessary to appropriately interview the patient and establish the chronological order of symptom onset to diagnose this disease correctly.

Keywords:

COVID-19, Exanthema, Skin Manifestations (MeSH).

Resumen

Introducción.

La mayoría de los pacientes con COVID-19 experimentan síntomas leves a moderados. Esta enfermedad puede afectar varios órganos y sistemas, entre ellos la piel, siendo las manifestaciones cutáneas muy variadas. A pesar de que en Perú existen varios estudios sobre COVID-19, a la fecha este tipo de manifestaciones no se han descrito en población peruana, lo cual llama la atención debido a que en el país existen varias zonas donde coexisten enfermedades virales que producen lesiones dermatológicas similares, tales como la selva peruana.

Presentación del caso.

Varón de 16 años sin antecedentes médicos relevantes quien ingresó a un hospital de la selva peruana con cefalea, sensación distérmica y dificultad respiratoria. Al examen físico, el paciente presentó una saturación de oxígeno de 89-90% y se observó erupción cutánea caracterizada por lesiones morbiliformes no evanescentes, confluentes, pruriginosas y simétricas en extremidades, abdomen, tórax y cara, sin compromiso de mucosas. Debido a la escasez de pruebas moleculares en la región donde fue atendido, al paciente se le realizó el diagnóstico de COVID-19 con base en criterios serológicos (pruebas serológicas para SARS-CoV-2 (IgM+ e IgG+)) y radiológicos (hallazgos de imagen compatibles con neumonía atípica por COVID-19). El manejo inicial incluyó la administración de ceftriaxona, azitromicina, dexametasona y cetirizina, así como el uso de oxígeno por cánula binasal. Después de 5 días, y ante la persistencia de los síntomas y signos respiratorios y cutáneos, se inició tratamiento con ivermectina; 48 horas después de haber instaurado este tratamiento se evidenció la resolución completa de las manifestaciones cutáneas y respiratorias.

Conclusiones.

Los pacientes con COVID-19 pueden desarrollar manifestaciones cutáneas similares a las producidas por otros virus o por reacciones adversas a medicamentos; por lo tanto, para realizar un diagnóstico apropiado de la enfermedad, es necesario hacer una adecuada entrevista al paciente y establecer el orden cronológico de aparición de los síntomas.

Palabras clave:

COVID-19, Exantema, Manifestaciones cutáneas (DeCS).

Introduction

COVID-19 is the disease caused by the SARS-CoV-2 virus. It was first described in Wuhan, China, in December 2019, and has since rapidly spread worldwide, affecting more than 60 million people. In this regard, COVID-19 has become a health problem that has dramatically and negatively impacted health systems, especially in Latin American countries where facilities and service delivery are often deficient.1-3

The clinical characteristics of COVID-19 are variable, depend on the severity of the disease, and may range from an asymptomatic state to severe conditions in which complications such as respiratory distress and multiple organ failure occur. Even though the most common manifestations are respiratory, other extrapulmonary manifestations such as neurological, digestive, and dermatological conditions have also been reported.2,4 This variability can be explained because SARS-CoV-2 enters cells through angiotensin-converting enzyme 2 receptors, which are found in various organs such as lungs, heart, brain, testicles, blood vessels, and even skin.5

Several studies on COVID-19 have been conducted in Peru, but, to date, no cases of skin manifestations related to this disease have been reported in the Peruvian population. This becomes important because there are environments in the country where viral diseases that produce similar dermatological manifestations coexist, as is the Peruvian jungle. This article reports the case of a patient diagnosed with COVID-19 and associated skin manifestations who was treated in a hospital in the Peruvian jungle.

Case presentation

A 16-year-old male patient with no relevant medical history was admitted to the emergency department of the Hospital Amazónico in Pucallpa, Peru, on April 28, 2020. The patient had experienced headache, cough, myalgia, malaise, hyposmia, and hypogeusia for 5 days. On admission, he had diarrhea (four stools per day without mucus or blood) and reported chills and respiratory distress.

Physical examination findings were heart rate of 154 bpm, respiratory rate of 32 brpm, blood pressure of 90/70 mmHg, oxygen saturation of 89-90%, and axillary temperature of 38°C. Also, slight bilateral decrease in vesicular breath sounds were found, as well as a skin rash characterized by non-evanescent, confluent, pruriginous, and symmetrical erythematous papules in limbs, abdomen, chest, and face, with no mucosal involvement (Figure 1). Laboratory results taken on admission showed positive serological tests for SARS-CoV-2 (IgM+ and IgG+), C-reactive protein at 4.2 mg/dl and negative dengue ELISA test.

Morbilliform lesions in upper limbs in a patient with COVID-19.

Figure 1: Morbilliform lesions in upper limbs in a patient with COVID-19.

Source: Document obtained during the study.

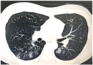
Figure 2 shows the result of the non-contrast chest CT scan performed on the patient, where ground-glass opacities associated with interstitial thickening of patchy distribution were found predominantly in the posterior basal segment of both lung fields. This was consistent with viral atypical pneumonia and confirmed the presence of COVID-19.

Non-contrast chest CT scan showing lesions consistent with COVID-19 atypical pneumonia.

Figure 2: Non-contrast chest CT scan showing lesions consistent with COVID-19 atypical pneumonia.

Source: Document obtained during the study.

The diagnosis of COVID-19, in this case, was confirmed based on clinical, serological, and radiological parameters since molecular tests are usually scarce in the Hospital Amazónico.

The patient received initial treatment in the Emergency COVID Unit within the first 24 hours and was subsequently hospitalized in the COVID Medicine Service, where he was administered 2g of intravenous ceftriaxone every 24 hours, 500mg of oral azithromycin every 24 hours, 8mg of intravenous dexamethasone every 24 hours, 5mg cetirizine every 12 hours, and binasal cannula oxygen therapy at an inspired oxygen fraction of 32%. No biopsy of skin lesions was performed. On the fifth hospitalization day, and in view of the persistence of respiratory and cutaneous symptoms, oral treatment was initiated with a single dose of 50 drops of ivermectin (6 mg/mL); 48 hours after administering this medicine, the skin rash improved (Figure 3).

Improvement of skin lesions after 24 hours of ivermectin treatment in a patient with COVID-19.

Figure 3: Improvement of skin lesions after 24 hours of ivermectin treatment in a patient with COVID-19.

Source: Document obtained during the study.

Finally, the patient was discharged with clinical improvement eight days after being admitted to the emergency room.

Discussion

At first, COVID-19 was described as a respiratory disease that caused atypical pneumonia, whose main symptoms were fever, cough, and myalgia.2 However, other neurological (hyposmia, hypogeusia), gastrointestinal (nausea, vomiting, diarrhea, abdominal pain)6,7 and dermatological4 symptoms were subsequently reported; the latter were observed in the reported patient.

COVID-19 is diagnosed based on symptoms and results of imaging studies and reverse-transcription polymerase chain reaction (RT-PCR) test for SARS-CoV-2. However, the RT-PCR test, in the present case, was replaced by the detection of IgG and IgM against SARS-CoV-2 through a rapid test, which is readily available in Peru.8 It should be noted that, in Peru, due to their high diagnostic performance, serological tests are used to complement molecular tests from the second to the third week of illness to improve diagnosis. This is important for public health because it allows identifying new affected geographical areas and recording a greater number of severe cases and deaths from COVID-19.9 In addition, the diagnostic performance of serologic tests to detect COVID-19 increases when used along with chest CT scan.10

Galván-Casa et al.,11 in a review of 375 cases, classified dermatological lesions in patients with COVID-19 into five groups: maculopapular rash (47%), acral areas of erythema with vesicles or pustules (19%), urticaria lesions (19%), other vesicular eruptions (9%), and livedo or necrosis (6%). Likewise, Recalcati12 found that 20.4% of the studied population had erythematous rash, generalized urticaria, and chickenpox rash. In both studies, rash and maculopapular lesions were reported as the most frequent manifestations, which coincided with this case, where the patient presented morbiliform lesions.

Maculopapular lesions can easily be confused with exantematic and metaxenic diseases, which are typical of tropical regions. Therefore, it is worth noting that clinical characteristics of dengue,13 zika and chikungunya are very similar to those of COVID-19 (fever, maculopapular rash, and lymphopenia.)13,14 Since these diseases are endemic to the Peruvian jungle, it is important to consider them when diagnosing COVID-19.

Some research has found that urticaria and maculopapular lesions in COVID-19 patients have a resolution period between 6 and 8 days and appear on par with the other symptoms,11 as in the present case. Recalcati12 reported that there is no correlation between skin manifestations and disease severity.

The mechanism by which SARS-CoV-2 causes skin lesions is still unknown; however, Sachdeva et al.15 have proposed, based on the report of three cases and a literature review, that the virus triggers a vasculitis that releases cytokines and attacks keratinocytes after Lang-erhans cells activation, which affects the epidermis.

According to the National Technical Standard of the Ministry of Health of Peru,16 the present case of COVID-19 was classified as moderate-severe. The patient received oxygen therapy, azithromycin, corticosteroids, and antihistamines; the latter were ineffective to treat pruritus. In this context, it should be considered that skin lesions might be secondary to adverse drug reactions, so the treating physician should always monitor treatment.

It is also important to mention that the patient received ivermectin, an antiparasitic with a known safety profile. However, its use remains controversial after Cary et al.17 demonstrated that it could inhibit SARS-CoV-2 replication in vitro in early April 2020, although this effect has not yet been demonstrated in vivo, as very high doses would be needed to achieve the same effect in humans. Therefore, it is not possible to establish a relationship between the patient's clinical improvement and the use of ivermectin. In Peru, the Ministry of Health has included in its regulations this drug to treat all confirmed cases of COVID-19,16 but this standard indicates that there are no specific treatments supported by clinical trials and that the treating physician must request the patient's informed consent before starting any treatment and monitor their progress.

Conclusion

COVID-19 is a disease that can manifest with skin lesions similar to those produced by other viruses (dengue, zika, chikungunya) and adverse drug reactions. Therefore, to make an appropriate diagnosis, especially when molecular tests are not available, it is necessary to conduct an adequate patient interview, establish the chronological order of symptom onset, and take advantage of serological and radiological criteria, which are usually available in isolated areas such as the Peruvian jungle. Moreover, it should be noted that the use of oral ivermectin may generate beneficial effects in patients with COVID-19, but further research is needed to corroborate this hypothesis.

Acknowledgements

Acknowledgments

None stated by the authors.

References

  1. 1. Comisión Económica para América Latina y el Caribe (CEPAL). América Latina y el Caribe ante la pandemia del COVID-. Efectos económicos y sociales. Informe Especial COVID-19 No.1; 2020 [cited 2020 Jun 13]. Available from: Available from: https://bit.ly/39tEKOp . [URL] 🠔
  2. 2. Huang C, Wang Y, Li X, Ren L, Zhao J, Hu Y, et al. Clinical features of patients infected with 2019 novel coronavirus in Wuhan, China. Lancet. 2020;395(10223):497-506. https://doi.org/ggjfnn. [URL] 🠔
  3. 3. John Hopkins University (JHU), Coronavirus Resource Center. COVID-19 Dashboard by the Center for Systems Science and Engineerins (CSSE) at Johns Hopkins University. Global Map. Baltimore, MD: JHU; 2010 [cited 2020 Jun 3]. Available from: Available from: https://bit.ly/3mpu3Qz . [URL] 🠔
  4. 4. Wollina U, Karadağ AS, Rowland-Payne C, Chiriac A, Lotti T. Cutaneous signs in COVID-19 patients: A review. Dermatol Ther. 2020;e13549. https://doi.org/ggx28w. [URL] 🠔
  5. 5. Jiao F, Bittmann S. A new classification of clinical findings and treatment options of SARS-CoV-2 infection in children from China. Adv Pediatr Res. 2020;7(1):37. https://doi.org/fkt7. [URL] 🠔
  6. 6. Pan L, Mu M, Yang P, Sun Y, Wang R, Yan J, et al. Clinical Characteristics of COVID-19 Patients With Digestive Symptoms in Hubei, China : A Descriptive, Cross-Sectional, Multicenter Study. Am J Gastroenterol. 2020;115(5):766-73. https://doi.org/ggr6vb. [URL] 🠔
  7. 7. Ahmad I, Rathore FA. Neurological manifestations and complications of COVID-19: A literature review. J Clin Neurosci. 2020;77:8-12. https://doi.org/fkt8. [URL] 🠔
  8. 8. Sethuraman N, Jeremiah SS, Ryo A. Interpreting Diagnostic Tests for SARS-CoV-2. JAMA. 2020;323(22):2249-51. https://doi.org/ggt6cw. [URL] 🠔
  9. 9. Vidal-Anzardo M, Solis G, Solari L, Minaya G, Ayala-Quintanilla B, Astete-Cornejo J, et al. Evaluación en condiciones de campo de una prueba serológica rápida para detección de anticuerpos IgM e IgG contra SARS-CoV-2. Rev Peru Med Exp Salud Pública. 2020;37(2):203-9. https://doi.org/gg7nhc. [URL] 🠔
  10. 10. Li Y, Xia L. Coronavirus Disease 2019 (COVID-19): Role of Chest CT in Diagnosis and Management. AJR Am J Roentgenol. 2020;214(6):1280-6. https://doi.org/ggpxsn. [URL] 🠔
  11. 11. Galván-Casas C, Català A, Carretero-Hernández G, Rodríguez-Jiménez P, Fernámdez-Nieto DF, Rodríguez-Villa Lario A, et al. Classification of the cutaneous manifestations of COVID-19: a rapid prospective nationwide consensus study in Spain with 375 cases. Br J Dermatol. 2020;183(1):71-7. https://doi.org/ggv3tn. [URL] 🠔
  12. 12. Recalcati S. Cutaneous manifestations in COVID-19: a first perspective. J Eur Acad Dermatol Venereol. 2020;34(5): e212-3. https://doi.org/ggq8mf. [URL] 🠔
  13. 13. Joob B, Wiwanitkit V. COVID-19 can present with a rash and be mistaken for dengue. J Am Acad Dermatol. 2020;82(5):e177. https://doi.org/ggq8n3. [URL] 🠔
  14. 14. Martinez JD, Cardenas-de la Garza JA, Cuellar-Barboza A. Going Viral 2019: Zika, Chikungunya, and Dengue. Dermatol Clin. 2019;37(1):95-105. https://doi.org/fkt9. [URL] 🠔
  15. 15. Sachdeva M, Gianotti R, Shah M, Bradanini L, Tosi D, Veraldi S, et al. Cutaneous manifestations of COVID-19: Report of three cases and a review of literature. J Dermatol Sci. 2020;98(2):75-81. https://doi.org/ggv2gx. [URL] 🠔
  16. 16. Perú. Ministerio de Salud. Resolución Ministerial 254 de 2020 (mayo 5). Lima: mayo 5 de 2020 [cited 2020 Jun 7]. Available from: Available from: https://bit.ly/3qJ45ud . [URL] 🠔
  17. 17. Caly L, Druce JD, Catton MG, Jans DA, Wagstaff KM. The FDA-approved drug ivermectin inhibits the replication of SARS-CoV-2 in vitro. Antiviral Res. 2020;178:104787. https://doi.org/ggqvsj. [URL] 🠔
Cutaneous manifestations in a patient with COVID-19 treated at a hospital in the Peruvian jungle. A case report. A case report. Rev. Fac. Med. 2021;69(1):e88723. English. doi: https://dx.doi.org/10.15446/revfacmed.v69n1.88723
[Manifestaciones cutáneas en un paciente con COVID-19 atendido en un hospital de la selva peruana. Reporte de un caso]. Rev. Fac. Med. 2021;69(1):e88723. English. doi: https://dx.doi.org/10.15446/revfacmed.v69n1.88723.
The patient's mother provided her informed consent to prepare this case report.
None stated by the authors.
None stated by the authors.