Salmonella enteritidis meningitis in an infant: Case report and literature review
Meningitis por Salmonella enteritidis en un lactante menor: reporte de un caso y revisión de la literatura
DOI:
https://doi.org/10.15446/revfacmed.v64n3.54613Palabras clave:
Meningitis, Salmonella, Therapeutic, Antibiotics (en)Meningitis, Salmonella, Terapéutica Antibacterianos (es)
Descargas
Salmonella meningitis is an entity with relatively low incidence. In developed countries, it represents 1% of meningitis cases while in developing countries it may occur in up to 13%. Its treatment is difficult and there is no consensus about it.
This article presents the case of an infant with a clinical picture consisting of coughing, runny nose, fever, tachycardia, tachypnea, hyporexia and hypoactivity, with cerebrospinal fluid (CSF) test compatible with bacterial meningitis and common germs culture positive for Salmonella spp, which was finally typified as Salmonella Enteritidis. The patient was mainly treated with meropenem showing favorable results.
This case evidences the difficulty of antibiotic treatment for Salmonella spp meningitis, especially if it is taken into account that its management is based on case reports and expert recommendations due to the lack of randomized clinical trials.
La meningitis por Salmonella es una entidad de incidencia relativamente baja; en los países desarrollados apenas alcanza el 1% del total de los casos, mientras que en los países en vías de desarrollo puede llegar hasta 13%. Su tratamiento es difícil y no existe consenso al respecto.
El presente artículo presenta el caso de una lactante menor con cuadro clínico consistente en tos, rinorrea, fiebre, taquicardia, taquipnea, hiporexia e hipoactividad; con estudio de líquido cefalorraquídeo (LCR) compatible con meningitis bacteriana y cultivo para gérmenes comunes compatible con Salmonella spp, la cual se tipificó finalmente como Salmonella enteritidis. La paciente fue tratada principalmente con meropenem con resultados favorables.
El caso pone en consideración lo difícil que resulta el tratamiento antibiótico de la meningitis por Salmonella spp, en especial si se tiene en cuenta que, en ausencia de ensayos clínicos aleatorizados, las pautas para su manejo se basan en reportes de caso y recomendaciones de expertos.
CASE REPORT
DOI: https://doi.org/10.15446/revfacmed.v64n3.54613
Salmonella enteritidis meningitis in an infant:
Case report and literature review
Meningitis por Salmonella enteritidis en un lactante menor:
reporte de un caso y revisión de la literatura
Received: 11/12/2015. Accepted: 10/02/2016.
Anuar Alonso Cedeño-Burbano1 • Gerardo Alfonso Galeano-Triviño2 • William Andrés Manquillo-Arias2
• David Andrés Muñoz-García2
1 Universidad del Cauca - Faculty of Health Sciences - Department of Anesthesiology - Popayán - Colombia.
2 Universidad del Cauca - Faculty of Health Sciences - Popayán - Colombia.
Corresponding author: Anuar Alonso Cedeño-Burbano. Calle 61 No. 15-71. Phone number: +57 3105287152. Popayán. Colombia. Email: anuarcedeno@outlook.com.
| Abstract |
Salmonella meningitis is an entity with relatively low incidence. In developed countries, it represents 1% of meningitis cases while in developing countries it may occur in up to 13%. Its treatment is difficult and there is no consensus about it.
This article presents the case of an infant with a clinical picture consisting of coughing, runny nose, fever, tachycardia, tachypnea, hyporexia and hypoactivity, with cerebrospinal fluid (CSF) test compatible with bacterial meningitis and common germs culture positive for Salmonella spp, which was finally typified as Salmonella Enteritidis. The patient was mainly treated with meropenem showing favorable results.
This case evidences the difficulty of antibiotic treatment for Salmonella spp meningitis, especially if it is taken into account that its management is based on case reports and expert recommendations due to the lack of randomized clinical trials.
Keywords: Meningitis; Salmonella; Therapeutic; Antibiotics (MeSH).
Cedeno-Burbano AA, Galeano-Trivino GA, Manquillo-Arias WA, Muñoz-García DA. Salmonella enteritidis meningitis in an infant: Case report and literature review. Rev. Fac. Med. 2016;64(3):575-80. English. doi: https://doi.org/10.15446/revfacmed.v64n3.54613.
| Resumen |
La meningitis por Salmonella es una entidad de incidencia relativamente baja; en los países desarrollados apenas alcanza el 1% del total de los casos, mientras que en los países en vías de desarrollo puede llegar hasta 13%. Su tratamiento es difícil y no existe consenso al respecto.
El presente artículo presenta el caso de una lactante menor con cuadro clínico consistente en tos, rinorrea, fiebre, taquicardia, taquipnea, hiporexia e hipoactividad; con estudio de líquido cefalorraquídeo (LCR) compatible con meningitis bacteriana y cultivo para gérmenes comunes compatible con Salmonella spp, la cual se tipificó finalmente como Salmonella enteritidis. La paciente fue tratada principalmente con meropenem con resultados favorables.
El caso pone en consideración lo difícil que resulta el tratamiento antibiótico de la meningitis por Salmonella spp, en especial si se tiene en cuenta que, en ausencia de ensayos clínicos aleatorizados, las pautas para su manejo se basan en reportes de caso y recomendaciones de expertos.
Palabras clave: Meningitis; Salmonella; Terapéutica, Antibacterianos (DeCS).
Cedeño-Burbano AA, Galeano-Triviño GA, Manquillo-Arias WA, Muñoz-García DA. [Meningitis por Salmonella enteritidis en un lactante menor: reporte de un caso y revisión de la literatura]. Rev. Fac. Med. 2016;64(3):575-80. English. doi:https://doi.org/10.15446/revfacmed.v64n3.54613.
Introduction
Salmonella genus microorganisms are gram-negative bacilli of the Enterobacteriaceae family. The most recent classification of Salmonella includes only two species: Salmonella enterica and Salmonella bongori. S. enterica consists of six subspecies subdivided into different serotypes based on somatic antigenic factors O, flagellar H and capsular Vi. According to the Kauffmann-White scheme, recommended by the Collaborating Centre of the World Health Organization for Reference and Research on Salmonella, there are plenty of somatic and flagellar antigens, so serovars can be classified into serogroups based on the type of antiserum-O which causes agglutination in the laboratory. In this regard, Salmonella enteritidis belongs to serogroup D and corresponds to S. enterica, subspecies enterica, serovar enteritidis, a name that is ignored for practical purposes.
Salmonellosis is a global public health problem (1,2); it is an infection acquired orally and the following are considered risk factors for the development of the gastrointestinal infection in children: contact with another household member infected with the bacteria, consumption of infant formula, visits to health centers and consumption of untreated water (3). Breast milk decreases the risk of sporadic salmonellosis in infants (4,5), although there are reports that suggest that this may favor the transmission of some serovars of Salmonella that colonize the mammary glands (6).
The incubation period for the gastrointestinal infection is 6-72 hours (7) and, despite the usual self-limitation of the infection, between 1% and 5.7% of patients may develop bacteremia, which is mostly benign, although ocasional osteoarticular or meningeal secondary outbreaks (8,9) may appear. Invasive infection occurs due to the distortion of local enteric immunity and is particularly seen in the extremes of life or in individuals with predisposing conditions, particularly in immunosuppressed patients. The disseminated form is frequent in infants under two years of age and is much more common in the neonatal period, becoming an important cause of morbidity and mortality in this age group (11-14).
In developed countries, Salmonella meningitis represents less than 1% of cases of bacterial meningitis confirmed in infants and children. In contrast, the incidence reported in developing countries reaches 13% (15-21). The clinical implications of Salmonella meningitis are serious, with a mortality rate that can reach up to 89% in underdeveloped countries (22-24). In an observational study, 13% of the patients died, 75% had at least one complication during the acute phase —hidrocefalia 50%, subdural collection 42%, stroke 33%, ventriculitis 25%, empyema cerebral 13%, and brain abscess 8 %— and 71% of patients developed motor sequelae, epilepsy, language delay or cognitive delay in long-term follow-up (25). The prognosis is poor, especially, due to complications inherent to the infection, so early diagnosis is crucial to achieve a favorable outcome (26-28).
Gastrointestinal infections are usually self-limiting diseases and rarely require antibiotic treatment (29,30). A meta-analysis proved that there are no benefits in using antibiotics to treat gastrointestinal infections caused by Salmonella (31); however, this is mandatory for invasive complications such as sepsis and meningitis. Broad-spectrum cephalosporins, such as cefotaxime and ceftriaxone, are preferably used in the treatment of salmonellosis in children, since fluoroquinolones are not clearly marked and the evidence for carbapenems is still insufficient (1,32).
This paper aims to present the clinical case of an infant with Salmonella enteritidis meningitis successfully treated with meropenem.
Case presentation
The patient was a two month-old infant, admitted in the pediatric emergency department of a level III hospital in Popayán, Cauca, who came from the rural area, daughter of a 31 year-old mother as a result of a second pregnancy, born by Caesarean section at 37 weeks due to hypertensive disorder during pregnancy and weight of 2 550g at birth.
At birth, the patient received BCG and hepatitis b vaccines, but was not administered rotavirus, polio, pneumococcus nor pentavalent (DPT, haemophilus influenzae type b and hepatitis b) vaccines at two months of age, which are included in the expanded immunization program for Colombia; until then, she had been fed exclusively on breast milk.
The infant had a clinical picture that started the same day of admission, consisting of a runny nose, coughing without cyanosis nor associated vomiting, fever, hyporexia and hypoactivity; she entered in the hospital in poor general condition, with 4.2kg weight, afebrile, heart rate of 145 beats/min and respiratory rate of 45 breaths/min, peripheral oxygen saturation equal to 88%, intercostal runs, pushing and staring episodes that suggested absences. No aggregated noises were found in lung auscultation and, apart from what has been described, the rest of the physical examination was normal, including fontanelar tone and consciousness. Paraclinical studies documented at admission are detailed in Table 1.
Table 1. Paraclinical results of studies on admission to the emergency room.
|
Paraclinical |
Result |
||
|
Hemogram |
Leucocytes |
3 300 /mm3 |
|
|
Neutrophils |
1 800 /mm3 |
||
|
Lymphocytes |
1 300 /mm3 |
||
|
Hemoglobin |
9.6 g/dl |
||
|
Hematocrit |
29.9% |
||
|
Platelet count |
330 000 /mm3 |
||
|
Band neutrophils |
2% |
||
|
Metamyelocytes |
2% |
||
|
ABG |
Severe metabolic acidosis |
||
|
Prothrombin time |
10.6 seconds |
||
|
Thromboplastin time |
35 seconds |
||
|
Creatinine |
0.3 mg/dl |
||
|
BUN |
6 mg/dl |
||
|
Serum electrolytes (sodium, chlorine, potassium, magnesium, phosphorus, calcium) |
Normal |
||
|
Glycemia |
92 mg/dl |
||
|
Urinalysis |
Negative for urinary tract infection |
||
|
Viral panel |
Type A |
Negative |
|
|
Type B |
Negative |
||
|
A H1N1 |
Negative |
||
|
Chest X-ray |
No positive findings for pneumonic infection |
||
Source: Own elaboration based on the data obtained in the study.
Based on these findings, diagnosis of unknown origin sepsis was established; empirical antibiotic treatment with ceftriaxone was initiated at a dose of 100 mg/kg/day and urine and blood cultures 1 and 2 were ordered, as well as a lumbar puncture for cerebrospinal fluid studies (CSF). The CSF cytochemical reported hypoglycorrhachia, hyperproteinorrachia and neutrophilic pleocytosis, which suggested bacterial meningitis. The Gram staining showed moderate gram-negative bacilli and scarce gram-negative coccobacillary, confirming the diagnosis (Table 2); for this reason, suspending ceftriaxone was determined and meropenem antibiotic treatment was started at a dose of 120 mg/kg/day and the patient was admitted in the Pediatric Intensive Care Unit. Preliminary reports from blood cultures 1 and 2 confirmed the presence of concomitant gram-negative bacilli in blood.
In the critical care unit, evolution was torpid since a septic shock requiring inotropic support with milrinone at a maintenance dose of 0.4 mcg/kg/min was documented. After a CSF study report, a stool culture was performed, in which enteric pathogens compatible with Salmonella or Shigella were not isolated. However, two days later, isolation of Salmonella spp was reported in cultures of cerebrospinal fluid and blood, of a strain sensitive to ampicillin, ceftriaxone, imipenem, meropenem and trimethoprim-sulfamethoxazole, so meropenem was suspended after two days of treatment and antibiotic treatment was readjusted to ceftriaxone dose of 100 mg/kg/day.
Table 2. CSF diagnostic and control analysis.
|
Parameter |
Diagnostic studies |
Follow-up 1 |
Follow-up 2 |
Follow-up 3 |
|
|
Physical exam |
Color |
Yellow |
Colorless |
Amber |
Colorless |
|
Aspect |
Turbid |
Transparent |
Slightly turbid |
Transparent |
|
|
Cell count |
Red blood cells |
275 /mm3 |
43 /mm3 |
730 /mm3 |
30 /mm3 |
|
White blood cells |
327 /mm3 |
10 /mm3 |
0 /mm3 |
127 /mm3 |
|
|
Neutrophils |
255 /mm3 |
5 /mm3 |
0 /mm3 |
25 /mm3 |
|
|
Lymphocytes |
72 /mm3 |
5 /mm3 |
0 /mm3 |
102 /mm3 |
|
|
Chemical test |
Glucose |
2 mg/dl |
25 mg/dl |
5 mg/dl |
13 mg/dl |
|
Proteins |
513.5 mg/dl |
114.4 mg/dl |
416.9 mg/dl |
236.9 mg/dl |
|
|
LDH |
189 UI/L |
66 UI/L |
-- |
-- |
|
|
Microbiological examination |
Gram |
Moderate gram-negative bacilli Moderate PMN leukocytes |
Scarce PMN leukocytes No bateria observed |
PMN leukocytes No bacteria observed |
Scarce PMN leukocytes No bateria observed |
|
Cultures |
Salmonella spp was isolated |
Negative after 72 hours of incubation |
Negative after 72 hours of incubation. |
Negative after 72 hours of incubation. |
|
|
Salmonella spp classification. |
Salmonella enterica, subspecies enterica, serovar enteritidis |
||||
Source: Own elaboration based on the data obtained in the study.
In the critical care unit, evolution was torpid since a septic shock requiring inotropic support with milrinone at a maintenance dose of 0.4 mcg/kg/min was documented. After a CSF study report, a stool culture was performed, in which enteric pathogens compatible with Salmonella or Shigella were not isolated. However, two days later, isolation of Salmonella spp was reported in cultures of cerebrospinal fluid and blood, of a strain sensitive to ampicillin, ceftriaxone, imipenem, meropenem and trimethoprim-sulfamethoxazole, so meropenem was suspended after two days of treatment and antibiotic treatment was readjusted to ceftriaxone dose of 100 mg/kg/day.
Isolated Salmonella spp. was sent to an external laboratory for classification and was reported as Salmonella enteritidis. Meanwhile, a first simple and contrasting computerized axial tomography (CAT) was performed, concluding that it was normal. The patient remained hypotensive, with inotropic, tachycardia and tachypnea requirement, with metabolic acidosis evidenced in arterial blood gases and fever peaks; a five day course of antibiotic treatment with ceftriaxone was concluded with stationary evolution, period in which the patient also had seizures characterized by isolated episodes of gaze deviation, tachycardia and associated peripheral oxygen desaturation, initially managed with phenobarbital at a dose of 7 mg/kg/day without adequate clinical response.
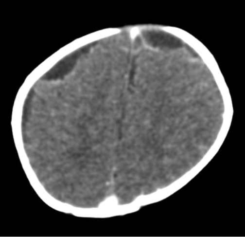
Based on this situation, concomitant treatment with phenytoin at a dose of 5 mg/kg/day was indicated; meropenem was restarted and control cultures in blood, CSF and urine were taken. CSF control studies reported hypoglycorrhachia and hyperproteinorrachia within the ranges of bacterial meningitis, with fluctuating values of polymorphonuclear and leukocytes (Table 2). After 10 days of antibiotic treatment, a control simple and contrastig brain CT was performed, which reported meningeal vascular reinforcement and right frontotemporal and left frontal subdural effusions, consistent with clinical findings of acute meningitis (Figure 1). Nevertheless, due to clinical deterioration, the possibility of nosocomial gram-positive bacterial coinfection by germs was considered, so vancomycin was added to the antibiotic treatment at a dose of 60 mg/kg/day. Vancomycin was suspended five days later, after 72 hours without fever, within th context of negative control blood cultures, urine culture and CSF culture.
Figure 1. Simple and contrasting control CAT scan on the 10th day of antibiotic treatment. Source: Own elaboration based on the data obtained in the study.
Another simple and contrasting control brain CT scan performed at day 12 of treatment reported bilateral frontoparietal subdural collections, which suggested subdural empyema (Figure 2). A transfontanelar ultrasound was performed and then reported as normal. For this reason, performing a transfontanelar puncture was suggested by neurosurgery, but it was not performed due to favorable evolution.
Figure 2. Simple and contrasting control CAT scan on the 12th day of antibiotic treatment. Source: Own elaboration based on the data obtained in the study.
After 19 days of combined antibiotic treatment that included ceftriaxone, meropenem and vancomycin, the infant gained clinical improvement obtained by limiting the convulsive episodes, as well as reaching hemodynamic and ventilatory compensation, and was transferred from the critical care unit to pediatrics hospitalization rooms with the aim of completing 21 days of antibiotic treatment with meropenem, which ended satisfactorily, without recurrence until discharge or after it. Three months after the acute event was solved, the patient returned to neurodevelopmental physical therapy and psychomotor prognosis was reserved, therefore, if neurodevelopmental goals are reached or if, instead, definitive neurologic sequelae are in place, can only be determined in the long-term.
Discussion
There are no case reports about Salmonella meningitis in the department of Cauca; epidemiological data are inconclusive and may be underreported. This clinical case is about a patient from the countryside, where pigs and chickens are raised in her home. It is known that Salmonella enteritidis colonizes the gastrointestinal tract of poultry and can be found on the surface of their eggs, so it is presumed that the transmission occurred through contact of the child with their caregivers. It should also be noted that the patient had no prior gastrointestinal conditions and the microorganism was not isolated in any stool sample. The literature has emphatically mentioned that the enteric picture precedes disseminated forms, so there are no reports about primary meningitis caused by Salmonella spp.
Given the difficulty in the design, there are no controlled clinical trials to consider antibiotic treatment of meningitis by Salmonella spp. and a consensus about treatment has not been reached (33), in consequence, its management is based on information documented by case reports or expert recommendations (8,34).
In the past, ampicillin, chloramphenicol and cotrimoxazole were used alone or combined for treatment, with not always favorable outcomes and a reported mortality rate associated to the treatment with ampicillin and/or chloramphenicol of up to 30% (6,35,39). With the arrival of third-generation cephalosporins, mortality rates and relapse of Salmonella meningitis have considerably decreased taking into account that Salmonella spp. meningitis resistance to these drugs is uncommon (35), but are occasionally reported (16,40).
Although ceftriaxone is an antibiotic with poor intracellular fluid penetration, its concentration in the cell is directly related to the concentration on the outside, so the effectiveness of the treatment depends on the time and the dose employed. Therefore, an intravenous treatment at high doses for at least four weeks must be assured (35). Currently, the American Academy of Pediatrics recommends the use of ceftriaxone or cefotaxime for four weeks or more, as lower courses of treatment have been associated with higher recurrence rates (16,41,42).
The resistance of Salmonella spp. to third-generation cephalosporins is rare, but the general resistance of Salmonella to antimicrobial begins to be a global problem in public health (43).
A descriptive study, which evaluated the susceptibility of 739 strains of Salmonella showed that serogroups A and D were sensitive to all drugs used (ampicillin, cotrimoxazole, chloramphenicol, ofloxacin, pefloxacin, norfloxacin, ciprofloxacin, ceftriaxone and cefotaxime). Serogroup B was sensitive to quinolones but resistant to ampicillin, chloramphenicol and trimethoprim-sulfamethoxazole in 78%, 83% and 54% of cases, respectively. Serogroup C had a resistance sensitivity profile similar to that of serogroup B. Finally, serogroup E was 100% sensitive to quinolones, but less sensitive to ampicillin, cotrimoxazole, ceftriaxone and cefotaxime at a 67-82% range (44). In this case report, although Salmonella strain was sensitive to third-generation cephalosporins in the antibiogram, clinical response using ceftriaxone was erratic, therefore, antibiotic treatment with meropenem was preferred.
On the other hand, the combination of third-generation cephalosporins with gentamicin, used in the initial treatment of gram-negative meningitis, may not be appropriate when it comes to intracellular facultative as Salmonella because gentamicin has poor penetration into intracellular fluids and does not penetrate the blood brain barrier well enough (16,45).The evidence of the use of carbapenems is insufficient, although satisfactory results have been reported in individual cases (16,38,39,41).
In the absence of pharmacological alternatives, the combination of ceftriaxone and ciprofloxacin, or ceftriaxone plus cefotaxime (if ciprofloxacin is contraindicated as in cases of newborn jaundice) can be considered for a minimum period of three weeks (16), even though that association has not been correlated to clear indications. This combination is not synergistic, but there is no evidence that pharmacological antagonism occurs between molecules (16,46). While the use of ciprofloxacin in children has been limited due to the possibility of arthropathy, the overall experience indicates that this is a rare event (47-49). There are reports that indicate the successful use of ciprofloxacin as monotherapy for Salmonella meningitis, but its combined use is suggested given the likelihood of resistance (16,40,50).
Conclusions
There is no consensus about antibiotic treatment of Salmonella meningitis. In the absence of clinical trials, cohort studies, and cases and controls, all recommendations come from case reports or advice from experts, models that have very low levels of evidence. Despite this, it is well recognized that ceftriaxone and cefotaxime are suitable alternatives, since the doses used have good penetration into the central nervous system and Salmonella resistance to these drugs is uncommon; therefore, they should be considered as the first choice of management.
The evidence on carbapenems is even more insufficient to recommend routine use; nonetheless, the case presented here suggests that meropenem can be an alternative to third-generation cephalosporins for the treatment of Salmonella spp meningitis.
Albeit with a low level of evidence, the available literature suggests that ampicillin should not be used empirically given the high rate of treatment failure. Similarly, fluoroquinolones, with no clear indication in the pediatric population, can be considered as pharmacological alternatives, especially in patients who do not have favorable clinical response or in relapse cases, but more studies with appropriate epidemiological design to support such recommendation are needed.
Finally, all isolation of Salmonella spp. in the cerebrospinal fluid requires antibiotic sensitivity studies that allow an adequate treatment.
Conflict of interests
None stated by the authors.
Funding
None stated by the authors.
Acknowledgements
To Uriel Alfonso Palta Velasco.
References
1.Menezes GA, Harish BN, Parija SC. A case of fatal acute pyogenic meningitis in a neonate caused by extended-spectrum beta-lactamase producing Salmonella group B. Jpn. J. Infect. Dis. 2008;61(3):234-5.
2.Mead PS, Slutsker L, Dietz V, McCaig LF, Bresse JS, Shapiro C, et al. Food-related illness and death in the United States. Emerg. Infect. Dis. 1999;5(5):607-25. http://doi.org/ffkh2d.
3.Chen CJ, Wu FT, Hsiung CA, Chang WC, Wu HS, Wu CY, et al. Risk factors for salmonella gastroenteritis in children less than five years of age in Taiwan. Pediatr. Infect. Dis. J. 2012;31(12):e239-43. http://doi.org/bjq5.
4.Nimir AR, Ibrahim R, Ibrahim IA. Salmonella meningitis in a paediatric patient caused by Salmonella enterica serotype Houtenae. BMJ Case Rep. 2011;2011: bcr0420114096. http://doi.org/cbfsns.
5.Rowe SY, Rocourt JR, Shiferaw B, Kassenborg HD, Segler SD, Marcus R, et al. Breast-feeding decreases the risk of sporadic salmonellosis among infants in FoodNet sites. Clin. Infect. Dis. 2004;38(Suppl 3):S262-70. http://doi.org/cwrqfk.
6.Chen TL, Thien PF, Liaw SC, Fung CP, Siu LK. First report of Salmonella enterica serotype panama meningitis associated with consumption of contaminated breast milk by a neonate. J. Clin. Microbiol. 2005;43(10):5400-2. http://doi.org/fpcthq.
7.Bowe AC, Fischer M, Waggoner-Fountain LA, Heinan KC, Goodkin HP, Zanelli SA. Salmonella berta meningitis in a term neonate. J. Perinatol. 2014;34(10):798-9. http://doi.org/bjq7.
8.Peromingo-Matute E, Quecuty-Vela S, Obando-Santaella I, Camacho-Lovillo MS, León-Leal JA. Recaída de meningitis por Salmonella tras tratamiento con cefotaxima. An. Pediatr. 2005;63(4):375-6. http://doi.org/cwq53h.
9.Van Meervenne E, Botteldoorn N, Lokietek S, Vatlet M, Cupa A, Naranjo M, et al. Turtle-associated Salmonella septicaemia and meningitis in a 2-month-old baby. J. Med. Microbiol. 2009;58(Pt 10):1379-81. http://doi.org/dk8jbt.
10.Hammack T. Salmonella species. In: Lampel KA, Al-Khaldi S, Cahill SM, editors. Bad Bug Book, Foodborne Pathogenic Microorganisms and Natural Toxins Handbook. 2nd ed. Washington DC: Food and Drug Administration; 2012 [cited 2015 Oct 25]. p. 9-13. Available from: http://goo.gl/ORIecd.
11.Choudhury SA, Berthaud V, Weitkamp JH. Meningitis caused by Salmonella panama in infants. J. Natl. Med. Assoc. 2006;98(2):219-22.
12.Olsen SJ, Bishop R, Brenner FW, Roels TH, Bean N, Tauxe RV, et al. The changing epidemiology of Salmonella: trends in serotypes isolated from humans in the United States, 1987-1997. J. Infect. Dis. 2001; 183 (5): 753-61. Http://doi.org/bm8kr5 .
13.Chen HM, Wang Y, Su LH, Chiu CH. Nontyphoid salmonella infection: microbiology, clinical features, and antimicrobial therapy. Pediatr. Neonatol. 2013;54(3):147-52. http://doi.org/bjq9.
14.Furyk JS, Swann O, Molyneux E. Systematic review: neonatal meningitis in the developing world. Trop. Med. Int. Health. 2011;16(6):672-9. http://doi.org/bzwqq5.
15.Synnott MB, Morse DL, Hall SM. Neonatal Meningitis In England And Wales: A Review Of Routine National Data. Arch. Dis. Child. 1994;71(2):F75-80. http://doi.org/d65vq7.
16.Price EH, de Louvois J, Workman MR. Antibiotics for Salmonella meningitis in children. J. Antimicrob. Chemother. 2000;46(5):653-5. http://doi.org/fk88bz.
17.Wu HM, Huang WY, Lee ML, Yang AD, Chaou KP, Hsieh LY. Clinical features, acute complications, and outcome of Salmonella meningitis in children under one year of age in Taiwan. BMC Infect. Dis. 2011;11:30. http://doi.org/bjqfbj.
18.Salaun P, Saraux A, Lepage P, Van Goethem C, Hitimana DG, Bazubagira A, et al. [Septic meningitis in children in Rwanda from 1983 to 1990. Retrospective study at the Kigali Hospital Center]. Med. Trop. (Mars). 1995;55(1):41-5. French.
19.Molyneux EM, Walsh AL, Malenga G, Rogerson S, Molyneux ME. Salmonella meningitis in children in Blantyre, Malawi, 1996-1999. Ann. Trop. Paediatr. 2000;20(1):41-4. http://doi.org/bfmpk3.
20.Molyneux EM, Walsh AL, Forsyth H, Tembo M, Mwenechanya J, Kayira K, et al. Dexamethasone treatment in childhood bacterial meningitis in Malawi: a randomized controlled trial. Lancet. 2002;360(9328):211-8. http://doi.org/fb279v.
21.Chotpitayasunondh T. Bacterial meningitis in children: etiology and clinical features, an 11-year review of 618 cases. Southeast Asian J. Trop. Med. Public Health. 1994;25(1):107-15.
22.Molyneux E, Walsh A, Phiri A, Molyneux M. Acute bacterial meningitis in children admitted to the Queen Elizabeth Central Hospital, Blantyre, Malawi in 1996-97. Trop. Med. Int. Health. 1998;3(8):610-8. http://doi.org/bcgvgf.
23.Milledge J, Calis JC, Graham SM, Phiri A, Wilson LK, Soko D, et al. Aetiology of neonatal sepsis in Blantyre, Malawi: 1996-2001. Ann. Trop. Paediatr. 2005;25(2):101-10. http://doi.org/ddkxpt.
24.Swann O, Everett DB, Furyk JS, Harrison EM, Msukwa MT, Heyderman RS, et al. Bacterial meningitis in Malawian infants <2 months of age: etiology and susceptibility to World Health Organization first-line antibiotics. Pediatr. Infect. Dis. J. 2014;33(6):560-5. http://doi.org/bjrb.
25.Costa-Orvay JA, Hervás A, Hurtado A, Bonet B. Meningitis por Salmonella tras toxiinfección alimentaria en lactante alimentado con lactancia artificia. An. Pediatr. 2013;79(4):270-1. http://doi.org/f2htfv.
26.Molyneux EM, Mankhambo LA, Phiri A, Graham SM, Forsyth H, Phiri A, et al. The outcome of non-typhoidal salmonella meningitis in Malawian children, 1997-2006. Ann. Trop. Paediatr. 2009;29(1):13-22. http://doi.org/bcqvwb.
27.Parry CM, Hien TT, Dougan G, White NJ, Farrar JJ. Typhoid fever. N. Engl. J. Med. 2002;28;347(22):1770-82. http://doi.org/dg57dd.
28.Mittal S, Saxena A, Garg P. Unusual presentations of Salmonella Typhi infections in children. Trop. Doct. 2009;39(1):27-8. http://doi.org/fd5x45.
29.Nelson JD, Kusmiesz H, Jackson LH, Woodman E. Treatment of Salmonella gastroenteritis with ampicillin, amoxicillin, or placebo. Pediatrics. 1980;65(6):1125-30.
30.Chiu CH, Chu C, Su LH, Wu WY, Wu TL. Characterization of a laboratory-derived, high-level ampicillin-resistant Salmonella enterica serovar Typhimurium strain that caused meningitis in an infant. Antimicrob. Agents Chemother. 2002;46(5):1604-6. http://doi.org/dn3rv6.
31.Sirinavin S, Garner P. Antibiotics for treating salmonella gut infections. Cochrane Database Syst. Rev. 1999;(1):CD001167. http://doi.org/cbsnvc.
32.Threfall EJ. Antimicrobial drug resistance in Salmonella: problems and perspectives in food- and water-borne infections. FEMS Microbiol. Rev. 2002;26(2):141-8. http://doi.org/dnw5xj.
33.Owusu-Ofori A, Scheld WM. Treatment of Salmonella meningitis: two case reports and a review of the literature. Int. J. Infect. Dis. 2003;7(1):53-60. http://doi.org/cgzd77.
34.Chiu CH, Ou JT. Persistence of Salmonella species in cerebrospinal fluid of patients with meningitis following ceftriaxone therapy. Clin. Infect. Dis. 1999;28(5):1174-5. http://doi.org/d2bw6m.
35.Fomda BA, Charoo BA, Bhat JA, Reyaz N, Maroof P, Naik MI. Recurrent meningitis due to Salmonella enteritidis: a case report from Kashmir India. Indian J. Med. Microbiol. 2012;30(4):474-6. http://doi.org/bjrc.
36.Huang LT, Ko SF, Lui CC. Salmonella Meningitis: Clinical Experience Of Third-Generation Cephalosporins. Acta Paediatr. 1997;86(10):1056-8. http://doi.org/fpcv67.
37.Visudhiphan P, Chiemchanya S, Visutibhan A. Salmonella Meningitis In Thai Infants: Clinical Case Reports. Trans. R. Soc. Trop. Med. Hyg. 1998;92(2):181-4. http://doi.org/ct74dh.
38.Paton JH, Mirfattahi MB. Salmonella meningitis acquired from pet snakes. Arch. Dis. Child. 1997;77(1):93. http://doi.org/d48dtv.
39.Koç E, Turkyilmaz C, Atalay Y, Sen E. Imipenem for treatment of relapsing Salmonella meningitis in a newborn infant. Acta Paediatr. Jpn. 1997;39(5):624-5. http://doi.org/b4f329.
40.Bhutta ZA. Quinolone-resistant salmonella paratyphi B meningitis in a newborn: a case report. J. Infect. 1997;35(3):308-10. http://doi.org/bkkwvx.
41.American Academy of Pediatrics. Salmonella infections. In: Pickering LK, Baker CJ, Kimberlin DW, Long SS, eds. Red Book: 2009 Report of the Committee on Infectious Diseases. 28th ed. Elk Grove Village: American Academy of Pediatrics; 2009 [cited 2015 Nov 29]. p. 584-9. Available from: https://goo.gl/UyJo9g.
42.Kinsella TR, Yogev R, Shulman ST, Gilmore R, Chadwick EG. Treatment of Salmonella meningitis and brain abscess with the new cephalosporins: two case reports and a review of the literature. Pediatr. Infect. Dis. J. 1987;6(5):476-80. http://doi.org/crqq2w.
43.Su LH, Chiu CH, Chu C, Ou JT. Antimicrobial resistance in nontyphoid Salmonella serotypes: a global challenge. Clin. Infect. Dis. 2004;39(4):546-51. http://doi.org/cxvvnr.
44.Srifuengfung S, Chokephaibulkit K, Yungyuen T, Tribuddharat C. Salmonella meningitis and antimicrobial susceptibilities. Southeast Asian J. Trop. Med. Public Health. 2005;36(2):312-6.
45.McCracken GH Jr, Mize SG, Threlkeld N. Intraventricular gentamicin therapy in gram-negative bacillary meningitis of infancy. Report of the Second Neonatal Meningitis Cooperative Study Group. Lancet. 1980;1(8172):787-91. http://doi.org/ddvpnc.
46.Eliopoulos GM, Eliopoulos CT. Ciprofloxacin in combination with other antibiotics. Am J Med. 1989;87(5A):17S-22S. http://doi.org/dxpxkb.
47.Hampel B, Hullmann R, Schmidt H. Ciprofloxacin in pediatrics: worldwide clinical experience based on compassionate use safety report. Pediatr. Infect. Dis. J. 1997;16(1):127-9. http://doi.org/dzp8dd.
48.Jick S. Ciprofloxacin safety in a pediatric population. Pediatr. Infect. Dis. J. 1997;16(1):130-4. http://doi.org/bpmh2w.
49.Workman MR, Price EH, Bullock P. Salmonella meningitis and multiple cerebral abscesses in an infant. Int. J. Antimicrob. Agents. 1999;13(2):131-2. http://doi.org/dtfngx.
50.Threlfall EJ, Ward LR, Rowe B. Resistance to ciprofloxacin in non-typhoidal salmonellas from humans in England and Wales-the current situation. Clin. Microbiol. Infect. 1999;5(3):130-4. http://doi.org/cmnm5p.
Referencias
Menezes GA, Harish BN, Parija SC. A case of fatal acute pyogenic meningitis in a neonate caused by extended-spectrum beta-lactamase producing Salmonella group B. Jpn. J. Infect. Dis. 2008;61(3):234-5.
Mead PS, Slutsker L, Dietz V, McCaig LF, Bresse JS, Shapiro C, et al. Food-related illness and death in the United States. Emerg. Infect. Dis. 1999;5(5):607-25. http://doi. org/ffkh2d.
Chen CJ, Wu FT, Hsiung CA, Chang WC, Wu HS, Wu CY, et al. Risk factors for salmonella gastroenteritis in children less than five years of age in Taiwan. Pediatr. Infect. Dis. J. 2012;31(12):e239-43. http://doi. org/bjq5.
Nimir AR, Ibrahim R, Ibrahim IA. Salmonella meningitis in a paediatric patient caused by Salmonella enterica serotype Houtenae. BMJ Case Rep. 2011;2011: bcr0420114096. http://doi. org/cbfsns.
Rowe SY, Rocourt JR, Shiferaw B, Kassenborg HD, Segler SD, Marcus R, et al. Breast-feeding decreases the risk of sporadic salmonellosis among infants in FoodNet sites. Clin. Infect. Dis. 2004;38(Suppl 3):S262-70. http://doi. org/cwrqfk.
Chen TL, Thien PF, Liaw SC, Fung CP, Siu LK. First report of Salmonella enterica serotype panama meningitis associated with consumption of contaminated breast milk by a neonate. J. Clin. Microbiol. 2005;43(10):5400-2. http://doi. org/fpcthq.
Bowe AC, Fischer M, Waggoner-Fountain LA, Heinan KC, Goodkin HP, Zanelli SA. Salmonella berta meningitis in a term neonate. J. Perinatol. 2014;34(10):798-9. http://doi. org/bjq7.
Peromingo-Matute E, Quecuty-Vela S, Obando-Santaella I, Camacho-Lovillo MS, León-Leal JA. Recaída de meningitis por Salmonella tras tratamiento con cefotaxima. An. Pediatr. 2005;63(4):375-6. http://doi. org/cwq53h.
Van Meervenne E, Botteldoorn N, Lokietek S, Vatlet M, Cupa A, Naranjo M, et al. Turtle-associated Salmonella septicaemia and meningitis in a 2-month-old baby. J. Med. Microbiol. 2009;58(Pt 10):1379-81. http://doi. org/dk8jbt.
Hammack T. Salmonella species. In: Lampel KA, Al-Khaldi S, Cahill SM, editors. Bad Bug Book, Foodborne Pathogenic Microorganisms and Natural Toxins Handbook. 2nd ed. Washington DC: Food and Drug Administration; 2012 [cited 2015 Oct 25]. p. 9-13. Available from: http://goo. gl/ORIecd.
Choudhury SA, Berthaud V, Weitkamp JH. Meningitis caused by Salmonella panama in infants. J. Natl. Med. Assoc. 2006;98(2):219-22.
Olsen SJ, Bishop R, Brenner FW, Roels TH, Bean N, Tauxe RV, et al. The changing epidemiology of Salmonella: trends in serotypes isolated from humans in the United States, 1987-1997. J. Infect. Dis. 2001; 183 (5): 753-61. Http://doi. org/bm8kr5 .
Chen HM, Wang Y, Su LH, Chiu CH. Nontyphoid salmonella infection: microbiology, clinical features, and antimicrobial therapy. Pediatr. Neonatol. 2013;54(3):147-52. http://doi. org/bjq9.
Furyk JS, Swann O, Molyneux E. Systematic review: neonatal meningitis in the developing world. Trop. Med. Int. Health. 2011;16(6):672-9. http://doi. org/bzwqq5.
Synnott MB, Morse DL, Hall SM. Neonatal Meningitis In England And Wales: A Review Of Routine National Data. Arch. Dis. Child. 1994;71(2):F75-80. http://doi. org/d65vq7.
Price EH, de Louvois J, Workman MR. Antibiotics for Salmonella meningitis in children. J. Antimicrob. Chemother. 2000;46(5):653-5. http://doi. org/fk88bz.
Wu HM, Huang WY, Lee ML, Yang AD, Chaou KP, Hsieh LY. Clinical features, acute complications, and outcome of Salmonella meningitis in children under one year of age in Taiwan. BMC Infect. Dis. 2011;11:30. http://doi. org/bjqfbj.
Salaun P, Saraux A, Lepage P, Van Goethem C, Hitimana DG, Bazubagira A, et al. [Septic meningitis in children in Rwanda from 1983 to 1990. Retrospective study at the Kigali Hospital Center]. Med. Trop. (Mars). 1995;55(1):41-5. French.
Molyneux EM, Walsh AL, Malenga G, Rogerson S, Molyneux ME. Salmonella meningitis in children in Blantyre, Malawi, 1996-1999. Ann. Trop. Paediatr. 2000;20(1):41-4. http://doi. org/bfmpk3.
Molyneux EM, Walsh AL, Forsyth H, Tembo M, Mwenechanya J, Kayira K, et al. Dexamethasone treatment in childhood bacterial meningitis in Malawi: a randomized controlled trial. Lancet. 2002;360(9328):211-8. http://doi. org/fb279v.
Chotpitayasunondh T. Bacterial meningitis in children: etiology and clinical features, an 11-year review of 618 cases. Southeast Asian J. Trop. Med. Public Health. 1994;25(1):107-15.
Molyneux E, Walsh A, Phiri A, Molyneux M. Acute bacterial meningitis in children admitted to the Queen Elizabeth Central Hospital, Blantyre, Malawi in 1996-97. Trop. Med. Int. Health. 1998;3(8):610-8. http://doi. org/bcgvgf.
Milledge J, Calis JC, Graham SM, Phiri A, Wilson LK, Soko D, et al. Aetiology of neonatal sepsis in Blantyre, Malawi: 1996-2001. Ann. Trop. Paediatr. 2005;25(2):101-10. http://doi. org/ddkxpt.
Swann O, Everett DB, Furyk JS, Harrison EM, Msukwa MT, Heyderman RS, et al. Bacterial meningitis in Malawian infants <2 months of age: etiology and susceptibility to World Health Organization first-line antibiotics. Pediatr. Infect. Dis. J. 2014;33(6):560-5. http://doi. org/bjrb.
Costa-Orvay JA, Hervás A, Hurtado A, Bonet B. Meningitis por Salmonella tras toxiinfección alimentaria en lactante alimentado con lactancia artificia. An. Pediatr. 2013;79(4):270-1. http://doi. org/f2htfv.
Molyneux EM, Mankhambo LA, Phiri A, Graham SM, Forsyth H, Phiri A, et al. The outcome of non-typhoidal salmonella meningitis in Malawian children, 1997-2006. Ann. Trop. Paediatr. 2009;29(1):13-22. http://doi. org/bcqvwb.
Parry CM, Hien TT, Dougan G, White NJ, Farrar JJ. Typhoid fever. N. Engl. J. Med. 2002;28;347(22):1770-82. http://doi. org/dg57dd.
Mittal S, Saxena A, Garg P. Unusual presentations of Salmonella Typhi infections in children. Trop. Doct. 2009;39(1):27-8. http://doi. org/fd5x45.
Nelson JD, Kusmiesz H, Jackson LH, Woodman E. Treatment of Salmonella gastroenteritis with ampicillin, amoxicillin, or placebo. Pediatrics. 1980;65(6):1125-30.
Chiu CH, Chu C, Su LH, Wu WY, Wu TL. Characterization of a laboratory-derived, high-level ampicillin-resistant Salmonella enterica serovar Typhimurium strain that caused meningitis in an infant. Antimicrob. Agents Chemother. 2002;46(5):1604-6. http://doi. org/dn3rv6.
Sirinavin S, Garner P. Antibiotics for treating salmonella gut infections. Cochrane Database Syst. Rev. 1999;(1):CD001167. http://doi. org/cbsnvc.
Threfall EJ. Antimicrobial drug resistance in Salmonella: problems and perspectives in food- and water-borne infections. FEMS Microbiol. Rev. 2002;26(2):141-8. http://doi. org/dnw5xj.
Owusu-Ofori A, Scheld WM. Treatment of Salmonella meningitis: two case reports and a review of the literature. Int. J. Infect. Dis. 2003;7(1):53-60. http://doi. org/cgzd77.
Chiu CH, Ou JT. Persistence of Salmonella species in cerebrospinal fluid of patients with meningitis following ceftriaxone therapy. Clin. Infect. Dis. 1999;28(5):1174-5. http://doi. org/d2bw6m.
Fomda BA, Charoo BA, Bhat JA, Reyaz N, Maroof P, Naik MI. Recurrent meningitis due to Salmonella enteritidis: a case report from Kashmir India. Indian J. Med. Microbiol. 2012;30(4):474-6. http://doi. org/bjrc.
Huang LT, Ko SF, Lui CC. Salmonella Meningitis: Clinical Experience Of Third-Generation Cephalosporins. Acta Paediatr. 1997;86(10):1056-8. http://doi. org/fpcv67.
Visudhiphan P, Chiemchanya S, Visutibhan A. Salmonella Meningitis In Thai Infants: Clinical Case Reports. Trans. R. Soc. Trop. Med. Hyg. 1998;92(2):181-4. http://doi. org/ct74dh.
Paton JH, Mirfattahi MB. Salmonella meningitis acquired from pet snakes. Arch. Dis. Child. 1997;77(1):93. http://doi. org/d48dtv.
Koç E, Turkyilmaz C, Atalay Y, Sen E. Imipenem for treatment of relapsing Salmonella meningitis in a newborn infant. Acta Paediatr. Jpn. 1997;39(5):624-5. http://doi. org/b4f329.
Bhutta ZA. Quinolone-resistant salmonella paratyphi B meningitis in a newborn: a case report. J. Infect. 1997;35(3):308-10. http://doi. org/bkkwvx.
American Academy of Pediatrics. Salmonella infections. In: Pickering LK, Baker CJ, Kimberlin DW, Long SS, eds. Red Book: 2009 Report of the Committee on Infectious Diseases. 28th ed. Elk Grove Village: American Academy of Pediatrics; 2009 [cited 2015 Nov 29]. p. 584-9. Available from: https://goo. gl/UyJo9g.
Kinsella TR, Yogev R, Shulman ST, Gilmore R, Chadwick EG. Treatment of Salmonella meningitis and brain abscess with the new cephalosporins: two case reports and a review of the literature. Pediatr. Infect. Dis. J. 1987;6(5):476-80. http://doi. org/crqq2w.
Su LH, Chiu CH, Chu C, Ou JT. Antimicrobial resistance in nontyphoid Salmonella serotypes: a global challenge. Clin. Infect. Dis. 2004;39(4):546-51. http://doi. org/cxvvnr.
Srifuengfung S, Chokephaibulkit K, Yungyuen T, Tribuddharat C. Salmonella meningitis and antimicrobial susceptibilities. Southeast Asian J. Trop. Med. Public Health. 2005;36(2):312-6.
McCracken GH Jr, Mize SG, Threlkeld N. Intraventricular gentamicin therapy in gram-negative bacillary meningitis of infancy. Report of the Second Neonatal Meningitis Cooperative Study Group. Lancet. 1980;1(8172):787-91. http://doi. org/ddvpnc.
Eliopoulos GM, Eliopoulos CT. Ciprofloxacin in combination with other antibiotics. Am J Med. 1989;87(5A):17S-22S. http://doi. org/dxpxkb.
Hampel B, Hullmann R, Schmidt H. Ciprofloxacin in pediatrics: worldwide clinical experience based on compassionate use safety report. Pediatr. Infect. Dis. J. 1997;16(1):127-9. http://doi. org/dzp8dd.
Jick S. Ciprofloxacin safety in a pediatric population. Pediatr. Infect. Dis. J. 1997;16(1):130-4. http://doi. org/bpmh2w.
Workman MR, Price EH, Bullock P. Salmonella meningitis and multiple cerebral abscesses in an infant. Int. J. Antimicrob. Agents. 1999;13(2):131-2. http://doi. org/dtfngx.
Threlfall EJ, Ward LR, Rowe B. Resistance to ciprofloxacin in non-typhoidal salmonellas from humans in England and Wales-the current situation. Clin. Microbiol. Infect. 1999;5(3):130-4. http://doi. org/cmnm5p.
Cómo citar
APA
ACM
ACS
ABNT
Chicago
Harvard
IEEE
MLA
Turabian
Vancouver
Descargar cita
CrossRef Cited-by
1. Aziza Elouali, Nourelhouda Ouerradi, Ghanam Ayad, Abdeladim Babakhouya, Maria Rkain. (2023). Salmonella Meningitis in a Young Infant: A Case Report. Cureus, https://doi.org/10.7759/cureus.44147.
Dimensions
PlumX
Visitas a la página del resumen del artículo
Descargas
Licencia
Derechos de autor 2017 Revista de la Facultad de Medicina

Esta obra está bajo una licencia Creative Commons Reconocimiento 3.0 Unported.
-








