Revista de la Facultad de Medicina
0120-0011
Universidad Nacional de Colombia
https://doi.org/10.15446/revfacmed.v70n2.89152

Recibido: 14 de julio de 2020; Aceptado: 15 de enero de 2021

Endoscopic negative pressure therapy for the closure of an esophagojejunal anastomosis fistula. Case report

Terapia endoscópica de presión negativa para cierre de fístula de la anastomosis esófago-yeyunal. Reporte de caso

B. Velásquez-Cuasquen, 1*W. Romo-Romero, 12J. Meza-Rodríguez, 1M. Romo-Fajardo, 2

Universidad del Cauca - Faculty of Health Sciences - Surgical Sciences Department - Popayán - Colombia. Universidad del Cauca Universidad del Cauca Faculty of Health Sciences Popayán Colombia
Unidad de Diagnóstico y Cirugía Endoscópica Andes del Sur SAS - Popayán - Colombia. Universidad Nacional de Colombia Unidad de Diagnóstico y Cirugía Endoscópica Andes del Sur SAS Popayán Colombia

Corresponding author: Braulio Giovanni Velásquez-Cuasquen. Departamento de Ciencias Quirúrgicas, Facultad de Ciencias de la Salud, Universidad del Cauca. Popayán. Colombia. Email: giovannyv@unicauca.edu.co.
None stated by the authors.

Abstract

Introduction:

Post-surgical esophagojejunal anastomosis fistulas can be life-threatening. Currently, there are several treatment alternatives. In recent years, endoscopic negative pressure therapy has emerged as an innovative treatment for these fistulas, offering numerous benefits.

Case presentation:

A 72-year-old man diagnosed with gastric adenocarcinoma of the body and fundus underwent total gastrectomy with D2 lymphadenectomy and Roux-en-Y anastomosis with curative intent in a quaternary care hospital in Popayán, Colombia. However, in the postoperative period, he presented systemic inflammatory response syndrome and acute abdomen due to an esophagojejunal fistula. Initial management included a laparotomy, two peritoneal washings, and an abdominal drainage. Then the patient developed frozen abdomen, so it was not possible to access the esophagojejunal anastomosis. Fistula closure was attempted by inserting a self-expandable metallic stent, yet the procedure was not successful. Salvage therapy was started using an endoscopic vacuum-assisted closure (VAC) system. After 5 replacements of the VAC system, complete drainage of the intra-abdominal collection, complete closure of the peritoneal cavity, and closure of the esophagojejunal leak, with a small residual diverticular formation, were achieved. The patient's condition improved progressively, resuming oral intake 20 days after initiation of VAC therapy. In addition, no new abdominal complications were reported during the follow-up period (17 months).

Conclusions:

Endoscopic VAC therapy is a new safe and effective alternative to treat complex post-surgical fistulas caused by esophagojejunal anastomosis.

Keywords:

Endoscopy, Esophagus, Digestive System Fistula, Anastomosis, Roux-en-Y, Anastomotic Leak, Case Report (MeSH).

Resumen

Introducción.

Las fístulas de las anastomosis esófago-yeyunales postquirúrgicas pueden llegar a ser mortales. En la actualidad, existen varias alternativas de tratamiento, y en los últimos años la terapia endoscópica de presión negativa se ha convertido en un método innovador y con grandes ventajas para el manejo de estas fístulas.

Presentación del caso.

Hombre de 72 años diagnosticado con adenocarcinoma gástrico de cuerpo y fondo a quien se le realizó una gastrectomía total con linfadenectomía D2 y una anastomosis en Y de Roux con intención curativa en un hospital de cuarto nivel en Popayán, Colombia. Sin embargo, en el posoperatorio presentó síndrome de respuesta inflamatoria sistémica y abdomen agudo producto de fístula esófago-yeyunal. Se realizó manejo inicial con laparotomía, dos lavados de cavidad peritoneal y drenaje abdominal. Posteriormente, el paciente desarrolló abdomen congelado, por lo que no fue posible acceder a la anastomosis esófago-yeyunal. Se intentó cierre de fístula mediante la inserción de prótesis metálica autoexpandible, pero el procedimiento no fue exitoso. Se inició terapia de rescate mediante sistema de cierre asistido por vacío (VAC) por vía endoscópica. Luego de 5 recambios del sistema VAC, se logró el drenaje completo de la colección intraabdominal encontrada, el cierre completo de la cavidad peritoneal y el cierre de la fuga esófago-yeyunal, con una pequeña formación diverticular residual. La condición del paciente mejoró progresivamente, con reinicio de la vía oral a los 20 días del inicio de la terapia VAC. Además, no se reportaron nuevas complicaciones abdominales en el periodo de seguimiento (17 meses).

Conclusión.

La terapia endoscópica de VAC es una nueva alternativa segura y efectiva para el tratamiento de fístulas postquirúrgicas complejas producto de anastomosis esófago-yeyunales.

Palabras clave:

Endoscopía, Esófago, Fístula del sistema digestivo, Anastomosis en-Y de Roux, Fuga anastomótica, Reporte de caso (DeCS).

Introduction

After a total gastrectomy, intestinal transit must be restored, with Roux-en-Y esophago-jejunostomy being the most commonly used technique for this. However, it should be borne in mind that multiple complications, such as esophagojejunal anastomosis fistulas, can occur following this type of intervention and they can be life-threatening.1

In general, an anastomotic leak is a serious complication that can lead to death. Its frequency varies depending on various factors such as the characteristics of the institution where the patient is treated (surgical volume), the experience of the surgeon performing the procedure, nutritional status, underlying comorbidities of the patient, among others. In the case of esophagojejunal anastomosis fistulas, it has been reported that mortality rates are variable (5% to 60%) and that their occurrence implies prolonged hospital stays and, therefore, a significant increase in the costs of care for these patients.2-5

Fistulas or intestinal leaks, regardless of their etiology, are in most cases a difficult medical problem6 that usually requires various therapeutic interventions. The most important aspect for proper treatment of these complications is to consider the patient's clinical condition, so it is recommended to individualize the treatment based on their needs, while always attempting to preserve intestinal continuity.7

Depending on the extent of the fistula and the patient's clinical condition, several therapeutic alternatives are available, including conservative treatments -such as parenteral or enteral nutrition by means of tube distal to leak, abdominal drainage, and administration of antibiotics- or minimally invasive or invasive procedures such as endoscopy and reoperation.8,9

Over the past decade, non-surgical approaches have been the most widely used in the treatment of upper gastrointestinal defects because, for example, endoscopic treatment offers both a diagnostic and a therapeutic approach.10 This feature, along with the benefits of vacuum-assisted closure (VAC) therapy, has allowed the development of a new approach to treating such defects.

The following is the case of a patient who received endoscopic VAC therapy to treat a persistent esophagojejunal anastomosis fistula.

Case presentation

72-year-old man who was diagnosed with gastric adenocarcinoma of the body and fundus in August 2018. In January 2019, he underwent a total gastrectomy with D2 lymphadenectomy and a Roux-en-Y anastomosis with curative intent in a quaternary care hospital in Popayan, Colombia. The patient had a history of hypertension, type 2 diabetes mellitus, and morbid obesity.

On the sixth postoperative day, the patient presented with systemic inflammatory response syndrome and acute abdomen due to an esophagojejunal anastomosis fistula. As a result, he was taken back to surgery, finding peritonitis and intestinal material in the peritoneal cavity, for which reason cavity lavage was performed and an abdominal drainage tube was inserted. The cavity lavage and drainage of intestinal contents were repeated 48 hours later; however, 96 hours after the initial lavage (when the infection was apparently under control), he developed frozen abdomen, making it impossible to access the esophagojejunal anastomosis. Therefore, an assessment from the endoscopic surgery group was requested.

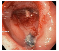
Twelve days after the gastrectomy, a first upper gastrointestinal tract endoscopy (EGD) was performed, which confirmed the clinical suspicion of leakage through the esophagojejunal anastomosis, with a dehiscence of 20% of the circumference (Figure 1). Consequently, treatment was initiated by inserting a self-expandable metallic stent (SEMS) (Figure 2).

Dehiscence of esophagojejunal suture (anastomotic leak).

Figure 1: Dehiscence of esophagojejunal suture (anastomotic leak).

Source: Image obtained during the study.

Self-expandable metallic stent and nasojejunal tube.

Figure 2: Self-expandable metallic stent and nasojejunal tube.

Source: Image obtained during the study.

The patient's course was not satisfactory, as the leakage of intestinal contents through the abdominal drainage tube persisted. Eight days after inserting the SEMS, a second EGD was performed, in which leakage of intestinal contents between the distal end of the SEMS and the lifted jejunum was observed, as well as persistence of the esophagojejunal leakage. Therefore, the SEMS was removed, and an examination of the abdominal cavity was performed through the defect, finding localized abscess, cellular detritus, fibrin particles attached to cavity walls, and abdominal drainage tube (Figures 3 and 4).

Persistent esophagojejunal anastomosis fistula.

Figure 3: Persistent esophagojejunal anastomosis fistula.

Source: Image obtained during the study.

Localized peritonitis. Abdominal drainage.

Figure 4: Localized peritonitis. Abdominal drainage.

Source: Image obtained during the study.

Given the patient's condition, salvage therapy was started by endoscopic drainage of the intra-abdominal abscess found, the VAC system was placed endoscopically (Figure 5), and a nasojejunal tube was subsequently placed and enteral nutrition was initiated.

Handmade polyurethane foam device placed.

Figure 5: Handmade polyurethane foam device placed.

Source: Image obtained during the study

Since it is not yet possible to obtain an endoscopic kit for VAC therapy in Colombia, it was necessary to make a handmade kit (Figure 6), using a Levin No. 18 nasogastric tube with several additional fenestrations at its tip and a 1.5x1.5x5cm rectangular prism of black open-cell polyurethane foam (extracted from an abdominal VAC system foam) with a central longitudinal hole through which the probe tip was passed. The foam was fixed to the probe in three parts with 0-gauge silk suture and its corners were rounded with scissors.

Handcrafted vacuum-assisted closure device made from polyurethane foam.

Figure 6: Handcrafted vacuum-assisted closure device made from polyurethane foam.

Source: Image obtained during the study.

To position the foam of the VAC system inside the peritoneal cavity, a placement wire from an endoscopic gastrostomy kit was used, which was inserted into the abdominal drainage tube, recovered via endoscopy, and taken to the patient's mouth, prior to removal of the drainage tube. This wire was attached to the tip of the probe and the VAC system was mobilized by traction into the peritoneal cavity, where it was placed in the appropriate position.

Subsequent VAC system replacements, which were carried out every 72 hours (for a total of 5 replacements), were performed in the same way, changing only foam length and probe diameter; the latter was connected to a negative pressure system intermittently at -125 mmHg. With each replacement, greater cleaning and reduction in the size of the peritoneal cavity were observed (Figure 7).

First replacement of the handcrafted vacuum-assisted closure system.

Figure 7: First replacement of the handcrafted vacuum-assisted closure system.

Source: Image obtained during the study.

After 18 days of initiation of VAC therapy, complete drainage of the intra-abdominal abscess, closure of the peritoneal cavity, and more than 90% closure of the esophagojejunal fistula were achieved (Figure 8).

Small residual diverticular formation measuring 22x18x25mm.

Figure 8: Small residual diverticular formation measuring 22x18x25mm.

Source: Image obtained during the study.

The patient's condition improved progressively, with resumption of oral intake 20 days after initiation of VAC therapy. Moreover, no new abdominal complications were observed during the follow-up period (17 months). The histopathological study of gastric lesion confirmed well-differentiated adenocarcinoma, classified as T2N0M0 and with involvement up to the muscularis propria. There was no need for adjuvant therapy.

Discussion

Endoscopic therapy of anastomotic leaks or intestinal perforations has become a safe and effective procedure in recent years, with the insertion of SEMS being the most commonly used method due to its efficacy of more than 60%.5,11-13 However, there are currently several treatment options available, and endoscopic vacuum-assisted wound closure is regarded as an innovative and effective method.13

In this regard, Rausa et al. 14 conducted a systematic review and meta-analysis in which they included studies comparing the use of SEMS with VAC therapy for the treatment of esophageal perforations and found that the rate of closure of these defects is significantly higher with VAC therapy than with SEMS (95%CI: 2.11-14.88; p<0.001), and that VAC therapy is associated with a shorter duration (95%CI: 6.6-1.4; p=0.021) and a lower rate of major complications (95%CI: 0.11-1.27; p=0.011) and hospital mortality (95%CI: 0.13-0.81; p=0.002) than SEMS placement. As a result, the authors concluded that, while SEMS is a viable alternative to surgery in the treatment of anastomotic leakage or intestinal perforation, with an overall success rate ranging from 44% to 88% of patients, endoscopic VAC therapy emerges as an additional therapeutic option, showing overall success rates that vary between 84% and 100%, as demonstrated in the case reported here, in which the patient did not have a satisfactory course with the placement of the SEMS, but did with endoscopic VAC therapy.

Negative pressure therapy was first used to treat wounds in the extremities complicated by infection or loss of soft tissues in the mid-twentieth century,15 but in recent decades, its use has spread to other areas, and it is now used by many medical specialties for the management of complex wounds, both external and internal, where endoscopic access is possible.

The mechanism of action of VAC therapy allows to improve the microenvironment of the wound or lesion being treated, facilitating healing through multiple molecular, vascular, and cellular processes. These processes include wound contraction (macro-deformation), stabilization of the wound environment, reduction of edema, removal of exudates and cellular detritus, micro-deformation of the surface, and an increase in local blood flow of up to four times, which also allows for increased angiogenesis, granulation tissue formation, and local bacterial count reduction.16-17

The principle by which VAC works had already been successfully implemented in the treatment of endoscopic access to anastomotic leaks from the upper and lower digestive tract. For example, Loske et al. 18 in a case series conducted in 14 patients with the full range of possible esophageal defects, found that complete healing of the esophageal defect was achieved in 13, with the other patient dying due to fulminant pseudomembranous colitis that developed while the esophageal defect was nearly healed.

For their part, Bludau et al. 19 published a study of 77 patients with upper digestive tract defects treated with VAC therapy between October 2010 and January 2017 (6 patients with spontaneous esophageal perforations, 12 with iatrogenic lesions, and 59 with post-surgical fistulas) and found that 77.9% of participants achieved a complete resolution of the defect. Said study demonstrates the great benefits of this novel system, such as fistula closure and infection control.

The duration of VAC therapy for successful closure of intestinal fistulas varies depending on the size of the defect and cavity contamination; however, Banasiewicz et al., 20 in a case series involving 3 critically ill patients with complex postoperative wounds complicated by multiple fistulas reported successful results within 29 to 35 days, during which 1 to 21 replacements were performed. The patient in the case reported here required 5 system replacements (performed over 18 days), which resulted in 90% closure of the lesion, removal of the enteral nutrition tube (which was maintained in situ throughout the treatment), and resumption of oral intake after removing the last foam, with excellent tolerance and evolution.

Conclusions

Endoscopic VAC therapy is an innovative method that has become a safe and effective alternative for the management of anastomotic fistulas and similar lesions of the upper and lower digestive tract. Furthermore, according to published studies, this is a reproducible procedure that is well tolerated by patients and significantly reduces morbidity and mortality.14

Acknowledgements

Acknowledgments

To the patient for allowing the documentation of this clinical case, and to the Clínica La Estancia for promoting research at the institution.

References

  1. 1. EI Hajj II, Imperiale TF, Rex DK, Ballard D, Kesler KA, Birdas TJ, et al . Treatment of esophageal leaks, fistulae, and perforations with temporary stents: evaluation of efficacy, adverse events, and factors associated with successful outcomes. Gastrointest Endosc. 2014;79(4):589-98. https://doi.org/f2qkmx. [URL] 🠔
  2. 2. Kubota T, Hiki N, Sano T, Nomura S, Nunobe S, Kumagai K, et al . Prognostic Significance of Complications after Curative Surgery for Gastric Cancer. Ann Surg Oncol. 2014;21(3):891-8. https://doi.org/f5xjxh. [URL] 🠔
  3. 3. Makuuchi R, Irino T, Tanizawa Y, Bando E, Kawamura T, Terashima M. Esophagojejunal anastomotic leakage following gastrectomy for gastric cancer. Surg Today. 2019;49(3):187-96. https://doi.org/hj3j. [URL] 🠔
  4. 4. Campos-Campos SF, Ureña-Álvarez JA, Fuentes-Orozco C, Barbosa-Camacho FJ, Barrera-López FJ, Jiménez-Ley VB, et al . Dehiscencia de anastomosis gastrointestinal. Qué hacer y qué no hacer. Cir. Gen. 2019;41(4):243-55. 🠔
  5. 5. Bemelman WA, Baron TH. Endoscopic Management of Transmural Defects, Including Leaks, Perforations, and Fistulae. Gastroenterology. 2018;154(7):1938-46. https://doi.org/gdk5n6. [URL] 🠔
  6. 6. Chadi SA, Fingerhut A, Berho M, DeMeester SR, Fleshman JW, Hyman NH, et al . Emerging Trends in the Etiology, Prevention, and Treatment of Gastrointestinal Anastomotic Leakage. J Gastrointest Surg. 2016;20(12):2035-51. https://doi.org/f9bscs. [URL] 🠔
  7. 7. Pacheco MA, Aldana GE, Martínez LE, Forero JC, Gómez CA, Coral EM, et al . Incidencia de falla anastomótica en intestino delgado, colon y recto, Bogotá, Colombia. Rev Colomb Cir. 2017;32(4): 269-76. https://doi.org/h7v4. [URL] 🠔
  8. 8. Moniruddin ABM, Chowdhury S, Sharif S, Rahman M, Faisal MFH, Hasan T, et al . Gastrointestinal fistulas: An Update. KYAMC Journal. 2018;9(2):87-94. https://doi.org/h7v7. [URL] 🠔
  9. 9. Cereatti F, Grassia R, Drago A, Conti CB, Donatelli G. Endoscopic management of gastrointestinal leaks and fistulae: What option do we have? World J Gastroenterol. 2020;26(29):4198-217. https://doi.org/gn9jcr. [URL] 🠔
  10. 10. Willingham FF, Buscaglia JM. Endoscopic management of gastrointestinal leaks and fistulae. Clin Gastroenterol Hepatol. 2015;13(10):1714-21. https://doi.org/f3h95q. [URL] 🠔
  11. 11. Kauer WK, Stein HJ, Dittler HJ, Siewert JR. Stent implantation as a treatment option in patients with thoracic anastomotic leaks after esophagectomy. Surg Endosc. 2008;22(1):50-3. https://doi.org/fgkh4j. [URL] 🠔
  12. 12. Bouchard S, Eisendrath P, Toussaint E, Le Moine O, Lemmers A, Arvanitakis M, et al . Trans-fistulary endoscopic drainage for post-bariatric abdominal collections communicating with the upper gastrointestinal tract. Endoscopy. 2016;48(9):809-16. https://doi.org/f9drtw. [URL] 🠔
  13. 13. Brangewitz M, Voigtländer T, Helfritz FA, Lankisch TO, Winkler M, Klempnauer J, et al . Endoscopic closure of esophageal intrathoracic leaks: Stent versus endoscopic vacuum-assisted closure, a retrospective analysis. Endoscopy. 2013;45(6):433-38. https://doi.org/f5xfss. [URL] 🠔
  14. 14. Argenta LC, Morykwas MJ, Marks MW, DeFranzo AJ, Molnar JA, David LR. Vacuum-assisted closure: state of clinic art. Plast Reconstr Surg. 2006;117(Suppl 7):127S-42S. https://doi.org/bk3sb9. [URL] 🠔
  15. 15. Endara SA, Teran FJ, Serrano AJ, Castillo MJ, Molina GA. Esophagocoloplasty fistula successfully treated with vacuum-assisted closure. J Surg Case Rep. 2018;2018(1):rjx256. https://doi.org/h7v8. [URL] 🠔
  16. 16. Cozza V, Pepe G, Cintoni M, De Maio F, Tropeano G, Magalini S, et al . Vacuum-assisted closure (VAC®) systems and microbiological isolation of infected wounds. World J Emerg Surg. 2018;13(1):53. https://doi.org/h7v9. [URL] 🠔
  17. 17. Loske G, Schorsch T, Müller C. Intraluminal and intracavitary vacuum therapy for esophageal leakage: A new endoscopic minimally invasive approach. Endoscopy. 2011;43(6):540-4. https://doi.org/dsc2wk. [URL] 🠔
  18. 18. Bludau M, Fuchs HF, Herbold T, Maus MKH, Alakus H, Popp F, et al . Results of endoscopic vacuum-assisted closure device for treatment of upper GI leaks. Surg Endosc. 2018;32(4):1906-14. https://doi.org/gc9d9q. [URL] 🠔
  19. 19. Banasiewicz T, Borejsza-Wysocki M, Meissner W, Malinger S, Szmeja J, Kosciríski T, et al . Vacuum-assisted closure therapy in patients with large postoperative wounds complicated by multiple fistulas. Wideochir Inne Tech Maloinwazyjne. 2011;6(3):155-63. https://doi.org/cmwqjk. [URL] 🠔
  20. 20. Rausa E, Asti E, Aiolfi A, Bianco F, Bonitta G, Bonavina L. Comparison of endoscopic vacuum therapy versus endoscopic stenting for esophageal leaks: systematic review and meta-analysis. Dis Esophagus. 20181;31(11). https://doi.org/h87q. [URL] 🠔
Velásquez-Cuasquen BG, Romo-Romero WO, Meza-Rodríguez JA, Romo-Fajardo MC. Endoscopic negative pressure therapy for the closure of a esophagojejunal fistula. Case report. Rev. Fac. Med. 2021;70(2):e89152. English. doi: https://doi.org/10.15446/revfacmed.v70n2.89152.
Velásquez-Cuasquen BG, Romo-Romero WO, Meza-Rodríguez JA, Romo-Fajardo MC. [Terapia endoscópica de presión negativa para cierre de fístula esófago-yeyunal. Reporte de caso]. Rev. Fac. Med. 2021;70(2):e89152. English. doi: https://doi.org/10.15446/revfacmed.v70n2.89152.
For the preparation of this case report, informed consent was obtained from the patient, both for the treatment using VAC therapy and for the publication of the manuscript.
None stated by the authors.